Effects of pH and Ionic Salts on the Emulsifying and Rheological Properties of Acorn Protein Isolate
Abstract
:1. Introduction
2. Materials and Methods
2.1. Acorn Flour Preparation
2.2. Protein Extraction from Flour
2.3. API Solubility
2.4. Emulsifying Activity Index (EAI) and Emulsifying Stability Index (ESI)
2.5. Emulsion Microphotograph
2.6. Droplets Mean Diameter
2.7. Concentration of API at the Oil–Water Interface
2.8. Composition of the Oil–Water Interface at SDS-PAGE
2.9. Emulsion Rheological Measurement
2.10. Statistical Analysis
3. Results and Discussion
3.1. API Solubility in the Presence of NaCl and CaCl2
3.2. EAI and ESI
3.3. Droplet Size and Emulsion Microscopy
3.4. Interfacial Protein Concentration (Г)
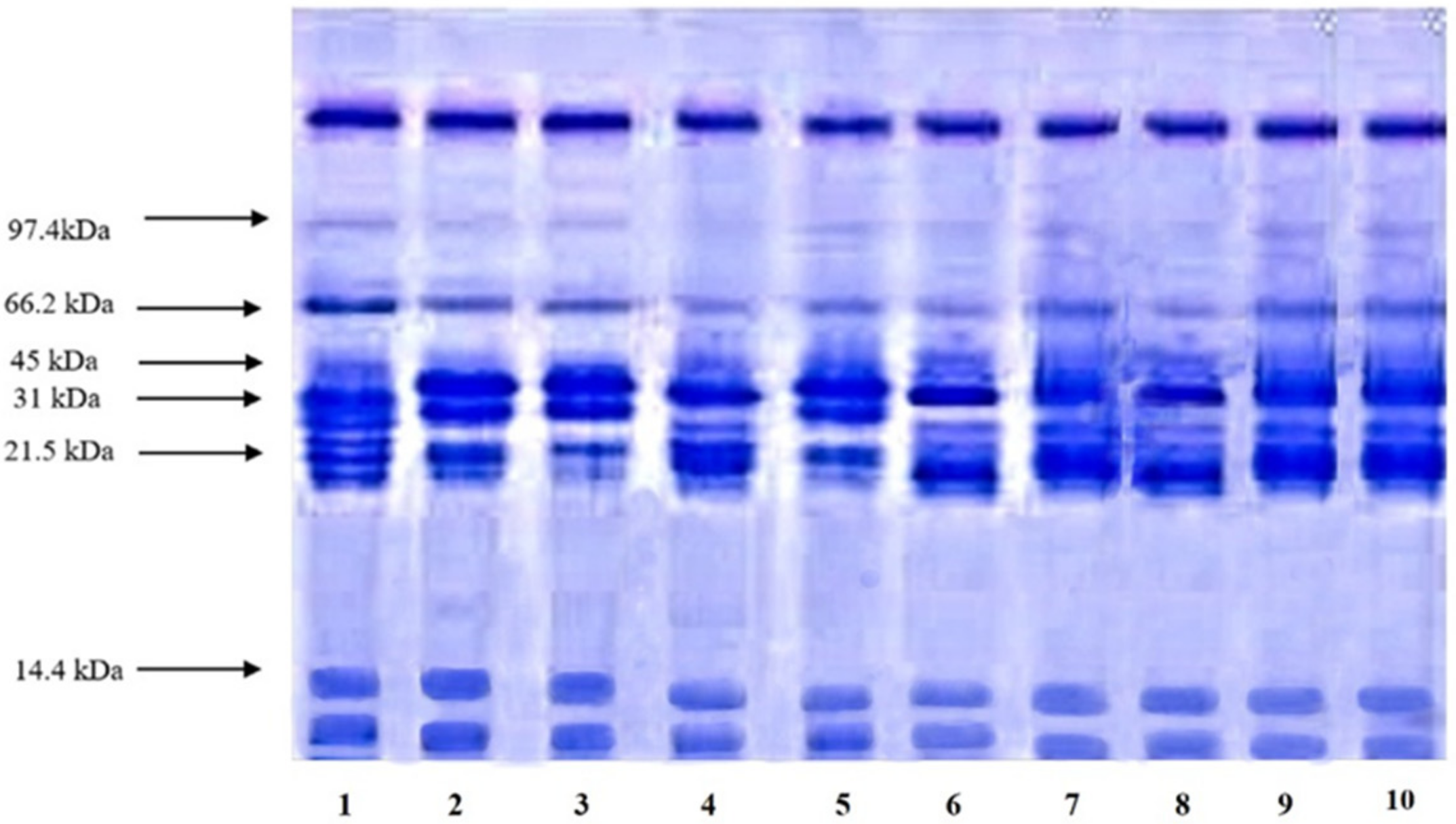
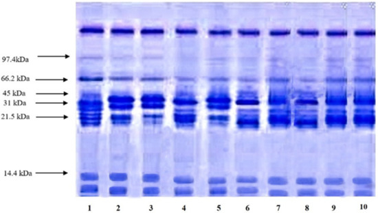
3.5. Interfacial Layer Composition at SDS-PAGE
3.6. Emulsion Rheological Properties
3.6.1. Rheological Behavior
3.6.2. Flow Behavior (n)
3.6.3. Viscosity
4. Conclusions
Author Contributions
Funding
Institutional Review Board Statement
Informed Consent Statement
Data Availability Statement
Acknowledgments
Conflicts of Interest
Sample Availability
References
- Zhang, W.; Liu, C.; Zhao, J.; Ma, T.; He, Z.; Huang, M.; Wang, Y. Modification of structure and functionalities of ginkgo seed proteins by pH-shifting treatment. Food Chem. 2021, 358, 129862. [Google Scholar] [CrossRef] [PubMed]
- De Silva, A.M.M.; Almeida, F.S.; Sato, A.C.K. Functional characterization of commercial plant proteins and their application on stabilization of emulsions. J. Food Eng. 2021, 292, 110277. [Google Scholar] [CrossRef]
- Zhou, L.; Zhang, J.; Xing, L.; Zhang, W. Applications and effects of ultrasound assisted emulsification in the production of food emulsions: A review. Trends Food Sci. Technol. 2021, 110, 493–512. [Google Scholar] [CrossRef]
- Tang, Y.R.; Ghosh, S. Stability and rheology of canola protein isolate-stabilized concentrated oil-in-water emulsions. Food Hydrocoll. 2021, 113, 106399. [Google Scholar] [CrossRef]
- Morales, D. Oak trees (Quercus spp.) as a source of extracts with biological activities: A narrative review. Trends Food Sci. Technol. 2021, 109, 116–125. [Google Scholar] [CrossRef]
- Taib, M.; Bouyazza, L. Composition, physicochemical properties, and uses of Acorn starch. J. Chem. 2021, 2021, 9988570. [Google Scholar] [CrossRef]
- Aziz, A.; Nasir, M.K.; Farman, A.; Zia, U.K.; Shujaat, A.; Abdul, K.J.; Noor, R.; Nawshad, M. Effect of protein and oil volume concentrations on emulsifying properties of acorn protein isolate. Food Chem. 2020, 324, 126894. [Google Scholar] [CrossRef]
