Biological Activity of Copaiba in Damage to the Alveolar Bone in a Model of Periodontitis Induced in Rats
Abstract
1. Introduction
2. Results
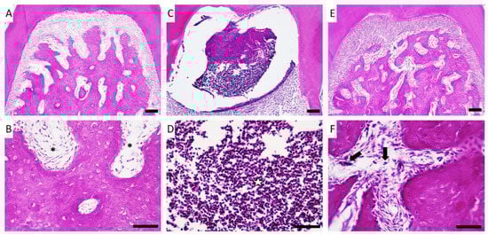
2.1. Copaiba Oleoresin Administration Reduced the Intensity of the Inflammatory Response and Preserved Bone Tissue
2.2. Copaiba Oleoresin Administration Changed the Alveolar Bone Quality and Reduced Alveolar Bone Loss Caused by the Induced Periodontitis Model in Rats
3. Discussion
4. Materials and Methods
4.1. Animals and Experimental Groups
4.2. Plant Material, Characterization, and Acute Oral Toxicity Test
4.3. Induction of Experimental Periodontitis and Administration of Copaiba Oleoresin
4.4. Sample Collection
4.5. Gross Histopathological Evaluation
4.6. Microcomputed Tomography (Micro-CT) Analysis
4.7. Statistical Analyses
5. Conclusions
Author Contributions
Funding
Institutional Review Board Statement
Informed Consent Statement
Data Availability Statement
Acknowledgments
Conflicts of Interest
Sample Availability
References
- de Albuquerque, K.C.O.; da Veiga, A.S.S.; da Silva e Silva, J.V.; Brigido, H.P.C.; dos Reis Ferreira, E.P.; Costa, E.V.S.; do Rosario Marinho, A.M.; Percario, S.; Dolabela, M.F. Brazilian Amazon Traditional Medicine and the Treatment of Difficult to Heal Leishmaniasis Wounds with Copaifera. Evid Based Complement Alternat Med. 2017, 2017. [Google Scholar] [CrossRef]
- Alvarenga, M.O.P.; Bittencourt, L.O.; Mendes, P.F.S.; Ribeiro, J.T.; Lameira, O.A.; Monteiro, M.C.; Barboza, C.A.G.; Martins, M.D.; Lima, R.R. Safety and Effectiveness of Copaiba Oleoresin (C. reticulata Ducke) on Inflammation and Tissue Repair of Oral Wounds in Rats. Int. J. Mol. Sci. 2020, 21, 3568. [Google Scholar] [CrossRef]
- da Trindade, R.; da Silva, J.K.; Setzer, W.N. Copaifera of the Neotropics: A Review of the Phytochemistry and Pharmacology. Int. J. Mol. Sci. 2018, 19, 1511. [Google Scholar] [CrossRef]
- Valli, M.; Russo, H.M.; Bolzani, V.S. The potential contribution of the natural products from Brazilian biodiversity to bioeconomy. An. Acad. Bras. Cienc. 2018, 90, 763–778. [Google Scholar] [CrossRef]
- Veiga Junior, V.F.; Rosas, E.C.; Carvalho, M.V.; Henriques, M.G.M.O.; Pinto, A.C. Chemical composition and anti-inflammatory activity of copaiba oils from Copaifera cearensis Huber ex Ducke, Copaifera reticulata Ducke and Copaifera multijuga Hayne—A comparative study. J. Ethnopharmacol. 2007, 112, 248–254. [Google Scholar] [CrossRef]
- Santos, A.O.; Ueda-Nakamura, T.; Dias Filho, B.P.; Veiga Junior, V.F.; Pinto, A.C.; Nakamura, C.V. Effect of Brazilian copaiba oils on Leishmania amazonensis. J. Ethnopharmacol. 2008, 120, 204–208. [Google Scholar] [CrossRef]
- Zoghbi, M.D.G.B.; Andrade, E.H.A.; Martins-Da-Silva, R.C.V.; Trigo, J.R. Chemical variation in the volatiles of Copaifera reticulata Ducke (Leguminosae) growing wild in the states of Pará and Amapá, Brazil. J. Essent. Oil. Res. 2009, 21, 501–503. [Google Scholar] [CrossRef]
- Herrero-Jáuregui, C.; Casado, M.A.; das Graças Bichara Zoghbi, M.; Célia Martins-da-Silva, R. Chemical variability of Copaifera reticulata Ducke oleoresin. Chem. Biodivers. 2011, 8, 674–685. [Google Scholar] [CrossRef] [PubMed]
- Sachetti, C.G.; de Carvalho, R.R.; Paumgartten, F.J.R.; Lameira, O.A.; Caldas, E.D. Developmental toxicity of copaiba tree (Copaifera reticulata Ducke, Fabaceae) oleoresin in rat. Food. Chem. Toxicol. 2011, 49, 1080–1085. [Google Scholar] [CrossRef]
