Antimycobacterial Activities of Endolysins Derived From a Mycobacteriophage, BTCU-1
Abstract
:1. Introduction
2. Results and Discussion
2.1. Morphology of BTCU-1

2.2. BTCU-1 Genome and Predicted Endolysins

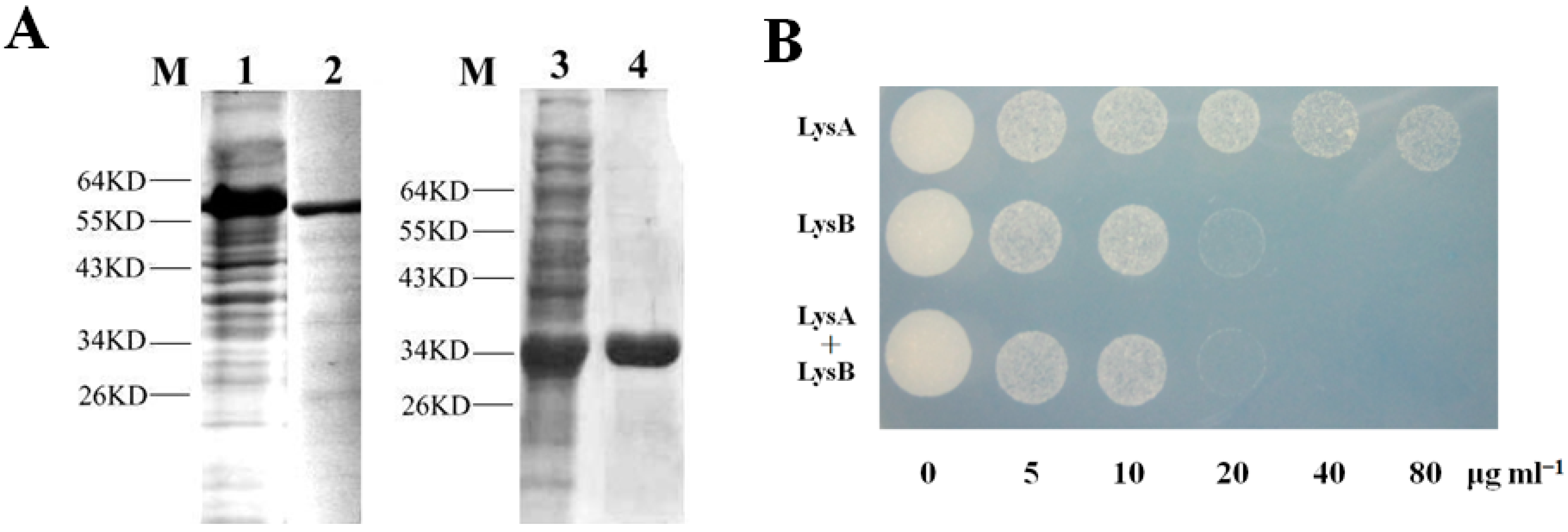
2.3. Cloning, Expression and Purification of LysA and LysB

2.4. Antimycobacterial Activity of BTCU-1 and Purified LysA and LysB
2.5. Electron Microscopy Experiments

2.6. LysA and LysB Kill Intracellular M. smegmatis

2.7. Discussion
3. Experimental Section
3.1. Bacteria, Vector and Growth Conditions
3.2. Isolation and Characterization of the Mycobacteriophage
| Strain, Plasmid, or Primer | Relevant Characteristics, Description, or Sequence | Source |
|---|---|---|
| Bacterial Strains | ||
| M. smegmatis ATCC 14468 | reference strain | American Type Culture Collection (ATCC) |
| M. smegmatis mc2155 (ATCC 70084) | reference strain | ATCC |
| M. tuberculosis TCGH 57612 | Clinical strain | Buddhist Tzu Chi General Hospital (BTCGH) |
| M. tuberculosis TCGH 58339 | Clinical strain | BTCGH |
| M. tuberculosis TCGH 58821 | Clinical strain | BTCGH |
| M. tuberculosis TCGH 59490 | Clinical strain | BTCGH |
| M. tuberculosis TCGH 62046 | Clinical strain | BTCGH |
| M. tuberculosis TCGH 45545 | MDR Clinical strain | BTCGH |
| M. tuberculosis TCGH 17037 | XDR Clinical strain | BTCGH |
| E. coli Top10 | Laboratory strain for TA cloning use | Invitrogen, San Diego, CA, USA |
| E. coli BL21 (DE3) | Laboratory strain for protein expression | Invitrogen |
| E. coli ATCC 25922 | Gram-negative reference strain | ATCC |
| A. baumannii ATCC 17978 | Gram-negative reference strain | ATCC |
| S. enteric BCRC 10746 | Gram-negative reference strain | Bioresource Collection and Research Center (BCRC) |
| B. subtilis BCRC 10447 | Gram-positive reference strain | BCRC |
| S. aureus ATCC 25923 | Gram-positive reference strain | ATCC |
| Plasmids | ||
| pGEM-T-easy | 3015-bp E. coli vector, Ampr, Plac, lacZ | Promega, San Diego, CA, USA |
| pET30b | 5421-bp E. coli vector, Kmr, PT7, His-Tag | Novagen, Madison, WI, USA |
| pGEM-LysA | pGEM-T-easy::1566 bp of lysA | This study |
| pGEM-LysB | pGEM-T-easy::741 bp of lysB | This study |
| pET30b-LysA | pET-30b::1566 bp of lysA; His-Tag-LysA under PT7 | This study |
| pET30b-LysB | pET-30b:: 741 bp of lysB; His-Tag-LysB under PT7 | This study |
| Primers | ||
| BTCU-1_lysA-FP | 5ʹ-ATGACGGAACGGGTACTCCC-3ʹ | This study |
| BTCU-1_lysA-RP | 5ʹ-TCACTGCTCGATGACCCTGTT-3ʹ | This study |
| BTCU-1_lysB-FP | 5'-GTGAGCGACCGCTGGCT-3ʹ | This study |
| BTCU-1_lysB-RP | 5ʹ-TCATGTCAAGTCGCGTAGAAACT-3ʹ | This study |
3.3. Phage DNA Preparation and Genome Sequencing
3.4. Cloning/Purification of Endolysins
