Analysis of Serum Metabolomics in Rats with Osteoarthritis by Mass Spectrometry
Abstract
1. Introduction
2. Results
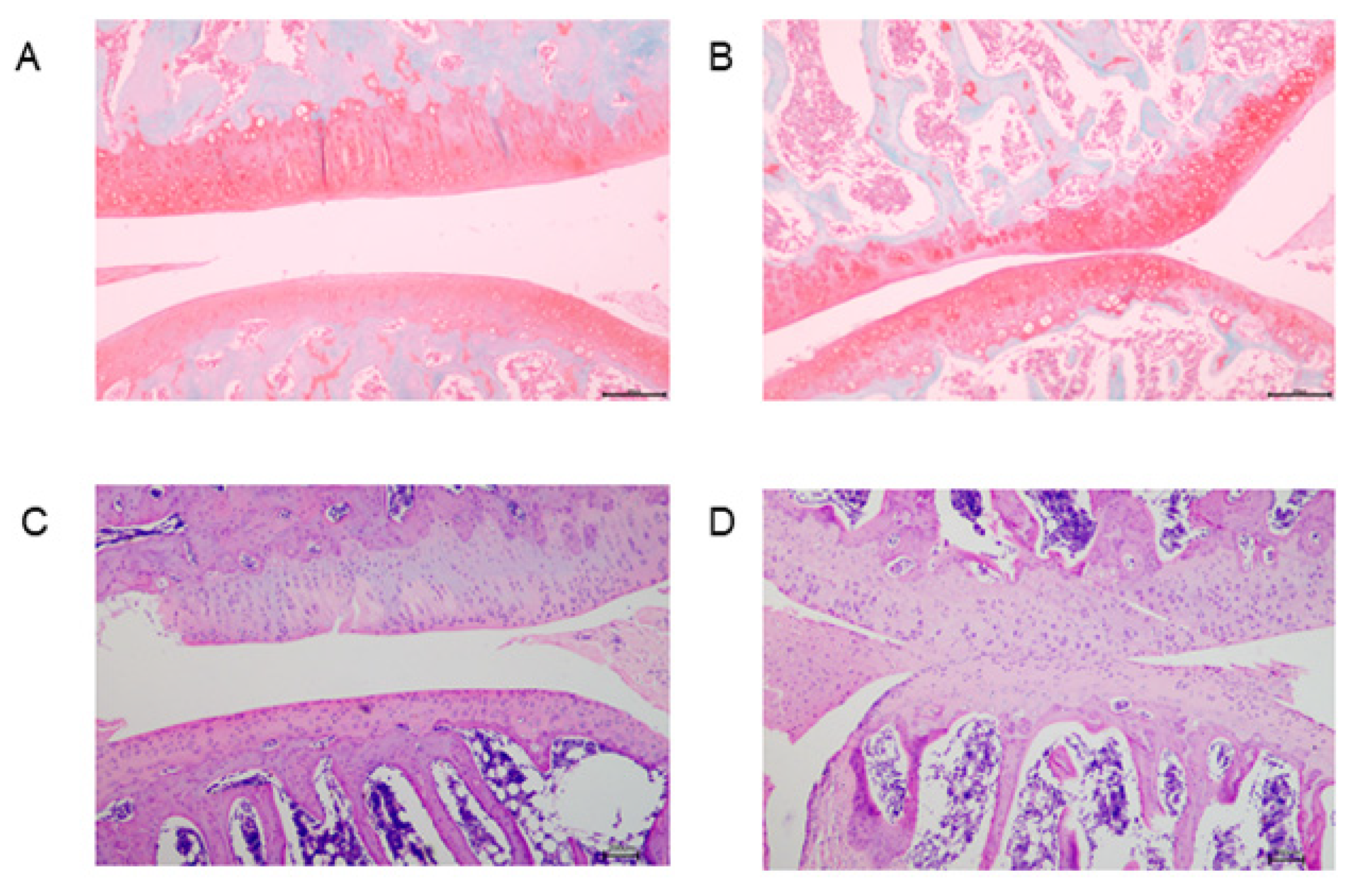
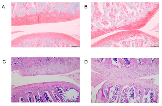
2.1. Histologic Examination and Biochemical Index
2.2. Multivariate Data Analysis
2.3. Identification of Differential Metabolites
3. Discussion
4. Materials and Methods
4.1. Animal Model Induction and Specimen Collection
4.2. Histological Analysis
4.3. Blood Test and Biochemical Assay
4.4. Metabolomics Analysis
4.5. Univariate and Multivariate Statistical Analysis
4.6. Biomarker and Pathway Analysis
5. Conclusions
Author Contributions
Funding
Institutional Review Board Statement
Informed Consent Statement
Data Availability Statement
Acknowledgments
Conflicts of Interest
Sample Availability
Abbreviations
| ALT | alanine aminotransferase |
| ARG | arginase |
| AST | aspartate aminotransferase |
| CIOA | collagenase-induced osteoarthritis |
| E2 | estradiol2 |
| GC/MS | gas chromatography /mass spectrometry |
| HE | histologic examination |
| KOA | knee osteoarthritis |
| LC/MS | liquid chromatography/mass spectrometry |
| MS-DIAL | mass spectrometry-data-independent acquisition |
| NMR | nuclear magnetic resonance |
| NO | nitric oxide |
| NOS | nitric oxide synthase |
| OA | osteoarthritis |
| OPLS-DA | orthogonal partial least squares-discriminant analysis |
| PCA | principal components analysis |
| PGE2 | prostaglandin estradiol2 |
| RA | rheumatoid arthritis |
| RRLC/Q-TOF/MS | liquid chromatography/quadrupole-time of light/mass spectrometry |
| TC | total cholesterol |
| WBC | white blood cell |
References
- Li, H.; Guo, H.; Lei, C.; Liu, L.; Xu, L.; Feng, Y.; Ke, J.; Fang, W.; Song, H.; Xu, C.; et al. Nanotherapy in Joints: Increasing Endogenous Hyaluronan Production by Delivering Hyaluronan Synthase 2. Adv. Mater. 2019, 31, 1904535. [Google Scholar] [CrossRef]
- Jeong, J.; Bae, K.; Kim, S.G.; Kwak, D.; Moon, Y.J.; Choi, C.H.; Kim, Y.R.; Na, C.S.; Kim, S.J. Anti-osteoarthritic effects of ChondroT in a rat model of collagenase-induced osteoarthritis. BMC Complement Altern Med. 2018, 181, 131. [Google Scholar] [CrossRef]
- Lampropoulou-Adamidou, K.; Lelovas, P.; Karadimas, E.V.; Liakou, C.; Triantafillopoulos, I.K.; Dontas, I.; Papaioannou, N.A. Useful animal models for the research of osteoarthritis. Eur J. Orthop. Surg Traumatol. 2014, 243, 263–271. [Google Scholar] [CrossRef]
- Hunter, D.J.; Bierma-Zeinstra, S. Osteoarthritis. Lancet 2019, 393, 1745–1759. [Google Scholar] [CrossRef]
- Johnson, V.L.; Hunter, D.J. The epidemiology of osteoarthritis. Best Pract. Res. Clin. Rheumatol. 2014, 281, 5–15. [Google Scholar] [CrossRef]
