Resveratrol Ameliorates High Altitude Hypoxia-Induced Osteoporosis by Suppressing the ROS/HIF Signaling Pathway
Abstract
:1. Introduction
2. Materials and Methods
2.1. Reagents
2.2. BMSCs Extraction, Culture, and Identification
2.3. Assessment of Cell Viability
2.4. Osteoblast Differentiation
2.5. Alizarin Red S (ARS) Staining
2.6. ALP Staining
2.7. Real-Time Polymerase Chain Reaction (RT-PCR)
- OCN forward, 5′-TTGAGCTCACACACCTCCCTGT-3′
- OCN reverse, 5′-TGCAAAGCCCAGCGACTCT-3′
- OPN forward, 5′-TTGATAGCCTCATCGGACTCCTG-3′
- OPN reverse, 5′- GCCGAGGTGATAGCTTGGCTTA-3′
- ALP forward, 5′-TGACCACCACTCGGGTGAA-3′
- ALP reverse, 5′-GCATCTCATTGTCCGAGTACCA-3′
- RUNX2 forward, 5′-CAAGTGGCCAGGTTCAACGA-3′
- RUNX2 reverse, 5′-GGGACCTGCCACTGTCACTGTAATA-3′
- β-actin forward, 5′-CCCCATTGAACACGGCATTG-3′
- β-actin reverse, 5′-TCATAGAAGAGAGTCCTGGGTCA-3′.
2.8. Assessment of ROS
2.9. Western Blotting
2.10. Osteoclast Differentiation
2.11. TRAP Staining
2.12. Experimental Animals
2.13. Dual Energy X-Ray Absorptiometry Analysis
2.14. Micro-Computed Tomography (Micro-CT) Analysis
2.15. Hematoxylin-Eosin (HE) and Immunohistochemical Staining
2.16. Serum Biochemical Analysis
2.17. Assessment of Antioxidant Capacity
2.18. Statistical Analysis
3. Results
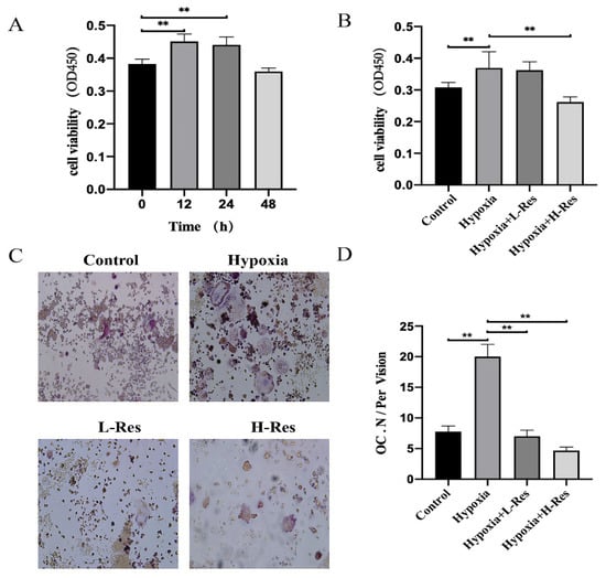
3.1. RES Promoted Cell Viability and Osteoblastogenesis in BMSCs under Hypoxia
3.2. RES Inhibited Cell Viability and Osteoclastogenesis in RAW 264.7 under Hypoxia
3.3. RES Decreased Accumulation of ROS and HIF-1α in BMSCs under Hypoxia
3.4. RES Attenuated Bone Loss In Vivo under High Altitude Hypoxia
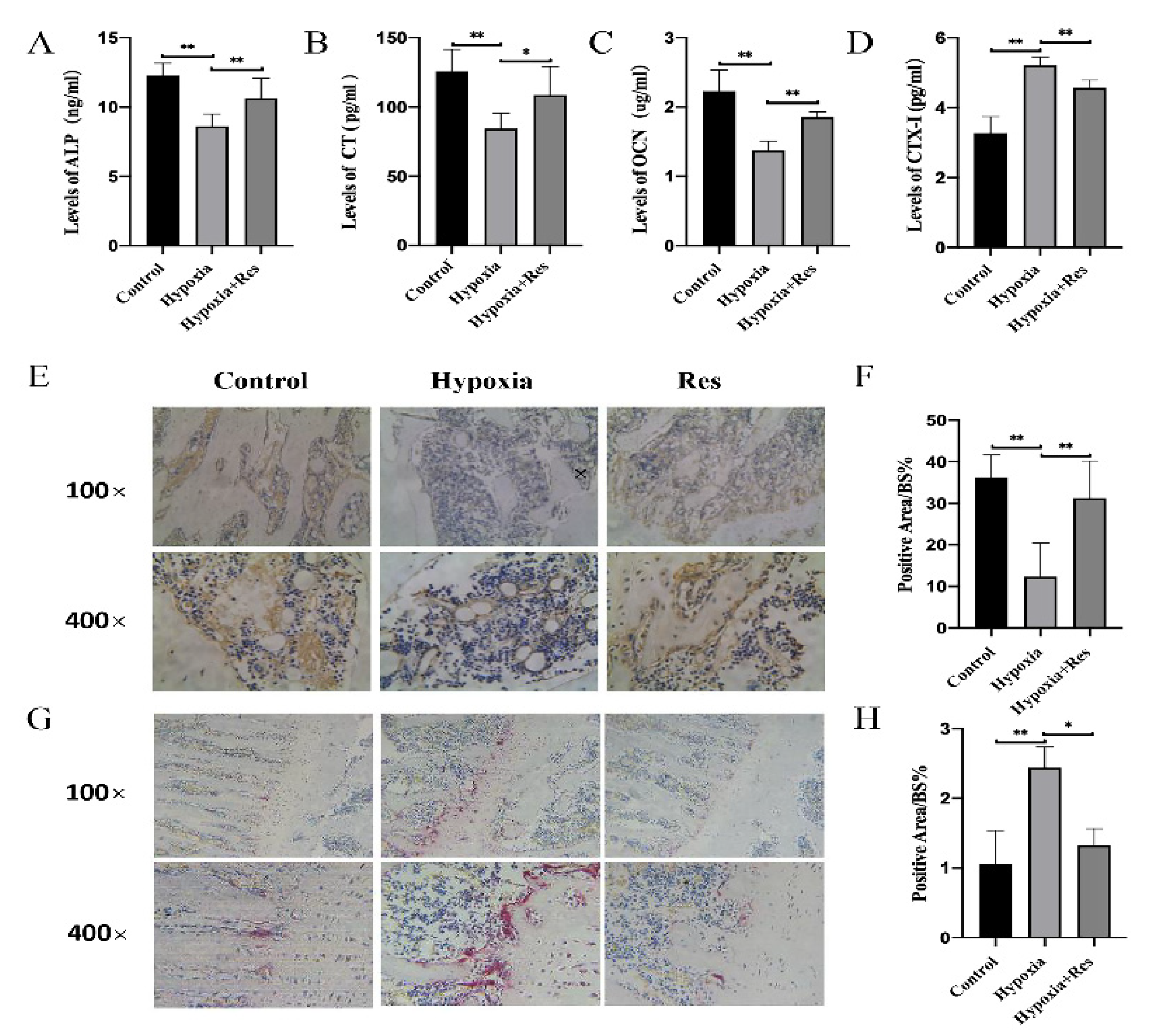
3.5. RES Attenuated Bone Remodeling Dysfunction In Vivo under High Altitude Hypoxia
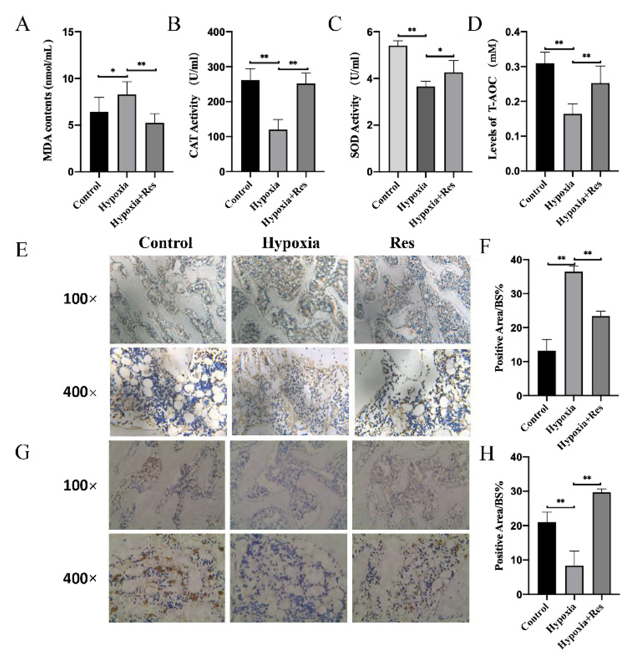
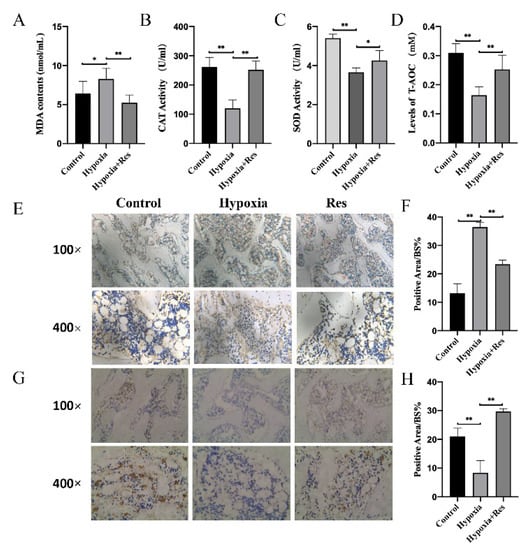
3.6. RES Decreased Oxidative Stress and Accumulation of HIF-1α In Vivo under Hypoxia
4. Discussion
Author Contributions
Funding
Institutional Review Board Statement
Informed Consent Statement
Data Availability Statement
Conflicts of Interest
References
- Basu, M.; Malhotra, A.S.; Pal, K.; Kumar, R.; Bajaj, R.; Verma, S.K.; Ghosh, D.; Sharma, Y.K.; Sawhney, R.C. Alterations in different indices of skeletal health after prolonged residency at high altitude. High Alt. Med. Biol. 2014, 15, 170–175. [Google Scholar] [CrossRef] [PubMed]
