Secondary Metabolite Profiling, Anti-Inflammatory and Hepatoprotective Activity of Neptunia triquetra (Vahl) Benth
Abstract
:1. Introduction
2. Results
2.1. Phytochemical Studies of N. triquetra (Roots, Stem and Leaves)
2.1.1. Analytical/Physiochemical Analysis
2.1.2. Powder Study
2.1.3. Qualitative Phytochemical Analysis
2.1.4. Chromatographic Studies
2.2. Biological Activity
2.2.1. Anti-Inflammatory Activity of N. triquetra
Effect on Carrageenan-Induced Rat Paw Edema
Effect on Cotton Pellet Granuloma in Rats
Effect on Exudate Volume, Neutrophil and Monocyte Count in Carrageenan-Induced Air-Pouch Inflammation
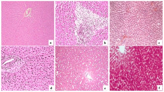
2.2.2. Hepatoprotective Activity of N. triquetra
Effect on Biochemical Parameters
Effect on GSH Level in Liver Tissues
3. Discussion
4. Materials and Methods
4.1. Collection and Identification of Plant Material
4.2. Preparation of Extracts
4.3. Phytochemical Studies
4.3.1. Analytical Methods
4.3.2. Powder Study
4.3.3. Qualitative Phytochemical Analysis
4.3.4. Gas Chromatography–High-Resolution Mass Spectrometric Analysis
4.4. Biological Activity
4.4.1. Determination of Anti-Inflammatory Activity of N. triquetra
Carrageenan–Induced Rat Paw Edema Method
Cotton Pellet-Induced Granuloma
Carrageenan-Induced Air-Pouch Model
4.4.2. Determination of Hepatoprotective Activity of N. triquetra
Administration and Dosage Preparation for Testing
Experimental Design
Biochemical Parameters
Glutathione Estimation
4.5. Data Analysis
5. Conclusions
Supplementary Materials
Author Contributions
Funding
Institutional Review Board Statement
Informed Consent Statement
Data Availability Statement
Acknowledgments
Conflicts of Interest
Sample Availability
References
- Verma, K.S.; Kurmi, L. Herbaceous flora of leguminosae family with special reference to medicinal herbs of Jabalpur District (M.P.). J. Environ. Soc. Sci. Res. 2014, 3, 24–27. [Google Scholar]
- Rothe, S.P.; Bathe, A.U. Comparative Leaf Anatomy of Sensitive Plants found in Akola District. Int. J. Pharm. Chem. Sci. 2014, 3, 496–500. [Google Scholar]
- Singh, N.; Lakshminarasimhan, P.; Karthikeyan, P.S.; Prasanna, P.V. Flora of Maharashtra State, Dicotyledones; BSI Publications: Calcutta, India, 2001. [Google Scholar]
- Saxena, A.P.; Vyas, K.M. Ethanobotanical records on infectious diseases from tribals of Banda districts. J. Eco. Tax. Bot. 1981, 2, 191–194. [Google Scholar]
- Sharma, M.; Kumar, A. Leguminosae (Fabaceae) in Tribal Medicines. J. Pharmacogn. Phytochem. 2013, 2, 276–283. [Google Scholar]
- Deshmukh, V.R.; Muratkar, G.D.; Rothe, S.P. Preliminary observation on the medicinal and economically important leguminous plant species from Amravati tehsil. J. Econ. Taxon. Bot. 1999, 23, 283–289. [Google Scholar]
- Verma, K.S.; Kurmi, L. Investigation on ethno medicinal remedies to cure diseases by tribes of eastern Madhya Pradesh with special reference to threat assessment of leguminosae family. JNKVV Res. J. 2013, 47, 260–262. [Google Scholar]
- Pandya, P.R. A Study of the Weed Flora of Some Cultivated Fields of Bharuch District. Ph.D. Thesis, Saurashtra University, Rajkot, India, 2009. Available online: https://etheses.saurashtrauniversity.edu/605/ (accessed on 29 November 2021).
- Subbiah, A. Science on the periphery enriches mainstream science, but at what cost? The case of Ethnobotany. Knowl. Policy 1995, 8, 68–84. [Google Scholar]
- Sirinamarattana, A.; Bavovada, R.; Pengsuparp, T.; Pongthananikorn, S. Pancreatic Lipase Inhibitory Activity of Thai Medicinal Plants. J. Pharmacol. Res. 2010, 3, 2402–2403. [Google Scholar]
- Gallin, J.I.; Goldstein, I.M.; Synderman, R. Inflammation: Basic Principles & Clinical Correlates, 2nd ed.; Raven Press: New York, NY, USA, 1992; pp. 56–78. ISBN 13-978-0881678802. [Google Scholar]
- Firestein, G.; Budd, R.; Gabriel, S.E.; McInnes, I.B.; O’Dell, J. Kelleys Text Book of Rheumatology, 9th ed.; W.D. Saunders: Philadelphia, PA, USA, 2012; ISBN 9781455737673. [Google Scholar]
- Jaeschke, H.; Gores, G.J.; Cederbaum, A.I.; Hinson, J.A.; Pessayre, D.; Lemasters, J.J. Mechanisms of hepatotoxicity. Toxicol. Sci. 2002, 65, 166–176. [Google Scholar] [CrossRef] [Green Version]
- Patel, T.; Roberts, L.R.; Jones, B.A.; Gores, G.J. Dysregulation of apoptosis as a mechanism of liver disease: An overview. Semin Liver Dis. 1998, 18, 105–114. [Google Scholar] [CrossRef] [PubMed]
