Sign in to use this feature.

Years

Between: -

Subjects

remove_circle_outline
remove_circle_outline
remove_circle_outline

Journals

Article Types

Countries / Regions

Search Results (4)

Search Parameters:
Keywords = slaughter check

Order results
Result details
Results per page
Select all
Export citation of selected articles as:
17 pages, 1045 KB  
Article
Monitoring Means and Results of Biosecurity in Pig Fattening Farms: Systematic Assessment of Measures in Place and Exploration of Biomarkers of Interest
by Annalisa Scollo, Pierre Levallois, Christine Fourichon, Ambra Motta, Alessandro Mannelli, Francesco Lombardo and Paolo Ferrari
Animals 2022, 12(19), 2655; https://doi.org/10.3390/ani12192655 - 3 Oct 2022
Cited by 9 | Viewed by 3416
Abstract
Limited data are available regarding animal-based biomarkers over time as outcomes of biosecurity in pig farms. The aim of this study was to gain an insight into the biosecurity implementation in a convenience sample of 15 swine herds, and to describe potential biomarkers [...] Read more.
Limited data are available regarding animal-based biomarkers over time as outcomes of biosecurity in pig farms. The aim of this study was to gain an insight into the biosecurity implementation in a convenience sample of 15 swine herds, and to describe potential biomarkers of interest; inputs from a systematic evaluation of biosecurity implementation were used to develop tailor-made biosecurity protocols monitored over a 12-month period. The farms’ implementation was then described, and animal-based biomarkers were explored as output parameters. A significative biosecurity improvement was observed at the end of the study (p = 0.047), in particular in the professional zone (p = 0.012). Four clusters of farms were identified for their progress on biosecurity implementation by means of Principal Component Analysis (PCA) and Hierarchical Cluster Analysis (HCA): 4/15 farms improved their biosecurity only in the professional zone, 8/15 showed scarce/null improvement of total biosecurity, 2/15 worsened their biosecurity, and 1/15 greatly improved biosecurity. The farm biosecurity profiles showing an improvement included farms with a reduction in lung lesions and scars at slaughter at the end of the study. The results suggest that a systematic evaluation of biosecurity is a useful approach to formulate tailor-made biosecurity plans and monitor their implementation; biomarkers might bring insight into the outcomes of biosecurity. Full article
(This article belongs to the Special Issue Biosecurity and Antimicrobial Use in Animal Production)
Show Figures

Figure 1

10 pages, 854 KB  
Article
The Effect of Weaning and Slaughter Age on the Physicochemical and Sensory Characteristics of Arouquesa Beef—A PDO Portuguese Meat
by José António Silva, Ricardo Cardoso, Raquel Vieira, José Carlos Almeida, Maria José Gomes, Carlos Venâncio and Luis Patarata
Foods 2022, 11(16), 2505; https://doi.org/10.3390/foods11162505 - 19 Aug 2022
Cited by 4 | Viewed by 1951
Abstract
(1) Background: Autochthonous breeds meat is well accepted due to its sensory characteristics, perceived low environmental impact, and animal welfare. We aimed to evaluate the effect of weaning and slaughter age on the physicochemical and sensory characteristics of Arouquesa, a Portuguese Protected [...] Read more.
(1) Background: Autochthonous breeds meat is well accepted due to its sensory characteristics, perceived low environmental impact, and animal welfare. We aimed to evaluate the effect of weaning and slaughter age on the physicochemical and sensory characteristics of Arouquesa, a Portuguese Protected Designation of Origin (PDO) meat and to evaluate the psychological effect of knowing the weaning age on the consumer’s hedonic evaluation. (2) Methods: Meat from 26 animals was assigned to 4 groups, with combinations of weaning (W) at 9 or 5 months and slaughter (S) at 9 or 12 months: W9-S9, W9-S12, W5-S9, and W5-S12. The meat was analysed for pH24h, colour (L*a*b*), cooking losses and shear force. A Check All that Apply test was made with 70 consumers; they were also asked to punctuate the hedonic appreciation of anonymous and weaning age-identified meat. (3) Results: W9-S9 were more tender, had lower shear force, and was juicier than W5-S9. When animals were slaughtered at 12 months, there were no differences in the physicochemical and sensory characteristics between the weaning ages. The effect of information about the weaning age influences the consumer’s hedonic evaluation, as revealed by the comparison between the anonymous and identified samples. (4) Later weaning resulted in more tender meat when the slaughter was at 9 months and positively impacted consumer perception. Full article
(This article belongs to the Section Meat)
Show Figures

