Oxidative Products of Curcumin Rather Than Curcumin Bind to Helicobacter Pylori Virulence Factor VacA and Are Required to Inhibit Its Vacuolation Activity
Abstract
1. Introduction
2. Results
2.1. The m1 and m2 Alleles of VacA Protein of H. pylori Are Similar at the 3D Structure Level
2.2. Curcumin binds at Five Different Sites in the p55 Domain of the VacA Protein
2.3. Oxidative Derivatives of Curcumin Show better Binding Affinity to VacA Compared to Curcumin
2.4. In-silico Analysis Predicted Cyclobutyl Cyclopentadione Inhibits p33 and p55 VacA Subunits Interaction
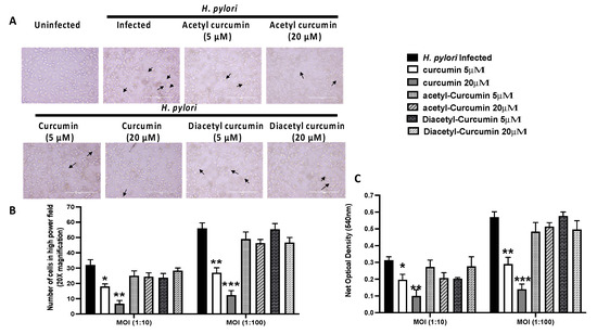
2.5. Oxidation of Curcumin Is Required to Inhibit VacA-mediated Vacuolation in AGS Cell Lines
3. Discussion
4. Method
4.1. Sequence Alignment of m1 and m2 Isoforms of VacA Protein
4.2. Structure Retrieval and Binding Site Prediction
4.3. Protein and Ligand Preparation
4.4. VacA Protein-ligand Molecular Docking
4.5. Docking Study of p33 and p55 Domain
4.6. H. pylori Growth Condition
4.7. H. pylori Co-culture with AGS Cells
4.8. AGS cells Infection with H. pylori and Neutral Red Dye Assay
4.9. Statistics
5. Conclusions
Author Contributions
Funding
Institutional Review Board Statement
Informed Consent Statement
Data Availability Statement
Acknowledgments
Conflicts of Interest
References
- Hatcher, H. Review Curcumin: From Ancient Medicine to Current Clinical Trials. Cell. Mol. Life Sci. 2008, 65, 1631–1652. [Google Scholar] [CrossRef] [PubMed]
- Santel, T.; Pflug, G.; Hemdan, N.Y.; Schäfer, A.; Hollenbach, M.; Buchold, M.; Hintersdorf, A.; Lindner, I.; Otto, A.; Bigl, M.; et al. Curcumin Inhibits Glyoxalase 1—A Possible Link to Its Anti-Inflammatory and Anti-Tumor Activity. PLoS ONE 2008, 10, e3508. [Google Scholar] [CrossRef] [PubMed]
- Lai, C.S.; Ho, C.T.; Pan, M.H. The Cancer Chemopreventive and Therapeutic Potential of Tetrahydrocurcumin. Biomolecules 2020, 10, 831. [Google Scholar] [CrossRef]
- Gordon, O.N.; Luis, P.B.; Ashley, R.E.; Osheroff, N.; Schneider, C. Oxidative transformation of demethoxy-and bisdemethoxycurcumin: Products, mechanism of formation, and poisoning of human topoisomerase IIα. Chem. Res. Toxicol. 2015, 28, 989–996. [Google Scholar] [CrossRef] [PubMed]
- Ray, A.K.; Luis, P.B.; Mishra, S.K.; Barry, D.P. Curcumin Oxidation Is Required for Inhibition of Helicobacter Pylori Growth, Translocation and Phosphorylation of Cag A. Front. Cell. Infect. Microbiol. 2021, 11, 1304. [Google Scholar] [CrossRef] [PubMed]
- Karbalaei, M.; Talebi Bezmin Abadi, A.; Keikha, M. Clinical relevance of the cagA and vacA s1m1 status and antibiotic resistance in Helicobacter pylori: A systematic review and meta-analysis. BMC Infect. Dis. 2022, 22, 1–18. [Google Scholar] [CrossRef]
- Suriani, R.; Colozza, M.; Cardesi, E.; Mazzucco, D.; Marino, M.; Grosso, S.; Sanseverinati, S.; Venturini, I.; Borghi, A.; Zeneroli, M.L. CagA and VacA Helicobacter Pyloriantibodies Ingastric Cancer. Can. J. Gastroenterol. 2008, 22, 255–258. [Google Scholar] [CrossRef]
- Cover, T.L.; Lacy, D.B.; Ohi, M.D. The Helicobacter Pylori Cag Type IV Secretion System. Trends Microbiol. 2020, 28, 682–695. [Google Scholar] [CrossRef]
- Isomoto, H.; Moss, J.; Hirayama, T. Pleiotropic Actions of Helicobacter Pylori Vacuolating Cytotoxin, VacA. Tohoku J. Exp. Med. 2010, 220, 3–14. [Google Scholar] [CrossRef]