- Mumoli, N.; Cei, M.; Cosimi, A. Drug-related hepatotoxicity. N. Engl. J. Med. 2006, 354, 2191–2193. [Google Scholar] [PubMed]
- Bénichou, C. Criteria of drug-induced liver disorders. Report of an international consensus meeting. J. Hepatol. 1990, 11, 272–276. [Google Scholar] [CrossRef]
- Handa, S.S.; Sharma, A.; Chakraborthi, K.K. Natural products and plants as liver protecting drugs. Fitoterapia 1986, 57, 307–357. [Google Scholar]
- Sandeep, C.; Mohammed, A.K.; Attimarad, M.; Padmashali, B.; Kulkarni, R.S.; Venugopala, R.; Odhav, B.; Katharigatta, N.V. Review on Chemistry of Natural and Synthetic Indolizines with their Chemical and Pharmacological Properties. J. Basic Clin. Pharma. 2017, 8, 49–60. [Google Scholar]
- Siddabathuni, A.; Dey, A.; De, S. GC-MS analysis of methanolic extract of Prosopisspicigera. Intern. J. Phytopharm. 2014, 5, 168–171. [Google Scholar]
- Karuppusamy, S.V.; Kamaraj, M. Phytochemical analysis of leaf extracts of Wattakakavolubilis by GC-MS method. IJPSR 2012, 3, 1867–1871. [Google Scholar]
- Gokhale, S.G.; Kokate, C.K.; Purohit, A.P. A Text Book of Pharmacognosy; Nirali Prakashan Publications: Pune, India, 2003. [Google Scholar]
- Del Prado-Audelo, M.; Cortés, L.H.; Caballero-Florán, I.H.; González-Torres, M.; Escutia-Guadarrama, L.; Bernal-Chávez, S.A.; Giraldo-Gomez, D.M.; Magaña, J.J.; Leyva-Gómez, G. Therapeutic Applications of Terpenes on Inflammatory Diseases. Front. Pharmacol. 2021, 12, 704197. [Google Scholar] [CrossRef] [PubMed]
- Passosa, G.F.; Fernandesa, E.S. Anti-inflammatory and anti-allergic properties of the essential oil and active compounds from Cordia verbenacea. J. Ethnopharm. 2007, 110, 323–333. [Google Scholar] [CrossRef]
- VijisaralElezabeth, D.; Arumugam, S. GC-MS analysis of bioactive constituents of indigoferasuffruticosa leaves. J. Chem. Pharm. Res. 2014, 6, 294–300. [Google Scholar]
- Fernandes, E.S.; Passos, G.F.; Medeiros, R.; da Cunha, F.M.; Ferreira, J.; Campos, M.M.; Pianowski, L.F.; Calixto, J.B. Anti-inflammatory effects of compounds alpha-humulene and trans-caryophyllene isolated from the essential oil of Cordia verbenacea. Eur. J. Pharm. 2007, 569, 228–236. [Google Scholar] [CrossRef]
- Ogunlesi, M.; Okiei, W.; Ofor, E.; Osibote, A.E. Analysis of the essential oil from the dried leaves of Euphorbia hirta Linn. (Euphorbiaceae), a potential medication for asthma. Afr. J. Biotech. 2009, 8, 7042–7050. [Google Scholar]
- Gopinath, S.; Sakthidevi, G.; Muthukumaraswamy, S.; Mohan, V.R. GCMS analysis of bioactive constituents of Hypericum mysorense (hypericaceae). J. Curr. Chem. Pharm. Sci. 2013, 3, 6–15. [Google Scholar]
- Nagalakshmi, M.A.H.; Murthy, K.S.R. Phytochemical Profile of Crude Seed Oil of Wrightiatinctoria R. BR. and Wrightiaarborea (Dennst.) Mabb. by GC-MS. Int. J. Pharm. Sci. Rev. Res. 2015, 31, 46–51. [Google Scholar]
- Maruthupandian, A.; Mohan, V.R. GC-MS analysis of some bioactive constituents of Pterocarpus marsupium Roxb. Intern. J. Chemtech. Res. 2011, 3, 1652–1657. [Google Scholar]
- Kala, S.M.J.; Balasubramanian, T.; Tresina-Soris, P.; Mohan, V.R. GC-MS determination of bioactive components of Eugenia singampattiana Bedd. Int. J. Chem. Tech. Res. 2011, 3, 1534–1537. [Google Scholar]
- Nagaraj, M.; Sunitha, S.; Aralakshmi, P.V. Effect of lupeol, a pentacyclic triterpene, on the lipid peroxidation and antioxidant Status in rat kidney after chronic Cadmium exposure. J. Appl. Toxicol. 2000, 20, 413–417. [Google Scholar] [CrossRef]
- Jenner, H.; Townsend, B.; Osbourn, A. Unraveling triterpene glycoside synthesis in plants: Phytochemistry and functional genomics join forces. Planta 2005, 220, 503–506. [Google Scholar] [CrossRef]
- Krishnanunni, K.; Senthilvel, P.; Ramaiah, S.; Anbarasu, A. Study of chemical composition and volatile compounds along with in-vitro assay of antioxidant activity of two medicinal rice varieties: Karungkuravai and Mappilai samba. J. Food Sci. Technol. 2015, 52, 2572–2584. [Google Scholar] [CrossRef] [Green Version]
- de Almeida, P.D.O.; Boleti, A.P.A.; Rüdiger, A.L.; Lourenço, G.A.; da Veiga Junior, V.F.; Lima, E.S. Anti-inflammatory activity of triterpenes isolated from Protium paniculatum oil-resins. Evid.-Based Complement. Altern. Med. 2015, 11, 1–10. [Google Scholar] [CrossRef] [Green Version]
- Mary, J.S.P.; Dorothy, J. Bioactive compounds in cauliflower leaves (Brassica oleracea var .botrytis) Using GCMS. Intern. J. Recent Sci. Res. 2016, 7, 10459–10463. [Google Scholar]
