Phytochemical Evaluation of Tinctures and Essential Oil Obtained from Satureja montana Herb
Abstract
1. Introduction
2. Results and Discussion
3. Materials and Methods
3.1. Plant Material
3.2. Extraction
3.3. Essential Oil Isolation Procedure
3.4. Chemicals and Reagents
3.5. Determination of Total Phenolic Content (TPC)
3.6. Total Flavonoid Content (TFC)
3.7. HPTLC Analysis
3.8. GC-MS Analysis of Essential Oil
3.9. Statistical Analysis
4. Conclusions
Author Contributions
Funding
Conflicts of Interest
References
- El-Hagrassi, A.M.; Abdallah, E.; Osman, A.F.; Abdelshafeek, K.A. Phytochemical study of bioactive constituents from Satureja montana L. growing in Egypt and their antimicrobial and antioxidant activities. Asian J. Pharm. Clin. Res. 2018, 11, 142–148. [Google Scholar] [CrossRef]
- Hassanein, H.D.; Ahl Hah, S.A.; Abdelmohsen, M.M. Antioxidant polyphenolic constituents of Satureja montana L. growing in Egypt. Int. J. Pharm. Pharm. Sci. 2014, 6, 578–581. [Google Scholar]
- Oliveira, T.L.C.; Carvalho, S.M.; Soares, R.A.; Andrade, M.A.; Cardoso, M.G.; Ramos, E.M.; Piccoli, R.H. Antioxidant effects of Satureja montana L. essential oil on TBARS and color of mortadella-type sausages formulated with different levels of sodium nitrite. LWT Food Sci. Technol. 2012, 45, 204–212. [Google Scholar] [CrossRef]
- Serrano, C.; Matos, O.; Teixeira, B.; Ramos, C.; Neng, N.; Nogueira, J.; Nunes, M.L.; Marques, A. Antioxidant and antimicrobial activity of Satureja montana L. extracts. J. Sci. Food Agric. 2011, 91, 1554–1560. [Google Scholar] [CrossRef]
- Tepe, B.; Cilkiz, M.A. A pharmacological and phytochemical overview on Satureja. Pharm. Biol. 2015, 54, 375412. [Google Scholar] [CrossRef]
- Hajdari, A.; Mustafa, B.; Kaçiku, A.; Xhavit, M.; Brigitte, L.; Alban, I.; Gjoshe, S.; Johannes, N. Chemical composition of the essential oil, total phenolics, total flavonoids and antioxidant activity of methanolic extracts of Satureja montana L. Rec. Nat. Prod. 2016, 10, 750–760. [Google Scholar]
- Hudz, N.I.; Shanaida, M.I.; Svidenko, L.V.; Šimková, Y. Winter Savory (Satureja montana L., Lamiaceae) herb as a promising medicinal raw material for the development of antimicrobial and antioxidant medicines. News Pharm. 2019, 2, 4–10. [Google Scholar] [CrossRef]
- Jafari, F.; Ghavidel, F.; Zarshenas, M.M. A critical overview on the pharmacological and clinical aspects of popular Satureja species. J. Acupunct. Meridian Stud. 2016, 9, 118–127. [Google Scholar] [CrossRef]
- Kremer, D.; Košir, I.J.; Končić, M.Z.; Čerenak, A.; Potočnik, T.; Srečec, S.; Randić, M.; Kosalecet, K. Antimicrobial and antioxidant properties of Satureja montana L. and S. subspicata Vis. (Lamiaceae). Curr. Drug Targets 2015, 16, 1623–1633. [Google Scholar] [CrossRef]
- Mihajilov-Krstev, T.; Radnović, D.; Kitić, D.; Jovanović, V.S.; Mitić, G.V.; Stojanović-Radić, Z.; Zlatković, B. Chemical composition, antimicrobial, antioxidative and anticholinesterase activity of Satureja montana L. ssp montana essential oil. Open Life Sci. 2014, 9, 668–677. [Google Scholar] [CrossRef]
- Grosso, C.; Oliveira, A.C.; Mainar, A.M.; Urieta, J.S.; Barroso, J.G.; Palavra, A.M. Antioxidant activities of the supercritical and conventional Satureja montana extracts. J. Food Sci. 2009, 74, 713–717. [Google Scholar] [CrossRef] [PubMed]
