Epidemiological and Histopathological Investigation of Sarcoptic Mange in Camels in Egypt
Simple Summary
Abstract
1. Introduction
2. Material and Methods
2.1. Ethical Considerations
2.2. Study Area and Animal Data
2.3. Collection of Skin Scrapings
2.4. Clincal Manfestations
2.5. Parasitological Examination
2.6. Histopathological Examination
2.7. Statistical Analysis
3. Results
3.1. Epidemological Data and Clinical Mainfestations
3.2. Parasitological Examination, Mange Prevalence and Risk Factors
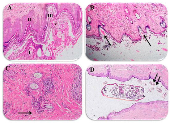
3.3. Histopathological Findings
4. Discussion
5. Conclusions
Author Contributions
Funding
Acknowledgments
Conflicts of Interest
References
- Rabana, J.L.; Kumshe, H.A.; Kamani, J.; Hafsat, G.; Turaki, U.A.; Dilli, H.K. Effects of parasitic infections on erythrocyte indices of camels in Nigeria. Vet. Res. Forum 2011, 2, 59–63. [Google Scholar]
- Momenah, M.A. Some blood parameters of one humped she-camels (Camelus 261 dromedaries) in response to parasitic infection. Life Sci. J. 2014, 11, 118–123. [Google Scholar]
- Hoter, A.; Rizk, S.; Naim, H.Y. Cellular and molecular adaptation of arabian camel to heat stress. Front. Genet. 2019, 10, 588. [Google Scholar] [CrossRef] [PubMed]
- Held, C. Middle East Patterns, Student Economy Edition: Places, People, and Politics (Inglés), 6th ed.; Routledge: London, UK, 2015. [Google Scholar]
- Ali, M.A.; Shehata, M.M.; Gomaa, M.R.; Kandeil, A.; El-Shesheny, R.; Kayed, A.S.; El-Taweel, A.N.; Atea, M.; Hassan, N.; Bagato, O.; et al. Systematic, active surveillance for Middle East respiratory syndrome coronavirus in camels in Egypt. Emerg. Microbes Infect. 2017, 6, e1. [Google Scholar] [CrossRef]
- Megersa, B. An Epidemiological Study of Major Camel Diseases in the Borana Lowland, Southern Ethiopia; The Drylands Coordination Group: Oslo, Norway, 2010. [Google Scholar]
- Lamuka, P.O.; Njeruh, F.M.; Gitao, G.C.; Abey, K.A. Camel health management and pastoralists’ knowledge and information on zoonoses and food safety risks in Isiolo County, Kenya. Pastoralism 2017, 7, 20. [Google Scholar] [CrossRef]
- Mochabo, K.O.; Kitala, P.M.; Gathura, P.B.; Ogara, W.O.; Catley, A.; Eregae, E.M.; Kaitho, T.D. Community perceptions of important camel diseases in Lapur Division of Turkana District, Kenya. Trop. Anim. Health Prod. 2005, 37, 187–204. [Google Scholar] [CrossRef]
- Sazmand, A.; Joachim, A.; Otranto, D. Zoonotic parasites of dromedary camels: So important, so ignored. Parasit Vectors 2019, 12, 610. [Google Scholar] [CrossRef]
- Tadjbakhsh, H. Traditional methods used for controlling animal diseases in Iran. Rev. Sci Tech. 1994, 13, 599–614. [Google Scholar] [CrossRef]
- Muthusami, P.; Thangapandian, M.; Gopinath, P. Therapeutic management of sarcoptic mange in a camel (Camelus Dromedarius). J. Wildl. Res. 2015, 3, 5–7. [Google Scholar]
- Feyera, T.; Admasu, P.; Abdilahi, Z.; Mummed, B. Epidemiological and therapeutic studies of camel mange in Fafan zone, Eastern Ethiopia. Parasit Vectors 2015, 8, 612. [Google Scholar] [CrossRef]
- Parsani, H.R.; Momin, R.R. Common parasitic diseases of camel. Vet. World 2008, 1, 317–318. [Google Scholar] [CrossRef]
- Higgins, A.J. Common ectoparasites of the camel and their control. Br. Vet. J. 1985, 141, 197–216. [Google Scholar] [CrossRef]
- Timoney, P. Infectious diseases in camelids. Vet. J. 2002, 164, 300–301. [Google Scholar] [CrossRef]
- Longstaffe, J. Helminths, arthropods and protozoa of domesticated animals EJL Soulsby, 1982. London: Baillière Tindall, 809 pp., illus. ISBN 0-7020-0820-6. R. Soc. Trop. Med. Hyg. 1984. [Google Scholar] [CrossRef]
