Pyrimidines-Based Heterocyclic Compounds: Synthesis, Cytoxicity Evaluation and Molecular Docking
Abstract
1. Introduction
2. Results and Discussion
2.1. Chemistry
2.2. Cytotoxicity and Anticancer Activity
2.3. Physicochemical Properties
2.4. Molecular Docking
3. Materials and Methods
3.1. Instruments and Apparatus
3.2. Molecular Docking
3.3. Cell Lines and Reagents
3.4. Cytotoxicity Evaluation Using Viability Assay
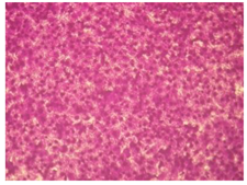
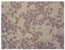
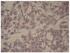
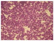
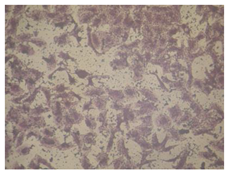
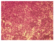
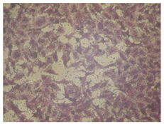
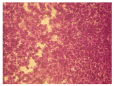
3.5. Microscopic Observation of the Tumor and Normal Cells Treated with the Purified Compounds
3.6. Synthesis of Pyrimidines 1–6
3.6.1. 2-Thio-6-oxo-4-phenyl-1,6-dihydropyrimidine-5-carbonitrile (1)
3.6.2. 2-Hydrazino-6-oxo-4-phenyl-1,6-dihydropyrimidine-5-carbonitrile (2)
3.6.3. 2-(2-Arylidenehydrazinyl)-6-oxo-4-phenyl-1,6-dihydropyrimidine-5-carbonitrile (3a–i, 4)
2-(2-Benzylidenehydrazinyl)-6-oxo-4-phenyl-1,6-dihydropyrimidine-5-carbonitrile (3a)
2-(2-(4-Bromobenzylidene)hydrazinyl)-6-oxo-4-phenyl-1,6-dihydropyrimidine-5-carbonitri-le (3b)
2-(2-(4-Chlorobenzylidene)hydrazinyl)-6-oxo-4-phenyl-1,6-dihydropyrimidine-5-carbonitri-le (3c)
2-(2-(2-Chlorobenzylidene)hydrazinyl)-6-oxo-4-phenyl-1,6-dihydropyrimidine-5-carbonitri-le (3d)
2-(2-(2-Methylbenzylidene)hydrazinyl)-6-oxo-4-phenyl-1,6-dihydropyrimidine-5-carboni-trile (3e)
2-(2-(3-Methoxybenzylidene)hydrazinyl)-6-oxo-4-phenyl-1,6-dihydropyrimidine-5-carbo-nitrile (3f)
2-(2-(4-Hydroxybenzylidene)hydrazinyl)-6-oxo-4-phenyl-1,6-dihydropyrimidine-5-carboni-trile (3g)
6-Oxo-4-phenyl-2-(2-(3-phenylallylidene)hydrazinyl)-1,6-dihydropyrimidine-5-carbonitrile (3h)
2-(2-(4-Nitrobenzylidene)hydrazinyl)-6-oxo-4-phenyl-1,6-dihydropyrimidine-5-carbonitrile (3i)
Synthesis of 6-Oxo-2-(2-(isatin-3-ylidene)hydrazinyl)-4-phenyl-1,6-dihydropyrimidine-5-carbonitrile (4)
3.6.4. 6-Oxo-3,4,8-triphenyl-4,6-dihydro-1H-pyrimido[2,1-c]-1,2,4-triazine-7-carbonitrile (5)
3.6.5. Synthesis of 3-Hydroxy-6-oxo-8-phenyl-2,6-dihydro-1H-pyrimido[2,1-c]-1,2,4-triazine-7-carbonitrile (6)
4. Conclusions
Author Contributions
Funding
Institutional Review Board Statement
Informed Consent Statement
Data Availability Statement
Conflicts of Interest
Sample Availability
References