- Ćetković, G.S.; Mandic, A.I.; Canadanovic-Brunet, J.M.; Djilas, S.M.; Tumbas, V.T. HPLC Screening of phenolic compounds in Winter Savory (Satureja montana L.) extracts. J. Liq. Chromatogr. Relat. Technol. 2007, 30, 293–306. [Google Scholar] [CrossRef]
- Staszek, D.; Orłowska, M.; Waksmundzka-Hajnos, M.; Sajewicz, M.; Kowalska, T. Marker fingeprints originating from TLC and HPLC for selected plants from the Lamiaceae family. J. Liq. Chromatogr. Relat. Technol. 2013, 36, 2463–2475. [Google Scholar] [CrossRef]
- Chrpová, D.; Kouřimská, L.; Gordon, M.H.; Heřmanová, V.; Roubíčková, I.; Pánek, J. Antioxidant activity of selected phenols and herbs used in diets for medical conditions. Czech J. Food Sci. 2010, 28, 317–325. [Google Scholar] [CrossRef]
- Sultana, B.; Anwar, F.; Ashraf, M. Effect of extraction solvent/technique on the antioxidant activity of selected medicinal plant extracts. Molecules 2009, 14, 2167–2180. [Google Scholar] [CrossRef]
- Stanek, N.; Jasicka-Misiak, I. HPTLC phenolic profiles as useful tools for the authentication of honey. Food Anal. Methods 2018, 11, 2979–2989. [Google Scholar] [CrossRef]
- Nemati, Z.; Talebi, E.; Khosravinezhad, M.; Golkari, H. Chemical composition and antioxidant activity of Iranian Satureja montana. Sci. Int. 2018, 6, 39–43. [Google Scholar] [CrossRef][Green Version]
- Fierascu, I.; Dinu-Pirvu, C.E.; Fierascu, R.C.; Velescu, B.S.; Anuta, V.; Ortan, A.; Jinga, V. Phytochemical profile and biological activities of Satureja hortensis L.: A review of the last decade. Molecules 2018, 23, 2458. [Google Scholar] [CrossRef]
- Miladi, H.; Slama, R.B.; Mili, D.; Zouari, S.; Bakhrouf, A.; Ammar, E. Chemical composition and cytotoxic and antioxidant activities of Satureja montana L. essential oil and its antibacterial potential against Salmonella Spp. strains. J. Chem. 2013, 2013, 275698. [Google Scholar] [CrossRef]
- García-Díaz, M.; Gil-Serna, J.; Patiño, B.; García-Cela, E.; Magan, N.; Medina, Á. Assessment of the effect of Satureja montana and Origanum viren essential oils on Aspergillus flavus growth and aflatoxin production at different water activities. Toxins 2020, 25, 142. [Google Scholar] [CrossRef]
- Council of Europe. European Pharmacopoeia, 7th ed.; Council of Europe: Strasbourg, France, 2001. [Google Scholar]
- Blainski, A.; Lopes, G.C.; Pallazo de Mello, J.C. Application and analysis of the Folin Ciocalteu method for the determination of the total phenolic content from Limonium Brasiliense L. Molecules 2013, 18, 6852–6865. [Google Scholar] [CrossRef] [PubMed]
- Agbor, G.A.; Vinson, J.A.; Donnely, P.E. Folin-Ciocalteu reagent for polyphenolic assay. Int. J. Food Sci. Nutr. Diet. 2014, 3, 147–156. [Google Scholar] [CrossRef]
- Jayagopal, B.; Shivashankar, M. Analytical Quality by Design—A legitimate paradigm for pharmaceutical analytical method development and validation. Mech. Mater. Sci. Eng. J. 2017, 9, 1–11. [Google Scholar] [CrossRef]
- Hudz, N.; Yezerska, O.; Shanaida, M.; Horčinová Sedláčková, V.; Wieczorek, P.P. Application of the Folin-Ciocalteu method to the evaluation of Salvia sclarea extracts. Pharmacia 2019, 66, 209–215. [Google Scholar] [CrossRef]
- ICH Topic Q2 (R1) Validation of Analytical Procedures: Text and Methodology. Step 5. Note for Guidance on Validation of Analytical Procedures: Text and Methodology (CPMP/ICH/381/95); European Medicines Agency: London, UK, 1994.
