Molecular Morphology of Pituitary Cells, from Conventional Immunohistochemistry to Fluorescein Imaging
Abstract
:1. Introduction
2. Results and Discussion
2.1. ISH at an Electron Microscopy Level
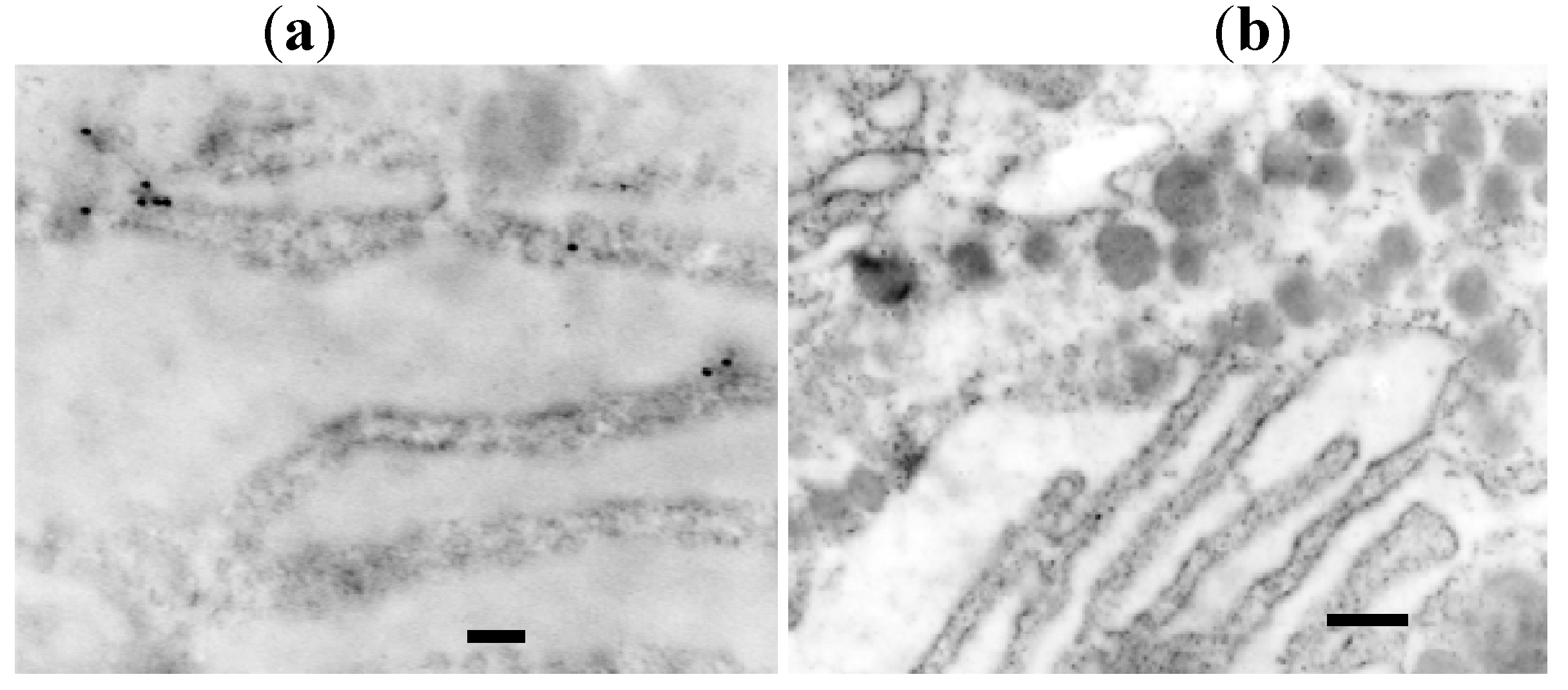
2.1.1. Preembedding ISH at an electron microscopy level

2.1.2. Postembedding ISH at an electron microscopic level

2.2. Combined ISH and IHC at An Electron Microscopic Level

2.3. Combined ISH and IHC Using Qdots for the Detection of mRNA and Protein

2.4. Functional Analyses of rab3B in Pituitary Cells and the SNARE System and rab3B in Pituitary Cells

2.5. Intracellular Transport and Secretion of EYFP-GH and Synergistic Dynamics of rab3B and GH in Porosome

3. Experimental
3.1. ISH at an Electron Microscopic Level
3.1.1. Preembedding ISH at an electron microscopic level
3.1.2. Postembedding ISH at an electron microscopic level
3.2. Combined ISH and IHC at an Electron Microscopy Level
3.3. Combined ISH and IHC Using Qdots for the Detection of mRNA and Protein
3.4. Functional Analyses of rab3B in Pituitary Cells and the SNARE System and rab3b in Pituitary Cells
3.5. Intracellular Transport and Secretion of EYFP-GH and Synergistic Dynamics of rab3B and GH in Porosome
4. Conclusions
Supplementary Materials
Supplementary File 1References
- Matsuno, A.; Ohsugi, Y.; Utsunomiya, H.; Takekoshi, S.; Osamura, R.Y.; Watanabe, K.; Teramoto, A. Ultrastructural distribution of growth hormone, prolactin mRNA in normal rat pituitary cells: A comparison between preembedding and postembedding methods. Histochemistry 1994, 102, 265–270. [Google Scholar] [CrossRef]
- Matsuno, A.; Teramoto, A.; Takekoshi, S.; Utsunomiya, H.; Ohsugi, Y.; Kishikawa, S.; Osamura, R.Y.; Kirino, T.; Lloyd, R.V. Application of biotinylated oligonucleotide probes to the detection of pituitary hormone mRNA using Northern blot analysis, in situ hybridization at light and electron microscopic levels. Histochem. J. 1994, 26, 771–777. [Google Scholar]
- Matsuno, A.; Ohsugi, Y.; Utsunomiya, H.; Takekoshi, S.; Sanno, N.; Osamura, R.Y.; Watanabe, K.; Teramoto, A.; Kirino, T. Changes in the ultrastructural distribution of prolactin and growth hormone mRNAs in pituitary cells of female rats after estrogen and bromocriptine treatment, studied using in situ hybridization with biotinylated oligonucleotide probes. Histochem. Cell Biol. 1995, 104, 37–45. [Google Scholar] [CrossRef]
- Matsuno, A.; Utsunomiya, H.; Ohsugi, Y.; Takekoshi, S.; Sanno, N.; Osamura, R.Y.; Nagao, K.; Tamura, A.; Nagashima, T. Simultaneous ultrastructural identification of growth hormone and its messenger ribonucleic acid using combined immunohistochemistry and non-radioisotopic in situ hybridization: A technical note. Histochem. J. 1996, 28, 703–707. [Google Scholar] [CrossRef]