- O’Brien, K.A.; Pollock, R.D.; Stroud, M.; Lambert, R.J.; Kumar, A.; Atkinson, R.A.; Green, D.A.; Antón-Solanas, A.; Edwards, L.M.; Harridge, S.D.R. Human physiological and metabolic responses to an attempted winter crossing of Antarctica: The effects of prolonged hypobaric hypoxia. Physiol. Rep. 2018, 6, e13613. [Google Scholar] [CrossRef] [PubMed]
- Swenson, E.R.; Bärtsch, P. High-altitude pulmonary edema. Compr Physiol. 2012, 2, 2753–2773. [Google Scholar] [CrossRef] [PubMed]
- Hiraga, T. Hypoxic Microenvironment and Metastatic Bone Disease. Int. J. Mol. Sci. 2018, 19, 3523. [Google Scholar] [CrossRef]
- Marenzana, M.; Arnett, T.R. The Key Role of the Blood Supply to Bone. Bone Res. 2013, 1, 203–215. [Google Scholar] [CrossRef]
- Camacho-Cardenosa, M.; Camacho-Cardenosa, A.; Timón, R.; Olcina, G.; Tomas-Carus, P.; Brazo-Sayavera, J. Can Hypoxic Conditioning Improve Bone Metabolism? A Systematic Review. Int. J. Environ. Res. Public Health 2019, 16, 1799. [Google Scholar] [CrossRef]
- Dietz, E.T.; Hackett, P.H. 42-High-Altitude Medicine. In Travel Medicine, 4th ed.; Keystone, J.S., Phyllis, E.K., Bradley, A.C., Hans, D., Nothdurft, M.M., Leder, K., Eds.; Elsevier: London, UK, 2019. [Google Scholar]
- Krause, M.; Hubert, J.; Deymann, S.; Hapfelmeier, A.; Wulff, B.; Petersik, A.; Püschel, K.; Amling, M.; Hawellek, T.; Frosch, K.-H. Bone microarchitecture of the tibial plateau in skeletal health and osteoporosis. Knee 2018, 25, 559–567. [Google Scholar] [CrossRef]
- Wang, X.-M.; Liu, H.; Li, J.-Y.; Wei, J.-X.; Li, X.; Zhang, Y.-L.; Li, L.-Z.; Zhang, X.-Z. Rosamultin Attenuates Acute Hypobaric Hypoxia-Induced Bone Injuries by Regulation of Sclerostin and Its Downstream Signals. High Alt. Med. Biol. 2020, 21, 273–286. [Google Scholar] [CrossRef]
- Hannah, S.S.; McFadden, S.; McNeilly, A.; McClean, C. “Take My Bone Away?” Hypoxia and bone: A narrative review. J. Cell Physiol. 2021, 236, 721–740. [Google Scholar] [CrossRef]
- Dosek, A.; Ohno, H.; Acs, Z.; Taylor, A.W.; Radak, Z. High altitude and oxidative stress. Respir. Physiol. Neurobiol. 2007, 158, 128–131. [Google Scholar] [CrossRef]
