[18F]Fluoroethyltriazolyl Monocyclam Derivatives as Imaging Probes for the Chemokine Receptor CXCR4
Abstract
1. Introduction
2. Results
2.1. Structural Design and Molecular Modeling
2.2. Radiosynthesis
2.3. In Vitro Experiments
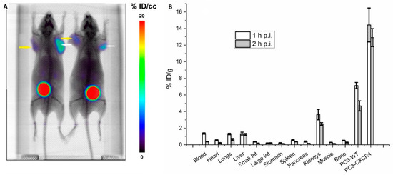
2.4. In Vivo Imaging and Biodistribution Studies
3. Discussion
4. Materials and Methods
4.1. Schrodinger Molecular Modeling
4.2. Synthesis of Compounds and Precursors
4.3. Radiochemistry
4.3.1. General Methods
4.3.2. Radiosynthesis of [68Ga]Pentixafor
4.3.3. Radiosynthesis of 18F-Labeled Monocyclam Derivatives
4.4. Cell Lines
4.5. Cell-Based Assays
4.5.1. Determination of IC50 by Competition Binding Assay
4.5.2. Determination of Kd by Saturation Binding Assay
4.5.3. Determination of Cell Binding and Internalization
4.5.4. Determination of Cell-Associated Activity
4.6. Animal Studies
5. Conclusions
Supplementary Materials
Author Contributions
Funding
Acknowledgments
Conflicts of Interest
References
- Locati, M.; Murphy, P.M. Chemokines and chemokine receptors: Biology and clinical relevance in inflammation and AIDS. Annu. Rev. Med. 1999, 50, 425–440. [Google Scholar] [CrossRef] [PubMed]
- Baggiolini, M. Chemokines and leukocyte traffic. Nature 1998, 392, 565–568. [Google Scholar] [CrossRef] [PubMed]
- Chatterjee, S.; Azad, B.B.; Nimmagadda, S. The Intricate Role of CXCR4 in Cancer. Adv. Cancer Res. 2014, 124, 31–82. [Google Scholar] [PubMed]
- Lunt, S.J.; Chaudary, N.; Hill, R.P. The tumor microenvironment and metastatic disease. Clin. Exp. Metastasis 2009, 26, 19–34. [Google Scholar] [CrossRef]
- Gelmini, S.; Mangoni, M.; Serio, M.; Romagnani, P.; Lazzeri, E. The critical role of SDF-1/CXCR4 axis in cancer and cancer stem cell metastasis. J. Endocrinol. 2008, 31, 809–819. [Google Scholar] [CrossRef] [PubMed]
- Wang, L.; Wang, Z.; Yang, B.; Yang, Q.; Wang, L.; Sun, Y. CXCR4 nuclear localization follows binding of its ligand SDF-1 and occurs in metastatic but not primary renal cell carcinoma. Oncol. Rep. 2009, 22, 1333–1339. [Google Scholar] [PubMed]
- Wang, H.; Yang, D.; Wang, K.; Wang, J. Expression and potential role of chemokine receptor CXCR4 in human bladder carcinoma cell lines with different metastatic ability. Mol. Med. Rep. 2011, 4, 525–528. [Google Scholar]
- Sheridan, C.; Sadaria, M.; Bhat-Nakshatri, P.; Goulet, R., Jr.; Edenberg, H.J.; McCarthy, B.P.; Chang, C.H.; Srour, E.F.; Nakshatri, H. Negative regulation of MHC class II gene expression by CXCR4. Exp. Hematol. 2006, 34, 1085–1092. [Google Scholar] [CrossRef]
- Zhong, W.; Chen, W.; Zhang, D.; Sun, J.; Li, Y.; Zhang, J.; Gao, Y.; Zhou, W.; Li, S. CXCL12/CXCR4 axis plays pivotal roles in the organ-specific metastasis of pancreatic adenocarcinoma: A clinical study. Exp. Ther. Med. 2012, 4, 363–369. [Google Scholar] [CrossRef][Green Version]
- Zlotnik, A. Involvement of chemokine receptors in organ-specific metastasis. Contrib. Microbiol. 2006, 13, 191–198. [Google Scholar]