- Oliveira, F.A.; Chaves, M.H.; Almeida, F.R.C.; Lima, R.C.P.; Silva, R.M.; Maia, J.L.; Brito Gerly, A.A.C.; Santos’, F.A.; Rao, V.S. Protective effect of α- and β-amyrin, a triterpene mixture from Protium heptaphyllum(Aubl.) March. trunk wood resin, against acetaminophen-induced liver injury in mice. J. Ethnopharmacol. 2005, 98, 103–108. [Google Scholar] [CrossRef]
- Küpeli, E.; Orhan, I.; Toker, G.; Yesilada, E. Antiinflammatory and antinociceptive potential of Maclurapomifera(Rafin.) Schneider fruit extracts and its major isoflavonoids, scandenone and auriculasin. J. Ethnopharmacol. 2006, 107, 169–174. [Google Scholar] [CrossRef]
- Phillips, S.; Rao, M.R.K.; Prabhu, K.; Priya, M.; Kalaivani, S.; Ravi, A.; Dinakar, S. Preliminary GC-MS analysis of an Ayurvedic medicine “KulathadiKashayam”. J. Chem. Pharm. Res. 2015, 7, 393–400. [Google Scholar]
- Raja-Rajeswari, N.; Rama-Lakshmi, S.; Muthuchelian, K. GC-MS Analysis of bioactive components from the ethanolic leaf extract of Canthiumdicoccum (Gaertn.) Teijsm&Binn. J. Chem. Pharm. Res. 2011, 3, 792–798. [Google Scholar]
- Fujisawa, S.; Mariko, I.; Yukio, M.; Toshiko, A.; Yoshinori, K.; Ichiro, Y. Predicting the Biological Activities of 2-Methoxyphenol Antioxidants: Effects of Dimers. In Vivo 2007, 21, 181–188. [Google Scholar]
- Torres, J.L.; Touriño, S.; Lizárraga, D.; Carreras, A.; Matito, C.; Ugartondo, V.; Mitjans, M.; Centelles, J.J.; Vinardell, M.P.; Juliá, L.; et al. Antioxidant/Prooxidant effects of bioactive Polyphenolics. EJEAFChe 2008, 7, 3348–3352. [Google Scholar]
- Ingebrigtsen, K. Main plant poisonings in livestock in the Nordic countries. In: Bioactive compounds in plants-Benefits and risks for man and animals. Norw. Acad. Sci Lett. 2010, 15, 30–43. [Google Scholar]
- Du, Q.; Feng, G.Z.; Shen, L.; Cui, J.; Cai, J.K. Paeonol attenuates airway inflammation and hyperresponsiveness in a murine model of ovalbumin-induced asthma. Can. J. Phys. Pharma 2010, 88, 1010–1016. [Google Scholar] [CrossRef]
- Ding, Y.; Li, Q.; Xu, Y.; Chen, Y.; Deng, Y.; Zhi, F. Attenuating Oxidative Stress by Paeonol Protected against Acetaminophen-Induced Hepatotoxicity in Mice. PLoS ONE 2016, 11, e0154375. [Google Scholar] [CrossRef]
- Abdul Jalill Raghad, D.H. GC-MS analysis of Calendula officinalis and Cytotoxic effects of its Flower Crude extract on Human Epidermoid Larynx Carcinoma (HEP-2). World J. Pharma. Pharma. Sci. 2014, 3, 237–275. [Google Scholar]
- Gao, C.H.; Tian, X.P.; Qi, S.H.; Luo, X.M.; Wang, P.; Zhang, S. Antibacterial and antilarval compounds from marine gorgonian-associated bacterium Bacillus amyloliquefaciens. J. Antibiot. 2010, 63, 191–193. [Google Scholar] [CrossRef]
- Nashed, B.; Yeganeh, B.; Hayglass, K.T.; Moghadasian, M.H. Antiatherogenic effects of dietary plant sterols are associated with inhibition of proinflammatory cytokine production in Apo E-KO mice. J. Nutr. 2005, 135, 2438–2444. [Google Scholar] [CrossRef] [Green Version]
- Othman, R.A.; Moghadasian, M.H. Beyond cholesterol-lowering effects of plant sterols: Clinical and experimental evidence of anti-inflammatory properties. Nutr. Rev. 2011, 69, 371–382. [Google Scholar] [CrossRef] [PubMed]
- Brüll, F.; Mensink, R. Plant sterols: Functional lipids in immune function and inflammation? Clin. Lipidol. 2009, 4, 355–365. [Google Scholar] [CrossRef]
- Dandekar, R.; Fegade, B.; Bhaskar, V.H. GC-MS analysis of phytoconstituents in alcohol extract of Epiphyllum oxypetalum leaves. J. Pharma. Phytochem. 2015, 4, 149–154. [Google Scholar]
- Gabay, O.; Sanchez, C.; Salvat, C.; Chevy, F.; Breton, M.; Nourissat, G. Stigmasterol: A phytosterol with potential anti-osteoarthritic properties. Osteoarthr. Cartil. 2010, 18, 106–116. [Google Scholar] [CrossRef] [PubMed]
- López-García, G.; Cilla, A.; Barberá, R.; Alegría, A.; Recio, M.C. Effect of a milk-based fruit beverage enriched with plant sterols and/or galactooligosaccharides in a murine chronic colitis model. Foods 2019, 8, 114. [Google Scholar] [CrossRef] [Green Version]
- López-García, G.; Cilla, A.; Barberá, R.; Alegría, A. Anti-inflammatory and cytoprotective effect of plant sterol and galactooligosaccharides-enriched beverages in caco-2 cells. J. Agric. Food Chem. 2020, 68, 1862–1870. [Google Scholar] [CrossRef] [PubMed]