- Matsuno, A.; Ohsugi, Y.; Utsunomiya, H.; Takekoshi, S.; Munakata, S.; Nagao, K.; Osamura, R.Y.; Tamura, A.; Nagashima, T. An improved ultrastructural double-staining method of rat growth hormone and its mRNA using LR White resin: A technical note. Histochem. J. 1998, 30, 105–109. [Google Scholar] [CrossRef]
- Matsuno, A.; Nagashima, T.; Osamura, R.Y.; Watanabe, K. Application of ultrastructural in situ hybridization combined with immunohistochemistry to pathophysiological studies of pituitary cell: Technical review. Acta Histochem. Cytochem. 1998, 31, 259–265. [Google Scholar] [CrossRef]
- Matsuno, A.; Nagashima, T.; Takekoshi, S.; Utsunomiya, H.; Sanno, N.; Osamura, R.Y.; Watanabe, K.; Tamura, A.; Teramoto, A. Ultrastructural simultaneous identification of growth hormone and its messenger ribonucleic acid. Endocr. J. 1998, 45, S101–S104. [Google Scholar] [CrossRef]
- Matsuno, A.; Itoh, J.; Osamura, R.Y.; Watanabe, K.; Nagashima, T. Electron microscopic and confocal laser scanning microscopic observation of subcellular organelles and pituitary hormone mRNA: Application of ultrastructural in situ hybridization and immunohistochemistry to the pathophysiological studies of pituitary cells. Endocr. Pathol. 1999, 10, 199–211. [Google Scholar] [CrossRef]
- Matsuno, A.; Nagashima, T.; Ohsugi, Y.; Utsunomiya, H.; Takekoshi, S.; Munakata, S.; Nagao, K.; Osamura, R.Y.; Watanabe, K. Electron microscopic observation of intracellular expression of mRNA and its protein product: Technical review on ultrastructural in situ hybridization and its combination with immunohistochemistry. Histol. Histopathol. 2000, 15, 261–268. [Google Scholar]
- Osamura, R.Y.; Itoh, Y.; Matsuno, A. Application of plastic embedding to electron microscopic immunocytochemistry and in situ hybridization in observations of production and secretion of peptide hormones. J. Histochem. Cytochem. 2000, 48, 885–892. [Google Scholar] [CrossRef]
- Osamura, R.Y.; Tahara, S.; Kurotani, R.; Sanno, N.; Matsuno, A.; Teramoto, A. Contributions of immunohistochemistry and in situ hybridization to the functional analysis of pituitary adenomas. J. Histochem. Cytochem. 2000, 48, 445–458. [Google Scholar] [CrossRef]
- Arndt-Jovin, D.J.; Robert-Nicoud, M.; Kaufman, S.J.; Jovin, T.M. Fluorescence digital imaging microscopy in cell biology. Science 1985, 230, 247–256. [Google Scholar]
- Arndt-Jovin, D.J.; Robert-Nicoud, M.; Jovin, T.M. Probing DNA structure and function with a multi-wavelength fluorescence confocal laser microscope. J. Microsc. 1990, 157, 61–72. [Google Scholar] [CrossRef]
- Bauman, J.G.; Bayer, J.A.; van Dekken, H. Fluorescent in-situ hybridization to detect cellular RNA by flow cytometry and confocal microscopy. J. Microsc. 1990, 157, 73–81. [Google Scholar] [CrossRef]
- Hozak, P.; Novak, J.T.; Smetana, K. Three-dimensional reconstructions of nucleolus-organizing regions in PHA-stimulated human lymphocytes. Biol. Cell 1989, 66, 225–233. [Google Scholar]
