The Essential Oil of Cymbopogon citratus Stapt and Carvacrol: An Approach of the Antitumor Effect on 7,12-Dimethylbenz-[α]-anthracene (DMBA)-Induced Breast Cancer in Female Rats
Abstract
1. Introduction
2. Results
2.1. Identification of the Chemical Constituents of the Essential Oil from C. citratus
2.2. Antioxidant Activity of EOCc and Carvacrol by Using the DPPH Method
2.3. Antitumor Effect of the Essential Oil from C. citratus and Carvacrol on DMBA-Induced Breast Cancer in Rats
2.3.1. The Cumulative Tumor Volume in Animals Treated with EOCc and Carvacrol
2.3.2. The Body Weight Variations of Animals Treated with EOCc and Carvacrol
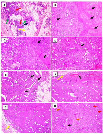
2.3.3. Histopathological Findings in the Experimental Breast Cancer
3. Discussion
4. Materials and Methods
4.1. Plant Material and Carvacrol
4.2. Extraction of the Essential Oil of Cymbopogon Citratus (EOCc)
4.3. Analysis of the Chemical Composition of the Essential oil of Cymbopogon Citratus (EOCc)
4.4. DPPH Radical Assay
4.5. Animals
4.6. Induction of Breast Cancer in Rats and Experimental Design
4.7. Histopathological Analysis of Rat Tumors
4.8. Statistical Analysis
4.9. Ethical Aspects
5. Conclusions
Author Contributions
Funding
Acknowledgments
Conflicts of Interest
References
- Bray, F.; Ferlay, J.; Soerjomataram, I.; Siegel, R.L.; Torre, L.A.; Jemal, A. Global cancer statistics 2018: GLOBOCAN estimates of incidence and mortality worldwide for 36 cancers in 185 countries. CA Cancer J. Clin. 2018, 68, 394–424. [Google Scholar] [CrossRef]
- Momenimovahed, Z.; Salehiniya, H. Epidemiological characteristics of and risk factors for breast cancer in the world. Breast Cancer Targets Ther. 2019, 11, 151–164. [Google Scholar] [CrossRef]
- Karnam, K.C.; Ellutla, M.; Bodduluru, L.N.; Kasala, E.R.; Uppulapu, S.K.; Kalyankumarraju, M.; Lahkar, M. Preventive effect of berberine against DMBA-induced breast cancer in female Sprague Dawley rats. Biomed. Pharmacother. 2017, 92, 207–214. [Google Scholar] [CrossRef]
- McDonald, E.S.; Clark, A.S.; Tchou, J.; Zhang, P.; Freedman, G.M. Clinical diagnosis and management of breast cancer. J. Nucl. Med. 2016. [Google Scholar] [CrossRef] [PubMed]
- Blumen, H.; Fitch, K.; Polkus, V. Comparison of treatment costs for breast cancer, by tumor stage and type of service. Am. Health Drug Benefits 2016, 9, 23–32. [Google Scholar]
- Tariq, A.; Sadia, S.; Pan, K.; Ullah, I.; Mussarat, S.; Sun, F.; Abiodun, O.O.; Batbaatar, A.; Li, Z.; Song, D.; et al. A systematic review on ethnomedicines of anti-cancer plants. Phyther. Res. 2017, 31, 202–264. [Google Scholar] [CrossRef] [PubMed]
- Baena Ruiz, R.; Salinas Hernández, P. Cancer chemoprevention by dietary phytochemicals: Epidemiological evidence. Maturitas 2016, 94, 13–19. [Google Scholar] [CrossRef] [PubMed]
- Arslan, D.; Tural, D.; Akar, E. Herbal administration and interaction of cancer treatment. J. Palliat. Med. 2013, 16, 1466–1476. [Google Scholar] [CrossRef]
- Vickers, K.A.; Jolly, K.B.; Greenfield, S.M. Herbal medicine: Women’s views, knowledge and interaction with doctors: A qualitative study. BMC Complement. Altern. Med. 2006. [Google Scholar] [CrossRef]
- Missouri Botanical Garden Plant Finder. Available online: http://www.missouribotanicalgarden.org/PlantFinder/PlantFinderDetails.aspx?kempercode=a504 (accessed on 15 April 2020).
