Subchronic Toxicity Studies of Cortex Dictamni Extracts in Mice and Its Potential Hepatotoxicity Mechanisms in Vitro
Abstract
1. Introduction
2. Results
2.1. Subchronic Toxicity in Mice
2.1.1. General Clinical Signs
2.1.2. Serum Biochemistry
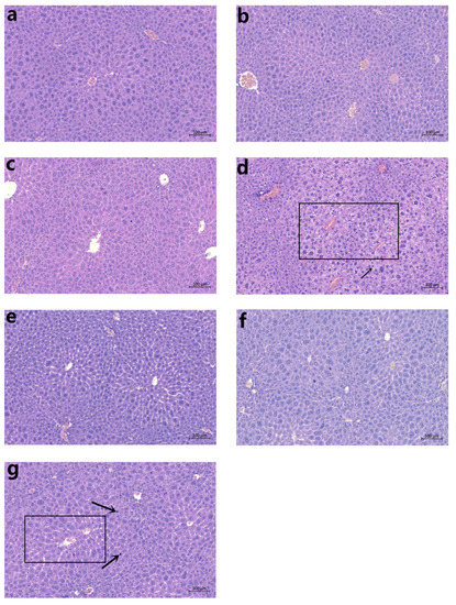
2.1.3. Morphological Analysis
2.2. Comparison of Composition Difference between CDAE and CDEE
2.3. In Vitro Validation of Toxic Components of Cortex Dictamni
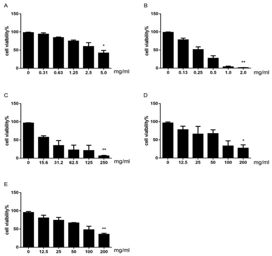
2.3.1. CCK-8 Assay
2.3.2. HCA Assay
3. Discussion
4. Conclusions
5. Materials and Methods
5.1. Chemicals and Reagents
5.2. Plant Material and Extraction
5.3. Sample Preparation for UPLC Analysis
5.4. UPLC-MS/MS Analysis
5.5. Experimental Animals
5.6. Subchronic Toxicity Study
5.6.1. Experimental Design
5.6.2. General Clinical Signs, Body Weights, and Food Consumption
5.6.3. Biochemical Analysis
5.6.4. Morphological Study
5.7. Cell Culture
5.8. CCK-8 Colorimetric Assay
5.9. HCA Assay
- For the cell number, % vehicle control = (cell number compound/cell number vehicle) × 100%
- For the nuclear intensity, mitochondria membrane potential, reactive oxygen species, and cell membrane permeability, % vehicle control = (read compound/read vehicle) × 100%
- To determine the IC50 of the cell number and mitochondria membrane potential, the % vehicle control was plotted against the concentration of test compounds and the data was fitted to a sigmoidal dose–response curve with a variable slope using GraphPad Prism 5.0. The IC50 of the compound was calculated from the curve as Y = Bottom + (Top − Bottom)/(1 + 10^((LogIC50 − X) × HillSlope)) Max Inhibition = (100% − % vehicle) at the concentration that showed the highest inhibition effect.
- To determine the EC50 of the nuclear intensity, reactive oxygen species, and cell membrane permeability, the % vehicle control was plotted against the concentration of the test compounds, and the data was fitted to a sigmoidal dose–response curve with a variable slope using GraphPad Prism 5.0 (GraphPad Software Inc., San Diego, CA, USA). The EC50 of the compound was calculated from the curve as Y = Bottom + (Top − Bottom)/(1 + 10^((LogEC50 − X) × HillSlope)) Max Induction = % vehicle at the concentration that showed the highest induction effect.