- Sirakanyan, S.N.; Spinelli, D.; Geronikaki, A.; Kartsev, V.A.; Hakobyan, E.K.; Hovakimyan, A.A. Synthesis of new derivatives of heterocyclic systems containing triazolopyrimidine, thiazolo[3,2-a]pyrimidine and pyrimido[2,1-b]thiazine moiety showing promising antimicrobial activity. Curr. Org. Chem. 2018, 22, 2576–2588. [Google Scholar] [CrossRef]
 - Shahi, M.N.; Perveen, N.; Khan, M.N.; Khakwani, S.; Khan, M.A. Triazolopyrimidines: Synthesis of aryl-1,2,4-triazolo[1,5-a]pyrimidines by Doebner-Miller reaction and their antibacterial activity. Asian J. Chem. 2016, 28, 2665–2669. [Google Scholar] [CrossRef]
 - Chen, Q.; Zhu, X.-L.; Jiang, L.-L.; Liu, Z.-M.; Yang, G.-F. Synthesis, antifungal activity and CoMFA analysis of novel 1,2,4-triazolo[1,5-a]pyrimidine derivatives. Eur. J. Med. Chem. 2008, 43, 595–603. [Google Scholar] [CrossRef] [PubMed]
 - Ma, Y.-C.; Yu, Y.-H.; Hou, G.-F.; Huang, J.-H.; Gao, J.-S. Synthesis, crystal structure and herbicidal activity of a series of [1,2,4]triazolo[1,5-a]pyrimidine-2-sulfonamide compounds. Heterocycles 2016, 92, 829–843. [Google Scholar] [CrossRef]
 - Nettekoven, M.; Adam, J.-M.; Bendels, S.; Bissantz, C.; Fingerle, J.; Grether, U.; Gruener, S.; Guba, W.; Kimbara, A.; Ottaviani, G.; et al. Novel triazolopyrimidine-derived cannabinoid receptor 2 agonists as potential treatment for inflammatory kidney diseases. ChemMedChem 2016, 11, 179–189. [Google Scholar] [CrossRef]
 - Gajera, S.B.; Mehta, J.V.; Patel, M.N. Design of Multifunctional IridiumIII Compounds as a Potential Therapeutic Agents from Basic Molecular Scaffolds. Chem. Sel. 2016, 1, 3966–3973. [Google Scholar] [CrossRef]
 - Zuniga, E.S.; Korkegian, A.; Mullen, S.; Odingo, J.; Hembre, E.J.; Cortez, G.; Cramer, J.; Masquelin, T.; Hipskind, P.A.; Ornstein, P.L.; et al. The synthesis and evaluation of triazolopyrimidines as anti-tubercular agents. Bioorg. Med. Chem. 2017, 25, 3922–3946. [Google Scholar] [CrossRef]
 - Wisniewska, J.; Fandzloch, M.; Lakomska, I. The reduction of ruthenium(III) complexes with triazolopyrimidine ligands by ascorbic acid and mechanistic insight into their action in anticancer therapy. Inorg. Chim. Acta 2019, 484, 305–310. [Google Scholar] [CrossRef]
 - Guan, L.-P.; Sui, X.; Chang, Y.; Yan, Z.-S.; Tong, G.-Z.; Qu, Y.-L. Design, synthesis and anticonvulsant activity evaluation of 7-substituted -[1,2,4]-triazolo[4,3-f]pyrimidine derivatives. Med. Chem. 2012, 8, 1076–1083. [Google Scholar] [CrossRef]
 - Ramirez-Macias, I.; Maldonado, C.R.; Marin, C.; Olmo, F.; Gutierrez-Sanchez, R.; Rosales, M.J.; Quiros, M.; Salas, J.M.; Sanchez-Moreno, M. In vitro anti-leishmania evaluation of nickel complexes with a triazolopyrimidine derivative against Leishmania infantum and Leishmania braziliensis. J. Inorg. Biochem. 2012, 112, 1–9. [Google Scholar] [CrossRef]