- The State Pharmacopoeia of Ukraine, 2nd ed.; State Enterprise “Ukrainian Scientific Pharmacopoeial Center of the Quality of Medicines”: Kharkiv, Ukraine, 2015; 3, p. 1128.
- López-Cobo, A.; Gómez-Caravaca, A.M.; Švarc-Gajić, J.; Segura-Carretero, A.; Fernández-Gutiérrez, A. Determination of phenolic compounds and antioxidant activity of a Mediterranean plant: The case of Satureja montana subsp. kitaibelii. J. Funct. Food. 2015, 18, 1167–1178. [Google Scholar] [CrossRef]
- Zeljković, S.Ć.; Topčagić, A.; Požgan, F.; Štefane, B.; Tarkowski, P.; Maksimović, M. Antioxidant activity of natural and modified phenolic extracts from Satureja montana L. Ind. Crop Prod. 2015, 76, 1094–1099. [Google Scholar] [CrossRef]
- Jakovljević, M.; Vladić, J.; Vidović, S.; Pastor, K.; Jokić, S.; Molnar, M.; Jerković, I. Application of deep eutectic solvents for the extraction of rutin and rosmarinic acid from Satureja montana L. and evaluation of the extracts antiradical activity. Plants 2020, 9, 153. [Google Scholar] [CrossRef]
- Han, R.M.; Zhang, J.P.; Skibsted, L.H. Reaction dynamics of flavonoids and carotenoids as antioxidants. Molecules 2012, 17, 2140–2160. [Google Scholar] [CrossRef]
- Chang, C.-C.; Yang, M.-H.; Wen, H.-W.; Chern, J.-C. Estimation of total flavonoid content in propolis by two complementary colorimetric methods. J. Food Drug Anal. 2002, 10, 178–182. [Google Scholar] [CrossRef]
- Hudz, N.; Yezerska, O.; Grygorieva, O.; Brindza, J.; Felšöciová, S.; Kačániová, M.; Wieczorek, P.P. Analytical procedure elaboration of total flavonoid content determination and antimicrobial activity of bee bread extracts. Acta Pol. Pharm. Drug Res. 2019, 76, 439–452. [Google Scholar] [CrossRef]
- Guideline on Specifications: Test Procedures and Acceptance Criteria for Herbal Substances, Herbal Preparations and Herbal Medicinal Products/Traditional Herbal Medicinal Products; EMA/CPMP/QWP/2820/00 Rev. 2; European Medicines Agency: Amsterdam, The Netherlands, 2011; 25p, Available online: https://www.ema.europa.eu/en/specifications-test-procedures-acceptance-criteria-herbal-substances-herbal-preparations-herbal (accessed on 14 September 2020).
- Cechinel-Filho, V. Plant Bioactives and Drug Discovery: Principles, Practice, and Perspectives; John Wiley & Sons, Inc.: Hoboken, NJ, USA, 2012; 586p. [Google Scholar] [CrossRef]
