Sign in to use this feature.

Years

Between: -

Subjects

remove_circle_outline
remove_circle_outline
remove_circle_outline
remove_circle_outline
remove_circle_outline
remove_circle_outline
remove_circle_outline

Journals

Article Types

Countries / Regions

Search Results (45)

Search Parameters:
Keywords = repaired tetralogy of Fallot

Order results
Result details
Results per page
Select all
Export citation of selected articles as:
14 pages, 259 KB  
Article
Incidence, Risk Factors and Outcomes of Junctional Ectopic Tachycardia After Tetralogy of Fallot Repair in Pediatric Patients
by Fatih Durak, Gokcen Ozcifci, Emine Pinar Kulluoglu, Ayse Berna Anil, Onur Isik, Muhammet Akyuz and Baris Guven
Children 2025, 12(11), 1572; https://doi.org/10.3390/children12111572 - 19 Nov 2025
Viewed by 279
Abstract
Background: Postoperative junctional ectopic tachycardia (JET) is a potentially life-threatening arrhythmia that may occur after congenital heart surgery, especially following tetralogy of Fallot (TOF) repair. It can cause hemodynamic instability due to atrioventricular dissociation. This study aimed to evaluate the incidence, risk factors, [...] Read more.
Background: Postoperative junctional ectopic tachycardia (JET) is a potentially life-threatening arrhythmia that may occur after congenital heart surgery, especially following tetralogy of Fallot (TOF) repair. It can cause hemodynamic instability due to atrioventricular dissociation. This study aimed to evaluate the incidence, risk factors, and outcomes of JET after TOF repair, with particular focus on management strategies and the impact of JET duration on recovery. Methods: This retrospective study included 114 pediatric patients who underwent TOF repair between 2015 and 2023. The study was approved by the institutional ethics committee (File No: 2023/09-31, Date: 10 October 2023). Postoperative JET was diagnosed based on standard electrocardiographic criteria. Perioperative variables, surgical techniques, and postoperative outcomes were analyzed. Results: JET occurred in 19 patients (16.7%). Compared with patients without JET, those with JET had higher complication rates (73.7% vs. 42.1%, p = 0.02), prolonged inotropic support, and increased mortality (15.8% vs. 2.1%, p = 0.024). Ionized calcium (p < 0.001) and pH levels (p < 0.037) were significantly lower in JET patients. Right ventricular outflow tract muscle resection was strongly associated with JET occurrence (p = 0.003). Although cardiopulmonary bypass and aortic cross-clamp times did not predict JET, both correlated with JET duration (p < 0.05). Conclusions: Postoperative JET remains a major concern following TOF repair, leading to adverse outcomes and longer recovery. Optimizing perioperative management may help reduce JET-related complications, though further multicenter prospective studies are needed to confirm these findings. Full article
(This article belongs to the Section Pediatric Cardiology)
17 pages, 1598 KB  
Article
Revisiting Hepatic Fibrosis Risk in Congenital Heart Disease: Insights from Non-Invasive Markers and Echocardiography
by Fusako Yamazaki, Hiroteru Kamimura, Saori Endo, Suguru Miida, Hiroki Maruyama, Tomoaki Yoshida, Masaru Kumagai, Naruhiro Kimura, Hiroyuki Abe, Akira Sakamaki, Takeshi Yokoo, Masanori Tsukada, Fujito Numano, Akihiko Saitoh, Maya Watanabe, Shuichi Shiraishi, Masanori Tsuchida, Shinya Fujiki, Takeshi Kashimura, Takayuki Inomata, Hirofumi Nonaka, Kenya Kamimura, Atsunori Tsuchiya and Shuji Teraiadd Show full author list remove Hide full author list
Children 2025, 12(9), 1131; https://doi.org/10.3390/children12091131 - 27 Aug 2025
Viewed by 845
Abstract
Background/Objectives: This study aimed to investigate the prevalence of liver damage and its associated non-invasive markers and echocardiographic risk factors in patients who underwent surgery for congenital heart disease. Methods: This retrospective observational study was conducted at a single tertiary-care university hospital in [...] Read more.
Background/Objectives: This study aimed to investigate the prevalence of liver damage and its associated non-invasive markers and echocardiographic risk factors in patients who underwent surgery for congenital heart disease. Methods: This retrospective observational study was conducted at a single tertiary-care university hospital in Niigata, Japan. Of 142 patients (ventricular septal defect [VSD] n = 47, tetralogy of Fallot [TOF] n = 67, Fontan n = 28), 52.8% were male [median age: 22.7 years; VSD (24.3 years), TOF (24.0 years), and Fontan (12.5 years)]. Pediatric patients with liver diseases unrelated to congestive liver disease, such as viral hepatitis and alcoholic liver disease, were excluded. We compared non-invasive liver fibrosis age-invariant biomarkers, such as the aspartate aminotransferase-to-platelet ratio index (APRI), and various serum markers and echocardiographic parameters to assess the prevalence and predictors of hepatic fibrosis. Results: The Fontan circulation group had the highest APRI, followed by the TOF group, while the VSD group had a low risk of APRI elevation. Postoperative TOF patients required monitoring for cirrhosis progression. Inferior vena cava mobility was associated with echocardiographic parameters and fibrosis severity, along with a loss of respiratory variability. The limitations of other cardiac assessments were highlighted by poor anatomical measurements. Gamma-glutamyl transpeptidase (γ-GTP) demonstrated strong discriminatory ability. The optimal cutoff value was 53.0 U/L, suggesting its use as a clinical marker. Conclusions: Assessing fibrosis is crucial in CHD patients, especially those with late post-TOF repair findings. Non-invasive markers (APRI, γ-GTP, and B-type natriuretic peptide), along with echocardiographic findings, may help detect fibrosis early, enabling timely intervention and improving long-term outcomes. Clinical trial registration: 2020-0199. Full article
(This article belongs to the Special Issue Research Progress of the Pediatric Cardiology: 3rd Edition)
Show Figures