- Itoh, J.; Osamura, R.Y.; Watanabe, K. Subcellular visualization of light microscopic specimens by laser scanning microscopy and computer analysis: A new application of image analysis. J. Histochem. Cytochem. 1992, 40, 955–967. [Google Scholar] [CrossRef]
- Itoh, J.; Sanno, N.; Matsuno, A.; Itoh, Y.; Watanabe, K.; Osamura, R.Y. Application of confocal laser scanning microscopy (CLSM) to visualize prolactin (PRL) and PRL mRNA in the normal and estrogen-treated rat pituitary glands using non-fluorescent probes. Microsc. Res. Tech. 1997, 39, 157–167. [Google Scholar] [CrossRef]
- Itoh, J.; Matsuno, A.; Yamamoto, Y.; Kawai, K.; Serizawa, A.; Watanabe, K.; Itoh, Y.; Osamura, R.Y. Confocal laser scanning microscopic imaging of subcellular organelles, mRNA, protein products, and the microvessel environme. Acta Histochem. Cytochem. 2001, 34, 285–297. [Google Scholar] [CrossRef]
- Michel, E.; Parsons, J.A. Histochemical and immunocytochemical localization of prolactin receptors on Nb2 lymphoma cells: Applications of confocal microscopy. J. Histochem. Cytochem. 1990, 38, 965–973. [Google Scholar] [CrossRef]
- Robinson, J.M.; Batten, B.E. Detection of diaminobenzidine reactions using scanning laser confocal reflectance microscopy. J. Histochem. Cytochem. 1989, 37, 1761–1765. [Google Scholar] [CrossRef]
- Takamatsu, T.; Fujita, S. Microscopic tomography by laser scanning microscopy and its three-dimensional reconstruction. J. Microsc. 1988, 149, 167–174. [Google Scholar] [CrossRef]
- Tao, W.; Walter, R.J.; Berns, M.W. Laser-transected microtubules exhibit individuality of regrowth, however most free new ends of the microtubules are stable. J. Cell. Biol. 1988, 107, 1025–1035. [Google Scholar] [CrossRef]
- White, J.G.; Amos, W.B.; Fordham, M. An evaluation of confocal versus conventional imaging of biological structures by fluorescence light microscopy. J. Cell Biol. 1987, 105, 41–48. [Google Scholar] [CrossRef]
- Bruchez, M., Jr.; Moronne, M.; Gin, P.; Weiss, S.; Alivisatos, A.P. Semiconductor nanocrystals as fluorescent biological labels. Science 1998, 281, 2013–2016. [Google Scholar]
- Wang, C.; Shim, M.; Guyot-Sionnest, P. Electrochromic nanocrystal quantum dots. Science 2001, 291, 2390–2392. [Google Scholar] [CrossRef]
- Chan, W.C.; Maxwell, D.J.; Gao, X.; Bailey, R.E.; Han, M.; Nie, S. Luminescent quantum dots for multiplexed biological detection and imaging. Curr. Opin. Biotechnol. 2002, 13, 40–46. [Google Scholar] [CrossRef]
- Gao, X.; Chan, W.C.; Nie, S. Quantum-dot nanocrystals for ultrasensitive biological labeling and multicolor optical encoding. J. Biomed. Opt. 2002, 7, 532–537. [Google Scholar] [CrossRef]
- Gao, X.; Nie, S. Molecular profiling of single cells and tissue specimens with quantum dots. Trends Biotechnol. 2003, 21, 371–373. [Google Scholar] [CrossRef]
