In Vitro and In Vivo Antitumor Activity of Indolo[2,3-b] Quinolines, Natural Product Analogs from Neocryptolepine Alkaloid
Abstract
1. Introduction
2. Results and Discussion
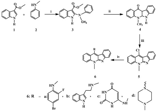
2.1. Chemistry
2.2. Assessment of Cytotoxic Activity In Vitro
2.3. In Vitro Antioxidant Activity of Indoloquinoline Derivatives
2.4. Short-Term Toxicity Study
2.5. Antitumor Activity: Percentage Reduction in Tumor Volume
2.6. Effect of Indoloquinoline Derivatives on Lipid Peroxidation and Antioxidant Enzymes
- Reducing the peroxidation of lipids by scavenging the free radicals;
- By increasing the level of antioxidant enzymes.
2.7. Effect of Indoloquinoline Derivatives on Splenic Lymphocyte Count
2.8. Lymphoproliferative Response to Phytohemagglutinin
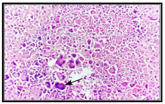
2.9. Effect of Indoloquinoline Analogs on Cell Cycle of EAC Cell
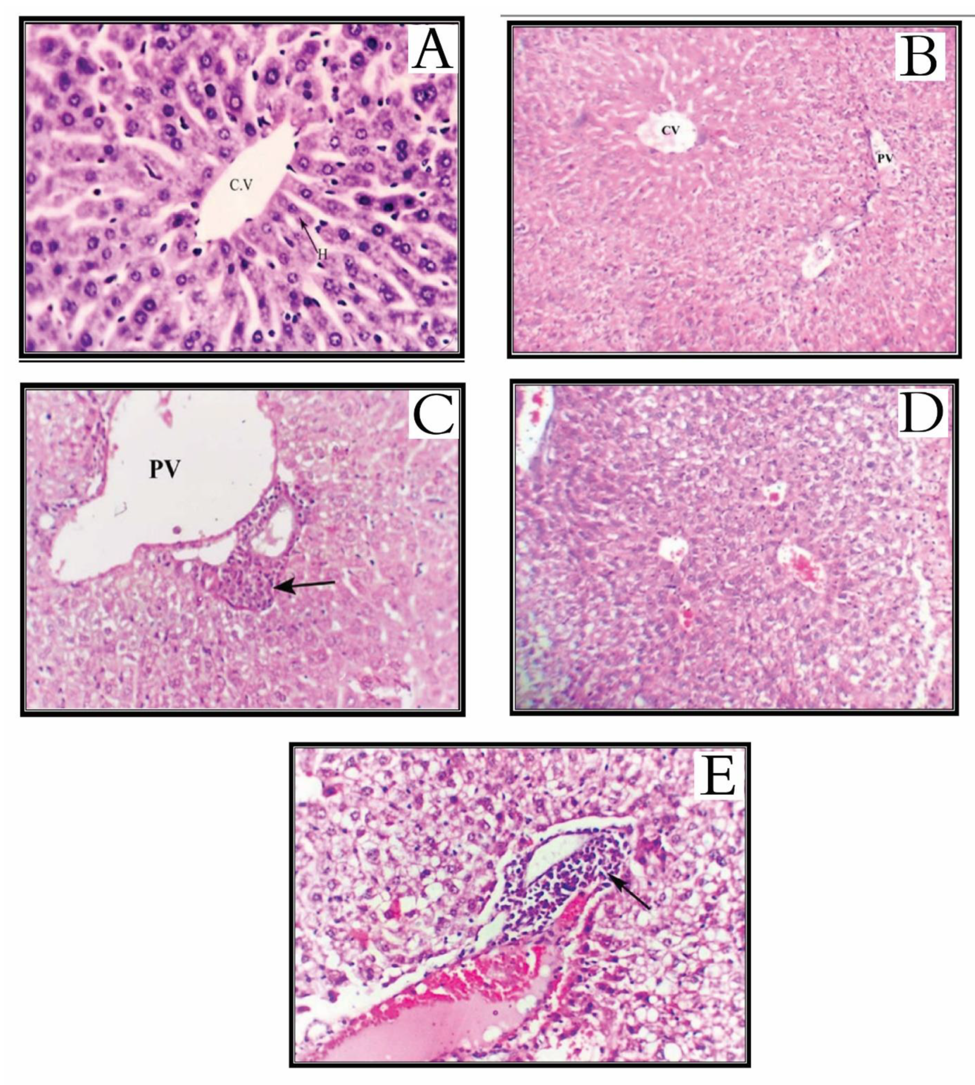
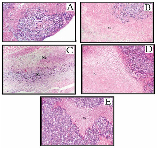
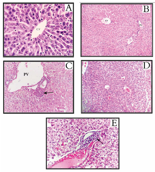
2.10. Histopathological Examination
3. Materials and Methods
3.1. Chemistry
3.1.1. General
3.1.2. 2-(Methylphenylamino)-1H-indole-3-carboxylic Acid Methyl-Ester (3)
3.1.3. 5-Methyl-5,6-dihydro-5H-indolo[2,3-b] Quinolin-11-one (4)
3.1.4. 11-Chloro-5-methyl-5H–indolo[2,3-b] Quinoline (5)
3.1.5. N-(4-Bromo-2-fluorophenyl)-5-methyl-5H-indolo[2,3-b] Quinolin-11-amine (6a)
3.1.6. N-(2-(1H-Indol-3-yl) ethyl)-5-methyl-5H-indolo[2,3-b] Quinolin-11-amine (6b)
3.1.7. 5(5-Methyl-5H-indolo[2,3-b] quinolin-11-ylamino) Pyrimidine-2,4(1H,3H)-dione (6c)
3.1.8. 5-Methyl-N-(4-methylpiperazin-1-yl)-5H-indolo[2,3-b] Quinolin-11-amine (6d)
3.2. Cytotoxic Activity
3.2.1. Tumor Cells
