You are currently viewing a new version of our website. To view the old version click .
Molecules
  • Article
  • Open Access

17 November 2009

Synthesis of Pregnane Derivatives, Their Cytotoxicity on LNCap and PC-3 Cells, and Screening on 5α-Reductase Inhibitory Activity

and
College of Pharmacy, Catholic University of Daegu, Hayang, 712-702, Korea
*
Author to whom correspondence should be addressed.

Abstract

A series of epoxy- and/or 20-oxime pregnanes were synthesized from commercially available pregnenolone. Compounds 1, 3, 7, 8 and 11-13 were evaluated for cytotoxicity activity towards LNCaP (androgen-dependent) and PC-3 (androgen-independent) prostate cancer cells. Compound 13 showed the highest activity on both LNCaP (IC50 15.17 μM) and PC-3 (IC50 11.83 μM) cell lines. Compound 11 showed weak activity on LNCaP cells (IC 50 71.85 μM) and 8 showed the weak activity on PC-3 cells (IC50 68.95 μM), respectively. The 5α-reductase II (5AR2) inhibitory effects of compounds 1-3, 5 and 7-13 were investigated in a convenient screening model, in which compounds 5, 8, 11 and 12 were observed to be potential inhibitors of 5α-reductase, in particular, the 4-azasteroid 11, that also inhibited cell proliferation of androgen-dependent cells and 8, that in addition inhibited PC-3 cells more potently than LNCaP cells.

1. Introduction

Testosterone (T) and dihydrotestosterone (DHT) play a key role in the maintenance of cell proliferation in the prostate gland. The enzyme steroid 5α-reductase (5AR) catalyzes the NADPH-dependent reductive conversion of T to DHT. The deficiency of 5AR in males results in an incomplete differentiation of external genitalia at birth [1]. On the other hand, abnormally high 5AR activity in humans results in excessively high DHT levels in peripheral tissues, which is implicated in the pathogenesis of prostate cancer, benign prostatic hyperplasia (BPH), acne and male pattern baldness [2]. It is presently recognized that there are two genes encoding two distinct isozymes of 5AR that are differentially expressed in human tissues and referred to as type 1 5AR (5AR1) and type 2 5AR (5AR2) [3,4,5]. Although 5AR1 is predominantly expressed in the skin and liver, 5AR2 is mainly expressed in prostate, seminal vesicles, liver and epididymis [6].
Various steroidal [7,8,9] and non-steroidal [10,11] inhibitors have been synthesized and tested against 5AR. Of these, finasteride (PROSCAR®), a type II-selective 5α-reductase inhibitor, was the first 5AR inhibitor approved in the USA for the treatment of BPH and prostate cancer. Finasteride was also reported to reduce the proliferation rate in vitro of DU145 and PC-3 prostate cancer cell lines, although several reports in the literature classified them as being “hormone-independent” [12]. Bologna reported that the growth rate of the LNCap cell line can be dose-dependently inhibited by a 5α-reductase inhibitor (finasteride) and antiandrogens (cuproterone and hydroxyflutamide) under culture conditions with 5% FCS DMEM; on the other hand, growth of these cells is only modestly stimulate by T and by DHT when those hormones are added under the same culture conditions [13]. However, finasteride is slow acting and produces side effects affecting sexual function [14,15]. It has also been demonstrated that dutasteride acts as a 5AR1 and 5AR2 inhibitor and blocks the activation of the androgen receptor with the consequences of decreased proliferation and increased death of LNCaP cells [16], but is unresponsive on androgen-independent PC-3 cells [17].
Some steroidal 20-oximes were reported as dual inhibitors of P450 17 (17α-hydroxylase/C17,20-lyase) and 5α-reductase [7,18]. 3-Acetoxy-5α,6α-epoxyprognan-16-ene-20-one, which doesn’t have a double bond in the A or B rings [19], and 6α,7α-epoxy progesterone [8], showed a higher 5AR inhibitory activity than finasteride. Some steroidal epoxy compounds have been used as important intermediates to synthesize potent inhibitors of 5α-reductase, since their facile ring opening allows the introduction of various functionalities in a stereospecific manner [20].
On the basis of the facts described in these references and in order to obtain the skeleton structure required for 5AR inhibitory activity, we describe here the synthesis of some 20-oximes and/or epoxy pregnane, pregnene and pregnadiene derivatives, their in-vitro cytotoxicity on LNCaP (androgen-dependent) and PC-3 (androgen-independent) prostate cancer cells, and the screening test results as potential inhibitors of 5AR2.

