Sign in to use this feature.

Years

Between: -

Subjects

remove_circle_outline
remove_circle_outline
remove_circle_outline
remove_circle_outline
remove_circle_outline
remove_circle_outline
remove_circle_outline

Journals

Article Types

Countries / Regions

Search Results (9)

Search Parameters:
Keywords = spiral ligament

Order results
Result details
Results per page
Select all
Export citation of selected articles as:
12 pages, 4779 KB  
Article
The Influence of Dynamic Taping on Landing Biomechanics after Fatigue in Young Football Athletes: A Randomized, Sham-Controlled Crossover Trial
by Chih-Kuan Wu, Yin-Chou Lin, Ya-Lin Chen, Yi-Ping Chao and Tsung-Hsun Hsieh
Bioengineering 2024, 11(6), 631; https://doi.org/10.3390/bioengineering11060631 - 20 Jun 2024
Cited by 2 | Viewed by 2340
Abstract
Fatigue is believed to increase the risk of anterior cruciate ligament (ACL) injury by directly promoting high-risk biomechanics in the lower limbs. Studies have shown that dynamic taping can help normalize inadequate biomechanics during landings. This study aims to examine the effects of [...] Read more.
Fatigue is believed to increase the risk of anterior cruciate ligament (ACL) injury by directly promoting high-risk biomechanics in the lower limbs. Studies have shown that dynamic taping can help normalize inadequate biomechanics during landings. This study aims to examine the effects of dynamic taping on landing biomechanics in fatigued football athletes. Twenty-seven high-school football athletes were recruited and randomly allocated to groups of either active taping or sham taping, with a crossover allocation two weeks later. In each group, the participants underwent a functional agility short-term fatigue protocol and were evaluated using the landing error scoring system before and after the fatigue protocol. The landing error scoring system (LESS) scores in the sham taping group increased from 4.24 ± 1.83 to 5.36 ± 2.00 (t = −2.07, p = 0.04, effect size = 0.61). In contrast, the pre–post difference did not reach statistical significance in the active taping group (from 4.24 ± 1.69 to 4.52 ± 1.69, t = −1.50, p = 0.15, effect size 0.46). Furthermore, the pre–post changes between the sham and active taping groups were statistically significant (sham taping: 1.12 ± 1.20; active taping: 0.28 ± 0.94, p = 0.007). Dynamic taping, particularly using the spiral technique, appeared to mitigate faulty landing biomechanics in the fatigued athletes by reducing hip and knee flexion and increasing hip internal rotation during landing. These results suggest that dynamic taping can potentially offer protective benefits in landing mechanics, which could further be applied to prevent ACL injuries in fatigued athletes. Full article
Show Figures

Figure 1

18 pages, 2264 KB  
Review
Role of Kir4.1 Channel in Auditory Function: Impact on Endocochlear Potential and Hearing Loss
by Silvia Fracaro, Filippo Hellies, Gino Marioni, Davide Brotto, Sebastiano Franchella, Elisabetta Zanoletti, Giovanna Albertin and Laura Astolfi
Appl. Sci. 2024, 14(12), 4985; https://doi.org/10.3390/app14124985 - 7 Jun 2024
Cited by 4 | Viewed by 2428
Abstract
Hearing loss can result from impairments in structures that support endocochlear potential, as they play a crucial role in the transduction and transmission of auditory waves. This aspect has been the subject of several studies to date. In our review, the role of [...] Read more.
Hearing loss can result from impairments in structures that support endocochlear potential, as they play a crucial role in the transduction and transmission of auditory waves. This aspect has been the subject of several studies to date. In our review, the role of ion transport channels and pumps involved in hearing function has been highlighted, emphasizing how important the Kir4.1 channel is in maintaining the endocochlear potential. The Kir4.1 channel, a member of the inwardly rectifying potassium channel (Kir) family, plays a key role in the regulation of cell electrical activity and potassium ion homeostasis. The cochlear expression of these channels is at the level of the intermediate cells of the vascular stria, in the root cells of the outer sulcus, and in the glial cells of the spiral ganglion. In development, its expression demonstrates its involvement in the progression of pathologies related to potassium channel dysfunction, and its activation in the stria vascularis is directly related to the generation of endocochlear potential. Kir4.1 is fundamental in stabilizing the resting membrane potential of cells and modulating their excitability, as it facilitates a greater influx of potassium into cells compared to efflux when the membrane potential is negative. Mutations in the K+ channel gene KCNJ10 (Kir4.1) have been associated with several disorders, with the most significant studies on EAST/SeSAME syndrome and Pendred syndrome. Recent research has explored the metabolic importance of potassium channel changes associated with stria vascularis degeneration in the progression of age-related hearing loss. Furthermore, in ototoxicity studies, the Kir4.1 channel has been shown to have the ability to compensate for the deficiency of other K+ channels, as it maintains the cochlear homeostasis by correcting the imbalanced K+ concentration. Full article
(This article belongs to the Special Issue Hearing Loss: From Pathophysiology to Therapies and Habilitation)
Show Figures