- Han, M.; Gao, X.; Su, J.Z.; Nie, S. Quantum-dot-tagged microbeads for multiplexed optical coding of biomolecules. Nat. Biotechnol. 2001, 19, 631–635. [Google Scholar] [CrossRef]
- Pathak, S.; Choi, S.K.; Arnheim, N.; Thompson, M.E. Hydroxylated quantum dots as luminescent probes for in situ hybridization. J. Am. Chem. Soc. 2001, 123, 4103–4104. [Google Scholar] [CrossRef]
- Xiao, Y.; Barker, P.E. Semiconductor nanocrystal probes for human metaphase chromosomes. Nucl. Acid. Res. 2004, 32, e28. [Google Scholar] [CrossRef]
- Matsuno, A.; Itoh, J.; Takekoshi, S.; Nagashima, T.; Osamura, R.Y. Three-dimensional imagings of the intracellular localization of growth hormone and prolactin and their mRNA using nanocrystal (Quantum dot) and confocal laser scanning microscopy techniques. J. Histochem. Cytochem. 2005, 53, 833–838. [Google Scholar] [CrossRef]
- Matsuno, A.; Itoh, J.; Takekoshi, S.; Nagashima, T.; Osamura, R.Y. Two- or three- dimensional imagings of simultaneous visualization of rat pituitary hormone and its mRNA, comparison between electron microscopy and confocal laser scanning microscopy with semiconductor nanocrystals (Quantum dots). Acta Histochem. Cytochem. 2005, 38, 253–256. [Google Scholar] [CrossRef]
- Matsuno, A.; Itoh, J.; Takekoshi, S.; Itoh, Y.; Ohsugi, Y.; Katayama, H.; Nagashima, T.; Osamura, R.Y. Dynamics of subcellular organelles, growth hormone, rab3b, SNAP-25, and syntaxin in rat pituitary cells caused by growth hormone releasing hormone and somatostatin. Microsc. Res. Tech. 2003, 62, 232–239. [Google Scholar] [CrossRef]
- Matsuno, A.; Itoh, J.; Takekoshi, S.; Nagashima, T.; Osamura, R.Y. Functional and morphological analyses of rab proteins and the soluble N-ethylmaleimide-sensitive factor attachment protein receptor (SNARE) system in the secretion of pituitary hormones. Acta Histochem. Cytochem. 2003, 36, 501–506. [Google Scholar] [CrossRef]
- Matsuno, A.; Mizutani, A.; Itoh, J.; Takekoshi, S.; Nagashima, T.; Okinaga, H.; Takano, K.; Osamura, R.Y. Establishment of stable GH3 cell line expressing enhanced yellow fluorescein protein-growth hormone fusion protein. J. Histochem. Cytochem. 2005, 53, 1177–1180. [Google Scholar] [CrossRef]
- Matsuno, A.; Itoh, J.; Mizutani, A.; Takekoshi, S.; Osamura, R.Y.; Okinaga, H.; Ide, F.; Miyawaki, S.; Uno, T.; Asano, S.; et al. Co-transfection of EYFP-GH and ECFP-rab3B in an experimental pituitary GH3 cell: A role of rab3B in secretion of GH through porosome. Folia Histochem. Cytobiol. 2008, 46, 419–421. [Google Scholar] [CrossRef]
- Guitteny, A.F.; Bloch, B. Ultrastructural detection of the vasopressin messenger RNA in the normal and Brattleboro rat. Histochemistry 1989, 92, 277–281. [Google Scholar] [CrossRef]