- Soyfoo, D.M.; Doomah, Y.H.; Xu, D.; Zhang, C.; Sang, H.M.; Liu, Y.Y.; Zhang, G.X.; Jiang, J.X.; Xu, S.F. New Genotypes of Helicobacter Pylori VacA D-Region Identified from Global Strains. BMC Mol. Cell Biol. 2021, 22, 4. [Google Scholar] [CrossRef]
- Cover, T.L.; Blanke, S.R. Helicobacter Pylori VacA, a Paradigm for Toxin Multifunctionality. Nat. Rev. Microbiol. 2005, 3, 320–332. [Google Scholar] [CrossRef] [PubMed]
- Jones, K.R.; Jang, S.; Chang, J.Y.; Kim, J.; Chung, I.S.; Olsen, C.H.; Merrell, D.S.; Cha, J.H. Polymorphisms in the Intermediate Region of VacA Impact Helicobacter Pylori-Induced Disease Development. J. Clin. Microbiol. 2011, 49, 101–110. [Google Scholar] [CrossRef][Green Version]
- Ivie, S.E.; Mcclain, M.S.; Torres, V.J.; Algood, H.M.S.; Lacy, D.B.; Yang, R.; Blanke, S.R.; Cover, T.L. Helicobacter Pylori VacA Subdomain Required for Intracellular Toxin Activity and Assembly of Functional Oligomeric Complexes. Infect. Immun. 2008, 76, 2843–2851. [Google Scholar] [CrossRef] [PubMed][Green Version]
- Chambers, M.G.; Pyburn, T.M.; González-Rivera, C.; Collier, S.E.; Eli, I.; Yip, C.K.; Takizawa, Y.; Lacy, D.B.; Cover, T.L.; Ohi, M.D. Structural Analysis of the Oligomeric States of Helicobacter Pylori VacA Toxin. J. Mol. Biol. 2013, 425, 524–535. [Google Scholar] [CrossRef]
- Yahiro, K.; Shirasaka, D.; Tagashira, M.; Wada, A.; Morinaga, N.; Kuroda, F.; Choi, O.; Inoue, M.; Aoyama, N.; Ikeda, M.; et al. Inhibitory Effects of Polyphenols on Gastric Injury by Helicobacter Pylori VacA Toxin. Helicobacter 2005, 10, 231–239. [Google Scholar] [CrossRef] [PubMed]
- Edgar, R.C. MUSCLE: A Multiple Sequence Alignment Method with Reduced Time and Space Complexity. BMC Bioinform. 2004, 19, 113. [Google Scholar] [CrossRef]
- Halgren, T.A. Identifying and Characterizing Binding Sites and Assessing Druggability. J. Chem. Inf. Modeling 2009, 49, 377–389. [Google Scholar] [CrossRef] [PubMed]
- Pyburn, T.M.; Foegeding, N.J.; González-Rivera, C.; McDonald, N.A.; Gould, K.L.; Cover, T.L.; Ohi, M.D. Structural Organization of Membrane-Inserted Hexamers Formed by Helicobacter Pylori VacA Toxin. Mol. Microbiol. 2016, 102, 22–36. [Google Scholar] [CrossRef] [PubMed]
- Pandey, A.; Chaturvedi, M.; Mishra, S.; Kumar, P.; Somvanshi, P.; Chaturvedi, R. Reductive Metabolites of Curcumin and Their Therapeutic Effects. Heliyon 2020, 6, e05469. [Google Scholar] [CrossRef]
- Farah, D.; Malik, M.; Naqvi, I.H.; Haider, M.S.H.; Shafat, Z.; Sinha, P.; Ishrat, R.; Ahmed, A.; Parveen, S. Potential entry inhibitors of the envelope protein (E2) of Chikungunya virus: In silico structural modeling, docking and molecular dynamic studies. VirusDisease 2017, 28, 39–49. [Google Scholar]
- Luis, P.B.; Boeglin, W.E.; Schneider, C. Thiol Reactivity of Curcumin and Its Oxidation Products. Chem. Res. Toxicol. 2018, 31, 269–276. [Google Scholar] [CrossRef] [PubMed]
- Priyadarsini, K.I. The Chemistry of Curcumin: From Extraction to Therapeutic Agent. Molecules 2014, 19, 20091–20112. [Google Scholar] [CrossRef] [PubMed]
- Lambert, J.D.; Sang, S.; Yang, C.S. Biotransformation of Green Tea Polyphenols and the Biological Activities of Those Metabolites. Mol. Pharm. 2007, 4, 819–825. [Google Scholar] [CrossRef] [PubMed]