- Wester, H.J.; Keller, U.; Schottelius, M.; Beer, A.; Philipp-Abbrederis, K.; Hoffmann, F.; Šimeček, J.; Gerngross, C.; Lassmann, M.; Herrmann, K.; et al. Disclosing the CXCR4 Expression in Lymphoproliferative Diseases by Targeted Molecular Imaging. Theranostics 2015, 5, 618–630. [Google Scholar] [CrossRef]
- Philipp-Abbrederis, K.; Herrmann, K.; Knop, S.; Schottelius, M.; Eiber, M.; Lückerath, K.; Pietschmann, E.; Habringer, S.; Gerngroß, C.; Franke, K.; et al. In vivo molecular imaging of chemokine receptor CXCR4 expression in patients with advanced multiple myeloma. EMBO Mol. Med. 2015, 7, 477–487. [Google Scholar] [CrossRef] [PubMed]
- Lapa, C.; Lückerath, K.; Kleinlein, I.; Monoranu, C.M.; Linsenmann, T.; Kessler, A.F.; Rudelius, M.; Kropf, S.; Buck, A.K.; Ernestus, R.I.; Wester, H.J.; et al. 68Ga-Pentixafor-PET/CT for Imaging of Chemokine Receptor 4 Expression in Glioblastoma. Theranostics 2016, 6, 428–434. [Google Scholar] [CrossRef] [PubMed]
- Lapa, C.; Lückerath, K.; Rudelius, M.; Schmid, J.S.; Schoene, A.; Schirbel, A.; Samnick, S.; Pelzer, T.; Buck, A.K.; Kropf, S.; et al. [68Ga]Pentixafor-PET/CT for imaging of chemokine receptor 4 expression in small cell lung cancer - initial experience. Oncotarget 2016, 7, 9288–9295. [Google Scholar] [CrossRef] [PubMed]
- Herhaus, P.; Habringer, S.; Philipp-Abbrederis, K.; Vag, T.; Gerngross, C.; Schottelius, M.; Slotta-Huspenina, J.; Steiger, K.; Altmann, T.; Weißer, T.; et al. Targeted positron emission tomography imaging of CXCR4 expression in patients with acute myeloid leukemia. Haematologica 2016, 101, 932–940. [Google Scholar] [CrossRef] [PubMed]
- Lapa, C.; Schreder, M.; Schirbel, A.; Samnick, S.; Kortüm, K.M.; Herrmann, K.; Kropf, S.; Einsele, H.; Buck, A.K.; Wester, H.J.; et al. [68Ga]Pentixafor-PET/CT for imaging of chemokine receptor CXCR4 expression in multiple myeloma–Comparison to [18F]FDG and laboratory values. Theranostics 2017, 7, 205–212. [Google Scholar] [CrossRef]
- Werner, R.A.; Weich, A.; Higuchi, T.; Schmid, J.S.; Schirbel, A.; Lassmann, M.; Wild, V.; Rudelius, M.; Kudlich, T.; Herrmann, K.; et al. Imaging of Chemokine Receptor 4 Expression in Neuroendocrine Tumors-a Triple Tracer Comparative Approach. Theranostics 2017, 7, 1489–1498. [Google Scholar] [CrossRef]
- Herhaus, P.; Habringer, S.; Vag, T.; Steiger, K.; Slotta-Huspenina, J.; Gerngroß, C.; Wiestler, B.; Wester, H.J.; Schwaiger, M.; Keller, U. Response assessment with the CXCR4-directed positron emission tomography tracer [68Ga]Pentixafor in a patient with extranodal marginal zone lymphoma of the orbital cavities. EJNMMI Res. 2017, 7, 51. [Google Scholar] [CrossRef]
- Amor-Coarasa, A.; Schoendorf, M.; Meckel, M.; Vallabhajosula, S.; Babich, J.W. Comprehensive Quality Control of the ITG 68Ge/68Ga Generator and Synthesis of 68Ga-DOTATOC and 68Ga-PSMA-HBED-CC for Clinical Imaging. J. Nucl. Med. 2016, 57, 1402–1405. [Google Scholar] [CrossRef]
- Demmer, O.; Gourni, E.; Schumacher, U.; Kessler, H.; Wester, H.J. PET Imaging of CXCR4 Receptors in Cancer by a New Optimized Ligand. Chem. Med. Chem. 2011, 6, 1789–1791. [Google Scholar] [CrossRef]