3.5. Antimycobacterial Assays
3.6. Scanning Electron Microscopy
3.7. Intracellular Bactericidal Assay
4. Conclusions
Supplementary Materials
Acknowledgments
Author Contributions
Conflicts of Interest
References
- Haydel, S.E. Extensively drug-resistant tuberculosis: A sign of the times and an impetus for antimicrobial discovery. Pharmaceuticals 2010, 3, 2268–2290. [Google Scholar] [CrossRef] [PubMed]
- Diaz, E.; Lopez, R.; Garcia, J.L. Chimeric pneumococcal cell wall lytic enzymes reveal important physiological and evolutionary traits. J. Biol. Chem. 1991, 266, 5464–5471. [Google Scholar] [PubMed]
- Centers for Disease Control and Prevention. Emergence of Mycobacterium tuberculosis with extensive resistance to second-line drugs—Worldwide, 2000–2004. MMWR Morb. Mortal. Wkly. Rep. 2006, 55, 301–305. [Google Scholar]
- Raviglione, M.C.; Smith, I.M. XDR tuberculosis—Implications for global public health. N. Engl. J. Med. 2007, 356, 656–659. [Google Scholar] [CrossRef] [PubMed]
- Kutateladze, M.; Adamia, R. Bacteriophages as potential new therapeutics to replace or supplement antibiotics. Trends Biotechnol. 2010, 28, 591–595. [Google Scholar] [CrossRef] [PubMed]
- Borysowski, J.; Weber-Dabrowska, B.; Gorski, A. Bacteriophage endolysins as a novel class of antibacterial agents. Exp. Biol. Med. 2006, 231, 366–377. [Google Scholar]
- Hermoso, J.A.; Garcia, J.L.; Garcia, P. Taking aim on bacterial pathogens: From phage therapy to enzybiotics. Curr. Opin. Microbiol. 2007, 10, 461–472. [Google Scholar] [CrossRef] [PubMed]
- Daniel, A.; Euler, C.; Collin, M.; Chahales, P.; Gorelick, K.J.; Fischetti, V.A. Synergism between a novel chimeric lysin and oxacillin protects against infection by methicillin-resistant Staphylococcus aureus. Antimicrob. Agents Chemother. 2010, 54, 1603–1612. [Google Scholar] [CrossRef] [PubMed]
- Trigo, G.; Martins, T.G.; Fraga, A.G.; Longatto-Filho, A.; Castro, A.G.; Azeredo, J.; Pedrosa, J. Phage therapy is effective against infection by Mycobacterium ulcerans in a murine footpad model. PLoS Negl. Trop. Dis. 2013, 7, e2183. [Google Scholar] [CrossRef] [PubMed]
- Pohane, A.A.; Joshi, H.; Jain, V. Molecular dissection of phage endolysin: An interdomain interaction confers host specificity in lysin a of Mycobacterium phage D29. J. Biol. Chem. 2014, 289, 12085–12095. [Google Scholar] [CrossRef] [PubMed]
- Payne, K.M.; Hatfull, G.F. Mycobacteriophage endolysins: Diverse and modular enzymes with multiple catalytic activities. PLoS ONE 2012, 7, e34052. [Google Scholar] [CrossRef] [PubMed]