- Boukhatem, M.N.; Ferhat, M.A.; Kameli, A.; Saidi, F.; Kebir, H.T. Lemon grass (cymbopogon citratus) essential oil as a potent anti-inflammatory and antifungal drugs. Libyan J. Med. 2014. [Google Scholar] [CrossRef]
- Matasyoh, J.C.; Wagara, I.N.; Nakavuma, J.L.; Kiburai, A.M. Chemical composition of Cymbopogon citratus essential oil and its effect on mycotoxigenic Aspergillus species. Afr. J. Food Sci. 2011, 5, 138–142. [Google Scholar]
- Ortega-Ramirez, L.A.; Silva-Espinoza, B.A.; Vargas-Arispuro, I.; Gonzalez-Aguilar, G.A.; Cruz-Valenzuela, M.R.; Nazzaro, F.; Ayala-Zavala, J.F. Combination of cymbopogon citrates and Allium cepa essential oils increased antibacterial activity in leafy vegetables. J. Sci. Food Agric. 2016. [Google Scholar] [CrossRef]
- Balakrishnan, B.; Paramasivam, S.; Arulkumar, A. Evaluation of the lemongrass plant (Cymbopogon citratus) extracted in different solvents for antioxidant and antibacterial activity against human pathogens. Asian Pacific J. Trop. Dis. 2014. [Google Scholar] [CrossRef]
- Negrelle, R.R.B.; Gomes, E.C. Cymbopogon citratus (DC.) Stapf: Chemical composition and biological activities. Rev. Bras. Plantas Med. 2007, 9, 80–92. [Google Scholar]
- Silva, M.R.; Ximenes, R.M.; Da Costa, J.G.M.; Leal, L.K.A.M.; De Lopes, A.A.; De Barros Viana, G.S. Comparative anticonvulsant activities of the essential oils (EOs) from Cymbopogon winterianus Jowitt and Cymbopogon citratus (DC) Stapf. in mice. Naunyn. Schmiedebergs. Arch. Pharmacol. 2010. [Google Scholar] [CrossRef]
- Aćimović, M.; Čabarkapa, I.; Cvetković, M.; Stanković, J.; Kiprovski, B.; Gvozdenac, S.; Puvača, N. Cymbopogon citratus (DC.) Staph: Chemical composition, antimicrobial and antioxidant activities, use in medicinal and cosmetic purpose. J. Agron. Technol. Eng. Manag. 2019, 2. [Google Scholar]
- Rojas, J.; Solís, H.; Palacios, O. Evaluación in vitro de la actividad anti Trypanosoma cruzi de aceites esenciales de diez plantas medicinales In vitro anti-Trypanosoma cruzi activity of essential oils of ten medicinal plants. An. Fac. Med. 2010, 71, 161–166. [Google Scholar] [CrossRef][Green Version]
- Bassolé, I.H.N.; Lamien-Meda, A.; Bayala, B.; Obame, L.C.; Ilboudo, A.J.; Franz, C.; Novak, J.; Nebié, R.C.; Dicko, M.H. Chemical composition and antimicrobial activity of Cymbopogon citratus and Cymbopogon giganteus essential oils alone and in combination. Phytomedicine 2011. [Google Scholar] [CrossRef]
- Brügger, B.P.; Martínez, L.C.; Plata-Rueda, A.; e Castro, B.M.d.C.; Soares, M.A.; Wilcken, C.F.; Carvalho, A.G.; Serrão, J.E.; Zanuncio, J.C. Bioactivity of the Cymbopogon citratus (Poaceae) essential oil and its terpenoid constituents on the predatory bug, Podisus nigrispinus (Heteroptera: Pentatomidae). Sci. Rep. 2019. [Google Scholar] [CrossRef]