2. Results and Discussion

2.1. Synthesis of steroidal compounds

The synthesis of the eight 5,6-epoxy- and/or 20-oxime pregnane or pregnene derivatives is shown in Scheme 1. Pregnenolone was reacted with m-chloroperoxybenzoic acid (mCPBA) to form 5α,6α-epoxy-3β-hydroxypregnan-20-one (1). The α-epoxide stereochemistry of compound 1 was confirmed by irradiation of H-6 (2.92 ppm), which showed a NOE to the C-19 methyl protons (1.06 ppm) in the 1D-NOESY spectrum. Compound 1 was quantitatively converted to the 20-oxime analog 2 using hydroxylamine.
Scheme 1. Synthesis of 5,6-epoxy- and/or 20-oxime derivatives.
Pregnenolone was also further reacted with acetic anhydride to give 3β-acetoxy-5-pregnen-20-one (3), which was reacted with mCPBA to afford a 1:1 mixture of 5α,6α- and 5β,6β-epoxy-3β-acetoxypregnan-20-one (4a and 4b). The α- or β-configurations of the 5,6-epoxy group of 4a and 4b were identified by irradiation of H-6 (3.10 and 2.91 ppm) which resulted in a NOE to the C-19 methyl protons (1.08 ppm) in the 1D-NOESY spectrum. The 1D-NOESY spectrum showed that only H-6 (3.10 ppm) was correlated with the C-19 methyl protons. Consequently, this compound was determined as 5α,6α-epoxy-3β-acetoxypregnan-20-one (4a) and the other H-6 proton (2.91 ppm) did not show the correlation, it was identified as 5β,6β-epoxy compound 4b. Compound 3 was reacted with hydroxylamine to give 3β-acetoxy-20-hydroxyimino-5-pregnen-20-one (5), which was reacted with mCPBA to produce a mixture of 5α,6α- and 5β,6β-epoxy-3β-acetoxy-20-hydroxyiminopregnan-20-ones (6a and 6b).
The synthesis of the 4-azasteroid 11 is shown in Scheme 2. Pregnenolone was reacted with hydroxylamine to give 3β-hydroxy-20-hydroxyiminopregnenolone (7), which was oxidized with aluminum isopropoxide in cyclohexanone to yield 20-hydroxyimino-4-pregnene-3,20-dione (8) by Oppenauer oxidation. Compound 8 was oxidized with 2,3-dichloro-5,6-dicyano-1,4-benzoquinone (DDQ) to form 20-hydroxyimino-1,4-pregnadiene-3,20-dione (9) by a reported method [21]. Ring cleavage of 8 by KMnO4 and NaIO4 gave 20-hydroxyimino-5-oxo-A-nor-3,5-secopregnan-3-oic acid (10), which was cyclized with ammonium acetate to yield 4-aza-20-hydroxyimino-5-pregnene-3,20-dione (11). The structure assignment of 10 was made by the disappearance of the double bond proton (H-4) in the corresponding 1H-NMR spectrum and by the appearance of two carbonyl carbons (214.7 and 209.2 ppm) in the 13C-NMR spectrum. 4-Azasteroid 11 was identified by observing a double bond proton (H-6, 4.82 ppm) and an NH proton (7.41 ppm) in the 1H-NMR spectrum and one carbonyl carbon (209.3 ppm) in the 13C-NMR spectrum. 1,4,6-Pregnatriene-3,17-dione (12) was synthesized from pregnenolone with DDQ and then reacted with 30% H2O2 in 5% NaOH-MeOH to give 1α,2α-epoxy-4,6-pregnadiene-3,17-dione (13), stereoselectively. The α-epoxy configuration of the 1,2-epoxy group in 13 was determined from the 1D-NOESY spectrum, where irradiation of the H-1 proton (4.16 ppm) showed an NOE to 19-CH3 (1.19 ppm).
Scheme 2. Synthesis of 4-azasteroid 11 and unsaturated steroid derivatives.

2.2. MTT test

Human prostate carcinoma cell lines have been available since 1977 and represent a good experimental model to assess new hormonal therapies [12]. Charcoal stripped-dextran treated heat inactivated 10% FBS was used for these assays to remove the endogeneous steroids.
We assessed the cytotoxicity of synthesized compounds 1, 3, 7, 8 and 11-13 on LNCap (androgen-dependent) and PC-3 (androgen-independent) cancer cells. (Figure 1 and Figure 2) As shown in Figure 1, the 4-azasteroid 11 showed a dose dependently inhibitory effect on LNCaP cell and also exerted a higher cytotoxicity effect than finasteride, but 8 inversely inhibited the cell proliferation of PC-3 cell. 1,2-Epoxy compound 13 showed the highest cytotoxicity on both LNCaP (IC50 15.17 μM) and PC-3 (IC50 11.83 μM) cells. (Table 1) We thought that the cytotoxicity ability of 13 was due to epoxy ring especially on 1,2-position of steroid structure independent of cell type.
Figure 1. Cytotoxicity of F (finasteride) and 1, 3, 7, 8, 11-13 on LNCaP cells.
Figure 2. Cytotoxicity of F (finasteride) and 1, 3, 7, 8, 11-13 on PC-3 cells.
Table 1. The IC50 values of synthesized compounds on LNCaP and PC-3 cells.

