Sign in to use this feature.

Years

Between: -

Subjects

remove_circle_outline
remove_circle_outline
remove_circle_outline
remove_circle_outline
remove_circle_outline
remove_circle_outline

Journals

Article Types

Countries / Regions

Search Results (36)

Search Parameters:
Keywords = vasa vasorum

Order results
Result details
Results per page
Select all
Export citation of selected articles as:
21 pages, 3225 KB  
Review
Embryological Divergence and Molecular Mechanisms in Thoracic and Abdominal Aortic Aneurysms: Bridging Developmental Biology and Clinical Insights
by Mathias Van Hemelrijck, Petar Risteski, Laura Rings, Milan Milojevic, Héctor Rodríguez Cetina Biefer and Omer Dzemali
Biomolecules 2025, 15(12), 1654; https://doi.org/10.3390/biom15121654 - 26 Nov 2025
Viewed by 582
Abstract
Aortic aneurysms are complex, predominantly asymptomatic vascular diseases with distinct incidence patterns depending on anatomical localisation. The incidence of thoracic aortic aneurysms (TAAs) has moderately increased, whereas that of abdominal aortic aneurysms has declined, primarily due to public health measures. Undiagnosed or poorly [...] Read more.
Aortic aneurysms are complex, predominantly asymptomatic vascular diseases with distinct incidence patterns depending on anatomical localisation. The incidence of thoracic aortic aneurysms (TAAs) has moderately increased, whereas that of abdominal aortic aneurysms has declined, primarily due to public health measures. Undiagnosed or poorly managed aneurysms are at significant risk of progression to acute aortic syndrome, with high associated mortality. The embryological origins of the aorta may have a substantial impact on its structural, cellular, and functional heterogeneity. Specifically, smooth-muscle cells (SMCs) in the thoracic aorta are derived from cardiac neural crest and mesodermal cells, whereas abdominal aortic SMCs originate from the paraxial and splanchnic mesoderm. To explore these developmental and regional distinctions, we conducted a narrative review based on targeted literature retrieval and expert curation, highlighting how these distinctions might potentially influence susceptibility to aneurysms and their clinical presentation. Histological differences, such as the number of lamellar units and the presence or absence of vasa vasorum, could further explain regional vulnerability. Molecular mechanisms underlying aneurysm formation include inflammation, oxidative stress, extracellular matrix degradation, phenotypic switching, and dysregulated signalling pathways, notably transforming growth factor-beta (TGF-β) and angiotensin II. Genetic mutations significantly contribute to TAAs, with genes involved in the elastin–contractile unit and TGF-β signalling pathways playing pivotal roles. However, the complex interplay between genetic susceptibility and risk factors explains why some patients develop aneurysms while others do not. Clinical management strategies have evolved, emphasising early risk stratification, surveillance, and timely surgical intervention, guided increasingly by genetic profiling and segment-specific molecular understanding. Advances in genomic technologies, biomarker identification, and computational modelling promise to enhance individualised care. Bridging developmental biology, molecular genetics, and clinical practice is crucial for improving outcomes in patients with aortic aneurysms, thereby reinforcing a multidisciplinary approach to patient-centred cardiovascular medicine. Full article
(This article belongs to the Special Issue Molecular and Cellular Mechanisms of Aortic Diseases)
Show Figures

