Acute Toxicity Evaluation, Antibacterial, Antioxidant and Immunomodulatory Effects of Melastoma malabathricum
Abstract
:1. Introduction
2. Results and Discussion
2.1. Antioxidant Activity
| Vitamin C | BHT | MM/A | MM/E | |
|---|---|---|---|---|
| DPPH (IC50 µmol/L) | 3.346 ± 1.20 | … | 10.573 ± 0.58 | 11.599 ± 0.84 |
| ABTS (IC50 µmol/L) | 21.368 ± 0.12 | … | 63.939 ± 0.48 | 62.657 ± 0.78 |
| TPC (mg/g) | … | … | 379.33 ± 0.007 | 384.33 ± 0.005 |
| TF (mg/g) | … | … | 14.7 ± 0.003 | 85.8 ± 0.009 |
| FRAP (mmol/g) | … | 57,300 ± 0.01 | 28,750 ± 0.031 | 33,590 ± 0.038 |
2.2. Antibacterial Activity
| Bacterial species | CTRL | DMSO | M. malabathricum | |
|---|---|---|---|---|
| AE | EE | |||
| E. coli | 27 ± 1.4 | NIZ | NIZ | NIZ |
| K. pneumonia | 31 ± 0.6 | NIZ | NIZ | NIZ |
| S. agalactiae | 16 ± 0.6 | NIZ | 6 ± 0.2 | 12 ± 0.6 |
| S. aureus | 12 ± 0.3 | NIZ | 6 ± 0.1 | 11 ± 0.3 |
| MM concentration | MIC / S.agalactiae | MBC / S.agalactiae | MIC / S.aureus | MBC / S.aureus |
|---|---|---|---|---|
| 20 µg/mL | No turbidity | No growth | No turbidity | No growth |
| 10 µg/mL | No turbidity | No growth | No turbidity | No growth |
| 5 µg/mL | No turbidity | No growth | No turbidity | No growth |
| 2.5 µg/mL | No turbidity | No growth | No turbidity | No growth |
| 1.25 µg/mL | No turbidity | Growth | No turbidity | Growth |
| 0.625 µg/mL | Turbid | Growth | Turbid | Growth |
| 0.3125 µg/mL | Turbid | Growth | Turbid | Growth |
| 0.1563 µg/mL | Turbid | Growth | Turbid | Growth |
2.3. PBMC Proliferation

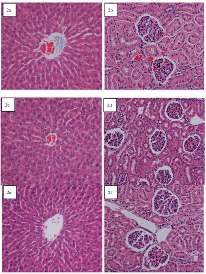
2.4. Acute Toxicity Test
| Groups | ALT (IU/L) | AST (IU/L) | ALP (IU/L) | T. Protein (g/L) | Albumin (g/L) | Bilirubin (µmol/L) | GG (IU/L) |
|---|---|---|---|---|---|---|---|
| Tween 20 (10%) | 45.17 ± 5.26 | 27.33 ± 4.22 | 98.67 ± 13.12 | 73.33 ± 3.14 | 42.67 ± 3.04 | 10.67 ± 2.16 | 53.83 ± 10.42 |
| MM extract (2,000 mg/kg) | 46.50 ± 4.21 | 26.83 ± 3.84 | 92.83 ± 11.97 | 72.67 ± 2.09 | 45.67 ± 6.73 | 6.67 ± 1.41 | 55.00 ± 10.58 |
| MM extract (5,000 mg/kg) | 44.33 ± 5.94 | 28.00 ± 3.84 | 88.17 ± 6.58 | 74.33 ± 4.62 | 44.17 ± 4.05 | 9.50 ± 1.65 | 58.83 ± 7.15 |
| Groups | Sodium | Potassium | Chloride | Carbon dioxide | Anion Gap | Urea | Creatinine |
|---|---|---|---|---|---|---|---|
| Tween 20 (10%) | 140.50 ± 1.87 | 4.30 ± 0.28 | 104.33 ± 1.69 | 26.00 ± 1.67 | 14.50 ± 1.67 | 4.60 ± 0.71 | 37.25 ± 0.15 |
| MM extract (2,000 mg/kg) | 140.33 ± 1.20 | 4.54 ± 0.23 | 105.33 ± 2.08 | 27.33 ± 1.50 | 12.80 ± 1.33 | 4.62 ± 0.65 | 37.48 ± 0.16 |
| MM extract (5,000 mg/kg) | 136.33 ± 1.50 | 4.28 ± 2.25 | 104.60 ± 1.54 | 25.50 ± 1.15 | 19.00 ± 0.52 | 4.56 ± 0.56 | 36.58 ± 0.82 |

3. Experimental
3.1. Plant Extraction Procedure
3.2. Free Radical Scavenging Activity