- Conde, J.; Scotece, M.; Gomez, R.; Lopez, V.; Gomez-Reino, J.J.; Gualillo, O. Adipokines and osteoarthritis: Novel molecules involved in the pathogenesis and progression of disease. Arthritis. 2011, 2011, 203901. [Google Scholar] [CrossRef]
- Sharma, L. Osteoarthritis of the Knee. N. Engl. J. Med. 2021, 384, 51–59. [Google Scholar] [CrossRef]
- Al Haj Ahmad, R.M.; Al-Domi, H.A. Complement 3 serum levels as a pro-inflammatory biomarker for insulin resistance in obesity. Diabetes Metab. Syndr. 2017, 11, S229–S232. [Google Scholar] [CrossRef]
- Nicholson, J.K.; Lindon, J.C.; Holmes, E. ‘Metabonomics’: Understanding the metabolic responses of living systems to pathophysiological stimuli via multivariate statistical analysis of biological NMR spectroscopic data. Xenobiotica 1999, 29, 1181–1189. [Google Scholar] [CrossRef]
- Fiehn, O. Metabolomics––The link between genotypes and phenotypes. Plant Mol. Biol. 2002, 48, 155–171. [Google Scholar] [CrossRef]
- Weng, R.; Shen, S.; Tian, Y.; Burton, C.; Xu, X.; Liu, Y.; Chang, C.; Bai, Y.; Liu, H. Metabolomics Approach Reveals Integrated Metabolic Network Associated with Serotonin Deficiency. Sci. Rep. 2015, 5, 11864. [Google Scholar] [CrossRef]
- Liakh, I.; Sledzinski, T.; Kaska, L.; Mozolewska, P.; Mika, A. Sample Preparation Methods for Lipidomics Approaches Used in Studies of Obesity. Molecules 2020, 25, 5307. [Google Scholar] [CrossRef]
- Adams, S.B., Jr.; Setton, L.A.; Nettles, D.L. The role of metabolomics in osteoarthritis research. J. Am. Acad. Orthop. Surg. 2013, 21, 63–64. [Google Scholar] [CrossRef][Green Version]
- McIlwraith, C.W.; Kawcak, C.E.; Frisbie, D.D.; Little, C.B.; Clegg, P.D.; Peffers, M.J.; Karsdal, M.A.; Ekman, S.; Laverty, S.; Slayden, R.A.; et al. Biomarkers for equine joint injury and osteoarthritis. J. Orthop. Res. 2018, 363, 823–831. [Google Scholar] [CrossRef]
- Zhang, W.; Likhodii, S.; Zhang, Y.; Aref-Eshghi, E.; Harper, P.E.; Randell, E.; Green, R.; Martin, G.; Furey, A.; Sun, G.; et al. Classification of osteoarthritis phenotypes by metabolomics analysis. BMJ Open 2014, 4, e006286. [Google Scholar] [CrossRef]
- Richard, D.M.; Dawes, M.A.; Mathias, C.W.; Acheson, A.; Hill-Kapturczak, N.; Dougherty, D.M. L-Tryptophan: Basic Metabolic Functions, Behavioral Research and Therapeutic Indications. Inter. J. Tryptophan Res. 2009, 2, 45–60. [Google Scholar] [CrossRef]
- Li, Y.; Xiao, W.; Luo, W.; Zeng, C.; Deng, Z.; Ren, W.; Wu, G.; Lei, G. Alterations of amino acid metabolism in osteoarthritis: Its implications for nutrition and health. Amino Acid. 2016, 48, 907–914. [Google Scholar] [CrossRef]