- Higgins, A.J.; Al Mezaini, S.A.; Abukhamseen, A.M. Observations on the incidence and control of Sarcoptes scabiei var cameli in the Arabian camel. Vet. Rec. 1984, 115, 15–16. [Google Scholar] [CrossRef] [PubMed]
- Bornstein, S. Important ectoparasites of Alpaca (Vicugna pacos). Acta Vet. Scand. 2010, 52, S17. [Google Scholar] [CrossRef]
- Parmar, A.J.; Singh, V. Pathomorphological studies on sarcoptic mange in Camelus dromedarius in Banaskantha district. J. Vet. Parasitol. 2008, 22, 29–31. [Google Scholar]
- Schillinger, D. Mange in camels-an important zoonosis. Rec. Sci. Tech. Off. Int. Epiz. 1987, 6, 479–480. [Google Scholar] [CrossRef]
- Qamar, M.; Ayaz, M.; Nazir, M. Isolation and identification of ectoparasites in single humped camels (Camelus dromedarius) of Cholistan area, Pakistan. Iraqi J. Vet. Sci. 2019, 32, 291–297. [Google Scholar] [CrossRef]
- Bandi, K.M.; Saikumar, C. Sarcoptic mange: A zoonotic ectoparasitic skin disease. J. Clin. Diagn. Res. 2013, 7, 156–157. [Google Scholar] [CrossRef]
- Awol, N.; Kiros, S.; Tsegaye, Y.; Ali, M.; Hadush, B. Study on mange mite of camel in Raya-Azebo district, northern Ethiopia. Vet. Res. Forum 2014, 5, 61–64. [Google Scholar] [PubMed]
- Zewdie, W.; Debano, J.; Sibhat, B. Review on Epidemiology of Camel Mange Mites. Biomed. J. Sci. Tech. Res. (BJSTR) 2018, 8, 6313–6316. [Google Scholar]
- Abu-Samra, M.T.; Imbabi, S.E.; Mahgoub, E.S. Mange in domestic animals in the Sudan. Ann. Trop. Med. Parasitol. 1981, 75, 627–637. [Google Scholar] [CrossRef] [PubMed]
- Fassi-Fehri, M. Diseases of camels. Rev. Sci. Tech. Off. Int. Epiz 1987, 6, 337–354. [Google Scholar]
- Saleh, M.A.; Mahran, O.M.; Al-Salahy, M.B. Circulating oxidative stress status in dromedary camels infested with sarcoptic mange. Vet. Res. Commun. 2011, 35, 35–45. [Google Scholar] [CrossRef]
- Rendle, D.; Cottle, H.; Love, S.; Hughes, K. Comparative study of doramectin and fipronil in the treatment of equine chorioptic mange. Vet. Rec. 2007, 161, 335–338. [Google Scholar] [CrossRef]
- Kotb, S.; Abdel-Rady, A. Sarcoptic mange of camel in upper Egypt: Prevalence, risk assessment, and control measures. J. Adv. Vet. Anim. Res. 2015, 2, 410–417. [Google Scholar] [CrossRef]
- Köhler-Rollefson, I.; Mundy, P.; Mathias, E. A Field Manual of Camel Diseases; Traditional and Modern Health Care for the Dromedary; Practical Action: Rugby, UK, 2001; p. 272. [Google Scholar]
- Espinosa, J.; Raez-Bravo, A.; Lopez-Olvera, J.R.; Perez, J.M.; Lavin, S.; Tvarijonaviciute, A.; Cano-Manuel, F.J.; Fandos, P.; Soriguer, R.C.; Granados, J.E.; et al. Histopathology, microbiology and the inflammatory process associated with Sarcoptes scabiei infection in the Iberian ibex, Capra pyrenaica. Parasit Vectors 2017, 10, 596. [Google Scholar] [CrossRef]
- Bancroft, J.D.; Gamble, M. Theory and Practice of Histological Techniques, 6th ed.; Elsevier; Churchill Livingstone: London, UK, 2008. [Google Scholar]
- Nimmervoll, H.; Hoby, S.; Robert, N.; Lommano, E.; Welle, M.; Ryser-Degiorgis, M.-P. Pathology of sarcoptic mange in red foxes (vulpes vulpes): Macroscopic and histologic characterization of three disease stages. J. Wildl. Dis. 2013, 49, 91–102. [Google Scholar] [CrossRef]
- Pegram, R.; Higgins, A. Camel ectoparasites: A review. In Proceedings of the first international camel conference, Dubai, UAE, 2–6 February 1992; Newmarket Press: London, UK, 1992. [Google Scholar]
- Hakem, M.K.A.; Abu-Samra, M.T. Prevalence and Risk Factors Associated with Mange, Ringworm and Dermatophilus Infection in the One-Humped Camel (Camelus Dromedarius) in Al-Butana Area, El-Gazira State. Master’s Thesis, Sudan University of Science and Technology, Khartoum, Sudan, 2019. Available online: http://repository.sustech.edu/handle/123456789/23312 (accessed on 14 June 2020).
