Evaluation of the Hepatotoxicity of the Zhi-Zi-Hou-Po Decoction by Combining UPLC-Q-Exactive-MS-Based Metabolomics and HPLC-MS/MS-Based Geniposide Tissue Distribution
Abstract
1. Introduction
2. Results
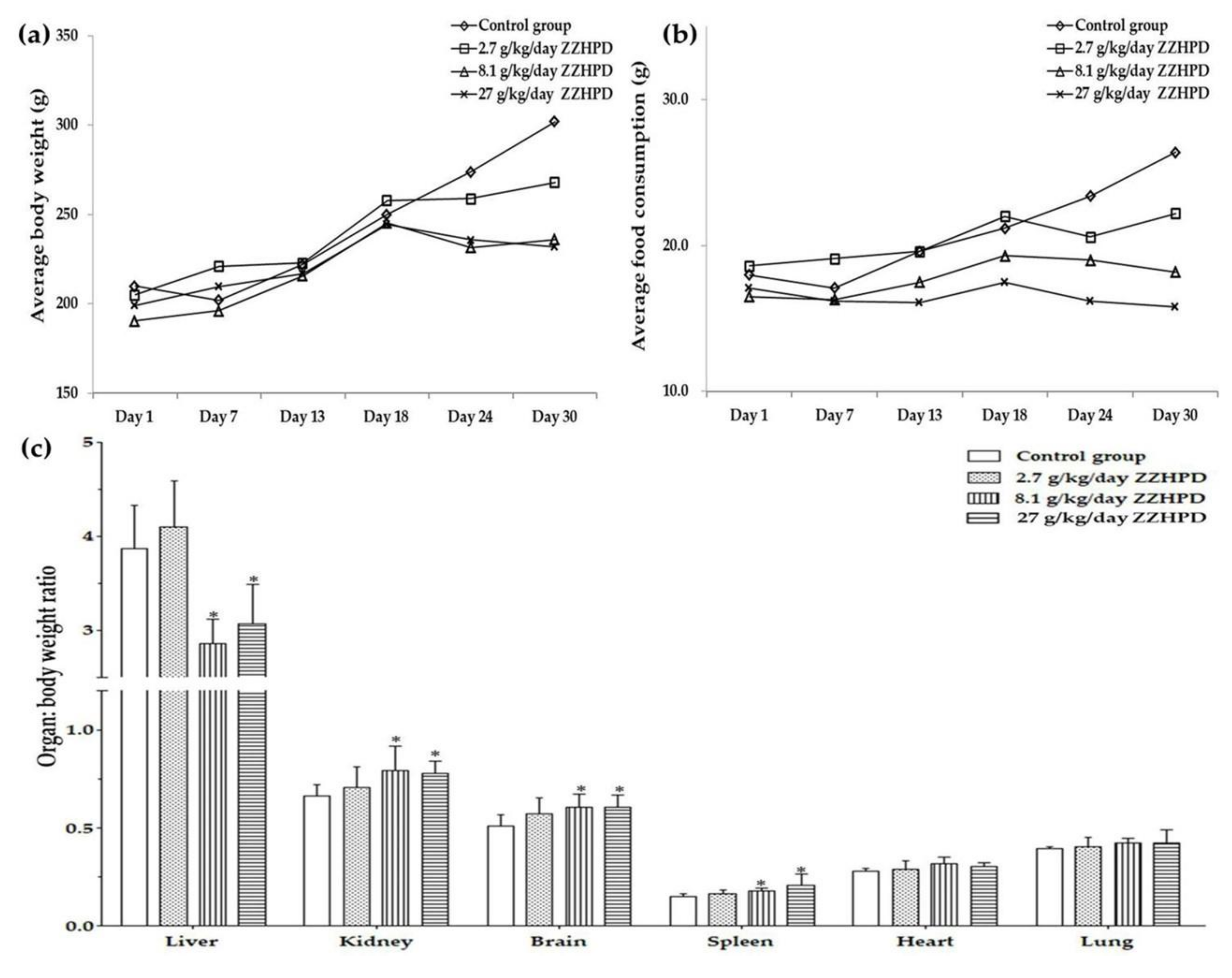
2.1. Toxicity Effects and Biochemical Analysis
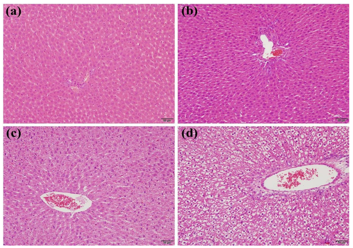
2.2. Histopathological Assay
2.3. Tissue Distribution Study of Geniposide
2.3.1. Method Validation
2.3.2. Tissue and Plasma Sample Analysis of Geniposide
2.4. Validation of the UPLC-Q-Exactive Orbitrap-MS
2.5. Metabolic Profiling Analysis
2.6. Biomarker Identification
2.7. Metabolomic Pathway Analysis
3. Discussion
4. Materials and Methods
4.1. Reagents and Chemicals
4.2. Plant Material
4.3. Preparation of ZZHPD Samples
4.4. Animals and Drug Administration
4.5. Physical and Behavioral Changes
4.6. Biochemical Analyses and Histopathological Examination
4.7. Sample Preparation
4.7.1. Untargeted Metabonomics Analysis
4.7.2. Tissue Distribution
4.8. Instrumentation and Analytical Condition
4.8.1. UPLC/MS Analysis of Metabolomics Study
4.8.2. HPLC-MS/MS Analysis of Tissue Distribution Study
4.9. Data Processing and Biomarker Identification
5. Conclusions
Supplementary Materials
Author Contributions
Funding
Acknowledgments
Conflicts of Interest
References
- Zhang, Z.J. Shang Han Lun; China Press of Traditional Chinese Medicine: Beijing, China, 2006; p. 117. [Google Scholar]
- Huang, H. Attractiveness of Classical Prescription; People’s Medical Publishing House: Beijing, China, 2006; p. 212. [Google Scholar]
- Tao, W.W.; Zhang, H.L.; Xue, W.D.; Li, R.; Xia, B.M.; Zhou, X.; Wu, H.X.; Duan, J.N.; Chen, G. Optimization of Supercritical Fluid Extraction of Oil from the Fruit of Gardenia jasminoides and Its Antidepressant Activity. Molecules 2014, 19, 19350–19360. [Google Scholar] [CrossRef] [PubMed]
- Liu, S.L.; Lin, Y.C.; Huang, T.H.; Huang, S.W.; Peng, W.H. Anti-depressive activity of Gardeniae fructus and geniposide in mouse models of depression. Afr. J. Pharm. Pharmacol. 2011, 5, 1580–1588. [Google Scholar]
- Yao, A.M.; Ma, F.F.; Zhang, L.L.; Feng, F. Effect of aqueous extract and fractions of Zhi-Zi-Hou-Pu decoction against depression in inescapable stressed mice: Restoration of monoamine neurotransmitters in discrete brain regions. Pharm. Biol. 2013, 51, 213–220. [Google Scholar] [CrossRef] [PubMed]