- Guimarães-Santos, A.; Santos, D.S.; Santos, I.R.; Lima, R.R.; Pereira, A.; de Moura, L.S.; Carvalho, R.N.; Lameira, O.; Gomes-Leal, W. Copaiba oleoresin treatment is neuroprotective and reduces neutrophil recruitment and microglia activation after motor cortex excitotoxic injury. Evid. Based. Complement. Altern. Med. 2012, 2012, 918174. [Google Scholar] [CrossRef]
- Bardají, D.K.; da Silva, J.J.; Bianchi, T.C.; de Souza Eugênio, D.; de Oliveira, P.F.; Leandro, L.F.; Rogez, H.L.; Venezianni, R.C.; Ambrosio, S.R.; Tavares, D.C.; et al. Copaifera reticulata oleoresin: Chemical characterization and antibacterial properties against oral pathogens. Anaerobe 2016, 40, 18–27. [Google Scholar] [CrossRef] [PubMed]
- Teixeira, F.B.; de Brito Silva, R.; Lameira, O.A.; Webber, L.P.; D’Almeida Couto, R.S.; Martins, M.D.; Lima, R.R. Copaiba oil-resin (Copaifera reticulata Ducke) modulates the inflammation in a model of injury to rats tongues. BMC Complement. Altern. Med. 2017, 14, 313. [Google Scholar] [CrossRef] [PubMed]
- Destryana, A.R.; Young, D.G.; Woolley, C.L.; Huang, T.C.; Wu, H.Y.; Shih, W.L. Antioxidant and Anti-inflammation Activities of Ocotea, Copaiba and Blue Cypress Essential Oils in Vitro and in Vivo. J. Am. Oil. Chem. Soc. 2014, 91, 1531–1542. [Google Scholar] [CrossRef]
- de Almeida Júnior, J.S.; da Silva, É.B.S.; Moraes, T.M.P.; Kasper, A.A.M.; Sartoratto, A.; Baratto, L.C.; de Oliveira, E.C.P.; Oliveira, E.; Barata, L.E.S.; Minervino, A.H.H.; et al. Anti-Inflammatory Potential of the Oleoresin from the Amazonian Tree Copaifera reticulata with an Unusual Chemical Composition in Rats. Vet. Sci. 2021, 8, 320. [Google Scholar] [CrossRef]
- Alves, J.A.; Abrão, F.; da Silva Moraes, T.; Damasceno, J.L.; Dos Santos Moraes, M.F.; Sola Veneziani, R.C.; Ambrósio, S.R.; Bastos, J.K.; Dantas Miranda, M.L.; Gomes Martins, C.H. Investigation of Copaifera genus as a new source of antimycobaterial agents. Future Sci. AO 2020, 29, FSO587. [Google Scholar] [CrossRef]
- da Silva, H.H.; Geris, R.; Rodrigues Filho, E.; Rocha, C.; da Silva, I.G. Larvicidal activity of oleoresin fractions from the Brazilian medicinal plant Copaifera reticulata Ducke (Leguminosae-Caesalpinoideae) against Aedes aegypti (Diptera, Culicidae). Rev. Soc. Bras. Med. Trop. 2007, 40, 264–267. [Google Scholar] [CrossRef] [PubMed]
- Carvalho, H.O.; dos Santos, I.V.F.; Rocha, C.F.; Barros, A.S.A.; Souza, B.S.F.; Ferreira, I.M.; Bezerra, R.M.; Lima, C.S.; Castro, A.N.; Carvalho, J.C.T. Effect of the treatment of Copaifera duckei oleoresin (copaiba) in streptozotocin-induced diabetic rats. Rev. Bras. Farmacogn. 2018, 28, 724–731. [Google Scholar] [CrossRef]
- Abrão, F.; Alves, J.A.; Andrade, G.; de Oliveira, P.F.; Ambrósio, S.R.; Veneziani, R.C.S.; Tavares, D.C.; Bastos, J.K.; Martins, C.H.G. Antibacterial Effect of Copaifera duckei Dwyer Oleoresin and Its Main Diterpenes against Oral Pathogens and Their Cytotoxic Effect. Front. Microbiol. 2018, 9, 201. [Google Scholar] [CrossRef]
- Souza, A.B.; Martins, C.H.; Souza, M.G.; Furtado, N.A.; Heleno, V.C.; de Sousa, J.P.; Rocha, E.M.; Bastos, J.K.; Cunha, W.R.; Veneziani, R.C.; et al. Antimicrobial activity of terpenoids from Copaifera langsdorffii Desf. against cariogenic bacteria. Phytother. Res. 2011, 25, 215–220. [Google Scholar] [CrossRef]