3.2.1. DPPH Method
3.2.2. ABTS Method
3.2.3. FRAP Method
3.3. Phytochemical Screening
3.3.1. TPC Method
3.3.2. TFC Method
3.4. Antibacterial Activity
3.4.1. Bacterial Strains and Antibiotics
3.4.2. Disc Diffusion Method
3.4.3. MIC and MBC Methods
3.5. PBMC Proliferation Activity

3.6. Acute Toxicity Test
4. Conclusions
Acknowledgment
Conflict of Interest
- Samples Availability: Samples are available from the corresponding author.
References and Notes
- Harvey, A.L. Natural products in drug discovery. Drug Discov. Today 2008, 13, 894–901. [Google Scholar] [CrossRef]
- Ong, H.; Nordiana, M. Malay ethno-medico botany in Machang, Kelantan, Malaysia. Fitoterapia 1999, 70, 502–513. [Google Scholar] [CrossRef]
- Ong, H.; Norzalina, J. Malay herbal medicine in Gemencheh, Negri Sembilan, Malaysia. Fitoterapia 1999, 70, 10–14. [Google Scholar] [CrossRef]
- Susanti, D.; Sirat, H.M.; Ahmad, F.; Ali, R.M. Bioactive constituents from the leaves of Melastoma malabathricum L. Jurnal Ilmiah Farmasi 2009, 5, 1–8. [Google Scholar]
- Hussain, F.; Abdulla, M.; Noor, S.; Ismail, S.; Ali, H. Gastroprotective effects of Melastoma malabathricum aqueous leaf extract against ethanol-induced gastric ulcer in rats. Am. J. Biochem. Biotechnol. 2008, 4, 438–441. [Google Scholar] [CrossRef]
- Choudhury, M.D.; Nath, D.; Talukdar, A.D. Antimicrobial activity of Melastoma malabathricum L. Assam Univ. J. Sci. Technol. 2011, 7, 76–78. [Google Scholar]
- Malay herbal medicine in Gemencheh, Negri Sembilan, Malaysia. Antibacterial activity of Melastoma candidum D. Don. LWT-Food Sci. Technol. 2008, 41, 1793–1798. [Google Scholar]
- Sunilson, A.J.; James, J.; Thomas, J.; Paulraj, J.; Rajavel, V.; Muthu Paliniappan, M. Antibacterial and wound healing activities of Melastoma malabathricum Linn. Afr. J. Infect. Dis. 2008, 2, 68–73. [Google Scholar]
- Manicam, C.; Abdullah, J.O.; Tohit, E.R.M.; Seman, Z.; Chin, S.C.; Hamid, M. In vitro anticoagulant activities of Melastoma malabathricum Linn. aqueous leaf extract: A preliminary novel finding. J. Med. Plants Res. 2010, 4, 1464–1472. [Google Scholar]
- Lohezic-Le Devehat, F.; Bakhtiar, A.; Bezivin, C.; Amoros, M.; Boustie, J. Antiviral and cytotoxic activities of some Indonesian plants. Fitoterapia 2002, 73, 400–405. [Google Scholar] [CrossRef]
- Zakaria, Z.A.; Mohd, R.N.; Mohd, N.R.; Kumar, G.H.; Ghani, Z.D.F.A.; Sulaiman, M.R.; Devi, G.R.; Jais, A.M.M.; Somchit, M.N.; Fatimah, C.A.F. Antinociceptive, anti-inflammatory and antipyretic properties of Melastoma malabathricum leaves aqueous extract in experimental animals. Can. J. Physiol. Pharmacol. 2006, 84, 1291–1299. [Google Scholar] [CrossRef]