3.2.2. In Vitro Cancer Screening, Preparations, and Methodology
3.3. 2,2′-Diphenyl-1-picryl-hydrazyl (DPPH) Free Radical Scavenging Activity
3.4. Animals
3.5. Antitumor Activity
3.6. Estimation of Catalase, SOD, and Lipid Peroxidation Levels in Liver Homogenate
3.7. Immunological Studies
3.7.1. Isolation of Lymphocytes from Spleen
3.7.2. Trypan Blue Exclusion Test of Cell Viability
3.7.3. Lymphoproliferative to Phytohemagglutinin (PHA) Assay
3.8. Flow Cytometric Analysis of Compounds Effects on EAC Cells Cell Cycle Distribution
- The material was washed with isotone tris EDTA buffer. Then, the cell suspension was centrifuged at 1800 rpm for 10 min; the supernatant was then separated;
- The cell is then fixed in ice-cold 96–100% ethanol (BDH) in approximately 1 mL for each sample;
- Two milliliters of phosphate buffer solution (PBS) were used to wash the sample, which was recentrifuged at 1500 rpm for 5 min then the supernatant was thrown away;
- Granules of the Tumor cells were put back into suspension using 200–500 µL of PBS. Into polystyrene tube, 100 µL of the suspension was transferred and then stained with 1.5 mL of propidium iodide. The tube is kept at 4 °C in a dark place for one hour;
- The sample was run in the flow cytometer within 30 min after the addition of propidium iodide.
3.9. Histopathologic Examination
4. Conclusions
Supplementary Materials
Supplementary File 1Author Contributions
Funding
Institutional Review Board Statement
Informed Consent Statement
Data Availability Statement
Acknowledgments
Conflicts of Interest
Sample Availability
References
- Cancer Today. Available online: http://gco.iarc.fr/today/home (accessed on 19 May 2019).