- Arai, M.; Shibata, Y.; Pugdee, K.; Abiko, Y.; Ogata, Y. Effects of reactive oxygen species (ROS) on antioxidant system and osteoblastic differentiation in MC3T3-E1 cells. IUBMB Life 2007, 59, 27–33. [Google Scholar] [CrossRef] [PubMed]
- Bai, X.-C.; Lu, D.; Bai, J.; Zheng, H.; Ke, Z.-Y.; Li, X.-M.; Luo, S.-Q. Oxidative stress inhibits osteoblastic differentiation of bone cells by ERK and NF-kappaB. Biochem. Biophys. Res. Commun. 2004, 314, 197–207. [Google Scholar] [CrossRef] [PubMed]
- Liu, A.L.; Zhang, Z.M.; Zhu, B.F.; Liao, Z.H.; Liu, Z. Metallothionein protects bone marrow stromal cells against hydrogen peroxide-induced inhibition of osteoblastic differentiation. Cell Biol. Int. 2004, 28, 905–911. [Google Scholar] [CrossRef] [PubMed]
- Peng, Y.; Wu, S.; Li, Y.; Crane, J.L. Type H blood vessels in bone modeling and remodeling. Theranostics 2020, 10, 426–436. [Google Scholar] [CrossRef]
- Meng, X.; Wielockx, B.; Rauner, M.; Bozec, A. Hypoxia-Inducible Factors Regulate Osteoclasts in Health and Disease. Front. Cell Dev. Biol. 2021, 9, 658893. [Google Scholar] [CrossRef]
- Li, W.; Zhou, X.; Jiang, T.; He, H.; Wen, T. Positive Effect of Gushukang on Type-H Vessel and Bone Formation. Front. Cell Dev. Biol. 2020, 8, 265. [Google Scholar] [CrossRef]
- Fayed, H.A.; Barakat, B.M.; Elshaer, S.S.; Abdel-Naim, A.B.; Menze, E.T. Antiosteoporotic activities of isoquercitrin in ovariectomized rats: Role of inhibiting hypoxia inducible factor-1 alpha. Eur. J. Pharmacol. 2019, 865, 172785. [Google Scholar] [CrossRef]
- Ma, B.; Zhang, Q.; Wu, D.; Wang, Y.-L.; Hu, Y.-Y.; Cheng, Y.-P.; Yang, Z.-D.; Zheng, Y.-Y.; Ying, H.-J. Strontium fructose 1,6-diphosphate prevents bone loss in a rat model of postmenopausal osteoporosis via the OPG/RANKL/RANK pathway. Acta Pharmacol. Sin. 2012, 33, 479–489. [Google Scholar] [CrossRef]
- Gong, W.; Liu, M.; Zhang, Q.; Zhang, Q.; Wang, Y.; Zhao, Q.; Xiang, L.; Zheng, C.; Zhang, Q.; Qin, L. Orcinol Glucoside Improves Senile Osteoporosis through Attenuating Oxidative Stress and Autophagy of Osteoclast via Activating Nrf2/Keap1 and mTOR Signaling Pathway. Oxid Med. Cell Longev. 2022, 2022, 5410377. [Google Scholar] [CrossRef]
- Moreira-Pinto, B.; Costa, L.; Felgueira, E.; Fonseca, B.M.; Rebelo, I. Low Doses of Resveratrol Protect Human Granulosa Cells from Induced-Oxidative Stress. Antioxidants 2021, 10, 561. [Google Scholar] [CrossRef]
