Isolation of Glycinin (11S) from Lipid-Reduced Soybean Flour: Effect of Processing Conditions on Yields and Purity
Abstract
:1. Introduction
2. Results and Discussion
2.1. Chemical Composition and Solubility of Starting Flour
2.2. The Effect of pH on Yields and Purity of Glycinin (11S)

2.3. The Effect of Different Kinds of Reducing Agent on Yields and Purity of Glycinin (11S)

2.4. The Effect of Slurry Storage Time on Yields and Purity of Glycinin (11S)

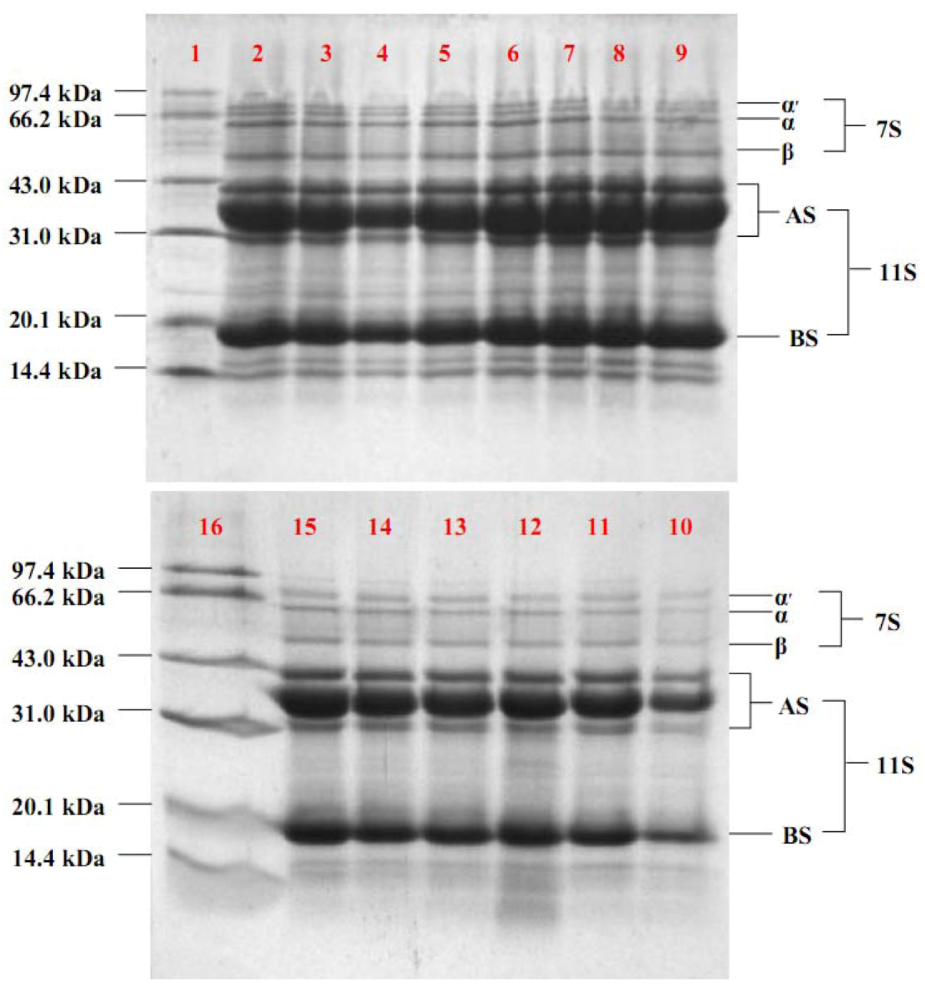
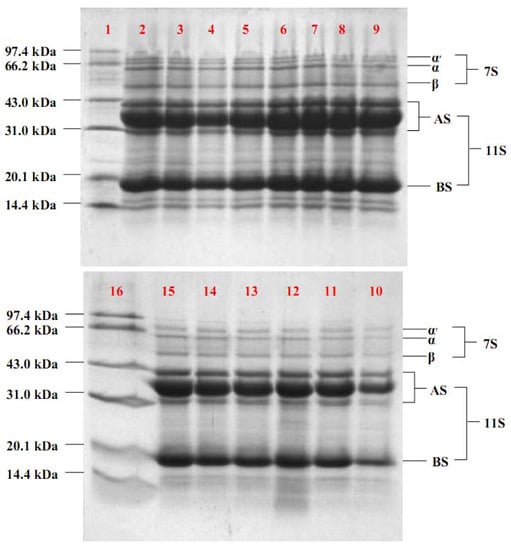
2.5. SDS-PAGE of Selected Fractions

