Sign in to use this feature.

Years

Between: -

Subjects

remove_circle_outline
remove_circle_outline
remove_circle_outline
remove_circle_outline
remove_circle_outline
remove_circle_outline
remove_circle_outline
remove_circle_outline
remove_circle_outline

Journals

remove_circle_outline
remove_circle_outline
remove_circle_outline
remove_circle_outline
remove_circle_outline
remove_circle_outline
remove_circle_outline
remove_circle_outline
remove_circle_outline
remove_circle_outline
remove_circle_outline
remove_circle_outline
remove_circle_outline
remove_circle_outline
remove_circle_outline
remove_circle_outline
remove_circle_outline
remove_circle_outline
remove_circle_outline
remove_circle_outline
remove_circle_outline
remove_circle_outline
remove_circle_outline
remove_circle_outline
remove_circle_outline
remove_circle_outline

Article Types

Countries / Regions

remove_circle_outline
remove_circle_outline
remove_circle_outline
remove_circle_outline
remove_circle_outline
remove_circle_outline
remove_circle_outline
remove_circle_outline

Search Results (9,447)

Search Parameters:
Keywords = superoxide

Order results
Result details
Results per page
Select all
Export citation of selected articles as:
24 pages, 8920 KB  
Article
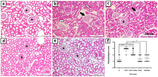
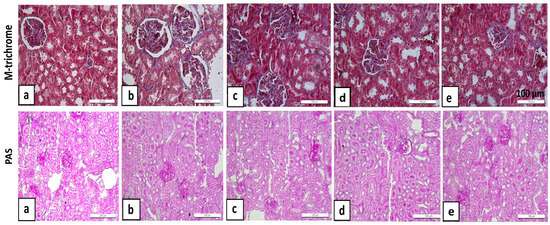
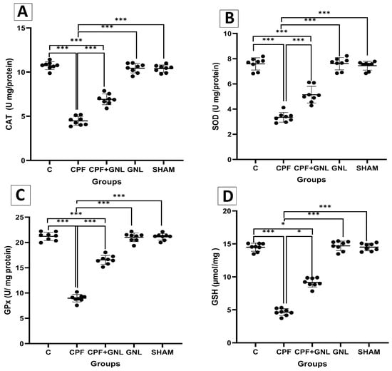
Protective Antioxidant Effects of Ganoderma lucidum Against Prenatal Chlorpyrifos-Induced Developmental Nephrotoxicity in Rats
by Şeyma Şimşirgil Kara and Dilek Sağır
Biomedicines 2026, 14(3), 658; https://doi.org/10.3390/biomedicines14030658 - 13 Mar 2026
Abstract
Background/Objectives: Chlorpyrifos (CPF), a widely used organophosphate pesticide, has been associated with oxidative stress-mediated renal injury. Prenatal exposure may pose a risk for developmental nephrotoxicity; however, data regarding protective natural agents remain limited. This study evaluated the protective effects of Ganoderma lucidum (GNL) [...] Read more.
Background/Objectives: Chlorpyrifos (CPF), a widely used organophosphate pesticide, has been associated with oxidative stress-mediated renal injury. Prenatal exposure may pose a risk for developmental nephrotoxicity; however, data regarding protective natural agents remain limited. This study evaluated the protective effects of Ganoderma lucidum (GNL) against CPF-induced renal alterations in rat offspring. Methods: Pregnant rats received CPF (5 mg/kg) and/or GNL (400 mg/kg) orally throughout gestation. On postnatal day 28, blood and kidney tissues from male offspring were collected for biochemical, ELISA, histopathological, immunohistochemical, and stereological analyses. Results: Prenatal CPF exposure significantly elevated serum urea and creatinine levels and induced oxidative stress, evidenced by increased malondialdehyde (MDA) and nitric oxide (NO) levels and decreased antioxidant enzyme activities (Superoxide dismutase (SOD), catalase (CAT), glutathione peroxidase (GPx), and reduced glutathione (GSH)) (all p < 0.05). Renal TNF-α and IL-6 levels were significantly increased, indicating inflammatory activation. Apoptotic signaling was enhanced, demonstrated by elevated cleaved caspase-3 levels and an altered Bax/Bcl-2 ratio. Tubular injury biomarkers, kidney injury molecule-1 (KIM-1) and neutrophil gelatinase-associated lipocalin (NGAL), were markedly increased. Histopathological findings revealed tubular degeneration, while stereological analysis confirmed significant increases in cortical and glomerular volumes. GNL co-treatment attenuated oxidative stress, suppressed inflammatory cytokines, reduced caspase-3 activation, lowered KIM-1 and NGAL levels, and preserved renal structure. Conclusions: Prenatal CPF exposure induces developmental nephrotoxicity through interconnected oxidative, inflammatory, and apoptotic mechanisms. Ganoderma lucidum mitigates these alterations by restoring antioxidant defense systems, modulating the Bax/Bcl-2 apoptotic balance, suppressing pro-inflammatory cytokine production, reducing tubular injury markers, and normalizing stereologically detected renal structural changes. Full article
(This article belongs to the Section Cell Biology and Pathology)
Show Figures