- Galiniak, S.; Aebisher, D.; Bartusik-Aebisher, D. Health benefits of resveratrol administration. Acta Biochim. Pol. 2019, 66, 13–21. [Google Scholar] [CrossRef] [PubMed]
- Tou, J.C. Evaluating resveratrol as a therapeutic bone agent: Preclinical evidence from rat models of osteoporosis. Ann. NY Acad. Sci. 2015, 1348, 75–85. [Google Scholar] [CrossRef] [PubMed]
- Wong, R.H.; Zaw, J.J.T.; Xian, C.J.; Howe, P.R. Regular Supplementation With Resveratrol Improves Bone Mineral Density in Postmenopausal Women: A Randomized, Placebo-Controlled Trial. J. Bone Miner. Res. 2020, 35, 2121–2131. [Google Scholar] [CrossRef] [PubMed]
- Chen, X.-H.; Shi, Z.-G.; Lin, H.-B.; Wu, F.; Zheng, F.; Wu, C.-F.; Huang, M.-W. Resveratrol alleviates osteoporosis through improving the osteogenic differentiation of bone marrow mesenchymal stem cells. Eur. Rev. Med. Pharmacol. Sci. 2019, 23, 6352–6359. [Google Scholar] [CrossRef] [PubMed]
- Jiang, Y.; Luo, W.; Wang, B.; Wang, X.; Gong, P.; Xiong, Y. Resveratrol promotes osteogenesis via activating SIRT1/FoxO1 pathway in osteoporosis mice. Life Sci. 2020, 246, 117422. [Google Scholar] [CrossRef] [PubMed]
- Wang, X.; Ma, S.; Meng, N.; Yao, N.; Zhang, K.; Li, Q.; Zhang, Y.; Xing, Q.; Han, K.; Song, J.; et al. Resveratrol Exerts Dosage-Dependent Effects on the Self-Renewal and Neural Differentiation of hUC-MSCs. Mol. Cells 2016, 39, 418–425. [Google Scholar] [CrossRef]
- Song, L.H.; Pan, W.; Yu, Y.H.; Quarles, L.D.; Zhou, H.H.; Xiao, Z.S. Resveratrol prevents CsA inhibition of proliferation and osteoblastic differentiation of mouse bone marrow-derived mesenchymal stem cells through an ER/NO/cGMP pathway. Toxicol. In Vitro 2006, 20, 915–922. [Google Scholar] [CrossRef]
- Deng, B.; Liu, W.; Pu, L.; Wang, X.; Duan, R.; Wang, T.; Wang, Z.; Du, L.; Gao, Z.; Chen, Z. Quantitative Proteomics Reveals the Effects of Resveratrol on High-Altitude Polycythemia Treatment. Proteomics 2020, 20, e1900423. [Google Scholar] [CrossRef]
- Wu, D.; Cline-Smith, A.; Shashkova, E.; Perla, A.; Katyal, A.; Aurora, R. T-Cell Mediated Inflammation in Postmenopausal Osteoporosis. Front. Immunol. 2021, 12, 687551. [Google Scholar] [CrossRef]