 - Ali, K.A.; Ragab, E.A.; Farghaly, T.A.; Abdalla, M.M. Synthesis of new functionalized 3-substituted [1,2,4]triazolo[4,3-α]pyrimidine derivatives: Potential antihypertensive agents. Acta Pol. Pharm. 2011, 68, 237–247. [Google Scholar] [PubMed]
 - Zhang, Z.; Xie, J.; Zhu, M.; Xue, D.; Liu, Q. Diaryl-1,2,4-triazolo[4,3-a]pyrimidine Heterocyclic Compounds and Their Preparation, Pharmaceutical Compositions and Use in the Treatment of Vascular Diseases and Hypertension. CN101735221A, 16 June 2010. [Google Scholar]
 - Lakomska, I.; Jakubowski, M.; Barwiolek, M.; Muziol, T. Different bonding of triazolopyrimidine to platinum(IV). Structural and in vitro cytotoxicity studies. Polyhedron 2019, 160, 123–129. [Google Scholar] [CrossRef]
 - Fandzloch, M.; Lakomska, I. New Dimethyl Sulfoxide Ruthenium(III) Complex with 5,7-di-tert-butyl[1,2,4]triazolo[1,5-a]pyrimidine and Method for production thereof. PL229322B1, 31 July 2018. [Google Scholar]
 - Lotinun, S.; Sibonga, J.D.; Turner, R.T. Triazolopyrimidine (trapidil), a platelet-derived growth factor antagonist, inhibits parathyroid bone disease in an animal model for chronic hyperparathyroidism. Endocrinology 2003, 144, 2000–2007. [Google Scholar] [CrossRef] [PubMed][Green Version]
 - Van Roosbroeck, Y.E.M.; Buijnsters, P.J.J.A.; Tresadern, G.; Jacoby, E.; Oehlrich, D.; Gijsen, H.J.M. [1,2,4]Triazolo[1,5-a]pyrimidine Compounds as PDE2 Inhibitors and Their Preparation. WO2018083103A1, 11 May 2018. [Google Scholar]
 - Yang, F.; Yu, L.-Z.; Diao, P.-C.; Jian, X.-E.; Zhou, M.-F.; Jiang, C.-S.; You, W.-W.; Ma, W.-F.; Zhao, P.-L. Novel [1,2,4] triazolo [1,5-a] pyrimidine derivatives as potent antitubulin agents: Design, multicomponent synthesis and antiproliferative activities. Bioorg. Chem. 2019, 92, 103260. [Google Scholar] [CrossRef] [PubMed]
 - Tian, C.; Chen, X.; Zhang, Z.; Wang, X.; Liu, J. Design and synthesis of (2-(phenylamino) thieno [3,2-d] pyrimidin-4-yl)(3,4,5-trimethoxyphenyl) methanone analogues as potent anti-tubulin polymerization agents. Eur. J. Med. Chem. 2019, 183, 111679. [Google Scholar] [CrossRef] [PubMed]
 - Singla, P.; Luxami, V.; Singh, R.; Tandon, V.; Paul, K. Novel pyrazolo [3,4-d] pyrimidine with 4-(1H-benzimidazol-2-yl)-phenylamine as broad spectrum anticancer agents: Synthesis, cell based assay, topoisomerase inhibition, DNA intercalation and bovine serum albumin studies. Eur. J. Med. Chem. 2017, 126, 24–35. [Google Scholar] [CrossRef] [PubMed]