- Jirikowski, G.F.; Sanna, P.P.; Bloom, F.E. mRNA coding for oxytocin is present in axons of the hypothalamo-neurohypophyseal tract. Proc. Natl. Acad. Sci. USA 1990, 87, 7400–7404. [Google Scholar] [CrossRef]
- Le Guellec, D.; Frappart, L.; Willems, R. Ultrastructural localization of fibronectin mRNA in chick embryo by in situ hybridization using 35S or biotin labeled cDNA probes. Biol. Cell 1990, 70, 159–165. [Google Scholar] [CrossRef]
- Le Guellec, D.; Frappart, L.; Desprez, P.Y. Ultrastructural localization of mRNA encoding for the EGF receptor in human breast cell cancer line BT20 by in situ hybridization. J. Histochem. Cytochem. 1991, 39, 1–6. [Google Scholar] [CrossRef]
- Le Guellec, D.; Trembleau, A.; Pechoux, C.; Gossard, F.; Morel, G. Ultrastructural non-radioactive in situ hybridization of GH mRNA in rat pituitary gland: Preembedding vs. ultrathin frozen sections vs postembedding. J. Histochem. Cytochem. 1992, 40, 979–986. [Google Scholar] [CrossRef]
- Morel, G.; Chabot, J.G.; Gossard, F.; Heisler, S. Is atrial natriuretic peptide synthesized and internalized by gonadotrophs? Endocrinology 1989, 124, 1703–1710. [Google Scholar] [CrossRef]
- Morel, G.; Dihl, F.; Gossard, F. Ultrastructural distribution of growth hormone (GH) mRNA and GH intron 1 sequences in rat pituitary gland: Effects of GH releasing factor and somatostatin. Mol. Cell. Endocrinol. 1989, 65, 81–90. [Google Scholar] [CrossRef]
- Pomeroy, M.E.; Lawrence, J.B.; Singer, R.H.; Billings-Gagliardi, S. Distribution of myosin heavy chain mRNA in embryonic muscle tissue visualized by ultrastructural in situ hybridization. Dev. Biol. 1991, 143, 58–67. [Google Scholar] [CrossRef]
- Singer, R.H.; Langevin, G.L.; Lawrence, J.B. Ultrastructural visualization of cytoskeletal mRNAs and their associated proteins using double-label in situ hybridization. J. Cell. Biol. 1989, 108, 2343–2353. [Google Scholar] [CrossRef]
- Trembleau, A.; Calas, A.; Fevre-Montange, M. Ultrastructural localization of oxytocin mRNA in the rat hypothalamus by in situ hybridization using a synthetic oligonucleotide. Brain Res. Mol. Brain Res. 1990, 8, 37–45. [Google Scholar]
- Webster, H.F.; Lamperth, L.; Favilla, J.T.; Lemke, G.; Tesin, D.; Manuelidis, L. Use of a biotinylated probe and in situ hybridization for light and electron microscopic localization of Po mRNA in myelin-forming Schwann cells. Histochemistry 1987, 86, 441–444. [Google Scholar] [CrossRef]
- Wolber, R.A.; Beals, T.F.; Maassab, H.F. Ultrastructural localization of Herpes simplex virus RNA by in situ hybridization. J. Histochem. Cytochem. 1989, 37, 97–104. [Google Scholar] [CrossRef]
- Escaig-Haye, F.; Grigogiev, V.; Sharova, I.; Rudneva, V.; Buckrinskaya, A.; Fournier, J.G. Ultrastructural localization of HIV-1 RNA and core proteins. Simultaneous visualization using double immunogold labelling after in situ hybridization and immunocytochemistry. J. Submicrosc. Cytol. Pathol. 1992, 24, 437–443. [Google Scholar]
