Sign in to use this feature.

Years

Between: -

Subjects

remove_circle_outline
remove_circle_outline
remove_circle_outline
remove_circle_outline
remove_circle_outline
remove_circle_outline
remove_circle_outline
remove_circle_outline

Journals

remove_circle_outline
remove_circle_outline
remove_circle_outline
remove_circle_outline
remove_circle_outline
remove_circle_outline
remove_circle_outline
remove_circle_outline
remove_circle_outline
remove_circle_outline
remove_circle_outline
remove_circle_outline
remove_circle_outline
remove_circle_outline
remove_circle_outline

Article Types

Countries / Regions

remove_circle_outline
remove_circle_outline
remove_circle_outline
remove_circle_outline
remove_circle_outline
remove_circle_outline
remove_circle_outline

Search Results (1,685)

Search Parameters:
Keywords = stroma

Order results
Result details
Results per page
Select all
Export citation of selected articles as:
15 pages, 1828 KB  
Article
High CD73 Expression Is Associated with Poor Prognosis in Biliary Tract Cancer Through Reduced Stromal Tumor-Infiltrating Lymphocytes
by Shoya Shiratori, Kazumichi Kawakubo, Kanako C. Hatanaka, Takuma Kobayashi, Teppei Konishi, Yoshiki Shinomiya, Soichiro Oda, Shunichiro Nozawa, Hiroki Yonemura, Ryo Sugiura, Kazuaki Harada, Yoshitsugu Nakanishi, Takehiro Noji, Shinya Tanaka, Satoshi Hirano, Masaki Kuwatani, Yutaka Hatanaka and Naoya Sakamoto
Cancers 2026, 18(6), 975; https://doi.org/10.3390/cancers18060975 - 18 Mar 2026
Abstract
Background: Biliary tract cancer (BTC) is an aggressive malignancy with limited therapeutic options and a poor prognosis. CD73 is upregulated under hypoxic conditions and promotes tumor progression. However, its clinical role in BTC and interaction with tumor-infiltrating lymphocytes (TILs) remain unclear. This study [...] Read more.
Background: Biliary tract cancer (BTC) is an aggressive malignancy with limited therapeutic options and a poor prognosis. CD73 is upregulated under hypoxic conditions and promotes tumor progression. However, its clinical role in BTC and interaction with tumor-infiltrating lymphocytes (TILs) remain unclear. This study aimed to elucidate the association between CD73 expression and prognosis in BTC, as well as its impact on the tumor microenvironment (TME) and TILs. Methods: This retrospective study included 100 patients who underwent curative BTC surgery at Hokkaido University Hospital between 2018 and 2023. Formalin-fixed tumor specimens were analyzed using DeepPathFinder™ (biomy Inc., Tokyo, Japan), an AI-based digital pathology platform enabling objective quantification of CD73 expression and lymphocyte infiltration within tumoral (T) and stromal (S) compartments. Immunohistochemistry for CD3, CD8, Foxp3, and CD163 was used to identify T-cell subsets and macrophages. Associations between CD73, TIL subsets, and overall survival (OS) were assessed using the Kaplan–Meier, Cox regression, and Spearman correlation analyses. Results: High T-CD73 expression was associated with shorter OS (hazard ratio [HR] = 1.97, p = 0.041), whereas S-CD73 showed no prognostic relevance. Conversely, high S-TIL density was correlated with improved survival (HR = 0.49, p = 0.032). T-CD73 expression was negatively correlated with stromal CD3+ and CD8+ T-cell densities, indicating selective suppression of stromal cytotoxic T-lymphocyte (CTL) infiltration. No significant correlations were observed between Foxp3+ T cells and CD163+ M2 macrophages. Conclusions: CD73 upregulation in tumor cells impairs stromal CTL and TIL activity, leading to a poor prognosis. Spatial distribution, rather than total TIL number, better reflects effective anti-tumor immunity. Full article
Show Figures