- Mailankot, M.; Staniszewska, M.M.; Butler, H.; Caprara, M.H.; Howell, S.; Wang, B. Indoleamine 2,3-dioxygenase overexpression causes kynurenine-modification of proteins, fiber cell apoptosis and cataract formation in the mouse lens. Lab. Invest. 2009, 89, 498–512. [Google Scholar] [CrossRef]
- Huang, S.; Mao, J.; Wei, B.; Pei, G. The anti-spasticity drug baclofen alleviates collagen-induced arthritis and regulates dendritic cells. J. Cell. Physiol. 2015, 230, 1438–1447. [Google Scholar] [CrossRef]
- Blanco, F.J.; Valdes, A.M.; Rego-Pérez, I. Mitochondrial DNA variation and the pathogenesis of osteoarthritis phenotypes. Nat. Rev. Rheumatol. 2018, 14, 327–340. [Google Scholar] [CrossRef]
- Senol, O.; Gundogdu, G.; Gundogdu, K.; Miloglu, F.D. Investigation of the relationships between knee osteoarthritis and obesity via untargeted metabolomics analysis. Clin. Rheumatol. 2019, 38, 1351–1360. [Google Scholar] [CrossRef]
- Levick, J.R. Hypoxia and acidosis in chronic inflammatory arthritis; relation to vascular supply and dynamic effusion pressure. J. Rheumatol. 1990, 17, 579–582. [Google Scholar]
- Collins, J.A.; Moots, R.J.; Winstanley, R.; Clegg, P.D.; Milner, P.I. Oxygen and pH-sensitivity of human osteoarthritic chondrocytes in 3-D alginate bead culture system. Osteoarthr. Cartil. 2013, 21, 1790–1798. [Google Scholar] [CrossRef][Green Version]
- Morris, S.M., Jr. Arginine: Beyond protein. Am. J Clin. Nutr. 2006, 83, 508S–512S. [Google Scholar] [CrossRef]
- Anderson, E.K.; Hill, A.A.; Hasty, A.H. Stearic acid accumulation in macrophages induces toll-like receptor 4/2-independent inflammation leading to endoplasmic reticulum stress-mediated apoptosis. Arterioscler. Thromb. Vasc. Biol. 2012, 32, 1687–1695. [Google Scholar] [CrossRef]
- Li, J.T.; Zeng, N.; Yan, Z.P.; Liao, T.; Ni, G.X. A review of applications of metabolomics in osteoarthritis. Clin. Rheumatol. 2021, 40, 2569–2579. [Google Scholar] [CrossRef]
- Ohnishi, A.; Osaki, T.; Matahira, Y.; Tsuka, T.; Imagawa, T.; Okamoto, Y.; Minami, S. Correlation of plasma amino acid concentrations and chondroprotective effects of glucosamine and fish collagen peptide on the development of osteoarthritis. J. Vet. Med. Sci. 2013, 75, 497–502. [Google Scholar] [CrossRef]
- Tootsi, K.; Vilba, K.; Märtson, A.; Kals, J.; Paapstel, K.; Zilmer, M. Metabolomic Signature of Amino Acids, Biogenic Amines and Lipids in Blood Serum of Patients with Severe Osteoarthritis. Metabolites 2020, 10, 323. [Google Scholar] [CrossRef]
- Rockel, J.S.; Kapoor, M. The Metabolome and Osteoarthritis: Possible Contributions to Symptoms and Pathology. Metabolites 2018, 8, 92. [Google Scholar] [CrossRef]