- Caso, G.C.; McClain, M.S.; Erwin, A.L.; Truelock, M.D.; Campbell, A.M.; Leasure, C.S.; Nagel, M.; Schey, K.L.; Lacy, D.B.; Ohi, M.D.; et al. Functional Properties of Oligomeric and Monomeric Forms of Helicobacter Pylori Vaca Toxin. Infect. Immun. 2021, 89, e00348-21. [Google Scholar] [CrossRef]
- Edwards, R.L.; Luis, P.B.; Varuzza, P.V.; Joseph, A.I.; Presley, S.H.; Chaturvedi, R.; Schneider, C. Cro The Anti-Inflammatory Activity of Curcumin Is Mediated by Its Oxidative Metabolites. J. Biol. Chem. 2017, 292, 21243–21252. [Google Scholar] [CrossRef]
- Edgar, R.C. MUSCLE: Multiple Sequence Alignment with High Accuracy and High Throughput. Nucleic Acids Res. 2004, 32, 1792–1797. [Google Scholar] [CrossRef]
- Hall, T.A. BIOEDIT: A User-Friendly Biological Sequence Alignment Editor and Analysis Program for Windows 95/98/ NT. Nucleic Acids Symp. Ser. 1999, 41, 95–98. [Google Scholar]
- Sastry, G.M.; Adzhigirey, M.; Sherman, W. Protein and Ligand Preparation: Parameters, Protocols, and Influence on Virtual Screening Enrichments. J. Comput. Aided Mol. Des. 2013, 27, 221–234. [Google Scholar] [CrossRef]
- Yang, J.; Zhang, Y. I-TASSER Server: New Development for Protein Structure and Function Predictions. Nucleic Acids Res. 2015, 43, W174–W181. [Google Scholar] [CrossRef]
- Greenwood, R.; Díaz, A.M.; Li, S.X.; Lorente, J.C. The Multiplicity of Institutional Logics and the Heterogeneity of Organizational Responses. Organ. Sci. 2010, 21, 521–539. [Google Scholar] [CrossRef]
- Shelley, J.C.; Cholleti, A.; Frye, L.L.; Greenwood, J.R.; Timlin, M.R.; Uchimaya, M. Epik: A Software Program for PKa Prediction and Protonation State Generation for Drug-like Molecules. J. Comput. Aided Mol. Des. 2007, 21, 681–691. [Google Scholar] [CrossRef] [PubMed]
- Harder, E.; Damm, W.; Maple, J.; Wu, C.; Reboul, M.; Xiang, J.Y.; Wang, L.; Lupyan, D.; Dahlgren, M.K.; Knight, J.L.; et al. OPLS3: A Force Field Providing Broad Coverage of Drug-like Small Molecules and Proteins. J. Chem. Theory Comput. 2016, 12, 281–296. [Google Scholar] [CrossRef]
- Shivakumar, D.; Williams, J.; Wu, Y.; Damm, W.; Shelley, J.; Sherman, W. Prediction of Absolute Solvation Free Energies Using Molecular Dynamics Free Energy Perturbation and the OPLS force field. J. Chem. Theory Comput. 2010, 6, 1509–1519. [Google Scholar] [CrossRef] [PubMed]
- Friesner, R.A.; Murphy, R.B.; Repasky, M.P.; Frye, L.L.; Greenwood, J.R.; Halgren, T.A.; Sanschagrin, P.C.; Mainz, D.T. Extra Precision Glide: Docking and Scoring Incorporating a Model of Hydrophobic Enclosure for Protein—Ligand Complexes. J. Med. Chem. 2006, 49, 6177–6196. [Google Scholar] [CrossRef]
- Dominguez, C.; Boelens, R.; Bonvin, A.M.J.J. HADDOCK: A Protein—Protein Docking Approach Based on Biochemical or Biophysical Information. J. Am. Chem. Soc. 2003, 125, 1731–1737. [Google Scholar] [CrossRef]
- Sheh, A.; Chaturvedi, R.; Merrell, D.S.; Correa, P.; Wilson, K.T.; Fox, J.G. Phylogeographic Origin of Helicobacter Pylori Determines Host-Adaptive Responses upon Coculture with Gastric Epithelial Cells. Infect. Immun. 2013, 81, 2468–2477. [Google Scholar] [CrossRef]
