Antioxidant Property of the Egyptian Propolis Extract Versus Aluminum Silicate Intoxication on a Rat’s Lung: Histopathological Studies
Abstract
1. Introduction
2. Results
2.1. Biochemical Oxidative Stress Parameters
2.2. Determination of Lung Enzymatic Activities
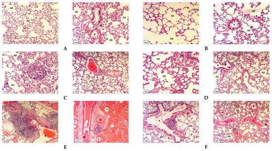
2.3. Histological Investigations
3. Discussion
4. Materials and Methods
4.1. The Extract of Propolis
4.2. Experimental Animals
4.3. Biochemical Assay
4.4. Histological Study
5. Conclusions
Author Contributions
Funding
Acknowledgments
Conflicts of Interest
References
- Kawahara, M.; Kato-Negishi, M. Link between Aluminum and the Pathogenesis of Alzheimer’s Disease: The Integration of the Aluminum and Amyloid Cascade Hypotheses. Int. J. Alzheimers Dis. 2011, 2011, 276393. [Google Scholar] [CrossRef]
- Kumar, V.; Gill, K.D. Aluminium neurotoxicity: Neurobehavioural and oxidative aspects. Arch. Toxicol. 2009, 83, 965–978. [Google Scholar] [CrossRef]
- Ganrot, P. Metabolism and possible health effects of aluminum. Environ. Health Perspect. 1986, 65, 363–441. [Google Scholar] [PubMed]
- Verstraeten, S.V.; Aimo, L.; Oteiza, P.I. Aluminium and lead: Molecular mechanisms of brain toxicity. Arch. Toxicol. 2008, 82, 789–802. [Google Scholar] [CrossRef] [PubMed]
- Pennington, J.A. Aluminium content of foods and diets. Food Addit. Contam. 1988, 5, 161–232. [Google Scholar] [CrossRef] [PubMed]
- Alfrey, A.C. Aluminium metabolism in uremia. Neurotoxicology 1980, 1, 43–53. [Google Scholar]
- Moller, N.; Christov, C.; Weare, J. Thermodynamic Mmodels of Aluminum Silicate Mineral Solubility for Application to Enhanced Geothermal Systems. In Proceedings of the 31st Workshop on Geothermal Reservoir Engineering, Stanford, CA, USA, 30 January–1 February 2006; Sanford University: Stanford, CA, USA, 2006. [Google Scholar]
- Exley, C. Does antiperspirant use increase the risk of aluminium-related disease, including Alzheimer’s disease? Mol. Med. Today 1998, 4, 107–109. [Google Scholar] [CrossRef]
- Grăvilă, C.; Stana, L.; Muselin, F.; TRIF, A. Consequences of Ad Libitum Aluminium Administration during Three Generations On Rats Blood Gsh Dinamics. Sci. Pap. Anim. Sci. Biotechnol. 2008, 41, 93–98. [Google Scholar]
- Nattrass, C.; Horwell, C.J.; Damby, D.; Brown, D.; Stone, V. The effect of aluminium and sodium impurities on the in vitro toxicity and pro-inflammatory potential of cristobalite. Environ. Res. 2017, 159, 164–175. [Google Scholar] [CrossRef]
- Venturini-Soriano, M.; Berthon, G. Aluminum speciation studies in biological fluids: Part 7. A quantitative investigation of aluminum (III)–malate complex equilibria and their potential implications for aluminum metabolism and toxicity. J. Inorg. Biochem. 2001, 85, 143–154. [Google Scholar] [CrossRef]
- Elserougy, S.; Mahdy-Abdallah, H.; Hafez, S.F.; Beshir, S. Impact of aluminum exposure on lung. Toxicol. Ind. Health 2015, 31, 73–78. [Google Scholar] [CrossRef] [PubMed]
- Pauluhn, J. Pulmonary toxicity and fate of agglomerated 10 and 40 nm aluminum oxyhydroxides following 4-week inhalation exposure of rats: Toxic effects are determined by agglomerated, not primary particle size. Toxicol. Sci. 2009, 109, 152–167. [Google Scholar] [CrossRef] [PubMed]
- Al-Kahtani, M. Renal damage mediated by oxidative stress in mice treated with aluminium chloride: Protective effects of taurine. J. Biol. Sci. 2010, 10, 584–595. [Google Scholar] [CrossRef]
- Kamal, I.; Kamal, H. Effects of aluminum on rat cerebellar cortex and the possible protective role of Nigella sativa: A light and electron microscopic study. Egypt. J. Histol. 2013, 36, 979–990. [Google Scholar] [CrossRef]