 - Zhang, H.; Wang, J.; Zhao, H.-Y.; Yang, X.-Y.; Lei, H.; Xin, M.; Cao, Y.-X.; Zhang, S.-Q. Synthesis and biological evaluation of irreversible EGFR tyrosine kinase inhibitors containing pyrido [3,4-d] pyrimidine scaffold. Biorg. Med. Chem. 2018, 26, 3619–3633. [Google Scholar] [CrossRef]
 - Ibrahim, M.A.; Abou-Seri, S.M.; Hanna, M.M.; Abdalla, M.M.; El Sayed, N.A. Design, synthesis and biological evaluation of novel condensed pyrrolo [1,2-c] pyrimidines featuring morpholine moiety as PI3Kα inhibitors. Eur. J. Med. Chem. 2015, 99, 1–13. [Google Scholar] [CrossRef]
 - Liu, Y.; Xia, Q.; Fang, L. Design and synthesis of alkyl substituted pyridino [2,3-D] pyrimidine compounds as PI3Kα/mTOR dual inhibitors with improved pharmacokinetic properties and potent in vivo antitumor activity. Biorg. Med. Chem. 2018, 26, 3992–4000. [Google Scholar] [CrossRef]
 - Li, S.; Guo, C.; Zhao, H.; Tang, Y.; Lan, M. Synthesis and biological evaluation of 4-[3-chloro-4-(3-fluorobenzyloxy) anilino]-6-(3-substituted-phenoxy) pyrimidines as dual EGFR/ErbB-2 kinase inhibitors. Biorg. Med. Chem. 2012, 20, 877–885. [Google Scholar] [CrossRef]
 - Li, J.; Gu, W.; Bi, X.; Li, H.; Liao, C.; Liu, C.; Huang, W.; Qian, H. Design, synthesis, and biological evaluation of thieno [2,3-d] pyrimidine derivatives as novel dual c-Met and VEGFR-2 kinase inhibitors. Biorg. Med. Chem. 2017, 25, 6674–6679. [Google Scholar] [CrossRef] [PubMed]
 - Long, L.; Luo, Y.; Hou, Z.-J.; Ma, H.-J.; Long, Z.-J.; Tu, Z.-C.; Huang, L.-J.; Liu, Q.; Lu, G. Synthesis and biological evaluation of aurora kinases inhibitors based on N-trisubstituted pyrimidine scaffold. Eur. J. Med. Chem. 2018, 145, 805–812. [Google Scholar] [CrossRef] [PubMed]
 - Deng, J.; Gou, Y.; Chen, W.; Fu, X.; Deng, H. The Cu/ligand stoichiometry effect on the coordination behavior of aroyl hydrazone with copper (II): Structure, anticancer activity and anticancer mechanism. Biorg. Med. Chem. 2016, 24, 2190–2198. [Google Scholar] [CrossRef] [PubMed]
 - Sreenivasulu, R.; Reddy, K.T.; Sujitha, P.; Kumar, C.G.; Raju, R.R. Synthesis, antiproliferative and apoptosis induction potential activities of novel bis (indolyl) hydrazide-hydrazone derivatives. Biorg. Med. Chem. 2019, 27, 1043–1055. [Google Scholar] [CrossRef] [PubMed]
 - Ettridge, K.; Bowden, J.; Chambers, S.; Smith, D.; Murphy, M.; Evans, S.; Roder, D.; Miller, C. “Prostate cancer is far more hidden…”: Perceptions of stigma, social isolation and help-seeking among men with prostate cancer. Eur. J. Cancer Care 2018, 27, e12790. [Google Scholar] [CrossRef]