2.3. Screening test of 5α-reductase II inhibitory activity

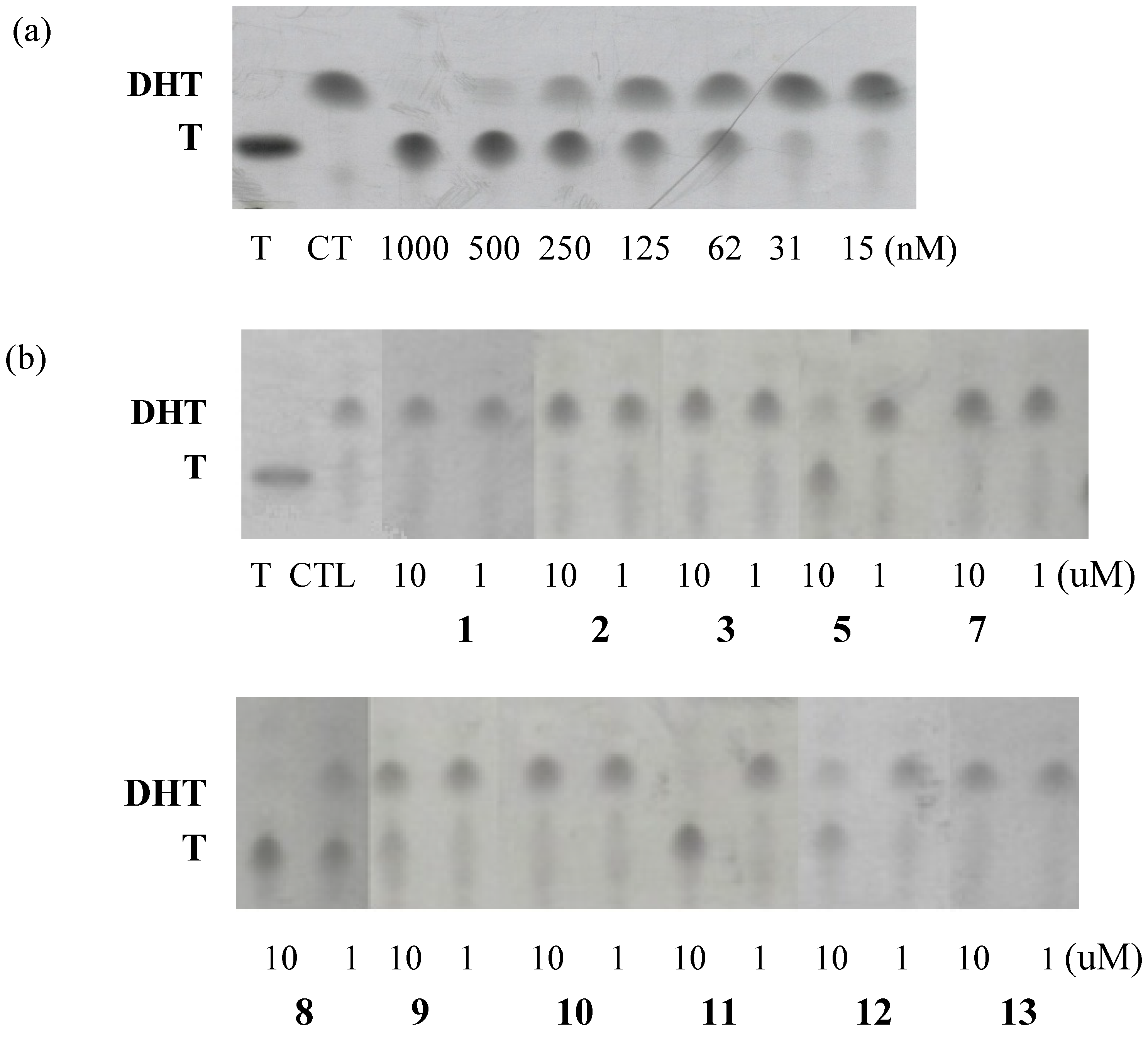
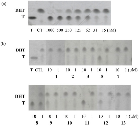
This purpose of this experiment is to obtain preliminary data on the 5AR2 inhibitory activity of the synthetic compounds. Jang et al. [22] reported that the HEK293 cells were stably transfected with 5AR2 and they suggested RT-PCR data to validate that the stable transfection has been achieved. They determined that 10 μg of stable cell extract completely converted 1 μCi of T into DHT in an in vitro enzymatic assay. We used this convenient screening method to observe the 5α-reductase inhibitory activities of compounds 1, 2, 3, 5 and 7-13. As shown in Figure 3, 3β-acetoxy-20-hydroxyimino-5-pregnen-20-one (5), 20-hydroxyimino-5-pregnen-20-one (8), 4-aza-20-hydroxyimino-5-pregnene-3,20-dione (11) and 1,4,6-pregnatriene-3,20-dione (12) showed potential 5α-reductase inhibitory activity. None of the 3-hydroxy pregnene and pregnadiene derivatives showed any inhibitory activity.
Figure 3. Data of type II 5α-reductase inhibitory activity of finasteride (a) and synthetic compounds (b). Ten micrograms of stable cell extracts was incubated with 1 μCi [3H]testosterone and synthetic compounds (1 μM and 10 μM) for 1 hr. T, testosterone; DHT, 5α-dihydrotestosterone.
The inhibitory mechanism of enone compounds 8 and 12 towards the enzyme 5α-reductase can be generally explained by the fact that 5AR forms an enzyme-steroid activated complex in the first step and the nucleophilic portion of the enzyme attacks their double bond instead of testosterone in a Michael type addition reaction and NADPH subsequently donates a hydrogen to the C-5 position of the compounds [1]. It is assumed that the carbonyl group of the 3-acetoxy substituent of 5 and the 3-carbonyl group of 11 bind to the enzyme and then next step is same as that of the enones. However all tested compounds showed lower activity than finasteride, therefore a substituent at the C-20 position more bulky than an oxime group seems to be required. Consequently, the carbonyl group at the C-3 position, a substituted oxime at the C-20 position and an unsaturated bond in the A and/or B rings of the pregnane skeleton seem to be important for 5α-reductase inhibitory activity. Compound 8 is more active than the 4-azasteride analog 11, consequently we don’t think that 4-azasteride is a necessary feature for activity. Compound 11 also showed cytotoxicity on androgen-dependent LNCaP cells, therefore the cytotoxicity of this compound was seems to relate with the androgens.