- Nehru, B.; Anand, P. Oxidative damage following chronic aluminium exposure in adult and pup rat brains. J. Trace Elem. Med. Biol. 2005, 19, 203–208. [Google Scholar] [CrossRef] [PubMed]
- Abd, E.-A.Y.M.; Abu-Almaaty, A.H.; Omar, N.A.; Abdeen, A.M.; Zakaria, M.M. Evaluation of protective effects of propolis against aluminium silicate toxicity in rats. Genetika 2019, 51, 299–312. [Google Scholar] [CrossRef]
- Omar, N.A.; Abu-Almaaty, A.H.; Abd El-Aziz, Y.M.; Abdeen, A.M.; Mohamed, F.E.Z.A.; Hashem, M.M.; Hammad, S. Impacts of Egyptian propolis extract on rat cerebellum intoxicated by aluminum silicate: Histopathological studies. Environ. Sci. Pollut. Res. Int. 2019, 26, 22061–22068. [Google Scholar] [CrossRef] [PubMed]
- Abu-Almaaty, A.H.; El-Aziz, A.; Yasmin, M.; Omar, N.A.; Abdeen, A.M. Estimation of the Prophylactic Effect of the Egyptian Propolis Extract against Aluminum Silicate Toxicity on Some Organs of Albino Rats: Growth Performance and Histochemical Studies. Egypt. J. Hosp. Med. 2019, 76, 4564–4569. [Google Scholar]
- Kinnula, V.L.; Crapo, J.D. Superoxide dismutases in malignant cells and human tumors. Free Radic. Biol. Med. 2004, 36, 718–744. [Google Scholar] [CrossRef]
- Simões, L.; Gregório, L.; Da Silva Filho, A.; De Souza, M.; Azzolini, A.; Bastos, J.; Lucisano-Valim, Y. Effect of Brazilian green propolis on the production of reactive oxygen species by stimulated neutrophils. J. Ethnopharmacol. 2004, 94, 59–65. [Google Scholar] [CrossRef]
- Yousef, M.I.; Salama, A.F. Propolis protection from reproductive toxicity caused by aluminium chloride in male rats. Food Chem. Toxicol. 2009, 47, 1168–1175. [Google Scholar] [CrossRef] [PubMed]
- Cole, N.; Sou, P.W.; Ngo, A.; Tsang, K.H.; Severino, J.A.; Arun, S.J.; Duke, C.C.; Reeve, V.E. Topical ‘Sydney’propolis protects against UV-radiation-induced inflammation, lipid peroxidation and immune suppression in mouse skin. Int. Arch. Allergy Immunol. 2010, 152, 87–97. [Google Scholar] [CrossRef] [PubMed]
- Hendi, N.K.; Naher, H.S.; Al-Charrakh, A.H. In vitro antibacterial and antifungal activity of Iraqi propolis. J. Med. Plants Res. 2011, 5, 5058–5066. [Google Scholar]
- Lopes, A.A.; Ferreira, T.S.; Nesi, R.T.; Lanzetti, M.; Pires, K.M.P.; Silva, A.M.; Borges, R.M.; Silva, A.J.R.; Valença, S.S.; Porto, L.C. Antioxidant action of propolis on mouse lungs exposed to short-term cigarette smoke. Bioorg. Med. Chem. 2013, 21, 7570–7577. [Google Scholar] [CrossRef] [PubMed]
- Mahmoud, M.E.; Elsoadaa, S.S. Protective effect of ascorbic acid, biopropolis and royal jelly against aluminum toxicity in rats. J. Nat. Sci. Res. 2013, 3, 102–112. [Google Scholar]
- Jasprica, I.; Mornar, A.; Debeljak, Ž.; Smolčić-Bubalo, A.; Medić-Šarić, M.; Mayer, L.; Romić, Ž.; Bućan, K.; Balog, T.; Sobočanec, S. In vivo study of propolis supplementation effects on antioxidative status and red blood cells. J. Ethnopharmacol. 2007, 110, 548–554. [Google Scholar] [CrossRef]
- Nathiya, S.; Nandhini, A. Evaluation of antioxidant effect of Salacia oblonga against aluminum chloride induced visceral toxicity in albino rats. J. Basic Clin. Pharm. 2014, 3, 315–319. [Google Scholar] [CrossRef][Green Version]
- Ghorbel, I.; Chaâbane, M.; Boudawara, O.; Kamoun, N.G.; Boudawara, T.; Zeghal, N. Dietary unsaponifiable fraction of extra virgin olive oil supplementation attenuates lung injury and DNA damage of rats co-exposed to aluminum and acrylamide. Environ. Sci. Pollut. Res. Int. 2016, 23, 19397–19408. [Google Scholar] [CrossRef]
- Ghorbel, I.; Elwej, A.; Chaabane, M.; Jamoussi, K.; Mnif, H.; Boudawara, T.; Zeghal, N. Selenium alleviates oxidative stress and lung damage induced by aluminum chloride in adult rats: Biochemical and histological approach. Biol. Trace Elem. Res. 2017, 176, 181–191. [Google Scholar] [CrossRef]