Figure 1

12 pages, 5692 KB  
Article
Role of OCT in Assessing Vasa Vasorum in Chronic Coronary Syndrome: Insights from Long-Term Follow-Up
by Piotr Baruś, Karolina Bartkiewicz, Piotr Pęczek, Anna Libera, Piotr Dunaj, Szymon Jonik, Janusz Kochman, Marcin Grabowski and Mariusz Tomaniak
J. Clin. Med. 2025, 14(5), 1560; https://doi.org/10.3390/jcm14051560 - 26 Feb 2025
Viewed by 1353
Abstract
Background/Objectives: The aim of this study was to analyze the presence of vasa vasorum in optical coherence tomography (OCT) among patients undergoing coronary angiogram for chronic coronary syndrome with intermediate-grade coronary stenoses in relation to long-term follow-up. Methods: This prospective, observational, [...] Read more.
Background/Objectives: The aim of this study was to analyze the presence of vasa vasorum in optical coherence tomography (OCT) among patients undergoing coronary angiogram for chronic coronary syndrome with intermediate-grade coronary stenoses in relation to long-term follow-up. Methods: This prospective, observational, single-center study enrolled patients with chronic coronary syndrome and intermediate-grade coronary stenosis. OCT was used to assess the presence of vasa vasorum, type of plaque, mean lumen area, fibrous cap thickness (FCT), and minimal lumen diameter. Patients were divided into two groups based on the presence of vasa vasorum. Results: Overall, 97 patients were enrolled, of whom 82.5% were male. Lesions with vasa vasorum were found in 76 patients. Comorbidities such as diabetes mellitus, hypertension, dyslipidemia, and chronic kidney disease did not differ significantly between groups. Among patients with vasa vasorum, there were higher serum creatinine levels (1.03 ± 0.24 vs. 0.87 ± 0.22, p = 0.009). OCT showed that minimal lumen diameter differed between groups (2.26 ± 0.38 mm vs. 2.57 ± 0.57 mm p = 0.026) for the vasa vasorum group and no vasa vasorum, respectively, however minimal lumen area was similar in both groups (3.88 ± 1.76 mm2 vs. 4.01 ± 2.00 mm2, p = 0.731, for vasa vasorum and no vasa vasorum, respectively). Furthermore, the presence of vasa vasorum seemed to have no significant correlation with cardiovascular events in the 2-year, 5-year, and 10-year follow-up. Conclusions: The presence of lesions with vasa vasorum was not shown to be linked to any unfavorable patients’ outcomes. Among men, coronary atherosclerotic plaques were more likely to contain OCT-visualized vasa vasorum. Full article
(This article belongs to the Section Cardiovascular Medicine)
Show Figures

Figure 1

9 pages, 8828 KB  
Article
Myeloid GSK3α Deficiency Reduces Lesional Inflammation and Neovascularization during Atherosclerotic Progression
by Sarvatit Patel, Nisarg Shah, Brooke D’Mello, Anson Lee and Geoff H. Werstuck
Int. J. Mol. Sci. 2024, 25(20), 10897; https://doi.org/10.3390/ijms252010897 - 10 Oct 2024
Viewed by 1762
Abstract
The molecular mechanisms by which cardiovascular risk factors promote the development of atherosclerosis are poorly understood. We have recently shown that genetic ablation of myeloid glycogen synthase kinase (GSK)-3α attenuates atherosclerotic lesion development in low-density lipoprotein receptor-deficient (Ldlr−/−) mice. However, the [...] Read more.
The molecular mechanisms by which cardiovascular risk factors promote the development of atherosclerosis are poorly understood. We have recently shown that genetic ablation of myeloid glycogen synthase kinase (GSK)-3α attenuates atherosclerotic lesion development in low-density lipoprotein receptor-deficient (Ldlr−/−) mice. However, the precise contributions of GSK3α/β in atherogenesis are not known. The aim of this study is to investigate the effect of GSK3α and/or β deficiency on lesional inflammation and plaque vascularization. Five-week-old female Ldlr−/− mice were fed a high-fat diet for 10 weeks to establish atherosclerotic lesions. Mice were harvested at 15 weeks of age and atherosclerotic lesions were characterized. The results indicate that, in addition to significantly reducing plaque volume, GSK3α-deficiency decreases inflammation, reduces vasa vasorum density at the aortic sinus, and reduces plasma c-reactive protein (CRP) levels. GSK3β-deficiency is associated with decreased plasma CRP levels but does not affect lesional inflammation or vascularization. These results suggest GSK3α may be an applicable target for the development of novel anti-atherogenic therapies. Full article
(This article belongs to the Special Issue GSK3 as a Master Regulator of Cellular Processes, 2nd Edition)
Show Figures

