Development of a Novel Series of Anticancer and Antidiabetic: Spirothiazolidines Analogs
Abstract
1. Introduction
2. Results
2.1. Chemistry
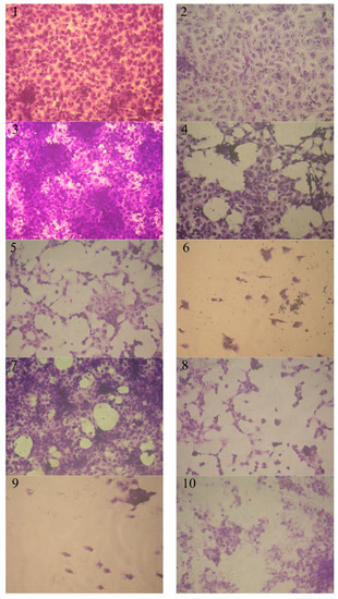
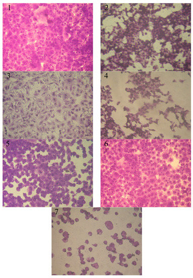
2.2. Anticancer
2.3. Antidiabetic
3. Materials and Methods
3.1. General Information
3.2. Chemistry
3.2.1. 4-(4-aminophenyl)-1-thia-4-azaspiro[4.5]decan-3-one (1)
3.2.2. General procedure for the synthesis of compounds 2 and 3
4-(3-hydrazono-1-thia-4-azaspiro[4.5]decan-4-yl)aniline (2)
4-(3-(2-phenylhydrazono)-1-thia-4-azaspiro[4.5]decan-4-yl)aniline (3)
3.2.3. 2-(4-(4-aminophenyl)-1-thia-4-azaspiro[4.5]decan-3-ylidene)hydrazine-1-carbothioamide (4)
3.2.4. 4-(4-aminophenyl)-2-(2-(4-nitrophenyl)hydrazono)-1-thia-4-azaspiro[4.5]decan-3-one (5)
3.2.5. General procedure for the synthesis of compounds 6 and 7
5′-amino-3′-(4-aminophenyl)-7′-(4-chlorophenyl)-3′H-spiro[cyclohexane-1,2′-thiazolo[4,5-b] pyridine]-6′-carbonitrile (6)
3′-(4-aminophenyl)-7′-(4-chlorophenyl)-5′-oxo-4′,5′-dihydro-3′H-spiro[cyclohexane-1,2′- thiazolo[4,5-b]pyridine]-6′-carbonitrile (7)
3.2.6. 4-(4-aminophenyl)-2-(4-chlorobenzylidene)-1-thia-4-azaspiro[4.5]decan-3-one (8)
3.2.7. 4-(3′-(4-chlorophenyl)-spiro[cyclohexane-1,5′-pyrazolo[3,4-d]thiazol]-6′ (1′H)-yl)aniline (9)
3.2.8. 4-(3′-(4-chlorophenyl)-6′H-spiro[cyclohexane-1,5′-thiazolo[5,4-d]isoxazol]-6′-yl)aniline (10)
3.2.9. 3′-(4-aminophenyl)-5′-chloro-7′-(4-chlorophenyl)-3′H-spiro[cyclohexane-1,2′-thiazolo[4,5-b] pyridine]-6′-carbonitrile (11)
3.2.10. General procedure for the synthesis of compounds 12‒16
3′-(4-aminophenyl)-7′-(4-chlorophenyl)-4′-(oxiran-2-ylmethyl)-5′-oxo-4′,5′-dihydro-3′H-spiro[cyclo hexane-1,2′-thiazolo[4,5-b]pyridine]-6′-carbonitrile (12)
3′-(4-aminophenyl)-7′-(4-chlorophenyl)-4′-(2-hydroxyethyl)-5′-oxo-4′,5′-dihydro-3′H-spiro[cyclo hexane-1,2′-thiazolo[4,5-b]pyridine]-6′-carbonitrile (13)
2-(3′-(4-aminophenyl)-7′-(4-chlorophenyl)-6′-cyano-5′-oxo-3′,5′-dihydro-4′H-spiro[cyclohexane -1, 2′-thiazolo[4,5-b]pyridin]-4′-yl)acetic acid (14)
3-(3′-(4-aminophenyl)-7′-(4-chlorophenyl)-6′-cyano-5′-oxo-3′,5′-dihydro-4′H-spiro[cyclo hexane-1,2′-thiazolo[4,5-b]pyridin]-4′-yl)propanoic acid (15)
Ethyl 2-(3′-(4-aminophenyl)-7′-(4-chlorophenyl)-6′-cyano-5′-oxo-3′,5′-dihydro-4′H-spiro [cyclohexane-1,2′-thiazolo[4,5-b]pyridin]-4′-yl)acetate (16)
3.3. Anticancer Activity
3.3.1. Chemicals
3.3.2. Mammalian Cell Lines
3.3.3. Cell Line Propagation
3.4. In Vitro Antidiabetic Assay
3.4.1. Alpha-Amylase Inhibitory Activity
Chemicals
Alpha-Amylase Inhibition Method
3.4.2. Alpha-Glucoidase Inhibitory Activity
Chemicals
Alpha-Glucoidase Inhibition Method
4. Conclusion
Supplementary Materials
Author Contributions
Funding
Conflicts of Interest
References
- Cancer Facts & Figures. Available online: https://www.cancer.org/content/dam/cancer-org/research/cancer-facts-and-statistics/annual-cancer-facts-and-figures/2017/cancer-facts-and-figures-2017.pdf (accessed on 11 December 2017).