Figure 1

10 pages, 2681 KB  
Case Report
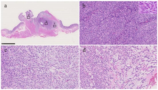
A Multidisciplinary Approach to the Diagnosis and Management of a Mammary Myofibroblastoma in a Male with a History of Diffuse Large B-Cell Lymphoma: A Case Report
by Carmen Montes Fernández, Norma C. Gutiérrez, Elena Alejo Alonso, Susana Gallego García, Luis Gonzaga Díaz-González, José Luis Revilla Hernández, María Ángeles Hernández García, Idalia González Morais, Miguel Ángel Cruz Sánchez, José María Sayagués and Luis Miguel Chinchilla-Tábora
Hematol. Rep. 2026, 18(2), 23; https://doi.org/10.3390/hematolrep18020023 - 17 Mar 2026
Abstract
Background and Clinical Significance: Diffuse Large B-Cell Lymphoma (DLBCL) is a morphologically and molecularly heterogeneous lymphoproliferative disorder that originates from a clonal B-cell ancestor. Patients usually present with rapidly enlarging lymph nodes or mass(es) at single or multiple sites. Generally, 18F-Fluorodeoxyglucose (18F-FDG) [...] Read more.
Background and Clinical Significance: Diffuse Large B-Cell Lymphoma (DLBCL) is a morphologically and molecularly heterogeneous lymphoproliferative disorder that originates from a clonal B-cell ancestor. Patients usually present with rapidly enlarging lymph nodes or mass(es) at single or multiple sites. Generally, 18F-Fluorodeoxyglucose (18F-FDG) positron emission tomography with computed tomography (PET-CT) is performed post-treatment to evaluate remission status, especially in radiologically residual tumors. Myofibroblastoma (MFB) is a benign mesenchymal tumor of the mammary stroma composed of fibroblasts and myofibroblasts. These entities do not often present concurrently. Case presentation: The patient was an 80-year-old man with a history of stage IV-BS Diffuse Large B-Cell Lymphoma (DLBCL) with a high-risk International Prognostic Index (IPI). The patient underwent treatment with a six-cycle R-CHOP regimen. Immediately after the last cycle, an 18F-Fluorodeoxyglucose (18F-FDG) positron emission tomography with computed tomography (PET-CT) scan revealed a nodular solid lesion with a faintly increased metabolic standardized uptake value (SUVmax) of 3 in the upper outer quadrant of his left breast. A biopsy of the breast lesion was performed, and it revealed a benign mesenchymal tumor, specifically a Myofibroblastoma. The patient has not presented any symptoms or complications since surgery (12 months) and remains in complete remission (CR). Conclusions: Given the potential diagnostic pitfalls and therapeutic implications of residual tumors in the context of DLBCL, a conscientious evaluation by a multidisciplinary team (MDT) is highly recommended. Full article
Show Figures

Figure 1

8 pages, 1254 KB  
Case Report
Plexiform Fibromyxoma with MALAT1–GLI1 Fusion with Limited Myxoid Stroma, Aberrant KIT Expression, and Diffuse D2-40 Expression: A Case Report
by Kotaro Watanabe, Kazuhito Tanaka, Kohei Ohkura, Kojiro Eto, Satoshi Ida, Kohei Yamashita, Yushi Kawakami, Keita Kai, Hidetaka Yamamoto, Yasuhito Tanaka, Masaaki Iwatsuki and Yoshiki Mikami
Diagnostics 2026, 16(6), 879; https://doi.org/10.3390/diagnostics16060879 - 16 Mar 2026
Abstract
Background and Clinical Significance: Plexiform fibromyxoma (PFM) is a rare benign gastric mesenchymal neoplasm characterized by multinodular plexiform growth of bland spindle cells in a myxoid or fibromyxoid stroma. We report a case of the cellular form of PFM with limited myxoid [...] Read more.
Background and Clinical Significance: Plexiform fibromyxoma (PFM) is a rare benign gastric mesenchymal neoplasm characterized by multinodular plexiform growth of bland spindle cells in a myxoid or fibromyxoid stroma. We report a case of the cellular form of PFM with limited myxoid stroma and aberrant KIT expression, resulting in diagnostic difficulty by biopsy. Case Presentation: A 59-year-old woman presented with a slowly enlarging 15 mm gastric antral submucosal tumor. A resected specimen by laparoscopic and endoscopic cooperative surgery revealed spindle cell proliferation forming plexiform nodules with a myxoid background in limited areas. Positive immunoreactivity of a subset of spindle cells for KIT suggested a diagnosis of gastrointestinal stromal tumor (GIST), although DOG1 was negative. In addition, diffuse staining for CD10, smooth muscle actin, and D2-40 was confusing. MALAT1::GLI1 fusion was detected by next-generation sequencing analysis. Consequently, a diagnosis of PFM was established. Conclusions: This case expands the morphologic and immunophenotypic spectrum of PFM and indicates the possible diagnostic utility and biological significance of D2-40 expression. Although molecular confirmation of MALAT1::GLI1 fusion is definitive for the diagnosis of PFM, the findings of the present case may aid diagnosis in challenging cases that mimic GIST. Full article
Show Figures