- Yang, H.J.; Fu, M.H.; Wu, Z.L.; Liang, R.X.; Huang, L.Q.; Fang, J.; Li, G.; Cao, Y. Experimental studies on hepatotoxicity of rats induced by Fructus Gardeniae. Zhongguo Zhong Yao Za Zhi 2006, 31, 1091–1093. [Google Scholar] [PubMed]
- Wang, Q.R.; Zhou, B.; Zhang, Z.A.; Deng, Z.P. Time-and dose-effect of Gardenia Jasminoides extract on hepatoxicity in rats. Chin. Tradit. Pat. Med. 2017, 39, 689–694. [Google Scholar] [CrossRef]
- Deshmukh, N.S.; Stohs, S.J.; Magar, C.C.; Kale, A.; Sowmya, B. Bitter orange (Citrus aurantium L.) extract subchronic 90-day safety study in rats. Toxicol. Rep. 2017, 4, 598–613. [Google Scholar] [CrossRef] [PubMed]
- Deshmukh, N.S.; Stohs, S.J.; Magar, C.C.; Kadam, S.B. Citrus aurantium (bitter orange) extract: Safety assessment by acute and 14-day oral toxicity studies in rats and the Ames Test for mutagenicity. Regul. Toxicol. Pharmacol. 2017, 90, 318–327. [Google Scholar] [CrossRef]
- Sarrica, A.; Kirika, N.; Romeo, M.; Salmona, M.; Diomede, L. Safety and Toxicology of Magnolol and Honokiol. Planta Med. 2018, 85, 1151–1164. [Google Scholar] [CrossRef]
- Zhang, Y.G.; Tang, S.H.; Jia, Q.; Meng, F.Y. Analysis on formula raw materials application of health food containing Gardeniae Fructus. Chin. J. Tradit. Chin. Med. 2014, 39, 4470–4474. [Google Scholar] [CrossRef]
- National Pharmacopoeia Committee. Pharmacopoeia of People’s Republic of China; National Pharmacopoeia Committee: Beijing, China, 2015; p. 248. [Google Scholar]
- Tian, J.Z.; Yi, Y.; Zhao, Y.; Li, C.Y.; Zhang, Y.S.; Wang, L.M.; Pan, C.; Han, J.Y.; Li, G.Q.; Li, X.L.; et al. Oral chronic toxicity study of geniposide in rats. J. Ethnopharmacol. 2018, 213, 166–175. [Google Scholar] [CrossRef]
- Yin, F.; Zhang, Y.L.; Guo, L.X.; Kong, S.Z.; Liu, J.H. Geniposide Regulates Insulin-Degrading Enzyme Expression to Inhibit the Cytotoxicity of Aβ1-42 in Cortical Neurons. CNS Neurol. Disord. Drug Target. 2012, 11, 1045–1051. [Google Scholar] [CrossRef]
- Cai, L.; Li, R.; Tang, W.J.; Meng, G.; Hu, X.Y.; Wu, T.N. Antidepressant-like effect of geniposide on chronic unpredictable mild stress-induced depressive rats by regulating the hypothalamus-pituitary-adrenal axis. Eur. Neuropsychopharmacol. 2015, 25, 1332–1341. [Google Scholar] [CrossRef] [PubMed]