5.10. Statistical Analysis
Author Contributions
Funding
Conflicts of Interest
References
- Watkins, P.B. Drug safety sciences and the bottleneck in drug development. Clin. Pharmacol. Ther. 2011, 89, 788–790. [Google Scholar] [CrossRef] [PubMed]
- Chan, K.; Zhang, H.; Lin, Z.X. An overview on adverse drug reactions to traditional Chinese medicines. Br. J. Clin. Pharmacol. 2015, 80, 834–843. [Google Scholar] [CrossRef] [PubMed]
- Gromek, K.; Drumond, K.; Simas, P. Pharmacovigilance of herbal medicines. Int. J. Risk Saf. Med. 2015, 27, 55–65. [Google Scholar] [PubMed]
- Teschke, R.; Wolff, A.; Frenzel, C.; Schulze, J. Review article: Herbal hepatotoxicity-an update on traditional Chinese medicine preparations. Aliment. Pharmacol. Ther. 2014, 40, 32–50. [Google Scholar] [CrossRef] [PubMed]
- Peng, L.; Zhang, L.; Li, P.; Chen, C.; Li, J.L.; Jing, L.; Wang, T. Traditional Chinese Medicine with potential toxicity. Chin. J. Exp. Tradit. Med. Formul. 2017, 23, 227–234. [Google Scholar]
- Fan, X.W.; Zhang, X.; Wang, S.M. A survey of studies on the chemical constituents pharmacological activities of Dictamnus L. Spec. Wild Econ. Anim. Plant Res. 2003, 25, 50–52. [Google Scholar]
- Zhang, M.F.; Shen, Y.Q. Research advances on pharmacology of Dictamni Cortex. Anti Infect. Pharm. 2012, 9, 95–99. [Google Scholar]
- Liu, L.; Guo, L.N.; Yu, C.L.; Sun, Y.; Liu, J.C. Research progress on chemical composition and pharmacological activity of Dictamni Cortex. Chin. Tradit. Pat. Med. 2016, 38, 2657–2665. [Google Scholar]
- Wang, X.J.; Xu, L.P.; Wang, M. Hepatotoxicity Caused by Commonly-used Chinese Medicinal Herbs and Compound Preparatio. J. Cap. Med. Univ. 2007, 28, 220–224. [Google Scholar]
- Wu, Y.R.; Zhang, Y.P. Liver damage caused by Xiaoyin tablets. Adv. Drug React. J. 2007, 9, 143. [Google Scholar]
- Jin, C.P.; Yang, S.Y. A case of severe liver damage caused by taking Keyin pills. J. Chin. Mat. Med. 2001, 26, 365. [Google Scholar]
- Wang, X.Q.; Li, F.L.; Zhang, W.G. Research Progress of Drug-induced Liver Damage in Traditional Chinese Medicine. Asia-Pac. Tradit. Med. 2015, 11, 35–36. [Google Scholar]
- Chen, H.; Wu, S.Y. Severe liver damage caused by Zhixue capsules. Adv. Drug React. J. 2009, 11, 298. [Google Scholar]
- Chinese Food and Drug Administration. Available online: http://www.sda.gov.cn/WS01/CL0078/33571.html (accessed on 28 October 2008).
- Liu, Y.H.; Zhou, Y.Y.; Sun, H.M.; Sun, W.C.; Yu, L.; Jiang, Y.Z.; Yuan, L.H.; Feng, J.L. The serum enzyme and pathological characteristics of Cortex Dictamni induced liver injury. China Mod. Med. 2017, 24, 7–11. [Google Scholar]