- Cancer Facts & Figures. Available online: https://www.cancer.org/content/dam/cancer-org/research/cancer-facts-and-statistics/annual-cancer-facts-and-figures/2018/cancer-facts-and-figures-2018.pdf (accessed on 9 November 2018).
- Common Cancer Types. Available online: https://www.cancer.gov/types/common-cancers (accessed on 26 February 2018).
- The Genetics of Cancer. Available online: https://www.cancer.gov/about-cancer/causes-prevention/genetics (accessed on 12 October 2007).
- What is Cancer? Available online: https://www.cancer.org/cancer/cancer-basics/what-is-cancer.html (accessed on 8 December 2015).
- What is Cancer? Available online: https://www.cancer.gov/about-cancer/understanding/what-is-cancer (accessed on 9 February 2015).
- Flaherty, K.T.; Infante, J.R.; Daud, A.; Gonzalez, R.; Kefford, R.F.; Sosman, J.; Hamid, O.; Schuchter, L.; Cebon, J.; Ibrahim, N.; et al. Combined BRAF and MEK inhibition in melanoma with BRAF V600 mutations. N. Engl. J. Med. 2012, 367, 1694–1703. [Google Scholar] [CrossRef] [PubMed]
- Petrelli, F.; Borgonovo, K.; Cabiddu, M.; Lonati, V.; Barni, S. Relationship between skin rash and outcome in non-small-cell lung cancer patients treated with anti-EGFR tyrosine kinase inhibitors: A literature-based meta-analysis of 24 trials. Lung Cancer 2012, 78, 8–15. [Google Scholar] [CrossRef] [PubMed]
- Cai, J.; Ma, H.; Huang, F.; Zhu, D.; Bi, J.; Kel, Y.; Zhang, T. Correlation of bevacizumab-induced hypertension and outcomes of metastatic colorectal cancer patients treated with bevacizumab: A systematic review and meta-analysis. World J. Surg. Oncol. 2013, 11, 306–314. [Google Scholar] [CrossRef] [PubMed]
- Gore, L.; De Gregori, J.; Porter, C.C. Targeting developmental pathways in children with cancer: What price success? Lancet Oncol. 2013, 4, 70–78. [Google Scholar] [CrossRef]
- Flefel, E.M.; El-Sayed, W.A.; Mohamed, A.M.; El-Sofany, W.I.; Awad, H.M. Synthesis and Anticancer Activity of New 1-Thia-4-azaspiro[4.5]decane, Their Derived Thiazolopyrimidine and 1,3,4-Thiadiazole Thioglycosides. Molecules 2017, 22, 1–13. [Google Scholar] [CrossRef] [PubMed]
- El-Sayed, A.A.; Khaireldin, N.Y.; El-Shahat, M.; El-Hefny, E.A.; El-Saidi, M.M.T.; Ali, M.M.; Mahmoud, A.E. Antiproliferative Activity For Newly Heterofunctionalized Pyridine Analogues. Ponte 2016, 72, 106–118. [Google Scholar]
- Shamroukh, A.H.; El-Shahat, M.; Drabowicz, J.; Ali, M.M.; Rashad, A.E. Anticancer evaluation of some newly synthesized N-nicotinonitrile derivative. Eur. J. Med. Chem. 2013, 69, 521–526. [Google Scholar] [CrossRef]
- Rashad, A.E.; Shamroukh, A.H.; Yousif, N.M.; Salama, M.A.; Ali, M.A.; Mahmoud, A.E.; El-Shahat, M. New Pyrimidinone and Fused Pyrimidinone Derivatives as Potential Anticancer Chemotherapeutics. Arch. Pharm. Chem. Life Sci. 2012, 345, 729–738. [Google Scholar] [CrossRef]
- Flefel, E.E.; Salama, M.A.; El-Shahat, M.; El-Hashash, M.A.; El-Farargy, A.F. A novel synthesis of some new pyrimidine and thiazolopyrimidine derivatives for anticancer evaluation. Phosphorus Sulfur Silicon Relat. Elem. 2007, 182, 1739–1756. [Google Scholar] [CrossRef]
- El-Sayed, W.A.; El-Sofany, W.I.; Hussein, H.A.; Fathi, N.M. Synthesis and anticancer activity of new[(indolyl)pyrazolyl]-1,3,4-oxadiazole thioglycosides and acyclic nucleoside analogs. Nucleosides Nucleotides Nucleic Acids. 2017, 36, 474–495. [Google Scholar] [CrossRef]