- Cieśla, Ł.M.; Waksmundzka-Hajnos, M.; Wojtunik, K.A.; Hajnos, M. Thin-layer chromatography coupled with biological detection to screen natural mixtures for potential drug leads. Phytochem. Lett. 2015, 11, 445–454. [Google Scholar] [CrossRef]
- Lee, J.-H.; Kim, Y.-G.; Lee, J. Carvacrol-rich oregano oil and thymol-rich thyme red oil inhibit biofilm formation and the virulence of uropathogenic Escherichia coli. J. Appl. Microbiol. 2017, 123, 1420–1428. [Google Scholar] [CrossRef] [PubMed]
- Meeran, M.F.N.; Javed, H.; Al Taee, H.; Azimullah, S.; Ojha, S.K. Pharmacological properties and molecular mechanisms of thymol: Prospects for its therapeutic potential and pharmaceutical development. Front Pharmacol. 2017, 8, 380. [Google Scholar] [CrossRef]
- Caprioli, G.; Lupidi, G.; Maggi, F. Comparison of chemical composition and antioxidant activities of two Winter savory subspecies (Satureja montana subsp. variegata and Satureja montana subsp. montana) cultivated in Northern Italy. Nat. Prod. Res. 2019, 33, 3143–3147. [Google Scholar] [CrossRef] [PubMed]
- Aouam, I.; El Atki, Y.; Taroq, A.; El Kamari, F.; Abdellaoui, A. Chemical composition, antimicrobial, and antioxidant activities of two Moroccan Thymus essential oils. Asian J. Pharm. Clin. Res. 2019, 12, 447–451. [Google Scholar] [CrossRef]
- Shanaida, M.; Golembiovska, O.; Hudz, N.; Wieczorek, P.P. Phenolic compounds of herbal infusions obtained from some species of the Lamiaceae family. Curr. Issues Pharm. Med. Sci. 2018, 31, 194–199. [Google Scholar] [CrossRef]
- Meda, A.; Lamien, C.E.; Romito, M.; Millogo, J.; Nacoulma, O.G. Determination of the total phenolic, flavonoid and proline contents in Burkina Fasan honey, as well as their radical scavenging activity. Food Chem. 2005, 91, 571–577. [Google Scholar] [CrossRef]
- Bühl, A.; Zöfel, P. SPSS Version 10. Einführung in Die Moderne Datenanalyse Unter Windows 7, Überarbeitete und Erweiterte Auflage; Diasoft: Moscow, Russia; Sankt Petersburg, Russia; Kiev, Ukraine, 2005; pp. 193–195. [Google Scholar]
- Wayne, W.D. Biostatistics: A Foundation for Analysis in the Health Sciences, 9th ed.; Wiley: Hoboken, NJ, USA, 2009; pp. 215–244. [Google Scholar]








| T2 | T1 | |||||||
|---|---|---|---|---|---|---|---|---|
