Withanolides, Extracted from Datura Metel L. Inhibit Keratinocyte Proliferation and Imiquimod-Induced Psoriasis-Like Dermatitis via the STAT3/P38/ERK1/2 Pathway
Abstract
:1. Introduction
2. Results
2.1. Withanolides Significantly Alleviated IMQ-Induced Psoriasis-Like Symptoms
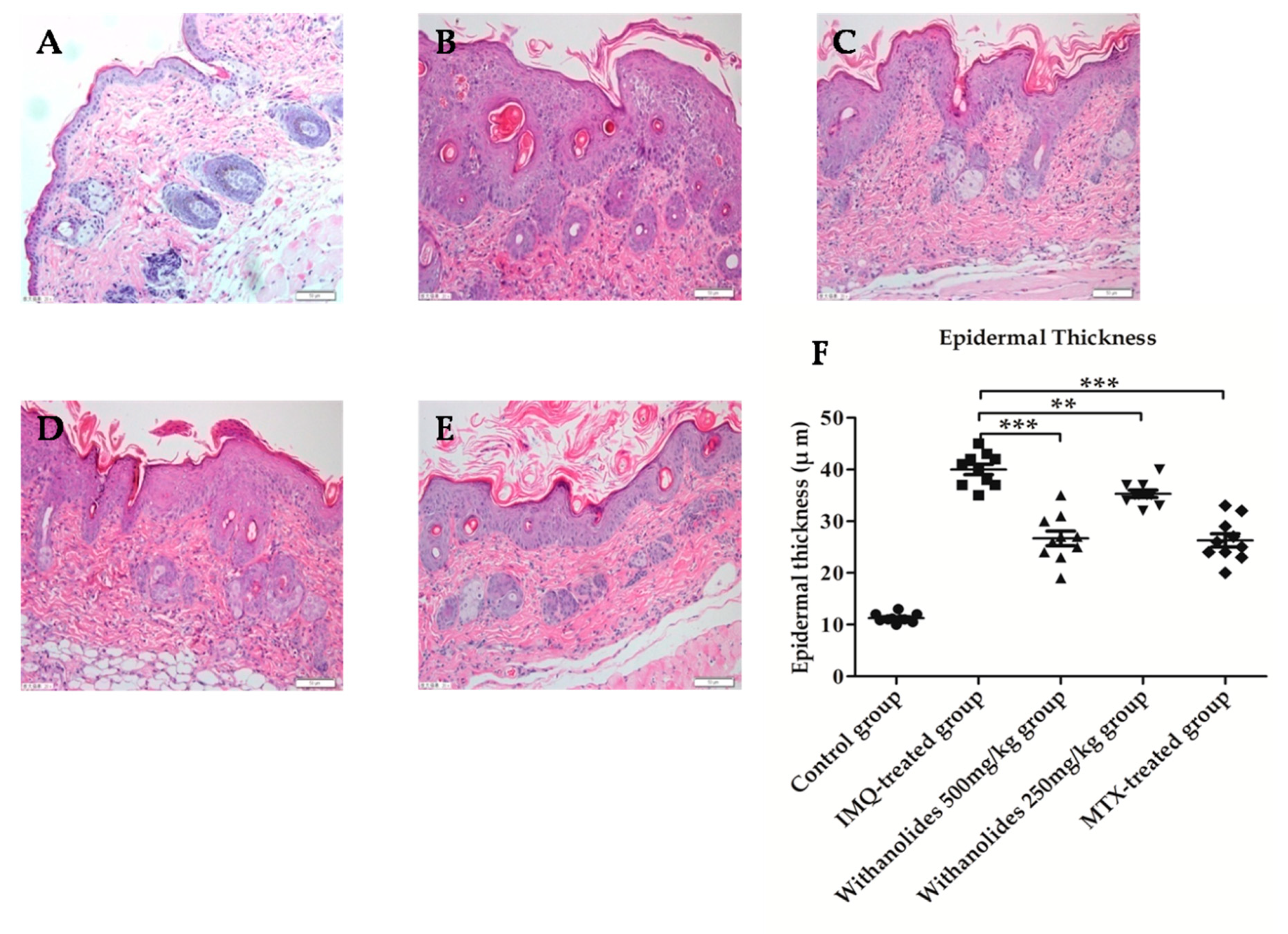
2.2. Withanolides Inhibited the Proliferation of the Epidermis in Mice with IMQ-Induced Psoriasis
2.3. Withanolides Inhibited the Infiltration of T Lymphocytes and Macrophages in Mice with IMQ-Induced Psoriasis
2.4. Withanolides Inhibited HaCat Cell Proliferation in a Dose-Dependent Manner
2.5. Withanolides Inhibited the Expression of Pro-Inflammatory Cytokines in IMQ-Stimulated Hacat Cells
2.6. Withanolides Could Inhibit Phosphorylations of STAT3, ERK1/2 and P38 in a Dose-Dependent Manner
3. Discussion
4. Materials and Methods
4.1. Materials
4.2. Preparation of Withanolides
4.3. Psoriatic Model and Treatments
4.4. Scoring Severity of Skin Inflammation
4.5. Histo-Pathological and Immunohistochemical Analysis
4.6. HaCaT Cell Culture and Treatment
4.7. RT-PCR Assay
4.8. Western Blot Analysis
4.9. Statistical Analysis
5. Conclusions
Author Contributions
Funding
Acknowledgments
Conflicts of Interest
References
- Lowes, M.A.; Bowcock, A.M.; Krueger, J.G. Pathogenesis and therapy of psoriasis. Nature 2007, 445, 866. [Google Scholar] [CrossRef] [PubMed]
- Oussedik, E.; Patel, N.U.; Cash, D.R.; Gupta, A.S.; Feldman, S. R Severe and acute complications of biologics in psoriasis. G Ital. Dermatol. Venereol. 2017, 152, 586–596. [Google Scholar] [PubMed]
- Michalek, I.M.; Loring, B.; John, S.M. A systematic review of worldwide epidemiology of psoriasis. J. Eur. Acad. Dermatol. Venereol. 2017, 31, 205–212. [Google Scholar] [CrossRef] [PubMed]
- Langley, R.G.B.; Krueger, G.G.; Griffiths, C.E.M. Psoriasis: Epidemiology, clinical features, and quality of life. Ann. Rheum. Dis. 2005, 64, 18–23. [Google Scholar] [CrossRef] [PubMed]
- Chiricozzi, A.; Romanelli, P.; Volpe, E. Scanning the immunopathogenesis of psoriasis. Int. J. Mol. Sci. 2018, 19, 179. [Google Scholar] [CrossRef]
- Shrivastava, V.K.; Londhe, N.D.; Sonawane, R.S.; Suri, J.S. First review on psoriasis severity risk stratification: An engineering perspective. Comput. Biol. Med. 2015, 63, 52–63. [Google Scholar] [CrossRef] [PubMed]