Figure 1

15 pages, 568 KB  
Article
Postoperative Complications in Humanitarian Paediatric Patients Undergoing Late Surgical Correction of Tetralogy of Fallot: A Multivariate Analysis
by Vitor Mendes, Samuel Filliol, Tomasz Nalecz, Ana Abecasis, Telmo Pereira, Maria do Rosário Oliveira Martins, Julie Wacker and Tornike Sologashvili
Children 2025, 12(9), 1111; https://doi.org/10.3390/children12091111 - 23 Aug 2025
Viewed by 764
Abstract
Background: Tetralogy of Fallot is a congenital heart defect that requires early surgical correction. However, in developing countries, many patients undergo delayed treatment due to limited healthcare resources. This study aims to identify risk factors for postoperative complications in humanitarian patients undergoing late [...] Read more.
Background: Tetralogy of Fallot is a congenital heart defect that requires early surgical correction. However, in developing countries, many patients undergo delayed treatment due to limited healthcare resources. This study aims to identify risk factors for postoperative complications in humanitarian patients undergoing late Tetralogy of Fallot repair, defined as surgery performed after 12 months of age. Methods: A retrospective analysis was conducted on 115 humanitarian paediatric patients with a median age of 1444 days (approximately 4 years) who underwent complete Tetralogy of Fallot correction. In this humanitarian programme, patients from developing nations underwent surgical repair at our tertiary referral centre in a high-resource country. Postoperative complications were monitored within the first 30 days after surgery. Two multivariable logistic regression models were used to analyse pre/perioperative (Model 1) and postoperative (Model 2) risk factors for complications. Results: Complications occurred in 24.3% of patients. No deaths were recorded. In Model 1, smaller pulmonary valve annulus (OR = 0.066; p < 0.01) and the use of right ventricle to pulmonary artery conduit (OR = 13.252; p < 0.01) were significantly associated with a higher risk of complications. In Model 2, prolonged invasive ventilation time (OR = 1.068; p < 0.01) and extended hospitalisation time (OR = 1.093; p = 0.04) were significantly associated with complications. Conclusions: Late surgical correction of Tetralogy of Fallot in humanitarian paediatric patients can be performed with low mortality but carries a significant risk of postoperative complications. The predictive models provide useful tools for proactive clinical monitoring, personalised management, and optimisation of hospital resources. Full article
(This article belongs to the Section Pediatric Cardiology)
Show Figures