Figure 1

20 pages, 3544 KB  
Article
Study on the Construction and Performance Measurement of Tm2FeSbO7/BiYO3 Heterojunction Photocatalyst and the Photocatalytic Degradation of Sulfamethoxazole in Pharmaceutical Wastewater Under Visible Light Irradiation
by Jingfei Luan, Yu Cao, Jian Wang, Liang Hao, Anan Liu and Hengchang Zeng
Inorganics 2026, 14(3), 82; https://doi.org/10.3390/inorganics14030082 - 13 Mar 2026
Abstract
A novel catalyst, Tm2FeSbO7, was synthesized by employing the solid-phase high-temperature sintering method, and, for the first time, it was utilized to create a Z-type heterojunction with BiYO3. A direct Z-scheme Tm2FeSbO7/BiYO3 [...] Read more.
A novel catalyst, Tm2FeSbO7, was synthesized by employing the solid-phase high-temperature sintering method, and, for the first time, it was utilized to create a Z-type heterojunction with BiYO3. A direct Z-scheme Tm2FeSbO7/BiYO3 heterojunction photocatalyst (TBHP) was successfully produced by employing the ball-milling technique. X-ray diffraction analysis results indicated that Tm2FeSbO7 crystallized in a cubic pyrochlorestructure which owned the Fd-3m space group, with a unit cell parameter of 10.1769 Å, whereas BiYO3 displayed a fluorite structure in the Fm-3m space group, with a unit cell parameter of 5.4222 Å. The Mossbauer spectrum of Tm2FeSbO7 showed that Fe3+ ions might locate at octahedral sites. The measured bandgap widths for the TBHP, Tm2FeSbO7, and BiYO3 were 2.14 eV, 2.21 eV, and 2.30 eV, respectively. Multiple experimental results demonstrated that the TBHP exhibited a higher valence band ionization potential, a narrower band gap width, and a higher removal efficiency of the sulfamethoxazole (SMX) compared with the Dy2TmSbO7/BiHoO3 heterojunction photocatalyst. Under visible-light irradiation (VISLI) of 115 min, the TBHP showcased exceptional photocatalytic elimination performance; therefore, the elimination rate of the SMX and the total organic carbon (TOC) mineralization rate reached 99.51% and 98.10%, respectively. In contrast to single-component Tm2FeSbO7, BiYO3, or conventional nitrogen-doped titanium dioxide (N-TiO2) catalyst, the TBHP exhibited removal efficiency enhancement for degrading the SMX by 1.17 times, 1.31 times, or 4.06 times. Simultaneously, the matching mineralization rate for removing the TOC density by employing the TBHP was 1.20 times, 1.34 times, or 4.73 times higher than that by employing Tm2FeSbO7, BiYO3, or conventional N-TiO2. Above experimental results indicated that the mineralization efficiency for removing TOC density by employing the TBHP was higher than that by employing Tm2FeSbO7, BiYO3, or N-TiO2. Radicals trapping experiments and the electron paramagnetic resonance spectroscopy results revealed that hydroxyl radicals, superoxide anions, and photoinduced holes were the primary active species during the catalytic elimination course of the SMX by employing the TBHP under VISLI. The results demonstrated that the direct Z-scheme TBHP, which was developed in this study, exhibited the maximal removal efficiency for degrading the SMX in contrast to Tm2FeSbO7, BiYO3, or N-TiO2. Additionally, the possible elimination routes and elimination mechanisms of the SMX were proposed. Therefore, an important scientific foundation for developing high-performance heterojunction catalysts was established. Full article
(This article belongs to the Special Issue Metal-Based Photocatalysts: From Synthesis to Applications)
Show Figures

Figure 1

18 pages, 3870 KB  
Article
Developmental Toxicity of Chlorinated Polyfluorinated Ether Sulfonate (F-53B), a Perfluorooctane Sulfonate (PFOS) Alternative, in Embryos and Larvae of Blotched Snakehead (Channa maculata)
by Yuntao Lu, Ziwen Yang, Yang Zou, Yueying Deng, Luping Liu, Jian Zhao, Qing Luo, Haiyang Liu, Shuzhan Fei, Kunci Chen, Yuandong Sun and Mi Ou
Antioxidants 2026, 15(3), 368; https://doi.org/10.3390/antiox15030368 - 13 Mar 2026
Abstract
Chlorinated polyfluoroalkyl ether sulfonate (F-53B), a common substitute for perfluorooctane sulfonate (PFOS), exhibits similar environmental persistence and bioaccumulation potential, raising concerns about its ecological and health impacts. However, comprehensive toxicological data remain limited for adequate environmental risk assessment. In this study, we evaluated [...] Read more.
Chlorinated polyfluoroalkyl ether sulfonate (F-53B), a common substitute for perfluorooctane sulfonate (PFOS), exhibits similar environmental persistence and bioaccumulation potential, raising concerns about its ecological and health impacts. However, comprehensive toxicological data remain limited for adequate environmental risk assessment. In this study, we evaluated the developmental toxicity of F-53B using embryos/larvae of a commercially important benthic fish, blotched snakehead (Channa maculata). Embryos (<1 h post-fertilization, hpf) were exposed to various concentrations of F-53B (0.002, 0.02, 0.2, and 2 mg/L) for 120 h. Exposure resulted in concentration-dependent adverse effects, including reduced hatching success, increased mortality, and morphological malformations (yolk sac edema, spinal curvature). Histopathological analysis revealed substantial hepatic injury (vacuolization, nuclear pyknosis) and intestinal damage (villi atrophy) at higher concentrations (0.2 and 2 mg/L). Mechanistically, F-53B induced oxidative stress through inhibition of superoxide dismutase (SOD) and catalase (CAT), depletion of glutathione (GSH), and elevated malondialdehyde (MDA). Additionally, the observed immune dysregulation was characterized by the up-regulation of pro-inflammatory cytokines, including interleukin 1β (IL-1β), interleukin 8 (IL-8), and tumor necrosis factor-α (TNF-α), consistent with activation of the TLR-MAPK signaling pathway, and coincided with a shift from metabolic adaptation to pronounced inflammation. These integrated findings indicate that F-53B impairs early development in C. maculata through pathways involving oxidative damage, tissue injury, and immune disruption. This underscores the ecological risk F-53B poses to aquatic organisms and highlights the need for more comprehensive environmental risk assessment. Full article
Show Figures