- Halabi, M.F.; Sheikh, B.Y. Anti-proliferative effect and phytochemical analysis of cymbopogon citratus extract. BioMed Res. Int. 2014. [Google Scholar] [CrossRef]
- Stone, S.C.; Vasconcellos, F.A.; Lenardão, E.J.; do Amaral, R.C.; Jacob, R.G.; Leivas Leite, F.P. Evaluation of potential use of cymbopogon sp. essentialoils, (R)-citronellal and n-citronellylamine in cancer chemotherapy. Int. J. Appl. Res. Nat. Prod. 2013, 6, 11–15. [Google Scholar]
- Najar, B.; Shortrede, J.E.; Pistelli, L.; Buhagiar, J. Chemical Composition and in Vitro Cytotoxic Screening of Sixteen Commercial Essential Oils on Five Cancer Cell Lines. Chem. Biodivers. 2020. [Google Scholar] [CrossRef]
- Dudai, N.; Weinstein, Y.; Krup, M.; Rabinski, T.; Ofir, R. Citral is a new inducer of caspase-3 in tumor cell lines. Planta Med. 2005. [Google Scholar] [CrossRef] [PubMed]
- Nigjeh, S.E.; Yeap, S.K.; Nordin, N.; Kamalideghan, B.; Ky, H.; Rosli, R. Citral induced apoptosis in MDA-MB-231 spheroid cells. BMC Complement. Altern. Med. 2018. [Google Scholar] [CrossRef] [PubMed]
- Chaouki, W.; Leger, D.Y.; Liagre, B.; Beneytout, J.L.; Hmamouchi, M. Citral inhibits cell proliferation and induces apoptosis and cell cycle arrest in MCF-7 cells. Fundam. Clin. Pharmacol. 2009. [Google Scholar] [CrossRef] [PubMed]
- Arunasree, K.M. Anti-proliferative effects of carvacrol on a human metastatic breast cancer cell line, MDA-MB 231. Phytomedicine 2010. [Google Scholar] [CrossRef]
- Karikas, G.A. Anticancer and chemopreventing natural products: Some biochemical and therapeutic aspects. J. BUON 2010, 15, 627–638. [Google Scholar]
- Blowman, K.; Magalhães, M.; Lemos, M.F.L.; Cabral, C.; Pires, I.M. Anticancer Properties of Essential Oils and Other Natural Products. Evidence-Based Complement. Altern. Med. 2018, 2018. [Google Scholar] [CrossRef]
- Adams, R.; Sparkman, O. Review of Identification of Essential Oil Components by Gas Chromatography/Mass Spectrometry. J. Am. Soc. Mass Spectrom. 2007, 18, 803–806. [Google Scholar]
- Rojas-Graü, M.A.; Avena-Bustillos, R.J.; Olsen, C.; Friedman, M.; Henika, P.R.; Martín-Belloso, O.; Pan, Z.; McHugh, T.H. Effects of plant essential oils and oil compounds on mechanical, barrier and antimicrobial properties of alginate-apple puree edible films. J. Food Eng. 2007. [Google Scholar] [CrossRef]
- Pinto, Z.T.; Sánchez, F.F.; dos Santos, A.R.; Amaral, A.C.F.; Ferreira, J.L.P.; Escalona-Arranz, J.C.; Queiroz, M.M.d.C. Chemical composition and insecticidal activity of Cymbopogon citratus essential oil from Cuba and Brazil against housefly. Rev. Bras. Parasitol. Veterinária 2015. [Google Scholar] [CrossRef] [PubMed]