Figure 1

17 pages, 4562 KB  
Article
Optical Coherence Tomography-Based Atlas of the Human Cochlear Hook Region
by Lore Kerkhofs, Anastasiya Starovoyt, Jan Wouters, Tristan Putzeys and Nicolas Verhaert
J. Clin. Med. 2023, 12(1), 238; https://doi.org/10.3390/jcm12010238 - 28 Dec 2022
Cited by 6 | Viewed by 3126
Abstract
Advancements in intracochlear diagnostics, as well as prosthetic and regenerative inner ear therapies, rely on a good understanding of cochlear microanatomy. The human cochlea is very small and deeply embedded within the densest skull bone, making nondestructive visualization of its internal microstructures extremely [...] Read more.
Advancements in intracochlear diagnostics, as well as prosthetic and regenerative inner ear therapies, rely on a good understanding of cochlear microanatomy. The human cochlea is very small and deeply embedded within the densest skull bone, making nondestructive visualization of its internal microstructures extremely challenging. Current imaging techniques used in clinical practice, such as MRI and CT, fall short in their resolution to visualize important intracochlear landmarks, and histological analysis of the cochlea cannot be performed on living patients without compromising their hearing. Recently, optical coherence tomography (OCT) has been shown to be a promising tool for nondestructive micrometer resolution imaging of the mammalian inner ear. Various studies performed on human cadaveric tissue and living animals demonstrated the ability of OCT to visualize important cochlear microstructures (scalae, organ of Corti, spiral ligament, and osseous spiral lamina) at micrometer resolution. However, the interpretation of human intracochlear OCT images is non-trivial for researchers and clinicians who are not yet familiar with this novel technology. In this study, we present an atlas of intracochlear OCT images, which were acquired in a series of 7 fresh and 10 fresh-frozen human cadaveric cochleae through the round window membrane and describe the qualitative characteristics of visualized intracochlear structures. Likewise, we describe several intracochlear abnormalities, which could be detected with OCT and are relevant for clinical practice. Full article
(This article belongs to the Special Issue Innovative Technologies and Translational Therapies for Deafness)
Show Figures

Figure 1

19 pages, 2584 KB  
Article
Transcriptome-Guided Identification of Drugs for Repurposing to Treat Age-Related Hearing Loss
by Nick M. A. Schubert, Marcel van Tuinen and Sonja J. Pyott
Biomolecules 2022, 12(4), 498; https://doi.org/10.3390/biom12040498 - 25 Mar 2022
Cited by 14 | Viewed by 4815
Abstract
Age-related hearing loss (ARHL) or presbycusis is a prevalent condition associated with social isolation, cognitive impairment, and dementia. Age-related changes in the cochlea, the auditory portion of the inner ear, are the primary cause of ARHL. Unfortunately, there are currently no pharmaceutical approaches [...] Read more.
Age-related hearing loss (ARHL) or presbycusis is a prevalent condition associated with social isolation, cognitive impairment, and dementia. Age-related changes in the cochlea, the auditory portion of the inner ear, are the primary cause of ARHL. Unfortunately, there are currently no pharmaceutical approaches to treat ARHL. To examine the biological processes underlying age-related changes in the cochlea and identify candidate drugs for rapid repurposing to treat ARHL, we utilized bulk RNA sequencing to obtain transcriptomes from the functional substructures of the cochlea—the sensorineural structures, including the organ of Corti and spiral ganglion neurons (OC/SGN) and the stria vascularis and spiral ligament (SV/SL)—in young (6-week-old) and old (2-year-old) C57BL/6 mice. Transcriptomic analyses revealed both overlapping and unique patterns of gene expression and gene enrichment between substructures and with ageing. Based on these age-related transcriptional changes, we queried the protein products of genes differentially expressed with ageing in DrugBank and identified 27 FDA/EMA-approved drugs that are suitable to be repurposed to treat ARHL. These drugs target the protein products of genes that are differentially expressed with ageing uniquely in either the OC/SGN or SV/SL and that interrelate diverse biological processes. Further transcriptomic analyses revealed that most genes differentially expressed with ageing in both substructures encode protein products that are promising drug target candidates but are, nevertheless, not yet linked to approved drugs. Thus, with this study, we apply a novel approach to characterize the druggable genetic landscape for ARHL and propose a list of drugs to test in pre-clinical studies as potential treatment options for ARHL. Full article
(This article belongs to the Special Issue Inner Ear Therapeutics)
Show Figures