- Huang, Y.X.; Guo, Y.M.; Zhou, Y.F.; Zhang, C.E.; Jing, J.; Liu, S.J.; Zhang, N.N.; Song, J.Y.; Xiao, X.H.; Wang, J.B. Dictamni Cortex powder induced liver injury based on integrated evidence chain. China J. Chin. Mater. Med. 2018, 42, 600–606. [Google Scholar]
- Saad, B.; Azaizeh, H.; Abuhijleh, G.; Said, O. Safety of traditional arab herbal medicine. Evid.-Based Compl. Altern. Med. 2006, 3, 433–439. [Google Scholar] [CrossRef] [PubMed]
- Li, P.; Wang, Q.; Peng, L.; Zhao, B.S.; Zhang, J.X.; Jing, L.; Wang, T. Effect of Water Extract and Ethanol Extract of Zhixue Capsule on Hepatotoxicity in rats. Chin. J. Exp. Tradit. Med. Formul. 2017, 23, 154–159. [Google Scholar]
- Fan, Q.Y.; Zhao, B.S.; Zhang, J.X.; Li, P.; Jia, X.; Wang, T. Analysis on Drug Factors for Hepatotoxicity of Zhixue Capsule. Chin. J. Exp. Tradit. Med. Formul. 2018, 24, 150–157. [Google Scholar]
- Tan, P.L.; Cao, Y.; Xia, Y.L. Study on extracton of Cortex Dictamni against Candida Albicans Biofilms and related genes in vitro. Chin. Arch. Tradit Chin. Med. 2015, 33, 1089–1092. [Google Scholar]
- Dambach, D.M.; Andrews, B.A.; Moulin, F. New technologies and screening strategies for hepatotoxicity: Use of in vitro models. Toxicol. Pathol. 2005, 33, 17–26. [Google Scholar] [CrossRef] [PubMed]
- Jang, J.S.; Seo, E.G.; Han, C.; Chae, H.B.; Kim, S.J.; Lee, J.D.; Wang, J.H. Four cases of toxic liver injury associated with Dictamnus dasycarpus. Korean J. Hepatol. 2008, 14, 206–212. [Google Scholar] [CrossRef] [PubMed]
- McRae, C.A.; Agarwal, K.; Muimer, D.; Bassendine, M.F. Hepatitis associated with Chinese herbs. Eur. J. Gastroenterol. Hepatol. 2002, 14, 559–562. [Google Scholar] [CrossRef] [PubMed]
- Lee, M.Y.; Seo, C.S.; Cha, S.W.; Shin, H.K. Safety assessment of So-cheong-ryongtang: Subchronic toxicity study in Crl: CD Sprague Dawley rats. Mol. Med. Rep. 2014, 9, 2273–2282. [Google Scholar] [CrossRef] [PubMed]
- Sireeratawong, S.; Lertprasertsuke, N.; Srisawat, U.; Thuppia, A. Acute and subchronic toxicity study of the water extract from root of Sida rhombifolia Linn. in rats. Songklankarin J. Sci. Technol. 2008, 30, 729–737. [Google Scholar]
- Ezeja, M.I.; Anaga, A.O.; Asuzu, I.U. Acute and sub-chronic toxicity profile of methanol leaf extract of Gouania longipetala in rats. J. Ethnopharmacol. 2014, 151, 1155–1164. [Google Scholar] [CrossRef] [PubMed]
- Ozer, J.; Ratner, M.; Shaw, M.; Bailey, W.; Schomaker, S. The current state of serum biomarkers of hepatotoxicity. Toxicology 2008, 245, 194–205. [Google Scholar] [CrossRef] [PubMed]
- Penndorf, V.; Saner, F.; Gerken, G.; Canbay, A. Liver parameters in intensive care medicine. Zentralblatt fur Chirurgie 2013, 138, 636–642. [Google Scholar] [PubMed]