- Wei, J.Y.; Zhang, F.B.; Zhang, Y.; Cao, C.Y.; Li, X.Y.; Li, D.F.; Liu, X.; Yang, H.J.; Huang, L.Q. Proteomic investigation of signatures for geniposide-induced hepatotoxicity. J. Proteom. Res. 2014, 13, 5724–5733. [Google Scholar] [CrossRef] [PubMed]
- Hu, Y.Z.; Luo, G.M.; Wei, J.Y.; Yang, H.J. Liver Protection of Geniposide and Its Hepatotoxicity. Modern Chin. Med. 2015, 17, 1113–1116. [Google Scholar] [CrossRef]
- Ding, Y.; Zhang, T.; Tao, J.S.; Zhang, L.Y.; Shi, J.R.; Ji, G. Potential hepatotoxicity of geniposide, the major iridoid glycoside in dried ripe fruits of Gardenia jasminoides (Zhi-zi). Nat. Prod. Res. 2013, 27, 929–933. [Google Scholar] [CrossRef] [PubMed]
- Tian, J.Z.; Zhu, J.J.; Yi, Y.; Li, C.Y.; Zhang, Y.S.; Zhao, Y.; Pan, C.; Xiang, S.X.; Li, X.L.; Li, G.Q.; et al. Dose-related liver injury of Geniposide associated with the alteration in bile acid synthesis and transportation. Sci. Rep. 2017, 7, 8938. [Google Scholar] [CrossRef]
- Robertson, D.G. Metabonomics in Toxicology: A Review. Toxicol. Sci. 2005, 85, 809–822. [Google Scholar] [CrossRef]
- Keun, H.C. Metabonomic modeling of drug toxicity. Pharmacol Ther. 2006, 109, 92–106. [Google Scholar] [CrossRef]
- Wu, H.; Chen, Y.; Li, Z.G.; Liu, X.H. Untargeted metabolomics profiles delineate metabolic alterations in mouse plasma during lung carcinoma development using UPLC-QTOF/MS in MSE mode. R. Soc. Open Sci. 2018, 5, 181143. [Google Scholar] [CrossRef]
- Khoo, L.W.; Foong Kow, A.S.; Maulidiani, M.; Lee, M.T.; Tan, C.P.; Shaari, K.; Tham, C.L.; Abas, F. Hematological, Biochemical, Histopathological and 1H-NMR Metabolomics Application in Acute Toxicity Evaluation of Clinacanthus nutans Water Leaf Extract. Molecules 2018, 23, 2172. [Google Scholar] [CrossRef]
- Xia, X.H.; Yuan, Y.Y.; Liu, M. The assessment of the chronic hepatotoxicity induced by Polygoni Multiflori Radix in rats: A pilot study by using untargeted metabolomics method. J. Ethnopharmacol. 2017, 203, 182–190. [Google Scholar] [CrossRef] [PubMed]
- Lu, F.; Cao, M.; Wu, B.; Li, X.Z.; Liu, H.Y.; Chen, D.Z.; Liu, S.M. Urinary metabonomics study on toxicity biomarker discovery in rats treated with Xanthii Fructus. J. Ethnopharmacol. 2013, 149, 311–320. [Google Scholar] [CrossRef]
- Ramaiah, S.K. A toxicologist guide to the diagnostic interpretation of hepatic biochemical parameters. Food Chem. Toxicol. 2007, 45, 1551–1557. [Google Scholar] [CrossRef] [PubMed]
