Discovery of 4-Anilinoquinolinylchalcone Derivatives as Potential NRF2 Activators
Abstract
1. Introduction
2. Chemistry
3. Biological Results and Discussion
3.1. Novel 4-Anilinoquinolinylchalcone Derivatives Induced ARE-Driven Luciferase Activity in HaCaT/ARE Cells
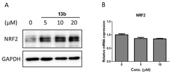
3.2. The Effect of Compound 13b on the NRF2 Pathway
3.3. Molecular Docking
4. Conclusions
5. Experimental
5.1. General
5.2. General Procedure for the Preparation of 4-Chloroquinoline-2-Carbaldehyde 8
5.3. General Procedure for the Aldol Condensation between Acetophenone and 8
5.4. General Procedure for the Preparation for 4-Substituted-Quinolinyl Chalcones 12a–12g, 13a–13g, and 14a–14g
5.5. Cytotoxicity and Antiviral Activity Assays
5.5.1. Compounds
5.5.2. Cell Culture
5.5.3. Luciferase Reporter Assay
5.5.4. Cell Viability Assay
5.5.5. Quantitative Real-Time PCR (qRT-PCR)
5.5.6. Western Blot
5.5.7. Molecular Docking Study
Supplementary Materials
Author Contributions
Funding
Acknowledgments
Conflicts of Interest
References
- Taguchi, K.; Motohashi, H.; Yamamoto, M. Molecular mechanisms of the Keap1-Nrf2 pathway in stress response and cancer evolution. Genes Cells 2011, 16, 123–140. [Google Scholar] [CrossRef] [PubMed]
- Villeneuve, N.F.; Lau, A.; Zhang, D.D. Regulation of the Nrf2-Keap1 antioxidant response by the ubiquitin proteasome system: An insight into cullin-ring ubiquitin ligases. Antioxid. Redox Signal. 2010, 13, 1699–1712. [Google Scholar] [CrossRef] [PubMed]
- Jaramillo, M.C.; Zhang, D.D. The emerging role of the Nrf2–Keap1 signaling pathway in cancer. Genes Dev. 2013, 27, 2179–2191. [Google Scholar] [CrossRef] [PubMed]
- Loboda, A.; Damulewicz, M.; Pyza, E.; Jozkowicz, A.; Dulak, J. Role of Nrf2/HO-1 system in development, oxidative stress response and diseases: An evolutionarily conserved mechanism. Cell. Mol. Life Sci. 2016, 73, 3221–3247. [Google Scholar] [CrossRef]
- Ahmed, S.M.; Luo, L.; Namani, A.; Wang, X.J.; Tang, X. Nrf2 signaling pathway: Pivotal roles in inflammation. Biochim. Biophys. Acta Mol. Basis Dis. 2017, 1863, 585–597. [Google Scholar] [CrossRef]
- Tonelli, C.; Chio, I.I.C.; Tuveson, D.A. Transcriptional regulation by Nrf2. Antioxid. Redox Signal. 2018, 29, 1727–1745. [Google Scholar] [CrossRef]
- Yen, C.H.; Hsiao, H.H. NRF2 is one of the players involved in bone marrow mediated drug resistance in multiple myeloma. Int. J. Mol. Sci. 2018, 19, 3503. [Google Scholar] [CrossRef]
- Tu, W.; Wang, H.; Li, S.; Liu, Q.; Sha, H. The anti-inflammatory and anti-oxidant mechanisms of the Keap1/Nrf2/ARE signaling pathway in chronic diseases. Aging Dis. 2019, 10, 637–651. [Google Scholar] [CrossRef]
- Motohashi, H.; Yamamoto, M. Nrf2-Keap1 defines a physiologically important stress response mechanism. Trends Mol. Med. 2004, 10, 549–557. [Google Scholar] [CrossRef]
- De Freitas Silva, M.; Pruccoli, L.; Morroni, F.; Sita, G.; Seghetti, F.; Viegas, C.; Tarozzi, A. The Keap1/Nrf2-ARE pathway as a pharmacological target for chalcones. Molecules 2018, 23, 1803. [Google Scholar] [CrossRef]
- Cheung, K.L.; Kong, A.N. Molecular targets of dietary phenethyl isothiocyanate and sulforaphane for cancer chemoprevention. AAPS J. 2010, 12, 87–97. [Google Scholar] [CrossRef]
- Zhang, Y.; Munday, R. Dithiolethiones for cancer chemoprevention: Where do we stand? Mol. Cancer Ther. 2008, 7, 3470–3479. [Google Scholar] [CrossRef] [PubMed]
- Teiten, M.H.; Gaascht, F.; Eifes, S.; Dicato, M.; Diederich, M. Chemopreventive potential of curcumin in prostate cancer. Genes Nutr. 2010, 5, 61–74. [Google Scholar] [CrossRef]