Figure 1

11 pages, 1344 KB  
Article
Epidemiological and Histopathological Investigation of Sarcoptic Mange in Camels in Egypt
by Marwa A. Ahmed, Ehab Kotb Elmahallawy, Ahmed Gareh, Abdelbaset Eweda Abdelbaset, Fatma A. El-Gohary, Nagwa M. Elhawary, Ahmed K. Dyab, Elzahara Elbaz and Mostafa F. N. Abushahba
Animals 2020, 10(9), 1485; https://doi.org/10.3390/ani10091485 - 24 Aug 2020
Cited by 17 | Viewed by 5739
Abstract
Mange has been considered one of the most common parasitic infestations among camels. It adversely impacts animal productivity and poses a risk to human health. Given the scarcity of available data about mange in camels, the current study focused on the prevalence of [...] Read more.
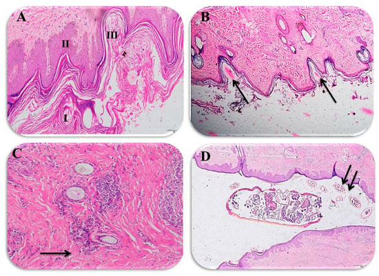
Mange has been considered one of the most common parasitic infestations among camels. It adversely impacts animal productivity and poses a risk to human health. Given the scarcity of available data about mange in camels, the current study focused on the prevalence of camel mange and its associated risk factors in Aswan Governorate, Egypt. Towards this end, a general visual inspection was conducted on camels (N = 210) in different markets and slaughterhouses in Aswan Governorate. Skin scrapings from suspect infected camels were also examined microscopically. Importantly, these findings were further checked and confirmed by histopathology on samples from suspected cases collected post-slaughter in abattoirs. The possible risk-associated factors, which include the camel’s age, sex and sampling season, were recorded and statistically analyzed. Interestingly, the data showed that a total of 100 camels (47.6%) were found exclusively infested by sarcoptic mange. Furthermore, the predominant histopathological changes included burrowing tunnel of mites in the skin, hyperkeratosis and acanthosisconsis of the epidermis, while the dermis showed hemorrhage, mononuclear inflammatory cell infiltration around the blood vessels and perifolliculitis. These major histopathological findings are consistent with sarcoptic mange. Furthermore, the statistical analysis of the possible associated risk factors, camel’s age (p = 0.006), gender (p = 0.032) and sampling season (p = 0.004), were all found to be significantly affected and related to the disease. In this regard, camels ≥2 years old were found at higher risk of infection (odds ratio (OR) = 2.75; 95% confidence interval (CI), 1.345 to 5.604) versus younger animals (OR = 0.36; 95 CI, 0.1784 to 0.743). Females had higher odds of exposure (OR = 2.02; 95% CI, 1.096 to 3.708) compared to males (OR = 0.50; 95% CI, 0.269 to 0.912). Moreover, the exposure to infection was reported higher in winter (OR = 2.30; 95% CI, 1.297 to 4.098) than in summer (OR = 0.43; 95% CI, 0.244 to 0.771). Collectively, our data provide novel epidemiological and histopathological support for sarcoptic mange being widespread among camels in the studied area. Sarcoptic mange is extremely contagious and zoonotic. Therefore, our baseline investigation indicates an urgent need for additional multicenter-studies to investigate the occurrence of this disease in camels and humans combined with the appropriate control measures of camel importation for combating this disease. Full article
(This article belongs to the Section Veterinary Clinical Studies)
Show Figures

Figure 1

19 pages, 458 KB  
Article
Vitamin D3 Supplementation in Drinking Water Prior to Slaughter Improves Oxidative Status, Physiological Stress, and Quality of Pork
by Ana I. Rey, José Francisco Segura, David Castejón, Encarnación Fernández-Valle, Mª Isabel Cambero and Luis Calvo
Antioxidants 2020, 9(6), 559; https://doi.org/10.3390/antiox9060559 - 26 Jun 2020
Cited by 20 | Viewed by 5047
Abstract
The aims of this study were to investigate the effect of vitamin D3 administration in drinking water during lairage time prior to slaughter on physiological stress, oxidative status, and pork quality characteristics. Two experiments were carried out. The first one was performed [...] Read more.
The aims of this study were to investigate the effect of vitamin D3 administration in drinking water during lairage time prior to slaughter on physiological stress, oxidative status, and pork quality characteristics. Two experiments were carried out. The first one was performed to examine the effect of vitamin D3 supplementation in drinking water, and the second one to check the effect of supplementation dose (500,000 IU/L vs. 700,000 IU/L). Serum calcium concentration was greater in pigs receiving vitamin D3 in water when compared to the control group. In experiment 1, a 40% α-tocopherol increase in meat from the group supplemented with vitamin D3 (500,000 IU/animal) was observed, that resulted in a tendency of decreased meat malondialdehyde (MDA) values at days 5 and 8 after refrigerated storage. In experiment 2, since water intake was higher (800,000 IU and 1,120,000 IU/animal of vitamin D3 consumption) effects on oxidative status were more profound and vitamin D3 supplementation increased serum α-tocopherol and decreased cortisol and serum TBARS. These effects were also observed in meat; TBARS levels were decreased after 3 days of refrigerated storage. In both experiments meat from pigs that received vitamin D3 in drinking water had a lower proportion of total free-polyunsaturated fatty acids (mainly n-6) when compared to the unsupplemented pigs, and these were positively correlated with TBARS production at day 5 of refrigerated storage (r = 0.53 and 0.38 for experiments 1 and 2, respectively). Meat from pigs receiving vitamin D3 in water showed reduced cohesiveness, gumminess, and chewiness values compared to the control group. The magnetic resonance imaging study of muscle confirmed the effects on water retention with lesser transverse relaxation time in pigs supplemented with vitamin D3. No vitamin D3 dose effect was observed, apart from muscle α-tocopherol concentration that was higher in pigs supplemented with 700,000 compared to those supplemented with 500,000 UI/L. Full article
Show Figures

Graphical abstract

Back to TopTop