- Egger, D.; Troxier, M.; Bienz, K. Light and electron microscopic in situ hybridization: Non-radioactive labeling and detection, double hybridization, and combined hybridization-immunocytochemistry. J. Histochem. Cytochem. 1994, 42, 815–822. [Google Scholar] [CrossRef]
- Gingras, D.; Bendayan, M. Colloidal gold electron microscopic in situ hybridization: Combination with immunocytochemistry for the study of insulin and amylase secretion. Cell Vision 1995, 2, 218–225. [Google Scholar]
- Morey, A.L.; Ferguson, D.J.P.; Fleming, K.A. Combined immunocytochemistry and non-isotopic in situ hybridization for the ultrastructural investigation of human parvovirus B19 infection. Histochem. J. 1995, 27, 46–53. [Google Scholar] [CrossRef]
- Christian, H.C.; Taylor, A.D.; Flower, R.J.; Morris, J.F.; Buckingham, J.C. Characterization and localization of lipocortin 1-binding sites on rat anterior pituitary cells by fluorescence-activated cell analysis/sorting and electron microscopy. Endocrinology 1997, 138, 5341–5351. [Google Scholar] [CrossRef]
- Harper, C.V.; Featherstone, K.; Semprini, S.; Friedrichsen, S.; McNeilly, J.; Paszek, P.; Spiller, D.G.; McNeilly, A.S.; Mullins, J.J.; Davis, J.R.; et al. Dynamic organisation of prolactin gene expression in living pituitary tissue. J. Cell Sci. 2010, 123, 424–430. [Google Scholar] [CrossRef]
- Lacoste, T.D.; Michalet, X.; Pinaud, F.; Chemla, D.S.; Alivisatos, A.P.; Weiss, S. Ultrahigh-resolution multicolor colocalization of single fluorescent probes. Proc. Natl. Acad. Sci. USA 2000, 97, 9461–9466. [Google Scholar] [CrossRef]
- Michalet, X.; Pinaud, F.; Lacoste, T.D.; Dahan, M.; Bruchez, M.P.; Alivisatos, A.P.; Weiss, S. Properties of fluorescent semiconductor nanocrystals and their application to biological labeling. Single Mol. 2001, 4, 261–276. [Google Scholar]
- Osamura, R.Y.; Egashira, N.; Yamazaki, M.; Miyai, S.; Takekoshi, S.; Kajiwara, H.; Kumai, N.; Umemura, S.; Yasuda, M.; Sanno, N.; et al. Mechanisms for production and secretion of hormones in physiologic and pathologic conditions. Acta Histochem. Cytochem. 2003, 36, 99–103. [Google Scholar] [CrossRef]
- Lledo, P.M.; Vernier, P.; Vincent, J.D.; Mason, W.T.; Zorec, R. Inhibition of Rab3B expression attenuates Ca(2+)-dependent exocytosis in rat anterior pituitary cells. Nature 1993, 364, 540–544. [Google Scholar]
- Mizoguchi, A. Rab3A-RabGDI-Rabphilin-3A system regulating membrane fusion machinery in the synapse and the growth cone. Acta Histochem. Cytochem. 1994, 27, 117–126. [Google Scholar] [CrossRef]
- Tasaka, K.; Masumoto, N.; Mizuki, J.; Ikebuchi, Y.; Ohmichi, M.; Kurachi, H.; Miyake, A.; Murata, Y. Rab3B is essential for GnRH-induced gonadotrophin release from anterior pituitary cells. J. Endocrinol. 1998, 157, 267–274. [Google Scholar] [CrossRef]