- Zawistowaski, J. Tangible Health Benefits of Phytosterol. Functional Foods. In Functional Food Product Development; Smith, J., Charter, E., Eds.; Wiley Blackwell: Hoboken, NJ, USA, 2010; pp. 362–372. [Google Scholar]
- Wang, T.; Hicks, K.B.; Moreau, R. Antioxidant activity of phytosterols, oryzanol, and other phytosterol conjugates. J. Am. Oil Chem. Soc. 2002, 79, 1201–1206. [Google Scholar] [CrossRef]
- Sosa, A.A.; Bagi, S.H.; Hameed, I.H. Analysis of bioactive chemical compounds of Euphorbia lathyrus using gas chromatography-mass spectrometry and Fourier-transform infrared spectroscopy. J. Pharmacognosy Phytother. 2016, 8, 109–126. [Google Scholar]
- Kumar, P.P.; Kumaravel, S.; Lalitha, C. Screening of antioxidant activity, total phenolics and GC-MS study of Vitex negundo. Afr. J. Biochem. Res. 2010, 4, 191–195. [Google Scholar]
- Gopalakrishnan, S.; Kalaiarasi, T. Determination of biologically active constituents of the fruits of Cucumis sativus Linn. using GC-MS analysis. Intern. J. Biol. Pharm. Res. 2013, 4, 523–527. [Google Scholar]
- Lakshmi, V.; Bai, V.S. Determination of Biologically active compounds in Clerodendrumphlomidis(L.) leaf extract using GC/MS. Intern. J. Multidiscip. Res. Dev. 2015, 2, 294–300. [Google Scholar]
- Lourdes, S.; Marta, T.; Eugenio, U.; Teran, C.; Liñares, B. AM1 theoretical study synthesis and biological evaluation of some benzofuran analogues of anti-inflammatory arylalkanoic acids. Eur. J. Pharm. Sci. 1999, 7, 161–166. [Google Scholar]
- Zheng, L.T.; Ryu, G.M.; Kwon, B.; Lee, W.H.; Suk, K. Anti-inflammatory effects of catechols in lipopolysaccharide-stimulated microglia cells: Inhibition of microglial neurotoxicity. Eur. J. Pharmacol. 2008, 588, 106–113. [Google Scholar] [CrossRef] [PubMed]
- Higgs, G.A.; Moncada, S.; Vane, J.R. Eicosanoids in inflammation. Ann. Clin. Res. 1984, 16, 287–299. [Google Scholar]
- Vane, J.R. Inhibition of prostaglandin synthesis as a mechanism of action for aspirin-like drugs. Nat. New Biol. 1971, 231, 235–237. [Google Scholar] [CrossRef]
- Hernandez, P.M.; Rabanal, G.R. Evaluation of the antinflammatory and analgesic activity of Sideritiscanariensis var. pannosa in mice. J. Ethnopharmacol. 2002, 81, 43–47. [Google Scholar] [CrossRef]
- Bhattacharya, S.; Pal, S.; Nag-Chaudhauri, A.K. Pharmacological studies of the anti-inflammatory profile of Mikania cordata (Burm) B.L. robinson root extract in rodents. Phytother. Res. 1992, 6, 255–301. [Google Scholar] [CrossRef]
- Swingle, K.F. Evaluation for antiinflammatory activity. In Anti-Inflammatory Agents. Chemistry and Pharmacology; Scherrer, R.A., Whitehouse, M.W., Eds.; Academic Press: London, UK, 1974; pp. 33–46. [Google Scholar] [CrossRef]
- Jannoff, A.; Zweifach, B.W. Production of inflammatory changes in the micro-circulation by cationic proteins extracted from lysosomes. J. Exp. Med. 1964, 1, 747–764. [Google Scholar] [CrossRef] [PubMed] [Green Version]
- Shen, T.Y. Antiinflammatory agents. In Topics in Medicinal Chemistry; Rabinowitz, S.L., Myerson, R.M., Eds.; Interscience Pub., John Wiley & Sons: New York, NY, USA, 1967; pp. 29–38. [Google Scholar]
- Weissmann, G. The role of lysosomes in inflammation and disease. Ann. Rev. Med. 1967, 18, 97–112. [Google Scholar] [CrossRef]
- Anderson, A.J.; Bocklehurst, W.E.; Wills, A.L. Evidence for the role of lysosomes in the formation of prostaglandins during carraginin induced inflammation in rat. Pharma. Res. Commun. 1971, 3, 13–19. [Google Scholar] [CrossRef]
- Nair, R.B.; Ravishankar, B.; Vijayan, N.P.; Sasikala, C.K.; Saraswathy, V.N. Antiinflammatory effect of Strobilanthusheyneanus leaves—A biochemical study. J. Res. Ay. Sid. 1988, 9, 46–58. [Google Scholar]
- Muriel, P. Liver Pathophysiology: Therapies and Antioxidants; Academic Press: Cambridge, MA, USA, 2017. [Google Scholar]
- Lee, W.M. Drug-induced hepatotoxicity. N. Engl. J. Med. 2003, 349, 474–485. [Google Scholar] [CrossRef] [PubMed]
- Lampertico, P.; Agarwal, K.; Berg, T. EASL 2017 clinical practice guidelines on the management of hepatitis B virus infection. J. Hepatol. 2017, 67, 370–398. [Google Scholar] [CrossRef] [PubMed] [Green Version]
- Pritchard, M.T.; Apte, U. Models to Study Liver Regeneration. Liver Regeneration; Elsevier: Mexico City, Mexico, 2015; pp. 15–40. [Google Scholar]
- Brattin, W.J.; Glende, E.A.; Recknagel, R.O. Pathological mechanisms in carbon tetrachloride hepatotoxicity. J. Free Radic. Biol. Med. 1985, 1, 27–38. [Google Scholar] [CrossRef]