2.6. Sulfhydryl and Disulfide Content of Proteins
| Sample | Free SH b | Total SS and SH b | |
|---|---|---|---|
| pH | 6.2 | 5.85 (0.08) cA d | 50.12 (0.02)A |
| 6.3 | 6.01 (0.04)A | 50.57 (0.08)B | |
| 6.4 | 6.35 (0.07)B | 50.96 (0.09)C | |
| 6.5 | 6.63 (0.03)C | 51.20 (0.08)C | |
| 6.6 | 6.87 (0.03)E | 51.73 (0.09)D | |
| reducer | SBS | 6.39 (0.04)B | 50.82 (0.43)C |
| DTT | 4.38 (0.02)F | 47.31 (0.36)E | |
| ME | 5.73 (0.04)A | 50.03 (0.35)A | |
| store time | 6 h | 5.77 (0.06)A | 50.19 (0.33)A |
| 8 h | 6.23 (0.04)B | 51.26 (0.13)C | |
| 10 h | 6.72 (0.02)C | 51.53 (0.19)C | |
| 12 h | 6.76 (0.05)C | 51.46 (0.25)C | |
| 14 h | 6.50 (0.05)BD | 51.37 (0.19)C | |
| 16 h | 6.30 (0.05)B | 51.18 (0.24)C | |
3. Experimental
3.1. Materials
3.2. The Treatment of Defatted Soybean Flour
3.3. The Separation of 11S Fraction
3.4. The Effect of pH in the Presence of Sodium Bisulfite (SBS)
3.5. The Effect of Different Kinds of Reducing Agent in the pH 6.4
3.6. The Effect of Slurry Store Time in the Presence of Sodium Bisulfite (SBS)