- Pope, W.H.; Jacobs-Sera, D.; Russell, D.A.; Peebles, C.L.; Al-Atrache, Z.; Alcoser, T.A.; Alexander, L.M.; Alfano, M.B.; Alford, S.T.; Amy, N.E.; et al. Expanding the diversity of mycobacteriophages: Insights into genome architecture and evolution. PLoS ONE 2011, 6, e16329. [Google Scholar] [CrossRef] [PubMed]
- Hatfull, G.F. The secret lives of mycobacteriophages. Adv. Virus Res. 2012, 82, 179–288. [Google Scholar] [PubMed]
- Jacobs-Sera, D.; Marinelli, L.J.; Bowman, C.; Broussard, G.W.; Guerrero Bustamante, C.; Boyle, M.M.; Petrova, Z.O.; Dedrick, R.M.; Pope, W.H.; Science Education Alliance Phage Hunters Advancing Genomics and Evolutionary Science (SEA-PHAGES) program; et al. On the nature of mycobacteriophage diversity and host preference. Virology 2012, 434, 187–201. [Google Scholar] [CrossRef] [PubMed]
- Payne, K.; Sun, Q.; Sacchettini, J.; Hatfull, G.F. Mycobacteriophage Lysin B is a novel mycolylarabinogalactan esterase. Mol. Microbiol. 2009, 73, 367–381. [Google Scholar] [CrossRef] [PubMed]
- Lai, M.J.; Soo, P.C.; Lin, N.T.; Hu, A.; Chen, Y.J.; Chen, L.K.; Chang, K.C. Identification and characterisation of the putative phage-related endolysins through full genome sequence analysis in Acinetobacter baumannii ATCC 17978. Int. J. Antimicrob. Agents 2013, 42, 141–148. [Google Scholar] [CrossRef] [PubMed]
- Hoffmann, C.; Leis, A.; Niederweis, M.; Plitzko, J.M.; Engelhardt, H. Disclosure of the mycobacterial outer membrane: Cryo-electron tomography and vitreous sections reveal the lipid bilayer structure. Proc. Natl. Acad. Sci. USA 2008, 105, 3963–3967. [Google Scholar] [CrossRef] [PubMed]
- Fischetti, V.A. Bacteriophage lysins as effective antibacterials. Curr. Opin. Microbiol. 2008, 11, 393–400. [Google Scholar] [CrossRef] [PubMed]
- Mahapatra, S.; Piechota, C.; Gil, F.; Ma, Y.; Huang, H.; Scherman, M.S.; Jones, V.; Pavelka, M.S., Jr.; Moniz-Pereira, J.; Pimentel, M.; et al. Mycobacteriophage ms6 LysA: A peptidoglycan amidase and a useful analytical tool. Appl. Environ. Microbiol. 2013, 79, 768–773. [Google Scholar] [CrossRef] [PubMed]
- Lin, N.T.; Chiou, P.Y.; Chang, K.C.; Chen, L.K.; Lai, M.J. Isolation and characterization of ϕAB2: A novel bacteriophage of Acinetobacter baumannii. Res. Microbiol. 2010, 161, 308–314. [Google Scholar] [CrossRef] [PubMed]
- Lai, M.J.; Lin, N.T.; Hu, A.; Soo, P.C.; Chen, L.K.; Chen, L.H.; Chang, K.C. Antibacterial activity of Acinetobacter baumannii phage ϕAB2 endolysin (LysAB2) against both gram-positive and gram-negative bacteria. Appl. Microbiol. Biotechnol. 2011, 90, 529–539. [Google Scholar] [CrossRef] [PubMed]
- Lukashin, A.V.; Borodovsky, M. Genemark.Hmm: New solutions for gene finding. Nucleic Acids Res. 1998, 26, 1107–1115. [Google Scholar] [CrossRef] [PubMed]