Figure 1

20 pages, 2583 KB  
Article
ASGR2 and CLEC12A as Prognostically Relevant C-Type Lectin Hubs in Glioblastoma
by Angelica Pace, Caterina Alfano, Luca D’Angelo, Chiara Napoletano, Ilaria Grazia Zizzari, Antonio Santoro, Marianna Nuti, Lorenzo Farina, Manuela Petti and Aurelia Rughetti
Int. J. Mol. Sci. 2026, 27(6), 2626; https://doi.org/10.3390/ijms27062626 - 13 Mar 2026
Viewed by 84
Abstract
In glioblastoma, the strong immunosuppression of the tumor immune microenvironment fosters tumor aggressiveness and decreases the effectiveness of therapeutic interventions, including immunotherapies. An intricate network of connections among tumor cells, stroma and infiltrating immune cells sustains immunosuppression. Lectins are immunoregulatory glycan-binding receptors contributing [...] Read more.
In glioblastoma, the strong immunosuppression of the tumor immune microenvironment fosters tumor aggressiveness and decreases the effectiveness of therapeutic interventions, including immunotherapies. An intricate network of connections among tumor cells, stroma and infiltrating immune cells sustains immunosuppression. Lectins are immunoregulatory glycan-binding receptors contributing to immunosuppression. Their targeting is proposed as an appealing strategy for anti-cancer therapy. In this work, network-based approaches were exploited to identify a lectin profile that could dissect the complexity of tumor-immunity interactions in glioblastoma. Differential co-expression analysis, employing TCGA, CGGA and GTEx databases (145, 133 and 255 samples, respectively), identified a cluster of novel C-type lectins, with ASGR2 and CLEC12A as principal hubs. Furthermore, TIMER2.0 analysis revealed that their expression was significantly associated with immunosuppressive cells. ASGR2 and CLEC12A expression was also validated by cytofluorimetric analysis on both tumor and liquid biopsies from 20 glioblastoma patients. We report that ASGR2 and CLEC12A C-type lectins are associated with tumor-infiltrating immunosuppressive myeloid subsets and discriminate patients’ poor prognosis. These results suggest that C-type lectins may contribute to the immunosuppressive network sustained by infiltrating myeloid immune cells in GB, resulting in exploitable targets for therapeutic interventions. Full article
(This article belongs to the Special Issue Recent Advances in Brain Tumor Research and Treatment)
Show Figures

Graphical abstract

29 pages, 1855 KB  
Review
The Interplay Between Circadian Clocks and the Tumour Microenvironment in Breast Cancer
by Anna-Marie Finger, Carolin Ector and Valerie M. Weaver
Cancers 2026, 18(6), 925; https://doi.org/10.3390/cancers18060925 - 12 Mar 2026
Viewed by 119
Abstract
Cancer is a heterogeneous systemic disease that is strongly influenced by dynamic interactions with the tumour microenvironment (TME). Despite major advances in understanding spatial and molecular tumour heterogeneity, the temporal dynamics of tumours have received far less attention. Growing evidence has linked circadian [...] Read more.
Cancer is a heterogeneous systemic disease that is strongly influenced by dynamic interactions with the tumour microenvironment (TME). Despite major advances in understanding spatial and molecular tumour heterogeneity, the temporal dynamics of tumours have received far less attention. Growing evidence has linked circadian clocks to cancer risk, progression, and treatment response, including in breast cancer. However, temporal regulation has yet to be recognized as a cancer hallmark, and its interaction with the TME remains poorly understood. This review examines how circadian rhythms organize breast cancer biology through bidirectional interactions with the TME. Circadian clocks coordinate proliferation, DNA damage responses, metabolism, and immune surveillance. Ageing, chronic stress, and obesity, all of which are established breast cancer risk modifiers, disrupt these rhythms and are reciprocally exacerbated by circadian dysfunction, establishing feed-forward loops that accelerate disease. Within the TME, the extracellular matrix (ECM) plays a central role in mediating this bidirectional control. Stiffened fibrotic stroma dampens epithelial clock amplitude, while circadian rhythms in turn shape collagen turnover and ECM remodelling. These dynamics can foster inflammation, stem cell expansion, and metastatic dissemination, including time-of-day-dependent release of circulating breast tumour cells. Systemically, circadian clocks gate immune cell trafficking, creating predictable windows of immunosurveillance and therapeutic vulnerability. By integrating insights from mechanobiology, metabolism, immune regulation, and ageing, we position circadian timing as a unifying layer that connects cell-intrinsic programmes with the evolving breast TME. Understanding these connections opens new opportunities for chronotherapeutic strategies in which treatment timing is aligned with circadian rhythms to improve outcomes. Full article
(This article belongs to the Special Issue Regulators of Breast Cancer Metastasis)
Show Figures