- Rao, D.S.; Jayaraaj, I.A.; Jayaraaj, R. Antiasthmatic Role of “Pentapala-04” a Herbal Formulation Against Ova Albumin and Aluminium Hydroxide Induced Lung Damage in Rats. Anc. Sci. Life 2005, 24, 134. [Google Scholar]
- Hussein, M.N.; Jabir, F.A. Potential Protective Effect of Local Ethanolic Extract of Propolis against Asthma A Biochemical study on Rats. Al-Qadis. Med. J. 2015, 11, 37–43. [Google Scholar]
- Larivee, P.; Cantin, A.; Dufresne, A.; Begin, R. Enzyme activities of lung lavage in silicosis. Lung 1990, 168, 151–158. [Google Scholar] [CrossRef] [PubMed]
- Bégin, R.; Massé, S.; Rola-Pleszczynski, M.; Martel, M.; Desmarais, Y.; Geoffroy, M.; LeBouffant, L.; Daniel, H.; Martin, J. Aluminum Lactate Treatment Alters the Lung Biological Activity of Quartz. Exp. Lung Res. 1986, 10, 385–399. [Google Scholar] [CrossRef] [PubMed]
- Bégin, R.; Massé, S.; Sébastien, P.; Martel, M.; Bossé, J.; Dubois, F.; Geoffroy, M.; Labbé, J. Sustained efficacy of aluminum to reduce quartz toxicity in the lung. Exp. Lung Res. 1987, 13, 205–222. [Google Scholar] [CrossRef] [PubMed]
- Lindenschmidt, R.C.; Driscoll, K.E.; Perkins, M.A.; Higgins, J.M.; Maurer, J.K.; Belfiore, K.A. The comparison of a fibrogenic and two nonfibrogenic dusts by bronchoalveolar lavage. Toxicol. Appl. Pharm. 1990, 102, 268–281. [Google Scholar] [CrossRef]
- Saddiq, A.A.; Mohamed, A.M. Potential role of Saudi red propolis in alleviating lung damage induced by methicillin resistant Staphylococcus aureus virulence in rats. Pak. J. Pharm. Sci. 2016, 29, 1197–1207. [Google Scholar]
- Cunha, I.; Sawaya, A.C.; Caetano, F.M.; Shimizu, M.T.; Marcucci, M.C.; Drezza, F.T.; Povia, G.S.; Carvalho, P.D.O. Factors that influence the yield and composition of Brazilian propolis extracts. J. Braz. Chem. Soc. 2004, 15, 964–970. [Google Scholar] [CrossRef]
Sample Availability: Samples of the compounds are available from the authors. |



Publisher’s Note: MDPI stays neutral with regard to jurisdictional claims in published maps and institutional affiliations. |
© 2020 by the authors. Licensee MDPI, Basel, Switzerland. This article is an open access article distributed under the terms and conditions of the Creative Commons Attribution (CC BY) license (http://creativecommons.org/licenses/by/4.0/).
Share and Cite
Abu Almaaty, A.H.; Abd El-Aziz, Y.M.; Omar, N.A.; Abdeen, A.M.; Afifi, H.; Ibrahim, T.S.; Elhady, S.S.; Khedr, A.I.M. Antioxidant Property of the Egyptian Propolis Extract Versus Aluminum Silicate Intoxication on a Rat’s Lung: Histopathological Studies. Molecules 2020, 25, 5821. https://doi.org/10.3390/molecules25245821
Abu Almaaty AH, Abd El-Aziz YM, Omar NA, Abdeen AM, Afifi H, Ibrahim TS, Elhady SS, Khedr AIM. Antioxidant Property of the Egyptian Propolis Extract Versus Aluminum Silicate Intoxication on a Rat’s Lung: Histopathological Studies. Molecules. 2020; 25(24):5821. https://doi.org/10.3390/molecules25245821
Chicago/Turabian StyleAbu Almaaty, Ali H., Yasmin M. Abd El-Aziz, Nahed A. Omar, Ahmed M. Abdeen, Hala Afifi, Tarek S. Ibrahim, Sameh S. Elhady, and Amgad I. M. Khedr. 2020. "Antioxidant Property of the Egyptian Propolis Extract Versus Aluminum Silicate Intoxication on a Rat’s Lung: Histopathological Studies" Molecules 25, no. 24: 5821. https://doi.org/10.3390/molecules25245821
APA StyleAbu Almaaty, A. H., Abd El-Aziz, Y. M., Omar, N. A., Abdeen, A. M., Afifi, H., Ibrahim, T. S., Elhady, S. S., & Khedr, A. I. M. (2020). Antioxidant Property of the Egyptian Propolis Extract Versus Aluminum Silicate Intoxication on a Rat’s Lung: Histopathological Studies. Molecules, 25(24), 5821. https://doi.org/10.3390/molecules25245821