Figure 1

10 pages, 4728 KB  
Communication
High-Resolution Iodine-Enhanced Micro-Computed Tomography of Intact Human Hearts for Detailed Coronary Microvasculature Analyses
by Joerg Reifart and Paul Iaizzo
J. Imaging 2024, 10(7), 173; https://doi.org/10.3390/jimaging10070173 - 18 Jul 2024
Viewed by 2262
Abstract
Identifying the detailed anatomies of the coronary microvasculature remains an area of research; one needs to develop methods for non-destructive, high-resolution, three-dimensional imaging of these vessels for computational modeling. Currently employed Micro-Computed Tomography (Micro-CT) protocols for vasa vasorum analyses require organ dissection and, [...] Read more.
Identifying the detailed anatomies of the coronary microvasculature remains an area of research; one needs to develop methods for non-destructive, high-resolution, three-dimensional imaging of these vessels for computational modeling. Currently employed Micro-Computed Tomography (Micro-CT) protocols for vasa vasorum analyses require organ dissection and, in most cases, non-clearable contrast agents. Here, we describe a method developed for a non-destructive, economical means to achieve high-resolution images of the human coronary microvasculature without organ dissection. Formalin-fixed human hearts were cannulated using venogram balloon catheters, which were then fixed into the specimen’s aortic root. The canulated hearts, protected by a polyethylene bag, were placed in radiolucent containers filled with insulating polyurethane foam to reduce movement. For vasculature staining, iodine potassium iodide (IKI, Lugol’s solution; 6.3% Potassium Iodide, 4.1% Iodide) was injected. Contrast distributions were monitored using a North Star Imaging X3000 micro-CT scanner with low-radiation settings, followed by high-radiation scanning (3600 rad, 60 kV, 900 mA) for the final high-resolution imaging. We successfully imaged four intact human hearts presenting with chronic total coronary occlusions of the right coronary artery. This imaging enabled detailed analyses of the vasa vasorum surrounding stenosed and occluded segments. After imaging, the hearts were cleared of iodine and excess polyurethane foam and returned to their initial formalin-fixed state for indefinite storage. Conclusions: the described methodologies allow for the non-destructive, high-resolution micro-CT imaging of coronary microvasculature in intact human hearts, paving the way for detailed computational 3D microvascular reconstructions with a macrovascular context. Full article
(This article belongs to the Section Medical Imaging)
Show Figures

Figure 1

9 pages, 2371 KB  
Article
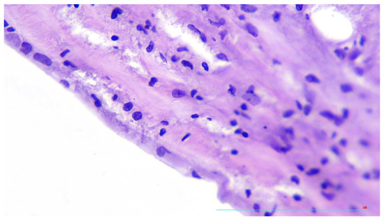
Histological Changes in the Popliteal Artery Wall in Patients with Critical Limb Ischemia
by Octavian Andercou, Maria Cristina Andrei, Dan Gheban, Dorin Marian, Horațiu F. Coman, Valentin Aron Oprea, Florin Vasile Mihaileanu, Razvan Ciocan, Beatrix Cucuruz and Bogdan Stancu
Diagnostics 2024, 14(10), 989; https://doi.org/10.3390/diagnostics14100989 - 8 May 2024
Viewed by 2240
Abstract
Introduction: This prospective study aims to illustrate the histopathological arterial changes in the popliteal artery in peripheral arterial disease of the lower limbs. Material and method: A total of 60 popliteal artery segments taken from patients who had undergone lower limb amputation were [...] Read more.
Introduction: This prospective study aims to illustrate the histopathological arterial changes in the popliteal artery in peripheral arterial disease of the lower limbs. Material and method: A total of 60 popliteal artery segments taken from patients who had undergone lower limb amputation were examined between April and June 2023. The degree of arterial stenosis, medial calcinosis, and the vasa vasorum changes in the arterial adventitia were quantified. The presence of risk factors for atherosclerosis was also observed. Results: Atherosclerotic plaque was found in all of the examined segments. Medial calcinosis was observed in 40 (66.6%) of the arterial segments. A positive association between the degree of arterial stenosis and the vasa vasorum changes in the arterial adventitia was also found (p = 0.025). The level of blood sugar and cholesterol were predictive factors for the severity of atherosclerosis. Conclusions: Atherosclerosis and medial calcinosis are significant in patients who underwent lower limb amputation. Medial calcinosis causes damage to the arterial wall and leads to a reduction in responsiveness to dilator stimuli. Full article
(This article belongs to the Special Issue Cardiovascular Diseases: Diagnosis and Management)
Show Figures