Figure 1

19 pages, 4690 KB  
Article
Cochlin Deficiency Protects Aged Mice from Noise-Induced Hearing Loss
by Dorien Verdoodt, Noa Peeleman, Krystyna Szewczyk, Guy Van Camp, Peter Ponsaerts and Vincent Van Rompaey
Int. J. Mol. Sci. 2021, 22(21), 11549; https://doi.org/10.3390/ijms222111549 - 26 Oct 2021
Cited by 6 | Viewed by 3222
Abstract
Several studies have shown that type IV fibrocytes, located in the spiral ligament, degenerate first after noise exposure. Interestingly, this is the region where Coch expression is most abundant. As it is suggested that cochlin plays a role in our innate immune system, [...] Read more.
Several studies have shown that type IV fibrocytes, located in the spiral ligament, degenerate first after noise exposure. Interestingly, this is the region where Coch expression is most abundant. As it is suggested that cochlin plays a role in our innate immune system, our goal is to investigate hearing thresholds and inner ear inflammation after noise exposure in Coch knockout (Coch−/−) mice compared to Coch wildtype (Coch+/+) mice. Animals were randomly allocated to a noise exposure group and a control group. Vestibular and auditory testing was performed at 48 h and one week after noise exposure. Whole mount staining and cryosectioning of the cochlea was performed in order to investigate hair cells, spiral ganglion neurons, inner ear inflammation, Coch expression and fibrocyte degeneration. Hearing assessment revealed that Coch+/+ mice had significantly larger threshold shifts than Coch−/− mice after noise exposure. We were unable to identify any differences in hair cells, neurons, fibrocytes and influx of macrophages in the inner ear between both groups. Interestingly, Coch expression was significantly lower in the group exposed to noise. Our results indicate that the absence of Coch has a protective influence on hearing thresholds after noise exposure, but this is not related to reduced inner ear inflammation in the knockout. Full article
(This article belongs to the Section Molecular Pathology, Diagnostics, and Therapeutics)
Show Figures

Figure 1

15 pages, 6354 KB  
Article
Mast Cells in the Auditory Periphery of Rodents
by Agnieszka J. Szczepek, Tatyana Dudnik, Betül Karayay, Valentina Sergeeva, Heidi Olze and Alina Smorodchenko
Brain Sci. 2020, 10(10), 697; https://doi.org/10.3390/brainsci10100697 - 1 Oct 2020
Cited by 10 | Viewed by 4702
Abstract
Mast cells (MCs) are densely granulated cells of myeloid origin and are a part of immune and neuroimmune systems. MCs have been detected in the endolymphatic sac of the inner ear and are suggested to regulate allergic hydrops. However, their existence in the [...] Read more.
Mast cells (MCs) are densely granulated cells of myeloid origin and are a part of immune and neuroimmune systems. MCs have been detected in the endolymphatic sac of the inner ear and are suggested to regulate allergic hydrops. However, their existence in the cochlea has never been documented. In this work, we show that MCs are present in the cochleae of C57BL/6 mice and Wistar rats, where they localize in the modiolus, spiral ligament, and stria vascularis. The identity of MCs was confirmed in cochlear cryosections and flat preparations using avidin and antibodies against c-Kit/CD117, chymase, tryptase, and FcεRIα. The number of MCs decreased significantly during postnatal development, resulting in only a few MCs present in the flat preparation of the cochlea of a rat. In addition, exposure to 40 µM cisplatin for 24 h led to a significant reduction in cochlear MCs. The presence of MCs in the cochlea may shed new light on postnatal maturation of the auditory periphery and possible involvement in the ototoxicity of cisplatin. Presented data extend the current knowledge about the physiology and pathology of the auditory periphery. Future functional studies should expand and translate this new basic knowledge to clinics. Full article
(This article belongs to the Section Systems Neuroscience)
Show Figures

Figure 1

14 pages, 3243 KB  
Article
Type 1 Diabetes Induces Hearing Loss: Functional and Histological Findings in An Akita Mouse Model
by Yun Yeong Lee, Yeon Ju Kim, Eun Sol Gil, Hantai Kim, Jeong Hun Jang and Yun-Hoon Choung
Biomedicines 2020, 8(9), 343; https://doi.org/10.3390/biomedicines8090343 - 11 Sep 2020
Cited by 17 | Viewed by 4322
Abstract
The relationship between type 1 diabetes and hearing loss is not well known, although based on many pathological studies, type 2 diabetes induced hearing loss is associated with microcirculation problems in the inner ear. The purpose of this study was to investigate the [...] Read more.
The relationship between type 1 diabetes and hearing loss is not well known, although based on many pathological studies, type 2 diabetes induced hearing loss is associated with microcirculation problems in the inner ear. The purpose of this study was to investigate the correlation between type 1 diabetes and hearing loss through hearing function and immunohistochemical analyses using type 1 diabetic Akita or wild-type (WT) mice. The Akita mice had a significant increase in hearing thresholds, blood glucose, and insulin tolerance compared to WT mice. Histological analysis showed that the loss of cells and damage to mitochondria in the spiral ganglion neurons of Akita mice were significantly increased compared to WT. Also, the stria vascularis showed decreased thickness, loss of intermediate cells, and disturbance in blood capillary shape in the Akita mice. Moreover, a reduction in type I, II, and IV fibrocytes and Na+/K+-ATPase α1 expression in spiral ligament was also observed. Cleaved caspase-3 expression was highly expressed in spiral ganglion neurons. In conclusion, hearing loss in type 1 diabetes is caused not only by ion imbalance and blood flow disorders of cochlear endolymph, but through the degenerative nervous system via apoptosis-mediated cell death. Full article
(This article belongs to the Section Molecular and Translational Medicine)
Show Figures