- Al-Dabagh, A.; Davis, S.A.; Kinney, M.A.; Huang, K.; Feldman, S.R. The effect of folate supplementation on methotrexate efficacy and toxicity in psoriasis patients and folic acid use by dermatologists in the USA. Am. J. Clin. Derm. 2013, 14, 155–161. [Google Scholar] [CrossRef] [PubMed]
- Davidovici, B.B.; Sattar, N.; Jörg, P.C.; Puig, L.; Emery, P.; Barker, J.N.; van de Kerkhof, P.; Ståhle, M.; Nestle, F.O.; Girolomoni, G.; et al. Psoriasis and systemic inflammatory diseases: Potential mechanistic links between skin disease and co-morbid conditions. J. Investig. Derm. 2010, 130, 1785–1796. [Google Scholar] [CrossRef]
- Panonnummal, R.; Sabitha, M. Anti-psoriatic and toxicity evaluation of methotrexate loaded chitin nanogel in imiquimod induced mice model. Int. J. Biol. Macromol. 2018, 110, 245–258. [Google Scholar] [CrossRef]
- Wang, M.X.; Zhao, J.X.; Meng, Y.J.; Di, T.T.; Xu, X.L.; Xie, X.J.; Wang, Y. Acetyl-11-keto-β-boswellic acid inhibits the secretion of cytokines by dendritic cells via the TLR7/8 pathway in an imiquimod-induced psoriasis mouse model and in vitro. Life Sci. 2018, 207, 90–104. [Google Scholar] [CrossRef]
- Boehncke, W.H. Etiology and pathogenesis of psoriasis. Rheum. Dis. Clin. N. Am. 2015, 41, 665–675. [Google Scholar] [CrossRef] [PubMed]
- Kim, J.; Krueger, J.G. The immunopathogenesis of psoriasis. Dermatol. Clin. 2015, 33, 13–23. [Google Scholar] [CrossRef] [PubMed]
- Morelli, M.; Scarponi, C.; Mercurio, L.; Facchiano, F.; Pallotta, S.; Madonna, S.; Albanesi, C. Selective Immunomodulation of Inflammatory Pathways in Keratinocytes by the Janus Kinase (JAK) Inhibitor Tofacitinib: Implications for the Employment of JAK-Targeting Drugs in Psoriasis. J. Immunol. Res. 2018, 2018. [Google Scholar] [CrossRef] [PubMed]
- Sun, Y.; Zhang, J.; Huo, R.; Zhai, T.; Li, H.; Wu, P.; Li, N. Paeoniflorin inhibits skin lesions in imiquimod-induced psoriasis-like mice by downregulating inflammation. Int. Immunopharmacol. 2015, 24, 392–399. [Google Scholar] [CrossRef] [PubMed]
- Jia, H.Y.; Shi, Y.; Luo, L.F.; Jiang, G.; Zhou, Q.; Xu, S.Z.; Lei, T.C. Asymmetric stem-cell division ensures sustained keratinocyte hyperproliferation in psoriatic skin lesions. Int. J. Mol. Med. 2016, 37, 359–368. [Google Scholar] [CrossRef]
- Kuang, H.X.; Yang, B.Y.; Xia, Y.G.; Wang, Q.H. Two new with anolide lactones from Flos Daturae. Molecules 2011, 16, 5833–5839. [Google Scholar] [CrossRef] [PubMed]