Figure 1

21 pages, 6749 KB  
Article
The Role of Matrix Metalloproteinases in Thoracic Aortic Disease: Are They Indicators for the Pathogenesis of Dissections?
by Marc Irqsusi, Lan Anh Dong, Fiona R. Rodepeter, Rabia Ramzan, Ildar Talipov, Tamer Ghazy, Madeline Günther, Sebastian Vogt and Ardawan J. Rastan
Biomedicines 2024, 12(3), 619; https://doi.org/10.3390/biomedicines12030619 - 9 Mar 2024
Cited by 6 | Viewed by 2409
Abstract
The pathogenesis of aortic aneurysm and dissection continues to be under discussion. Extracellular matrix (ECM) remodeling processes in the aortic wall are hypothesized to be involved in the development of the disorders. Therefore, in a histological study, we investigated the expression of metalloproteases [...] Read more.
The pathogenesis of aortic aneurysm and dissection continues to be under discussion. Extracellular matrix (ECM) remodeling processes in the aortic wall are hypothesized to be involved in the development of the disorders. Therefore, in a histological study, we investigated the expression of metalloproteases 1 and 9 (MMP1 and MMP9) and their inhibitors (TIMP 1 and TIMP 2) in cardiac surgery patients. In parallel, we studied the aortic roots by echocardiography. Clinical reports of 111 patients (30 women and 81 men) who suffered from aortic aneurysms and aortic dissection were evaluated and studied by transesophageal echocardiography. Seven patients who had coronary heart disease served as “healthy controls”. All patients underwent the necessary surgical procedure according to the diagnosed aortic disease in the period from 2007 to 2015. A tissue sample of the aortic biopsies was collected from each patient during surgery. Immunohistochemical staining was performed for MMP1 and MMP9 and TIMP1 and TIMP2 as well. Vascularization was monitored by a CD 31 antibody. In direct comparison, the expressions are not homogeneous. We found the smallest changes in the intima area at all. TIMP 1 and TIMP 2 distribution increases from the lumen of the vessel outward in the wall layers of the aorta. In the case of arteriosclerotic changes, intima had a capillarization, but not in the media. An opposite pattern was found in the dissected aortas. There are differences in the vascularization between the aneurysm and dissection and the different layers, respectively. A different remodeling process of the ECM in comparison to the vascular layers must be hypothesized. Reading the patterns of staining and with regard to the known inhibitory effect of MMP9 on ECM remodeling, but especially TIMP 2 on neoangiogenesis, disturbed nutrition, and dysfunctional vasa vasorum remodeling must be assumed as causes of dissection. Full article
(This article belongs to the Special Issue Cardiovascular Diseases: From Bench to Bedside)
Show Figures

Figure 1

10 pages, 5392 KB  
Article
The Controversy of Using Insufficient Great Saphenous Veins in Coronary Artery Bypass Grafting: A Comparative Morphological Analysis of Healthy and Insufficient Veins Related to the Possibility of Using Them as a Graft
by Andrei Florin Părău, Andrei Raul Manzur, Stefan Mihaicuta and Ioan Adrian Petrache
Biomedicines 2024, 12(3), 476; https://doi.org/10.3390/biomedicines12030476 - 21 Feb 2024
Cited by 1 | Viewed by 2954
Abstract
Background: Despite advancements in coronary artery bypass grafting (CABG), the optimal choice of graft material remains a subject of investigation. This study aimed to comprehensively analyze the morphological characteristics of varicose veins, exploring their potential utilization in CABG compared to healthy veins. Methods: [...] Read more.
Background: Despite advancements in coronary artery bypass grafting (CABG), the optimal choice of graft material remains a subject of investigation. This study aimed to comprehensively analyze the morphological characteristics of varicose veins, exploring their potential utilization in CABG compared to healthy veins. Methods: The study included 178 patients, categorized into two groups based on healthy and varicose veins. Morphological parameters, including maximum venous diameter, wall thickness, and specific changes in tunica intima (TI), tunica media (TM), and tunica adventitia (TA), were analyzed through microscopic evaluation. Results: Varicose veins exhibited a significantly larger maximum venous diameter (p = 0.0001) and increased wall thickness (p = 0.0001) compared to healthy veins. Although varicose veins showed thickening in TI and TM, the differences were not statistically significant. Notably, disorganized smooth muscle bundles were more prevalent in varicose veins (p = 0.001), suggesting potential wall weakness. The absence of vasa vasorum in TA was significantly higher in varicose veins (p = 0.050), influencing vascularization considerations. Conclusions: The comparative morphological microscopic analysis of the specimens of healthy and varicose veins reveals significant differences between the groups, which make the conclusion of this study to plead for avoiding the use of varicose veins as a graft. Full article
(This article belongs to the Special Issue Pathology of Vascular Disease and Heart Failure)
Show Figures

