In Vitro Antioxidant Activity and Hepatoprotective Effects of Lentinula edodes against Paracetamol-Induced Hepatotoxicity
Abstract
:1. Introduction
2. Results and Discussion
2.1. DPPH scavenging assay and EC50 determination
2.2. Total phenolic content
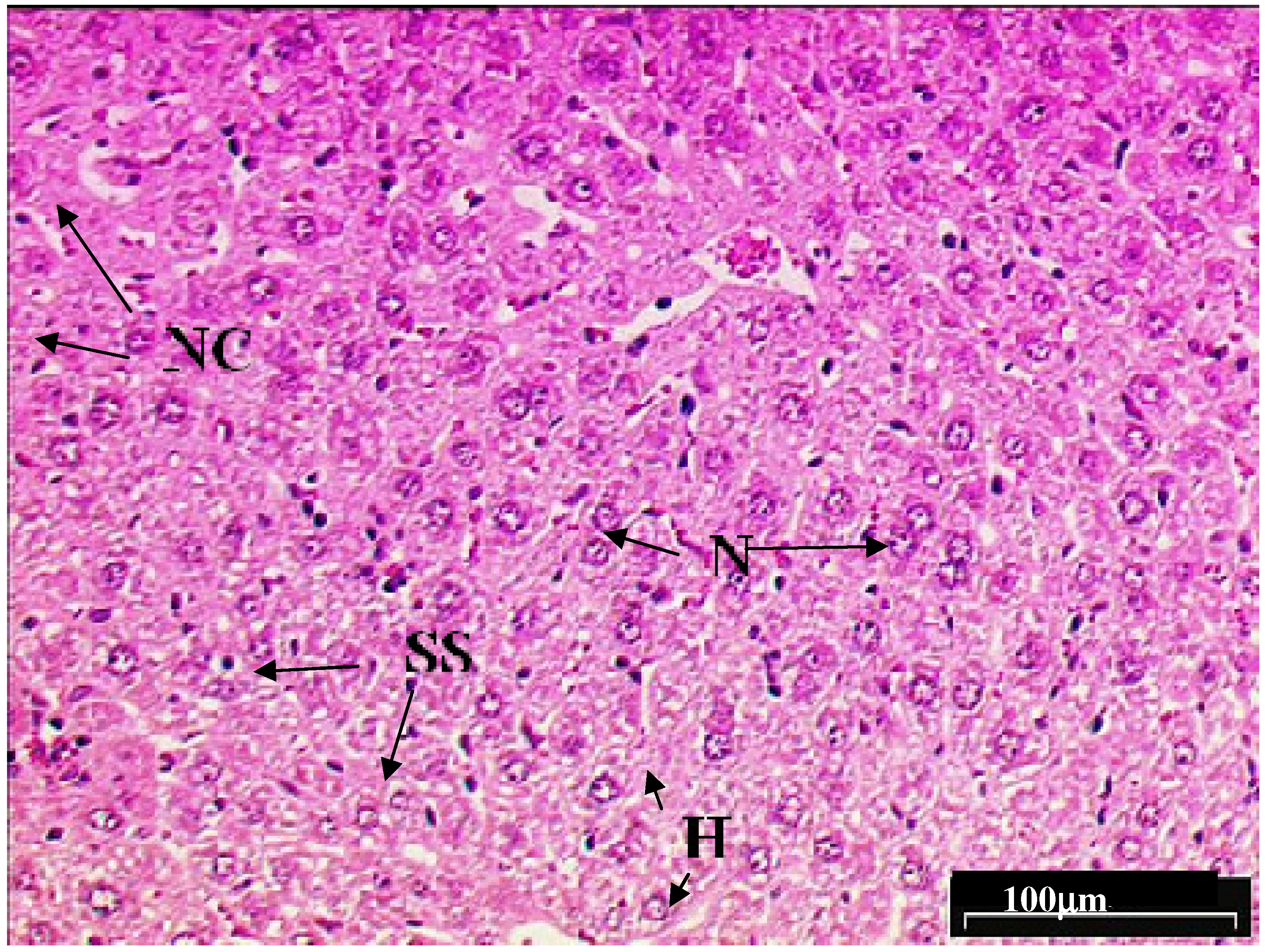
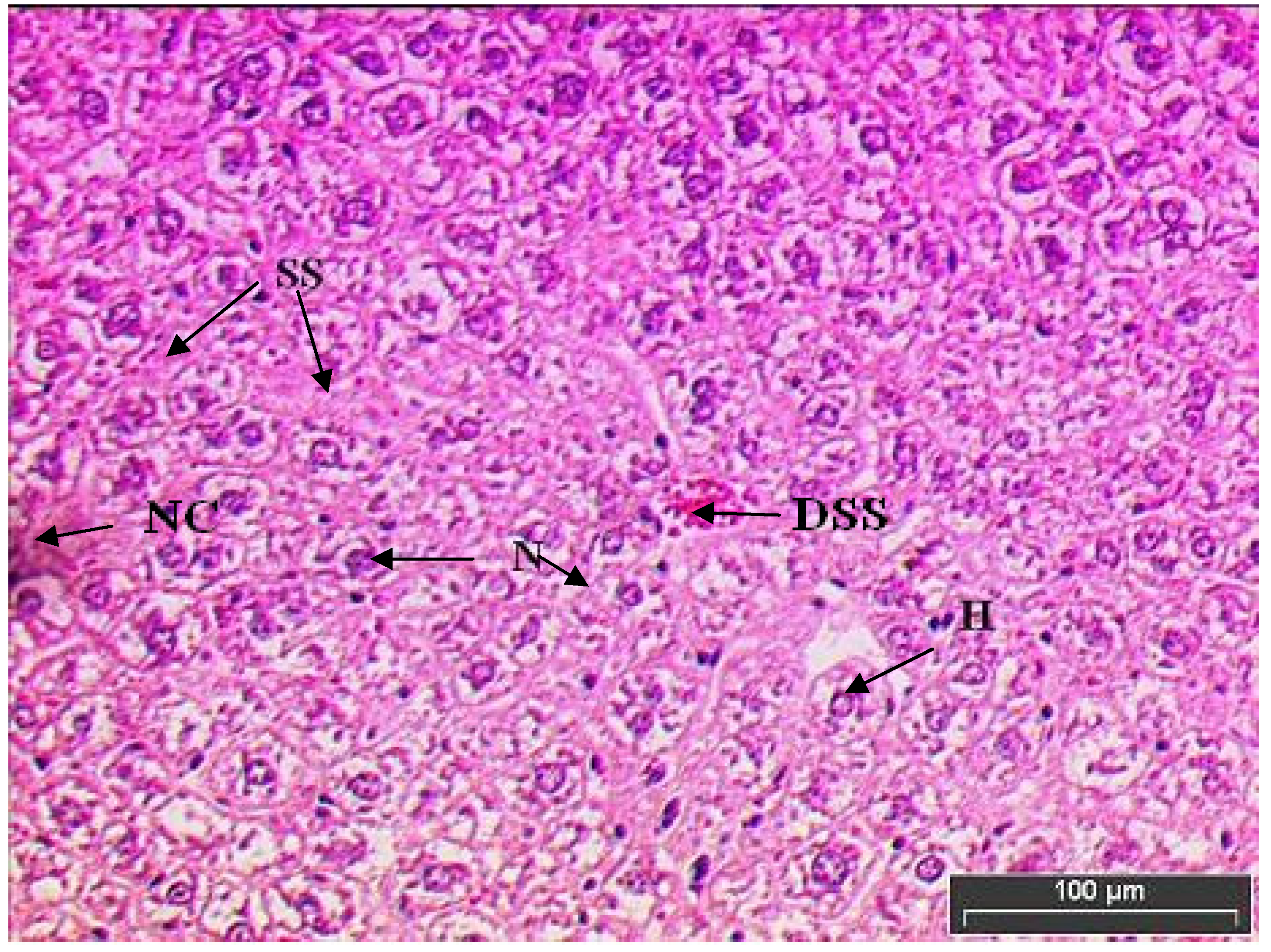
2.3. Hepatoprotective activity of L. edodes methanolic extract
2.4. Liver marker enzymes and bilirubin content
3. Experimental
3.1. Mushroom material
3.2. Extraction of L. Edodes
3.3. Antioxidant activity assays
3.4. EC50 determination
3.5. Determination of total phenolic content
3.6. Hepatoprotective activity of L. edodes extract
3.6.1. Animals
3.6.2. Paracetamol dose regimen
3.6.3. Grouping of mice and treatments
3.6.4. Sacrifice and organ harvesting
3.6.5. Biochemical parameters
3.7. Statistical analysis
4. Conclusions
References
- Manzi, L.; Marconi, G.S.; Vivanti, V.; Pizzoferrato, L. Nutrients in edible mushrooms: an inter- species comparative study. Food Chem. 1999, 65, 477–482. [Google Scholar] [CrossRef]
- Yang, J.H.; Linb, H.C.; Maub, J.L. Antioxidant properties of several commercial mushrooms. Food Chem. 2002, 77, 229–235. [Google Scholar] [CrossRef]
- Borchers, A.T.; Stern, J.S.; Hackman, R.M.; Keen, C.L.; Gershwin, M.E. Mushrooms, tumors, and immunity. Proc. Soc. Exp. Biol. Med. 1999, 221, 281–293. [Google Scholar] [CrossRef] [PubMed]
- Hobbs, C.H. An Exploration of Tradition, Healing and Culture. In Medicinal Mushrooms; Michael, M., Ed.; Botanica Press: Redondo Beach, CA, USA, 2003. [Google Scholar]
- Ooio, V.E.; Liu, F. A review of pharmacology activities of mushroom polysaccharides. Int. J. Med. Mushrooms 1999, 1, 195–206. [Google Scholar] [CrossRef]
- Halliwell, B.; Gutteridge, J.M.C. Oxygen toxicity, oxygen radicals, transition metals and disease. Biochem. J. 1984, 219, 1–4. [Google Scholar] [CrossRef] [PubMed]
- Barros, L.; Baptista, P. Ferreira ICFR: Effect of Lactarius piperatus fruiting body maturity stage on antioxidant activity measured by several biochemical assays. Food. Chem. Toxicol. 2007a, 45, 1731–1737. [Google Scholar] [CrossRef] [PubMed]