- Johnson, K.A.; Brown, P.H. Drug development for cancer chemoprevention: Focus on molecular targets. Semin. Oncol. 2010, 37, 345–358. [Google Scholar] [CrossRef] [PubMed]
- Diabetes, M.; Alvin, C. Powers in Harrison’s Principles of Internal Medicine, 18th ed.; Chapter 345; McGraw Hill Education Books: New York, NY, USA, 2004; ISBN 978-0071748896. [Google Scholar]
- Wild, S.; Roglic, G.; Green, A.; Sicree, R.; King, H. Global prevalence of diabetes: estimates for the year 2000 and projections for 2030. Diabetes Care 2004, 27, 1047–1053. [Google Scholar] [CrossRef] [PubMed]
- DeFronzo, R.A. Pharmacologic therapy for type 2 diabetes mellitus. Ann. Intern. Med. 1999, 131, 281–303. [Google Scholar] [CrossRef] [PubMed]
- Nathan, D.M. Initial management of glycemia in type 2 diabetes mellitus. N. Engl. J. Med. 2002, 347, 1342–1349. [Google Scholar] [CrossRef] [PubMed]
- Inzucchi, S.E. Oral antihyperglycemic therapy for type 2 diabetes: Scientific review. J. Am. Med. Assoc. 2002, 287, 360–372. [Google Scholar] [CrossRef] [PubMed]
- DeWitt, D.E.; Hirsch, I.B. Outpatient insulin therapy in type 1 and type 2 diabetes mellitus: Scientific review. J. Am. Med. Assoc. 2003, 289, 2254–2264. [Google Scholar] [CrossRef] [PubMed]
- Rendell, M. The role of sulphonylureas in the management of type 2 diabetes mellitus. Drug 2004, 64, 1339–1358. [Google Scholar] [CrossRef] [PubMed]
- Lebovitz, H.E. Insulin secretagogues: Old and new. Diabetes Rev. 1999, 7, 139–153. [Google Scholar]
- Cusi, K.; DeFronzo, R.A. Metformin: A review of its metabolic effects. Diabetes Rev. 1998, 6, 98–131. [Google Scholar]
- Kirpichnikov, D.; McFarlane, S.I.; Sowers, J.R. Metformin: An update. Ann. Intern. Med. 2002, 137, 25–33. [Google Scholar]
- Diamant, M.; Heine, R.J. Thiazolidinediones in type 2 diabetes mellitus. Drug 2003, 63, 1373–1406. [Google Scholar] [CrossRef]
- Lebovitz, H.E. α-Glucosidase inhibitors as agents in the treatment of diabetes. Diabetes Rev. 1998, 6, 132–145. [Google Scholar]
- Available online: https://www.ncbi.nlm.nih.gov/pmc/articles/PMC2890380/ (accessed on 15 July 2010).
- Available online: http://scienceblog.cancerresearchuk.org/2017/05/15/sugar-and-cancer-what-you-need-to-know/ (accessed on 15 May 2017).
- Available online: https://beatcancer.org/blog-posts/5-reasons-cancer-and-sugar-are-best-friends/ (accessed on 02 April 2000).
- Gressier, B.; Lebegue, N.; Brunet, C.; Luyckx, M.; Dine, T.; Cazin, M.; Cazin, J.C. Scavenging of reactive oxygen species by letosteine, a molecule with two blocked-SH groups. Pharm. World Sci. 1995, 17, 76–80. [Google Scholar] [CrossRef]
- Zhang, Q.; Zhou, H.; Zhai, S.; Yan, B. Natural product-inspired synthesis of thiazolidine and thiazolidinone compounds and their anticancer activities. Curr. Pharm. Des. 2010, 16, 1826–1842. [Google Scholar] [CrossRef] [PubMed]
- Tomasić, T.; Masic, L.P. Rhodanine as a privileged scaffold in drug discovery. Curr. Med. Chem. 2009, 16, 1596–1629. [Google Scholar] [CrossRef] [PubMed]
- Sharma, S.R.; Sharma, N. Epalrestat, an aldose reductase inhibitor, in diabetic neuropathy: An Indian perspective. Ann. Indian Acad. Neurol. 2008, 11, 231–235. [Google Scholar] [CrossRef]
- Rizzo, S. Clinical trial with arginine tidiacicate in symptomatic chronic persistent hepatitis. Int. J. Clin. Pharmacol. Res. 1986, 6, 225–230. [Google Scholar]