- Abramson, S.B.; Amin, A.R.; Clancy, R.M.; Attur, M. The role of nitric oxide in tissue destruction. Best Pract. Res. Clin. Rheumatol. 2001, 15, 831–845. [Google Scholar] [CrossRef]
- Carlson, A.K.; Rawle, R.A.; Adams, E.; Greenwood, M.C.; Bothner, B.; June, R.K. Application of global metabolomic profiling of synovial fluid for osteoarthritis biomarkers. Biochem. Biophys. Res. Commun. 2018, 499, 182–188. [Google Scholar] [CrossRef]
- Abramson, S.B. Nitric oxide in inflammation and pain associated with osteoarthritis. Arthritis Res. Ther. 2008, 10, S2. [Google Scholar] [CrossRef]
- Pekala, J.; Patkowska-Sokoła, B.; Bodkowski, R.; Jamroz, D.; Nowakowski, P.; Lochyński, S.; Librowski, T. L-carnitine-metabolic functions and meaning in humans life. Curr. Drug Metab. 2011, 12, 667–678. [Google Scholar] [CrossRef]
- Belsky, J.B.; Wira, C.R.; Jacob, V.; Sather, J.E.; Lee, P.J. A review of micronutrients in sepsis: The role of thiamine, l-carnitine, vitamin C, selenium and vitamin D. Nutr. Res. Rev. 2018, 31, 281–290. [Google Scholar] [CrossRef]
- Savic, D.; Hodson, L.; Neubauer, S.; Pavlides, M. The Importance of the Fatty Acid Transporter L-Carnitine in Non-Alcoholic Fatty Liver Disease (NAFLD). Nutrients 2020, 12, 2178. [Google Scholar] [CrossRef]
- Chapela, S.P.; Kriguer, N.; Fernández, E.H.; Stella, C.A. Involvement of L-carnitine in cellular metabolism: Beyond Acyl-CoA transport. Mini Rev. Med. Chem. 2009, 9, 1518–1526. [Google Scholar] [CrossRef]
- Karlic, H.; Lohninger, A. Supplementation of L-carnitine in athletes: Does it make sense? Nutrition 2004, 20, 709–715. [Google Scholar] [CrossRef]
- Stoppoloni, D.; Politi, L.; Dalla Vedova, P.; Messano, M.; Koverech, A.; Scandurra, R.; Scotto d’Abusco, A. L-carnitine enhances extracellular matrix synthesis in human primary chondrocytes. Rheumatol. Inter. 2013, 9, 2399–2403. [Google Scholar] [CrossRef]
- Jia, C.; Xu, H.; Xu, Y.; Xu, Y.; Shi, Q. Serum metabolomics analysis of patients with polycystic ovary syndrome by mass spectrometry. Mol. Reprod. Dev. 2019, 86, 292–297. [Google Scholar] [CrossRef]
- Surowiec, I.; Arlestig, S.; Rantapaa-Dahlqvist, J. Metabolite and Lipid Profiling of Biobank Plasma Samples Collected Prior to Onset of Rheumatoid Arthritis. PLoS ONE 2016, 11, e0164196. [Google Scholar] [CrossRef]




| Characteristic | Controls (n = 6) | OA (n = 6) |
|---|---|---|
| weight (g) | 431.7 ± 14.50 | 421.9 ± 12.19 |
| WBC (/109 × L−1) | 10.16 ± 1.93 | 9.88 ± 2.67 |
| ALT (U/L) | 47.71 ± 4.26 | 48.94 ± 6.81 |
| AST (U/L) | 116.91 ± 14.05 | 117.12 ± 11.98 |
| NO (μmol/L) | 7.45 ± 1.21 | 8.69 ± 0.52 * |