3. Experimental

3.1. General

All non-aqueous reactions were performed under a dry atmosphere of nitrogen. The commercial reagents were purchased from Aldrich, Fluka, or Sigma. Solvents were purified and dried prior to use. Melting points was measured on Thomas-Hoover melting point apparatus and not corrected. 1H-, 13C- NMR and NOESY spectra were taken on a Varian 400 MHz spectrometer in DMSO-d6, D2O or CDCl3. Chemical shifts (δ) are in parts per million (ppm) relative to tetramethylsilane, and coupling constants (J) are in Hertz. IR spectra were determined on a Jasco FT-IR 300E spectrometer as KBr pellets. GC/MS spectra were obtained on Shimadzu QP 5050 and JEOL GC Mate 2 mass spectrometer. MPLC was performed on Yamazen YFLC-AI and an analytical TLC was performed on pre-coated silica gel 60 F254 plates (Merck). Solvent systems for TLC were ethyl acetate/n-hexane mixtures and 10% MeOH in methylene chloride. Column chromatography was carried out on Merck silica gel 9385 (230-400 mesh) and eluted with ethyl acetate/n-hexane mixtures.
5α,6α-Epoxy-3β-hydroxypregnan-20-one (1): 5-Pregnen-3β-ol-20-one (500 mg, 1.58 mmol) and mCPBA (818.0 mg, 4.74 mmol) were dissolved in chloroform (50 mL) and stirred at room temperature for 24 hours. The reaction mixture was diluted with H2O and washed with aqueous FeSO4, saturated NaHCO3, H2O and the aqueous layer extracted with dichloromethane. The organic layer was dried with anhydrous MgSO4, filtered and evaporated to give the crude compound, which was purified by column chromatography (ethyl acetate/n-hexane = 1:1) to give 440 mg (84%) of the pure white product 1. m.p : 176-179 °C, 1H-NMR (CDCl3) δ: 3.87-3.96 (1H, m, 3-H), 2.92 (1H, d, J = 4.4 Hz, 6-H), 2.50 (1H, t, J = 8.8 Hz, 17-H), 2.11 (3H, s, 21-CH3), 1.06 (3H, s, 19-CH3), 0.56 (3H, s, 18-CH3); 13C-NMR (CDCl3) δ: 209.5 (20-C=O), 68.6 (5-C), 65.7 (3-C), 63.4 (17-C), 59.1 (6-C), 57.0, 43.9, 42.5, 39.8, 38.5, 34.9, 32.4, 31.6, 31.0, 29.9, 28.7, 24.2, 22.7, 20.7, 15.9, 13.2; GC-mass (EI) m/z : 332 (M)+, 314 (M+1-H2O)+; IR (cm-1): 3441 (3-O-H), 1702 (20-C=O).
5α,6α-Epoxy-3β-hydroxy-20-hydroxyiminopregnan-20-one (2): Compound 1 (300 mg, 0.90 mmol) was dissolved in ethanol (5 mL) and hydroxylamine hydrochloride (100.8 mg, 1.44 mmol) and pyridine (0.15 mL) were added and the mixture was refluxed at 130 °C for 2 hours. The reaction mixture was diluted with H2O and extracted with dichloromethane. The organic layer was dried with anhydrous MgSO4, filtered, and evaporated to give crude product, which was recrystallized with ethyl acetate and n-hexane to give 290 mg (93%) of the pure white product 2, m.p : 144-147 °C, 1H-NMR (DMSO-d6) δ: 10.35 (1H, s,=NOH), 4.55 (1H, br s, 3-OH), 3.91 (1H, d, J = 2.4 Hz, 6-H), 3.77-3.81 (1H, m, 3-H), 1.72 (3H, s, 21-CH3), 1.13 (3H, s, 19-CH3), 0.55 (3H, s, 18-CH3); 13C-NMR (DMSO-d6) δ:155.8 (20-C=NOH), 75.2 (5-C), 66.2 (3-C), 65.3 (6-C), 56.8 (17-C), 55.0, 45.1, 44.0, 41.9, 39.2, 39.0, 35.8, 33.2, 31.5, 30.8, 24.4, 23.3, 21.3, 18.5, 15.9, 13.9; GC-mass (EI) m/z : 348 (M+1)+, 330 (M+1-H2O)+; IR (cm-1) : 3401 (O-H), 1640 (C=N).
3β-Acetoxy-5-pregnen-20-one (3): 5-Pregnen-3β-ol-20-one (pregnenolone, 1 g, 3.16 mmol) was dissolved in acetic anhydride (20 mL) and phosphoric acid. The reaction mixture was stirred for 1 hour at room temperature and evaporated to remove acetic anhydride to give crude oily product, which was diluted with H2O. The reaction mixture was neutralized with saturated NaHCO3 (aq.) and extracted with dichloromethane. The organic layer was dried with anhydrous MgSO4, filtered, and evaporated to give crude product, which was purified by column chromatography (ethyl acetate/n-hexane = 1:1) to give 960 mg (85%) of pure white product 3, m.p : 147-149 °C,1H-NMR (CDCl3) δ: 5.38 (1H, d, J = 4.8 Hz, 6-H), 4.56-4.65 (1H, m, 3-H), 2.54 (1H, t, J = 9.0 Hz, 17-H), 2.13 (3H, s, 21-CH3), 2.04 (3H, s, -COCH3), 1.02 (3H, s, 19-CH3), 0.63 (3H, s, 18-CH3); 13C-NMR (CDCl3) δ : 209.6 (20-C=O), 170.6 (3-OCOCH3), 139.7 (5-C), 122.3 (6-C), 73.8 (3-C), 63.7 (17-C), 56.8, 49.9, 44.0, 38.8, 38.1, 37.0, 36.6, 31.8, 31.7, 31.6, 27.7, 24.5, 22.8, 21.4, 21.0, 19.3, 13.2, GC-mass (EI) m/z: 359 (M+1)+, 298 (M-CH3COOH +, IR (cm-1) : 1728 (20-C=O), 1704 (3-C=O).