Figure 1

7 pages, 1229 KB  
Case Report
Valve-in-Valve Repair in a Critically Ill Obstetric Patient with Severe Pulmonary Stenosis: A Rare Case
by Alixandria F. Pfeiffer, Hadley Young, Oxana Zarudskaya, Nora Doyle and Syed A. A. Rizvi
Healthcare 2025, 13(12), 1361; https://doi.org/10.3390/healthcare13121361 - 6 Jun 2025
Viewed by 970
Abstract
Background: Among patients with congenital heart disease, particularly those with a history of undergoing the Fontan operation, pregnancy presents a significant maternal–fetal risk, especially when complicated by severe valvular dysfunction. Lung reperfusion syndrome (LRS) is a rare but life-threatening complication occurring following valve [...] Read more.
Background: Among patients with congenital heart disease, particularly those with a history of undergoing the Fontan operation, pregnancy presents a significant maternal–fetal risk, especially when complicated by severe valvular dysfunction. Lung reperfusion syndrome (LRS) is a rare but life-threatening complication occurring following valve intervention. Multidisciplinary management, including by Cardio-Obstetrics teams, is essential for optimizing outcomes in such high-risk cases. Methods: We present the case of a 37-year-old pregnant patient with previously repaired tetralogy of Fallot (via the Fontan procedure) who presented at 24 weeks gestation with worsening severe pulmonary stenosis and right-ventricular dysfunction. The patient had been lost to cardiac follow-up for over a decade. She experienced recurrent arrhythmias, including supraventricular and non-sustained ventricular tachycardia, prompting hospital admission. A multidisciplinary team recommended transcatheter pulmonic valve replacement (TPVR), performed at 28 weeks’ gestation. Results: Post-TPVR, the patient developed acute hypoxia and hypotension, consistent with Lung Reperfusion Syndrome, necessitating intensive cardiopulmonary support. Despite initial stabilization, progressive maternal respiratory failure and fetal compromise led to an emergent cesarean delivery. The neonate’s neonatal intensive care unit (NICU) course was complicated by spontaneous intestinal perforation, while the mother required intensive care unit (ICU)-level care and a bronchoscopy due to new pulmonary findings. She was extubated and discharged in stable condition on postoperative day five. Conclusions: This case underscores the complexity of managing severe congenital heart disease and valve pathology during pregnancy. Lung reperfusion syndrome should be recognized as a potential complication following TPVR, particularly in pregnant patients with Fontan physiology. Early involvement of a multidisciplinary Cardio-Obstetrics team and structured peripartum planning are critical to improving both maternal and neonatal outcomes. Full article
(This article belongs to the Section Perinatal and Neonatal Medicine)
Show Figures