| Time, min | Mean Absorbance ± SD | Correlation Equation, R2 | Time, min | Mean Absorbance ± SD | Correlation Equation, R2 | Time, min | Mean Absorbance ± SD | Correlation Equation, R2 |
| 30 | 0.426 ± 0.009 | – | 32 | 0.751 ± 0.039 | – | 34 | 0.781 ± 0.035 | – |
| – | – | – | 47 | 0.769 ± 0.032 | y = 0.0012x + 0.7126 R2 = 1 | – | – | – |
| 65 | 0.436 ± 0.008 | y = 0.0003x + 0.4174 R2 = 1 | 70 | 0.774 ± 0.025 | y = 0.0006x + 0.7362 R2 = 0.8214 | 62 | 0.784 ± 0.028 | y = 0.0001x + 0.7774 R2 = 1 |
| 92 | 0.439 ± 0.006 | y = 0.0002x + 0.4204 R2 = 0.9493 | 83 | 0.774 ± 0.022 | y = 0.0004x + 0.7428 R2 = 0.7606 | 80 | 0.788 ± 0.027 | y = 0.0001x + 0.7758 R2 = 0.9686 |
| – | – | – | 102 | 0.775 ± 0.019 | y = 0.0003x + 0.7486 R2 = 0.6853 | – | – | – |
| 118 | 0.438 ± 0.007 | y = 0.0001x +0.4241 R2 = 0.7745 | 122 | 0.773 ± 0.017 | y = 0.0002x + 0.754 R2 = 0.5376 | 123 | 0.786 ± 0.024 | y = 6E-05x + 0.7803 R2 = 0.5394 |
| 147 | 0.438 ± 0.024 | y = 9E-05x + 0.4269 R2 = 0.6347 | 136 | 0.776 ± 0.015 | y = 0.0002x + 0.756 R2 = 0.5407 | – | – | – |
| Active Substance | TPC, X ± SD | |||
|---|---|---|---|---|
| with Reference to Gallic Acid | with Reference to Rutin | |||
| T1 | T2 | T1 | T2 | |
| Tincture, mg/L | 2441.1 ± 78.8 | 1255 ± 23.0 | 4914.5 ± 158.74 | 2525.1 ± 46.21 |
| Herb, mg/g | 22.7 ± 0.73 | 13.0 ± 0.24 | 45.63 ± 1.47 | 26.16 ± 0.48 |
| Tincture | TFC, X ± RSD | ||
|---|---|---|---|
| Immediately after Maceration | In 2 Weeks of Storage | In 6 Months of Storage | |
| T1 | 943.88 mg/L ± 2.44% 8.76 mg/g | - | - |
| T2 | 613.4 mg/L ± 2.84% 6.36 mg/g | - | - |
| T3 | 614.7 mg/L ± 5.22% 6.38 mg/g | - | 655.6 mg/L ± 2.41% 6.81 mg/g |
| T4 | 655.6 mg/L ± 1.36% 6.24 mg/g | - | 655.6 mg/L ± 0.80% 6.24 mg/g |
| T5 | 994.1 mg/L ± 2.09% 9.47 mg/g | 853.8 mg/L ± 3.19% 8.13 mg/g | 973.8 mg/L ± 1.44% 9.27 mg/g |
| T6 | 508.0 mg/L ± 0.60% 5.15 mg/g | - | - |
| T7 | 523.8 mg/L ± 2.01% 5.85 mg/g | - | - |
| No. | Comparable Samples | Comparable Mean Values of TFC, mg/g | Standard Deviations (SD) of Mean Values | t | Conclusion 1 | Conclusion 2 | |||||
|---|---|---|---|---|---|---|---|---|---|---|---|
| SD1 | SD2 | ||||||||||
| 1 | 7 | 6 | 5.85 | 5.15 | 0.118 | 0.036 | 0.70 | 0.008 | 9.85 | H0 is rejected | The two means are statistically significantly different. There is a clear influence of the particle size on the extraction degree of flavonoids |