3.7. Analysis of Protein Constitution by SDS-PAGE
3.8. Sulfhydryl and Disulfide Content of Proteins
3.9. Statistics
4. Conclusions
Acknowledgements
- Sample Availability: Samples of glycinin (11S) are available from the authors. The total protein, moisture and lipids contents in the glycinin (11S) were 97.16% (dry basis), 2.44% and 0.06%, respectively. The purity of glycinin (11S) is 87.42%.
References and Notes
- Utsumi, S.; Matsumura, Y.; Mori, T. Structure-Function Relationships of Soy Proteins. In Food Proteins and Their Application; Damodaran, S., Paraf, A., Eds.; Marcel Dekker: New York, NY, USA, 1997; pp. 257–291. [Google Scholar]
- Delwiche, S.R.; Pordesimo, L.O.; Panthee, D.R.; Pantalone, V.R. Assessing glycinin (11S) and β-conglycinin (7S) fractions of soybean storage protein by near-infrared spectroscopy. J. Am. Oil Chem. Soc. 2007, 84, 1107–1115. [Google Scholar] [CrossRef]
- Fukushima, D. Recent progress in research and technology on soybeans. Food Sci. Technol. Res. 2001, 7, 8–16. [Google Scholar] [CrossRef]
- Kinsella, J.E. Functional properties of soy proteins. J. Am. Oil Chem. Soc. 1979, 56, 242–258. [Google Scholar] [CrossRef]
- Brooks, J.R.; Morr, C.V. Current aspects of soy protein fractionation and nomenclature. J. Am. Oil Chem. Soc. 1985, 62, 1347–1354. [Google Scholar] [CrossRef]
- Deak, N.A.; Murphy, P.A.; Johnson, L.A. Effects of NaCl concentration on salting-in and dilution during salting-out on soy protein fractionation. J. Food Sci. 2006, 71, C247–C254. [Google Scholar] [CrossRef]
- Nagano, T.; Hirotsuka, M.; Mori, H.; Kohyama, K.; Nishinari, K. Dynamic viscoelastic study on the gelation of 7S globulin from soybeans. J. Agric. Food Chem. 1992, 40, 941–944. [Google Scholar] [CrossRef]
- Teng, Z.; Liu, C.; Yang, X.Q.; Li, L.; Tang, C.H.; Jiang, Y.M. Fractionation of soybean globulins using Ca2+ and Mg2+: A comparative analysis. J. Am. Oil Chem. Soc. 2009, 86, 409–417. [Google Scholar] [CrossRef]
- Thanh, V.H.; Shibasaki, K. Major proteins of soybean seeds. A straightforward fractionation and their characterization. J. Agric. Food Chem. 1976, 24, 1117–1121. [Google Scholar] [CrossRef]
- Huang, Y.R.; Hua, Y.F.; Qiu, A.Y. Soybean protein aggregation induced by lipoxygenase catalyzed linoleic acid oxidation. Food Res. Int. 2006, 39, 240–249. [Google Scholar] [CrossRef]
- Huang, Y.R.; Hua, Y.F.; Qiu, A.Y. Detection of free radical transfer in lipoxygenase I-B-catalyzed linoleic acid-soybean proteins interaction by electron spin resonance spectroscopy (ESR). J. Agric. Food Chem. 2006, 54, 9216–9220. [Google Scholar] [CrossRef]
- AACC. “AACC Approved Methods,” rev. American Association of Cereal Chemists: St. Paul, MN, USA, 1975.
- Yuan, Y.J.; Velev, O.D.; Chen, K.; Campbell, B.E.; Kaler, E.W.; Lenhoff, A.M. Effect of pH and Ca2+ induced associations of soybean proteins. J. Agric. Food Chem. 2002, 50, 4953–4958. [Google Scholar] [CrossRef]
- Lakemond, C.M.M.; De Jongh, H.H.J.; Hessing, M.; Gruppen, H.; Voragen, A.G.J. Soy glycinin: Influence of pH and ionic strength on solubility and molecular structure at ambient temperatures. J. Agric. Food Chem. 2000, 48, 1985–1990. [Google Scholar] [CrossRef]
- Liu, C.; Wang, H.L.; Cui, Z.M.; He, X.L.; Wang, X.S.; Zeng, X.X.; Ma, H. Optimization of extraction and isolation for 11S and 7S globulins of soybean seed storage protein. Food Chem. 2007, 102, 1310–1316. [Google Scholar] [CrossRef]
- Silvana, P.; Maria, C.A. Soy protein isolate components and their interactions. J. Agric. Food Chem. 1995, 43, 1762–1767. [Google Scholar] [CrossRef]
- Wu, S.W.; Murphy, P.A.; Johnson, L.A.; Fratzke, A.R.; Reuber, M.A. Pilot-plant fractionation of soybean glycinin and β-conglycinin. J. Am. Oil Chem. Soc. 1999, 76, 285–293. [Google Scholar] [CrossRef]
- Wu, S.W.; Murphy, P.A.; Johnson, L.A.; Reuber, M.A.; Fratzke, A.R. Simplified process for soybean glycinin and β-conglycinin fractionation. J. Agric. Food Chem. 2000, 48, 2702–2708. [Google Scholar]
- Deak, N.A.; Murphy, P.A.; Johnson, L.A. Effects of reducing agent concentration on soy protein fractionation and functionality. J. Food Sci. 2006, 71, C200–C208. [Google Scholar] [CrossRef]
- Deak, N.A.; Murphy, P.A.; Johnson, L.A. Characterization of fractionated soy proteins produced by a new simplified procedure. J. Am. Oil Chem. Soc. 2007, 84, 137–149. [Google Scholar] [CrossRef]
- Wolf, W.J.; Sly, D.A. Cryoprecipitation of soybean 11S protein. Cereal Chem. 1967, 44, 653–668. [Google Scholar]
- Hou, D.H.J.; Chang, S.K.C. Structural characteristics of purified glycinin from soybeans stored under various conditions. J. Agric. Food Chem. 2004, 52, 3792–3800. [Google Scholar] [CrossRef]
- Lui, D.Y.M.; White, E.T.; Litster, J.D. Dissolution behavior of soy proteins and effect of initial concentration. J. Agric. Food Chem. 2007, 55, 2467–2473. [Google Scholar] [CrossRef]
- Wolf, W.J. Sulfhydryl content of glycinin: Effect of reducing agents. J. Agric. Food Chem. 1993, 41, 168–176. [Google Scholar] [CrossRef]
- Weber, K.; Osborn, M.J. The reliability of molecular weight determinations by sodium dodecyl sulfate polyacrylamide gel electrophoresis. J. Agric. Food Chem. 1969, 244, 4406. [Google Scholar]
- O’Keefe, S.F.; Wilson, L.A.; Resurreccion, A.P.; Murphy, P.A. Determination of the binding of hexanal to soy glycinin and betaconglycinin in an aqueous model system using a headspace technique. J. Agric. Food Chem. 1991, 39, 1022–1028. [Google Scholar] [CrossRef]
- Ellman, G.L. Tissue sulfhydryl groups. Arch. Biochem. Biophys. 1959, 82, 70–77. [Google Scholar] [CrossRef]
- Boatright, W.L.; Hettiarachchy, N.S. Effect of lipids on soy protein isolate solubility. J. Am. Oil Chem. Soc. 1995, 72, 1439–1444. [Google Scholar] [CrossRef]
- Beveridge, T.; Toma, S.J.; Nakai, S. Determination of SH- and SS-groups in some food proteins using Ellman’s reagent. J. Food Sci. 1974, 39, 49–51. [Google Scholar] [CrossRef]
© 2012 by the authors; licensee MDPI, Basel, Switzerland. This article is an open-access article distributed under the terms and conditions of the Creative Commons Attribution license (http://creativecommons.org/licenses/by/3.0/).
Share and Cite
Deng, K.; Huang, Y.; Hua, Y. Isolation of Glycinin (11S) from Lipid-Reduced Soybean Flour: Effect of Processing Conditions on Yields and Purity. Molecules 2012, 17, 2968-2979. https://doi.org/10.3390/molecules17032968
Deng K, Huang Y, Hua Y. Isolation of Glycinin (11S) from Lipid-Reduced Soybean Flour: Effect of Processing Conditions on Yields and Purity. Molecules. 2012; 17(3):2968-2979. https://doi.org/10.3390/molecules17032968
Chicago/Turabian StyleDeng, Kequan, Youru Huang, and Yufei Hua. 2012. "Isolation of Glycinin (11S) from Lipid-Reduced Soybean Flour: Effect of Processing Conditions on Yields and Purity" Molecules 17, no. 3: 2968-2979. https://doi.org/10.3390/molecules17032968
APA StyleDeng, K., Huang, Y., & Hua, Y. (2012). Isolation of Glycinin (11S) from Lipid-Reduced Soybean Flour: Effect of Processing Conditions on Yields and Purity. Molecules, 17(3), 2968-2979. https://doi.org/10.3390/molecules17032968