- Kanda, Y.; Nakamura, H.; Umemiya, S.; Puthukanoori, R.K.; Murthy Appala, V.R.; Gaddamanugu, G.K.; Paraselli, B.R.; Baran, P.S. Two-Phase Synthesis of Taxol. J. Am. Chem. Soc. 2020, 142, 10526–10533. [Google Scholar] [CrossRef] [PubMed]
- Jake, Y. Synthesis of Taxol’s complicated cousin. Science 2020, 367, 637-b. [Google Scholar]
- Suresh Kumar, E.V.; Etukala, J.R.; Ablordeppey, S.Y. Indolo[3,2-b] quinolines: Synthesis, biological evaluation, and structure activity-relationships. Mini. Rev. Med. Chem. 2008, 8, 538–554. [Google Scholar] [CrossRef] [PubMed]
- Willcox, M. Improved Traditional Phytomedicines in Current Use for the Clinical Treatment of Malaria. Planta Med. 2011, 77, 662–671. [Google Scholar] [CrossRef] [PubMed]
- Pousset, J.L.; Martin, M.T.; Jossang, A.; Bodo, B. Isocryptolepine from Cryptolepis sanguinolenta. Phytochemistry 1995, 39, 735–736. [Google Scholar] [CrossRef]
- Cimanga, K.; Bruyne, T.; De Pieters, L.; Claeys, M.; Vlietinck, A. New alkaloids from Cryptolepis sanguinolenta. Tetrahedron Lett. 1996, 37, 1703–1706. [Google Scholar] [CrossRef]
- T Parvatkar, P.; S Parameswaran, P.; G Tilve, S. Isolation, Biological Activities and Synthesis of Indoloquinoline Alkaloids: Cryptolepine, Isocryptolepine and Neocryptolepine. Curr. Org. Chem. 2011, 15, 1036–1057. [Google Scholar] [CrossRef]
- Ahmed, A.A.; Awad, H.M.; El-Sayed, I.E.-T.; El Gokha, A.A. Synthesis and antiproliferative activity of new hybrids bearing neocryptolepine, acridine and α- aminophosphonate scaffolds. J. Iran. Chem. Soc. 2020, 17, 1211–1221. [Google Scholar] [CrossRef]
- Wang, N.; Switalska, M.; Wang, L.; Shaban, E.; Hossain, I.; El-Sayed, I.E.-T.; Wietrzyk, J.; Inokuchi, T. Structural Modifications of Nature-Inspired Indoloquinolines: A Mini Review of Their Potential Antiproliferative Activity. Molecules 2019, 24, 2121. [Google Scholar] [CrossRef]
- Shaban, E.; Switalska, M.; Wang, L.; Wang, N.; Xiu, F.; Hayashi, I.; Ngoc, T.A.; Nagae, S.; El-Ghlban, S.; Shimoda, S.; et al. Synthesis and In Vitro Antiproliferative Activity of 11-Substituted Neocryptolepines with a Branched ω-Aminoalkylamino Chain. Molecules 2017, 22, 1954. [Google Scholar] [CrossRef]
- Emam, S.M.; El-Sayed, I.E.-T.; Ayad, M.I.; Hathout, H.M. Synthesis, characterization and anticancer activity of new Schiff bases bearing neocryptolepine. J. Mol. Struct. 2017, 1146, 600–619. [Google Scholar] [CrossRef]
- El-Gokha, A.A.; Boshta, N.M.; El-Sayed, I.E.-T.; Hussein, M.K. Synthesis and structure-activity relationships of novel neocryptolepine derivatives. Chem. Res. Chin. Univ. 2017, 33, 373–377. [Google Scholar] [CrossRef]
- Sebeka, A.A.; Osman, A.M.; El-Sayed, I.E.-T.; El Bahanasawy, M.; Tantawy, M.A. Synthesis and Antiproliferative Activity of Novel Neocryptolepine-Hydrazides Hybrids. J. Appl. Pharm. Sci. 2017, 7, 009–015. [Google Scholar]
- Okada, M.; Mei, Z.W.; Hossain, I.; Wang, L.; Tominaga, T.; Takebayashi, T.; Murakami, M.; Yasuda, M.; El-Sayed, I.E.-T.; Shigehiro, T.; et al. Synthesis, and in vitro cancer cell growth inhibition evaluation of 11-amino-modified 5-Me-indolo[2,3-b] quinolines and their COMPARE analyses. Med. Chem. Res. 2016, 25, 879–892. [Google Scholar] [CrossRef]