- Yin, Z.; Zhu, W.; Wu, Q.; Zhang, Q.; Guo, S.; Liu, T.; Li, S.; Chen, X.; Peng, D.; Ouyang, Z. Glycyrrhizic acid suppresses osteoclast differentiation and postmenopausal osteoporosis by modulating the NF-κB, ERK, and JNK signaling pathways. Eur. J. Pharmacol. 2019, 859, 172550. [Google Scholar] [CrossRef]
- Guo, Y.; Jia, X.; Cui, Y.; Song, Y.; Wang, S.; Geng, Y.; Li, R.; Gao, W.; Fu, D. Sirt3-mediated mitophagy regulates AGEs-induced BMSCs senescence and senile osteoporosis. Redox Biol. 2021, 41, 101915. [Google Scholar] [CrossRef] [PubMed]
- Guo, W.-Y.; Bian, S.-Z.; Zhang, J.-H.; Li, Q.-N.; Yu, J.; Chen, J.-F.; Tang, C.-F.; Rao, R.-S.; Yu, S.-Y.; Jin, J.; et al. Physiological and psychological factors associated with onset of high-altitude headache in Chinese men upon acute high-altitude exposure at 3700 m. Cephalalgia 2017, 37, 336–347. [Google Scholar] [CrossRef]
- Sharma, R.; Cramer, N.P.; Perry, B.; Adahman, Z.; Murphy, E.K.; Xu, X.; Dardzinski, B.J.; Galdzicki, Z.; Perl, D.P.; Dickstein, D.L.; et al. Chronic Exposure to High Altitude: Synaptic, Astroglial and Memory Changes. Sci. Rep. 2019, 9, 16406. [Google Scholar] [CrossRef] [PubMed]
- Brent, M.; Emmanuel, B.T.; Simonsen, U.; Brüel, A.; Thomsen, J.S. Hypobaric hypoxia deteriorates bone mass and strength in mice. Bone 2021, 154, 116203. [Google Scholar] [CrossRef] [PubMed]
- Murray, A.J.; Montgomery, H.E.; Feelisch, M.; Grocott, M.P.W.; Martin, D.S. Metabolic adjustment to high-altitude hypoxia: From genetic signals to physiological implications. Biochem. Soc. Trans. 2018, 46, 599–607. [Google Scholar] [CrossRef] [PubMed]
- Khosla, S.; Hofbauer, L.C. Osteoporosis treatment: Recent developments and ongoing challenges. Lancet Diabetes Endocrinol. 2017, 5, 898–907. [Google Scholar] [CrossRef]
- Xia, N.; Daiber, A.; Förstermann, U.; Li, H. Antioxidant effects of resveratrol in the cardiovascular system. Br. J. Pharmacol. 2017, 174, 1633–1646. [Google Scholar] [CrossRef]
- Ke, Q.; Costa, M. Hypoxia-inducible factor-1 (HIF-1). Mol. Pharmacol 2006, 70, 1469–1480. [Google Scholar] [CrossRef]
- Tirpe, A.A.; Gulei, D.; Ciortea, S.M.; Crivii, C.; Berindan-Neagoe, I. Hypoxia: Overview on Hypoxia-Mediated Mechanisms with a Focus on the Role of HIF Genes. Int. J. Mol. Sci. 2019, 20, 6140. [Google Scholar] [CrossRef]