- Tahara, S.; Sanno, N.; Teramoto, A.; Osamura, R.Y. Expression of Rab3, a Ras-related GTP-binding protein, in human nontumorous pituitaries and pituitary adenomas. Mod. Pathol. 1999, 12, 627–634. [Google Scholar]
- Hess, D.T.; Slater, T.M.; Wilson, M.C.; Skene, J.H. The 25 kDa synaptosomal-associated protein SNAP-25 is the major methionine-rich polypeptide in rapid axonal transport and a major substrate for palmitoylation in adult CNS. J. Neurosci. 1992, 12, 4634–4641. [Google Scholar]
- Oyler, G.A.; Higgins, G.A.; Hart, R.A.; Battenberg, E.; Billingsley, M.; Bloom, F.E.; Wilson, M.C. The identification of a novel synaptosomal-associated protein, SNAP-25, differentially expressed by neuronal subpopulations. J. Cell Biol. 1989, 109, 3039–3052. [Google Scholar] [CrossRef]
- Bennett, M.K.; Calakos, N.; Scheller, R.H. Syntaxin: A synaptic protein implicated in docking of synaptic vesicles at presynaptic active zones. Science 1992, 257, 255–259. [Google Scholar]
- Calakos, N.; Bennett, M.K.; Peterson, K.E.; Scheller, R.H. Protein-protein interactions contributing to the specificity of intracellular vesicular trafficking. Science 1994, 263, 1146–1149. [Google Scholar]
- Sollner, T.; Bennett, M.K.; Whiteheart, S.W.; Scheller, R.H.; Rothman, J.E. A protein assembly-disassembly pathway in vitro that may correspond to sequential steps of synaptic vesicle docking, activation, and fusion. Cell 1993, 75, 409–418. [Google Scholar] [CrossRef]
- Sollner, T.; Whiteheart, S.W.; Brunner, M.; Erdjument-Bromage, H.; Geromanos, S.; Tempst, P.; Rothman, J.E. SNAP receptors implicated in vesicle targeting and fusion. Nature 1993, 362, 318–324. [Google Scholar]
- Garcia, E.P.; Gatti, E.; Butler, M.; Burton, J.; De Camilli, P. A rat brain Sec1 homologue related to Rop and UNC18 interacts with syntaxin. Proc. Natl. Acad. Sci. USA 1994, 91, 2003–2007. [Google Scholar] [CrossRef]
- Hata, Y.; Slaughter, C.A.; Sudhof, T.C. Synaptic vesicle fusion complex contains unc-18 homologue bound to syntaxin. Nature 1993, 366, 347–351. [Google Scholar]
- Pevsner, J.; Hsu, S.C.; Scheller, R.H. n-Sec1: A neural-specific syntaxin-binding protein. Proc. Natl. Acad. Sci. USA 1994, 91, 1445–1449. [Google Scholar] [CrossRef]
- Pevsner, J.; Hsu, S.C.; Braun, J.E.; Calakos, N.; Ting, A.E.; Bennett, M.K.; Scheller, R.H. Specificity and regulation of a synaptic vesicle docking complex. Neuron 1994, 13, 353–361. [Google Scholar]
- Jacobsson, G.; Meister, B. Molecular components of the exocytotic machinery in the rat pituitary gland. Endocrinology 1996, 137, 5344–5356. [Google Scholar] [CrossRef]
- Salinas, E.; Quintanar, J.L.; Reig, J.A. Immunohistochemical study of Syntaxin-1 and SNAP-25 in the pituitaries of mouse, guinea pig and cat. Acta Physiol. Pharmacol. Ther. Latinoam. 1999, 49, 61–64. [Google Scholar]