- Cajuday, L.A.; Pocsidio, G.L. Effects of Moringa oleifera Lam. (Moringaceae) on the reproduction of male mice (Mus musculus). J. Med. Plants Res. 2010, 4, 1115–1121. [Google Scholar]
- Ashafa, A.O.T.; Yakubu, M.T.; Grierson, D.S.; Afolayan, A.J. Toxicological evaluation of the aqueous extract of Felicia muricata Thunb, Leaves in Wistar rats. J. Biotechnol. 2009, 6, 949–954. [Google Scholar]
- Qu, D.F.; Gu, Y.P.; Feng, L.F.; Han, J.Z. High Content Analysis technology for evaluating the joint toxicity of sunset yellow and sodium sulfite in vitro. Food Chem. 2017, 233, 135–143. [Google Scholar] [CrossRef] [PubMed]
- Noor, F.; Niklas, J.; Muller-Vieira, U.; Heinzle, E. An integrated approach improved toxicity prediction for the safety assessment during preclinical drug development using HepG2 cells. Toxicol. Appl. Pharmacol. 2009, 237, 221–231. [Google Scholar] [CrossRef] [PubMed]
- Huang, X.; Qin, J.; Lu, S. Magnesium isoglycyrrhizinate protects hepatic L02 cells from ischemia/reperfusion induced injury. Int. J. Clin. Exp. Pathol. 2014, 7, 4755–4764. [Google Scholar] [PubMed]
- Singh, S.; Carpenter, A.E.; Genovesio, A. Increasing the Content of High-Content Screening: An Overview. J. Biomol. Screen. 2014, 19, 640–650. [Google Scholar] [CrossRef] [PubMed]
- Van Vliet, E.; Daneshian, M.; Beilmann, M.; Davies, A.; Fava, E.; Fleck, R.; Julé, Y.; Kansy, M.; Kustermann, S.; Macko, P.; et al. Current approaches and future role of high content imaging in safety sciences and drug discovery. Altex 2014, 31, 479–493. [Google Scholar] [CrossRef] [PubMed]
- Gomez-Lechon, M.J.; Tolosa, L.; Castell, J.V.; Donato, M.T. Mechanism-based selection of compounds for the development of innovative in vitro approaches to hepatotoxicity studies in the LIINTOP project. Toxicol. In Vitro 2010, 24, 1879–1889. [Google Scholar] [CrossRef] [PubMed]
- Liu, L.B.; Wang, L.L. Application progress of high content analysis in discovery toxicology. Chin. J. Pharmacol. Toxicol. 2012, 26, 893–896. [Google Scholar]
- Park, B.K.; Laverty, H.; Srivastava, A.; Antoine, D.J.; Naisbitt, D.; Williams, D.P. Drug bioactivation and protein adduct formation in the pathogenesis of drug-induced toxicity. Chem. Biol. Interact. 2011, 192, 30–36. [Google Scholar] [CrossRef] [PubMed]
- Labbe, G.; Pessayre, D.; Fromenty, B. Drug-induced liver injury through mitochondrial dysfunction: Mechanisms and detection during preclinical safetystudies. Fundam. Clin. Pharmacol. 2008, 22, 335–353. [Google Scholar] [CrossRef] [PubMed]