- Dubey, G.P.; Agrawal, A.; Dixit, S.P. Effect of Liv-52 on different biochemical parameters in alcoholic cirrhosis. Antiseptic 1977, 91, 205–208. [Google Scholar]
- Kulkarni, S.K. Hand Book of Experimental Pharmacology, 3rd ed.; Vallabh Prakashan: Delhi, India, 1999; pp. 51–55. [Google Scholar]
- Anonymous. The Indian Pharamacopoeia, 2nd ed.; Goverment of India Publication: New Delhi, India, 1966. [Google Scholar]
- Gupta, A.; Joshi, A.; Dubey, B. Comparative pharmacognostical and phytochemical evaluation of two species of Cyathocline. Intern. J. Biomed. Res. 2013, 4, 538–545. [Google Scholar] [CrossRef] [Green Version]
- Pratt, R.J.; Chase, C.R. Fluorescence of powder vegetable drugs with particular reference to development of a system of identification. J. Am. Pharm. Assoc. Am. Pharm. Assoc. 1949, 38, 324–331. [Google Scholar] [CrossRef]
- Fox, L.M. The Science and Practice of Pharmacy. Am. J. Pharm. Educ. 2006, 70, 71. [Google Scholar]
- Harborne, A.J. Phytochemical Methods A Guide to Modern Techniques of Plant Analysis, 3rd ed.; Springer: Heidelberg, The Netherlands, 1998; ISBN 978-0-412-57260-9. [Google Scholar]
- Winter, C.A.; Risley, E.; Nuss, G.; Edwin, A.R.; George, W.N. Carrageenin-induced edema in hind paw of the rat as an assay for anti-inflammatory drugs. Proc. Soc. Exp. Biol. Med. 1962, 111, 544–547. [Google Scholar] [CrossRef]
- Selye, H. On the mechanism through which hydrocortisone affects the resistance of tissues to injury: An experimental study with the granuloma pouch technique. J. Am. Med. Assoc. 1953, 152, 1207–1213. [Google Scholar] [CrossRef]
- Fukuhara, M.; Tsurufuji, S. The effect of locally injected anti-inflammatory drugs on the carrageenin granuloma in rats. Biochem. Pharm. 1969, 18, 475–484. [Google Scholar] [CrossRef]
- Salvemini, D.; Wang, Z.Q.; Bourdon, D.M.; Stern, M.K.; Currie, M.G.; Manning, P.T. Evidence of peroxynitrite involvement in the carrageenan-induced rat paw edema. Eur. J. Pharma 1996, 303, 217–220. [Google Scholar] [CrossRef]
- Venukumar, M.R.; Latha, M.S. Hepatoprotective Effect of the methanolic extract of Curculigoorchioides in Ccl. Indian J. Pharma 2002, 34, 269–275. [Google Scholar] [CrossRef]
- OECD. Test No. 423: Acute Oral Toxicity-Acute Toxic Class Method. In OECD Guidelines for the Testing of Chemicals, Section 4; OECD Publishing: Paris, France, 2002. [Google Scholar] [CrossRef]
- Naftalin, L.; Sexton, M.; Whitaker, J.F.; Tracey, D. A routine procedure for estimating serum γ-glutamyl-transpeptidase activity. Clin. Chim. Acta 1969, 26, 293–296. [Google Scholar] [CrossRef]
- Reitman, S.; Frankel, S. A colorimetric method for the determination of serum glutamic oxalacetic and glutamic pyruvic transaminases. Am. J. Clin. Pathol. 1957, 28, 56–63. [Google Scholar] [CrossRef] [PubMed]
- Kind, P.R.N.; King, E.J. Estimation of plasma phosphatase by determination of hydrolysed phenol with amino-antipyrine. J. Clin. Pathol. 1954, 7, 322–326. [Google Scholar] [CrossRef] [PubMed] [Green Version]
- Frings, C.S.; Dunn, R.T. A colorimetric method for determination of total serum lipids based on the sulfo-phospho-vanillin reaction. Am. J. Clin. Pathol. 1970, 53, 89–91. [Google Scholar] [CrossRef]
- Lowry, O.H.; Rosebrough, N.J.; Far, A.L.; Randall, R.J. Protein measurement with the Folin phenol reagent. J. Biol. Chem. 1951, 193, 265–275. [Google Scholar] [CrossRef]
- Ellman, G.L. Tissue sulfhydryl groups. Arch. Biochem. Biophys. 1959, 82, 70–77. [Google Scholar] [CrossRef]
- Gupta, M.; Mazumder, U.K.; Kumar, T.S.; Gomathi, P.; Kumar, R.S. Antioxidant and hepatoprotective effects of Bauhinia racemosa against paracetamol and carbon tetrachloride induced liver damage in rats. Iran. J. Pharma. Ther. 2004, 3, 12–20. [Google Scholar] [CrossRef] [Green Version]

| S. No. | Parameter Studied | Percentage Value (w/w) | |||
|---|---|---|---|---|---|
| Roots | Stem | Leaves | |||
| 1. | Moisture Content | 5.13 ± 0.49 | 3.79 ± 0.51 | 7.28 ± 0.56 | |
| 2. | Total Ash | 5.85 ± 0.72 | 6.67 ± 0.61 | 4.21 ± 0.03 | |
| 3. | Acid-soluble Ash | 10.74 ± 0.43 | 13.95 ± 0.35 | 11.99 ± 1.63 | |
| 4. | Acid-insoluble Ash | 88.27 ± 0.97 | 85.85 ± 0.64 | 87.94 ± 1.19 | |
| 5. | Water-soluble Ash | 15.27 ± 1.87 | 15.79 ± 0.50 | 12.59 ± 0.45 | |
| 6. | Water-insoluble Ash | 79.5 ± 0.79 | 80.83 ± 1.11 | 88.05 ± 1.18 | |