- Wang, F.G.; Cao, J.; Hao, J.; Liu, K. Pharmacokinetics, bioavailability and tissue distribution of geniposide following intravenous and peroral administration to rats. Biopharm. Drug Dispos. 2014, 35, 97–103. [Google Scholar] [CrossRef] [PubMed]
- Khanal, T.; Kim, H.G.; Choi, J.H.; Do, M.T.; Kong, M.J.; Kang, M.J.; Noh, K.; Yeo, H.K.; Ahn, Y.T.; Kang, W.; et al. Biotransformation of geniposide by human intestinal microflora on cytotoxicity against HepG2 cells. Toxicol. Lett. 2012, 209, 246–254. [Google Scholar] [CrossRef] [PubMed]
- Akao, T.; Kobashi, K.; Aburada, M. Enzymic studies on the animal and intestinal bacterial metabolism of geniposide. Biol. Pharm. Bull. 1994, 17, 1573–1576. [Google Scholar] [CrossRef] [PubMed]
- Hou, Y.C.; Tsai, S.Y.; Lai, P.Y.; Chen, Y.S.; Chao, P.D. Metabolism and pharmacokinetics of genipin and geniposide in rats. Food Chem. Toxicol. 2008, 46, 2764–2769. [Google Scholar] [CrossRef]
- She, D. The Study of Geniposide on Toxicokinetics in Rats; Guangzhou University of Chinese Medicine: Guangzhou, China, 2015; p. 36. [Google Scholar]
- Genovese, S.; Epifano, F.; Curini, M.; Menger, D.; Zembruski, NC.; Weiss, J. In vitro effects of natural prenyloxycinnamic acids on human cytochrome P450 isozyme activity and expression. Phytomedicine 2011, 18, 586–591. [Google Scholar] [CrossRef]
- Gao, L.N.; Zhang, Y.; Cui, Y.L.; Yan, K. Evaluation of genipin on human cytochrome P450 isoenzymes and P-glycoprotein in vitro. Fitoterapia 2014, 98, 130–136. [Google Scholar] [CrossRef]
- Fujita, T.; Kawase, A.; Niwa, T.; Tomohiro, N.; Masuda, M.; Matsuda, H.; Iwaki, M. Comparative evaluation of 12 immature citrus fruit extracts for the inhibition of cytochrome P450 isoform activities. Biol. Pharm. Bull. 2008, 31, 925–930. [Google Scholar] [CrossRef]
- Burkina, V.; Zlabek, V.; Halsne, R.; Ropstad, E.; Zamaratskaia, G. In vitro effects of the citrus flavonoids diosmin, naringenin and naringin on the hepatic drug-metabolizing CYP3A enzyme in human, pig, mouse and fish. Biochem. Pharmacol 2016, 110–111, 109–116. [Google Scholar] [CrossRef] [PubMed]
- Lahiri, S.; Futerman, A.H. The metabolism and function of sphingolipids and glycosphingolipids. Cell Mol. Life Sci. 2007, 64, 2270–2284. [Google Scholar] [CrossRef] [PubMed]