- Joffry, S.M.; Yob, N.; Rofiee, M.; Affandi, M.; Suhaili, Z.; Othman, F.; Akim, A.M.; Desa, M.; Zakaria, Z. Melastoma malabathricum (L.) smith ethnomedicinal uses, chemical constituents, and pharmacological properties: A review. Evid.-based Complement. Alternat. Med. 2012. [Google Scholar] [CrossRef]
- Mazura, M.; Susanti, D.; Rasadah, M. Anti-inflammatory action of components from Melastoma malabathricum. Pharm. Biol. 2007, 45, 372–375. [Google Scholar] [CrossRef]
- Faravani, M. The Population Biology of Straits Rhododendron (Melastoma malabathricum L.). Ph.D. Thesis, University of Malaya, Kuala Lumpur, Malaysia, 2009. [Google Scholar]
- Thomas, G.; de Chimie, P. Medicinal Chemistry: An Introduction; John Wiley & Sons: West Sussex, UK, 2000. [Google Scholar]
- Harborne, J.; Williams, C. Advances in flavonoid research since 1992. Phytochemistry 2000, 55, 481–504. [Google Scholar] [CrossRef]
- Zakaria, Z.; Rofiee, M.; Mohamed, A.; Teh, L.; Salleh, M. In vitro antiproliferative and antioxidant activities and total phenolic contents of the extracts of Melastoma malabathricum leaves. J. Acupunct. Meridian Stud. 2011, 4, 248–256. [Google Scholar] [CrossRef]
- Lobo, V.C.; Phatak, A.; Chandra, N. Antioxidant and free radical scavenging activity of Hygrophila schulli (Buch.-Ham.) Almeida and Almeida. seeds. Adv. Biores. 2010, 1, 72–78. [Google Scholar]
- Chalise, J.P.; Acharya, K.; Gurung, N.; Bhusal, R.P.; Gurung, R.; Skalko-Basnet, N.; Basnet, P. Antioxidant activity and polyphenol content in edible wild fruits from Nepal. Int. J. Food Sci. Nutr. 2010, 61, 425–432. [Google Scholar] [CrossRef]
- Yin, S.; Fan, C.Q.; Wang, Y.; Dong, L.; Yue, J.M. Antibacterial prenylflavone derivatives from Psoralea corylifolia, and their structure-activity relationship study. Bioorg. Med. Chem. 2004, 12, 4387–4392. [Google Scholar] [CrossRef]
- Wong, K.C.; Ali, D.M.H.; Boey, P.L. Chemical constituents and antibacterial activity of Melastoma malabathricum L. Nat. Prod. Res. 2011. [Google Scholar] [CrossRef]
- See, K. Establishment of Cell Suspension Culture of Melastoma malabathricum L. for the Production of Anthocyanin. Ph.D. Thesis, Universiti Sains Malaysia, Penang, Malaysia, 2008. [Google Scholar]
- Liu, Y.; Peterson, D.A.; Kimura, H.; Schubert, D. Mechanism of cellular dimethylthiazol diphenyltetrazolium bromide (MTT) reduction. J. Neurochem. 1997, 69, 581–593. [Google Scholar]
- Nair, M.P.; Mahajan, S.; Reynolds, J.L.; Aalinkeel, R.; Nair, H.; Schwartz, S.A.; Kandaswami, C. The flavonoid quercetin inhibits proinflammatory cytokine (tumor necrosis factor alpha) gene expression in normal peripheral blood mononuclear cells via modulation of the NF-κβ system. Clin. Vaccine Immunol. 2006, 13, 319–328. [Google Scholar] [CrossRef]