| 7. | Extractive Values in | Chloroform | 8.17 ± 0.25 | 6.82 ± 0.28 | 4.00 ± 0.41 |
| Ethanol | 12.63 ± 0.61 | 10.57 ± 0.48 | 6.87 ± 0.43 | ||
| Dichloromethane | 3.26 ± 0.71 | 2.85 ± 0.39 | 2.73 ± 0.24 | ||
| S. No. | Particulars | Observation | ||
|---|---|---|---|---|
| Root | Stem | Leaf | ||
| 1. | Color of powder | Grayish black | Grayish green | Green |
| 2. | Odor | Light sweet | Odorless | Odorless |
| 3. | Taste | Tasteless | Tasteless | Tasteless |
| 4. | Texture | Smooth | Rough | Smooth |
| S. No. | Powder + Reagent Used | Roots | |
|---|---|---|---|
| Visible Light | UV Light | ||
| 1. | Powder as such | Light brown soil color | Light brownish |
| 2. | Powder + Conc. H2SO4 | Black | Black |
| 3. | Powder + Conc. HNO3 | Orange red | Yellow |
| 4. | Powder + Conc. HCl | Brown | Light brown |
| 5. | Powder + 10% NaOH | Reddish dark brown | Dark blackish brown |
| 6. | Powder + 1 N HCl | Transparent yellow | Green |
| 7. | Powder + Iodine solution | Fluorescent brown purple | Purple (light bluish) |
| 8. | Powder + 5% FeCl3 | Light yellow | Light greenish fluorescent |
| 9. | Powder + KI | Cream white | Cream transparent |
| 10. | Powder + 1 N HNO3 | Cream white | Cream transparent |
| 11. | Powder +1 N H2SO4 | Yellowish transparent | Light yellowish transparent |
| 12. | Powder + Ethyl acetate | Light yellow | Green |
| S. No. | Powder + Reagent Used | Stem | |
|---|---|---|---|
| Visible Light | UV Light | ||
| 1. | Powder as such | Grey | Whitish grey |
| 2. | Powder + Conc. H2SO4 | Black | Black |
| 3. | Powder + Conc. HNO3 | Orange red | Yellow |
| 4. | Powder + Conc. HCl | Light brown | Green |
| 5. | Powder + 10% NaOH | Dark blackish brown | Black brownish |
| 6. | Powder + 1 N HCl | Light brown | Green |
| 7. | Powder + Iodine solution | Transparent soil color | Purple transparent |
| 8. | Powder + 5% FeCl3 | Light yellowish transparent | Greenish transparent |
| 9. | Powder + KI | Transparent | Transparent |
| 10. | Powder + 1 N HNO3 | Fluorescent green | Light green |
| 11. | Powder + 1 N H2SO4 | Yellowish transparent | Transparent |
| 12. | Powder + Ethyl acetate | Dark brown | Blackish brown |
| S. No. | Powder + Reagent Used | Leaves | |
|---|---|---|---|
| Visible Light | UV Light | ||
| 1. | Powder as such | Green | Green |
| 2. | Powder + Conc. H2SO4 | Black | Black |
| 3. | Powder + Conc. HNO3 | Orange | Orange |
| 4. | Powder + Conc. HCl | Light green | Green |
| 5. | Powder + 10% NaOH | Black | Black |
| 6. | Powder + 1 N HCl | Light brown | Green |
| 7. | Powder + Iodine solution | Soil transparent | Greenish transparent |
| 8. | Powder + 5% FeCl3 | Yellowish transparent | Transparent |
| 9. | Powder + KI | Transparent | Transparent |
| 10. | Powder + 1 N HNO3 | Green | Green |
| 11. | Powder + 1 N H2SO4 | Transparent water | Transparent watery |
| 12. | Powder + Ethyl acetate | Light brown | Green |
| S. No. | Constituents | Chemical Tests | ROOT | STEM | LEAVES | |||||||||
|---|---|---|---|---|---|---|---|---|---|---|---|---|---|---|
| W | D | E | C | W | D | E | C | W | D | E | C | |||
| 1. | Alkaloids | Wagner’s test | + + | + + | + + | + − | + + | + − | + + | + + | + + | + + | + + | + + |
| Mayer’s test | + − | + + | + - | − − | + + | − − | + + | + − | + − | + + | + − | + − | ||
| 2. | Flavonoids | Sodium hydroxide test | + + | + − | + + | ++ | + − | + + | + + | + + | + + | + + | − − | + + |
| Lead acetate test | + + | − − | + + | ++ | − − | + + | + + | + + | + + | + + | + + | + + | ||
| 3. | Glycosides | Killer–Killiani test | − − | − − | − − | − − | − − | − − | − − | − − | − − | − − | − − | − − |
| Fehling’s test | − − | + − | − − | − − | − − | − − | − − | − − | − − | − − | + + | − − | ||
| 4. | Phenols | Phenol test | − − | + − | − − | ++ | − − | + + | + + | + - | − − | − − | + + | ++ |
| 5. | Saponins | Frothing/Foam test | + + | − − | + + | − − | + + | − − | + + | ++ | + + | − − | + + | ++ |
| 6. | Steroids | Salkowski’s test | − − | − − | − − | + + | + - | − − | + + | ++ | + + | − − | + + | ++ |
| LB test | − − | + − | + + | − − | + - | − − | + + | ++ | + + | − − | − − | ++ | ||
| 7. | Tannin | Ferric chloride test | + + | + − | + + | ++ | + + | + + | + + | ++ | + + | − − | + + | − − |
| 8. | Terpenoids | Salkowski’s test | − − | − − | − − | ++ | + + | + + | + + | + + | − − | − − | + + | ++ |
| S. No. | Name of Identified Compound | Category | Found in Part/Parts |