- Missbach, M.; Jagher, B.; Sigg, I.; Nayeri, S.; Carlberg, C.; Wiesenberg, I. Thiazolidine diones, specific ligands of the nuclear receptor retinoid Z receptor/retinoid acid receptor-related orphan receptor α with potent antiarthritic activity. J. Biol. Chem. 1996, 271, 13515–13522. [Google Scholar] [CrossRef]
- Gonzalez-Estrada, A.; Radojicic, C. Penicillin allergy: A practical guide for clinicians. Clev. Clin. J. Med. 2015, 82, 295–300. [Google Scholar] [CrossRef]
- Norisada, N.; Masuzaki, H.; Fujimoto, M.; Inoue, G.; Hosoda, K.; Hayashi, T.; Watanabe, M.; Muraoka, S.; Yoneda, F.; Nakao, K. Antidiabetic and adipogenic properties in a newly synthesized thiazolidine derivative, FPFS-410. Metabolism 2004, 53, 1532–1537. [Google Scholar] [CrossRef]
- Ottanà, R.; Maccari, R.; Giglio, M.; Del Corso, A.; Cappiello, M.; Mura, U.; Cosconati, S.; Marinelli, L.; Novellino, E.; Sartini, S.; et al. Identification of 5-arylidene-4-thiazolidinone derivatives endowed with dual activity as aldose reductase inhibitors and antioxidant agents for the treatment of diabetic complications. Eur. J. Med. Chem. 2011, 46, 2797–2806. [Google Scholar]
- Holla, B.S.; Malini, K.V.; Rao, B.S.; Sarojini, B.K.; Kumari, N.S. Synthesis of some new 2, 4-disubstituted thiazoles as possible antibacterial and anti-inflammatory agent. Eur. J. Med. Chem. 2003, 38, 313–318. [Google Scholar] [CrossRef]
- Taranalli, A.D.; Thimmaiah, N.V.; Srinivas, S.; Saravanan, E.; Bhat, A.R. Anti-inflammatory, analgesic and anti ulcer activity of certain thiazolidinones. Asian J. Pharm. Clin. Res. 2009, 2, 209–211. [Google Scholar]
- Pandeya, S.N.; Sriram, D.; Nath, G.; DeClerq, E. Synthesis, antibacterial, antifungal and anti-HIV activities of Schiff and Mannich bases derived from isatin derivatives and N-[4-(4’-chlorophenyl) thiazol-2-yl] thiosemicarbazide. Eur. J. Pharm. Sci. 1999, 9, 25–31. [Google Scholar] [CrossRef]
- Shiradkar, M.R.; Murahari, K.K.; Gangadasu, H.R.; Suresh, T.; Kalyan, C.A.; Panchal, D.; Kaur, R.; Burange, P.; Ghogare, J.; Mokale, V.; et al. Synthesis of new S-derivatives of clubbed triazole as anti-Mycobacterium tuberculosis agents. Bioorg. Med. Chem. 2007, 15, 3997–4008. [Google Scholar] [CrossRef]
- Upadhyay, A. Conventional and microwave assisted synthesis of some new N-[(4-oxo-2-substituted aryl-1, 3-thiazolidine)-acetamidyl]-5-nitroindazoles and its antimicrobial activity. Eur. J. Med. Chem. 2010, 45, 3541–3548. [Google Scholar] [CrossRef]
- Amin, K.M.; Rahman, A.D.E.; Al-Eryani, Y.A. Synthesis and preliminary evaluation of some substituted coumarins as anticonvulsant agents. Bioorg. Med. Chem. 2008, 16, 5377–5388. [Google Scholar] [CrossRef]
- Agarwal, A.; Lata, S.; Saxena, K.K.; Srivastava, V.K.; Kumar, A. Chemistry and Biological Activities of 1, 3-Thiazolidin-4-ones. Eur. J. Med. Chem. 2006, 41, 1223–1229. [Google Scholar] [CrossRef]
- Srivastava, V.K.; Kumar, A. Synthesis of newer thiadiazolyl and thiazolidinonyl quinazolin-4 (3H)-ones as potential anticonvulsant agents. Eur. J. Med. Chem. 2002, 37, 873–882. [Google Scholar]
- Ban, J.O.; Kwak, D.H.; Oh, J.H.; Park, E.J.; Cho, M.C.; Song, H.S.; Song, M.J.; Han, S.B.; Moon, D.C.; Kang, K.W.; et al. Suppression of NF-κB and GSK-3β is involved in colon cancer cell growth inhibition by the PPAR agonist troglitazone. Chem. Biol. Interact. 2010, 188, 75–85. [Google Scholar] [CrossRef]
- Beharry, Z.; Zemskova, M.; Mahajan, S.; Zhang, F.; Ma, J.; Xia, Z.; Lilly, M.; Smith, C.D.; Kraft, A.S. Novel benzylidene-thiazolidine-2, 4-diones inhibit Pim protein kinase activity and induce cell cycle arrest in leukemia and prostate cancer cells. Mol. Cancer Ther. 2009, 8, 1473–1483. [Google Scholar] [CrossRef] [PubMed]