- Jacobson, O.; Weiss, I.D.; Szajek, L.; Farber, J.M.; Kiesewetter, D.O. 64Cu-AMD3100–a novel imaging agent for targeting chemokine receptor CXCR4. Bioorg. Med. Chem. 2009, 17, 1486–1493. [Google Scholar] [CrossRef]
- De Silva, R.A.; Peyre, K.; Pullambhatla, M.; Fox, J.J.; Pomper, M.G.; Nimmagadda, S. Imaging CXCR4 Expression in Human Cancer Xenografts: Evaluation of Monocyclam 64Cu-AMD3465. J. Nucl. Med. 2011, 52, 986–993. [Google Scholar] [CrossRef] [PubMed]
- Sanchez-Crespo, A. Comparison of Gallium-68 and Fluorine-18 imaging characteristics in positron emission tomography. Appl. Radiat. Isot. 2013, 76, 55–62. [Google Scholar] [CrossRef]
- Amor-Coarasa, A.; Kelly, J.M.; Ponnala, S.; Vedvyas, Y.; Nikolopoulou, A.; Williams, C., Jr.; Jin, M.M.; Warren, J.D.; Babich, J.W. [18F]RPS-544: A PET tracer for imaging the chemokine receptor CXCR4. Nucl. Med. Biol. 2018, 60, 37–44. [Google Scholar] [CrossRef] [PubMed]
- Kalatskaya, I.; Berchiche, Y.A.; Gravel, S.; Limberg, B.J.; Rosenbaum, J.S.; Heveker, N. AMD3100 is a CXCR7 ligand with allosteric agonist properties. Mol. Pharmacol. 2009, 75, 1240–1247. [Google Scholar] [CrossRef]
- Poschenreider, A.; Osl, T.; Schottelius, M.; Hoffmann, F.; Wirtz, M.; Schwaiger, M.; Wester, H.J. First 18F-Labeled Pentixafor-Based Imaging Agent for PET Imaging of CXCR4 Expression In Vivo. Tomography 2016, 2, 85–93. [Google Scholar]
- Zhan, W.; Liang, Z.; Zhu, A.; Kurtkaya, S.; Shim, H.; Snyder, J.P.; Liotta, D.C. Discovery of Small Molecule CXCR4 Antagonists. J. Med. Chem. 2007, 50, 5655–5664. [Google Scholar] [CrossRef]
- Demoin, D.W.; Shindo, M.; Zhang, H.; Edwards, K.J.; Serganova, I.; Pillarsetty, N.V.; Lewis, J.S.; Blasberg, R.G. Synthesis and evaluation of an 18F-labeled pyrmidine-pyridine amine for targeting CXCR4 receptors in glioma. Nucl. Med. Biol. 2016, 43, 606–611. [Google Scholar] [CrossRef]
- Thackeray, J.T.; Derlin, T.; Haghikia, A.; Napp, L.C.; Wang, Y.; Ross, T.L.; Schäfer, A.; Tillmanns, J.; Wester, H.J.; Wollert, K.C.; et al. Molecular Imaging of the Chemokine Receptor CXCR4 After Acute Myocardial Infarction. JACC Cardiovasc. Imaging 2015, 8, 1417–1426. [Google Scholar] [CrossRef] [PubMed]
Sample Availability: Samples of the compounds are not available from the authors. |






| Name | Structure | Docking Score (kcal/mol) |
|---|---|---|
| RPS-545 | ![]() | −8.51 |
| AMD-3100 | ![]() | −8.50 |
| 1c | ![]() | −8.29 |
| RPS-544 | ![]() | −8.18 |
| RPS-534 | ![]() | −8.17 |
| RPS-533 | ![]() | −8.08 |
| RPS-547 | ![]() | −7.95 |
| RPS-552 | ![]() | −7.18 |
| AMD-3465 | ![]() | −7.01 |
| RPS-546 | ![]() | −6.22 |
| Compound | IC50 (nM) | Kd (nM) | Cell-Associated Activity (%IA) | PC3-CXCR4 Tumor Uptake (%ID/g) |
|---|---|---|---|---|
| RPS-544 | 6.3 ± 0.8 (n = 6) | 5.1 ± 1.0 | 8.2 ± 0.3 | 3.4 ± 1.2 * |
| RPS-533 | 356 ± 100 (n = 9) | 366 ± 70 | 2.1 ± 0.4 | 1.93 ± 0.18 |
| RPS-534 | 218 ± 38 (n = 18) | 176 ± 30 | 18.5 ± 3.7 | 7.20 ± 0.30 |