Figure 1

17 pages, 7525 KB  
Article
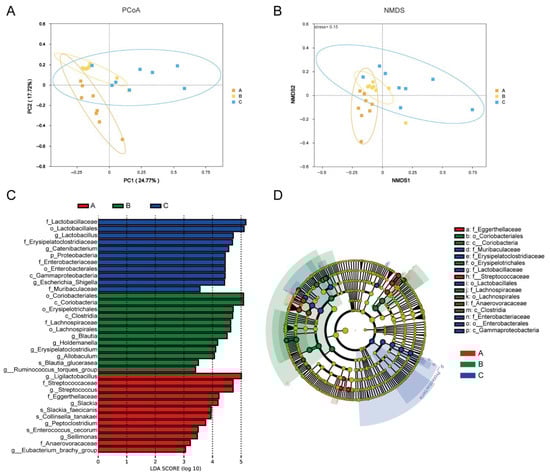
Effects of a Low-Fat Diet Supplemented with Plant Extract on Lipid Metabolism, Antioxidant Capacity, Inflammation, and Gut Microbiota in Healthy Beagles
by Mengdi Zhao, Yixin Wang, Yuanyuan Zhang, Xinda Liu, Wenhao Wang and Guangyu Li
Vet. Sci. 2026, 13(3), 266; https://doi.org/10.3390/vetsci13030266 - 13 Mar 2026
Abstract
Obesity has become a major disease in dogs and cats. Dietary management is a preventive measure because controlling energy intake (e.g., portion size and diet energy density) helps maintain an ideal BCS and reduces the likelihood of progressive weight gain and associated metabolic [...] Read more.
Obesity has become a major disease in dogs and cats. Dietary management is a preventive measure because controlling energy intake (e.g., portion size and diet energy density) helps maintain an ideal BCS and reduces the likelihood of progressive weight gain and associated metabolic abnormalities. This study evaluated a low-fat diet, with or without plant-extract supplementation, and its effects on serum biochemistry, lipid metabolism, gut microbiota, and metabolic profiles in healthy beagles. Thirty beagles were randomly divided into three groups (n = 10 per group): a conventional diet (Group A), a low-fat diet (Group B), and a low-fat diet supplemented with plant extract (Group C). The experiment lasted for a total of 9 weeks, comprising an adaptation period of one week and an experimental period of eight weeks. Results showed that, compared with Group A, the low-fat diet interventions (Groups B and C) significantly reduced serum levels of triglycerides, low-density lipoprotein, and total bile acids (p < 0.05). Furthermore, superoxide dismutase activity was significantly higher in Groups B and C than in Group A (p < 0.05). Compared with both Groups A and B, Group C exhibited significantly lower malondialdehyde levels, reduced proinflammatory cytokines (tumor necrosis factor-α, interleukin-1β, interleukin-6; p < 0.05), and decreased serum diamine oxidase activity and lipopolysaccharide levels (p < 0.05). The gut microbiota analysis revealed that Group C had a significantly increased relative abundance of beneficial bacteria, such as Lactobacillus (p < 0.05). Metabolomic analysis further indicated that beneficial metabolites, including γ-aminobutyric acid and glutamine, were significantly upregulated in Group C (p < 0.05). In conclusion, while a low-fat diet effectively regulated serum lipids in healthy dogs, the supplementation of a blended extract from Atractylodes lancea, Magnolia officinalis, and Citrus reticulata Blanco demonstrated broader efficacy. It further improved lipid metabolism, systemic antioxidant status, and intestinal barrier function, while attenuating inflammation and enriching beneficial gut microbes (Lactobacillus) and metabolites (GABA and glutamine). These findings suggest that while a low-fat diet alone is beneficial, its combination with plant extract provides a novel dietary strategy for promoting lipid metabolism and potentially reducing obesity-related disease risk in dogs. Full article
(This article belongs to the Special Issue The Role of Gut Microbiome in Regulating Animal Health)
Show Figures

Figure 1

19 pages, 17864 KB  
Article
The Enhancement of Abiotic Stress Tolerance in Arabidopsis via Heterologous Overexpression of TcDHN1, a Dehydrin Identified in the Recalcitrant Seeds of Taxillus chinensis
by Ya Qin, Yuqiong Li, Cuihong Yang, Wenjing Liang, Lingjian Gui, Lisha Song, Jie Shen, Ru Chen, Limei Pan, Shugen Wei and Lingyun Wan
Plants 2026, 15(6), 884; https://doi.org/10.3390/plants15060884 - 12 Mar 2026
Abstract
Taxillus chinensis (DC.) Danser is an important hemiparasitic medicinal plant whose propagation is severely limited by the desiccation sensitivity of its recalcitrant seeds. Dehydrins (DHNs), which protect plants against dehydration-induced stresses such as salinity, drought, and low temperatures, may play a critical role [...] Read more.
Taxillus chinensis (DC.) Danser is an important hemiparasitic medicinal plant whose propagation is severely limited by the desiccation sensitivity of its recalcitrant seeds. Dehydrins (DHNs), which protect plants against dehydration-induced stresses such as salinity, drought, and low temperatures, may play a critical role in protecting recalcitrant seeds. However, the role of DHNs in the seeds of T. chinensis remains unclear. In this study, a differentially expressed gene was identified from the seed transcriptome of T. chinensis and designated TcDHN1. Sequence alignment and phylogenetic analyses revealed that TcDHN1 encodes a dehydrin protein. Heterologous overexpression of TcDHN1 in Arabidopsis did not affect growth under normal conditions. Under salt, drought, and cold stresses, transgenic lines exhibited higher seed germination rates, longer primary roots, and improved seedling growth compared with wild-type (WT) plants. The transgenic lines showed significantly increased activities of antioxidant enzymes, including superoxide dismutase, catalase, and peroxidase. In addition, ectopic overexpression of TcDHN1 in Arabidopsis conferred enhanced tolerance to abiotic stresses compared to WT plants, accompanied by increased expression of the stress-responsive genes Responsive to Desiccation 29A (AtRD29A) and Heat Shock Protein 70-1 (AtHSP70-1). The above results indicate that TcDHN1 confers enhanced tolerance to abiotic stresses. This study provides a functional characterization of an abiotic stress-responsive gene from recalcitrant seeds and identifies a potential genetic resource for molecular breeding. This could potentially improve abiotic stress resistance in T. chinensis and related medicinal plants. Full article
Show Figures