- Tejerina, D.; García-Torres, S.; de Vaca, M.C.; Vázquez, F.M.; Cava, R. Acorns (Quercus rotundifolia Lam.) and grass as natural sources of antioxidants and fatty acids in the “montanera” feeding of Iberian pig: Intra-and inter-annual variations. Food Chem. 2011, 124, 997–1004. [Google Scholar] [CrossRef]
- Szyndler-Nędza, M.; Świątkiewicz, M.; Migdał, Ł.; Migdał, W. The Quality and Health-Promoting Value of Meat from Pigs of the Native Breed as the Effect of Extensive Feeding with Acorns. Animals 2021, 11, 789. [Google Scholar] [CrossRef]
- Saxena, J.; Adhikari, B.; Brkljaca, R.; Huppertz, T.; Zisu, B.; Chandrapala, J. Influence of Lactose on the Physicochemical Properties and Stability of Infant Formula Powders: A Review. Food Rev. Int. 2021, 1–15. [Google Scholar] [CrossRef]
- AOAC. Methods 932.06, 925.09, 985.29, 923.03. In Official Methods of Analysis of the AOAC, 15th ed.; Williams, S., Ed.; Association of Official Analytical Chemists: Arlington, VA, USA, 1984. [Google Scholar]
- Casella, M.L.A.; Whitaker, J.R. Stabilization of proteins by solvents. J. Food Biochem. 1990, 14, 453–475. [Google Scholar] [CrossRef]
- Peterson, G.L. A simplification of the protein assay method of Lowry et al., which is more generally applicable. Anal. Biochem. 1977, 83, 346–356. [Google Scholar] [CrossRef]
- Markwell, M.A.K.; Haas, S.M.; Bieber, L.L.; Tolbert, N.E. A modification of the lowry procedure to simplify protein determination in membrane and lipoprotein samples. Anal. Biochem. 1978, 87, 206–210. [Google Scholar] [CrossRef]
- Pearce, K.N.; Kinsella, J.E. Emulsifying properties of protein: Evaluation of a turbidimetric technique. J. Agric. Food Chem. 1978, 26, 716–772. [Google Scholar] [CrossRef]
- Walstra, P. Formation of Emulsion. In Encyclopedia of Emulsion Technology: Basic Theory; Becher, P., Ed.; Marcel Decker: New York, NY, USA, 1983; Volume 3, pp. 57–127. [Google Scholar]
- Patton, S.; Huston, G.E. A method for isolation of milk fat globules. Lipids 1986, 21, 170–174. [Google Scholar] [CrossRef] [PubMed]
- Laemmli, U.K. Cleavage of structural proteins during the assembly of the head of bacteriophage T4. Nature 1970, 27, 680–685. [Google Scholar] [CrossRef]
- Vojdani, J. Solubility. In Methods of Testing Protein Functionality; St. Edmundsbury Press: Glasgow, UK, 1996; pp. 11–60. [Google Scholar]
- Nahar, M.; Zakaria, Z.; Hashim, U.; Bari, M. Effect of pH and salt concentration on protein solubility of slaughtered and non-slaughtered broiler chicken meat. Sains Malays. 2017, 46, 719–724. [Google Scholar] [CrossRef]