Figure 1

9 pages, 2396 KB  
Case Report
Spontaneous Coronary Artery Dissection as a Cause of Acute Myocardial Infarction in COVID-19 Patients: A Case Report and Review of the Literature
by Angeliki Papageorgiou, Athanasios Moulias, Athanasios Papageorgiou, Theodoros Karampitsakos, Anastasios Apostolos, Grigorios Tsigkas and Periklis Davlouros
Healthcare 2024, 12(2), 214; https://doi.org/10.3390/healthcare12020214 - 16 Jan 2024
Cited by 3 | Viewed by 2661
Abstract
Patients with COVID-19 often experience significant cardiovascular complications, including heart failure, myocarditis, and acute coronary syndrome. We present the case of a male patient with severe COVID-19 pneumonia, complicated with inferior ST-segment elevation myocardial infarction (STEMI), which was attributed to spontaneous coronary artery [...] Read more.
Patients with COVID-19 often experience significant cardiovascular complications, including heart failure, myocarditis, and acute coronary syndrome. We present the case of a male patient with severe COVID-19 pneumonia, complicated with inferior ST-segment elevation myocardial infarction (STEMI), which was attributed to spontaneous coronary artery dissection (SCAD). We also make a review of the literature on case reports of patients with COVID-19 and acute myocardial infarction due to SCAD. Through these clinical cases, a potential correlation between SCAD and COVID-19 infection is implied. Endothelial dysfunction, thrombotic complications, and disturbance of the vascular tone are established COVID-19 sequelae, triggered either by direct viral injury or mediated by the cytokines’ storm. These abnormalities in the coronary vasculature and the vasa vasorum could result in SCAD. Moreover, disturbances of the vascular tone can cause coronary vasospasm, a reported precipitant of SCAD. Thus, SCAD should be considered in COVID-19 patients with acute coronary syndrome (ACS), and in the case of STEMI, an early angiographic evaluation, if feasible, should be performed rather than thrombolysis to avoid potential adverse events of the latter in the setting of SCAD. Full article
(This article belongs to the Collection COVID-19: Impact on Public Health and Healthcare)
Show Figures

Figure 1

22 pages, 9108 KB  
Review
Mitochondrial Melatonin: Beneficial Effects in Protecting against Heart Failure
by Russel J. Reiter, Ramaswamy Sharma, Luiz Gustavo de Almeida Chuffa, Fedor Simko and Alberto Dominguez-Rodriguez
Life 2024, 14(1), 88; https://doi.org/10.3390/life14010088 - 5 Jan 2024
Cited by 12 | Viewed by 7215
Abstract
Cardiovascular disease is the cause of physical infirmity and thousands of deaths annually. Typically, during heart failure, cardiomyocyte mitochondria falter in terms of energy production and metabolic processing. Additionally, inflammation and the accumulation of non-contractile fibrous tissue contribute to cardiac malfunction. Melatonin, an [...] Read more.
Cardiovascular disease is the cause of physical infirmity and thousands of deaths annually. Typically, during heart failure, cardiomyocyte mitochondria falter in terms of energy production and metabolic processing. Additionally, inflammation and the accumulation of non-contractile fibrous tissue contribute to cardiac malfunction. Melatonin, an endogenously produced molecule, experimentally reduces the initiation and progression of atherosclerotic lesions, which are often the basis of coronary artery disease. The current review critically analyzes published data related to the experimental use of melatonin to forestall coronary artery pathologies. Collectively, these studies document melatonin’s anti-atherosclerotic actions in reducing LDL oxidation and triglyceride levels, lowering endothelial malfunction, limiting adhesion molecule formation, preventing macrophage polarization to the M1 pro-inflammatory phenotype, changing cellular metabolism, scavenging destructive reactive oxygen species, preventing the proliferation and invasion of arterial smooth muscle cells into the lesioned area, restricting the ingrowth of blood vessels from the vasa vasorum, and solidifying the plaque cap to reduce the chance of its rupture. Diabetic hyperglycemia, which aggravates atherosclerotic plaque formation, is also inhibited by melatonin supplementation in experimental animals. The potential value of non-toxic melatonin as a possible inhibitor of cardiac pathology in humans should be seriously considered by performing clinical trials using this multifunctional molecule. Full article
(This article belongs to the Special Issue Advances in Mitochondrial Biology)
Show Figures