- Emam, M.; El-Sayed, I.E.-T.; Nassar, N. Transition Metal Complexes of Neocryptolepine Analogues Part I: Synthesis, Spectroscopic Characterization, and In Vitro Anticancer Activity of Copper (II) Complexes. Spectrochim. Acta. A. Mol. Biomol. Spectrosc. 2015, 138, 942–953. [Google Scholar] [CrossRef]
- Wang, N.; Wicht, J.; Elkhabiry, S.; Tran, A.; Wang, M.-Q.; Hayashi, I.; Hossain, M.I.; Takemasa, Y.; Kaiser, M.; El-Sayed, I.E.-T.; et al. Synthesis and Evaluation of Artesunate—Indoloquinoline Hybrids as Antimalarial Drug Candidates. MedChemComm 2014, 5, 927–931. [Google Scholar] [CrossRef]
- Elkhabiry, S.; Wicht, J.; Wang, N.; Mei, Z.-W.; Hayashi, I.; El Gokha, A.; Kaiser, M.; El-Sayed, I.E.-T.; Egan, J.; Inokuchi, T. Synthesis and Antimalarial Activity of Some Neocryptolepine Analogues Carrying A Multifunctional Linear and Branched Carbon-Side Chains. Heterocycles 2015, 89, 1055–1064. [Google Scholar]
- Wang, L.; Lu, W.-J.; Odawara, T.; Misumi, R.; Mei, Z.-W.; Peng, W.; El-Sayed, I.E.-T.; Inokuchi, T. Improved Synthesis and Reaction of 11-Chloroneocryptolepines, Strategic Scaffold for Antimalaria Agent, and Their 6-Methyl Congener from Indole-3-carboxylate. J. Heterocycl. Chem. 2014, 51, 1106–1114. [Google Scholar] [CrossRef]
- Mei, Z.-W.; Wang, L.; Lu, W.-J.; Pang, C.-Q.; Maeda, T.; Peng, W.; Kaiser, M.; El-Sayed, I.E.-T.; Inokuchi, T. Synthesis and in Vitro Antimalarial Testing of Neocryptolepines: SAR Study for Improved Activity by Introduction and Modifications of Side Chains at C2 and C11 on Indolo[2,3-b]quinolines. J. Med. Chem. 2013, 56, 1431–1442. [Google Scholar] [CrossRef]
- Lu, W.-J.; Wicht, J.; Wang, L.; Imai, K.; Mei, Z.-W.; Kaiser, M.; El Sayed, I.E.-T.; Egan, J.; Inokuchi, T. Synthesis and antimalarial testing of neocryptolepine analogues: Addition of ester function in SAR study of 2,11-disubstituted indolo[2,3-b] quinolones. Eur. J. Med. Chem. 2013, 64, 498–511. [Google Scholar] [CrossRef]
- Inokuchi, T.; El-Sayed, I.E.-T.; Sasaki, K.; Mei, Z.; Wang, L.; Lu, W. Indoloquinoline Derivative as Antimalarial/Anticancer Agent and Method for the Preparation. Jpn. Kokai Tokkyo Koho. 2013, JP 2013107869 A 20130606. [Google Scholar]
- Wang, N.; Wicht, K.J.; Wang, L.; Lu, W.-J.; Misumi, R.; Wang, M.; El Gokha, A.; Kaiser, M.; El-Sayed, I.E.-T.; Egan, J.; et al. Synthesis and in Vitro Testing of Antimalarial Activity of Non-Natural-Type Neocryptolepines: Structure–Activity Relationship Study of 2,11- and 9,11-Disubstituted 6-Methylindolo[2,3-b] quinolones. Chem. Pharm. Bull. 2013, 61, 1282–1290. [Google Scholar] [CrossRef] [PubMed]
- Lu, W.-J.; Switalska, M.; Wang, L.; Yonezawa, M.; El-Sayed, I.E.-T.; Wietrzyk, J.; Inokuchi, T. In vitro Antiproliferative Activity of 11-Aminoalkylamino-Substituted 5H-indolo[2,3-b] quinolines; Improving Activity of Neocryptolepines by Installation of Ester Substituent. Med. Chem. Res. 2013, 22, 4492–4504. [Google Scholar] [CrossRef]
- Peng, W.; Świtalska, M.; Wang, L.; Mei, Z.-W.; Edazawa, Y.; Pang, C.-Q.; El-Sayed, I.E.-T.; Wietrzyk, J.; Inokuchi, T. Synthesis and in vitro antiproliferative activity of new 11-aminoalkylamino-substituted chromeno[2,3-b]indoles. Eur. J. Med. Chem. 2012, 58, 441–451. [Google Scholar] [CrossRef] [PubMed]