|---|---|---|---|
| 1. | Phenol, 2,4-bis[1,1-dimethylethyl] | Phenol | Root, Stem and Leaf |
| 2. | Stigmasterol | Phytosterol | Root and Stem |
| 3. | Scandenone (Warangalone) | flavonoid | Root |
| 4. | 3,3′-dimethyl-1′-hydroxy-5,8-dimethoxy-2,2′-binapthalene-1,4,5′,8′-tetrone | Napthoquinone derivative | Root and Stem |
| 5. | 24,25-dihydroxy vitamin D | Secosteroid | Root |
| 6. | Campesterol | Phytosterol | Stem |
| 7. | ϒ-Sitosterol | Phytosterol | Stem |
| 8. | α-Amyrin | Pentacyclic triterpene | Stem |
| 9. | Cycloartenol acetate | Triterpenoid | Stem |
| 10. | 3,7,11,15-Tetramethyl-2-hexadecen-1-ol (phytol) | Terpenoid | Stem |
| 11. | 1-Butylpyrrolidine | Alkaloid | Stem |
| 12. | 4H-Pyran-4-one, 2,3-dihydro-3,5-dihydroxy-6-methyl- | Ketone derivative | Stem |
| 13. | 2,3-dihydrobenzofuran (dihydrocoumarone) | Heterocyclic compound | Stem |
| 14. | 4-Hydroxy-2-methylacetophenone | Phenol | Stem |
| 15. | 2,6-dimethoxy-phenol | Phenol | Stem |
| 16. | 4-propoxyphenol | Phenol | Stem |
| 17. | 3-Butylindolizidine | Alkaloid | Stem |
| 18. | Pyrogallol | Phenol | Stem |
| 19. | Desulphosinigrin | Glucosinolate | Stem |
| 20. | Lupeol | Pentacyclic triterpenoid | Stem |
| 21. | Dihydrogeraniol | Monoterpenoid | Leaf |
| 22. | α-Caryophyllene (humelene) | Sesquiterpene | Leaf |
| 23. | 2(4H)-benzofuranone, 5,6,7,7a-terahydro-4,4,7a-trimethyl-(R) | Lactone | Leaf |
| 24. | Squalene | Triterpenoid | Leaf |
| Treatments | Dose of Extract (mg/mL) | Paw Volume (Percentage Inhibition) | |||
|---|---|---|---|---|---|
| 1 h | 2 h | 3 h | 4 h | ||
| Control | Vehicle | -- | -- | -- | -- |
| Indomethacin | 10 mg/kg | 53.92 | 57.90 | 55.41 | 52.78 |
| Ethanolic Extract (EE) | 50 mg/kg | 23.94 | 31.51 | 29.73 | 27.78 |
| 100 mg/kg | 30.97 | 35.99 | 37.84 | 30.56 | |
| 200 mg/kg | 38.03 | 43.84 | 43.24 | 31.94 | |
| Chloroform Extract (CE) | 50 mg/kg | 40.84 | 50.68 | 48.65 | 44.44 |
| 100 mg/kg | 49.30 | 54.79 | 55.41 | 50.00 | |
| 200 mg/kg | 49.70 | 56.26 | 55.41 | 52.78 | |
| Dichloromethane Extract (DCME) | 50 mg/kg | 29.58 | 35.26 | 33.68 | 30.66 |
| 100 mg/kg | 33.78 | 39.63 | 39.29 | 33.43 | |
| 200 mg/kg | 35.62 | 41.37 | 42.42 | 37.69 | |
| Treatment | Dose | Weight of Dry Cotton Pellet (mg) | % Inhibition |
|---|---|---|---|
| Control | Vehicle | 81.24 ± 2.63 a | 0 |
| Indomethacin | 10 mg/kg | 35.34 ± 3.23 a | 55.39 |
| Ethanolic Extract (EE) | 50 mg/kg | 65.22 ± 2.50 ab | 17.28 |
| 100 mg/kg | 50.14 ± 3.47 ab | 38.01 | |
| 200 mg/kg | 48.28 ± 2.66 a | 40.46 | |
| Chloroform Extract (CE) | 50 mg/kg | 46.27 ± 2.56 a | 43.22 |
| 100 mg/kg | 42.27 ± 3.36 a | 49.58 | |
| 200 mg/kg | 40.33 ± 1.66 a | 49.87 | |
| Dichloromethane Extract (DCME) | 50 mg/kg | 50.31 ± 3.29 ab | 38.26 |
| 100 mg/kg | 46.28 ± 2.53 a | 42.29 | |
| 200 mg/kg | 43.67 ± 2.26 a | 44.22 |
| Treatment | Dose | Exudate Volume | Neutrophils (×10 Cells) | Monocytes (×10 Cells) |
|---|---|---|---|---|
| Control | Vehicle | 3.09 ± 0.02 a | 219.67 ± 6.64 a | 84.50 ± 2.81 a |
| Indomethacin | 10 mg/kg | 0.60 ± 0.04 a | 69.50 ± 2.49 a | 36.67 ± 3.34 a |
| Ethanolic Extract (EE) | 50 mg/kg | 2.89 ± 0.08 b | 186.67 ± 5.55 ab | 71.50 ± 5.78 b |
| 100 mg/kg | 2.25 ± 0.03 ab | 156.67 ± 3.01 ab | 57.17 ± 2.67 ab | |
| 200 mg/kg | 1.55 ± 0.05 ab | 120.50 ± 3.91 ab | 54.33 ± 2.77 a | |
| Chloroform Extract (CE) | 50 mg/kg | 1.51 ± 0.03 ab | 114.33 ± 3.08 ab | 53.03 ± 2.30 a |
| 100 mg/kg | 1.12 ± 0.05 ab | 97.83 ± 3.28 ab | 43.27 ± 2.26 a | |
| 200 mg/kg | 0.82 ± 0.03 ab | 90.67 ± 1.78 ab | 42.63 ± 2.72 a | |
| Dichloromethane Extract (DCME) | 50 mg/kg | 2.21 ± 0.04 ab | 137.17 ± 4.28 ab | 59.37 ± 4.19 ab |
| 100 mg/kg | 1.53 ± 0.03 ab | 123.50 ± 3.49 ab | 53.60 ± 4.16 a | |
| 200 mg/kg | 1.39 ± 0.05 ab | 120.17 ± 1.74 ab | 52.23 ± 2.27 a |
| Treatment | Biochemical Parameters | |||||
|---|---|---|---|---|---|---|
| AST (IU/L) | ALT (IU/L) | ALP (IU/L) | GGT (IU/L) | Total Protein (mg/DL) | Total Lipids (mg/DL) | |
| Group I (Control, LP only) | 20.28 ± 0.26 a | 25.35 ± 0.37 a | 70.35 ± 0.29 b | 3.30 ± 0.14 a | 5.53 ± 0.14 b | 131.33 ± 0.92 a |
| Group II (LP + CCl4) | 31.25 ± 0.41 a | 56.27 ± 0.49a | 114.59 ± 0.55 a | 18.40 ± 0.30 a | 3.87 ± 0.25 a | 259.17 ± 2.64 a |
| Group III (LP + CCl4 + silymarin 25 mg/kg) | 21.78 ± 0.16 ab | 27.19 ± 0.26 b | 74.54 ± 0.59 ab | 3.51 ± 0.24 b | 5.17 ± 0.31 b | 146.20 ± 2.01 ab |