- Lee, Y.L.; Jian, S.Y.; Lian, P.Y.; Mau, J.L. Antioxidant properties of extracts from a white mutant of the mushroom Hypsizigus marmoreus. J. Food Compos. Anal. 2008, 21, 116–124. [Google Scholar] [CrossRef]
- Ramesh, Ch.; Pattar, M.G. Antimicrobial properties, antioxidant activity and bioactive compounds from six wild edible mushrooms of western ghats of Karnataka, India. Phcog. Res. 2010, 2, 107–112. [Google Scholar] [PubMed]
- Kitzberger, C.S.G.; Smânia, A., Jr.; Pedrosa, R.C.; Ferreira, S.R.S. Antioxidant and antimicrobial activities of shiitake (Lentinula edodes) extracts obtained by organic solvents and supercritical fluids. J. Food Eng. 2007, 80, 631–638. [Google Scholar] [CrossRef]
- Cheung, L.M.; Cheung, P.C.K. Mushroom extracts with antioxidant activity against lipid oxidation. Food Chem. 2005, 89, 403–409. [Google Scholar] [CrossRef]
- Wong, J.Y.; Chye, F.Y. Antioxidant properties of selected tropical wild edible mushrooms. J. Food Compos. Anal. 2009, 22, 269–277. [Google Scholar] [CrossRef]
- Velioglu, Y.S.; Mazza, G.; Gao, L.; Oomah, B.D. Antioxidant activity and total phenolics in selected fruits, vegetables, and grain products. J. Agric. Food Chem. 1998, 46, 4113–4117. [Google Scholar] [CrossRef]
- Hamel, J.C.; Goujon, M.; Aldigier, C.E.; Touchard, G.; Cogne, M. The survival of hematopoietic cells and hepatocytes in mice. J. Blood 2006, 108, 536–543. [Google Scholar]
- Kumar, G.; Banu, G.S.; Pappa, P.V.; Sundararajan, M.; Pandian, M.R. Hepatoprotective activity of Trianthema portulacastrum L. against paracetamol and thioacetamide intoxication in albino rats. J. Ethnopharmacol. 2004, 92, 37–40. [Google Scholar] [CrossRef] [PubMed]
- Plaa, G.L.; Hewitt, W.R. Detection and evaluation of chemical induced liver injury. In Principles and Methods of Toxicology; Hayes, A.W., Ed.; Raven Press: New York, NY, USA, 1982; p. 407. [Google Scholar]
- Jayakumar, T.; Ramesh, E.; Geraldine, P. Antioxidant activity of the oyster mushroom, Pleurotus ostreatus, on CCl4-induced liver injury in rats. Food Chem. Toxicol. 2006, 44, 1989–1996. [Google Scholar] [CrossRef] [PubMed]