- Wang, L.; Świtalska, M.; Mei, Z.-W.; Lu, W.-J.; Takahara, Y.; Feng, X.-W.; El-Sayed, I.E.-T.; Wietrzyk, J.; Inokuchi, T. Synthesis and in vitro antiproliferative activity of new 11-aminoalkylamino-substituted 5H- and 6H-indolo[2,3-b]quinolines; structure–activity relationships of neocryptolepines and 6-methyl congeners. Bioorganic Med. Chem. 2012, 20, 4820–4829. [Google Scholar] [CrossRef]
- El Sayed, I.E.-T.; Ramzy, F.; William, S.; El Bahanasawy, M.; Abdel-Staar, M. Neocryptolepine Analogues Containing N-Substituted Side-Chains at C-11: Synthesis and Antischistosomicidal Activity. Med. Chem. Res. 2012, 21, 4219–4229. [Google Scholar] [CrossRef]
- El Bardicy, S.; El-Sayed, I.E.-T.; Yousif, F.; Van der Veken, P.; Haemers, A.; Augustyns, K.; Pieters, L. Schistosomicidal and Molluscicidal Activities of Aminoalkylamino Substituted Neo- and Norneocryptolepine Derivatives. Pharm. Biol. 2012, 50, 134–140. [Google Scholar] [CrossRef][Green Version]
- El Sayed, I.E.-T.; Van der Veken, P.; Dhooghe, L.; Hostyn, S.; Van Baelen, G.; Lemière, G.; Maes, B.U.; Cos, P.; Maes, L.; Joossens, J. Synthesis and Antiplasmodial Activity of Aminoalkyl- aminosubstituted Neocryptolepine Derivatives. J. Med. Chem. 2009, 52, 2979–2988. [Google Scholar]
- Bonjean, K.; De Pauw-Gillet, M.C.; Defresne, M.P.; Colson, P.; Houssier, C.; Dassonneville, L.; Bailly, C.; Greimers, R.; Wright, C.; Quetin-Leclercq, J.; et al. The DNA Intercalating Alkaloid Cryptolepine Interferes with Topoisomerase II and Inhibits Primarily DNA Synthesis in B16 Melanoma Cells. Biochemistry 1998, 37, 5136–5146. [Google Scholar] [CrossRef]
- Boddupally, P.V.; Hahn, S.; Beman, C.; De, B.; Brooks, T.A.; Gokhale, V.; Hurley, L.H. Anticancer Activity and Cellular Repression of c-MYC by the G-Quadruplex-Stabilizing 11-Piperazinylquindoline is Not Dependent on Direct Targeting of the G-Quadruplex in the c-MYC Promoter. J. Med. Chem. 2012, 55, 6076–6086. [Google Scholar] [CrossRef]
- Zhou, J.L.; Lu, Y.J.; Ou, T.M.; Zhou, J.M.; Huang, Z.S.; Zhu, X.F.; Du, C.J.; Bu, X.Z.; Ma, L.; Gu, L.Q.; et al. Synthesis and evaluation of quindoline derivatives as G-quadruplex inducing and stabilizing ligands and potential inhibitors of telomerase. J. Med. Chem. 2005, 48, 7315–7321. [Google Scholar] [CrossRef] [PubMed]
- Lu, Y.J.; Ou, T.M.; Tan, J.H.; Hou, J.Q.; Shao, W.Y.; Peng, D.; Sun, N.; Wang, X.D.; Wu, B.W.; Bu, X.Z.; et al. 5-N-methylated quindoline derivatives as telomeric G-quadruplex stabilizing ligands: Effects of 5-N positive charge on quadruplex binding affinity and cell proliferation. J. Med. Chem. 2008, 51, 6381–6392. [Google Scholar] [CrossRef] [PubMed]
- Zahran, M.A.; Salem, T.A.; Samaka, R.M.; Agwa, H.S.; Awad, A.R. Design, synthesis, and antitumor evaluation of novel thalidomide dithiocarbamate and dithioate analogs against Ehrlich ascites carcinoma-induced solid tumor in Swiss albino mice. Bioorganic Med. Chem. 2008, 16, 9708–9718. [Google Scholar] [CrossRef] [PubMed]
- Koch, H.P.; Czejka, M.J. Evidence for the intercalation of thalidomide into DNA: Clue to the molecular mechanism of thalidomide teratogenicity? Z. Naturforsch. C 1986, 41, 1057–1061. [Google Scholar] [CrossRef] [PubMed]