Figure 1

14 pages, 33907 KB  
Review
The Process of Plaque Rupture: The Role of Vasa Vasorum and Medial Smooth Muscle Contraction Monitored by the Cardio-Ankle Vascular Index
by Kohji Shirai, Takashi Hitsumoto, Shuji Sato, Mao Takahashi, Atsuhito Saiki, Daiji Nagayama, Masahiro Ohira, Akira Takahara and Kazuhiro Shimizu
J. Clin. Med. 2023, 12(23), 7436; https://doi.org/10.3390/jcm12237436 - 30 Nov 2023
Cited by 1 | Viewed by 2495
Abstract
A warning sign for impending cardiovascular events is not fully established. In the process of plaque rupture, the formation of vulnerable plaque is important, and oxidized cholesterols play an important role in its progression. Furthermore, the significance of vasa vasorum penetrating the medial [...] Read more.
A warning sign for impending cardiovascular events is not fully established. In the process of plaque rupture, the formation of vulnerable plaque is important, and oxidized cholesterols play an important role in its progression. Furthermore, the significance of vasa vasorum penetrating the medial smooth muscle layer and being rich in atheromatous lesions should be noted. The cardio-ankle vascular index (CAVI) is a new arterial stiffness index of the arterial tree from the origin of the aorta to the ankle. The CAVI reflects functional stiffness, in addition to structural stiffness. The rapid rise in the CAVI means medial smooth muscle cell contraction and strangling vasa vasorum. A rapid rise in the CAVI in people after a big earthquake, following a high frequency of cardiovascular events has been reported. There are several cases that showed a rapid rise in the CAVI a few weeks or months before suffering cardiovascular events. To explain these sequences of events, we proposed a hypothesis: a rapid rise in the CAVI means medial smooth muscle contraction, strangling vasa vasorum, leading to ischemia and the necrosis of vulnerable plaque, and then the plaque ruptures. In individuals having a high CAVI, further rapid rise in the CAVI might be a warning sign for impending cardiovascular events. In such cases, treatments to decrease the CAVI better be taken soon. Full article
(This article belongs to the Section Vascular Medicine)
Show Figures

Figure 1

9 pages, 1270 KB  
Article
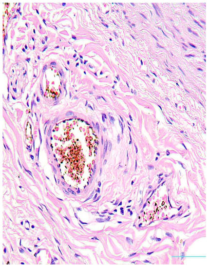
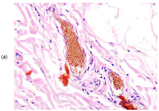
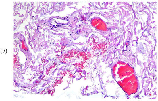
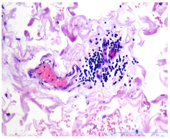
Condition “Vasa Vasorum” in Patients with Thoracic Aortic Aneurysm
by Petr V. Chumachenko, Alexandra G. Ivanova, Mariam Bagheri Ekta, Andrey V. Omelchenko, Vasily N. Sukhorukov, Alexander M. Markin, Yuliya V. Markina and Anton Y. Postnov
J. Clin. Med. 2023, 12(10), 3578; https://doi.org/10.3390/jcm12103578 - 20 May 2023
Cited by 6 | Viewed by 2769
Abstract
It is known that vasa vasorum contributes substantially to the blood supply and nutrition of one-third of the wall of the ascending thoracic aorta. Therefore, we focused on studying the relationship between inflammatory cells and vasa vasorum vessels in patients with aortic aneurysm. [...] Read more.
It is known that vasa vasorum contributes substantially to the blood supply and nutrition of one-third of the wall of the ascending thoracic aorta. Therefore, we focused on studying the relationship between inflammatory cells and vasa vasorum vessels in patients with aortic aneurysm. The material for the study was biopsies of thoracic aortic aneurysms taken from patients during an aneurysmectomy (34 men, 14 women, aged 33 to 79 years). The biopsies belonged to patients with non-hereditary thoracic aortic aneurysm. An immunohistochemical study was carried out using antibodies to antigens of T cells (CD3, CD4, CD8); macrophages (CD68); B cells (CD20); endothelium (CD31, CD34, von Willebrand factor (vWF)); and smooth muscle cells (alpha actin). Samples without inflammatory infiltrates contained less vasa vasorum in the tunica adventitia than samples with inflammatory infiltrates, and this difference was statistically significant p < 0.05. T cell infiltrates in the adventitia of aortic aneurysms were found in 28 of 48 patients. In the vessels of the vasa vasorum, surrounded by inflammatory infiltrates, T cells that adhered to the endothelium were found. The same cells were also localized in the subendothelial area. The number of adherent T cells in patients with inflammatory infiltrates in the aortic wall dominated the number of these cells in patients without inflammation of the aortic wall. This difference was statistically significant, p < 0.0006. Hypertrophy and sclerosis of the arteries of the vasa vasorum system, the narrowing of their lumen, and, as a result, impaired blood supply to the aortic wall, were found in 34 patients with hypertension. In 18 patients (both in patients with hypertension and in patients without hypertension), T cells that adhered to the vasa vasorum endothelium were found. In nine cases, massive infiltrates of T cells and macrophages were found, which surrounded and squeezed the vasa vasorum, preventing blood circulation. In six patients, parietal and obturating blood clots were found in the vasa vasorum vessels, which disrupted the normal blood supply to the aortic wall. We believe that this indicates the importance of the state of the vessels of the vasa vasorum in the development of an aortic aneurysm. In addition, pathological changes in these vessels may not always play a primary role, but always a very important role, in the pathogenesis of this disease. Full article
(This article belongs to the Special Issue Abdominal Aortic Aneurysm: Clinical Updates and Perspectives)
Show Figures