- Regassa, A.; Awol, N.; Birhanu, H.; Redda, Y.; Teshale, S. Internal and external parasites of camels (Camelusdromedarius) slaughtered at Addis Ababa Abattoir, Ethiopia. J. Vet. Med. Anim. Health 2014, 7. [Google Scholar] [CrossRef]
- Zahid, M.I.; Maqbool, A.; Anjum, S.; Ashraf, K.; Khan, M.; Ahmad, N. Prevalence of sarcoptic mange in camels in Punjab, Pakistan. J. Anim. Plant. Sci. 2015, 25, 1259–1263. [Google Scholar]
- Nayel, N.M.; Abu-Samra, M.T. Sarcoptic mange in the one-humped camel (Camelus dromedarius): A clinico-pathological and epizootiological study of the disease and its treatment. J. Arid Environ. 1986, 10, 199–211. [Google Scholar] [CrossRef]
- Farah, K.; Nyariki, D.; Ngugi, K.; Noor, I.M.; Guliye, A.Y. The somali and the camel: Ecology, management and economics. Anthropologist 2004, 6, 45–55. [Google Scholar] [CrossRef]
- Kaufmann, J. Parasitic Infections of Domestic Animals: A Diagnostic Manual; Birkhäuser: Basel, Switzerland, 2013. [Google Scholar]
- Geresu, M.; Deferes, D. Sheep mange mites and lice: Prevalence and risk factors in asella and its surroundings, South Eastern Ethiopia. J. Vet. Sci. Technol. 2016, 7, 1–6. [Google Scholar] [CrossRef]
- Gakuya, F.; Ombui, J.; Maingi, N.; Muchemi, G.; Ogara, W.; Soriguer, R.C.; Alasaad, S. Sarcoptic mange and cheetah conservation in Masai Mara (Kenya): Epidemiological study in a wildlife/livestock system. Parasitology 2012, 139, 1587–1595. [Google Scholar] [CrossRef]
- Khan, S.; Rashid Chaudhry, H.; Chaudhry, M.; Iqbal, Z.; Ali, M.; Jamil, T.; Sial, N.; Shahzad, M.i.; Basheer, F.; Akhtar, S.; et al. Prevalence of common diseases in camels of Cholistan Desert, Pakistan. J. Infect. Mol. Biol. 2014, 2, 49–52. [Google Scholar] [CrossRef]
- Delano, M.L.; Mischler, S.A.; Underwood, W.J. Biology and diseases of ruminants: Sheep, goats, and cattle. Lab. Anim. Med. 2002, 519–614. [Google Scholar] [CrossRef]
- D’Amato, G.; Holgate, S.T.; Pawankar, R.; Ledford, D.K.; Cecchi, L.; Al-Ahmad, M.; Al-Enezi, F.; Al-Muhsen, S.; Ansotegui, I.; Baena-Cagnani, C.E.; et al. Meteorological conditions, climate change, new emerging factors, and asthma and related allergic disorders. A statement of the World Allergy Organization. World Allergy Organ. J. 2015, 8, 25. [Google Scholar] [CrossRef]
- Gupta, E.; Bhalla, P.; Khurana, N.; Singh, T. Histopathology for the diagnosis of infectious diseases. Indian J. Med. Microbiol. 2009, 27, 100–106. [Google Scholar] [CrossRef]
- Shieh, W.-J. Advanced pathology techniques for detecting emerging infectious disease pathogens. In Advanced Techniques in Diagnostic Microbiology; Springer: Berlin/Heidelberg, Germany, 2018; pp. 543–561. [Google Scholar]
- Al-Salihi, K.; AbdHatem, A.; Ekman, E. Pathological studies on mixed dermatomycosis and mange infection in camels accompanied with chronic granulomatous hidradenitis. J. Camel Pract. Res. 2013, 20, 309–315. [Google Scholar]
- Deem, S.L.; Noss, A.J.; Cuellar, R.L.; Villarroel, R.; Linn, M.J.; Forrester, D.J. Sarcoptic mange in free-ranging pampas foxes in the Gran Chaco, Bolivia. J. Wildl. Dis. 2002, 38, 625–628. [Google Scholar] [CrossRef] [PubMed]
- Pence, D.; Ueckermann, E. Sarcoptic mange in wildlife. Rev. Sci. Tech. Off. Int. Epizoot. 2002, 21, 385–398. [Google Scholar] [CrossRef]