- Delcher, A.L.; Bratke, K.A.; Powers, E.C.; Salzberg, S.L. Identifying bacterial genes and endosymbiont DNA with glimmer. Bioinformatics 2007, 23, 673–679. [Google Scholar] [CrossRef] [PubMed]
- Lowe, T.M.; Eddy, S.R. Trnascan-se: A program for improved detection of transfer RNA genes in genomic sequence. Nucleic Acids Res. 1997, 25, 955–964. [Google Scholar] [CrossRef] [PubMed]
- Rybniker, J.; Kramme, S.; Small, P.L. Host range of 14 mycobacteriophages in Mycobacterium ulcerans and seven other mycobacteria including Mycobacterium tuberculosis—Application for identification and susceptibility testing. J. Med. Microbiol. 2006, 55, 37–42. [Google Scholar] [CrossRef] [PubMed]
- Chen, H.L.; Su, P.Y.; Chang, Y.S.; Wu, S.Y.; Liao, Y.D.; Yu, H.M.; Lauderdale, T.L.; Chang, K.; Shih, C. Identification of a novel antimicrobial peptide from human hepatitis B virus core protein arginine-rich domain (ARD). PLoS Pathog. 2013, 9, e1003425. [Google Scholar] [CrossRef] [PubMed]
- Broxmeyer, L.; Sosnowska, D.; Miltner, E.; Chacon, O.; Wagner, D.; McGarvey, J.; Barletta, R.G.; Bermudez, L.E. Killing of Mycobacterium avium and Mycobacterium tuberculosis by a mycobacteriophage delivered by a nonvirulent mycobacterium: A model for phage therapy of intracellular bacterial pathogens. J. Infect. Dis. 2002, 186, 1155–1160. [Google Scholar] [CrossRef] [PubMed]
- Sample Availability: Samples of the title compounds are available from the authors.
© 2015 by the authors. Licensee MDPI, Basel, Switzerland. This article is an open access article distributed under the terms and conditions of the Creative Commons Attribution license ( http://creativecommons.org/licenses/by/4.0/).
Share and Cite
Lai, M.-J.; Liu, C.-C.; Jiang, S.-J.; Soo, P.-C.; Tu, M.-H.; Lee, J.-J.; Chen, Y.-H.; Chang, K.-C. Antimycobacterial Activities of Endolysins Derived From a Mycobacteriophage, BTCU-1. Molecules 2015, 20, 19277-19290. https://doi.org/10.3390/molecules201019277
Lai M-J, Liu C-C, Jiang S-J, Soo P-C, Tu M-H, Lee J-J, Chen Y-H, Chang K-C. Antimycobacterial Activities of Endolysins Derived From a Mycobacteriophage, BTCU-1. Molecules. 2015; 20(10):19277-19290. https://doi.org/10.3390/molecules201019277
Chicago/Turabian StyleLai, Meng-Jiun, Chih-Chin Liu, Shinn-Jong Jiang, Po-Chi Soo, Meng-Hsuan Tu, Jen-Jyh Lee, Ying-Huei Chen, and Kai-Chih Chang. 2015. "Antimycobacterial Activities of Endolysins Derived From a Mycobacteriophage, BTCU-1" Molecules 20, no. 10: 19277-19290. https://doi.org/10.3390/molecules201019277
APA StyleLai, M.-J., Liu, C.-C., Jiang, S.-J., Soo, P.-C., Tu, M.-H., Lee, J.-J., Chen, Y.-H., & Chang, K.-C. (2015). Antimycobacterial Activities of Endolysins Derived From a Mycobacteriophage, BTCU-1. Molecules, 20(10), 19277-19290. https://doi.org/10.3390/molecules201019277