- Ghareeb, M.A.; Mohamed, T.; Saad, A.M.; Refahy, L.A.; Sobeh, M.; Wink, M. HPLC-DAD-ESI-MS/MS analysis of fruits from Firmiana simplex (L.) and evaluation of their antioxidant and antigenotoxic properties. J. Pharm. Pharmacol. 2018, 70, 133–142. [Google Scholar] [CrossRef]
- Ghareeb, M.; Sobeh, M.; Rezq, S.; El-Shazly, A.; Mahmoud, M.; Wink, M. HPLC-ESI-MS/MS profiling of polyphenolics of a leaf extract from Alpinia zerumbet (Zingiberaceae) and its anti-Inflammatory, anti-nociceptive, and antipyretic activities in vivo. Molecules 2018, 23, 3238. [Google Scholar] [CrossRef]
- Ghareeb, M.; Saad, A.; Ahmed, W.; Refahy, L.; Nasr, S. HPLC-DAD-ESI-MS/MS characterization of bioactive secondary metabolites from Strelitzia nicolai leaf extracts and their antioxidant and anticancer activities in vitro. Pharmacogn. Res. 2018, 10, 368. [Google Scholar] [CrossRef]
- Sobeh, M.; Mahmoud, M.F.; Hasan, R.A.; Abdelfattah, M.A.O.; Sabry, O.M.; Ghareeb, M.A.; El-Shazly, A.M.; Wink, M. Tannin-rich extracts from Lannea stuhlmannii and Lannea humilis (Anacardiaceae) exhibit hepatoprotective activities in vivo via enhancement of the anti-apoptotic protein Bcl-2. Sci. Rep. 2018, 8, 1–16. [Google Scholar] [CrossRef]
- Aliu, Y.O.; Nwude, N. Veterinary Pharmacology and Toxicology Experiments; A.B.U. Press: Zaria, Nigeria, 1982; pp. 104–110. [Google Scholar]
- El-khawaga, O.A.; Salem, T.A.; Elshal, M.F. Protective role of Egyptian propolis against tumor in mice. Clin. Chim. Acta. 2003, 318, 11–18. [Google Scholar] [CrossRef]
- Shirwaikar, A.; Rajendran, K.; Punithaa, I.S. In vitro antioxidant studies on the benzyl tetra isoquinoline alkaloid berberine. Biol. Pharm. Bull. 2006, 29, 1906–1910. [Google Scholar] [CrossRef]
- Ghareeb, M.A.; Saad, A.M.; Abdou, A.M.; Refahy, L.A.; Ahmed, W.S. A new kaempferol glycoside with antioxidant activity from Chenopodium ambrosioides growing in Egypt. Orient. J. Chem. 2016, 32, 3053–3061. [Google Scholar] [CrossRef]
- Ghareeb, M.A.; Ahmed, W.S.; Refahy, L.A.; Abdou, A.M.; Hamed, M.M.; Abdel-Aziz, M.S. Isolation and characterization of the bioactive phenolic compounds from Morus alba L. growing in Egypt. Pharmacol. Online 2016, 3, 157–167. [Google Scholar]
- Mohamed, F.; Tarek, A.; Mohamed, F.; Mohamed, O. Tannic acid potentially inhibits tumor growth, raises survival of mice bearing syngeneic tumor. J. Biochem. Mol. Biol. 2003, 21, 139–147. [Google Scholar]
- Papadopoulos, D.; Kimler, B.F.; Estes, C.; Durham, F. Growth delay effect of combined interstitial hyperthermia and branchy therapy in a rat solid tumor model. Anticancer Res. 1989, 9, 45. [Google Scholar]
- Okado-Matsumoto, A.; Fridovich, I. Subcellular Distribution of Superoxide Dismutases (SOD) in Rat Liver Cu, Zn-SOD IN MITOCHONDRIA. J. Biol. Chem. 2001, 276, 38388–38393. [Google Scholar] [CrossRef]
- Kakkar, P.; Das, B.; Viswanathan, P.N. A modified spectrophotometric assay of superoxide dismutase. Indian J. Biochem. Biophys. 1984, 21, 130–132. [Google Scholar]
- Aebi, H. The Psychology of Animal Learning; Packer, L., Ed.; Academic Press: New York, NY, USA, 1974; Volume 105, pp. 114–121. [Google Scholar]
- Weaver, P.; Cross, D. Isolation of lymphocyte from spleen. AACHT Lab. Man. Clin. Histocomp. 1981, 1, 5–11. [Google Scholar]