Figure 1

15 pages, 1253 KB  
Article
Antioxidant and Cytoprotective Effects of Fermented Panax ginseng Berry and Root Extracts
by Mihye Park and Sun Mee Lee
Fermentation 2026, 12(3), 148; https://doi.org/10.3390/fermentation12030148 - 12 Mar 2026
Abstract
The roots of Panax ginseng are well known for their bioactive properties, while its berries have recently attracted attention for their pharmacological potential. This study investigated whether fermentation with Lactiplantibacillus plantarum enhances the antioxidant properties of ginseng roots and berries and their protective [...] Read more.
The roots of Panax ginseng are well known for their bioactive properties, while its berries have recently attracted attention for their pharmacological potential. This study investigated whether fermentation with Lactiplantibacillus plantarum enhances the antioxidant properties of ginseng roots and berries and their protective effects against oxidative stress in vitro. Fermentation significantly increased total polyphenol, flavonoid, and saponin contents and promoted the conversion of major ginsenosides (ginsenoside Rg1, ginsenoside Rb1, and ginsenoside Rb2), which are relatively less bioavailable, into minor ginsenosides (ginsenoside Rh1, ginsenoside Rg2, and ginsenoside Rg3) with enhanced biological activity and bioavailability. Fermented extracts exhibited higher radical-scavenging activities in 2,2-diphenyl-1-picrylhydrazyl (DPPH), 2,2′-azino-bis(3-ethylbenzothiazoline-6-sulfonic acid) (ABTS), and ferric reducing antioxidant power (FRAP) assays than non-fermented extracts. In tert-butyl hydroperoxide (t-BHP)-stimulated Chang liver cells, fermented extracts reduced intracellular reactive oxygen species (ROS) generation, inhibited lipid peroxidation, restored the reduced glutathione/oxidized glutathione (GSH/GSSG) ratio, and enhanced antioxidant enzyme activities, including superoxide dismutase (SOD) and catalase (CAT). These results demonstrate that L. plantarum-mediated fermentation effectively enhances the antioxidant and cytoprotective potential of ginseng roots and berries, supporting their application as functional food ingredients. Full article
(This article belongs to the Section Probiotic Strains and Fermentation)
Show Figures

Figure 1

19 pages, 12841 KB  
Article
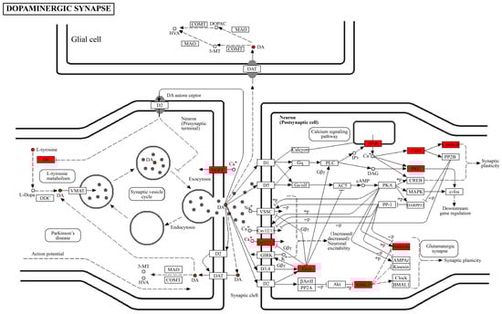
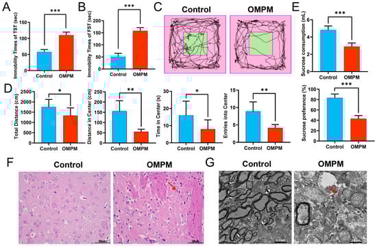
Protein Modifications and Metabolic Alterations in the Rat Striatum Following Oil Mist Particulate Matter Exposure Revealed via Untargeted Metabolomics and Phosphoproteomics
by Huipeng Nie, Xuan Liu, Yue Shi, Huanliang Liu, Wenqing Lai, Kang Li, Lei Tian, Zhuge Xi and Bencheng Lin
Toxics 2026, 14(3), 249; https://doi.org/10.3390/toxics14030249 - 12 Mar 2026
Abstract
Prolonged occupational exposure to oil mist particulate matter (OMPM) poses health risks, yet its neurotoxic effects and underlying mechanisms remain poorly understood. Here, OMPM generated from turbine oil commonly used in occupational labor environments was used to expose rats. The rats were divided [...] Read more.
Prolonged occupational exposure to oil mist particulate matter (OMPM) poses health risks, yet its neurotoxic effects and underlying mechanisms remain poorly understood. Here, OMPM generated from turbine oil commonly used in occupational labor environments was used to expose rats. The rats were divided into the control and OMPM groups. Following 42 days of exposure, a multidimensional assessment was performed using untargeted metabolomics, phosphoproteomics, behavioral testing, hematoxylin–eosin (HE) staining, transmission electron microscopy (TEM), colorimetric assays, enzyme-linked immunosorbent assay, and Western blotting (WB) to evaluate metabolic alterations, protein phosphorylation, and tissue integrity in the striatum. Integrated omics analyses revealed that differentially phosphorylated proteins and metabolites were remarkably enriched in dopaminergic synapse, Parkinson’s disease, and amphetamine addiction pathways (FDR < 0.05), with a regulatory axis involving L-tyrosine, tyrosine hydroxylase (TH), and dopamine (DA) identified. OMPM-exposed rats exhibited depression- and anxiety-like behaviors, alongside striatal pathological and ultrastructural damage. Biochemical analyses showed elevated malondialdehyde and reactive oxygen species levels; reduced superoxide dismutase, glutathione, and glutathione peroxidase activities and total antioxidant capacity; increased glutathione disulfide and inducible nitric oxide synthase expression; and decreased DA and L-tyrosine levels. Additionally, proinflammatory mediators (IL-1β, IL-6, TNF-α, MCP-1, and PGD2) were significantly upregulated in the striatum. WB analysis further confirmed significant reductions in the relative phosphorylation levels of key regulators in dopaminergic and calcium signaling pathways, including CALM3, CaMK2b, GSK-3β, PRKCG, and TH. Collectively, these findings reveal critical molecular and biochemical alterations in the rat striatum following OMPM exposure and provide a mechanistic basis for understanding depression-like behaviors associated with prolonged OMPM exposure in occupational workers. Full article
(This article belongs to the Section Neurotoxicity)
Show Figures