- Murtaza, G.; Karim, S.; Akram, M.R.; Khan, S.A.; Azhar, S.; Mumtaz, A.; Bin Asad, M.H. Caffeic acid phenethyl ester and therapeutic potentials. Biomed. Res. Int. 2014, 2014, 145342. [Google Scholar] [CrossRef]
- Maydt, D.; De Spirt, S.; Muschelknautz, C.; Stahl, W.; Müller, T.J.J. Chemical reactivity and biological activity of chalcones and other α,β-unsaturated carbonyl compounds. Xenobiotica 2013, 43, 711–718. [Google Scholar] [CrossRef]
- Kumar, V.; Kumar, S.; Hassan, M.; Wu, H.; Thimmulappa, R.K.; Kumar, A.; Sharma, S.K.; Parmar, V.S.; Biswal, S.; Malhotra, S.V. Novel chalcone derivatives as potent Nrf2 activators in mice and human lung epithelial cells. J. Med. Chem. 2011, 54, 4147–4159. [Google Scholar] [CrossRef]
- Wu, J.Z.; Cheng, C.C.; Shen, L.L.; Wang, Z.K.; Wu, S.B.; Li, W.L.; Chen, S.H.; Zhou, R.P.; Qiu, P.H. Synthetic chalcones with potent antioxidant ability on H2O2-induced apoptosis in PC12 cells. Int. J. Mol. Sci. 2014, 15, 18525–18539. [Google Scholar] [CrossRef]
- Lee, D.S.; Li, B.; Im, N.K.; Kim, Y.C.; Jeong, G.S. 4,2′,5′-Trihydroxy-4′ -methoxychalcone from dalbergia odorifera exhibits anti-inflammatory properties by inducing heme oxygenase-1 in murine macrophages. Int. Immunopharmacol. 2013, 16, 114–121. [Google Scholar] [CrossRef]
- Lee, S.H.; Sohn, D.H.; Jin, X.Y.; Kim, S.W.; Choi, S.C.; Seo, G.S. 2′,4′,6′-Tris(methoxymethoxy) chalcone protects against trinitrobenzene sulfonic acid-induced colitis and blocks tumor necrosis factor-α-induced intestinal epithelial inflammation via heme oxygenase 1-dependent and independent pathways. Biochem. Pharmacol. 2007, 74, 870–880. [Google Scholar] [CrossRef]
- Kachadourian, R.; Pugazhenthi, S.; Velmurugan, K.; Backos, D.S.; Franklin, C.C.; McCord, J.M.; Day, B.J. 2′,5′-Dihydroxychalcone-induced glutathione is mediated by oxidative stress and kinase signaling pathways. Free Radic. Biol. Med. 2011, 51, 1146–1154. [Google Scholar] [CrossRef]
- Pinner, K.D.; Wales, C.T.K.; Gristock, R.A.; Vo, H.T.; So, N.; Jacobs, A.T. Flavokawains A and B from kava (Piper methysticum) activate heat shock and antioxidant responses and protect against hydrogen peroxide-induced cell death in HepG2 hepatocytes. Pharm. Biol. 2016, 54, 1503–1512. [Google Scholar] [CrossRef] [PubMed]
- Yang, C.Y.; Hung, Y.L.; Tang, K.W.; Wang, S.C.; Tseng, C.H.; Tzeng, C.C.; Liu, P.L.; Li, C.Y.; Chen, Y.L. Discovery of 2-substituted 3-arylquinoline derivatives as potential anti-Inflammatory agents through inhibition of LPS-induced inflammatory responses in macrophages. Molecules 2019, 24, 1162. [Google Scholar] [CrossRef] [PubMed]
- Jia, W.; Jian, Y.; Huang, B.; Yang, C. Photoredox-Catalyzed Decarboxylative C–H Acylation of Heteroarenes. Synlett 2018, 29, 1881–1886. [Google Scholar]
- Chierrito, T.P.C.; Pedersoli-Mantoani, S.; Roca, C.; Sebastian-Perez, V.; Castillo, W.O.; Moreira, N.C.S.; Pérez, C.; Sakamoto-Hojo, E.T.; Takahashi, C.S.; Jimenez-Barbero, J.; et al. From dual binding site acetylcholinesterase inhibitors to allosteric modulators: A new avenue for disease-modifying drugs in Alzheimer’s disease. Eur. J. Med. Chem. 2017, 139, 773–791. [Google Scholar] [CrossRef] [PubMed]
- Neves, M.P.; Cravo, S.; Lima, R.T.; Vasconcelos, M.H.; Nascimento, M.S.; Silva, A.M.; Pinto, M.; Cidade, H.; Corrêa, A.G. Solid-phase synthesis of 2′-hydroxychalcones. Effects on cell growth inhibition, cell cycle and apoptosis of human tumor cell lines. Bioorg. Med. Chem. 2012, 20, 25–33. [Google Scholar] [CrossRef]