- Lin, C.C.; Yang, C.C.; Cho, R.L.; Wang, C.Y.; Hsiao, L.D.; Yang, C.M. Sphingosine 1-Phosphate-Induced ICAM-1 Expression via NADPH Oxidase/ROS-Dependent NF-κB Cascade on Human Pulmonary Alveolar Epithelial Cells. Front Pharmacol. 2016, 7, 1–16. [Google Scholar] [CrossRef] [PubMed]
- Cheng, J.C.; Chang, H.M.; Liu, P.P.; Leung, PC. Sphingosine-1-phosphate induces COX-2 expression and PGE2 production in human granulosa cells through a S1P1/3-mediated YAP signaling. Cell Signal. 2016, 28, 643–651. [Google Scholar] [CrossRef] [PubMed]
- Zeng, Y.; Qi, L.; Li, S.F.; Hou, Y.R.; Xu, W.; Wang, H.; Zhao, X.J.; Sun, C.H. A metabonomic analysis of the effect of quercetin on toxicity induced by chronic exposure to low-level dichlorvos in rat plasma. Mol. Biosyst. 2014, 10, 2643–2653. [Google Scholar] [CrossRef] [PubMed]
- Gonzalez, E.; van Liempd, S.; Conde-Vancells, J.; Gutierrez-de Juan, V.; Perez-Cormenzana, M.; Mayo, R.; Berisa, A.; Alonso, C.; Marquez, CA.; Barr, J.; et al. Serum UPLC-MS/MS metabolic profiling in an experimental model for acute-liver injury reveals potential biomarkers for hepatotoxicity. Metabolomics 2012, 8, 997–1011. [Google Scholar] [CrossRef]
- Murray, T.V.; Dong, X.B.; Sawyer, G.J.; Caldwell, A.; Halket, J.; Sherwood, R.; Quaglia, A.; Dew, T.; Anilkumar, N.; Burr, S.; et al. NADPH oxidase 4 regulates homocysteine metabolism and protects against acetaminophen-induced liver damage in mice. Free Radic. Biol. Med. 2015, 89, 918–930. [Google Scholar] [CrossRef]
- Volpe, D.A.; Tobin, G.A.; Tavakkoli, F.; Dowling, T.C.; Light, P.D.; Parker, R.J. Effect of uremic serum and uremic toxins on drug metabolism in human microsomes. Regul. Toxicol. Pharmacol. 2014, 68, 297–303. [Google Scholar] [CrossRef]
- Bao, W.; Cao, C.; Li, S.Q.; Bo, L.; Zhang, M.Y.; Zhao, X.J.; Liu, Y.; Sun, C.H. Metabonomic analysis of quercetin against the toxicity of acrylamide in rat urine. Food Funct. 2017, 8, 1204–1214. [Google Scholar] [CrossRef]
- Lin, C.H.; Kohli, R. Bile acid metabolism and signaling: Potential therapeutic target for nonalcoholic fatty liver disease. Clin. Transl. Gastroenterol. 2018, 9, 1–3. [Google Scholar] [CrossRef]
- Luo, K.W.; Feng, F. Identification of absorbed components and metabolites of Zhi-Zi-Hou-Po decoction in rat plasma after oral administration by an untargeted metabolomics-driven strategy based on LC-MS. Anal. Bioanal. Chem. 2016, 408, 5723–5735. [Google Scholar] [CrossRef] [PubMed]