| 2 | 7 | 3 | 5.85 | 6.38 | 0.118 | 0.333 | 0.53 | 0.062 | 2.62 | H0 is accepted | The two means are equal. There is no effect of the storage time of the herbal substance on the extraction degree of flavonoids |
| 3 | 5 | 4 | 9.47 | 6.24 | 0.200 | 0.085 | 3.23 | 0.024 | 25.84 | H0 is rejected | The two means are statistically significantly different. There is a clear influence of the particle size on the extraction degree of flavonoids |
| 4 | 2 | 4 | 6.36 | 6.24 | 0.18 | 0.085 | 0.08 | 0.020 | 0.70 | H0 is accepted | The two means are equal. There is no effect of the herb collection year on the extraction degree of flavonoids (the particle size of 3–5 mm) |
| 5 | 1 | 5 | 8.76 | 9.47 | 0.213 | 0.200 | 0.71 | 0.043 | −4.20 | H0 is rejected | The two means are equal. There is an effect of the herb collection year on the extraction degree of flavonoids (the particle size of 1–3 mm) |
| 6 | 1 | 2 | 8.76 | 6.36 | 0.213 | 0.180 | 2.40 | 0.039 | 14.91 | H0 is rejected | The two means are statistically significantly different. There is a clear influence of the particle size on the extraction degree of flavonoids |
| 7 | 3 | 3 | 6.38 | 6.81 | 0.333 | 0.164 | 0.43 | 0.069 | 2.01 | H0 is accepted | The two means are equal. There is no effect of the storage time of the tincture on the TFC |
| 8 | 5 | 5 | 9.47 | 9.27 | 0.200 | 0.180 | 0.20 | 0.036 | 1.29 | H0 is accepted | The two means are equal. There is no effect of the storage time of the tincture on the TFC |
| 9 | 5 | 5 | 9.47 | 8.13 | 0.200 | 0.259 | 1.34 | 0.053 | 7.05 | H0 is rejected | The two means are statistically significantly different. There is an effect of the storage time of the tincture on the TFC |
| 10 | 5 | 5 | 8.13 | 9.27 | 0.259 | 0.180 | 1.14 | 0.050 | 6.33 | H0 is rejected | The two means are statistically significantly different. There is an effect of the storage time of the tincture on the TFC |
| Days of Extraction | Absorbance Mean ± SD | TFC, mg/L Mean ± SD | ||
|---|---|---|---|---|
| T1 | T2 | T1 | T2 | |
| 1 day | 0.163 ± 0.006 | 0.121 ± 0.006 | 314.50 ± 23.02 | 237.08 ± 23.02 |
| 4 days | 0.309 ± 0.008 | 0.254 ± 0.003 | 585.60 ± 26.73 | 483.45 ± 17.45 |
| 5 days | 0.368 ± 0.002 | 0.303 ± 0.025 | 695.10 ± 15.60 | 574.42 ± 58.30 |