Figure 1

14 pages, 316 KB  
Review
The 3D Collagen Network as a Determinant of Tumor Progression and Drug Delivery Efficiency in Breast Cancer
by Mariana Hirata, Rogerio Padovan Gonçalves, Maria Eduarda Teixeira Pereira Cândido da Silva, Geovanna de Castro Feitosa, Caio Sérgio Galina Spilla, Domingos Donizeti Roque, Lisete Horn Belon Fernandes, Virgínia Maria Cavallari Strozze Catharin, Vitor Cavallari Strozze Catharin, Leila Maria Guissoni Campos, Ana Luiza Decanini Miranda de Souza, Eliana de Souza Bastos Mazuqueli Pereira, Juliana da Silva Soares de Souza, Maricelma da Silva Soares de Souza, Paulo Cezar Novais, Júlia Carolina Ferreira, Rose Eli Grassi Rici and Karina Torres Pomini
Pharmaceutics 2026, 18(3), 340; https://doi.org/10.3390/pharmaceutics18030340 - 10 Mar 2026
Viewed by 161
Abstract
Background/Objectives: Breast cancer is a biologically complex malignancy whose high prevalence and therapeutic resistance represent a continuous challenge for global health. The Tumor Microenvironment (TME) is a crucial component in disease progression, and the Extracellular Matrix (ECM), particularly its 3D collagen architecture, is [...] Read more.
Background/Objectives: Breast cancer is a biologically complex malignancy whose high prevalence and therapeutic resistance represent a continuous challenge for global health. The Tumor Microenvironment (TME) is a crucial component in disease progression, and the Extracellular Matrix (ECM), particularly its 3D collagen architecture, is recognized for mediating interactions that influence invasion, metastasis, and pharmacological response. This review aims to critically synthesize recent evidence to elucidate the multifaceted role of collagen in the progression and modulation of therapeutic response in breast adenocarcinoma. Methods: A comprehensive literature review was conducted, analyzing studies addressing specific collagen subtypes, ECM stiffening (fibrosis), biomechanical signaling, and their impact on drug transport kinetics and immunomodulatory effects. Results: The results demonstrate that structural alterations of collagen not only orchestrate a pro-tumoral microenvironment, fostering aggressive phenotypes and immune evasion, but also create a physical barrier that compromises drug delivery efficiency and promotes metastatic dissemination. The synthesis of the data reinforces collagen as a potent prognostic biomarker and a promising therapeutic target for overcoming stroma-mediated resistance. Conclusions: Targeting the collagen-rich stroma and its 3D network is a critical frontier for therapeutic innovation. Developing adjuvant strategies to modulate the ECM has the potential to enhance clinical outcomes and optimize the distribution of antineoplastic agents, especially in patients with high degrees of tumor fibrosis. Full article
Show Figures

Graphical abstract

24 pages, 4980 KB  
Article
Extracellular Vesicles from Bone Marrow Mesenchymal Stem Cells Modulate Proliferation, Migration, and Chemosensitivity in Ovarian Cancer Cells
by Yu-Hsun Chang, Kun-Chi Wu and Dah-Ching Ding
Int. J. Mol. Sci. 2026, 27(5), 2468; https://doi.org/10.3390/ijms27052468 - 7 Mar 2026
Viewed by 189
Abstract
Ovarian cancer is the most lethal gynecologic malignancy, with chemoresistance and recurrence driven by cancer stem cells (CSCs). Mesenchymal stem cell-derived extracellular vesicles (MSC-EVs) mediate tumor–stroma communication, but their role in ovarian cancer progression and therapy remains unclear. Here, we investigated bone marrow [...] Read more.
Ovarian cancer is the most lethal gynecologic malignancy, with chemoresistance and recurrence driven by cancer stem cells (CSCs). Mesenchymal stem cell-derived extracellular vesicles (MSC-EVs) mediate tumor–stroma communication, but their role in ovarian cancer progression and therapy remains unclear. Here, we investigated bone marrow (BM)-MSC-EVs, their effects on ovarian cancer cells, and the underlying molecular mechanisms. BM-MSCs were isolated, confirmed using flow cytometry and trilineage differentiation, and their EVs characterized using nanoparticle tracking analysis, transmission electron microscopy, and Western blotting. Kuramochi cells were treated with BM-MSC-EVs and assessed for proliferation, colony formation, migration, invasion, apoptosis, and chemosensitivity. Aldehyde dehydrogenase (ALDH+) Kuramochi cells, with or without EV exposure, were transplanted into non-obese diabetic severe combined immunodeficiency mice for xenograft studies, followed by histology, immunohistochemistry, Western blotting, and EV miRNA profiling. BM-MSC-EVs increased cancer cell proliferation but reduced colony formation, migration, and invasion in vitro. They sensitized ALDH+ CSC-like cells to carboplatin, while paclitaxel response remained unchanged. In vivo, EVs accelerated tumor growth and activated prosurvival (p-AKT, BCL-2), angiogenic (VEGFA, CD31), and epithelial–mesenchymal transition-associated (vimentin) pathways. EVs were found to be enriched in hsa-miR-100-5p, hsa-miR-122-5p, and hsa-let-7i-5p based on miRNA array analysis, and these findings were further validated by qRT-PCR. These findings reveal the dual roles of BM-MSC-EVs: enhancing carboplatin sensitivity while promoting tumor progression and angiogenesis. Full article
Show Figures