3β-Acetoxy-5α,6α-epoxypregnan-20-one (4a) and 3β-acetoxy-5β,6β-epoxypregnan-20-one (4b): 3β-Acetoxy-5-pregnen-20-one (3, 100 mg, 0.28 mmol) and mCPBA (145 mg, 0.84 mmol) were dissolved in chloroform (10 mL) and the reaction mixture was stirred at room temperature for 24 hours. The reaction mixture was treated as the same method of compound 1. The crude compound was purified by column chromatography (ethyl acetate/n-hexane = 1:5), giving 56 mg (53%) of a mixture of 4a and 4b. Compound 4a: 1H-NMR (CDCl3) δ: 4.90-5.00 (1H, m, 3-H), 3.10 (1H, d, J = 1.8 Hz, 6-H), 2.09 (3H, s, 21-CH3), 2.01 (3H, s, 3-COCH3), 1.01 (3H, s, H-19), 0.57 (3H, s, 18-CH3), 13C-NMR (CDCl3) δ: 208.4 (20-C=O), 170.9 (3-OCOCH3), 71.3 (5-C), 63.4 (3-C), 56.6 (6-C), 56.2 (17-C), 50.9, 42.4, 38.0, 36.7, 36.1, 32.4, 32.1, 29.7, 27.2, 24.4, 22.8, 22.7, 21.9, 21.3, 20.6, 13.2, 13.1; Compound 4b: 1H-NMR (CDCl3) δ: 4.72-4.82 (1H, m, 3-H), 2.91 (1H, d, J = 3.6 Hz, 6-H), 2.10 (3H, s, 3-COCH3), 2.03 (3H, s, 21-CH3), 1.08 (3H, s, H-19), 0.60 (3H, s, 18-CH3); 13C-NMR (CDCl3) δ: 208.4 (20-C=O), 170.8 (3-OCOCH3), 71.4 (5-C), 63.3 (3-C), 56.7 (6-C), 56.2 (17-C), 50.9, 42.4, 38.0, 36.7, 36.1, 32.4, 32.1, 29.7, 27.2, 24.4, 22.8, 22.7, 21.9, 21.3, 20.6, 13.2, 13.1, GC-mass (EI) m/z : 374 (M)+, IR (cm-1) : 3441 (3-O-H), 1702 (20-C=O).
3β-Acetoxy-20-hydroxyimino-5-pregnen-20-one (5): 3β-Acetoxy-5-pregnen-20-one (3, 100 mg, 0.28 mg) was dissolved in ethanol (2 mL), hydroxylamine hydrochloride (31.3 mg, 0.45 mmol) and pyridine (0.1 mL) and the reaction mixture was refluxed for 2 hours at 130 ℃. The reaction mixture was poured into cold water (30 mL) to form a precipitate, which was recrystallized with ethyl acetate and n-hexane to afford 65 mg (62%) as the pure white product 5, m.p: 201-205 °C, 1H-NMR (CDCl3) δ: 8.28 (1H, s, =NOH), 5.38 (1H, d, J = 5.2 Hz, 6-H), 4.56-4.67 (1H, m, 3-H), 2.04 (3H, s, -COCH3), 1.89 (3H, s, 21-CH3), 1.02 (3H, s, 19-CH3), 0.65 (3H, s, 18-CH3); 13C-NMR (CDCl3) δ: 170.6 (3-OCOCH3), 158.9 (20-C=NOH), 139.7 (5-C), 122.4 (6-C), 73.9 (3-C), 56.8 (17-C), 56.1, 50.1, 43.8, 38.7, 38.1, 37.0, 36.6, 36.5, 32.0, 31.8, 27.8, 24.2, 23.1, 21.4, 21.0, 19.3, 15.1, 13.1; GC-mass (EI) m/z: 342 (M-NOH)+, 313 (M-CH3COOH)+; IR (cm-1) : 3315 (20-C=NOH), 1732 (3-OC=OCH3), 1651 (20-C=N).
3β-Acetoxy-5α,6α-epoxy-20-hydroxyiminopregnan-20-one (6a) and 3β-acetoxy-5β,6β-epoxy-20-hydroxyiminopregnan-20-one (6b): 3β-Acetoxy-20-hydroxyimino-5-pregnen-20-one (5, 100 mg, 0.27 mmol) and mCPBA (139 mg, 0.81 mmol) were dissolved in chloroform (10 mL) and stirred at room temperature for 48 hours. The reaction mixture was treated as the same method of compound 1. The crude compound was purified by column chromatography (ethyl acetate/n-hexane = 1:3) and gave 62 mg (59%) as a mixture of 6a and 6b. Compound 6a: 1H-NMR (CDCl3) δ: 4.91-4.97 (1H, m, 3-H), 3.09 (1H, d, J = 2.0 Hz, 6-H), 2.02 (3H, s, -COCH3), 1.86 (3H, s, 21-CH3), 1.01 (3H, s, 19-CH3), 0.57 (3H, s, 18-CH3); 13C-NMR (CDCl3) δ: 170.6 (3-OCOCH3), 158.8 (20-C=NOH), 71.8 (5-C), 63.0 (3-C), 56.7 (6-C), 56.1 (17-C), 50.4, 43.1, 40.2, 39.0, 38.3, 37.6, 36.1, 35.3, 31.8, 29.7, 24.2, 22.6, 23.4, 21.3, 19.5, 15.4. Compound 6b: 1H-NMR (CDCl3) δ: 4.87-4.96 (1H, m, 3-H), 2.92 (1H, d, J = 4.4 Hz, 6-H), 2.03 (3H, s, -COCH3), 1.86 (3H, s, 21-CH3), 1.08 (3H, s, 19-CH3), 0.60 (3H, s, 18-CH3); 13C-NMR (CDCl3) δ: 170.5 (3-OCOCH3), 158.8 (20-C=NOH), 71.9 (5-C), 63.1 (3-C), 56.5 (6-C), 56.1 (17-C), 50.4, 43.1, 40.2, 39.0, 38.3, 37.6, 36.1, 35.3, 31.8, 29.7, 24.2, 22.6, 23.4, 21.3, 19.5, 15.4, 13.1; GC-mass (EI) m/z: 358 (M-NOH)+, 329 (M-CH3COOH)+; IR (cm-1): 3441 (3-O-H), 1702 (20-C=O).
3β-Hydroxy-20-hydroxyimino-5-pregnen-20-one (7): To a solution of 5-pregnen-3β-ol-20-one (1 g, 3.16 mmol) in ethanol (15 mL) was added hydroxylamine hydrochloride (352 mg, 5.06 mmol) and pyridine (0.5 mL) and the reaction mixture was refluxed at 130 °C for 1 hour. The reaction mixture was cooled down and extracted with dichloromethane and the organic layer was washed with H2O, dried with anhydrous MgSO4, filtered and concentrated to afford crude oily material. The crude product was purified by column chromatography (ethyl acetate/n-hexane = 1:3) affording 1.0 g (95%) as the pure white product 7, m.p : 220-222 °C, 1H-NMR (CDCl3) δ : 7.80 (1H, s, = NOH), 5.36 (1H, t, J = 2.6 Hz, 6-H), 3.50-3.56 (1H, m, 3-H), 1.89 (3H, s, 21-CH3), 1.01 (3H, s, 19-CH3), 0.65 (3H, s, 18-CH3); 13C-NMR (CDCl3) δ: 159.0 (20-C=NOH), 140.8 (5-C), 121.5 (6-C), 71.8 (3-C), 56.7 (17-C), 56.2, 50.1, 43.8, 42.3, 38.7, 37.3, 36.5, 32.0, 31.8, 31.6, 24.2, 23.1, 21.0, 19.4, 15.1, 13.1; GC-mass (EI) m/z: 331 (M)+, 316 (M-CH3)+, 298 (M+-CH3-H2O); IR (cm-1): 3239 (O-H) 1662 (20-C=N).
20-Hydroxyimino-4-pregnene-3,20-dione (8): The mixture of compound 7 (1 g, 3.01 mmol), aluminum isopropoxide (3 g, 15 mmol) and cyclohexanone (30 mL) was refluxed at 170 °C for 4 hours. The excess of cyclohexanone was distilled off and the residue was added H2O and acidified with 5 M HCl and extracted with ethyl acetate. The organic layer was dried with anhydrous MgSO4, filtered and evaporated to give crude oil, which was purified by column chromatography (ethyl acetate:n-hexane = 1:3) to yield 460 mg (46%) of the pure pale yellow product 8, m.p: 213-216 °C, 1H-NMR (CDCl3) δ: 8.14 (1H, s,=NOH), 5.74 (1H, s, 4-H), 1.89 (3H, s, 21-CH3), 1.18 (3H, s, 19-CH3), 0.68 (3H, s, 18-CH3); 13C-NMR (CDCl3) δ: 199.6 (3-C=O), 171.3 (20-C=NOH), 158.7 (5-C), 123.9 (4-C), 56.6 (17-C), 55.3, 53.8, 43.8, 38.6, 38.5, 35.8, 35.7, 34.0, 32.8, 31.9, 24.1, 23.0, 21.0, 17.4, 15.1, 13.2; GC-mass (EI) m/z: 329 (M)+, 312 (M-OH)+; IR (cm-1): 3498 (20-C=NOH), 1658 (3-C=O), 1614 (20-C=N).