| 7 days | 0.502 ± 0.006 | 0.334 ± 0.003 | 943.88 ± 23.02 | 613.41 ± 17.45 |
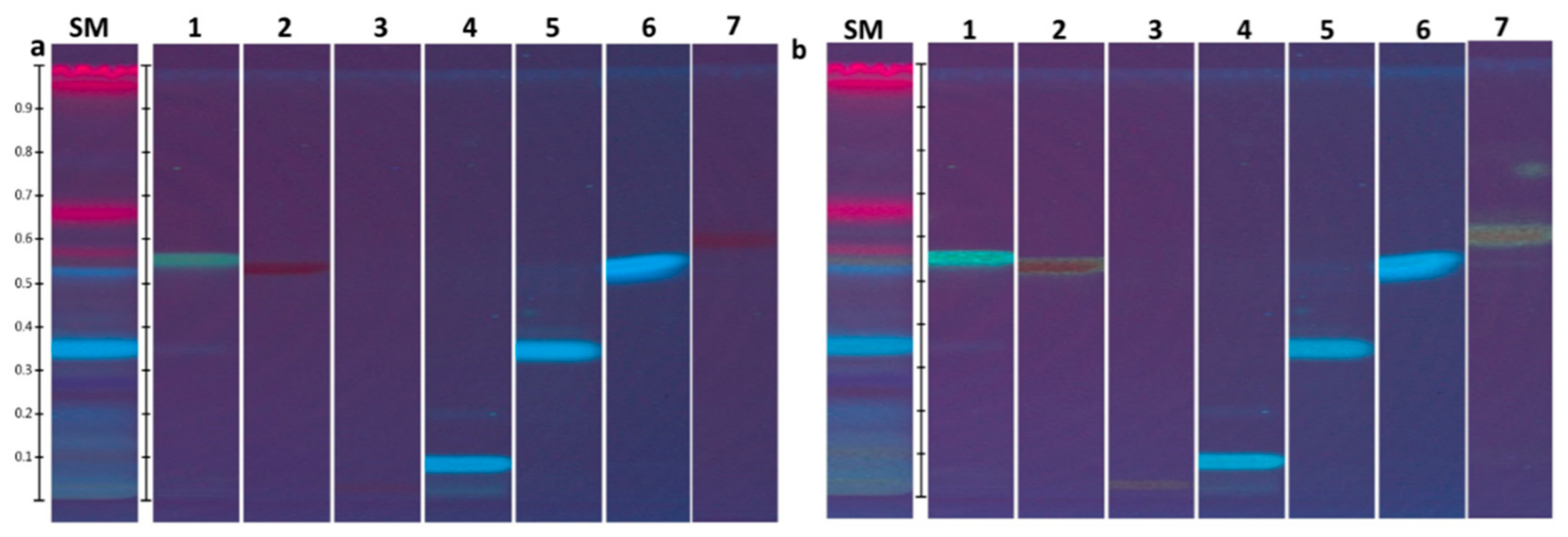
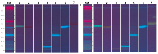
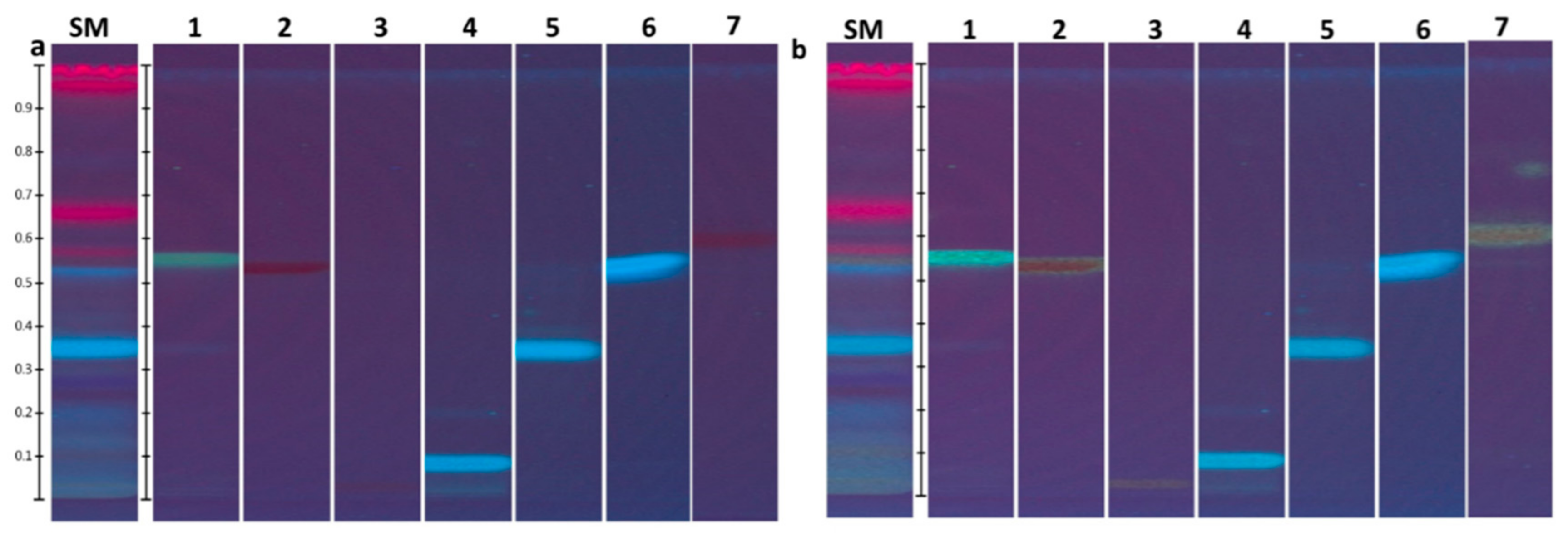
| Reference Standard | Rf Value | Colour of Band | |||
|---|---|---|---|---|---|
| Before Derivatisation | After Derivatisation | ||||
| 254 nm | 366 nm | 254 nm | 366 nm | ||
| Apigenin | 0.58 | Black | Black | Deep yellow | Deep yellow |
| Quercetin | 0.56 | Yellow | Yellow | Yellow | Yellow |
| Luteolin | 0.54 | Black | Black | Deep yellow | Deep yellow |
| Caffeic acid | 0.52 | Blue | Blue | Blue | Blue |
| Rosmarinic acid | 0.34 | Blue | Light blue | Blue | Light blue |
| (–)-Catechin | 0.25 | – | – | Deep black | Deep black |
| Chlorogenic acid | 0.09 | Blue | Light blue | Blue | Light blue |
| Rutin | 0.03 | Black | Black | Deep yellow | Deep yellow |
| No. | Component | IR | Area, % | SD |
|---|---|---|---|---|
| 1 | 1-octen-3-ol | 981 | 1.91 | 0.13 |
| 2 | terpinolene | 1017 | 0.10 | 0.01 |
| 3 | o-cymene | 1025 | 1.26 | 0.07 |
| 4 | eucalyptol | 1032 | 0.69 | 0.04 |
| 5 | γ-terpinene | 1060 | 1.65 | 0.06 |
| 6 | cis-β-terpineol | 1069 | 1.21 | 0.07 |
| 7 | trans-β-terpineol | 1089 | 0.31 | 0.01 |
| 8 | linalool | 1099 | 2.09 | 0.21 |
| 9 | thujone | 1118 | 0.06 | 0.00 |
| 10 | trans-p-menth-2-en-1-ol | 1124 | 0.04 | 0.00 |
| 11 | camphor | 1147 | 0.22 | 0.00 |
| 12 | endo-borneol | 1168 | 0.58 | 0.01 |
| 13 | terpinen-4-ol | 1179 | 1.07 | 0.04 |
| 14 | α-terpineol | 1193 | 0.31 | 0.02 |
| 15 | isothymol methyl ether | 1237 | 0.07 | 0.00 |
| 16 | thymol methyl ether | 1246 | 0.27 | 0.01 |
| 17 | thymoquinone | 1256 | 0.46 | 0.05 |
| 18 | linalyl acetate | 1263 | 0.14 | 0.05 |
| 19 | carvacrol | 1289 | 0.05 | 0.00 |
| 20 | thymol | 1295 | 0.65 | 0.03 |
| 21 | p-thymol | 1313 | 81.79 | 0.55 |
| 22 | carvacrol acetate | 1375 | 0.23 | 0.01 |
| 23 | caryophyllene | 1422 | 0.89 | 0.02 |
| 24 | β-cubebene | 1432 | 0.12 | 0.00 |
| 25 | aromadendrene | 1442 | 0.39 | 0.02 |
| 26 | γ-muurolene | 1479 | 0.26 | 0.02 |
| 27 | germacrene D | 1484 | 0.61 | 0.02 |
| 28 | ledene | 1498 | 0.95 | 0.01 |
| 29 | α-muurolene | 1502 | 0.04 | 0.01 |
| 30 | β-bisabolene | 1510 | 0.63 | 0.10 |
| 31 | γ-cadinene | 1517 | 0.18 | 0.03 |
| 32 | δ-cadinene | 1526 | 0.35 | 0.02 |