- Chandrappa, S.; Benaka, P.S.B.; Vinaya, K.; Ananda, K.C.S.; Thimmegowda, N.R.; Rangappa, K.S. Synthesis and in vitro antiproliferative activity against human cancer cell lines of novel 5-(4-methyl-benzylidene)-thiazolidine-2, 4-diones. Investig. New Drugs 2008, 26, 437–444. [Google Scholar] [CrossRef] [PubMed]
- Gududuru, V.; Hurh, E.; Dalton, J.T.; Miller, D.D. Synthesis and antiproliferative activity of 2-aryl-4-oxo-thiazolidin-3-yl-amides for prostate cancer. Bioorg. Med. Chem. Lett. 2004, 14, 5289–5293. [Google Scholar] [CrossRef] [PubMed]
- Havrylyuk, D.; Zimenkovsky, B.; Lesyk, R. Synthesis and anticancer activity of novel nonfused bicyclic thiazolidinone derivatives. Phosphorus Sulfur Silicon Relat. Elem. 2009, 184, 638–650. [Google Scholar] [CrossRef]
- Balzarini, J.; Orzeszko, B.; Maurin, J.K.; Orzeszko, A. Synthesis and anti-HIV studies of 2-adamantyl-substituted thiazolidin-4-ones. Eur. J. Med. Chem. 2007, 42, 993–1003. [Google Scholar] [CrossRef] [PubMed]
- Rao, A.; Balzarini, J.; Carbone, A.; Chimirri, A.; De Clercq, E.; Monforte, A.M.; Monforte, P.; Pannecouque, C.; Zappalà, M. Synthesis of new 2, 3-diaryl-1, 3-thiazolidin-4-ones as anti-HIV agents. II Farmaco 2004, 59, 33–39. [Google Scholar] [CrossRef]
- Rao, A.; Carbone, A.; Chimirri, A.; De Clercq, E.; Monforte, A.M.; Monforte, P.; Pannecouque, C.; Zappalà, M. Synthesis and anti-HIV activity of 2, 3-diaryl-1, 3-thiazolidin-4-(thi) one derivatives. II Farmaco 2002, 57, 747–751. [Google Scholar] [CrossRef]
- Barreca, M.L.; Chimirri, A.; De Luca, L.; Monforte, A.M.; Monforte, P.; Rao, A.; Zappalà, M.; Balzarini, J.; De Clercq, E.; Pannecouque, C.; et al. Discovery of 2, 3-diaryl-1, 3-thiazolidin-4-ones as potent anti-HIV-1 agents. Bioorg. Med. Chem. Lett. 2001, 11, 1793–1796. [Google Scholar] [CrossRef]
- Kamila, S.; Ankati, H.; Biehl, E.R. An efficient microwave assisted synthesis of novel class of Rhodanine derivatives as potential HIV-1 and JSP-1 inhibitors. Tetrahedron Lett. 2011, 52, 4375–4377. [Google Scholar] [CrossRef] [PubMed]
- Lieberman, S.; Brazeau, P.; Hariton, L.B. Spiro (Steroid) Thiazolidines1. J. Am. Chem. Soc. 1948, 70, 3094–3097. [Google Scholar] [CrossRef] [PubMed]
- Havrylyuk, D.; Kovach, N.; Zimenkovsky, B.; Vasylenko, O.; Lesyk, R. Synthesis and Anticancer Activity of Isatin-Based Pyrazolines and Thiazolidines Conjugates. Arch. Pharm. Chem. Life Sci. 2011, 344, 514–522. [Google Scholar] [CrossRef] [PubMed]
- Ramshid, P.K.; Jagadeeshan, S.; Krishnan, A.; Mathew, M.; Nair, S.A.; Pillai, M.R. Synthesis and in vitro evaluation of some isatin-thiazolidinone hybrid analogues as anti-proliferative agents. Med. Chem. 2010, 6, 306–312. [Google Scholar] [CrossRef] [PubMed]
- Wang, S.; Zhao, Y.; Zhang, G.; Lv, Y.; Zhang, N.; Gong, P. Design, synthesis and biological evaluation of novel 4-thiazolidinones containing indolin-2-one moiety as potential antitumor agent. Eur. J. Med. Chem. 2011, 46, 3509–3518. [Google Scholar] [CrossRef] [PubMed]
- Flefel, E.M.; Sayed, H.H.; Hashem, A.I.; Saleh, D.O.; El-Sofany, W.; Abdel-Megeid, F.M.E. Hyperglycedemia and hypertriglyceridemia activities of newly synthesized compounds derived from 3’-(4-halophenyl)-5’-arylidene spiro(cyclohexane-(1,2’)-thiazolidin)-4’-one. Der Pharma Chem. 2015, 7, 142–157. [Google Scholar]