| RPS-545 | 398 ± 41 (n = 9) | 515 ± 68 | 0.8 ± 0.1 | n.d. |
| RPS-546 | ≈ 1500 (n = 3) | ≈ 1700 | 1.2 ± 0.1 | n.d. |
| RPS-547 | 601 ± 118 (n = 6) | 261 ± 22 | 6.7 ± 2.8 | 3.09 ± 0.52 |
| RPS-552 | 515 ± 68 (n = 6) | 314 ± 48 | 3.5 ± 0.1 | 2.52 ± 0.11 |
| 1 h p.i. | |||||||
|---|---|---|---|---|---|---|---|
| Compound | PC3-CXCR4 Tumor-to-Tissue Ratio | ||||||
| PC3-WT | Liver | Kidneys | Blood | Muscle | Bone | Lungs | |
| Pentixafor | 2.0 ± 0.2 | 10.8 ± 0.2 | 4.0 ± 0.2 | 11.4 ± 0.2 | 56.1 ± 0.2 | 28.7 ± 0.2 | 11.8 ± 0.2 |
| RPS-544 | 3.3 ± 1.3 | 0.1 ± 0.1 | 0.1 ± 0.1 | 2.5 ± 0.4 | 11.1 ± 0.4 | 4.2 ± 1.2 | 2.0 ± 1.2 |
| RPS-533 | 2.0 ± 0.4 | 0.5 ± 0.1 | 0.2 ± 0.1 | 6.9 ± 0.2 | 2.2 ± 0.3 | 1.4 ± 0.7 | 3.3 ± 0.4 |
| RPS-534 | 2.5 ± 0.4 | 0.4 ± 0.2 | 1.1 ± 0.4 | 27.5 ± 0.4 | 42.4 ± 0.1 | 5.7 ± 0.4 | 8.0 ± 0.4 |
| RPS-547 | 1.9 ± 0.3 | 0.5 ± 0.2 | 0.3 ± 0.2 | 10.1 ± 0.3 | 20.3 ± 0.3 | 5.9 ± 0.8 | 6.2 ± 0.8 |
| RPS-552 | 2.5 ± 0.3 | 0.6 ± 0.1 | 0.3 ± 0.3 | 11.9 ± 0.1 | 16.7 ± 0.1 | 4.0 ± 0.2 | 5.0 ± 0.1 |
| 2 h p.i. | |||||||
| Pentixafor | 2.8 ± 0.1 | 10.8 ± 0.1 | 5.3 ± 0.1 | 32.1 ± 0.1 | 101.2 ± 0.1 | 47.2 ± 0.1 | 17.1 ± 0.1 |
| RPS-544 | 2.6 ± 0.3 | 0.1 ± 0.1 | 0.1 ± 0.1 | 4.8 ± 0.1 | 6.7 ± 0.2 | 2.9 ± 0.3 | 1.7 ± 0.3 |
| RPS-534 | 2.5 ± 0.2 | 0.2 ± 0.1 | 0.9 ± 0.2 | 51.1 ± 0.2 | 38.8 ± 0.2 | 3.5 ± 0.2 | 7.1 ± 0.2 |
| RPS-547 | 2.2 ± 0.2 | 0.4 ± 0.2 | 0.3 ± 0.1 | 24.0 ± 0.2 | 11.0 ± 0.3 | 6.3 ± 0.4 | 8.2 ± 0.4 |
© 2019 by the authors. Licensee MDPI, Basel, Switzerland. This article is an open access article distributed under the terms and conditions of the Creative Commons Attribution (CC BY) license (http://creativecommons.org/licenses/by/4.0/).
Share and Cite
Amor-Coarasa, A.; Kelly, J.M.; Singh, P.K.; Ponnala, S.; Nikolopoulou, A.; Williams, C., Jr.; Vedvyas, Y.; Jin, M.M.; Warren, J.D.; Babich, J.W. [18F]Fluoroethyltriazolyl Monocyclam Derivatives as Imaging Probes for the Chemokine Receptor CXCR4. Molecules 2019, 24, 1612. https://doi.org/10.3390/molecules24081612
Amor-Coarasa A, Kelly JM, Singh PK, Ponnala S, Nikolopoulou A, Williams C Jr., Vedvyas Y, Jin MM, Warren JD, Babich JW. [18F]Fluoroethyltriazolyl Monocyclam Derivatives as Imaging Probes for the Chemokine Receptor CXCR4. Molecules. 2019; 24(8):1612. https://doi.org/10.3390/molecules24081612
Chicago/Turabian StyleAmor-Coarasa, Alejandro, James M. Kelly, Pradeep K. Singh, Shashikanth Ponnala, Anastasia Nikolopoulou, Clarence Williams, Jr., Yogindra Vedvyas, Moonsoo M. Jin, J. David Warren, and John W. Babich. 2019. "[18F]Fluoroethyltriazolyl Monocyclam Derivatives as Imaging Probes for the Chemokine Receptor CXCR4" Molecules 24, no. 8: 1612. https://doi.org/10.3390/molecules24081612
APA StyleAmor-Coarasa, A., Kelly, J. M., Singh, P. K., Ponnala, S., Nikolopoulou, A., Williams, C., Jr., Vedvyas, Y., Jin, M. M., Warren, J. D., & Babich, J. W. (2019). [18F]Fluoroethyltriazolyl Monocyclam Derivatives as Imaging Probes for the Chemokine Receptor CXCR4. Molecules, 24(8), 1612. https://doi.org/10.3390/molecules24081612