- Guimarães, L.G.d.L.; Cardoso, M.d.G.; de Sousa, P.E.; de Andrade, J.; Vieira, S.S. Atividades antioxidante e fungitóxica do óleo essencial de capim-limão e do citral. Rev. Cienc. Agron. 2011. [Google Scholar] [CrossRef]
- Bayala, B.; Bassole, I.H.N.; Maqdasy, S.; Baron, S.; Simpore, J.; Lobaccaro, J.M.A. Cymbopogon citratus and Cymbopogon giganteus essential oils have cytotoxic effects on tumor cell cultures. Identification of citral as a new putative anti-proliferative molecule. Biochimie 2018. [Google Scholar] [CrossRef] [PubMed]
- Farouk, A.; Fikry, R.; Mohsen, M. Chemical Composition and Antioxidant Activity of Ocimum basilicum L. Essential Oil Cultivated in Madinah Monawara, Saudi Arabia and its Comparison to the Egyptian Chemotype. J. Essent. Oil Bear. Plants 2016. [Google Scholar] [CrossRef]
- Anggraeni, N.I.; Hidayat, I.W.; Rachman, S.D. Ersanda Bioactivity of essential oil from lemongrass (Cymbopogon citratus Stapf) as antioxidant agent. In Proceedings of the AIP Conference, Maharashtra, India, 5–6 July 2018. [Google Scholar]
- Jamuna, S.; Sadullah, S.; Ashokkumar, R.; Shanmuganathan, G.; Mozhi, S.S. Potential antioxidant and cytoprotective effects of essential oil extracted from Cymbopogon citratus on OxLDL and H2O2 LDL induced Human Peripheral Blood Mononuclear Cells (PBMC). Food Sci. Hum. Wellness 2017. [Google Scholar] [CrossRef]
- Vazquez-Briones, M.D.C.; Hernandez, L.R.; Guerrero-Beltran, J.A. Physicochemical and Antioxidant Properties of Cymbopogon citratus Essential Oil. J. Food Res. 2015. [Google Scholar] [CrossRef]
- Trang, D.T.; Hoang, T.K.V.; Nguyen, T.T.M.; Van Cuong, P.; Dang, N.H.; Dang, H.D.; Quang, T.N.; Dat, N.T. Essential Oils of Lemongrass (Cymbopogon citratus Stapf) Induces Apoptosis and Cell Cycle Arrest in A549 Lung Cancer Cells. BioMed Res. Int. 2020. [Google Scholar] [CrossRef]
- M, R.; Nour, A.H.; Sulaiman, Z.A.; Nour, A.H.; Raj. S, T. Comparison of Chemical Composition and Toxicity of Essential Oils from Lemongrass (Cymbopogon Citratus) Extracted with Microwave-Assisted Hydrodistillation (MAH) and Conventional Hydrodistillation (HD) Methods. J. Adv. Nat. Sci. 2014. [Google Scholar] [CrossRef]
- Thomas, M.L.; de Antueno, R.; Coyle, K.M.; Sultan, M.; Cruickshank, B.M.; Giacomantonio, M.A.; Giacomantonio, C.A.; Duncan, R.; Marcato, P. Citral reduces breast tumor growth by inhibiting the cancer stem cell marker ALDH1A3. Mol. Oncol. 2016. [Google Scholar] [CrossRef]
- Nordin, N.; Yeap, S.K.; Rahman, H.S.; Zamberi, N.R.; Abu, N.; Mohamad, N.E.; How, C.W.; Masarudin, M.J.; Abdullah, R.; Alitheen, N.B. In vitro cytotoxicity and anticancer effects of citral nanostructured lipid carrier on MDA MBA-231 human breast cancer cells. Sci. Rep. 2019. [Google Scholar] [CrossRef]