Graphical abstract

27 pages, 3876 KB  
Article
Comparative Biofunctionality Assessment of Lignin and Lignin/Chitosan Nanoparticles: Impact of Chitosan Co-Assembly on Cytotoxicity, Cytocompatibility, Radical-Scavenging Activity, and Antimicrobial Performance
by Tsvetelina Zagorcheva, Boika Andonova-Lilova, Denitsa Georgieva, Silviya Hristova, Zhani Yanev, Nikolina Rusenova, Georgi Beev, Kamelia Petkova-Parlapanska, Galina Nikolova, Yanka Karamalakova and Zvezdelina Yaneva
Pharmaceutics 2026, 18(3), 350; https://doi.org/10.3390/pharmaceutics18030350 - 11 Mar 2026
Abstract
Background/Objectives: The aim of the present study was to conduct a systematic in vitro assessment of the biofunctionalities of newly synthesized lignin (LNPs) and lignin–chitosan nanoparticles (LCNPs) via a comparative in vitro estimation of their cytotoxicity, cytocompatability potential, radical-scavenging activity, and antimicrobial performance, [...] Read more.
Background/Objectives: The aim of the present study was to conduct a systematic in vitro assessment of the biofunctionalities of newly synthesized lignin (LNPs) and lignin–chitosan nanoparticles (LCNPs) via a comparative in vitro estimation of their cytotoxicity, cytocompatability potential, radical-scavenging activity, and antimicrobial performance, thereby establishing a benchmark for their sustainable design and biomedical applications. Methods: LNPs and LCNPs were synthesized via “green” self-assembly and co-assembly methods. Results: In vitro cytotoxicity studies on L929 fibroblasts and HaCaT keratinocytes demonstrated higher long-term viability for LCNPs (half-maximal inhibitory concentration IC50 = 3.05 mg/mL at 72 h) compared with LNPs (IC50 = 1.37 mg/mL), while both formulations maintained >76% viability at a concentration of 0.5 mg/mL. Electron Paramagnetic Resonance (EPR) and spectrophotometric antioxidant assays displayed strong radical scavenging activity, with LNPs excelling in OH, NO, and ABTS scavenging and LCNPs exhibiting enhanced lipid peroxidation and superoxide inhibition potential. Antimicrobial testing revealed minimal inhibitory concentration (MIC) reductions of the nanoparticles up to 8–13-fold compared to lignin solutions, with LCNPs showing higher activity against Gram-positive and Gram-negative microbial strains. Conclusions: These results highlight LCNPs as biocompatible, antioxidant, and antimicrobial nanoplatforms with potential for regenerative medicine, oxidative stress mitigation, and infection control. Full article
Show Figures

Figure 1

19 pages, 4924 KB  
Article
Earthworm Powder Mitigates Soybean Meal-Induced Growth Inhibition in Rice Field Eel (Monopterus albus) by Regulating Appetite and Improving Intestinal Health
by Kaiwen Hou, Hui Wang, Lin Zhang, Xiaohong Wang, Hao Zhang, Fangling Wang, Qiaonan Deng, Xiangxiang Yang, Junzhi Zhang and Yi Hu
Biology 2026, 15(6), 456; https://doi.org/10.3390/biology15060456 - 11 Mar 2026
Abstract
The substitution of fish meal with soybean meal (SBM) in aquafeeds aligns with sustainable development but often leads to depressed feed intake and growth in fish. This study aimed to investigate the mitigating effect of earthworm powder (EP) on these negative impacts in [...] Read more.
The substitution of fish meal with soybean meal (SBM) in aquafeeds aligns with sustainable development but often leads to depressed feed intake and growth in fish. This study aimed to investigate the mitigating effect of earthworm powder (EP) on these negative impacts in rice field eels (Monopterus albus), focusing on appetite regulation, intestinal health, and gut microbiota. Three isonitrogenous (~41% crude protein) and isolipidic (~6.4% crude lipid) diets (control [CON], high-SBM [SBM], and SBM + 2.5% EP [EP]) were tested in a 56-day trial. Juveniles (initial weight 18.00 ± 0.01 g) were stocked at 40 fish per net (0.5 m × 0.5 m× 0.5 m) and fed to visual satiety once daily. The results indicated that EP improved growth performance through a dual mechanism. Firstly, it was associated with significantly increased feed intake, correlated with the upregulated expression of orexigenic genes (agrp, npy) in the brain, and associated with reduced levels of anorexigenic hormones (Cholecystokinin, Leptin). Secondly, it correlated with enhanced intestinal health, evidenced by improved morphology (villus height, goblet cells), improved digestive enzyme activity, enhanced antioxidant capacity (increased Catalase and Superoxide Dismutase activities), repaired intestinal barrier function (upregulated zo-1, cla-12), and alleviated intestinal inflammation (downregulated tnf-α, il-1β). Furthermore, EP supplementation was associated with a shift in gut microbiota, including the suppression of the potential pathogen g_Clostridium_T and promotion of the beneficial bacterium g_Lactococcus_A, alongside increased concentrations of major short-chain fatty acids (acetate, propionate, and butyrate). These correlative observations suggest that EP may help mitigate the growth-inhibiting effects of SBM in Monopterus albus, offering a potential functional strategy for high-SBM aquafeeds. Full article
(This article belongs to the Section Marine and Freshwater Biology)
Show Figures