- Leffell, M.S. Assessment of Purity and Viability. In The ASHI Laboratory Manual, 2nd ed.; Falk, J.A., Goeken., N.E., Eds.; ASHI: Lenexa, Kansas, 1990. [Google Scholar]
- Colley, D.; Todd, C.; Lewis, A.; Goodgame, R.W. Immune respomses during human schistosomiassis mansoni. In-vitro non spexific suppression of phyto hemagglutinine responsivness induced by exposure to certain schistosomale preparation. J. Immunol. 1979, 122, 1447–1453. [Google Scholar]
- Lee, W.S.; Chen, R.J.; Wang, Y.J.; Tseng, H.; Jeng, J.H.; Lin, S.Y.; Liang, Y.C.; Chen, C.H.; Lin, C.H.; Lin, J.K.; et al. In vitro and in vivo studies of the anticancer action of terbinafine in human cancer cell lines. Int. J. Cancer. 2003, 106, 125–137. [Google Scholar] [CrossRef]
- Chong, L.-W.; Hsu, Y.-C.; Chiu, Y.-T.; Yang, K.-C.; Huang, Y.-T. Anti-Fibrotic Effects of Thalidomide on Hepatic Stellate Cells and Dimethylnitrosamine-Intoxicated Rats. J. Biomed. Sci. 2006, 13, 403–418. [Google Scholar] [CrossRef]
- Khan, M.S.; Dodson, A.R.; Heatley, M.K. Ki-67, oestrogen receptor, and progesterone receptor proteins in the human rete ovarii and in endometriosis. J. Clin. Pathol. 1999, 52, 517–520. [Google Scholar] [CrossRef] [PubMed]
- Baak. Mitosis in counting in tumors. J. Hum. Pathol. 1990, 21, 693–703. [Google Scholar]
- Staunton, M.; Gaffney, E. Tumor Type is a Determinant of Susceptibility to Apoptosis. Am. J. Clin. Pathol. 1995, 103, 300–307. [Google Scholar] [CrossRef] [PubMed]
- Sheridan, M.; West, C.; Copper, R.; Statford, I.; Longue, J.; Davidson, S.; Huter, K. Pretreatment apoptosis in carcinoma of the cervix correlates with changes in tumour oxygenation during radiotherapy. Br. J. Cancer 2000, 82, 1177. [Google Scholar] [CrossRef]







| Groups | IC50 (µM) |
|---|---|
| Thalidomide | 2.6 × 10−4 ± 0.76 |
| Neocryptolepine | 5.4 × 10−4 ± 0.65 |
| 6a | 1.7 × 10−4 ± 0.723 |
| 6b | 6.4 × 10−5 ± 0.76 |
| 6c | 3.3 × 10−4 ± 0.82 |
| 6d | 1.5 × 10−4 ± 0.86 |
| Groups. | DPPH IC50 (µM) 1,2 |
|---|---|
| Ascorbic acid | 4.2 × 10−5 ± 1.49 |
| Neocryptolepine | 1.6 × 10−4 ± 0.50 |
| 6a | 4.7 × 10−5 ± 4.26 |
| 6b | 4.2 × 10−5 ± 3.67 |
| 6c | 9.2 × 10−5 ± 2.16 |
| 6d | 3.3 × 10−5 ± 3.75 |
| Groups | No. of Animals | Dose (mg/kg) | No. of Death | % Mortality |
|---|---|---|---|---|
| 1 | 7 | 400 | 0 | 0 |
| 2 | 7 | 800 | 2 | 28.5 |
| 3 | 7 | 1200 | 4 | 57.1 |
| 4 | 7 | 1600 | 6 | 85.7 |
| 5 | 7 | 2000 | 7 | 100 |
| 6 | 7 | DMSO:saline (0.3/0.7) | 0 | 100 |
| Groups | Lipid Peroxidation (nmol MDA/g Tissue) | SOD (U/g Tissue) | CAT (KU/mg Tissue/s) |
|---|---|---|---|
| Normal | 249 ± 1.6 | 139.96 ± 0.86 | 7.05 ± 0.18 |
| 6a | 252.1 ± 7.2 | 139.4 ± 2.9 | 6.5 ± 0.39 |
| 6b | 247.96 ± 6.3 | 140.2 ± 1.9 | 5.7 ± 0.31 |
| 6c | 251.68 ± 11.9 | 138.6 ± 6.0 | 6.2 ± 0.30 |
| 6d | 248.69 ± 5.5 | 137.9 ± 3.9 | 6.1 ± 0.20 |
| Groups | Lipid Peroxidation (nmol MDA/g Tissue) | SOD (U/g Tissue) | CAT (KU/mg Tissue/s) |
|---|---|---|---|
| Normal | 249 ± 1.6 | 139.96 ± 0.86 | 7.05 ± 0.18 |
| Positive control | 413.4 ± 6.2 | 95.03 ± 3.73 | 4.1 ± 0.13 |
| Thalidomide | 330.2 ± 8.1 | 108.4 ± 10.2 | 5.8 ± 1.5 |
| 6a | 249.3 ± 2.1 * | 146.75 ± 2.11 * | 6.2 ± 0.14 * |
| 6b | 268.9 ± 2.8 * | 146.06 ± 3.11 * | 7.3 ± 0.16 * |