20-Hydroxyimino-1,4-pregnadiene-3,20-dione (9): To a solution of compound 8 (200 mg, 0.6 mmol) in 1,4-dioxane (12 mL) was added DDQ (272 mg, 1.20 mmol), bis(trimethylsilyl)trifluoroacetamide (0.3 mL) and the reaction mixture was refluxed at 150 °C for 12 hours. The reaction mixture was filtered, concentrated and the crude product was purified by column chromatography (ethyl acetate/n-hexane = 1:3) to yield 96 mg (49%) of the pure white product 9. m.p: 105-110 °C, 1H-NMR (CDCl3) δ: 7.06 (1H, d, J = 10.4 Hz, 1-H), 6.24 (1H, dd, J1 = 1.8 Hz, J2 = 10.2 Hz, 2-H), 6.08 (1H, s, 4-H), 2.52 (1H, t, J = 9.0 Hz, 17-H), 2.12 (3H, s, 21-CH3), 1.24 (3H, s, 19-CH3), 0.70 (3H, s, 18-CH3); 13C-NMR (CDCl3) δ : 209.2 (20-C=O), 186.3 (3-C=O), 168.9 (5-C), 155.6 (1-C), 127.6 (2-C), 124.0 (4-C), 63.4 (17-C), 55.6, 52.2, 44.1, 43.5, 38.5, 35.5, 33.5, 32.8, 31.5, 24.6, 22.84, 22.82, 18.7, 13.4; GC-Mass (EI) m/z: 327 (M)+; IR (cm-1): 3315 (20-C=NOH), 1662 (3-C=O), 1619 (20-C=N).
20-Hydroxyimino-5-oxo-A-nor-3,5-secopregnan-3-oic acid (10): 20-Hydroxyimino-4-pregnene-3,20-dione (8, 250 mg, 0.76 mmol) was dissolved in tert-butanol (5 mL) and anhydrous sodium carbonate (118 mg, 1.11 mmol), H2O (2 mL) was added and refluxed at 180 °C. Sodium periodate (1 g, 5.32 mmol) and potassium permanganate (15 mg, 0.09 mmol) dissolved in H2O (5 mL) was slowly added to a refluxing reaction mixture, and refluxed for 3 hours. The mixture was filtered and washed with H2O and the filtrate was acidified with 5 M HCl and extracted with dichloromethane. The organic layer was dried with anhydrous MgSO4, filtered and concentrated to give crude product, which was purified by column chromatography (methanol: dichloromethane = 1:9) to yield 154 mg (58%) of the pure pale yellow product 10. m.p: 152-155 °C, 1H-NMR (CDCl3) δ: 2.57 (1H, t, J = 8.2 Hz, 17-H), 2.13 (3H, s, 21-CH3), 1.13 (3H, s, 19-CH3), 0.69 (3H, s, 18-CH3); 13C-NMR (CDCl3) δ: 214.7 (5-C=O), 209.2 (3-COOH), 177.8 (20-C=NOH), 63.4 (17-C), 55.9, 50.4, 47.9, 44.0, 38.4, 38.0, 34.9, 31.5, 31.2, 29.3, 29.0, 24.4, 22.8, 21.5, 20.3, 13.4; GC-Mass (EI) m/z: 349 (M)+, 332 (M-H2O) +; IR (cm-1): 3445 (O-H), 1702 (C=O), 1651 (20-C=N).
4-Aza-20-hydroxyimino-5-pregnene-3,20-dione (11): A mixture of 20-hydroxyimino-4-pregnen-3-one (10, 65 mg, 0.18 mmol), ammonium acetate (42 mg, 0.54 mmol) and acetic acid (2 mL) was refluxed for 1 hour. The mixture was evaporated to remove acetic acid and the residue was neutralized with saturated NaHCO3 and extracted with dichloromethane. The organic layer was dried with anhydrous MgSO4, filtered and concentrated to give crude pale-brown solid, which was recrystallized with ethyl acetate and n-hexane and eluted 30 mg (50%) as the pure white product 11. m.p: 225-227 °C, 1H-NMR (CDCl3) δ: 7.41 (1H, s, -NH), 4.82 (1H, dd, J1 = 2.2 Hz, J2 = 5.0 Hz, 6-H), 2.55 (1H, t, J = 8.0 Hz, 17-H), 2.14 (3H, s, 21-CH3), 1.10 (3H, s, 19-CH3), 0.66 (3H, s, 18-CH3); 13C-NMR (CDCl3) δ: 209.4 (3-C=O), 169.3(20-C=NOH), 140.0 (5-C), 103.0 (6-C), 63.5 (17-C), 56.6, 47.8, 44.0, 38.5, 34.3, 31.8, 31.6, 31.5, 29.6, 28.4, 24.4, 22.8, 21.0, 18.7, 13.3; GC-Mass (EI) m/z: 330 (M)+, 315 (M-NH)+, 300 (M++1-NOH); IR (cm-1): 3187 (20-C=NOH), 3071 (N-H), 1669 (3-C=O).
1,4,6-Pregnatriene-3,20-dione (12): To a mixture of 5-pregnen-3β-ol-20-one (3 g, 9.46 mmol) in 1,4-dioxane (40 mL) was added DDQ (8.6 g, 37.90 mmol) at room temperature and the mixture was refluxed for 4 hours. The reaction mixture was cooled down and filtered, washed with 1,4-dioxane and concentrated to give crude product, which was purified by column chromatography (ethyl acetate/n-hexane = 1:3) to yield 2 g (70%) of the pure white product 12. m.p: 145-147 °C (lit. [23] 142-144 °C).
1,2-Epoxy-4,6-pregnadiene-3,20-dione (13): A mixture of 1,4,6-pregnatriene-3,20-dione (12, 500 mg, 1.61 mmol) in methanol (25 mL) was slowly added 30% hydrogen peroxide (4.5 mL) and 5% NaOH-MeOH (1.2 mL) and stirred at room temperature for 5 hours. The reaction mixture was mixed with H2O (5 mL) and concentrated to form the crude precipitate, which was recrystallized with methanol and H2O to give 360 mg (68%), of a white product, m.p: 184-187 °C, 1H-NMR (CDCl3) δ: 6.12 (1H, dd, J1 = 2.8 Hz, J2 = 10.0 Hz, 7-H), 6.05 (1H, d, J = 10.8 Hz, 6-H), 5.67 (1H, s, 4-H), 3.60 (1H, d, J = 4.0 Hz, 2-H), 3.46-3.47 (1H, m, 1-H), 2.60 (1H, t, J = 9.4 Hz, 17-H), 2.15 (3H, s, 21-CH3), 1.19 (3H, s, 19-CH3), 0.74 (3H, s, 18-CH3); 13C-NMR (CDCl3) δ : 209.0 (20-C=O), 194.6 (3-C=O), 158.5 (5-C), 139.6 (7-C), 128.1 (6-C), 119.7 (4-C), 63.1 (17-C), 59.4 (2-C), 54.7 (1-C), 53.5, 45.9, 44.3, 38.8, 38.3, 37.4, 31.6, 23.9, 22.9, 21.2, 18.5, 13.2; GC-mass (EI) m/z: 326 (M)+; IR (cm-1): 1700 (20-C=O), 1662 (3-C=O).