- Wu, C.; Rankin, E.B.; Castellini, L.; Fernandez-Alcudia, J.; LaGory, E.L.; Andersen, R.; Rhodes, S.D.; Wilson, T.L.; Mohammad, K.S.; Castillo, A.B.; et al. Oxygen-sensing PHDs regulate bone homeostasis through the modulation of osteoprotegerin. Genes Dev. 2015, 29, 817–831. [Google Scholar] [CrossRef] [Green Version]
- Wang, Y.; Wan, C.; Deng, L.; Liu, X.; Cao, X.; Gilbert, S.R.; Bouxsein, M.L.; Faugere, M.-C.; Guldberg, R.E.; Gerstenfeld, L.C.; et al. The hypoxia-inducible factor alpha pathway couples angiogenesis to osteogenesis during skeletal development. J. Clin. Investig. 2007, 117, 1616–1626. [Google Scholar] [CrossRef] [PubMed]
- Wan, C.; Shao, J.; Gilbert, S.R.; Riddle, R.C.; Long, F.; Johnson, R.S.; Schipani, E.; Clemens, T.L. Role of HIF-1alpha in skeletal development. Ann. N. Y. Acad. Sci. 2010, 1192, 322–326. [Google Scholar] [CrossRef] [PubMed]
- Regan, J.N.; Lim, J.; Shi, Y.; Joeng, K.S.; Arbeit, J.M.; Shohet, R.V.; Long, F. Up-regulation of glycolytic metabolism is required for HIF1α-driven bone formation. Proc. Natl. Acad. Sci. USA 2014, 111, 8673–8678. [Google Scholar] [CrossRef] [PubMed]
- Yang, D.C.; Yang, M.H.; Tsai, C.C.; Huang, T.F.; Chen, Y.H.; Hung, S.C. Hypoxia inhibits osteogenesis in human mesenchymal stem cells through direct regulation of RUNX2 by TWIST. PLoS ONE 2011, 6, e23965. [Google Scholar] [CrossRef]
- Liu, Y.; Huang, X.; Yu, H.; Yang, J.; Li, Y.; Yuan, X.; Guo, Q. HIF-1α-TWIST pathway restrains cyclic mechanical stretch-induced osteogenic differentiation of bone marrow mesenchymal stem cells. Connect Tissue Res. 2019, 60, 544–554. [Google Scholar] [CrossRef]
- Komori, T. Regulation of Proliferation, Differentiation and Functions of Osteoblasts by Runx2. Int. J. Mol. Sci. 2019, 20, 1694. [Google Scholar] [CrossRef]
- Lee, G.; Won, H.-S.; Lee, Y.-M.; Choi, J.-W.; Oh, T.-I.; Jang, J.-H.; Choi, D.-K.; Lim, B.-O.; Kim, Y.J.; Park, J.-W.; et al. Oxidative Dimerization of PHD2 is Responsible for its Inactivation and Contributes to Metabolic Reprogramming via HIF-1α Activation. Sci. Rep. 2016, 6, 18928. [Google Scholar] [CrossRef]