- Lim, Y.; Murtijaya, J. Antioxidant properties of Phyllanthus amarus extracts as affected by different drying methods. LWT-Food Sci. Technol. 2007, 40, 1664–1669. [Google Scholar]
- Re, R.; Pellegrini, N.; Proteggente, A.; Pannala, A.; Yang, M.; Rice-Evans, C. Antioxidant activity applying an improved ABTS radical cation decolorization assay. Free Radic. Biol. Med. 1999, 26, 1231–1237. [Google Scholar] [CrossRef]
- Benzie, I.; Strain, J. The ferric reducing ability of plasma (FRAP) as a measure of “antioxidant power”: The FRAP assay. Anal. Biochem. 1996, 239, 70–76. [Google Scholar]
- Chang, C.; Yang, M.; Wen, H.; Chern, J. Estimation of total flavonoid content in propolis by two complementary colorimetric methods. J. Food Drug Anal. 2002, 10, 178–182. [Google Scholar]
- Turnidge, J.; Ferraro, M.; Jorgensen, J. Susceptibility Test Methods: General Considerations. In Manual of Clinical Microbiology; Murray, P.R., Baron, E.J., Jorgensen, J.H., Pfaller, M.A., Yolken, R.H., Eds.; American Society for Microbiology: Wachington DC, WA, USA, 2003; pp. 1102–1107. [Google Scholar]
- OECD, OECD Guidelines for Testing of Chemicals; OECD Publishing: Paris, France, 1998.
- Abdulla, M.A.; Ahmed, K.A.A.; Al-Bayaty, F.H.; Masood, Y. Gastroprotective effect of Phyllanthus niruri leaf extract against ethanol-induced gastric mucosal injury in rats. Afr. J. Pharm. Pharmacol. 2010, 4, 226–230. [Google Scholar]
© 2012 by the authors; licensee MDPI, Basel, Switzerland. This article is an open-access article distributed under the terms and conditions of the Creative Commons Attribution license (http://creativecommons.org/licenses/by/3.0/).
Share and Cite
Alnajar, Z.A.A.; Abdulla, M.A.; Ali, H.M.; Alshawsh, M.A.; Hadi, A.H.A. Acute Toxicity Evaluation, Antibacterial, Antioxidant and Immunomodulatory Effects of Melastoma malabathricum. Molecules 2012, 17, 3547-3559. https://doi.org/10.3390/molecules17033547
Alnajar ZAA, Abdulla MA, Ali HM, Alshawsh MA, Hadi AHA. Acute Toxicity Evaluation, Antibacterial, Antioxidant and Immunomodulatory Effects of Melastoma malabathricum. Molecules. 2012; 17(3):3547-3559. https://doi.org/10.3390/molecules17033547
Chicago/Turabian StyleAlnajar, Zahra A. Amin, Mahmood A. Abdulla, Hapipah M. Ali, Mohammed A. Alshawsh, and A. Hamid A. Hadi. 2012. "Acute Toxicity Evaluation, Antibacterial, Antioxidant and Immunomodulatory Effects of Melastoma malabathricum" Molecules 17, no. 3: 3547-3559. https://doi.org/10.3390/molecules17033547
APA StyleAlnajar, Z. A. A., Abdulla, M. A., Ali, H. M., Alshawsh, M. A., & Hadi, A. H. A. (2012). Acute Toxicity Evaluation, Antibacterial, Antioxidant and Immunomodulatory Effects of Melastoma malabathricum. Molecules, 17(3), 3547-3559. https://doi.org/10.3390/molecules17033547