3.2. Biology

We purchased LNCaP (androgen receptor dependent cell line) and PC-3 (androgen receptor independent cell line) prostate cancer cells from the Korean Cell Line Bank (Seoul). Finasteride was purchased from Aldrich Co and was used as positive control. RPMI medium 1640, fetal bovine serum (FBS, Gibco), penicillin-streptomycin, phosphate buffered saline (PBS) pH 7.4, 0.25% trypsin EDTA, dimethyl sulfoxide (DMSO, Sigma), thiazolyl blue tetrazolium bromide (MTT, Sigma) and finasteride (Sigma) were purchased.

3.2.1. MTT assay on LNCaP and PC-3 cell

LNCaP and PC-3 prostate cancer cells were grown in RPMI medium 1640 containing charcoal stripped-dextran treated heat inactivated 10% fetal bovine serum (FBS) (Gibco BRL, Rockville, MD, USA) supplemented with 1% penicillin-streptomycin. Cells (2 × 103) were planted in 96 well cell plates and incubated in 5% CO2 incubator (NAPCO Water-Jacketed CO2 incubator) for 24 hours at 37 °C. Then cells were treated with 0, 1, 5, 10, 20, 50, 100 μM concentrations of sample (5 μL/well) and incubated in 5% CO2 incubator for 48 hours at 37 °C. Triplicate wells were used for each concentration. After incubation for 48 hours, 50 μL/well of MTT (2 mg/mL in PBS) was added and further incubated for four hours in the dark. After removal of MTT solution, 150 μL/well DMSO was added to dissolve purple crystal for 15 minutes, after which the absorbance of the solution was measured at 540 nm with an ELISA reader (ELx 808, BIO-TEK). The inhibition effect of LNCaP and PC-3 cell growth was expressed relative cell survival percentage.

3.2.2. Screening assay for type II 5α-reductase inhibitory activity

According to the method reported [22], human embryonic kidney cells (HEK293) over-expressing type II 5α-reductase were grown in Dulbecco’s modified Eagle’s medium (DMEM) supplemented with 10% FBS. Stable HEK293 cells (1 × 106) were planted in 24-well cell plate and incubated in 5% CO2 incubator for 24 hours at 37 °C. Stable cells were suspended in 50 mM sodium phosphate buffer (pH 5.5) and lysed by sonication for 1 min. The reaction mixture for type II 5-reductase contained 10 μL (10 μg total protein) of cell extract, 65 μL of reaction buffer [60 mM sodium phosphate, pH 5.5, 50 mM KCl, 1 mM NADPH, and 1 μCi [1,2,6,7-3H]testosterone (65.0 Ci/mmol, Amersham)], and 1 μM and 10 μM of synthesized compounds. The reaction mixtures were incubated at 37 °C for 1 h, followed by steroids extraction with 250 μL of stop solution (70% cyclohexane, 30% ethyl acetate, 40 μg/mL T and 40 μg/mL DHT). Solvent was dried and steroids were dissolved with 20 μL of chloroform, spotted onto thin layer chromatography (TLC) plate (Merck, Darmastadt, Germany) and developed in 80% toluene, 20% acetone. TLC plate was then exposed to Hyperfilm 3H (Amersham, RPN 535B) for three days.

3.3. Statistical analysis

Triplicate analyses were performed for MTT test and all the data were subjected to analysis of variance using ANOVA and Duncan’s multiple range test for significant difference comparison.

4. Conclusions

Thirteen epoxy- and/or 20-oxime pregnane, pregnene and pregnadiene derivatives were synthesized and evaluated for cytotoxicity activity and 5AR2 inhibition effects. The 5AR2 inhibition screening test results suggested that compounds 5, 8, 11 and 12 were potential inhibitors of 5α-reductase type II. Especially, 11 was active in the 5AR2 inhibitory test, and inhibited cell proliferation of androgen-dependent cell and 8 was the most active in the 5AR2 inhibitory test, but interestingly, it inhibited PC-3 cells more potently than LNCaP cells. Compound 13 showed the highest cytotoxic effects on both LNCap and PC-3 prostate cancer cells.

Acknowedgements

Financial support from Catholic University of Daegu is gratefully acknowledged.