- Souza, A.B.; de Souza, M.G.; Moreira, M.A.; Moreira, M.R.; Furtado, N.A.; Martins, C.H.; Bastos, J.K.; dos Santos, R.A.; Heleno, V.C.; Ambrosio, S.R.; et al. Antimicrobial evaluation of diterpenes from Copaifera langsdorffii oleoresin against periodontal anaerobic bacteria. Molecules 2011, 16, 9611–9619. [Google Scholar] [CrossRef]
- Diefenbach, A.L.; Muniz, F.W.M.G.; Oballe, H.J.R.; Rösing, C.K. Antimicrobial activity of copaiba oil (Copaifera ssp.) on oral pathogens: Systematic review. Phytother. Res. 2018, 32, 586–596. [Google Scholar] [CrossRef] [PubMed]
- Papapanou, P.N.; Sanz, M.; Buduneli, N.; Dietrich, T.; Feres, M.; Fine, D.H.; Flemmig, T.F.; Garcia, R.; Giannobile, W.V.; Graziani, F.; et al. Periodontitis: Consensus report of workgroup 2 of the 2017 World Workshop on the Classification of Periodontal and Peri-Implant Diseases and Conditions. J. Clin. Periodontol. 2018, 89, S162–S170. [Google Scholar] [CrossRef] [PubMed]
- Burcea, A.; Mihai, L.L.; Bechir, A.; Suciu, M.; Bechir, E.S. Clinical Assessment of the Hyperbaric Oxygen Therapy Efficacy in Mild to Moderate Periodontal Affections: A Simple Randomized Trial. Med. Kaunas 2022, 58, 234. [Google Scholar] [CrossRef]
- Struillou, X.; Boutigny, H.; Soueidan, A.; Layrolle, P. Experimental animal models in periodontology: A review. Open Dent. J. 2010, 29, 37–47. [Google Scholar] [CrossRef] [PubMed]
- Vargas-Sanchez, P.K.; Moro, M.G.; Santos, F.A.D.; Anbinder, A.L.; Kreich, E.; Moraes, R.M.; Padilha, L.; Kusiak, C.; Scomparin, D.X.; Franco, G.C.N. Agreement, correlation, and kinetics of the alveolar bone-loss measurement methodologies in a ligature-induced periodontitis animal model. J. Appl. Oral. Sci. 2017, 25, 490–497. [Google Scholar] [CrossRef] [PubMed]
- Page, R.C.; Schroeder, H.E. Pathogenesis of inflammatory periodontal disease. A summary of current work. Lab. Investig. 1976, 34, 235–249. [Google Scholar]
- Cekici, A.; Kantarci, A.; Hasturk, H.; Van Dyke, T.E. Inflammatory and immune pathways in the pathogenesis of periodontal disease. Periodontol. 2000 2014, 64, 57–80. [Google Scholar] [CrossRef]
- Castro, M.M.L.; Duarte, N.N.; Nascimento, P.C.; Magno, M.B.; Fagundes, N.C.F.; Flores-Mir, C.; Monteiro, M.C.; Rösing, C.K.; Maia, L.C.; Lima, R.R. Antioxidants as Adjuvants in Periodontitis Treatment: A Systematic Review and Meta-Analysis. Oxid. Med. Cell. Longev. 2019, 2019, 9187978. [Google Scholar] [CrossRef]
- Jia, X.; Jia, L.; Mo, L.; Yuan, S.; Zheng, X.; He, J.; Chen, V.; Guo, Q.; Zheng, L.; Yuan, Q.; et al. Berberine Ameliorates Periodontal Bone Loss pela Regulação da Microbiota Intestinal. J. Dent. Res. 2019, 98, 107–116. [Google Scholar] [CrossRef] [PubMed]
- Wu, Y.H.; Kuraji, R.; Taya, Y.; Ito, H.; Numabe, Y. Effects of theaflavins on tissue inflammation and bone resorption on experimental periodontitis in rats. J. Periodontal. Res. 2018, 53, 1009–1019. [Google Scholar] [CrossRef] [PubMed]
- Freires, I.A.; Santaella, G.M.; de Cássia Orlandi Sardi, J.; Rosalen, P.L. The alveolar bone protective effects of natural products: A systematic review. Arch. Oral. Biol. 2018, 87, 196–203. [Google Scholar] [CrossRef] [PubMed]