Figure 1

18 pages, 3779 KB  
Article
Mechanotransduction-Induced Gene Expression Reveals Activation of TGFβ/SKIL/TAZ Axis and Supports Invasive Phenotype in Triple-Negative Breast Cancer
by Rakesh K. Sharma, Maranda Kramer, Kenneth Hough, Tess Vessels, Lidya Canturk, Hong Wang, Reading Ashton, Mary Kathryn Sewell-Loftin, Kayla F. Goliwas, Jessy Deshane, Joel Berry and Selvarangan Ponnazhagan
Int. J. Mol. Sci. 2026, 27(5), 2456; https://doi.org/10.3390/ijms27052456 - 7 Mar 2026
Viewed by 238
Abstract
Triple-negative breast cancer (TNBC) is an aggressive subtype with limited treatment options. Emerging evidence shows that mechanotransduction, driven by matrix stiffness and mechanical signaling, promotes TNBC invasion and metastasis. As breast cancer progresses, expansion of fibroblasts and tumor-reactive stroma increases extracellular matrix deposition, [...] Read more.
Triple-negative breast cancer (TNBC) is an aggressive subtype with limited treatment options. Emerging evidence shows that mechanotransduction, driven by matrix stiffness and mechanical signaling, promotes TNBC invasion and metastasis. As breast cancer progresses, expansion of fibroblasts and tumor-reactive stroma increases extracellular matrix deposition, generating matrix tension and enhancing mechanotransduction, which promotes cell proliferation, invasion, and metastatic potential through altered gene expression patterns. To investigate the molecular mechanisms underlying these changes, human TNBC cells were subjected to constant or oscillatory strain, followed by comprehensive transcriptomic analysis. Results revealed pronounced differential expression of genes involved in cell migration, adhesion, and transforming growth factor-β (TGFβ) signaling, with RT-PCR validation confirming SKI Like Proto Oncogene (SKIL) as the most strongly upregulated gene. Analysis of The Cancer Genome Atlas (TCGA) datasets indicated that SKIL is highly expressed in multiple breast cancer subtypes. Cross-sectional comparison of oscillatory strain-induced genes with TCGA data revealed coordinated upregulation of TGFβ, SKIL, and other genes associated with invasive phenotypes, immune suppression, and drug resistance, highlighting the vital role of TGFβ signaling. Transcription factor enrichment analysis further identified regulators linked to oncogenic pathways, including TGFβ effectors and Hippo signaling, supporting a mechanotransduction-driven transcriptional program in breast cancer. Full article
(This article belongs to the Section Molecular Oncology)
Show Figures

Figure 1

19 pages, 2647 KB  
Article
Adipocyte-Derived Extracellular Vesicles Endow Melanoma Cells with Stem-like Traits via PGC-1α–Mediated Mitochondrial Reprogramming
by Gaia Giannitti, Sara Marchesi, Riccardo Garavaglia, Ivan Preosto, Emanuela Carollo, Patrizia Sartori and Fabrizio Fontana
Antioxidants 2026, 15(3), 333; https://doi.org/10.3390/antiox15030333 - 6 Mar 2026
Viewed by 253
Abstract
Melanoma is an aggressive cancer characterized by a rapid metastatic process. Thus, understanding the mechanisms underlying its progression is urgently needed to improve patient outcomes. In this regard, there is consistent evidence of a tumor-sustaining crosstalk between melanoma and subcutaneous adipose tissue; however, [...] Read more.
Melanoma is an aggressive cancer characterized by a rapid metastatic process. Thus, understanding the mechanisms underlying its progression is urgently needed to improve patient outcomes. In this regard, there is consistent evidence of a tumor-sustaining crosstalk between melanoma and subcutaneous adipose tissue; however, the role of extracellular vesicles (EVs) in this communication still needs to be clarified. We demonstrated that the EVs derived from adipocytes did not alter melanoma cell proliferation but significantly promoted tumor cell migration and invasion by determining an enrichment in mesenchymal markers, such as N-cadherin and vimentin. In particular, these changes were accompanied by the transition towards a stem-like phenotype, characterized by enhanced spherogenic ability and ABCG2 upregulation; interestingly, this led to a reduced in vitro response to the BRAF inhibitor vemurafenib. Mechanistically, an increase in PGC-1α expression was found, resulting in higher mitochondrial mass and activity, ATP synthesis, and ROS overproduction; of note, treatment of melanoma cells with SR-18292 and XCT790, two inactivators of mitochondrial biogenesis, and N-acetylcysteine, a ROS scavenger, successfully counteracted the above EV-related effects, suggesting that mitochondrial function could be targeted to suppress the vesicular interactions between adipose tissue and melanoma. Taken together, these results highlight the crucial role played by EVs in melanoma stroma, pointing out the ability of adipocyte-derived vesicles to sustain cancer aggressiveness via PGC-1α–dependent mitochondrial reprogramming. Full article
Show Figures