- Tsiper, M.V.; Sturgis, J.; Avramova, L.V.; Parakh, S.; Fatig, R.; Juan-Garcia, A.; Li, N.; Rajwa, B.; Narayanan, P.; Qualls, C.W.; et al. Differential mitochondrial toxicity screening and multi-parametric data analysis. PLoS ONE 2012, 7, e45226. [Google Scholar] [CrossRef] [PubMed]
- Pessayre, D.; Fromenty, B.; Berson, A.; Robin, M.A.; Letteron, P.; Moreau, R.; Mansouri, A. Central role of mitochondria in drug-induced liver injury. Drug Met. Rev. 2012, 44, 34–87. [Google Scholar] [CrossRef] [PubMed]
- Nam, S.W.; Baek, J.T.; Lee, D.S.; Kang, S.B.; Ahn, B.M.; Chung, K.W. A case of acute cholestatic hepatitis associated with the seeds of Psoralea corylifolia (Boh-Gol-Zhee). Clin. Toxicol. 2005, 43, 589–591. [Google Scholar] [CrossRef]
- Sun, J.; Qu, W.; Xiong, Y.; Liang, J. Quinoline alkaloids and sesquiterpenes from the roots of Dictamnus angustifolius. Biochem. Syst. Ecol. 2013, 50, 62–64. [Google Scholar] [CrossRef]
- Zou, P.; Tu, P.; Jiang, Y. A simple and specific quantitative method for determination of dictamnine in Dictamni Cortex by 1H-NMR spectroscopy. Anal. Meth. 2013, 5, 1062. [Google Scholar] [CrossRef]
- Yu, F.; Deng, R.; Hao, T.W.; Huan, L.; Chan, W.N.; IslamBadhan, A.; Iliescu, C.; Yu, H. A perfusion incubator liver chip for 3D cell culture with application on chronic hepatotoxicity testing. Sci. Rep. 2017, 7, 14528. [Google Scholar] [CrossRef] [PubMed]
- Starokozhko, V.; Groothuis, G.M. Judging the value of ‘live-on-a-chip’ devices for prediction of toxicity. Expert Opin. Drug Metab. Toxicol. 2017, 13, 125–128. [Google Scholar] [CrossRef] [PubMed]
Sample Availability: Samples of the compounds used in the study are available from the authors. |







| Days | Control | CDAE (g/kg) | CDEE (g/kg) | ||||
|---|---|---|---|---|---|---|---|
| 2.3 | 4.6 | 9.2 | 2.3 | 4.6 | 9.2 | ||
| Males | |||||||
| Day 0 | 22.47 ± 0.99 | 22.47 ± 0.86 | 22.73 ± 1.14 | 22.53 ± 1.01 | 22.53 ± 0.84 | 22.28 ± 0.97 | 22.03 ± 1.07 |
| Day 7 | 32.11 ± 1.68 | 31.19 ± 2.53 | 32.75 ± 1.79 | 32.20 ± 2.06 | 31.79 ± 1.52 | 31.06 ± 2.30 | 31.33 ± 2.28 |
| Day 14 | 35.73 ± 2.32 | 35.90 ± 3.00 | 37.03 ± 2.51 | 36.31 ± 2.76 | 35.79 ± 2.29 | 36.30 ± 2.19 | 34.53 ± 2.96 |
| Day 21 | 37.10 ± 3.44 | 36.80 ± 3.41 | 38.10 ± 2.87 | 37.96 ± 2.38 | 36.88 ± 2.60 | 37.95 ± 2.52 | 34.65 ± 3.40 |
| Day 28 | 39.13 ± 2.47 | 38.21 ± 3.46 | 40.24 ± 3.18 | 39.56 ± 2.17 | 38.23 ± 3.52 | 38.61 ± 3.76 | 36.84 ± 5.42 |
| Females | |||||||
| Day 0 | 21.51 ± 0.95 | 21.17 ± 0.88 | 20.97 ± 0.99 | 21.49 ± 1.18 | 21.44 ± 0.85 | 21.35 ± 0.72 | 21.19 ± 1.24 |
| Day 7 | 27.11 ± 1.97 | 26.05 ± 1.34 | 26.90 ± 1.75 | 26.26 ± 2.84 | 26.41 ± 2.13 | 26.19 ± 1.70 | 26.73 ± 2.34 |
| Day 14 | 28.63 ± 2.41 | 27.82 ± 1.75 | 28.07 ± 1.46 | 28.37 ± 3.32 | 27.99 ± 1.98 | 27.54 ± 1.94 | 28.44 ± 2.34 |