- Wagner, V.P.; Webber, L.P.; Ortiz, L.; Rados, P.V.; Meurer, L.; Lameira, O.A.; Lima, R.R.; Martins, M.D. Effects of Copaiba Oil Topical Administration on Oral Wound Healing. Phytother. Res. 2017, 31, 1283–1288. [Google Scholar] [CrossRef] [PubMed]
- Couto, R.; Rodrigues, M.; Ferreira, L.S.; Diniz, I.; Silva, F.S.; Lopez, T.; Lima, R.R.; Marques, M.M. Evaluation of Resin-Based Material Containing Copaiba Oleoresin (Copaifera reticulata Ducke): Biological Effects on the Human Dental Pulp Stem Cells. Biomolecules 2020, 10, 972. [Google Scholar] [CrossRef] [PubMed]
- Souza-Monteiro, D.; Ferreira, R.O.; Eiró, L.G.; de Oliveira Lima, L.A.; Balbinot, G.S.; da Paz, S.P.A.; Albuquerque, A.R.L.; Collares, F.M.; Angélica, R.S.; Pessanha, S.; et al. Long-term exposure to low doses of aluminum affects mineral content and microarchitecture of rats alveolar bone. Environ. Sci. Pollut. Res. Int. 2021, 28, 45879–45890. [Google Scholar] [CrossRef] [PubMed]
- Duarte, P.M.; Tezolin, K.R.; Figueiredo, L.C.; Feres, M.; Bastos, M.F. Microbial profile of ligature-induced periodontitis in rats. Arch. Oral. Biol. 2010, 55, 142–147. [Google Scholar] [CrossRef] [PubMed]
- Simch, R.P.; Gaio, E.J.; Rosing, C.K. Effect of body weight in the pathogenesis of ligature-induced periodontal disease in Wistar rats. Acta Odontol. Scand. 2008, 66, 130–134. [Google Scholar] [CrossRef] [PubMed]
- Koyama, S.; Purk, A.; Kaur, M.; Soini, H.A.; Novotny, M.V.; Davis, K.; Kao, C.C.; Matsunami, H.; Mescher, A. Beta-caryophyllene enhances wound healing through multiple routes. PLoS ONE 2019, 14, e0216104. [Google Scholar] [CrossRef]
- Assis, L.C.; Straliotto, M.R.; Engel, D.; Hort, M.A.; Dutra, R.C.; de Bem, A.F. β-Caryophyllene protects the C6 glioma cells against glutamate-induced excitotoxicity through the Nrf2 pathway. Neuroscience 2014, 279, 220–231. [Google Scholar] [CrossRef]
- Gushiken, L.; Beserra, F.P.; Hussni, M.F.; Gonzaga, M.T.; Ribeiro, V.P.; de Souza, P.F.; Campos, J.; Massaro, T.; Hussni, C.A.; Takahira, R.K.; et al. Beta-caryophyllene as an antioxidant, anti-inflammatory and re-epithelialization activities in a rat skin wound excision model. Oxidative Med. Cell. Longev. 2022, 2022, 9004014. [Google Scholar] [CrossRef]
- Ouyang, W.; Rutz, S.; Crellin, N.K.; Valdez, P.A.; Hymowitz, S.G. Regulation and functions of the IL-10 family of cytokines in inflammation and disease. Annu. Rev. Immunol. 2022, 29, 71–109. [Google Scholar] [CrossRef]
- Gomes, D.A.S.; Pires, J.R.; Zuza, E.P.; Gutiérrez, J.C.R.; Toledo, B.E.C.; Spolidorio, L.C.; Spolidorio, D.M.P. El papel del óxido nítrico en la modulación del proceso inflamatorio de la enfermedad periodontal. Acta Odontol. Venez 2011, 49, lil-678870. [Google Scholar]
- Liu, Y.C.; Lerner, U.H.; Teng, Y.T. Cytokine responses against periodontal infection: Protective and destructive roles. Periodontol. 2000. 2010, 52, 163–206. [Google Scholar] [CrossRef] [PubMed]
- Swain, M.V.; Xue, J. State of the art of Micro-CT applications in dental research. Int. J. Oral. Sci. 2009, 1, 177–188. [Google Scholar] [CrossRef] [PubMed]
- Thomsen, J.S.; Laib, A.; Koller, B.; Prohaskas, S.; Mosekilde, L.I.; Gowin, W. Sterelogical measures of trabecular bone structure: Comparison of 3D micro computed tomography with 2D histological sections in human proximal tibial one biopsies. J. Microsc. 2005, 218, 171–179. [Google Scholar] [CrossRef]