| 6c | 262.1 ± 1.9 * | 129.47 ± 1.38 * | 8.5 ± 0.34 * |
| 6d | 249.9 ± 2.2 * | 132.86 ± 0.55 * | 6.8 ± 0.12 * |
| Groups | Splenic Lymphocyte Number (106/mL) |
|---|---|
| Normal control | 14.7 ± 1.26 |
| 6a | 13.3 ± 1.08 |
| 6b | 12.97 ± 0.65 |
| 6c | 13.29 ± 1.12 |
| 6d | 12.8 ± 0.04 |
| Groups | Splenic Lymphocyte Number (106/mL) |
|---|---|
| Normal control | 14.7 ± 1.26 |
| Positive control | 3.7 ± 0.43 * |
| 6a | 20.0 ± 0.73 * |
| 6b | 14.8 ± 1.22 * |
| 6c | 17.0 ± 0.58 * |
| 6d | 17.0 ± 0.61 * |
| Groups | PHA Lymphoproliferative (cpm) |
|---|---|
| Normal control | 2.4 ± 0.15 |
| Positive control | 0.44 ± 0.07 |
| 6a | 2.4 ± 0.1 * |
| 6b | 1.8 ± 0.1 * |
| 6c | 2.3 ± 0.14 * |
| 6d | 2.3 ± 0.14 * |
| Groups | PHA Lymphoproliferative (cpm) |
|---|---|
| Normal control | 2.4 ± 0.15 |
| 6a | 2.4 ± 0.11 |
| 6b | 2.2 ± 0.21 |
| 6c | 2.3 ± 0.09 |
| 6d | 2.3 ± 0.12 |
| Groups | Apoptotic Cells (sub-G1) | Non-Apoptotic Cells | ||
|---|---|---|---|---|
| G0/G1 | S | G2/M | ||
| Positive control | 1.57 ± 0.02 | 76.87 ± 4.17 | 7.92 ± 0.43 | 15.21 ± 0.6 |
| 6a | 3.23 ± 0.01 * | 90.27 ± 6.35 * | 5.12 ± 0.36 * | 4.61 ± 0.6 * |
| 6b | 24.36 ± 0.01 *** | 78.44 ± 0.04 * | 2.35 ± 0.13 * | 19.21 ± 0.09 * |
| 6c | 12.30 ± 0.15 *** | 3.30 ± 0.15 *** | 40.50 ± 2.41 *** | 56.20 ± 0.1 *** |
| 6d | 16.88 ± 0.6 *** | 41.30 ± 0.31 * | 3.44 ± 0.27 * | 55.26 ± 0.06 *** |
Publisher’s Note: MDPI stays neutral with regard to jurisdictional claims in published maps and institutional affiliations. |
© 2021 by the authors. Licensee MDPI, Basel, Switzerland. This article is an open access article distributed under the terms and conditions of the Creative Commons Attribution (CC BY) license (http://creativecommons.org/licenses/by/4.0/).
Share and Cite
Altwaijry, N.; El-Ghlban, S.; El Sayed, I.E.-T.; El-Bahnsawye, M.; Bayomi, A.I.; Samaka, R.M.; Shaban, E.; Elmongy, E.I.; El-Masry, T.A.; Ahmed, H.M.A.; et al. In Vitro and In Vivo Antitumor Activity of Indolo[2,3-b] Quinolines, Natural Product Analogs from Neocryptolepine Alkaloid. Molecules 2021, 26, 754. https://doi.org/10.3390/molecules26030754
Altwaijry N, El-Ghlban S, El Sayed IE-T, El-Bahnsawye M, Bayomi AI, Samaka RM, Shaban E, Elmongy EI, El-Masry TA, Ahmed HMA, et al. In Vitro and In Vivo Antitumor Activity of Indolo[2,3-b] Quinolines, Natural Product Analogs from Neocryptolepine Alkaloid. Molecules. 2021; 26(3):754. https://doi.org/10.3390/molecules26030754
Chicago/Turabian StyleAltwaijry, Najla, Samah El-Ghlban, Ibrahim E.-T. El Sayed, Mohamed El-Bahnsawye, Asmaa I. Bayomi, Rehab M. Samaka, Elkhabiry Shaban, Elshaymaa I. Elmongy, Thanaa A. El-Masry, Hytham M. A. Ahmed, and et al. 2021. "In Vitro and In Vivo Antitumor Activity of Indolo[2,3-b] Quinolines, Natural Product Analogs from Neocryptolepine Alkaloid" Molecules 26, no. 3: 754. https://doi.org/10.3390/molecules26030754
APA StyleAltwaijry, N., El-Ghlban, S., El Sayed, I. E.-T., El-Bahnsawye, M., Bayomi, A. I., Samaka, R. M., Shaban, E., Elmongy, E. I., El-Masry, T. A., Ahmed, H. M. A., & Attallah, N. G. M. (2021). In Vitro and In Vivo Antitumor Activity of Indolo[2,3-b] Quinolines, Natural Product Analogs from Neocryptolepine Alkaloid. Molecules, 26(3), 754. https://doi.org/10.3390/molecules26030754