| 33 | spathulenol | 1584 | 0.24 | 0.02 |
| 34 | caryophyllene oxide | 1589 | 0.20 | 0.02 |
| Tincture | Year of Herb Collection | Time of a Tincture Preparation | Date of a Tincture Preparation | Ratio of Herbal Substance to a Tincture | Particle Size, mm | Extraction Type |
|---|---|---|---|---|---|---|
| T1 | 2017 | 7 days | June 2018 | 1:9.3 | 1–3 | maceration |
| T2 | 2017 | 1:10.4 | 3–5 | -//- | ||
| T3 | 2018 | 30 h | August 2019 | 1:10.4 | 1–3 | remaceration |
| T4 | 2018 | 7 days | 1:9.5 | 3–5 | maceration | |
| T5 | 2018 | 1:9.5 | 1–3 | -//- | ||
| T6 | 2018 | 30 h | March 2020 | 1:10.1 | 3–5 | remaceration |
| T7 | 2018 | 1:11.2 | 1–3 |
Sample Availability: Samples of the compounds are not available from the authors. |
Publisher’s Note: MDPI stays neutral with regard to jurisdictional claims in published maps and institutional affiliations. |
© 2020 by the authors. Licensee MDPI, Basel, Switzerland. This article is an open access article distributed under the terms and conditions of the Creative Commons Attribution (CC BY) license (http://creativecommons.org/licenses/by/4.0/).
Share and Cite
Hudz, N.; Makowicz, E.; Shanaida, M.; Białoń, M.; Jasicka-Misiak, I.; Yezerska, O.; Svydenko, L.; Wieczorek, P.P. Phytochemical Evaluation of Tinctures and Essential Oil Obtained from Satureja montana Herb. Molecules 2020, 25, 4763. https://doi.org/10.3390/molecules25204763
Hudz N, Makowicz E, Shanaida M, Białoń M, Jasicka-Misiak I, Yezerska O, Svydenko L, Wieczorek PP. Phytochemical Evaluation of Tinctures and Essential Oil Obtained from Satureja montana Herb. Molecules. 2020; 25(20):4763. https://doi.org/10.3390/molecules25204763
Chicago/Turabian StyleHudz, Nataliia, Ewa Makowicz, Mariia Shanaida, Marietta Białoń, Izabela Jasicka-Misiak, Oksana Yezerska, Liudmyla Svydenko, and Piotr Paweł Wieczorek. 2020. "Phytochemical Evaluation of Tinctures and Essential Oil Obtained from Satureja montana Herb" Molecules 25, no. 20: 4763. https://doi.org/10.3390/molecules25204763
APA StyleHudz, N., Makowicz, E., Shanaida, M., Białoń, M., Jasicka-Misiak, I., Yezerska, O., Svydenko, L., & Wieczorek, P. P. (2020). Phytochemical Evaluation of Tinctures and Essential Oil Obtained from Satureja montana Herb. Molecules, 25(20), 4763. https://doi.org/10.3390/molecules25204763