- Tang, L.; Wang, Q.; Yang, B.; Xiao, H.; Sun, Y.; Kuang, H. Protective effects of active fraction and constituents from FlosDaturae on Chinese hamster ovary cells injuried by dimethyl sulfoxide. Chin. Trad. Herb. Drug 2006, 37, 1826–1831. [Google Scholar]
- Wang, Y.X. The report on Traditional Chinese medicine yangjinhua (Datura metel) is given priority to treat 242 patients with psoriasis. J. Trad. Chin. Med. 1985, 35, 32–33. [Google Scholar]
- Su, Y.; Wang, Q.; Yang, B.; Wu, L.; Cheng, G.; Kuang, H. Withasteroid B from D. metel L. regulates immune responses by modulating the JAK/STAT pathway and the IL-17+ RORγt+/IL-10+ FoxP3+ ratio. Clin. Exp. Immunol. 2017, 190, 40–53. [Google Scholar] [CrossRef]
- Jayaprakasam, B.; Zhang, Y.; Seeram, N.P.; Nair, M.G. Growth inhibition of human tumor cell lines by withanolides from Withaniasomnifera leaves. Life Sci. 2003, 74, 125–132. [Google Scholar] [CrossRef]
- Habtemariam, S. Cytotoxicity and immunosuppressive activityof withanolides from Discopodiumpenninervium. Planta Med. 1997, 63, 15–17. [Google Scholar] [CrossRef] [PubMed]
- Swindell, W.R.; Michaels, K.A.; Sutter, A.J.; Diaconu, D.; Fritz, Y.; Xing, X.; Ward, N.L. Imiquimod has strain-dependent effects in mice and does not uniquely model human psoriasis. Genome Med. 2017, 9, 24. [Google Scholar] [CrossRef] [PubMed]
- Shirsath, N.; Wagner, K.; Tangermann, S.; Schlederer, M.; Ringel, C.; Kenner, L.; Wolf, P. 8-methoxypsoralen plus ultraviolet A reduces the psoriatic response to imiquimod in a murine model. Acta Derm. Venereol. 2018, 98, 576–584. [Google Scholar] [CrossRef] [PubMed]
- Jurikova, M.; Danihel, Ľ.; Polák, Š.; Varga, I. Ki67, PCNA, and MCM proteins: Markers of proliferation in the diagnosis of breast cancer. Acta Histochem. 2016, 118, 544–552. [Google Scholar] [CrossRef] [PubMed]
- Beutner, K.R.; Tyring, S. Human papillomavirus and human disease. Am. J. Med. 1997, 102, 9–15. [Google Scholar] [CrossRef]
- Varma, S.R.; Sivaprakasam, T.O.; Mishra, A.; Prabhu, S.; Rafiq, M.; Rangesh, P. Imiquimod-induced psoriasis-like inflammation in differentiated Human keratinocytes: Its evaluation using curcumin. Eur. J. Pharm. 2017, 813, 33–41. [Google Scholar] [CrossRef] [PubMed]
- Van Belle, A.B.; de Heusch, M.; Lemaire, M.M.; Hendrickx, E.; Warnier, G. IL-22 is required for imiquimod-induced psoriasiform skin inflammation in Mice. J. Immunol. 2012, 188, 462–469. [Google Scholar] [CrossRef] [PubMed]