Figure 1

23 pages, 62125 KB  
Article
Comparison of the Patency and Regenerative Potential of Biodegradable Vascular Prostheses of Different Polymer Compositions in an Ovine Model
by Larisa V. Antonova, Viktoriia V. Sevostianova, Vladimir N. Silnikov, Evgeniya O. Krivkina, Elena A. Velikanova, Andrey V. Mironov, Amin R. Shabaev, Evgenia A. Senokosova, Mariam Yu. Khanova, Tatiana V. Glushkova, Tatiana N. Akentieva, Anna V. Sinitskaya, Victoria E. Markova, Daria K. Shishkova, Arseniy A. Lobov, Egor A. Repkin, Alexander D. Stepanov, Anton G. Kutikhin and Leonid S. Barbarash
Int. J. Mol. Sci. 2023, 24(10), 8540; https://doi.org/10.3390/ijms24108540 - 10 May 2023
Cited by 10 | Viewed by 3028
Abstract
The lack of suitable autologous grafts and the impossibility of using synthetic prostheses for small artery reconstruction make it necessary to develop alternative efficient vascular grafts. In this study, we fabricated an electrospun biodegradable poly(ε-caprolactone) (PCL) prosthesis and poly(3-hydroxybutyrate-co-3-hydroxyvalerate)/poly(ε-caprolactone) (PHBV/PCL) prosthesis loaded with [...] Read more.
The lack of suitable autologous grafts and the impossibility of using synthetic prostheses for small artery reconstruction make it necessary to develop alternative efficient vascular grafts. In this study, we fabricated an electrospun biodegradable poly(ε-caprolactone) (PCL) prosthesis and poly(3-hydroxybutyrate-co-3-hydroxyvalerate)/poly(ε-caprolactone) (PHBV/PCL) prosthesis loaded with iloprost (a prostacyclin analog) as an antithrombotic drug and cationic amphiphile with antibacterial activity. The prostheses were characterized in terms of their drug release, mechanical properties, and hemocompatibility. We then compared the long-term patency and remodeling features of PCL and PHBV/PCL prostheses in a sheep carotid artery interposition model. The research findings verified that the drug coating of both types of prostheses improved their hemocompatibility and tensile strength. The 6-month primary patency of the PCL/Ilo/A prostheses was 50%, while all PHBV/PCL/Ilo/A implants were occluded at the same time point. The PCL/Ilo/A prostheses were completely endothelialized, in contrast to the PHBV/PCL/Ilo/A conduits, which had no endothelial cells on the inner layer. The polymeric material of both prostheses degraded and was replaced with neotissue containing smooth-muscle cells; macrophages; proteins of the extracellular matrix such as type I, III, and IV collagens; and vasa vasorum. Thus, the biodegradable PCL/Ilo/A prostheses demonstrate better regenerative potential than PHBV/PCL-based implants and are more suitable for clinical use. Full article
(This article belongs to the Special Issue Tissue Engineering of the Heart and Blood Vessels)
Show Figures

Figure 1

11 pages, 5742 KB  
Case Report
COVID-19 and Vasa vasorum: New Atherogenic Factor? A Case Report and Autopsy Findings
by Julia A. Macarova, Sofia A. Malakhova, Tatiana A. Novitskaya, Valeria A. Shapkina and Leonid P. Churilov
Diagnostics 2023, 13(6), 1097; https://doi.org/10.3390/diagnostics13061097 - 14 Mar 2023
Cited by 1 | Viewed by 2634
Abstract
Patients with COVID-19 demonstrate higher rates of cardiovascular complications, including thromboses and thromboembolism. One may suppose that the action of SARS-CoV-2 transforms stable atherosclerotic plaques into unstable status. Cardiovascular complications in COVID-19 may be caused by progressive viral alteration of the blood vessels, [...] Read more.
Patients with COVID-19 demonstrate higher rates of cardiovascular complications, including thromboses and thromboembolism. One may suppose that the action of SARS-CoV-2 transforms stable atherosclerotic plaques into unstable status. Cardiovascular complications in COVID-19 may be caused by progressive viral alteration of the blood vessels, including Vasa vasorum. A lethal case of ischemic brain disease caused by cerebral atherosclerosis and exacerbated by a stroke during COVID-19 infection is briefly described. The results of the autopsy showed perivascular lymphocytic infiltration and signs of Vasa vasorum vasculitis with thrombi of adventitial microvasculature. The data discussed in the article are interpreted in the context of the concept giving the important role in atherogenesis to Vasa vasorum. Full article
(This article belongs to the Section Pathology and Molecular Diagnostics)
Show Figures