Graphical abstract

46 pages, 2180 KB  
Review
Neutrophil Extracellular Traps in Exocrine Pancreatic Disease: A Comprehensive Review of Pathogenesis, Severity Stratification, and Therapeutic Targeting
by Vesna Vulovic, Bojan Stojanovic, Ivan Jovanovic, Milica Dimitrijevic Stojanovic, Bojana S. Stojanovic, Jasna Gacic, Simona Petricevic, Jelena Kostic, Novica Nikolic, Snezana Lukic, Slobodan Todorovic, Ana Sekulic, Milena Vuletic, Miladin Boskovic and Tatjana Lazarevic
Cells 2026, 15(5), 440; https://doi.org/10.3390/cells15050440 - 28 Feb 2026
Viewed by 272
Abstract
Neutrophil extracellular traps (NETs) are web-like DNA–protein structures released by activated neutrophils. Initially recognized for their antimicrobial roles, NETs are now known to drive sterile inflammation, thrombosis, and tissue remodeling. This review highlights their involvement in key pancreatic diseases, including acute pancreatitis (AP) [...] Read more.
Neutrophil extracellular traps (NETs) are web-like DNA–protein structures released by activated neutrophils. Initially recognized for their antimicrobial roles, NETs are now known to drive sterile inflammation, thrombosis, and tissue remodeling. This review highlights their involvement in key pancreatic diseases, including acute pancreatitis (AP) and pancreatic ductal adenocarcinoma (PDAC). In AP, early NET formation correlates with disease severity and septic complications, contributing to acinar injury, microvascular thrombosis, ductal obstruction, and organ dysfunction. In PDAC, NETs shape a fibrotic and immune-resistant tumor microenvironment by promoting stromal activation, immune exclusion, metastasis, and hypercoagulability. Tumor- and stroma-derived signals sustain NET formation within this niche. We also discuss NET-related biomarkers for risk assessment and therapy monitoring, and explore therapeutic strategies that target NETs—ranging from their degradation with DNase to their inhibition of upstream pathways such as PAD4, autophagy, and oxidative signaling. Targeting NETs may also reduce their downstream effects on thrombosis and immune suppression. Overall, NETs emerge as critical drivers of pancreatic disease progression and represent promising therapeutic targets. Full article
Show Figures

Figure 1

18 pages, 3200 KB  
Article
Low-Intensity CD66c Expression Orchestrates an Immunosuppressive Niche Promoting Residual Disease in Pediatric ProB Acute Lymphoblastic Leukemia
by Gabriela Zamora-Herrera, Rubí Romo-Rodríguez, Jebea A. López-Blanco, Laura Alfaro-Hernández, Diana Casique-Aguirre, Juan Carlos Núñez-Enriquez, Michael Schnoor, Dalia Ramírez-Ramírez and Rosana Pelayo
Cells 2026, 15(5), 437; https://doi.org/10.3390/cells15050437 - 28 Feb 2026
Viewed by 269
Abstract
Background/Objectives: B-cell precursor acute lymphoblastic leukemia (B-ALL), the most common pediatric acute leukemia (AL), is frequently characterized by aberrant antigen expression, which aids diagnosis and prognosis. The myeloid antigen CD66c is notably frequent in B-ALL and has been proposed as a marker of [...] Read more.
Background/Objectives: B-cell precursor acute lymphoblastic leukemia (B-ALL), the most common pediatric acute leukemia (AL), is frequently characterized by aberrant antigen expression, which aids diagnosis and prognosis. The myeloid antigen CD66c is notably frequent in B-ALL and has been proposed as a marker of disease aggressiveness and treatment response. Evaluating CD66c in Mexican pediatric patients may provide insights into disease biology. Methods: A cohort of 128 pediatric patients was referred to the Laboratory of Oncoimmunology and Cytomics of Childhood Cancer (OCL) at Instituto Mexicano del Seguro Social (IMSS) for immunophenotyping tests between March 2022 and November 2023. Additionally, control bone marrow (BM) samples were assessed. Aberrant antigen expression in hematopoietic populations and BM microenvironment stroma phenotyping were performed. Results: In total, 84.38% of B-ALL patients exhibited aberrant expression of ≥1 myeloid antigen. Among CD66c-positive patients, 13.79% had detectable measurable residual disease (MRD) during follow-up and 20.69% died. Mesenchymal stromal cells (MSCs) from patients with positive or low CD66c expression displayed inflammatory profiles. ProB leukemias with low CD66c expression were more likely to exhibit detectable MRD, increased mortality, and reduced survival. Conclusions: Low CD66c expression induces molecular stealth that could favor immune evasion and niche persistence, thereby increasing the risk of relapse and therapeutic failure. Full article
Show Figures