- Mu, T.H.; Tan, S.S.; Xue, Y.L. The amino acid composition, solubility and emulsifying properties of sweet potato protein. Food Chem. 2009, 112, 1002–1005. [Google Scholar] [CrossRef]
- El Nasri, N.A.; El Tinay, A.H. Functional properties of fenugreek (Trigonella foenum graecum) protein concentrate. Food Chem. 2007, 103, 582–589. [Google Scholar] [CrossRef]
- Sarkar, A.; Singh, H. Emulsions and foams stabilized by milk proteins. In Advanced Dairy Chemistry; Springer: New York, NY, USA, 2016; pp. 133–153. [Google Scholar] [CrossRef]
- Dickinson, E. Proteins at interfaces and in emulsions stability, rheology and interactions. J. Chem. Soc. Farad. Trans. 1998, 94, 1657–1669. [Google Scholar] [CrossRef]
- Ebert, S.; Grossmann, L.; Hinrichs, J.; Weiss, J. Emulsifying properties of water-soluble proteins extracted from the microalgae Chlorella sorokiniana and Phaeodactylum tricornutum. Food Funct. 2019, 10, 754–764. [Google Scholar] [CrossRef]
- Zhong, Y.; Zhao, J.; Dai, T.; Ye, J.; Wu, J.; Chen, T.; Liu, C. Fabrication of Oil-in-Water emulsions with whey protein isolate–puerarin composites: Environmental stability and interfacial behavior. Foods 2021, 10, 705. [Google Scholar] [CrossRef]
- Li, M.; McClements, D.J.; Liu, X.; Liu, F. Design principles of oil-in-water emulsions with functionalized interfaces: Mixed, multilayer, and covalent complex structures. Compr. Rev. Food Sci. Food Saf. 2020, 19, 3159–3190. [Google Scholar] [CrossRef]
- Guo, X.; Zhang, Y.; Jamali, M.A.; Peng, Z. Manipulating interfacial behavior and emulsifying properties of myofibrillar proteins by L-Arginine at low and high salt concentration. Int. J. Food Sci. Technol. 2021, 56, 999–1012. [Google Scholar] [CrossRef]
- Pal, R. Effects of droplet size on the rheology of emulsions. AIChE J. 1996, 42, 3181–3190. [Google Scholar] [CrossRef]
- Drusch, S.; Klost, M.; Kieserling, H. Current knowledge on the interfacial behaviour limits our understanding of plant protein functionality in emulsions. Curr. Opin. Colloid. Interface Sci. 2021, 56, 101503. [Google Scholar] [CrossRef]
- Khan, N.M.; Mu, T.H.; Zhang, M.; Arogundade, L.A. The effects of pH and high hydrostatic pressure on the physicochemical properties of a sweet potato protein emulsion. Food Hydrocoll. 2014, 35, 209–216. [Google Scholar] [CrossRef]







| Herschel-Bulkey Factor | Distilled Water | Nacl | Cacl2 | |
|---|---|---|---|---|