Figure 1

26 pages, 962 KB  
Review
Mineral–Vitamin Complexes in Sheep Nutrition: Patent Analysis and Functional Evaluation for Pregnant Ewes and Lambs
by Saltanat Baibatyrova, Akniyet Onerbayeva, Amirbek Sagyzbaev, Temirkhan Kenzhebaev, Zhazira Mukatayeva and Indira Kurmanbayeva
Molecules 2026, 31(6), 938; https://doi.org/10.3390/molecules31060938 - 11 Mar 2026
Viewed by 31
Abstract
Natural pasture, the primary feed source in sheep production, often provides insufficient levels of essential minerals and vitamins required for proper metabolic regulation during pregnancy and early development. This study aimed to analyze patent developments of mineral and vitamin complexes (MVCs) for pregnant [...] Read more.
Natural pasture, the primary feed source in sheep production, often provides insufficient levels of essential minerals and vitamins required for proper metabolic regulation during pregnancy and early development. This study aimed to analyze patent developments of mineral and vitamin complexes (MVCs) for pregnant ewes and lambs and to evaluate the biochemical and molecular relevance of their components based on scientific evidence. A search of the World Intellectual Property Organization (WIPO) database using the keywords “vitamins for sheep” and “minerals for sheep” identified 120 patents related to sheep feed additives, including 23 specifically formulated for pregnant ewes and lambs. Comparative analysis revealed that calcium, selenium, iron, copper, cobalt, sodium, manganese, zinc, and vitamins A, D, and E were the most frequently included components. These micronutrients play critical roles in enzymatic activity, regulation of gene expression, antioxidant defense systems, and mineral homeostasis. In particular, zinc and selenium function as structural and catalytic cofactors for antioxidant enzymes such as superoxide dismutase and glutathione peroxidase, while vitamins A and D regulate cellular differentiation and calcium–phosphorus metabolism through transcriptional control mechanisms. Additionally, functional additives, including amino acids and plant-derived bioactive compounds, contribute to improved mineral bioavailability and modulation of metabolic pathways. The analyzed formulations demonstrate a consistent focus on correcting mineral deficiencies, enhancing antioxidant protection, and supporting metabolic adaptation during pregnancy and early postnatal development. Overall, the findings indicate that modern MVCs are rationally formulated to improve mineral utilization, physiological stability, and reproductive outcomes, highlighting their critical role in optimizing maternal health and offspring viability in sheep production systems. Full article
(This article belongs to the Section Natural Products Chemistry)
Show Figures

Figure 1

19 pages, 7237 KB  
Article
Eupalinolide B Alleviates Oxidative Stress in LPS-Induced RAW264.7 Macrophages via Covalently Binding to PRDX4
by Ruishen Zhuge, Jianru Liu, Yueming Tian, Lirun Zhou, Yuanbo Wang, Huan Tang, Jinsheng Zhong, Wenhua Kuang and Xiangying Ouyang
Biomedicines 2026, 14(3), 629; https://doi.org/10.3390/biomedicines14030629 - 11 Mar 2026
Viewed by 30
Abstract
Background/Objectives: Eupalinolide B (EB), a natural compound derived from Eupatorium lindleyanum DC, has demonstrated multiple pharmacological activities. However, its role in modulating oxidative stress remains incompletely understood. Methods: In this study, we investigated the antioxidant effect and underlying mechanism of EB in lipopolysaccharide [...] Read more.
Background/Objectives: Eupalinolide B (EB), a natural compound derived from Eupatorium lindleyanum DC, has demonstrated multiple pharmacological activities. However, its role in modulating oxidative stress remains incompletely understood. Methods: In this study, we investigated the antioxidant effect and underlying mechanism of EB in lipopolysaccharide (LPS)-induced RAW264.7 macrophages. Results: EB significantly attenuated LPS-induced oxidative stress as evidenced by reduced levels of intracellular reactive oxygen species (ROS), nitric oxide (NO), and malondialdehyde (MDA) alongside enhanced superoxide dismutase (SOD) activity and an increased reduced/oxidized glutathione (GSH/GSSG) ratio. Using activity-based protein profiling, we identified peroxiredoxin 4 (PRDX4) as a key binding target of EB. Direct interaction was confirmed through labeling and competitive binding assays with purified PRDX4 protein. High-resolution mass spectrometry revealed that EB covalently binds to Cys54 and Cys248 residues of PRDX4. Furthermore, EB treatment upregulated PRDX4 protein expression in LPS-stimulated RAW264.7 cells. siRNA-mediated knockdown of PRDX4 significantly blunted the antioxidant effects of EB, confirming the functional relevance of this target. Conclusions: Our findings demonstrate that EB alleviates LPS-induced oxidative stress in macrophages by covalently binding to and stabilizing PRDX4, thereby enhancing cellular antioxidant capacity. This study unveils a novel mechanism whereby a natural product enhances cellular antioxidant capacity by covalently stabilizing a key peroxidase, highlighting the potential of EB as a therapeutic agent and PRDX4 as a promising target for oxidative stress-related diseases. Full article
(This article belongs to the Section Cell Biology and Pathology)
Show Figures