Sample Availability: Samples of the compounds are available from the authors. |










| Group | Biochemical Parameters | |||||||||
|---|---|---|---|---|---|---|---|---|---|---|
| ALT (U/L) | AST (U/L) | ALP (U/L) | ALB (g/L) | CREA (µmoL/L) | BUN (mmoL/L) | TBIL (µmoL/L) | TP (g/L) | TC (mmoL/L) | TG (mmoL/L) | |
| Control | 217.41 ± 51.80 | 172.22 ± 65.45 | 182.87 ± 21.60 | 29.39 ± 3.31 | 44.08 ± 5.24 | 7.27 ± 1.58 | 0.52 ± 0.28 | 48.57 ± 2.09 | 3.34 ± 0.72 | 2.00 ± 0.80 |
| 2.7 g/kg/day (ZZHPD) | 214.07 ± 30.43 | 168.15 ± 37.89 | 173.28 ± 14.34 | 28.94 ± 1.83 | 41.50 ± 2.99 | 6.42 ± 1.22 | 0.45 ± 0.10 | 48.82 ± 1.67 | 3.27 ± 0.30 | 1.36 ± 0.42 |
| 8.1 g/kg/day (ZZHPD) | 501.48 ± 62.22 ** | 703.33 ± 67.15 ** | 73.74 ± 17.85 ** | 27.17 ± 1.36 | 27.51 ± 4.06 ** | 11.36 ± 2.23 * | 3.98 ± 0.93 ** | 42.37 ± 1.56 ** | 6.86 ± 1.28 ** | 3.01 ± 0.76 |
| 27 g/kg/day (ZZHPD) | 838.89 ± 167.82 ** | 985.93 ± 182.80 ** | 75.40 ± 17.34 ** | 25.68 ± 2.12 * | 26.06 ± 3.60 ** | 12.65 ± 0.93 ** | 4.91 ± 0.69 ** | 41.81 ± 1.42 ** | 8.24 ± 0.57 ** | 3.43 ± 0.37 ** |
| No. | Rt/min | m/z | ESI Mode | Biomarker Identification | Formula | VIP | 2.7 g/kg/day | 8.1 g/kg/day | 27 g/kg/day | Dysfunction Association |
|---|---|---|---|---|---|---|---|---|---|---|
| 1 | 1.18 | 144.1015 | + | Vinylacetylglycine | C6H9NO3 | 2.09 | - | ↑↑↑ | ↑↑↑ | fatty acid metabolism |
| 2 | 11.95 | 588.3292 | - | LysoPC (20:4) | C28H50NO7P | 2.06 | - | ↑ | ↑↑↑ | lipid metabolism |
| 3 | 14.81 | 327.2321 | - | Docosahexaenoic acid | C22H32O2 | 2.05 | - | ↑↑ | ↑↑ | lipid metabolism |
| 4 | 7.36 | 201.0216 | - | Bergaptol | C11H6O4 | 2.04 | ↓ | ↓↓ | ↓↓ | energy metabolism |
| 5 | 13.01 | 544.3386 | + | LysoPC (18:1) | C26H52NO7P | 2.02 | - | ↑↑ | ↑↑↑ | lipid metabolism |
| 6 | 10.14 | 274.2733 | + | C16 Sphinganine | C16H35NO2 | 1.99 | - | ↑↑↑ | ↑↑↑ | lipid metabolism |
| 7 | 1.14 | 138.0545 | + | Urocanic acid | C6H6N2O2 | 1.96 | - | ↓↓↓ | ↓↓↓ | amino acid metabolism |
| 8 | 17.26 | 305.2457 | + | Arachidonic acid | C20H32O2 | 1.95 | - | ↑↑ | ↑↑↑ | lipid metabolism |
| 9 | 15.36 | 279.2321 | - | Octadecadienoate | C18H32O2 | 1.90 | - | ↑↑ | ↑↑ | lipid metabolism |
| 10 | 1.15 | 116.0706 | + | Proline | C5H9NO2 | 1.89 | - | ↓↓ | ↓↓ | amino acid metabolism |