- Uboh, F.E.; Ebong, P.E.; Umoh, I.B. Comparative hepatoprotective effect of vitamins A and E against gasoline vapor toxicity in male and female rats. Gastroenterol Res. 2009, 2, 295–302. [Google Scholar] [CrossRef] [PubMed]
- Wasser, S.P. Shiitake (Lentinus edodes). In Encyclopedia of Dietry Supplement; Marcel Dekker: New York, NY, USA, 2005; pp. 653–664. [Google Scholar]
- Sasidharan, S.; Darah, I.; Jain, N.M.K.M. Free radical Scavenging Activity and Total Phenolic Compounds of Gracilaria changii. Int. J. Nat. Eng. Sci. 2007, 1, 115–117. [Google Scholar]
- Aderogba, M.A.; Okoh, E.K.; Adelanwa, T.A.; Obuotor, E.M. Antioxidant properties of the Nigerian Piliostigma species. J. Biol. Sci. 2004, 4, 501–503. [Google Scholar]
- Singleton, V.L.; Rossi, J.A., Jr. Colorimetric of total phenolics with phosphomolybdic- phosphotungstic acid reagents. Am. J. Enol. Viticult. 1965, 16, 144–158. [Google Scholar]
- Zimmerman, M. Ethical guidelines for investigation of experimental pain in conscious animal. Pain 1983, 16, 109–110. [Google Scholar] [CrossRef]
- Rao, P.G.; Rao, G.; Ramnarayan, K.; Srinivasan, K.K. Effect of hepatogard on paracetamol- induced liver injury in male albino rats. Indian Drugs 1993, 30, 41–46. [Google Scholar]
- da Rocha, R.P.; de Miranda Paquola, A.C.; do Valle Marques, M.; Menck, C.F.M.; Galhardo, R.S. Characterization of the SOS Regulon of Caulobacter crescentus. J. Bacteriol. 2008, 190, 1209–1218. [Google Scholar] [CrossRef] [PubMed]
- Bergmeyer, H.U.; Bernt, E. Colorimetric assay of Reitman and Frankel. In Methods of Enzymatic Analysis; Bergmeyer, H.U., Ed.; Verlag Chemie Weinheim, Academic Press: New York, NY, USA, 1974; Volume 2, pp. 735–764. [Google Scholar]
- Kind, P.R.N.; King, E.J. Estimation of plasma phosphatase by determination of hydrolysed phenol with antipyrin. J. Clin. Pathol. 1954, 7, 322–330. [Google Scholar] [CrossRef] [PubMed]
- Malloy, H.T.; Evelyn, K.A. The determination of bilirubin with the photochemical colorimeter. J. Biol. Chem. 1937, 119, 481–490. [Google Scholar]