- Flefel, E.M.; Sayed, H.H.; Hashem, A.I.; Shalaby, E.A.; El-Sofany, W.; Abdel-Megeid, F.M.E. Pharmacological evaluation of some novel synthesized compounds derived from spiro(cyclohexane-1,2’-thiazolidines). Med. Chem. Res. 2014, 23, 2515–2527. [Google Scholar] [CrossRef]
- Soliman, H.A.; El-Shahat, M.; Soliman, A. Silica-supported Zinc Chloride (ZnCl2/SiO2)-induced Efficient Protocol for the Synthesis of N-sulfonyl imines and 2-Arylbenzothiazole. Lett. Org. Chem. 2019, 16, 584–591. [Google Scholar] [CrossRef]
- Abdelhameed, R.M.; El-El-Shahat, M. Fabrication of ZIF-67@ MIL-125-NH2 nanocomposite with enhanced visible light photoreduction activity. J. Environ. Chem. Eng. 2019, 7, 103194. [Google Scholar] [CrossRef]
- Abdelhameed, R.M.; El-Sayed, H.A.; El-Shahat, M.; El-Sayed, A.A.; Darwesh, O.M. Novel triazolothiadiazole and triazolothiadiazine derivatives containing pyridine moiety: Design, synthesis, bactericidal and fungicidal activities. Curr. Bioact. Compd. 2018, 14, 169–179. [Google Scholar] [CrossRef]
- Flefel, E.M.; El-Sofany, W.I.; El-Shahat, M.; Naqvi, A.; Assirey, E. Synthesis, Molecular Docking and In Vitro Screeningof Some Newly Synthesized Triazolopyridine, Pyridotriazine and Pyridine–Pyrazole Hybrid Derivatives. Molecules 2018, 23, 2548. [Google Scholar] [CrossRef] [PubMed]
- Flefel, E.M.; Tantawy, W.A.; El-Sofany, W.; El-Shahat, M.; El-Sayed, A.A.; Abd-Elshafy, D.N. Synthesis of Some New Pyridazine Derivatives for Anti-HAV Evaluation. Molecules 2017, 22, 1–15. [Google Scholar] [CrossRef] [PubMed]
- Qiao, X.; El-Shahat, M.; Ullah, B.; Bao, Z.; Xing, H.; Xiao, L.; Ren, Q.; Zhang, Z. Cyclopentadiene-based Brønsted acid as a new generation of organocatalyst for transfer hydrogenation of 2-substituted quinoline derivatives. Tetrahedron Lett. 2017, 58, 2050–2053. [Google Scholar] [CrossRef]
- Rashad, A.E.; Shamroukh, A.H.; El-Hashash, M.A.; El-Farargy, A.F.; Yousif, N.M.; Salama, M.A.; Mostafa, A.; El-Shahat, M. Synthesis and Anti-Avian Influenza Virus (H5N1) Evaluation of Some Novel Nicotinonitriles and Their N-Acylic Nucleosides. J. Heterocycl. Chem. 2012, 49, 1130–1135. [Google Scholar] [CrossRef]
- El-Sayed, A.A.; Khalil, A.M.; El-Shahat, M.; Khaireldin, N.Y.; Rabie, S.T. Antimicrobial activity of PVC-pyrazolone-silver nanocomposites. J. Macromol. Sci. Part A Pure Appl.Chem. 2016, 53, 346–353. [Google Scholar] [CrossRef]
- El-Sayed, A.A.; El-Shahat, M.; Rabie, S.T.; Flefel, E.M.; Abd-Elshafy, D.N. New pyrimidine and fused pyrimidine derivatives: Synthesis and anti hepatitis a virus (HAV) evaluation. Int. J. Pharm. 2015, 5, 69–79. [Google Scholar]
- Salama, M.A.M.; El-Shahat, M.; Elhefny, E.A.; El-Sayed, A.A. A Novel Fused Pyridopyrimidine Derivatives: Synthesis And Characterization. Int. J. Pharm 2015, 5, 53–58. [Google Scholar]
- Flefel, E.M.; El-Hashash, M.A.; El-Farargy, A.F.; Salama, M.A.; El-Shahat, M. Utility of 1-(3,4-dimethyl-phenyl)-3-thien-2-yl-propenone as ring transformer in preparing heterocyclic compounds and their antimicrobial and analgesic activities. Egypt. J. Pharm. Sci. 2013, 54–69. [Google Scholar]
- Rashad, A.E.; Shamroukh, A.H.; El-Hashash, M.A.; El-Farargy, A.F.; Yousif, N.M.; Salama, M.A.; Abdelwahed, N.M.A.; El-Shahat, M. 1,3-Bis(4-chlorophenyl)-2,3-epoxypropanone as Synthons in Synthesis of Some Interesting Potential Antimicrobial Agents. Org. Chem. Indian J. 2013, 9, 287–294. [Google Scholar]