| pH 3 | k (Pa sn) | 3.16 ± 0.73 | 7.09 ± 0.05 | 11.03 ± 1.62 |
| τc (Pa) | 65.71 ± 0.001 | 91.67 ± 0.19 | 87 ± 0.22 | |
| n | 0.51 ± 0.023 | 0.77 ± 0.014 | 0.83 ± 0.65 | |
| R2 | 0.9993 ± 0.0001 | 0.9991 ± 0.0001 | 0.9997 ± 0.0004 | |
| η (Pa s) 125 s−1 | 5.9 ± 0.93 | 4.6 ± 0.44 | 6.03 ± 0.001 | |
| pH 7 | k (Pa sn) | 9.09 ± 0.001 | 4.19 ± 0.001 | 8.08 ± 0.001 |
| τc (Pa) | 92.18 ± 0.21 | 63.59 ± 0.002 | 73.00 ± 0.001 | |
| n | 0.79 ± 0. 011 | 0.88 ± 0.001 | 0.91 ± 0.0.02 | |
| R2 | 0.9994 ± 0.0001 | 0.9998 ± 0.0002 | 0.9994 ± 0.0001 | |
| η (Pa s) 125 s−1 | 7.6 ± 0.44 | 4.8 ± 0.27 | 5.77 ± 0.001 | |
| pH 9 | k (Pa sn) | 6.07 ± 0.005 | 5.01 ± 0.001 | 7.09 ± 0.006 |
| τc (Pa) | 94.93 ± 0.015 | 69.92 ± 0.001 | 77 ± 0.003 | |
| n | 0.87 ± 0. 001 | 0.93 ± 0.002 | 0.91 ± 0.001 | |
| R2 | 0.9997 ± 0.0001 | 0.9997 ± 0.0001 | 0.9995 ± 0.0002 | |
| η (Pa s) 125 s−1 | 6.1 ± 0.217 | 5.00 ± 0.002 | 7.08 ± 0.001 |
Publisher’s Note: MDPI stays neutral with regard to jurisdictional claims in published maps and institutional affiliations. |
© 2022 by the authors. Licensee MDPI, Basel, Switzerland. This article is an open access article distributed under the terms and conditions of the Creative Commons Attribution (CC BY) license (https://creativecommons.org/licenses/by/4.0/).
Share and Cite
Khan, N.M.; Saeed, M.; Khan, F.A.; Ahmad, S.; Nawaz, M.A.; Khan, Z.U.; Shafique, M.; Almehmadi, M.; Abdulaziz, O.; Ullah, A. Effects of pH and Ionic Salts on the Emulsifying and Rheological Properties of Acorn Protein Isolate. Molecules 2022, 27, 3646. https://doi.org/10.3390/molecules27113646
Khan NM, Saeed M, Khan FA, Ahmad S, Nawaz MA, Khan ZU, Shafique M, Almehmadi M, Abdulaziz O, Ullah A. Effects of pH and Ionic Salts on the Emulsifying and Rheological Properties of Acorn Protein Isolate. Molecules. 2022; 27(11):3646. https://doi.org/10.3390/molecules27113646
Chicago/Turabian StyleKhan, Nasir Mehmood, Muhammad Saeed, Farman Ali Khan, Shujaat Ahmad, Muhammad Asif Nawaz, Zia Ullah Khan, Muhammad Shafique, Mazen Almehmadi, Osama Abdulaziz, and Abid Ullah. 2022. "Effects of pH and Ionic Salts on the Emulsifying and Rheological Properties of Acorn Protein Isolate" Molecules 27, no. 11: 3646. https://doi.org/10.3390/molecules27113646
APA StyleKhan, N. M., Saeed, M., Khan, F. A., Ahmad, S., Nawaz, M. A., Khan, Z. U., Shafique, M., Almehmadi, M., Abdulaziz, O., & Ullah, A. (2022). Effects of pH and Ionic Salts on the Emulsifying and Rheological Properties of Acorn Protein Isolate. Molecules, 27(11), 3646. https://doi.org/10.3390/molecules27113646