- Krylatov, A.V.; Maslov, L.N.; Voronkov, N.S.; Boshchenko, A.A.; Popov, S.V.; Gomez, L.; Wang, H.; Jaggi, A.S.; Downey, J.M. Reactive Oxygen Species as Intracellular Signaling Molecules in the Cardiovascular System. Curr. Cardiol. Rev. 2018, 14, 290–300. [Google Scholar] [CrossRef]
- Hu, J.; Meng, F.; Hu, X.; Huang, L.; Liu, H.; Liu, Z.; Li, L. Iron overload regulate the cytokine of mesenchymal stromal cells through ROS/HIF-1α pathway in Myelodysplastic syndromes. Leuk. Res. 2020, 93, 106354. [Google Scholar] [CrossRef]







| Group | N | Initial | Metaphase | Final |
|---|---|---|---|---|
| Control | 10 | 322.35 ± 13.88 | 393.01 ± 27.69 | 448.83 ± 32.35 |
| Hypoxia | 10 | 321.73 ± 12.95 | 293.17 ± 15.33 * | 311.90 ± 22.29 * |
| RES | 10 | 322.84 ± 12.29 NS | 287.98 ± 18.74 NS | 303.30 ± 23.47 NS |
Publisher’s Note: MDPI stays neutral with regard to jurisdictional claims in published maps and institutional affiliations. |
© 2022 by the authors. Licensee MDPI, Basel, Switzerland. This article is an open access article distributed under the terms and conditions of the Creative Commons Attribution (CC BY) license (https://creativecommons.org/licenses/by/4.0/).
Share and Cite
Yan, C.; Wang, Z.; Liu, W.; Pu, L.; Li, R.; Ai, C.; Xu, H.; Zhang, B.; Wang, T.; Zhang, X.; et al. Resveratrol Ameliorates High Altitude Hypoxia-Induced Osteoporosis by Suppressing the ROS/HIF Signaling Pathway. Molecules 2022, 27, 5538. https://doi.org/10.3390/molecules27175538
Yan C, Wang Z, Liu W, Pu L, Li R, Ai C, Xu H, Zhang B, Wang T, Zhang X, et al. Resveratrol Ameliorates High Altitude Hypoxia-Induced Osteoporosis by Suppressing the ROS/HIF Signaling Pathway. Molecules. 2022; 27(17):5538. https://doi.org/10.3390/molecules27175538
Chicago/Turabian StyleYan, Changqing, Zirou Wang, Weili Liu, Lingling Pu, Ran Li, Chongyi Ai, Hongbao Xu, Baoyi Zhang, Tianhui Wang, Xiangyu Zhang, and et al. 2022. "Resveratrol Ameliorates High Altitude Hypoxia-Induced Osteoporosis by Suppressing the ROS/HIF Signaling Pathway" Molecules 27, no. 17: 5538. https://doi.org/10.3390/molecules27175538
APA StyleYan, C., Wang, Z., Liu, W., Pu, L., Li, R., Ai, C., Xu, H., Zhang, B., Wang, T., Zhang, X., Chen, Z., & Wang, X. (2022). Resveratrol Ameliorates High Altitude Hypoxia-Induced Osteoporosis by Suppressing the ROS/HIF Signaling Pathway. Molecules, 27(17), 5538. https://doi.org/10.3390/molecules27175538