Graphical abstract

14 pages, 1195 KB  
Article
Natural Bioactive Peptides from Tree Peony Flowers: Multifunctional Effects on Skin Antioxidation, Wrinkle Reduction, Moisturization, and Melanin Inhibition
by Yunzong Liu, Ruofei Zheng, Linyue Zhong, Junyang Huang, Xuefang Guan, Juqing Huang, Mei Xu, Yafeng Zheng and Qi Wang
Antioxidants 2026, 15(3), 350; https://doi.org/10.3390/antiox15030350 - 11 Mar 2026
Viewed by 58
Abstract
The edible tree peony (Paeonia suffruticosa Andrews) flowers are rich in bioactive components with potential health benefits, but the skin-health-promoting effects of their protein hydrolysates remain understudied. The present research sought to evaluate the antioxidant, anti-wrinkle, moisturizing, and whitening properties of tree [...] Read more.
The edible tree peony (Paeonia suffruticosa Andrews) flowers are rich in bioactive components with potential health benefits, but the skin-health-promoting effects of their protein hydrolysates remain understudied. The present research sought to evaluate the antioxidant, anti-wrinkle, moisturizing, and whitening properties of tree peony flower protein hydrolysate (TPFP). TPFP was prepared via enzymatic hydrolysis and ultrafiltration, and its peptide sequences were identified by liquid chromatography-tandem mass spectrometry (LC-MS/MS), revealing 54 unique small-molecule peptides with an average amino acid length of 8.2 residues and a molecular weight of 914.51 Da. In vitro safety evaluation using CCK-8 assay showed TPFP (20–100 μM) did not induce substantial cytotoxic effects in either HaCaT keratinocytes or B16F10 melanoma cell lines. Functional assays demonstrated that TPFP dose-dependently inhibited UVB-induced reactive oxygen species (ROS) overproduction and restored superoxide dismutase (SOD) and catalase (CAT) activities in HaCaT cells, exerting antioxidant effects. Additionally, TPFP protected pro-collagen I from UVB-induced loss, suppressed the expression of matrix metalloproteinase 1 (MMP-1), and restored hyaluronic acid (HA) content, showing anti-wrinkle and moisturizing potentials. In α-MSH-stimulated B16F10 cells, TPFP suppressed melanin synthesis by downregulating the protein expression of tyrosinase (TYR), tyrosinase-related protein 1 (TRP-1), and TRP-2, achieving a whitening effect. These findings indicate that TPFP possesses comprehensive skin-health-promoting activities with good biocompatibility, highlighting its potential as a natural functional ingredient in cosmetics and functional foods. Full article
(This article belongs to the Special Issue Antioxidants in Cosmetics)
Show Figures

Figure 1

26 pages, 1906 KB  
Review
Diet–Microbiome–Redox Interactions and Oxidative Stress Biomarkers in Livestock: Computational and Spatial Perspectives for Translational Health and Production
by Paweł Kowalczyk, Apoloniusz Kurylczyk, Andrzej Węglarz and Joanna Makulska
Int. J. Mol. Sci. 2026, 27(6), 2556; https://doi.org/10.3390/ijms27062556 - 11 Mar 2026
Viewed by 52
Abstract
Oxidative stress (OS) is a central regulator of health and productivity in livestock, emerging from complex interactions between dietary inputs, microbiome composition, environmental stressors, and host metabolism. This narrative review synthesizes current knowledge on OS in cattle, pigs, sheep, and poultry, emphasizing mechanistic [...] Read more.
Oxidative stress (OS) is a central regulator of health and productivity in livestock, emerging from complex interactions between dietary inputs, microbiome composition, environmental stressors, and host metabolism. This narrative review synthesizes current knowledge on OS in cattle, pigs, sheep, and poultry, emphasizing mechanistic pathways, tissue-specific responses, and translational applications. We highlight the central role of redox–inflammatory signaling hubs, including nuclear factor kappa B (NF-κB), nuclear factor erythroid 2–related factor 2 (Nrf2)/Kelch-like ECH-associated protein 1 (Keap1), and inflammasomes, as integrators of metabolic and immune stress. Microbiome–metabolome interactions modulate systemic oxidative responses, influencing liver, mammary gland, gastrointestinal tract, adipose tissue, and reproductive tissues. Oxidative stress-related biochemical and molecular alterations are captured by a range of biomarkers, such as malondialdehyde (MDA), Total Antioxidant Capacity (TOAC), gluthatione peroxidase (GPx), superoxide dismutase (SOD), paraoxonase-1 (PON1), cytokines, and gene expression profiles, measurable in blood, milk, saliva, and tissues. Integrating these markers enables precision diagnostics, early disease detection, and evidence-based nutritional interventions. Furthermore, computational modeling and spatial–socioeconomic perspectives offer novel approaches to translate molecular redox insights into practical livestock management strategies. By framing OS as a regulated, context-dependent process rather than a simple imbalance of reactive oxygen species, this review advances a conceptual, cross-species framework for understanding, monitoring, and mitigating oxidative stress in livestock. This integrative perspective provides a foundation for targeted antioxidant strategies and sustainable production practices, bridging molecular mechanisms with practical applications in animal health and productivity. Full article
Show Figures