- Sayed, H.H.; Flefel, E.M.; Abd El-Fatah, A.M.; El-Sofany, W.I. Focus on the Synthesis and Reactions of Some New Pyridine Carbonitrile Derivatives as Antimicrobial and Antioxidant Agents. Egypt. J. Chem. 2010, 53, 17–35. [Google Scholar]
- Saotome, K.; Morita, H.; Umeda, M. Cytotoxicity test with simplified crystal violet staining method using microtitre plates and its application to injection drugs. Toxicol. In Vitro 1989, 3, 317–321. [Google Scholar] [CrossRef]
- Gomha, S.M.; Riyadh, S.M.; Mahmmoud, E.A.; Elaasser, M.M. Synthesis and Anticancer Activities of Thiazoles, 1,3-Thiazines, and Thiazolidine Using Chitosan-Grafted-Poly(vinylpyridine) as Basic Catalyst. Heterocycles 2015, 91, 1227–1243. [Google Scholar]
- Narkhede, M.B.; Ajimire1, P.V.; Wagh1, A.E.; Mohan, M.; Shivashanmugam, A.T. In vitro antidiabetic activity of Caesalpina digyna (R.) methanol root extract. Asian J. Plant Sci. Res. 2011, 1, 101–106. [Google Scholar]
- Shai, L.J.; Magano, S.R.; Lebelo, S.L.; Mogale, A.M. Inhibitory effects of five medicinal plants on alpha-glucosidase: Comparison with their effects on yeast alpha-glucosidase. J. Med. Plant Res. 2011, 5, 2863–2867. [Google Scholar]
Sample Availability: Samples of the compounds are available from the authors. |




| Compounds | Cell Lines | Concentration in (µg/mL) | IC50 (µg/mL) | |||||||||
|---|---|---|---|---|---|---|---|---|---|---|---|---|
| 0 | 3.90 | 7.8 | 15.6 | 31.25 | 62.5 | 125 | 250 | 500 | ||||
| Doxorubicin | MCF-7 | % of cell viability | 100 | 24.98 | 19.89 | 15.46 | 6.93 | 5.07 | 3.21 | 2.36 | 1.51 | 0.35 |
| HepG-2 | % of cell viability | 100 | 25.59 | 20.81 | 18.13 | 13.05 | 6.13 | 4.22 | 2.7 | 1.72 | 0.36 | |
| 4 | MCF-7 | % of cell viability | 100 | 100 | 100 | 100 | 98.03 | 90.66 | 78.27 | 47.96 | 31.62 | 242 |
| HepG-2 | % of cell viability | 100 | 92.22 | 77.22 | 56.55 | 42.1 | 31.19 | 28.55 | 18.36 | 8.96 | 15.87 | |
| 6 | MCF-7 | % of cell viability | 100 | 88.23 | 74.95 | 63.37 | 48.92 | 34.25 | 29.38 | 21.64 | 13.87 | 30 |
| HepG-2 | % of cell viability | 100 | 80.41 | 63.57 | 47.28 | 39.56 | 30.69 | 21.97 | 14.36 | 7.96 | 14.3 | |
| 8 | MCF-7 | % of cell viability | 100 | 100 | 99.12 | 94.57 | 86.72 | 78.64 | 63.96 | 39.34 | 28.15 | 196 |
| HepG-2 | % of cell viability | 100 | 89.87 | 64.11 | 48.11 | 39.87 | 29.88 | 22.65 | 17.65 | 7.58 | 16.85 | |
| 12 | MCF-7 | % of cell viability | 100 | 100 | 98.49 | 90.12 | 82.89 | 66.25 | 54.82 | 35.76 | 26.57 | 157 |
| HepG-2 | % of cell viability | 100 | 92.1 | 88.14 | 69.01 | 40 | 30 | 20.09 | 14.33 | 8.66 | 11.44 | |
| 14 | MCF-7 | % of cell viability | 100 | 68.94 | 54.28 | 47.31 | 39.22 | 34.18 | 26.43 | 18.92 | 9.38 | 12.6 |
| HepG-2 | % of cell viability | 100 | 78.63 | 52.19 | 40.76 | 31.78 | 24.95 | 18.56 | 11.79 | 6.42 | 9.29 | |
| 16 | MCF-7 | % of cell viability | 100 | 97.37 | 95.24 | 89.13 | 75.42 | 61.35 | 37.53 | 29.48 | 18.62 | 92.3 |
| HepG-2 | % of cell viability | 100 | 96.41 | 89.06 | 78.59 | 62.37 | 41.7 | 32.94 | 20.41 | 13.28 | 50 | |
| Compounds | * Mean of Inhibitory% | Concentration in (µg/mL) | ** IC50 (µg/mL) | ||||||||
|---|---|---|---|---|---|---|---|---|---|---|---|
| 0 | 7.81 | 15.63 | 31.25 | 62.5 | 125 | 250 | 500 | 1000 | |||
| Acarbose | α–amylase ± SD | 0 | 37.81 ± 1.2 | 40.75 ± 1.5 | 48.84 ± 1.2 | 59.31 ± 1.5 | 60.17 ± 0.63 | 69.37 ± 1.2 | 80.14 ± 0.58 | 86.32 ± 0.63 | 34.71 |
| α–glucosidase ± SD | 0 | 32.15 ± 0.58 | 43.28 ± 1.2 | 50.31 ± 1.5 | 60.14 ± 0.72 | 63.42 ± 2.1 | 71.34 ± 1.5 | 86.34 ± 1.2 | 90.10 ± 0.58 | 30.57 | |