- Chen, H.H.; Chen, Y.T.; Huang, Y.W.; Tsai, H.J.; Kuo, C.C. 4-Ketopinoresinol, a novel naturally occurring ARE activator, induces the Nrf2/HO-1 axis and protects against oxidative stress-induced cell injury via activation of PI3K/AKT signaling. Free Radic. Biol. Med. 2012, 52, 1054–1066. [Google Scholar] [CrossRef]
- Davies, T.G.; Wixted, W.E.; Coyle, J.E.; Griffiths-Jones, C.; Hearn, K.; McMenamin, R.; Norton, D.; Rich, S.J.; Richardson, C.; Saxty, G.; et al. Monoacidic inhibitors of the Kelch-like ECH-associated protein 1: Nuclear factor erythroid 2-related factor 2 (KEAP1:NRF2) protein-protein interaction with high cell potency identified by fragment-based discovery. J. Med. Chem. 2016, 59, 3991–4006. [Google Scholar] [CrossRef]
- Sánchez-Linares, I.; Pérez-Sánchez, H.; Cecilia, J.M.; García, J.M. High-Throughput parallel blind virtual screening using BINDSURF. BMC Bioinform. 2012, 13 (Suppl. 14), S13. [Google Scholar] [CrossRef]
- Rego, N.; Koes, D. 3Dmol.js: Molecular visualization with WebGL. Bioinformatics 2015, 31, 1322–1324. [Google Scholar] [CrossRef]
Sample Availability: Samples of the compounds reported herein are available from the authors. |







| Compounds a | % of Relative NRF2 Activity in HaCaT Cell | Cell Viability |
|---|---|---|
| 12a | 6.9 ± 1.2 | 67.65 ± 0.6 |
| 12b | 394.4 ± 168.3 | 71.2 ± 1.8 |
| 12c | 75.3 ± 32.9 | 81.4 ± 0.8 |
| 12d | 287.1 ± 182.5 | 68.4 ± 1.3 |
| 12e | 94.5 ± 17.4 | 69.5 ± 0.9 |
| 12f | 25.5 ± 5.4 | 78.8 ± 0.1 |
| 12g | 8.5 ± 1.9 | 74.4 ± 1.8 |
| 12h | 32.4 ± 19.4 | 71.1 ± 1.2 |
| 13a | 5.5 ± 0.17 | 71.8 ± 0.7 |
| 13b | 2205.2 ± 144.9 | 95.7 ± 1.8 |
| 13c | 147.3 ± 51.7 | 74.5 ± 1.1 |
| 13d | 1697.3 ± 39.8 | 87.5 ± 1.7 |
| 13e | 2144.7 ± 168.6 | 94.8 ± 0.7 |
| 13f | 1850.4 ± 17.0 | 88.7 ± 1.9 |
| 13g | 5.1 ± 0.42 | 78.7 ± 0.5 |
| 13h | 1767.3 ± 103.6 | 82.7 ± 1.7 |
| 14a | 7.1 ± 1.3 | 68.0 ± 1.5 |
| 14b | 936.5 ± 39.8 | 92.0 ± 1.1 |
| 14c | 212.6 ± 93.6 | 70.8 ± 1.9 |
| 14d | 229.4 ± 68.4 | 75.6 ± 0.4 |
| 14e | 193.3 ± 25.7 | 76.7 ± 0.2 |
| 14f | 6.0 ± 0.3 | 66.3 ± 2.6 |
| 14g | 5.1 ± 0.18 | 77.6 ± 1.5 |
| 14h | 127.1 ± 36.5 | 76.8 ± 0.2 |
| t-BHQ | 1880.4 ± 97.2 | 97.7 ± 1.5 |
| Flavokawain A | 2082.6 ± 117.6 | 95.9 ± 1.6 |
© 2020 by the authors. Licensee MDPI, Basel, Switzerland. This article is an open access article distributed under the terms and conditions of the Creative Commons Attribution (CC BY) license (http://creativecommons.org/licenses/by/4.0/).
Share and Cite
Kao, Y.-T.; Chen, Y.-S.; Tang, K.-W.; Lee, J.-C.; Tseng, C.-H.; Tzeng, C.-C.; Yen, C.-H.; Chen, Y.-L. Discovery of 4-Anilinoquinolinylchalcone Derivatives as Potential NRF2 Activators. Molecules 2020, 25, 3133. https://doi.org/10.3390/molecules25143133
Kao Y-T, Chen Y-S, Tang K-W, Lee J-C, Tseng C-H, Tzeng C-C, Yen C-H, Chen Y-L. Discovery of 4-Anilinoquinolinylchalcone Derivatives as Potential NRF2 Activators. Molecules. 2020; 25(14):3133. https://doi.org/10.3390/molecules25143133
Chicago/Turabian StyleKao, Yu-Tse, Yi-Siao Chen, Kai-Wei Tang, Jin-Ching Lee, Chih-Hua Tseng, Cherng-Chyi Tzeng, Chia-Hung Yen, and Yeh-Long Chen. 2020. "Discovery of 4-Anilinoquinolinylchalcone Derivatives as Potential NRF2 Activators" Molecules 25, no. 14: 3133. https://doi.org/10.3390/molecules25143133
APA StyleKao, Y.-T., Chen, Y.-S., Tang, K.-W., Lee, J.-C., Tseng, C.-H., Tzeng, C.-C., Yen, C.-H., & Chen, Y.-L. (2020). Discovery of 4-Anilinoquinolinylchalcone Derivatives as Potential NRF2 Activators. Molecules, 25(14), 3133. https://doi.org/10.3390/molecules25143133