 - Msaouel, P.; Pissimissis, N.; Halapas, A.; Koutsilieris, M. Mechanisms of bone metastasis in prostate cancer: Clinical implications. Best Prac. Res. Clin. Endocrinol. Metab. 2008, 22, 341–355. [Google Scholar] [CrossRef]
 - Beer, T.M.; Armstrong, A.J.; Rathkopf, D.E.; Loriot, Y.; Sternberg, C.N.; Higano, C.S.; Iversen, P.; Bhattacharya, S.; Carles, J.; Chowdhury, S. Enzalutamide in metastatic prostate cancer before chemotherapy. N. Engl. J. Med. 2014, 371, 424–433. [Google Scholar] [CrossRef]
 - Omar, A.Z.; Alshaye, N.A.; Mosa, T.M.; El-Sadany, S.K.; Hamed, E.A.; El-Atawy, M.A. Synthesis and Antimicrobial Activity Screening of Piperazines Bearing N, N′-Bis (1,3,4-thiadiazole) Moiety as Probable Enoyl-ACP Reductase Inhibitors. Molecules 2022, 27, 3698. [Google Scholar] [CrossRef] [PubMed]
 - Singh, R.; Letai, A.; Sarosiek, K. Regulation of apoptosis in health and disease: The balancing act of BCL-2 family proteins. Nat. Rev. Mol. Biol. 2019, 20, 175–193. [Google Scholar] [CrossRef]
 - Wen, M.; Deng, Z.-k.; Jiang, S.-l.; Guan, Y.-d.; Wu, H.-z.; Wang, X.-l.; Xiao, S.-s.; Zhang, Y.; Yang, J.-m.; Cao, D.-s. Identification of a novel Bcl-2 inhibitor by ligand-based screening and investigation of its anti-Cancer effect on human breast Cancer cells. Front. Pharmacol. 2019, 10, 391. [Google Scholar] [CrossRef]
 - Brindisi, M.; Maramai, S.; Brogi, S.; Fanigliulo, E.; Butini, S.; Guarino, E.; Casagni, A.; Lamponi, S.; Bonechi, C.; Nathwani, S.M. Development of novel cyclic peptides as pro-apoptotic agents. Eur. J. Med. Chem. 2016, 117, 301–320. [Google Scholar] [CrossRef] [PubMed]
 - Shi, Y.; Hellinga, H.W.; Beese, L.S. Interplay of catalysis, fidelity, threading, and processivity in the exo-and endonucleolytic reactions of human exonuclease I. Proc. Natl. Acad. Sci. USA 2017, 114, 6010–6015. [Google Scholar] [CrossRef] [PubMed]
 - Alley, M.C.; Scudiero, D.A.; Monks, A.; Hursey, M.L.; Czerwinski, M.J.; Fine, D.L.; Abbott, B.J.; Mayo, J.G.; Shoemaker, R.H.; Boyd, M.R. Feasibility of drug screening with panels of human tumor cell lines using a microculture tetrazolium assay. Cancer Res. 1988, 48, 589–601. [Google Scholar] [PubMed]
 - El Ashry, E.S.H.; El Kilany, Y.; Rashed, N.; Mousaad, A.; Assafir, H. Synthesis and Dimroth Rearrangement of 6-Cyano-l,2,4-triazolo-[4,3-a]pyrimidin-5- and 7-ones. A Novel Alkylation with Orthoesters and a New Participation of the Cyano Group in the Rearrangement. Z. Naturforsch. B 1998, 53, 1203. [Google Scholar] [CrossRef]
 






| Sample Code | IC50 Values (µM) | |||||
|---|---|---|---|---|---|---|
| PC3 | MRC-5 | HepG-2 | HCT-116 | MCF-7 | A-549 | |
| 2 | 258 | 532 | 99 | 180 | 236 | 264 | 
| 3a | 93 | 92 | 59 | 149 | 81 | 98 | 