| Group IV (LP + CCl4 + EE 50 mg/kg) | 24.55 ± 0.18 ab | 39.90± 0.63 ab | 82.29 ± 0.91 ab | 4.72 ± 0.29 ab | 5.11± 0.25 b | 164.47 ± 5.47 ab |
| Group V (LP + CCl4 + EE 100 mg/kg) | 22.12 ± 0.31 ab | 28.33± 0.23 ab | 71.84 ± 0.78 b | 3.51 ± 0.18 b | 5.39± 0.27 b | 146.37 ± 1.11 ab |
| Group VI (LP + CCl4 + EE 200 mg/kg) | 22.19 ± 0.14 ab | 27.83± 0.54 ab | 71.71 ± 0.52 b | 3.75 ± 0.11 b | 5.41± 0.39 b | 141.17 ± 1.74 b |
| Group VII (LP + CCl4 + CE 50 mg/kg) | 21.83 ± 0.27 ab | 34.36± 0.29 ab | 76.81 ± 0.87 ab | 4.30 ± 0.11 b | 5.33± 0.21 b | 145.12 ± 2.62 b |
| Group VIII (LP + CCl4 + CE 100 mg/kg) | 20.18 ± 0.32 b | 26.06± 0.43 b | 68.41 ± 0.65 b | 3.06 ± 0.26 b | 5.49± 0.12 b | 143.50 ± 4.04 b |
| Group IX (LP + CCl4 + CE 200 mg/kg) | 20.43 ± 0.20 b | 24.09± 0.26 b | 67.98 ± 0.43 b | 3.33 ± 0.12 b | 5.67± 0.21 b | 135.83 ± 3.17 b |
| Group X (LP + CCl4 + DCME 50 mg/kg) | 27.78 ± 0.20 ab | 52.45± 0.64 ab | 104.05 ± 0.40 ab | 8.47 ± 0.24 ab | 3.83 ± 0.17 a | 202.50 ± 1.52 ab |
| Group XI (LP + CCl4 + DCME 100 mg/kg) | 24.85 ± 0.31 ab | 40.40± 0.66 ab | 84.06 ± 0.40 ab | 4.34 ± 0.21 b | 4.80 ± 0.08 b | 165.17 ± 4.66 ab |
| Group XII (LP + CCl4 + DCME 200 mg/kg) | 22.57 ± 0.31 ab | 35.40 ± 0.37 ab | 75.96 ± 0.82 ab | 3.77 ± 0.32 b | 5.28 ± 0.17 b | 144.47± 2.68 b |
| Treatment | Parameters | |||
|---|---|---|---|---|
| Total Protein (g/100 g) | Total Lipids (mg/100 g) | GSH (µmol/g Liver) | Wet Liver Weight (g) | |
| Group I (Control, LP only) | 8.23 ± 0.18 a | 6.74 ± 0.18 a | 5.63 ± 0.03 b | 3.17 ± 0.136 b |
| Group II (LP + CCl4) | 5.86 ± 0.15 a | 8.07 ± 0.27 a | 0.78 ± 0.05 a | 5.20 ± 0.10 a |
| Group III (LP + CCl4 + silymarin 25 mg/kg) | 8.03 ± 0.12 b | 6.51 ± 0.23 b | 5.17 ± 0.15 ab | 3.62 ± 0.06 ab |
| Group IV (LP + CCl4 + EE 50 mg/kg) | 7.68 ± 0.24 b | 6.84 ± 0.18 b | 3.40 ± 0.07 ab | 4.18 ± 0.08 ab |
| Group V (LP + CCl4 + EE 100 mg/kg) | 7.96 ± 0.24 b | 6.44 ± 0.31 b | 4.48 ± 0.11 ab | 3.92 ± 0.07 ab |
| Group VI (LP + CCl4 + EE 200 mg/kg) | 8.25 ± 0.28 b | 6.50 ± 0.14 b | 5.25 ± 0.08 b | 3.80 ± 0.07 ab |
| Group VII (LP + CCl4 + CE 50 mg/kg) | 7.90 ± 0.18 b | 6.50 ± 0.24 b | 4.42 ± 0.06 ab | 3.78 ± 0.03 ab |
| Group VIII (LP + CCl4 + CE 100 mg/kg) | 8.00 ± 0.18 b | 6.45 ± 0.21 b | 5.20 ± 0.06 ab | 3.72 ± 0.05 ab |
| Group IX (LP + CCl4 + CE 200 mg/kg) | 8.13 ± 0.19 b | 6.40 ± 0.17 b | 5.43 ± 0.08 b | 3.61 ± 0.04 ab |
| Group X (LP + CCl4 + DCME 50 mg/kg) | 6.50 ± 0.22 a | 7.75 ± 0.17 a | 1.15 ± 0.08 a | 4.80 ± 0.04 ab |
| Group XI (LP + CCl4 + DCME 100 mg/kg) | 6.83 ± 0.17 ab | 7.31 ± 0.13 b | 2.65 ± 0.08 ab | 4.35 ± 0.08 ab |
| Group XII (LP + CCl4 + DCME 200 mg/kg) | 7.73 ± 0.19 b | 7.03 ± 0.14 b | 3.93 ± 0.11 ab | 4.28 ± 0.09 ab |
Publisher’s Note: MDPI stays neutral with regard to jurisdictional claims in published maps and institutional affiliations. |
© 2021 by the authors. Licensee MDPI, Basel, Switzerland. This article is an open access article distributed under the terms and conditions of the Creative Commons Attribution (CC BY) license (https://creativecommons.org/licenses/by/4.0/).
Share and Cite
Wagay, N.A.; Rafiq, S.; Rather, M.A.; Tantray, Y.R.; Lin, F.; Wani, S.H.; El-Sabrout, A.M.; Elansary, H.O.; Mahmoud, E.A. Secondary Metabolite Profiling, Anti-Inflammatory and Hepatoprotective Activity of Neptunia triquetra (Vahl) Benth. Molecules 2021, 26, 7353. https://doi.org/10.3390/molecules26237353
Wagay NA, Rafiq S, Rather MA, Tantray YR, Lin F, Wani SH, El-Sabrout AM, Elansary HO, Mahmoud EA. Secondary Metabolite Profiling, Anti-Inflammatory and Hepatoprotective Activity of Neptunia triquetra (Vahl) Benth. Molecules. 2021; 26(23):7353. https://doi.org/10.3390/molecules26237353
Chicago/Turabian StyleWagay, Nasir Aziz, Shah Rafiq, Mohammad Aslam Rather, Younas Rasheed Tantray, Feng Lin, Shabir Hussain Wani, Ahmed M. El-Sabrout, Hosam O. Elansary, and Eman A. Mahmoud. 2021. "Secondary Metabolite Profiling, Anti-Inflammatory and Hepatoprotective Activity of Neptunia triquetra (Vahl) Benth" Molecules 26, no. 23: 7353. https://doi.org/10.3390/molecules26237353
APA StyleWagay, N. A., Rafiq, S., Rather, M. A., Tantray, Y. R., Lin, F., Wani, S. H., El-Sabrout, A. M., Elansary, H. O., & Mahmoud, E. A. (2021). Secondary Metabolite Profiling, Anti-Inflammatory and Hepatoprotective Activity of Neptunia triquetra (Vahl) Benth. Molecules, 26(23), 7353. https://doi.org/10.3390/molecules26237353