References

  1. Abul-Hajj, Y.J. Stereospecificity of hydrogen transfer from NADPH by steroid ∆4-5α-and ∆4-5β-reductase. Steroids 1972, 20, 215–222. [Google Scholar] [CrossRef]
  2. Cabeza, M.; Flores, E.; Heuze, I.; Sanchez, M.; Bratoeff, E.; Ramirez, E.; Francolugo, V.A. Novel 17-substituted pregnadiene derivatives as 5α-reductase inhibitors and their binding affinity for the androgen receptor. Chem. Pharm. Bull. 2004, 52, 535–539. [Google Scholar] [CrossRef] [PubMed]
  3. Andersson, S.R.; Bishop, R.W.; Russell, D.W. Expression cloning and regulation of steroid 5α-reductase, an enzyme essential for male sexual differentiation. J. Biol. Chem. 1989, 264, 16249–16255. [Google Scholar] [PubMed]
  4. Andersson, S.; Russell, D.W. Structural and biochemical properties of cloned expressed human and rat steroid 5α-reductase. Proc. Natl. Acad. Sci. USA 1990, 87, 3640–3644. [Google Scholar] [CrossRef] [PubMed]
  5. Russell, D.W.; Wilson, J.D. Steroid 5alpha-reductase: Two genes/two enzymes. Ann. Rev. Biochem. 1994, 63, 25–61. [Google Scholar] [CrossRef] [PubMed]
  6. Thigpen, A.E.; Silver, R.I.; Guileyardo, J.M.; Casey, M.; McConnel, J.D.; Russell, D.W. Tissue distribution and ontogeny of steroid 5alpha-reductase isozyme expression. J. Clin. Invest. 1993, 92, 903–910. [Google Scholar] [CrossRef] [PubMed]
  7. Hartmann, R.W.; Hector, M.; Haidar, S.; Ehmer, P.B.; Reichert, W.; Jose, J. Synthesis and evaluation of novel steroidal oxime inhibitors of P450 17 (17α-hydroxylase/C17,20-lyase) and 5α-reductase types 1 and 2. J. Med. Chem. 2000, 43, 4266–4277. [Google Scholar] [CrossRef] [PubMed]
  8. Ramírez, E.; Cabeza, M.; Heuze, I.; Gutierrez, E.; Bratoeff, E.; Membrillo, M.; Lira, A. Synthesis and pharmacological evaluation of new 16-methyl pregnenolone derivatives. Chem. Pharm. Bull. 2002, 50, 15–20. [Google Scholar] [CrossRef] [PubMed]
  9. Audia, J.E.; Lawhorn, D.E.; Deeter, J.B. Synthesis of the individual enantiomers of the benzoquinolinone human type 1 steroid 5α-reductase inhibitors LY191704 and LY266111. Tetrahedron Lett. 1993, 34, 7001–7004. [Google Scholar] [CrossRef]
  10. Bologna, M.; Muzi, P.; Biordi, L.; Festuccia, C.; Vicentini, C. Antiandrons and 5alpha-reductaseinhibition of the proliferation rate in PC 3 and DU 145 human prostatic cancer cell lines. Curr. Ther. Res. 1991, 51, 799–813. [Google Scholar]
  11. Jones, C.D.; Audia, J.E.; Lawhorn, D.E.; McQuaid, L.A.; Neubauer, B.L.; Pike, A.J.; Pennington, P.A.; Stamm, N.B.; Toomey, R.E.; Hirsch, K.S. Nonsteroidal inhibitors of human type I steroid 5α-reductase. J. Med. Chem. 1993, 36, 421–423. [Google Scholar] [CrossRef] [PubMed]
  12. Bologna, M.; Muzi, P.; Biordi, L.; Festuccia, C.; Vicentini, C. Finasteride dose-dependently reduces the proliferation rate of the LNCaP human prostatic cancer cell line in vitro. Urology 1995, 45, 282–290. [Google Scholar] [CrossRef]
  13. Kurup, A.; Garg, R.; Hansch, C. Comparative QSAR analysis of 5α-reductase inhibitors. Chem. Rev. 2000, 100, 909–924. [Google Scholar] [CrossRef] [PubMed]
  14. Sudduth, S.L.; Koronkowski, M.J. Finasteride The first 5 alpha-reductase inhibitor. Pharmacotherapy 1993, 309–325. [Google Scholar] [PubMed][Green Version]
  15. Lazier, C.B.; Thomas, L.N.; Douglas, R.C.; Vessey, J.P.; Rittmaster, R.S. Dutasteride, the dual 5 α-reductase inhibitor, inhibits androgen action and promotes cell death in the LNCaP prostate cancer cell line. Prostate 2004, 58, 130–144. [Google Scholar] [CrossRef] [PubMed]
  16. McCrohan, A.M.; Morrissey, C.; O’Keane, C.; Mulligan, N.; Watson, C.; Smith, J.; Fitzpatrick, J.M.; Watson, R.W. Effects of the dual 5 α-reductase inhibitor dutasteride on apoptosis in primary cultures of prostate cancer epithelial cells and cell lines. Cancer 2006, 106, 2743–2752. [Google Scholar] [CrossRef] [PubMed]
  17. Ling, Y.; Li, J.; Liu, Y.; Wang, X.; Klus, G.T.; Marat, K.; Nnane, I.P.; Brodie, A.M.H. Synthesis and in vivo acting of some epimeric 20α-hydroxy, 20-oxime and aziridine pregnene derivatives as inhibitors of human 17α-hydroxylase/C17,20-lyase and 5α-reductase. Bioorg. Med. Chem. 1998, 6, 1683–1693. [Google Scholar] [CrossRef]
  18. Victor, P.O.; Cabeza, M.; Bratoeff, E.; Heuze, I.; Sanchez, M.; Ramirez, E.; Elia, N.R. New 5-reductase inhibitors: In vitro and in vivo effects. Steroids 2005, 70, 217–224. [Google Scholar]
  19. Cruz-Silva, M.M.; Riva, S.; Sáe-Melo, M.L. Highly selective lipase-mediated diastereomeric 5,6-epoxysteroids. Tetrahedron Asymmetry 2004, 15, 1173–1179. [Google Scholar] [CrossRef]
  20. Ma, E.; Kim, E. Epoxidation and reduction of DHEA, 1,4,6-androstatrien-3-one and 4,6-androstadiene-3β,17β-diol. Molecules 2005, 10, 572–582. [Google Scholar] [CrossRef] [PubMed]
  21. Jang, S.; Lee, Y.; Hwang, S.L.; Lee, M.H.; Park, S.J.; Lee, I.H.; Kang, S.; Roh, S.S.; Seo, Y.J.; Park, J.K.; Lee, J.H.; Lim, C.D. Establishment of type II 5α-reductase over-expressing cell line as an inhibitor screening model. J. Steroid Biochem. Mol. Biol. 2007, 107, 245–252. [Google Scholar] [CrossRef] [PubMed]
  22. Smith, H.E.; Smith, R.G.; Toft, D.O.; Neergaaed, J.R.; Burrows, E.P.; O’Malley, B.W. Binding of steroids to progesterone receptor proteins in chick oviduct and human uterus. J. Biol. Chem. 1974, 249, 5924–5932. [Google Scholar] [PubMed]
Sample Availability: Samples of the compounds are available from the authors.

Article Metrics

Citations

Article Access Statistics

Multiple requests from the same IP address are counted as one view.