- Sheikh, B.Y.; Sarker, M.M.R.; Kamarudin, M.N.A.; Mohan, G. Antiproliferative and apoptosis inducing effects of citral via p53 and ROS-induced mitochondrial-mediated apoptosis in human colorectal HCT116 and HT29 cell lines. Biomed. Pharmacother. 2017. [Google Scholar] [CrossRef]
- Jayakumar, S.; Madankumar, A.; Asokkumar, S.; Raghunandhakumar, S.; Gokula Dhas, K.; Kamaraj, S.; Josephine Divya, M.G.; Devaki, T. Potential preventive effect of carvacrol against diethylnitrosamine-induced hepatocellular carcinoma in rats. Mol. Cell. Biochem. 2012. [Google Scholar] [CrossRef]
- Luo, Y.; Wu, J.Y.; Lu, M.H.; Shi, Z.; Na, N.; Di, J.M. Carvacrol Alleviates Prostate Cancer Cell Proliferation, Migration, and Invasion through Regulation of PI3K/Akt and MAPK Signaling Pathways. Oxid. Med. Cell. Longev. 2016. [Google Scholar] [CrossRef] [PubMed]
- Khan, F.; Singh, V.K.; Saeed, M.; Kausar, M.A.; Ansari, I.A. Carvacrol Induced Program Cell Death and Cell Cycle Arrest in Androgen-Independent Human Prostate Cancer Cells via Inhibition of Notch Signaling. Anticancer Agents Med. Chem. 2019. [Google Scholar] [CrossRef] [PubMed]
- Stefanazzi, N.; Stadler, T.; Ferrero, A. Composition and toxic, repellent and feeding deterrent activity of essential oils against the stored-grain pests Tribolium castaneum (Coleoptera: Tenebrionidae) and Sitophilus oryzae (Coleoptera: Curculionidae). Pest Manag. Sci. 2011. [Google Scholar] [CrossRef] [PubMed]
- Lulekal, E.; Tesfaye, S.; Gebrechristos, S.; Dires, K.; Zenebe, T.; Zegeye, N.; Feleke, G.; Kassahun, A.; Shiferaw, Y.; Mekonnen, A. Phytochemical analysis and evaluation of skin irritation, acute and sub-acute toxicity of Cymbopogon citratus essential oil in mice and rabbits. Toxicol. Rep. 2019. [Google Scholar] [CrossRef] [PubMed]
- Moloney, J.N.; Cotter, T.G. ROS signalling in the biology of cancer. Semin. Cell Dev. Biol. 2018, 80, 50–64. [Google Scholar] [CrossRef] [PubMed]
- Rojas-Armas, J.; Arroyo-Acevedo, J.; Ortiz-Sánchez, M.; Palomino-Pacheco, M.; Castro-Luna, A.; Ramos-Cevallos, N.; Justil-Guerrero, H.; Hilario-Vargas, J.; Herrera-Calderón, O. Acute and repeated 28-day oral dose toxicity studies of Thymus vulgaris L. essential oil in rats. Toxicol. Res. 2019. [Google Scholar] [CrossRef] [PubMed]
- Salinas, M.; Bec, N.; Calva, J.; Ramírez, J.; Andrade, J.M.; Vidari, G.; Larroque, C.; Armijos, C. Chemical composition and anticholinesterase activity of the essential oil from the ecuadorian plant salvia pichinchensis benth. Rec. Nat. Prod. 2020. [Google Scholar] [CrossRef]
- van Den Dool, H.; Kratz, P.D. A generalization of the retention index system including linear temperature programmed gas-liquid partition chromatography. J. Chromatogr. A 1963. [Google Scholar] [CrossRef]
- Yu, L.L. 9.2.1 Principles and Background. Wheat Antioxidants 2008. [Google Scholar] [CrossRef]