Figure 1

15 pages, 783 KB  
Review
Application of Mesenchymal Stem Cell Therapy and Inner Ear Regeneration for Hearing Loss: A Review
by Sho Kanzaki, Masashi Toyoda, Akihiro Umezawa and Kaoru Ogawa
Int. J. Mol. Sci. 2020, 21(16), 5764; https://doi.org/10.3390/ijms21165764 - 11 Aug 2020
Cited by 26 | Viewed by 10429
Abstract
Inner and middle ear disorders are the leading cause of hearing loss, and are said to be among the greatest risk factors of dementia. The use of regenerative medicine for the treatment of inner ear disorders may offer a potential alternative to cochlear [...] Read more.
Inner and middle ear disorders are the leading cause of hearing loss, and are said to be among the greatest risk factors of dementia. The use of regenerative medicine for the treatment of inner ear disorders may offer a potential alternative to cochlear implants for hearing recovery. In this paper, we reviewed recent research and clinical applications in middle and inner ear regeneration and cell therapy. Recently, the mechanism of inner ear regeneration has gradually been elucidated. “Inner ear stem cells,” which may be considered the precursors of various cells in the inner ear, have been discovered in the cochlea and vestibule. Research indicates that cells such as hair cells, neurons, and spiral ligaments may form promising targets for inner ear regenerative therapies by the transplantation of stem cells, including mesenchymal stem cells. In addition, it is necessary to develop tests for the clinical monitoring of cell transplantation. Real-time imaging techniques and hearing rehabilitation techniques are also being investigated, and cell therapy has found clinical application in cochlear implant techniques. Full article
(This article belongs to the Special Issue Applications of Mesenchymal Stem Cells in Neuroscience)
Show Figures

Figure 1

18 pages, 3716 KB  
Article
Acoustic Trauma Modulates Cochlear Blood Flow and Vasoactive Factors in a Rodent Model of Noise-Induced Hearing Loss
by Sun-Ae Shin, Ah-Ra Lyu, Seong-Hun Jeong, Tae Hwan Kim, Min Jung Park and Yong-Ho Park
Int. J. Mol. Sci. 2019, 20(21), 5316; https://doi.org/10.3390/ijms20215316 - 25 Oct 2019
Cited by 49 | Viewed by 6022
Abstract
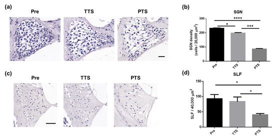
Noise exposure affects the organ of Corti and the lateral wall of the cochlea, including the stria vascularis and spiral ligament. Although the inner ear vasculature and spiral ligament fibrocytes in the lateral wall consist of a significant proportion of cells in the [...] Read more.
Noise exposure affects the organ of Corti and the lateral wall of the cochlea, including the stria vascularis and spiral ligament. Although the inner ear vasculature and spiral ligament fibrocytes in the lateral wall consist of a significant proportion of cells in the cochlea, relatively little is known regarding their functional significance. In this study, 6-week-old male C57BL/6 mice were exposed to noise trauma to induce transient hearing threshold shift (TTS) or permanent hearing threshold shift (PTS). Compared to mice with TTS, mice with PTS exhibited lower cochlear blood flow and lower vessel diameter in the stria vascularis, accompanied by reduced expression levels of genes involved in vasodilation and increased expression levels of genes related to vasoconstriction. Ultrastructural analyses by transmission electron microscopy revealed that the stria vascularis and spiral ligament fibrocytes were more damaged by PTS than by TTS. Moreover, mice with PTS expressed significantly higher levels of proinflammatory cytokines in the cochlea (e.g., IL-1β, IL-6, and TNF-α). Overall, our findings suggest that cochlear microcirculation and lateral wall pathologies are differentially modulated by the severity of acoustic trauma and are associated with changes in vasoactive factors and inflammatory responses in the cochlea. Full article
(This article belongs to the Section Molecular Pathology, Diagnostics, and Therapeutics)
Show Figures

Figure 1

Back to TopTop