- Ferrare, N.; Leite, A.F.; Caracas, H.C.; de Azevedo, R.B.; de Melo, N.S.; de Souza Figueiredo, P.T. Cone-beam computed tomography and microtomography for alveolar bone measurements. Surg. Radiol. Anat. 2013, 35, 495–502. [Google Scholar] [CrossRef]
- Mizutani, R.; Suzuki, Y. X-ray microtomography in biology. Micron 2012, 43, 104–115. [Google Scholar] [CrossRef]
- Ebersole, J.L.; Dawson, D.; Emecen-Huja, P.; Nagarajan, R.; Howard, K.; Grady, M.E.; Thompson, K.; Peyyala, R.; Al-Attar, A.; Lethbridge, K.; et al. The periodontal war: Microbes and immunity. Periodontol. 2000 2017, 75, 52–115. [Google Scholar] [CrossRef] [PubMed]
- Meyle, J.; Chapple, I. Molecular aspects of the pathogenesis of periodontitis. Periodontol. 2000 2015, 69, 7–17. [Google Scholar] [CrossRef]
- Hajishengallis, G.; Chavakis, T.; Lambris, J.D. Current understanding of periodontal disease pathogenesis and targets for host-modulation therapy. Periodontol. 2000 2020, 84, 14–34. [Google Scholar] [CrossRef]
- Abrão, F.; Silva, T.S.; Moura, C.L.; Ambrósio, S.R.; Veneziani, R.C.S.; de Paiva, R.E.F.; Bastos, J.K.; Martins, C.H.G. Oleoresins and naturally occurring compounds of Copaifera genus as antibacterial and antivirulence agents against periodontal pathogens. Sci. Rep. 2021, 11, 4953. [Google Scholar] [CrossRef] [PubMed]







Publisher’s Note: MDPI stays neutral with regard to jurisdictional claims in published maps and institutional affiliations. |
© 2022 by the authors. Licensee MDPI, Basel, Switzerland. This article is an open access article distributed under the terms and conditions of the Creative Commons Attribution (CC BY) license (https://creativecommons.org/licenses/by/4.0/).
Share and Cite
dos Santos, V.R.N.; Motta, J.V.d.S.; Frazão, D.R.; Ferreira, R.d.O.; Souza-Monteiro, D.; Baia-da-Silva, D.C.; Mendes, P.F.S.; Bittencourt, L.O.; de Moura, J.D.M.; Lameira, O.A.; et al. Biological Activity of Copaiba in Damage to the Alveolar Bone in a Model of Periodontitis Induced in Rats. Molecules 2022, 27, 6255. https://doi.org/10.3390/molecules27196255
dos Santos VRN, Motta JVdS, Frazão DR, Ferreira RdO, Souza-Monteiro D, Baia-da-Silva DC, Mendes PFS, Bittencourt LO, de Moura JDM, Lameira OA, et al. Biological Activity of Copaiba in Damage to the Alveolar Bone in a Model of Periodontitis Induced in Rats. Molecules. 2022; 27(19):6255. https://doi.org/10.3390/molecules27196255
Chicago/Turabian Styledos Santos, Vinicius Ruan Neves, João Victor da Silva Motta, Deborah Ribeiro Frazão, Railson de Oliveira Ferreira, Deiweson Souza-Monteiro, Daiane Claydes Baia-da-Silva, Paulo Fernando Santos Mendes, Leonardo Oliveira Bittencourt, João Daniel Mendonça de Moura, Osmar Alves Lameira, and et al. 2022. "Biological Activity of Copaiba in Damage to the Alveolar Bone in a Model of Periodontitis Induced in Rats" Molecules 27, no. 19: 6255. https://doi.org/10.3390/molecules27196255
APA Styledos Santos, V. R. N., Motta, J. V. d. S., Frazão, D. R., Ferreira, R. d. O., Souza-Monteiro, D., Baia-da-Silva, D. C., Mendes, P. F. S., Bittencourt, L. O., de Moura, J. D. M., Lameira, O. A., Balbinot, G. d. S., Collares, F. M., Rösing, C. K., & Lima, R. R. (2022). Biological Activity of Copaiba in Damage to the Alveolar Bone in a Model of Periodontitis Induced in Rats. Molecules, 27(19), 6255. https://doi.org/10.3390/molecules27196255