| Day 21 | 29.07 ± 2.65 | 28.65 ± 1.90 | 29.60 ± 1.61 | 29.75 ± 4.21 | 28.83 ± 2.62 | 28.09 ± 2.04 | 29.11 ± 2.56 |
| Day 28 | 30.13 ± 2.80 | 29.04 ± 2.42 | 30.11 ± 1.94 | 30.14 ± 3.92 | 29.57 ± 2.42 | 28.53 ± 2.07 | 30.14 ± 3.12 |
| Parameters | Control | CDAE (g/kg) | CDEE (g/kg) | ||||
|---|---|---|---|---|---|---|---|
| 2.3 | 4.6 | 9.2 | 2.3 | 4.6 | 9.2 | ||
| Males | |||||||
| ALP (U/L) | 96.33 ±13.59 | 72.33 ± 11.23 | 96.13 ± 20.98 | 112.7 ± 18.43 | 93.30 ± 14.35 | 104.5 ± 17.04 | 113.1 ± 24.89 |
| ALT (U/L) | 45.05 ± 13.92 | 39.73 ± 17.94 | 63.12 ± 38.54 | 64.12 ± 40.35 | 42.60 ± 7.77 | 48.70 ± 15.64 | 159.7 ± 160.3 * |
| AST (U/L) | 120.7 ± 14.21 | 114.1 ± 13.24 | 125.4 ± 29.43 | 171.5 ± 24.44 | 131.9 ± 23.72 | 150.5 ± 25.35 | 215.6 ± 150.2 * |
| DBIL (μM) | 0.65 ± 0.16 | 0.72 ± 0.04 | 0.64 ± 0.17 | 0.55 ± 0.22 | 0.75 ± 0.12 | 0.75 ± 0.10 | 0.71 ± 0.20 |
| TBIL (μM) | 4.29 ± 0.57 | 4.44 ± 0.40 | 4.13 ± 0.49 | 3.13 ± 0.37 | 3.96 ± 0.35 | 4.64 ± 0.53 | 4.10 ± 0.70 |
| ALB (g/L) | 32.19 ± 2.08 | 34.81 ± 0.50 | 33.47 ± 2.26 | 33.70 ± 1.99 | 34.09 ± 3.61 | 35.79 ± 1.40 | 36.73 ± 1.62 * |
| GLB (g/L) | 24.79 ± 2.28 | 26.39 ± 1.47 | 25.26 ± 1.50 | 25.05 ± 1.36 | 26.36 ± 1.85 | 26.45 ± 0.63 | 27.15 ± 1.69 |
| TP (g/L) | 56.99 ± 4.14 | 61.20 ± 1.60 | 58.73 ± 2.79 | 58.75 ± 2.52 | 60.45 ± 4.86 | 62.24 ± 1.60 | 63.88 ± 2.95 ** |
| HDLC (mM) | 3.04 ± 0.36 | 3.02 ± 0.34 | 2.87 ± 0.43 | 2.69 ± 0.36 | 2.89 ± 0.42 | 3.21 ± 0.29 | 3.02 ± 0.82 |
| LDLC (mM) | 0.55 ± 0.09 | 0.58 ± 0.11 | 0.48 ± 0.13 | 0.36 ± 0.10 | 0.51 ± 0.08 | 0.57 ± 0.11 | 0.51 ± 0.14 |
| TG (mM) | 1.80 ± 0.29 | 1.63 ± 0.31 | 2.52 ± 0.53 | 2.41 ± 0.40 * | 2.00 ± 0.43 | 1.83 ± 0.70 | 2.64 ± 0.50 ** |
| CHO (mM) | 1.82 ± 0.35 | 1.84 ± 0.25 | 1.61 ± 0.22 | 1.69 ± 0.22 | 1.80 ± 0.34 | 1.78 ± 0.40 | 1.90 ± 0.42 |
| Females | |||||||
| ALP (U/L) | 130.0 ± 31.15 | 107.6 ± 26.31 | 112.8 ± 35.56 | 131.1 ± 26.87 | 103.1 ± 20.18 | 130.1 ± 28.10 | 124.7 ± 19.60 |
| ALT (U/L) | 30.63 ± 3.70 | 32.17 ± 5.54 | 46.28 ± 31.42 | 54.48 ± 18.34 | 31.52 ± 10.51 | 38.13 ± 10.70 | 69.50 ± 32.08 ** |
| AST (U/L) | 114.2 ± 10.73 | 120.0 ± 18.52 | 132.3 ± 38.01 | 143.1 ± 13.00 | 121.7 ± 19.71 | 129.3 ± 27.37 | 161.1 ± 30.92 * |
| DBIL (μM) | 0.43 ± 0.11 | 0.39 ± 0.09 | 0.43 ± 0.09 | 0.44 ± 0.15 | 0.48 ± 0.13 | 0.44 ± 0.08 | 0.54 ± 0.17 |
| TBIL (μM) | 2.66 ± 0.28 | 2.28 ± 0.29 | 2.63 ± 0.28 | 2.59 ± 0.42 | 3.05 ± 0.25 | 2.83 ± 0.44 | 2.88 ± 0.38 |
| ALB (g/L) | 33.83 ± 1.84 | 35.89 ± 1.96 | 36.30 ± 1.65 * | 36.63 ± 1.89 ** | 37.50 ± 1.02 ** | 38.38 ± 1.30 ** | 37.69 ± 1.63 ** |