- Smith, J.A.; Van Den Broek, F.A.R.; Martorell, J.C.; Hackbarth, H.; Ruksenas, O.; Zeller, W. Principles and practice in ethical review of animal experiments across Europe: Summary of the report of a FELASA working group on ethical evaluation of animal experiments. Lab. Anim. 2007, 41, 143–160. [Google Scholar] [CrossRef] [PubMed]
- Wang, Z.; Zhang, X. Chemopreventive Activity of Honokiol against 7, 12-Dimethylbenz[a]anthracene-Induced Mammary Cancer in Female Sprague Dawley Rats. Front. Pharmacol. 2017. [Google Scholar] [CrossRef] [PubMed]
Sample Availability: Not available. |





| Compounds | LRIexp | LRIref | % | |
|---|---|---|---|---|
| 1 | Not identified | 983 | 0.61 | |
| 2 | Myrcene | 988 | 988 | 13.60 |
| 3 | Limonene | 1027 | 1024 | 0.25 |
| 4 | 1,8-Cineole | 1031 | 1026 | 0.29 |
| 5 | (Z)-β-Ocimene | 1034 | 1032 | 0.63 |
| 6 | (E)-β-Ocimene | 1045 | 1044 | 0.37 |
| 7 | 6,7-Epoxymyrcene | 1090 | 1090 | 0.22 |
| 8 | Linalool | 1099 | 1095 | 1.01 |
| 9 | exo-Isocitral | 1142 | 1140 | 0.34 |
| 10 | trans-α-Necrodol | 1147 | 1144 | 0.17 |
| 11 | Citronellal | 1151 | 1148 | 0.19 |
| 12 | (Z)-Isocitral | 1160 | 1160 | 1.66 |
| 13 | (E)-Isocitral | 1179 | 1177 | 2.42 |
| 14 | Nerol | 1224 | 1227 | 0.45 |
| 15 | Citronellol | 1227 | 1223 | 0.24 |
| 16 | Neral | 1239 | 1235 | 31.84 |
| 17 | Geraniol | 1250 | 1249 | 2.91 |
| 18 | Geranial | 1270 | 1264 | 40.45 |
| 19 | 2-Undecanone | 1291 | 1293 | 0.73 |
| 20 | Not identified | 1332 | 0.17 | |
| 21 | Ethyl nerolate | 1350 | 1351 | 0.25 |
| 22 | Not identified | 1368 | 0.20 | |
| 23 | (E)-Caryophyllene | 1415 | 1417 | 0.19 |
| 24 | 2-Tridecanone | 1493 | 1495 | 0.57 |
| 25 | Myristicin | 1515 | 1517 | 0.26 |
| Monoterpene hydrocarbons (%) | 14.85 | |||
| Oxygenated monoterpenes (%) | 82.17 | |||
| Sesquiterpene hydrocarbons (%) | 0.76 | |||
| Others (%) | 1.23 | |||
| Total Identified (%) | 99.02 | |||
| Parameter/Groups | DMBA | DMBA + EOCc50 | DMBA + EOCc100 | DMBA + EOCc200 | DMBA + CARV-50 | DMBA + CARV-100 | DMBA + CARV-200 | DMBA + EOCc100 CARV-100 |
|---|---|---|---|---|---|---|---|---|
| Total number of tumors | 16.00 | 11.00 | 10.00 | 9.00 | 9.00 | 4.00 * | 9.00 | 7.00 |
| Animals with tumors/total of animals | 6/6 | 4/6 | 5/6 | 5/6 | 4/6 | 2/6 | 5/6 | 4/6 |
| Frequency of tumors per group | 2.67 ± 0.33 | 1.83 ± 0.65 (−31%) | 1.67 ± 0.42 (−37%) | 1.50 ± 0.43 (−44%) | 1.50 ± 0.62 (−44%) | 0.67 ± 0.49 * (−75%) | 1.50 ± 0.43 (−44%) | 1.17 ± 0.31 (−56%) |
| Tumor latency (days) | 65.17 ± 2.78 | 71.00 ± 5.11 | 75.40 ± 3.12 | 76.20 ± 3.06 | 72.50 ± 4.17 | 79.00 ± 7.00 | 76.60 ± 3.08 | 77.25 ± 3.66 |
| Tumor incidence (%) | 100.00 | 66.67 (−33%) | 83.33 (−17%) | 83.33 (−17%) | 66.67 (−33%) | 33.33 (−67%) | 83.33 (−17%) | 66.67 (−33%) |