- Roux, P.P.; Blenis, J. ERK and p38 MAPK-activated protein kinases: A family of protein kinases with diverse biological functions. Microbiol. Mol. Biol. Rev. 2004, 68, 320–344. [Google Scholar] [CrossRef] [PubMed]
- Kuang, Y.H.; Lu, Y.; Liu, Y.K.; Liao, L.Q.; Zhou, X.C.; Qin, Q.S.; Jia, X.K.; Wu, L.S.; Zhu, W.; Chen, X. Topical Sunitinib ointment alleviates Psoriasis-like inflammation by inhibiting the proliferation and apoptosis of keratinocytes. Eur. J. Pharmacol. 2018, 824, 57–63. [Google Scholar] [CrossRef]
- Wang, Y.Y.; Sun, H.J.; Wang, Z.B.; Wang, Q.H.; Yang, B.Y.; Kuang, H.X. Optimization of purification technology for total steroids ofwithanolides from effective part of Datura metel. Chin. J. Exp. Trad. Med. 2013, 19, 17–19. [Google Scholar]
Sample Availability: Samples of the compounds are not available from the authors. |









© 2019 by the authors. Licensee MDPI, Basel, Switzerland. This article is an open access article distributed under the terms and conditions of the Creative Commons Attribution (CC BY) license (http://creativecommons.org/licenses/by/4.0/).
Share and Cite
Li, T.; Wei, Z.; Sun, Y.; Wang, Q.; Kuang, H. Withanolides, Extracted from Datura Metel L. Inhibit Keratinocyte Proliferation and Imiquimod-Induced Psoriasis-Like Dermatitis via the STAT3/P38/ERK1/2 Pathway. Molecules 2019, 24, 2596. https://doi.org/10.3390/molecules24142596
Li T, Wei Z, Sun Y, Wang Q, Kuang H. Withanolides, Extracted from Datura Metel L. Inhibit Keratinocyte Proliferation and Imiquimod-Induced Psoriasis-Like Dermatitis via the STAT3/P38/ERK1/2 Pathway. Molecules. 2019; 24(14):2596. https://doi.org/10.3390/molecules24142596
Chicago/Turabian StyleLi, Tingting, Zheng Wei, Yanping Sun, Qiuhong Wang, and Haixue Kuang. 2019. "Withanolides, Extracted from Datura Metel L. Inhibit Keratinocyte Proliferation and Imiquimod-Induced Psoriasis-Like Dermatitis via the STAT3/P38/ERK1/2 Pathway" Molecules 24, no. 14: 2596. https://doi.org/10.3390/molecules24142596
APA StyleLi, T., Wei, Z., Sun, Y., Wang, Q., & Kuang, H. (2019). Withanolides, Extracted from Datura Metel L. Inhibit Keratinocyte Proliferation and Imiquimod-Induced Psoriasis-Like Dermatitis via the STAT3/P38/ERK1/2 Pathway. Molecules, 24(14), 2596. https://doi.org/10.3390/molecules24142596