- Arlian, L.G.; Morgan, M.S. A review of Sarcoptes scabiei: Past, present and future. Parasites Vectors 2017, 10, 297. [Google Scholar] [CrossRef] [PubMed]
- Jimenez, M.D.; Bangs, E.E.; Sime, C.; Asher, V.J. Sarcoptic mange found in wolves in the Rocky Mountains in western United States. J. Wildl. Dis. 2010, 46, 1120–1125. [Google Scholar] [CrossRef] [PubMed]
- Niedringhaus, K.D.; Brown, J.D.; Sweeley, K.M.; Yabsley, M.J. A review of sarcoptic mange in North American wildlife. Int. J. Parasitol. Parasites Wildl. 2019, 9, 285–297. [Google Scholar] [CrossRef]
- Morgan, M.S.; Arlian, L.G.; Rider, S.D., Jr.; Grunwald, W.C., Jr.; Cool, D.R. A proteomic analysis of Sarcoptes scabiei (Acari: Sarcoptidae). J. Med. Entomol. 2016, 53, 553–561. [Google Scholar] [CrossRef]
- Teodoro, T.G.W.; Lima, P.A.; Stehling, P.C.; Oliveira Junior, I.M.; Varaschin, M.S.; Wouters, F.; Wouters, A.T.B. Sarcoptic mange (Sarcoptes scabiei) in wild canids (Cerdocyon thous). Pesqui. Veterinária Bras. 2018, 38, 1444–1448. [Google Scholar] [CrossRef]



| Clinical Signs Score | Number of Infected Animals | Selective Samples for Histopathology | Score of Histology | ||
|---|---|---|---|---|---|
| Mild Lesions (1) | Moderate Lesions (2) | Sever Lesions (3) | |||
| Mild (1) | 15 | 4 | 3 | 1 | 0 |
| Moderate (2) | 40 | 6 | 0 | 4 | 2 |
| Severe (3) | 45 | 10 | 0 | 2 | 8 |
| Variable | No. Examined | Positive No. (%) | Negative No. (%) | Odds Ratio (95% CI), p Value | |
|---|---|---|---|---|---|
| Age | ≤2 year | 45 | 13 (29) | 32 (71) | 2.75 (1.34 to 5.60) p = 0.006 |
| >2 year | 165 | 87 (52.7) | 78 (47.3) | ||
| Sex | Female | 60 | 36 (60) | 24 (40) | 2.02 (1.10 to 3.71) p = 0.032 |
| Male | 150 | 64 (42.7) | 86 (57.3) | ||
| Season | Summer | 80 | 28 (35) | 52 (65) | 2.30 (1.30 to 4.10) p = 0.0045 |
| Winter | 130 | 72 (55.4) | 58 (44.6) | ||
| Total | 210 | 100 (47.6) | 110 (52.4) | ||
© 2020 by the authors. Licensee MDPI, Basel, Switzerland. This article is an open access article distributed under the terms and conditions of the Creative Commons Attribution (CC BY) license (http://creativecommons.org/licenses/by/4.0/).
Share and Cite
Ahmed, M.A.; Elmahallawy, E.K.; Gareh, A.; Abdelbaset, A.E.; El-Gohary, F.A.; Elhawary, N.M.; Dyab, A.K.; Elbaz, E.; Abushahba, M.F.N. Epidemiological and Histopathological Investigation of Sarcoptic Mange in Camels in Egypt. Animals 2020, 10, 1485. https://doi.org/10.3390/ani10091485
Ahmed MA, Elmahallawy EK, Gareh A, Abdelbaset AE, El-Gohary FA, Elhawary NM, Dyab AK, Elbaz E, Abushahba MFN. Epidemiological and Histopathological Investigation of Sarcoptic Mange in Camels in Egypt. Animals. 2020; 10(9):1485. https://doi.org/10.3390/ani10091485
Chicago/Turabian StyleAhmed, Marwa A., Ehab Kotb Elmahallawy, Ahmed Gareh, Abdelbaset Eweda Abdelbaset, Fatma A. El-Gohary, Nagwa M. Elhawary, Ahmed K. Dyab, Elzahara Elbaz, and Mostafa F. N. Abushahba. 2020. "Epidemiological and Histopathological Investigation of Sarcoptic Mange in Camels in Egypt" Animals 10, no. 9: 1485. https://doi.org/10.3390/ani10091485
APA StyleAhmed, M. A., Elmahallawy, E. K., Gareh, A., Abdelbaset, A. E., El-Gohary, F. A., Elhawary, N. M., Dyab, A. K., Elbaz, E., & Abushahba, M. F. N. (2020). Epidemiological and Histopathological Investigation of Sarcoptic Mange in Camels in Egypt. Animals, 10(9), 1485. https://doi.org/10.3390/ani10091485