| Average tumor volume (cm3) | 0.38 ± 0.04 | 0.33 ± 0.02 | 0.32 ± 0.03 | 0.30 ± 0.04 | 0.28 ± 0.03 | 0.11 ± 0.05 * | 0.24 ± 0.03 | 0.23 ± 0.03 |
| Cumulative tumor volume (cm3) | 6.10 ± 0.05 | 3.64 ± 0.10 | 3.21 ± 0.15 | 2.72 ± 0.05 | 2.53 ± 0.08 | 0.44 ± 0.01 * | 2.18 ± 0.02 | 1.62 ± 0.01 * |
| Histological Parameters | DMBA | DMBA + EOCc50 | DMBA + EOCc100 | DMBA + EOCc200 | DMBA + CARV-50 | DMBA + CARV-100 | DMBA + CARV-200 | DMBA + EOCc100 CARV-100 |
|---|---|---|---|---|---|---|---|---|
| Necrosis (%) | 75.0 | 25.0 | 20.0 | 0.0 | 0.0 | 0.0 | 0.0 | 0.0 |
| Mitosis | 1–2 | 0–1 | 0–1 | 0.00 | 0–1 | 0 | 3–5 | 0–1 |
| Infiltration | positive | positive, muscle | positive, adipose tissue | positive, muscle | positive, adipose tissue | negative | negative | positive, adipose tissue |
© 2020 by the authors. Licensee MDPI, Basel, Switzerland. This article is an open access article distributed under the terms and conditions of the Creative Commons Attribution (CC BY) license (http://creativecommons.org/licenses/by/4.0/).
Share and Cite
Rojas-Armas, J.P.; Arroyo-Acevedo, J.L.; Palomino-Pacheco, M.; Herrera-Calderón, O.; Ortiz-Sánchez, J.M.; Rojas-Armas, A.; Calva, J.; Castro-Luna, A.; Hilario-Vargas, J. The Essential Oil of Cymbopogon citratus Stapt and Carvacrol: An Approach of the Antitumor Effect on 7,12-Dimethylbenz-[α]-anthracene (DMBA)-Induced Breast Cancer in Female Rats. Molecules 2020, 25, 3284. https://doi.org/10.3390/molecules25143284
Rojas-Armas JP, Arroyo-Acevedo JL, Palomino-Pacheco M, Herrera-Calderón O, Ortiz-Sánchez JM, Rojas-Armas A, Calva J, Castro-Luna A, Hilario-Vargas J. The Essential Oil of Cymbopogon citratus Stapt and Carvacrol: An Approach of the Antitumor Effect on 7,12-Dimethylbenz-[α]-anthracene (DMBA)-Induced Breast Cancer in Female Rats. Molecules. 2020; 25(14):3284. https://doi.org/10.3390/molecules25143284
Chicago/Turabian StyleRojas-Armas, Juan Pedro, Jorge Luis Arroyo-Acevedo, Miriam Palomino-Pacheco, Oscar Herrera-Calderón, José Manuel Ortiz-Sánchez, Agustín Rojas-Armas, James Calva, Américo Castro-Luna, and Julio Hilario-Vargas. 2020. "The Essential Oil of Cymbopogon citratus Stapt and Carvacrol: An Approach of the Antitumor Effect on 7,12-Dimethylbenz-[α]-anthracene (DMBA)-Induced Breast Cancer in Female Rats" Molecules 25, no. 14: 3284. https://doi.org/10.3390/molecules25143284
APA StyleRojas-Armas, J. P., Arroyo-Acevedo, J. L., Palomino-Pacheco, M., Herrera-Calderón, O., Ortiz-Sánchez, J. M., Rojas-Armas, A., Calva, J., Castro-Luna, A., & Hilario-Vargas, J. (2020). The Essential Oil of Cymbopogon citratus Stapt and Carvacrol: An Approach of the Antitumor Effect on 7,12-Dimethylbenz-[α]-anthracene (DMBA)-Induced Breast Cancer in Female Rats. Molecules, 25(14), 3284. https://doi.org/10.3390/molecules25143284