Graphical abstract

22 pages, 10835 KB  
Article
Reactive Stroma as a Transversal Prognostic Biomarker for Metastasis in Breast Cancer: Integration of Digital Histopathology and Transcriptomic Profiling
by Daniela P. Barrera, Muriel A. Núñez, Valentina Cerda I., J. Sebastián Contreras-Riquelme, Jenny Henríquez, Guillermo Carrasco, Alejandra Pereira, Vania Figueroa, Verónica Toledo, Badir Chahuan, Jorge Sapunar-Zenteno, Ximena Rodríguez, Daniel Moreno, José Tomás Larach, Benjamín Prieto, Patricia García, Leonor Moyano, José Peña and Javier Cerda-Infante
Int. J. Mol. Sci. 2026, 27(5), 2213; https://doi.org/10.3390/ijms27052213 - 26 Feb 2026
Viewed by 336
Abstract
Distant metastasis is the main cause of breast cancer (BC) mortality, yet current prognostic models remain largely tumor-centric and underutilize stromal biology. In this study, we quantified reactive stroma, a collagen-rich and fibrotic fraction of the stromal compartment, as a subtype-independent biomarker of [...] Read more.
Distant metastasis is the main cause of breast cancer (BC) mortality, yet current prognostic models remain largely tumor-centric and underutilize stromal biology. In this study, we quantified reactive stroma, a collagen-rich and fibrotic fraction of the stromal compartment, as a subtype-independent biomarker of metastatic risk. A retrospective cohort of 182 FFPE primary BC biopsies (2006–2020) was analyzed. Total stroma was quantified on H&E-stained sections and reactive stroma on Masson’s trichrome using QuPath with pathologist validation. Cutoffs were defined using maximally selected rank statistics, and overall survival (OS) and metastasis-free survival (MFS) were evaluated by Kaplan–Meier analysis and multivariable Cox regression. RNA sequencing was performed in a subset of cases to characterize associated transcriptomic programs. While total stromal content showed univariate associations with OS and MFS, it was not independently prognostic after adjustment. In contrast, high reactive stroma (cutoff 53.2%) independently predicted shorter MFS (HR = 3.76; p < 0.001), irrespective of molecular subtype and clinicopathological variables. Tumors with high reactive stroma exhibited upregulation of extracellular matrix and profibrotic genes (including FN1, OLR1, and EDN2), enrichment of collagen remodeling and TGF-β signaling pathways, and reduced T-cell activation signatures. These findings demonstrate that quantitative assessment of reactive stroma from standard histological stains is a reproducible, subtype-independent biomarker of metastatic risk in BC and can be readily integrated into routine pathology workflows to improve risk stratification. Full article
Show Figures

Figure 1

23 pages, 24889 KB  
Article
Deep Learning-Derived Pathomic Features Predict NCIT Efficacy in Resectable Locally Advanced ESCC: Clinical Utility and Mechanistic Insights
by Kunrui Zhu, Jie Tong, Yaqi Duan, Yiming Li, Yanqi Feng, Yuelin Han, Xiangtian Xiao, Zhuoyan Han and Shu Xia
Curr. Oncol. 2026, 33(3), 136; https://doi.org/10.3390/curroncol33030136 - 26 Feb 2026
Viewed by 203
Abstract
Background: Esophageal squamous cell carcinoma (ESCC) is the predominant subtype of esophageal cancer, with poor outcomes following neoadjuvant chemoradiotherapy (NCRT). Neoadjuvant chemoimmunotherapy (NCIT) has emerged as a promising strategy, but reliable predictive biomarkers remain lacking. This study aimed to develop an AI-driven [...] Read more.
Background: Esophageal squamous cell carcinoma (ESCC) is the predominant subtype of esophageal cancer, with poor outcomes following neoadjuvant chemoradiotherapy (NCRT). Neoadjuvant chemoimmunotherapy (NCIT) has emerged as a promising strategy, but reliable predictive biomarkers remain lacking. This study aimed to develop an AI-driven pathomic model for NCIT response prediction and explore its biological mechanisms. Methods: We analyzed 269 H&E-stained whole-slide images (WSIs) from 198 ESCC patients (104 from Tongji Hospital, 94 from TCGA). Using ResNet152, we segmented WSIs into four tissue categories (tumor cells, stroma, lymphocytes, and necrosis), extracted spatially weighted pathomic features, and constructed the ECiT score via logistic regression. An integrated model combining the ECiT score with clinical variables (T stage, P53 status) was developed. Mechanistic analyses were performed using TCGA-ESCA and GSE160269 datasets. Results: The integrated model achieved AUCs of 0.897 (training) and 0.809 (temporal validation), outperforming clinical (AUC = 0.624) and pathomic-only (AUC = 0.751) models. Mechanistically, a high ECiT score correlated with enhanced immune activation (elevated CD4+ memory T cell infiltration), while low scores were linked to endoplasmic reticulum (ER) stress-unfolded protein response (UPR) activation. EIF2S3 was identified as a key molecular mediator, correlating with three pathomic features, UPR activation, and poor prognosis. Conclusions: This study may offer a preliminary indicator that could assist in personalized clinical decision-making. Correlative evidence suggests that the EIF2S3-mediated ER stress–UPR axis represents a potential candidate therapeutic target to overcome NCIT resistance, generating testable hypotheses to advance precision oncology for resectable locally advanced ESCC. Full article
(This article belongs to the Section Gastrointestinal Oncology)
Show Figures