| Vinblastine sulfate | 46 | 65 | 3 | 4 | 6 | 27 | 
| Sample Code | IC50 Values (µM) | CC50 Values (µM) | SI | 
|---|---|---|---|
| PC3 | MRC-5 | ||
| 2 | 258 ± 8 | 532 ± 14 | 2.05 | 
| 3a | 93± 2 | 92 ± 3 | 0.99 | 
| 3b | 21 ± 1 | 147 ± 4 | 7.06 | 
| 3c | 349 ± 9 | 675 ± 19 | 1.93 | 
| 3d | 17 ± 1 | 44 ± 1 | 2.52 | 
| 3e | 182 ± 5 | 428 ± 16 | 2.34 | 
| 3f | 88 ± 2 | 339 ± 11 | 3.85 | 
| 3g | 64 ± 3 | 311 ± 14 | 4.79 | 
| 3h | 44 ± 2 | 180 ± 9 | 4.07 | 
| 3i | 37 ± 2 | 82 ± 3 | 2.18 | 
| 4 | 603 ± 19 | 348 ± 11 | 0.57 | 
| 5 | 72 ± 2 | 263 ± 7 | 3.61 | 
| 6 | 208 ± 7 | 453 ± 13 | 2.17 | 
| Vinblastine sulfate | 46 ± 2 | 65 ± 2 | 1.40 | 
| Compound | PC3 Cell Line | MRC Cell Line | 
|---|---|---|
| Control (untreated cell lines)  | ![]()  | ![]()  | 
| 3b | ![]()  | ![]()  | 
| 3h | ![]()  | ![]()  | 
| 3g | ![]()  | ![]()  | 
| 3f | ![]()  | ![]()  | 
| 5 | ![]()  | ![]()  | 
| Lig. | Mwt | Log P | H-DON | H-ACC | Violation | TPSA | NROTB | Molecular Flexibility  | Drug-like Test  | Volume | Drug-Likeness | 
|---|---|---|---|---|---|---|---|---|---|---|---|
| 1 | 299.03 | 1.64 | 2 | 4 | 0 | 53.04 | 2 | 1.8622 | 1 | 249.29 | −1.23 | 
| 2 | 227.08 | 0.31 | 4 | 6 | 0 | 87.31 | 3 | 1.7890 | 1 | 237.36 | −0.34 | 
| 3a | 315.11 | 3.04 | 2 | 6 | 0 | 73.72 | 5 | 2.7396 | 1 | 331.01 | −0.17 | 
| 3b | 393.02 | 3.88 | 2 | 6 | 0 | 73.72 | 5 | 3.6955 | 1 | 352.86 | −0.21 | 
| 3c | 349.07 | 3.64 | 2 | 6 | 0 | 73.72 | 5 | 3.3676 | 1 | 348.20 | 0.17 | 
| 3d | 349.07 | 3.86 | 2 | 6 | 0 | 73.72 | 5 | 3.3676 | 1 | 345.68 | −0.29 | 
| 3e | 329.12 | 3.76 | 2 | 6 | 0 | 73.72 | 5 | 2.9469 | 1 | 350.04 | −0.27 | 
| 3f | 345.12 | 2.94 | 2 | 7 | 0 | 81.26 | 6 | 3.3298 | 1 | 362.93 | 0.027 | 
| 3g | 331.10 | 2.48 | 3 | 7 | 0 | 91.33 | 5 | 2.9469 | 1 | 341.56 | 0.13 | 
| 3h | 341.12 | 3.34 | 2 | 6 | 0 | 74.35 | 6 | 3.2671 | 1 | 372.32 | −0.16 | 
| 3i | 360.09 | 1.91 | 2 | 10 | 0 | 111.98 | 6 | 3.2318 | 1 | 356.64 | −0.22 | 
| 4 | 356.10 | 2.51 | 3 | 8 | 0 | 97.5295 | 4 | 2.5127 | 1 | 373.405 | 0.24 | 
| 6 | 267.07 | 0.07 | 3 | 7 | 0 | 87.8706 | 2 | 1.7558 | 1 | 290.454 | −1.15 | 
| 5 | 403.14 | 4.96 | 1 | 6 | 0 | 65.8184 | 4 | 3.0184 | 1 | 419.012 | −0.91 | 
| Lig. | S (kcal/mol) | Type of Interaction | Distance (Å) | Energy of Each Interaction (kcal/mol)  | 
|---|---|---|---|---|
| 1 | −4.9914 | H-acceptor (SER 60) | 3.27 | −4.3 | 
| H-acceptor (SER 60) | 3.23 | −1.6 | ||
| pi-cation (ARG 129) | 3.34 | −1.3 | ||
| 2 | −4.9809 | H-donor (GLN 118) | 3.63 | −0.7 | 
| H-acceptor (LEU 59) | 3.46 | −0.8 | ||
| H-acceptor (HIS 120) | 3.54 | 0.9 | ||
| H-acceptor (SER 60) | 3.02 | −4.8 | ||