| GLB (g/L) | 22.48 ± 1.28 | 23.22 ± 1.22 | 24.64 ± 2.69 * | 24.46 ± 1.70 * | 24.27 ± 1.37 | 25.54 ± 1.02 * | 24.81 ± 1.60 * |
| TP (g/L) | 56.31 ± 2.39 | 59.11 ± 2.85 | 60.93 ± 3.95 ** | 61.10 ± 3.42 ** | 61.77 ± 2.30 ** | 63.91 ± 2.11 ** | 62.49 ± 3.07 ** |
| HDLC (mM) | 2.03 ± 0.15 | 2.06 ± 0.26 | 1.98 ± 0.28 | 2.24 ± 0.35 | 2.16 ± 0.35 | 2.28 ± 0.25 | 2.46 ± 0.36 |
| LDLC (mM) | 0.35 ± 0.06 | 0.33 ± 0.08 | 0.29 ± 0.05 | 0.30 ± 0.08 | 0.31 ± 0.07 | 0.29 ± 0.05 | 0.31 ± 0.06 |
| TG (mM) | 1.94 ± 0.31 | 1.46 ± 0.14 | 1.54 ± 0.46 | 1.36 ± 0.55 | 1.41 ± 0.33 | 1.55 ± 0.20 | 1.59 ± 0.37 |
| CHO (mM) | 2.89 ± 0.25 | 2.88 ± 0.40 | 2.74 ± 0.40 | 3.01 ± 0.55 | 2.99 ± 0.53 | 3.08 ± 0.35 | 3.35 ± 0.52 |
| Parameters | Control | CDAE (g/kg) | CDEE(g/kg) | ||||
|---|---|---|---|---|---|---|---|
| 2.3 | 4.6 | 9.2 | 2.3 | 4.6 | 9.2 | ||
| Males | |||||||
| absolute liver weight (g) | 1.94 ± 0.24 | 1.75 ± 0.26 | 1.97 ± 0.32 | 1.87 ± 0.44 | 1.78 ± 0.23 | 1.90 ± 0.29 | 2.24 ± 0.28 * |
| relative liver weight (%) | 4.94 ± 0.35 | 4.56 ± 0.38 | 4.89 ± 0.66 | 5.02 ± 0.72 | 4.63 ± 0.22 | 4.89 ± 0.39 | 5.67 ± 0.64 ** |
| liver/brain (%) | 4.11 ± 0.51 | 3.77 ± 0.42 | 4.25 ± 0.71 | 4.19 ± 1.01 | 3.81 ± 0.51 | 4.15 ± 0.59 | 4.96 ± 0.49 ** |
| Females | |||||||
| absolute liver weight (g) | 1.34 ± 0.21 | 1.42 ± 0.21 | 1.44 ± 0.13 | 1.55 ± 0.22 * | 1.34 ± 0.16 | 1.32 ± 0.15 | 1.53 ± 0.17 * |
| relative liver weight (%) | 4.44 ± 0.48 | 4.91 ± 0.71 | 4.77 ± 0.33 | 5.13 ± 0.35 * | 4.52 ± 0.33 | 4.61 ± 0.25 | 5.06 ± 0.27 * |
| liver/brain (%) | 2.91 ± 0.40 | 3.08 ± 0.43 | 3.06 ± 0.28 | 3.40 ± 0.46 ** | 2.97 ± 0.38 | 2.93 ± 0.29 | 3.38 ± 0.26 ** |
| Dictamnine | Obakunone | Fraxinellone | Limonin | |||||||||
|---|---|---|---|---|---|---|---|---|---|---|---|---|
| Peak Area | Concentration (μg/mL) | Content (μg/g) | Peak Area | Concentration (μg/mL) | Content (μg/g) | Peak Area | Concentration (μg/mL) | Content (μg/g) | Peak Area | Concentration (μg/mL) | Content (μg/g) | |
| Standard | 231,191,845.5 | 11.00 | —— | 323,906,511.5 | 60.00 | —— | 56,264,623.5 | 60.00 | —— | 41,016,446 | 10.00 | —— |
| CDAE 1 | 128,027,593 | 6.09 | —— | 150,784,845 | 27.93 | —— | 39,239,900 | 41.85 | —— | 121,779,843 | 29.69 | —— |
| CDAE 2 | 136,755,354 | 6.51 | —— | 145,896,477 | 27.03 | —— | 34,745,736 | 37.05 | —— | 128,391,047 | 31.30 | —— |
| Mean | 132,391,473.5 | 6.30 | 104.99 | 148,340,661 | 27.48 | 457.97 | 36,992,818 | 39.45 | 657.48 | 125,085,445 | 30.50 | 508.27 |
| CDEE 1 | 300,870,727 | 14.32 | —— | 774,845,264 | 143.53 | —— | 79,882,855 | 85.19 | —— | 162,019,234 | 39.50 | —— |
| CDEE 2 | 299,295,542 | 14.24 | —— | 791,742,097 | 146.66 | —— | 78,950,339 | 84.19 | —— | 170,064,825 | 41.46 | —— |