Figure 1

24 pages, 1239 KB  
Review
Anatomically Guided Non-Viral CRISPR/Cas9 Delivery in the Eye: Overcoming Barriers for Precision Gene Therapy
by Zhixiang Hua, Yang Shen and Xingtao Zhou
Pharmaceutics 2026, 18(3), 282; https://doi.org/10.3390/pharmaceutics18030282 - 24 Feb 2026
Viewed by 566
Abstract
Background/Objectives: While CRISPR/Cas9 technology offers a revolutionary approach for correcting genetic ocular blindness, efficient and safe delivery remains the primary bottleneck. Traditional viral vectors, despite their efficacy, face challenges regarding cargo size limitations and potential genomic integration risks. Non-viral vectors offer distinct comparative [...] Read more.
Background/Objectives: While CRISPR/Cas9 technology offers a revolutionary approach for correcting genetic ocular blindness, efficient and safe delivery remains the primary bottleneck. Traditional viral vectors, despite their efficacy, face challenges regarding cargo size limitations and potential genomic integration risks. Non-viral vectors offer distinct comparative advantages, including large cargo capacity for diverse CRISPR tools and transient expression to minimize off-target effects, but must overcome the eye’s formidable static and dynamic barriers, specifically the corneal epithelium, vitreous humor, and the inner limiting membrane. In this review, we present an anatomically guided framework for non-viral CRISPR/Cas9 delivery, mapping engineering strategies to specific ocular tissue targets. We first delineate the mechanisms of key physiological barriers, including the corneal stroma, aqueous humor circulation, and the vitreous–retina interface. Subsequently, we critically evaluate the latest advancements in non-viral platforms, such as pH-responsive lipid nanoparticles and engineered virus-like particles. The core focus of this review is on site-specific breakthrough strategies: from utilizing mucoadhesive polymers to counteract tear clearance in the cornea to exploiting specialized administration routes, such as suprachoroidal space and subretinal injection, to bypass retinal barriers, and deep-penetrating intravitreal carriers for targeting the photoreceptor-RPE complex. By integrating material science with precise administration routes, this review highlights feasible translational pathways for next-generation, carrier-free, or biomimetic ocular gene editing therapies. Full article
(This article belongs to the Special Issue Ocular Drug Delivery System)
Show Figures

Figure 1

11 pages, 2868 KB  
Article
Peripheral Hypertrophic Subepithelial Corneal Degeneration
by Adam Wylęgała, Claudia Azzaro, Patrycja Potrawa, Gabriella De Salvo, Edward Wylęgała and Anna Roszkowska
J. Clin. Med. 2026, 15(5), 1681; https://doi.org/10.3390/jcm15051681 - 24 Feb 2026
Viewed by 301
Abstract
Objectives: To characterize the clinical features, corneal topography, and imaging findings of peripheral hypertrophic subepithelial corneal degeneration (PHSCD) in a single-center study and to evaluate potential associations with systemic conditions. Methods: All patients underwent comprehensive ophthalmic examination, anterior segment photography, high-resolution [...] Read more.
Objectives: To characterize the clinical features, corneal topography, and imaging findings of peripheral hypertrophic subepithelial corneal degeneration (PHSCD) in a single-center study and to evaluate potential associations with systemic conditions. Methods: All patients underwent comprehensive ophthalmic examination, anterior segment photography, high-resolution spectral-domain optical coherence tomography (OCT), and corneal topography/tomography. Patient demographics, ocular history, systemic conditions, and corneal parameters were analyzed. Results: Fourteen patients were included in the study (11 females and 3 males). The mean age was 52.6 ± 12.4 years, and the mean best-corrected visual acuity was 0.56 ± 0.23. Five females had Hashimoto’s disease and two had hyperthyroidism. The mean central corneal thickness was 549.4 μm (SD = 71.0 μm), with significant sectoral thickness variations, particularly in the superior-nasal quadrants (SN-IT sector mean difference: 56.4 μm). High-resolution OCT revealed sharply demarcated, hyperreflective fibrosis within the anterior stroma, predominantly in the superior-nasal quadrants, causing corneal flattening with compensatory steepening and astigmatism. Three patients underwent in vivo confocal microscopy, which showed fibrotic acellular tissue adjacent to normal corneal epithelium. Conclusions: PHSCD predominantly affects middle-aged females and presents with characteristic peripheral, subepithelial fibrosis, causing significant corneal thickness variations and astigmatism. The observed association with thyroid disorders, particularly Hashimoto’s disease, suggests a potential immunological component in PHSCD pathogenesis that warrants further investigation. Advanced imaging with OCT and confocal microscopy provides valuable diagnostic information to accurately characterize this rare corneal condition. Full article
(This article belongs to the Section Ophthalmology)
Show Figures

Figure 1

Back to TopTop