| H-acceptor (SER 60) | 3.32 | −1.1 | ||
| 3a | −5.3829 | pi-H (GLU 136) | 3.64 | −0.9 | 
| pi-cation (LYS 58) | 4.67 | −1.0 | ||
| 3b | −5.4440 | H-acceptor (ARG 129) | 3.17 | −4.6 | 
| pi-H (LYS 58) | 3.85 | −0.6 | ||
| pi-cation (LYS 58) | 4.25 | −2.7 | ||
| 3c | −5.3305 | H-acceptor (SER 60) | 2.93 | −4.2 | 
| pi-H (LYS 58) | 4.60 | −0.8 | ||
| 3d | −5.4315 | pi-H (GLU 136) | 3.65 | −0.7 | 
| pi-cation (LYS 58) | 4.76 | −1.8 | ||
| 3e | −5.6008 | pi-H (GLU 136) | 3.65 | −0.9 | 
| pi-cation (LYS 58) | 4.68 | −1.0 | ||
| 3f | −5.4953 | H-acceptor (SER 60) | 2.94 | −4.6 | 
| H-acceptor (SER 60) | 3.13 | −0.9 | ||
| pi-H (LYS 58) | 4.56 | −0.6 | ||
| 3g | −5.4563 | H-acceptor (SER 60) | 2.93 | −4.2 | 
| pi-H (LYS 58) | 4.58 | −0.8 | ||
| 3h | −5.7320 | H-acceptor (HIS 120) | 3.54 | −2.4 | 
| 3i | −5.7240 | H-acceptor (HIS 120) | 3.07 | −2.8 | 
| pi-H (GLU 136) | 3.67 | −0.6 | ||
| pi-cation (LYS 58) | 4.79 | −1.0 | ||
| 4 | −5.7679 | H-acceptor (LYS 58) | 3.25 | −0.7 | 
| H-acceptor (LEU 59) | 3.02 | −1.8 | ||
| 5 | −5.8815 | pi-cation (ARG 129) | 3.31 | −1.2 | 
| 6 | −4.7931 | H-acceptor (SER 60) | 3.27 | −3.0 | 
Publisher’s Note: MDPI stays neutral with regard to jurisdictional claims in published maps and institutional affiliations.  | 
© 2022 by the authors. Licensee MDPI, Basel, Switzerland. This article is an open access article distributed under the terms and conditions of the Creative Commons Attribution (CC BY) license (https://creativecommons.org/licenses/by/4.0/).
Share and Cite
El-Atawy, M.A.; Alshaye, N.A.; Elrubi, N.; Hamed, E.A.; Omar, A.Z. Pyrimidines-Based Heterocyclic Compounds: Synthesis, Cytoxicity Evaluation and Molecular Docking. Molecules 2022, 27, 4912. https://doi.org/10.3390/molecules27154912
El-Atawy MA, Alshaye NA, Elrubi N, Hamed EA, Omar AZ. Pyrimidines-Based Heterocyclic Compounds: Synthesis, Cytoxicity Evaluation and Molecular Docking. Molecules. 2022; 27(15):4912. https://doi.org/10.3390/molecules27154912
Chicago/Turabian StyleEl-Atawy, Mohamed A., Najla A. Alshaye, Nada Elrubi, Ezzat A. Hamed, and Alaa Z. Omar. 2022. "Pyrimidines-Based Heterocyclic Compounds: Synthesis, Cytoxicity Evaluation and Molecular Docking" Molecules 27, no. 15: 4912. https://doi.org/10.3390/molecules27154912
APA StyleEl-Atawy, M. A., Alshaye, N. A., Elrubi, N., Hamed, E. A., & Omar, A. Z. (2022). Pyrimidines-Based Heterocyclic Compounds: Synthesis, Cytoxicity Evaluation and Molecular Docking. Molecules, 27(15), 4912. https://doi.org/10.3390/molecules27154912
        
                                                

       