- Quintanar, J.L.; Salinas, E. Effect of hypothyroidism on synaptosomal-associated protein of 25 kDa and syntaxin-1 expression in adenohypophyses of rat. J. Endocrinol. Invest. 2002, 25, 754–758. [Google Scholar]
- Tsien, R.Y. The green fluorescent protein. Annu. Rev. Biochem. 1998, 67, 509–544. [Google Scholar] [CrossRef]
- Magoulas, C.; McGuinness, L.; Balthasar, N.; Carmignac, D.F.; Sesay, A.K.; Mathers, K.E.; Christian, H.; Candeil, L.; Bonnefont, X.; Mollard, P.; et al. A secreted fluorescent reporter targeted to pituitary growth hormone cells in transgenic mice. Endocrinology 2000, 141, 4681–4689. [Google Scholar]
- Lee, E.J.; Duan, W.R.; Kotlar, T.; Jameson, J.L. Restoration of growth hormone-releasing hormone (GHRH) responsiveness in pituitary GH3 cells by adenovirus-directed expression of the human GHRH receptor. Endocrinology 2001, 142, 414–420. [Google Scholar] [CrossRef]
- He, Z.; Fernandez-Fuente, M.; Strom, M.; Cheung, L.; Robinson, I.C.; Le Tissier, P. Continuous on-line monitoring of secretion from rodent pituitary endocrine cells using fluorescent protein surrogate markers. J. Neuroendocrinol. 2011, 23, 197–207. [Google Scholar] [CrossRef]
© 2011 by the authors; licensee MDPI, Basel, Switzerland. This article is an open access article distributed under the terms and conditions of the Creative Commons Attribution license ( http://creativecommons.org/licenses/by/3.0/).
Share and Cite
Matsuno, A.; Mizutani, A.; Okinaga, H.; Takano, K.; Yamada, S.; Yamada, S.M.; Nakaguchi, H.; Hoya, K.; Murakami, M.; Takeuchi, M.; et al. Molecular Morphology of Pituitary Cells, from Conventional Immunohistochemistry to Fluorescein Imaging. Molecules 2011, 16, 3618-3635. https://doi.org/10.3390/molecules16053618
Matsuno A, Mizutani A, Okinaga H, Takano K, Yamada S, Yamada SM, Nakaguchi H, Hoya K, Murakami M, Takeuchi M, et al. Molecular Morphology of Pituitary Cells, from Conventional Immunohistochemistry to Fluorescein Imaging. Molecules. 2011; 16(5):3618-3635. https://doi.org/10.3390/molecules16053618
Chicago/Turabian StyleMatsuno, Akira, Akiko Mizutani, Hiroko Okinaga, Koji Takano, So Yamada, Shoko M. Yamada, Hiroshi Nakaguchi, Katsumi Hoya, Mineko Murakami, Masato Takeuchi, and et al. 2011. "Molecular Morphology of Pituitary Cells, from Conventional Immunohistochemistry to Fluorescein Imaging" Molecules 16, no. 5: 3618-3635. https://doi.org/10.3390/molecules16053618
APA StyleMatsuno, A., Mizutani, A., Okinaga, H., Takano, K., Yamada, S., Yamada, S. M., Nakaguchi, H., Hoya, K., Murakami, M., Takeuchi, M., Sugaya, M., Itoh, J., Takekoshi, S., & Osamura, R. Y. (2011). Molecular Morphology of Pituitary Cells, from Conventional Immunohistochemistry to Fluorescein Imaging. Molecules, 16(5), 3618-3635. https://doi.org/10.3390/molecules16053618