| 1 | α–amylase ± SD | 0 | 0 | 7.35 ± 0.35 | 12.35 ± 1.2 | 24.35 ± 0.58 | 38.31 ± 0.63 | 48.98 ± 2.1 | 54.31 ± 1.2 | 58.34 ±1.5 | 297.8 |
| α–glucosidase ± SD | 0 | 0 | 5.34 ± 0 | 16.25 ± 0 | 38.14 ± 1.5 | 50.98 ± 0.58 | 63.15 ± 1.5 | 69.32 ± 1.5 | 71.34 ± 1.3 | 120.22 | |
| 2 | α–amylase ± SD | 0 | 0 | 0 | 10.36 ± 1.5 | 23.22 ± 0.63 | 29.34 ± 1.2 | 46.35 ± 0.58 | 53.14 ± 3.1 | 58.32 ± 1.5 | 421.42 |
| α–glucosidase ±SD | 0 | 0 | 0 | 18.37 ± 2.1 | 23.15 ± 1.5 | 31.25 ± 0.63 | 44.38 ± 0.58 | 56.74 ± 1.5 | 61.38 ± 1.2 | 363.67 | |
| 6 | α–amylase ± SD | 0 | 0 | 14.63 ± 1.2 | 22.38 ± 2.5 | 43.12 ± 1.5 | 56.39 ± 2.1 | 61.35 ± 1.2 | 69.28 ± 0.63 | 72.51 ± 1.5 | 94.9 |
| α–glucosidase ± SD | 0 | 0 | 11.32 ± 1.2 | 31.54 ± 1.5 | 49.75 ± 0.72 | 64.35 ± 0.58 | 71.21 ± 3.1 | 73.42 ± 1.5 | 80.35 ± 0.63 | 63.6 | |
| 7 | α–amylase ± SD | 0 | 0 | 6.85 ± 1.2 | 18.14 ± 1.5 | 31.75 ± 2.5 | 42.93 ± 3.1 | 50.38 ± 1.5 | 59.32 ± 0.58 | 63.25 ± 1.2 | 239.37 |
| α–glucosidase ± SD | 0 | 15.37 ± 0.72 | 23.41 ± 2.1 | 41.57 ± 1.5 | 49.21 ± 1.5 | 50.11 ± 2.1 | 61.58 ± 0.58 | 72.46 ± 1.2 | 79.21 ± 0.63 | 117.36 | |
| 8 | α–amylase ± SD | 0 | 7.39 ± 1.2 | 19.37 ± 0.58 | 25.13 ± 0.63 | 37.21 ± 1.5 | 46.95 ± 2.1 | 52.17 ± 2.1 | 60.24 ± 0.58 | 66.32 ± 1.5 | 199.01 |
| α–glucosidase ± SD | 0 | 24.31 ± 3.1 | 30.24 ± 1.2 | 42.16 ± 1.5 | 49.31 ± 0.58 | 50.14 ± 0.63 | 59.42 ± 0.72 | 62.13 ± 2.1 | 74.35 ± 1.5 | 114.45 | |
| 9 | α–amylase ± SD | 0 | 12.78 ± 2.1 | 20.17 ± 1.2 | 31.22 ± 0.63 | 52.48 ± 0.72 | 58.42 ± 1.5 | 61.85 ± 1.2 | 69.38 ± 0.58 | 78.35 ± 0.63 | 58.85 |
| α–glucosidase ± SD | 0 | 6.34 ± 0 | 22.34 ± 2.1 | 36.58 ± 1.5 | 56.34 ± 0.58 | 65.32 ± 0.63 | 70.14 ± 1.2 | 74.35 ± 2.5 | 81.32 ± 1.5 | 52.47 | |
| 13 | α–amylase ± SD | 0 | 0 | 10.35 ± 1.2 | 14.32 ± 1.5 | 29.35 ± 0.58 | 41.33 ± 0.72 | 49.31 ± 0.72 | 57.32 ± 1.2 | 60.30 ± 1.5 | 271.3 |
| α–glucosidase ± SD | 0 | 0 | 7.84 ± 2.1 | 18.38 ± 1.2 | 39.34 ± 0.58 | 51.32 ± 0.86 | 64.35 ± 2.1 | 70.41 ± 1.2 | 72.51 ± 0.63 | 118.11 | |
| 16 | α–amylase ± SD | 0 | 0 | 0 | 0 | 0 | 7.63 ± 1.5 | 24.84 ± 1.2 | 32.45 ± 0.58 | 41.31 ± 0.63 | >1000 |
| α–glucosidase ±SD | 0 | 0 | 0 | 11.32 ± 1.5 | 15.31 ± 0.58 | 21.34 ± 1.5 | 34.21 ± 0.63 | 48.32 ± 0.58 | 60.24 ± 1.2 | 570.4 | |
© 2019 by the authors. Licensee MDPI, Basel, Switzerland. This article is an open access article distributed under the terms and conditions of the Creative Commons Attribution (CC BY) license (http://creativecommons.org/licenses/by/4.0/).
Share and Cite
Flefel, E.M.; El-Sofany, W.I.; Al-Harbi, R.A.K.; El-Shahat, M. Development of a Novel Series of Anticancer and Antidiabetic: Spirothiazolidines Analogs. Molecules 2019, 24, 2511. https://doi.org/10.3390/molecules24132511
Flefel EM, El-Sofany WI, Al-Harbi RAK, El-Shahat M. Development of a Novel Series of Anticancer and Antidiabetic: Spirothiazolidines Analogs. Molecules. 2019; 24(13):2511. https://doi.org/10.3390/molecules24132511
Chicago/Turabian StyleFlefel, Eman M., Walaa I. El-Sofany, Reem A.K. Al-Harbi, and Mahmoud El-Shahat. 2019. "Development of a Novel Series of Anticancer and Antidiabetic: Spirothiazolidines Analogs" Molecules 24, no. 13: 2511. https://doi.org/10.3390/molecules24132511
APA StyleFlefel, E. M., El-Sofany, W. I., Al-Harbi, R. A. K., & El-Shahat, M. (2019). Development of a Novel Series of Anticancer and Antidiabetic: Spirothiazolidines Analogs. Molecules, 24(13), 2511. https://doi.org/10.3390/molecules24132511