| Mean | 300,083,134.5 | 14.28 | 237.96 | 783,293,680.5 | 145.10 | 2418.27 | 79,416,597 | 84.69 | 1411.48 | 166,042,029.5 | 40.48 | 674.70 |
| CDEE/CDAE | 2.27 | 5.28 | 2.15 | 1.33 | ||||||||
| Compounds | Cell Number | Nuclear Intensity | Mitochondria Membrane Potential | Cell Membrane Permeability | Reactive Oxygen Species |
|---|---|---|---|---|---|
| CDAE | 296.30 | 987.70 | >5000 | 1064.00 | 1114.00 |
| CDEE | 109.70 | 439.20 | >2000 | 449.20 | 668.90 |
| dictamnine | 25.46 | 72.12 | 34.43 | 61.47 | 87.70 |
| obakunone | 42.87 | 54.09 | >200 | 84.00 | 41.51 |
| fraxinellone | 32.53 | >200 | >200 | 58.88 | 71.15 |
| Cyclosporin A | 1.27 | 20.07 | >150 | >150 | 13.75 |
| Ketoconazole | 4.83 | 15.96 | 6.15 | 17.95 | 7.87 |
| Aspirin | >150 | >150 | >150 | >150 | >150 |
| Compound | Cell Number | Nuclear Intensity | Mitochondria Membrane Potential | Cell Membrane Permeability | Reactive Oxygen Species | * of Positive |
|---|---|---|---|---|---|---|
| CDAE | + | + | + | + | + | 5 |
| CDEE | + | + | + | + | + | 5 |
| dictamnine | + | + | + | + | + | 5 |
| obakunone | + | + | − | + | + | 4 |
| fraxinellone | + | + | − | + | + | 4 |
| Cyclosporin A | + | + | + | + | + | 5 |
| Ketoconzole | + | + | + | + | + | 5 |
| Aspirin | − | − | − | − | − | 0 |
© 2018 by the authors. Licensee MDPI, Basel, Switzerland. This article is an open access article distributed under the terms and conditions of the Creative Commons Attribution (CC BY) license (http://creativecommons.org/licenses/by/4.0/).
Share and Cite
Fan, Q.; Zhao, B.; Wang, C.; Zhang, J.; Wu, J.; Wang, T.; Xu, A. Subchronic Toxicity Studies of Cortex Dictamni Extracts in Mice and Its Potential Hepatotoxicity Mechanisms in Vitro. Molecules 2018, 23, 2486. https://doi.org/10.3390/molecules23102486
Fan Q, Zhao B, Wang C, Zhang J, Wu J, Wang T, Xu A. Subchronic Toxicity Studies of Cortex Dictamni Extracts in Mice and Its Potential Hepatotoxicity Mechanisms in Vitro. Molecules. 2018; 23(10):2486. https://doi.org/10.3390/molecules23102486
Chicago/Turabian StyleFan, Qiongyin, Baosheng Zhao, Chunguo Wang, Jingxuan Zhang, Jinying Wu, Ting Wang, and Anlong Xu. 2018. "Subchronic Toxicity Studies of Cortex Dictamni Extracts in Mice and Its Potential Hepatotoxicity Mechanisms in Vitro" Molecules 23, no. 10: 2486. https://doi.org/10.3390/molecules23102486
APA StyleFan, Q., Zhao, B., Wang, C., Zhang, J., Wu, J., Wang, T., & Xu, A. (2018). Subchronic Toxicity Studies of Cortex Dictamni Extracts in Mice and Its Potential Hepatotoxicity Mechanisms in Vitro. Molecules, 23(10), 2486. https://doi.org/10.3390/molecules23102486