| 11 | 7.14 | 174.091 | + | 2-Oxoarginine | C6H11N3O3 | 1.87 | ↑ | ↓↓ | ↓↓ | amino acid metabolism |
| 12 | 7.52 | 186.0549 | - | Indoleacrylic acid | C11H9NO2 | 1.87 | - | ↓ | ↓↓ | amino acid metabolism |
| 13 | 11.12 | 302.3045 | + | Sphinganine | C18H39NO2 | 1.86 | ↑↑ | ↑↑ | ↑↑↑ | lipid metabolism |
| 14 | 11.91 | 500.277 | - | LysoPE (0:0/20:4) | C25H44NO7P | 1.84 | - | - | ↑ | fatty acid metabolism |
| 15 | 8.69 | 190.0861 | + | Homocitrulline | C7H15N3O3 | 1.70 | - | ↓↓ | ↓↓ | amino acid metabolism |
| 16 | 1.29 | 136.0755 | + | Homocysteine | C4H9NO2S | 1.68 | - | ↑ | ↑↑ | amino acid metabolism |
| 17 | 1.29 | 182.0807 | + | Tyrosine | C9H11NO3 | 1.66 | - | ↑ | ↑↑ | amino acid metabolism |
| 18 | 12.6 | 540.3295 | - | LysoPC(16:0) | C24H50NO7P | 1.42 | - | ↑ | ↑↑ | lipid metabolism |
| 19 | 9.94 | 407.2794 | - | Cholic acid | C24H40O5 | 1.33 | - | - | ↑ | bile acid metabolism |
| 20 | 5.44 | 178.0498 | - | Hippuric acid | C9H9NO3 | 1.30 | - | ↑ | ↑ | amino acid metabolism |
© 2019 by the authors. Licensee MDPI, Basel, Switzerland. This article is an open access article distributed under the terms and conditions of the Creative Commons Attribution (CC BY) license (http://creativecommons.org/licenses/by/4.0/).
Share and Cite
Wang, Y.; Feng, F. Evaluation of the Hepatotoxicity of the Zhi-Zi-Hou-Po Decoction by Combining UPLC-Q-Exactive-MS-Based Metabolomics and HPLC-MS/MS-Based Geniposide Tissue Distribution. Molecules 2019, 24, 511. https://doi.org/10.3390/molecules24030511
Wang Y, Feng F. Evaluation of the Hepatotoxicity of the Zhi-Zi-Hou-Po Decoction by Combining UPLC-Q-Exactive-MS-Based Metabolomics and HPLC-MS/MS-Based Geniposide Tissue Distribution. Molecules. 2019; 24(3):511. https://doi.org/10.3390/molecules24030511
Chicago/Turabian StyleWang, Yunji, and Fang Feng. 2019. "Evaluation of the Hepatotoxicity of the Zhi-Zi-Hou-Po Decoction by Combining UPLC-Q-Exactive-MS-Based Metabolomics and HPLC-MS/MS-Based Geniposide Tissue Distribution" Molecules 24, no. 3: 511. https://doi.org/10.3390/molecules24030511
APA StyleWang, Y., & Feng, F. (2019). Evaluation of the Hepatotoxicity of the Zhi-Zi-Hou-Po Decoction by Combining UPLC-Q-Exactive-MS-Based Metabolomics and HPLC-MS/MS-Based Geniposide Tissue Distribution. Molecules, 24(3), 511. https://doi.org/10.3390/molecules24030511