| PGE2 (μmol/L) | 7.69 ± 1.60 | 11.83 ± 2.87 * |
| E2 (ng/L) | 20.07 ± 6.79 | 10.16 ± 4.42 * |
| TC (mmol/L) | 1.18 ± 0.44 | 1.96 ± 0.58 * |
| Metabolites | Theory (m/z) (HMDB) | Observed (m/z) | Mass Error Theory vs Observed (ppm) | Observed Retention Time (min) | Commercial Standard (m/z) | Mass Error Observed vs Commercial Standard (ppm) | Commercial Standard Retention Time (min) | OA vs Control Group | Pathway |
|---|---|---|---|---|---|---|---|---|---|
| Positive Ion Mode | |||||||||
| l-Tryptophan | 205.0977 | 205.0981 | 2.0 | 8.4 | 205.0984 | 1.5 | 8.4 | Increase | Tryptophan metabolism |
| γ-Aminobutyric acid | 104.0711 | 104.0709 | 1.9 | 7.3 | 104.0706 | 2.9 | 7.3 | Increase | Glutamate metabolism |
| Carbamic acid | 62.0242 | 62.0241 | 1.6 | 10.2 | 62.0242 | 1.6 | 10.2 | Increase | Nitrogen metabolism |
| l-Arginine | 175.1195 | 175.1193 | 1.1 | 11.3 | 175.1196 | 1.7 | 11.3 | Decrease | Arginine metabolism |
| l-Carnitine | 162.113 | 162.1128 | 1.2 | 5.8 | 162.1131 | 1.2 | 5.8 | Increase | Fatty acid metabolism |
| Negative Ion Mode | |||||||||
| Stearic acid | 283.2637 | 283.2639 | 0.7 | 2.1 | 283.2638 | 0.7 | 2.1 | Increase | Fatty acid biosynthesis |
Publisher’s Note: MDPI stays neutral with regard to jurisdictional claims in published maps and institutional affiliations. |
© 2021 by the authors. Licensee MDPI, Basel, Switzerland. This article is an open access article distributed under the terms and conditions of the Creative Commons Attribution (CC BY) license (https://creativecommons.org/licenses/by/4.0/).
Share and Cite
Zhao, J.; Liu, M.; Shi, T.; Gao, M.; Lv, Y.; Zhao, Y.; Li, J.; Zhang, M.; Zhang, H.; Guan, F.; et al. Analysis of Serum Metabolomics in Rats with Osteoarthritis by Mass Spectrometry. Molecules 2021, 26, 7181. https://doi.org/10.3390/molecules26237181
Zhao J, Liu M, Shi T, Gao M, Lv Y, Zhao Y, Li J, Zhang M, Zhang H, Guan F, et al. Analysis of Serum Metabolomics in Rats with Osteoarthritis by Mass Spectrometry. Molecules. 2021; 26(23):7181. https://doi.org/10.3390/molecules26237181
Chicago/Turabian StyleZhao, Jingtong, Meng Liu, Tongfei Shi, Mohan Gao, Yuqian Lv, Yawei Zhao, Jing Li, Ming Zhang, Hansi Zhang, Fengying Guan, and et al. 2021. "Analysis of Serum Metabolomics in Rats with Osteoarthritis by Mass Spectrometry" Molecules 26, no. 23: 7181. https://doi.org/10.3390/molecules26237181
APA StyleZhao, J., Liu, M., Shi, T., Gao, M., Lv, Y., Zhao, Y., Li, J., Zhang, M., Zhang, H., Guan, F., He, K., & Chen, L. (2021). Analysis of Serum Metabolomics in Rats with Osteoarthritis by Mass Spectrometry. Molecules, 26(23), 7181. https://doi.org/10.3390/molecules26237181