Sample Availability: Samples of the compounds are available from the authors. |




| Parameters | Control | Induced | Treatment |
|---|---|---|---|
| SGOT (IU/L) | 45.1 ± 5.4 | 118.4 ± 11.3** | 55.13± 6.3* |
| SGPT (IU/L) | 27.3 ± 4.1 | 81.2 ± 5.3** | 30.6 ± 4.7* |
| ALP (Units/L) | 51.1 ± 4.9 | 129.3 ± 7.3** | 58.4 ± 6.2* |
| Bilirubin (mg/L) | 1.4 ± 0.4 | 9.9 ± 3.4** | 2.8 ± 2.4* |
| GROUPS | TREATMENTS |
|---|---|
| Control | 1mL/kg of saline of per body weight |
| Induced | 1g/kg of paracetamol per body weight |
| Treatment | 1g/kg of paracetamol + 200 mg/kg of extract per body weight |
© 2010 by the authors; licensee MDPI, Basel, Switzerland. This article is an Open Access article distributed under the terms and conditions of the Creative Commons Attribution license (http://creativecommons.org/licenses/by/3.0/).
Share and Cite
Sasidharan, S.; Aravindran, S.; Latha, L.Y.; Vijenthi, R.; Saravanan, D.; Amutha, S. In Vitro Antioxidant Activity and Hepatoprotective Effects of Lentinula edodes against Paracetamol-Induced Hepatotoxicity. Molecules 2010, 15, 4478-4489. https://doi.org/10.3390/molecules15064478
Sasidharan S, Aravindran S, Latha LY, Vijenthi R, Saravanan D, Amutha S. In Vitro Antioxidant Activity and Hepatoprotective Effects of Lentinula edodes against Paracetamol-Induced Hepatotoxicity. Molecules. 2010; 15(6):4478-4489. https://doi.org/10.3390/molecules15064478
Chicago/Turabian StyleSasidharan, Sreenivasan, Sugumaran Aravindran, Lachimanan Yoga Latha, Ratnasamy Vijenthi, Dharmaraj Saravanan, and Santhanam Amutha. 2010. "In Vitro Antioxidant Activity and Hepatoprotective Effects of Lentinula edodes against Paracetamol-Induced Hepatotoxicity" Molecules 15, no. 6: 4478-4489. https://doi.org/10.3390/molecules15064478
APA StyleSasidharan, S., Aravindran, S., Latha, L. Y., Vijenthi, R., Saravanan, D., & Amutha, S. (2010). In Vitro Antioxidant Activity and Hepatoprotective Effects of Lentinula edodes against Paracetamol-Induced Hepatotoxicity. Molecules, 15(6), 4478-4489. https://doi.org/10.3390/molecules15064478