Figure 1

20 pages, 3757 KB  
Article
Physiological, Biochemical and Transcriptomic Mechanisms Underlying the Mitigation of Salt Stress in Cabernet Sauvignon Grapevine Seedlings by Foliar Application of a Seaweed-Based Biostimulant (Jinmei Extract)
by Junhong Dang, Lei Ma, Guojie Nai, Ping Sun, Jingrong Zhang, Zhilong Li, Yanni Liu, Xiaoyu Song, Liting Feng, Sheng Li and Shaoyin Ma
Agriculture 2026, 16(6), 636; https://doi.org/10.3390/agriculture16060636 - 10 Mar 2026
Viewed by 129
Abstract
Salt stress is one of the major abiotic constraints limiting the growth of grapevine (Vitis vinifera L.). Although seaweed-based biostimulants have been widely reported to enhance plant stress tolerance, the physiological and molecular mechanisms underlying their foliar application-mediated alleviation of salt stress [...] Read more.
Salt stress is one of the major abiotic constraints limiting the growth of grapevine (Vitis vinifera L.). Although seaweed-based biostimulants have been widely reported to enhance plant stress tolerance, the physiological and molecular mechanisms underlying their foliar application-mediated alleviation of salt stress in grapevine remain poorly understood. In this study, 1-year-old grapevine (‘Cabernet Sauvignon’) seedlings were grown to the 15–20 leaf stage prior to treatment. The seedlings were then exposed to 200 mmol·L−1 NaCl with foliar spraying of three doses of seaweed-based biostimulant: low (SLF, 1:1200 dilution), medium (SMF, 1:800 dilution), and high (SHF, 1:500 dilution) concentrations of a seaweed-based biostimulant via foliar spraying. Physiological and biochemical parameters were determined, and transcriptomic analysis was performed to elucidate the regulatory mechanisms involved. The results showed that the low-concentration treatment exhibited the most pronounced mitigating effect, significantly reducing malondialdehyde and hydrogen peroxide contents by 35.47% and 27.53%, respectively, while markedly enhancing the activities of superoxide dismutase, catalase, and ascorbate peroxidase. In addition, SLF treatment effectively maintained Na+/K+ ionic homeostasis and preserved the normal functioning of the photosynthetic system under salt stress. Transcriptomic analysis revealed that 1482 differentially expressed genes (DEGs) were identified between the SLF and salt-stressed groups, including 593 upregulated and 869 downregulated genes. These DEGs were significantly enriched in pathways related to photosynthesis, hormone signal transduction, and antioxidant detoxification, indicating their active involvement in salt stress responses. Furthermore, weighted gene co-expression network analysis identified several candidate genes closely associated with these physiological processes, including VvAOC4, VvGBSS1, and VvARR9, suggesting a strong linkage between transcriptional regulation and physiological alleviation effects. Overall, this study provides novel insights into the coordinated physiological and molecular mechanisms by which foliar application of a seaweed-based biostimulant enhances salt stress tolerance in grapevine seedlings. Full article
(This article belongs to the Special Issue Abiotic Stress Responses in Horticultural Crops—2nd Edition)
Show Figures

Figure 1

21 pages, 3089 KB  
Article
The Regulatory Effects of Different Girdling Treatments on Leaf Senescence Characteristics and Fruit Quality in Kiwifruit
by Siyu Wang, Qian Chen, Meng Zhang, Huihui Tao, Guiqing Tu and Chao Xu
Horticulturae 2026, 12(3), 332; https://doi.org/10.3390/horticulturae12030332 - 10 Mar 2026
Viewed by 74
Abstract
This study elucidates the regulatory mechanisms of girdling on leaf senescence and fruit quality in ‘Jinyan’ kiwifruit, providing a theoretical basis for high-yield and high-quality cultivation. Ten-year-old vines were subjected to single (5 mm, 9 mm) and double (5 mm, 9 mm) girdling [...] Read more.
This study elucidates the regulatory mechanisms of girdling on leaf senescence and fruit quality in ‘Jinyan’ kiwifruit, providing a theoretical basis for high-yield and high-quality cultivation. Ten-year-old vines were subjected to single (5 mm, 9 mm) and double (5 mm, 9 mm) girdling treatments at two distinct stages: peak flowering stage (Group A) and 10 days post-anthesis (Group B). Physiological markers, including reactive oxygen species (ROS) and antioxidant enzyme activities, were monitored at 10, 35, and 70 days post-treatment and integrated with fruit quality metrics using Principal Component Analysis (PCA). Physiologically, girdling induced a transient oxidative burst, characterized by increased ROS accumulation proportional to girdling intensity. This triggered a robust antioxidant defense response, where superoxide dismutase (SOD), catalase (CAT), and peroxidase (POD) activities peaked at 35 days, effectively mitigating oxidative damage (MDA) during the healing phase. Concurrently, metabolic substrates (soluble protein, starch, and sugar) were significantly enriched in leaves. Agronomically, all treatments enhanced fruit yield, single-fruit weight, and soluble solids content (SSC). Notably, double girdling treatments specifically promoted fruit elongation and dry matter accumulation. Comprehensive evaluation identified distinct optimal strategies: while moderate single girdling (A2) was superior during flowering, double girdling (B3, B4) proved most effective post-anthesis. Ultimately, double girdling performed 10 days post-anthesis emerged as the optimal regimen, effectively balancing source-sink relationships to maximize both physiological function and fruit quality. Full article
(This article belongs to the Special Issue Advances in Cultivation and Breeding of Kiwifruit)
Show Figures

Figure 1

Back to TopTop