Figure 1

17 pages, 4864 KB  
Article
An Assessment of Blood Vessel Remodeling of Nanofibrous Poly(ε-Caprolactone) Vascular Grafts in a Rat Animal Model
by Jana Horakova, Tereza Blassova, Zbynek Tonar, Connor McCarthy, Katerina Strnadova, David Lukas, Petr Mikes, Patrick Bowen, Roger Guillory, Megan Frost and Jeremy Goldman
J. Funct. Biomater. 2023, 14(2), 88; https://doi.org/10.3390/jfb14020088 - 3 Feb 2023
Cited by 4 | Viewed by 2534
Abstract
The development of an ideal vascular prosthesis represents an important challenge in terms of the treatment of cardiovascular diseases with respect to which new materials are being considered that have produced promising results following testing in animal models. This study focuses on nanofibrous [...] Read more.
The development of an ideal vascular prosthesis represents an important challenge in terms of the treatment of cardiovascular diseases with respect to which new materials are being considered that have produced promising results following testing in animal models. This study focuses on nanofibrous polycaprolactone-based grafts assessed by means of histological techniques 10 days and 6 months following suturing as a replacement for the rat aorta. A novel stereological approach for the assessment of cellular distribution within the graft thickness was developed. The cellularization of the thickness of the graft was found to be homogeneous after 10 days and to have changed after 6 months, at which time the majority of cells was discovered in the inner layer where the regeneration of the vessel wall was found to have occurred. Six months following implantation, the endothelialization of the graft lumen was complete, and no vasa vasorum were found to be present. Newly formed tissue resembling native elastic arteries with concentric layers composed of smooth muscle cells, collagen, and elastin was found in the implanted polycaprolactone-based grafts. Moreover, the inner layer of the graft was seen to have developed structural similarities to the regular aortic wall. The grafts appeared to be well tolerated, and no severe adverse reaction was recorded with the exception of one case of cartilaginous metaplasia close to the junctional suture. Full article
Show Figures

Graphical abstract

15 pages, 933 KB  
Review
Atherosclerosis, Cardiovascular Disorders and COVID-19: Comorbid Pathogenesis
by Yulia A. Makarova, Varvara A. Ryabkova, Vladimir V. Salukhov, Boris V. Sagun, Aleksandr E. Korovin and Leonid P. Churilov
Diagnostics 2023, 13(3), 478; https://doi.org/10.3390/diagnostics13030478 - 28 Jan 2023
Cited by 15 | Viewed by 3792
Abstract
The article describes how atherosclerosis and coronavirus disease 19 (COVID-19) may affect each other. The features of this comorbid pathogenesis at various levels (vascular, cellular and molecular) are considered. A bidirectional influence of these conditions is described: the presence of cardiovascular diseases affects [...] Read more.
The article describes how atherosclerosis and coronavirus disease 19 (COVID-19) may affect each other. The features of this comorbid pathogenesis at various levels (vascular, cellular and molecular) are considered. A bidirectional influence of these conditions is described: the presence of cardiovascular diseases affects different individuals’ susceptibility to viral infection. In turn, severe acute respiratory syndrome coronavirus 2 (SARS-CoV-2) can have a negative effect on the endothelium and cardiomyocytes, causing blood clotting, secretion of pro-inflammatory cytokines, and thus exacerbating the development of atherosclerosis. In addition to the established entry into cells via angiotensin-converting enzyme 2 (ACE2), other mechanisms of SARS-CoV-2 entry are currently under investigation, for example, through CD147. Pathogenesis of comorbidity can be determined by the influence of the virus on various links which are meaningful for atherogenesis: generation of oxidized forms of low-density lipoproteins (LDL), launch of a cytokine storm, damage to the endothelial glycocalyx, and mitochondrial injury. The transformation of a stable plaque into an unstable one plays an important role in the pathogenesis of atherosclerosis complications and can be triggered by COVID-19. The impact of SARS-CoV-2 on large vessels such as the aorta is more complex than previously thought considering its impact on vasa vasorum. Current information on the mutual influence of the medicines used in the treatment of atherosclerosis and acute COVID-19 is briefly summarized. Full article
(This article belongs to the Section Diagnostic Microbiology and Infectious Disease)
Show Figures

Figure 1

Back to TopTop