- Zhong, Y.; Ander, F.; Kruse, T.; Schindele, F.; Jagusztyn-Krynicka, E.K.; Fischer, W.; Gerhard, M.; Mejías-Luque, R. Helicobacter Pylori HP0231 Influences Bacterial Virulence and Is Essential for Gastric Colonization. PLoS ONE 2016, 11, e0154643. [Google Scholar] [CrossRef] [PubMed]
- Gomez-gutierrez, J.G.; Bhutiani, N.; Mcnally, M.W.; Chuong, P.; Jones, M.A.; Zeiderman, M.R.; Grizzle, W.E.; Mcnally, L.R. During Autophagy or in an Acidic Microenvironment in Vitro. Biotech. Histochem. 2022, 96, 302–310. [Google Scholar] [CrossRef]






| Site | Score | Predicted Binding Site Residues |
|---|---|---|
| Site 1 | 0.97 | Asn618, Val620, Arg641, Val643, His669, Thr672, Phe674, Gly675, Ile676, Pro677, Lys680, Tyr729, Asn732, Asn733, Arg734, 737, Cys738, Val739, Arg741, Asp745, Ala748, Cys749, Vla752, Ala483, Asn529, Phe545, Asn546, Arg574, Phe565, Lys619 |
| Site 2 | 0.951 | Asn666, 668, 674, Thr675, Gly704, Asn705, Thr708, Gly709, Thr710, Asn711, Gly712, Ile713, Ser714, Val716, Asn717, Leu718, Glu720, Gln721, Lys723, Glu724, Arg725, Asp736, Asn737, Lys772, Trp774, Asn775, Ile776, 778, 779, 780, 803, Thr805, 806, 807, Pro808, Thr809, 810 |
| Site 3 | 0.748 | Tyr574, Ala595, Ser596, Pro599, Glu600, Pro602, Asp622, 623, Ser624, Asn643, Tyr644, Leu645, Arg647, Lys680, Ile681, Asn682 |
| Site 4 | 0.642 | Phe483, Asn484, Thr485, Ser504, Thr505, Asn506, Glu528, Thr529, His531 |
| Site 5 | 0.541 | Leu395, Ser396, Asn397, Gln398, Gly401, Arg402, Val421, Asn422, Thr428, Ala429, Leu430, Ser433, Ser434, Ala435 |
Publisher’s Note: MDPI stays neutral with regard to jurisdictional claims in published maps and institutional affiliations. |
© 2022 by the authors. Licensee MDPI, Basel, Switzerland. This article is an open access article distributed under the terms and conditions of the Creative Commons Attribution (CC BY) license (https://creativecommons.org/licenses/by/4.0/).
Share and Cite
Chaturvedi, M.; Mishra, M.; Pandey, A.; Gupta, J.; Pandey, J.; Gupta, S.; Malik, M.Z.; Somvanshi, P.; Chaturvedi, R. Oxidative Products of Curcumin Rather Than Curcumin Bind to Helicobacter Pylori Virulence Factor VacA and Are Required to Inhibit Its Vacuolation Activity. Molecules 2022, 27, 6727. https://doi.org/10.3390/molecules27196727
Chaturvedi M, Mishra M, Pandey A, Gupta J, Pandey J, Gupta S, Malik MZ, Somvanshi P, Chaturvedi R. Oxidative Products of Curcumin Rather Than Curcumin Bind to Helicobacter Pylori Virulence Factor VacA and Are Required to Inhibit Its Vacuolation Activity. Molecules. 2022; 27(19):6727. https://doi.org/10.3390/molecules27196727
Chicago/Turabian StyleChaturvedi, Maya, Mohit Mishra, Achyut Pandey, Jyoti Gupta, Jyoti Pandey, Shilpi Gupta, Md. Zubbair Malik, Pallavi Somvanshi, and Rupesh Chaturvedi. 2022. "Oxidative Products of Curcumin Rather Than Curcumin Bind to Helicobacter Pylori Virulence Factor VacA and Are Required to Inhibit Its Vacuolation Activity" Molecules 27, no. 19: 6727. https://doi.org/10.3390/molecules27196727
APA StyleChaturvedi, M., Mishra, M., Pandey, A., Gupta, J., Pandey, J., Gupta, S., Malik, M. Z., Somvanshi, P., & Chaturvedi, R. (2022). Oxidative Products of Curcumin Rather Than Curcumin Bind to Helicobacter Pylori Virulence Factor VacA and Are Required to Inhibit Its Vacuolation Activity. Molecules, 27(19), 6727. https://doi.org/10.3390/molecules27196727