Figure 1

18 pages, 3085 KB  
Article
Whole-Exome Sequencing Identifies Novel GATA5/6 Variants in Right-Sided Congenital Heart Defects
by Gloria K. E. Zodanu, John H. Hwang, Jordan Mudery, Carlos Sisniega, Xuedong Kang, Lee-Kai Wang, Alexander Barsegian, Reshma M. Biniwale, Ming-Sing Si, Nancy J. Halnon, UCLA Congenital Heart Defects-BioCore Faculty, Wayne W. Grody, Gary M. Satou, Glen S. Van Arsdell, Stanly F. Nelson and Marlin Touma
Int. J. Mol. Sci. 2025, 26(5), 2115; https://doi.org/10.3390/ijms26052115 - 27 Feb 2025
Viewed by 1962
Abstract
One out of every hundred live births present with congenital heart abnormalities caused by the aberrant development of the embryonic cardiovascular system. The conserved zinc finger transcription factor proteins, which include GATA binding protein 5 (GATA5) and GATA binding protein (GATA6) play important [...] Read more.
One out of every hundred live births present with congenital heart abnormalities caused by the aberrant development of the embryonic cardiovascular system. The conserved zinc finger transcription factor proteins, which include GATA binding protein 5 (GATA5) and GATA binding protein (GATA6) play important roles in embryonic development and their inactivation may result in congenital heart defects (CHDs). In this study, we performed genotypic–phenotypic analyses in two families affected by right-sided CHD diagnosed by echocardiography imaging. Proband A presented with pulmonary valve stenosis, and proband B presented with complex CHD involving the right heart structures. For variant detection, we employed whole-genome single-nucleotide polymorphism (SNP) microarray and family-based whole-exome sequencing (WES) studies. Proband A is a full-term infant who was admitted to the neonatal intensive care unit (NICU) at five days of life for pulmonary valve stenosis (PVS). Genomic studies revealed a normal SNP microarray; however, quad WES analysis identified a novel heterozygous [Chr20:g.61041597C>G (p.Arg237Pro)] variant in the GATA5 gene. Further analysis confirmed that the novel variant was inherited from the mother but was absent in the father and the maternal uncle with a history of heart murmur. Proband B was born prematurely at 35 weeks gestation with a prenatally diagnosed complex CHD. A postnatal evaluation revealed right-sided heart defects including pulmonary atresia with intact ventricular septum (PA/IVS), right ventricular hypoplasia, tricuspid valve hypoplasia, hypoplastic main and bilateral branch pulmonary arteries, and possible coronary sinusoids. Cardiac catheterization yielded anatomy and hemodynamics unfavorable to repair. Hence, heart transplantation was indicated. Upon genomic testing, a normal SNP microarray was observed, while trio WES analysis identified a novel heterozygous [Chr18:c.1757C>T (p.Pro586Leu)] variant in the GATA6 gene. This variant was inherited from the father, who carries a clinical diagnosis of tetralogy of Fallot. These findings provide new insights into novel GATA5/6 variants, elaborate on the genotypic and phenotypic association, and highlight the critical role of GATA5 and GATA6 transcription factors in a wide spectrum of right-sided CHDs. Full article
(This article belongs to the Special Issue Genetic Variations in Human Diseases: 2nd Edition)
Show Figures

Figure 1

16 pages, 7788 KB  
Article
Transforming Cardiac Imaging: Can CT Angiography Replace Interventional Angiography in Tetralogy of Fallot?
by Ali Nazım Güzelbağ, Serap Baş, Muhammet Hamza Halil Toprak, Demet Kangel, Şenay Çoban, Selin Sağlam and Erkut Öztürk
J. Clin. Med. 2025, 14(5), 1493; https://doi.org/10.3390/jcm14051493 - 23 Feb 2025
Viewed by 1110
Abstract
Background: Tetralogy of Fallot (TOF) is a complex congenital heart condition characterized by four major anatomical abnormalities. Accurate preoperative imaging is critical for optimal surgical outcomes, with transthoracic echocardiography (TTE), computed tomography angiography (CTA), and conventional catheter angiography (CCA) being the primary diagnostic [...] Read more.
Background: Tetralogy of Fallot (TOF) is a complex congenital heart condition characterized by four major anatomical abnormalities. Accurate preoperative imaging is critical for optimal surgical outcomes, with transthoracic echocardiography (TTE), computed tomography angiography (CTA), and conventional catheter angiography (CCA) being the primary diagnostic tools. This study aimed to compare the diagnostic utility of TTE, CTA, and CCA in preoperative evaluations of TOF patients, focusing on anatomical parameters, imaging accuracy, and patient outcomes. Methods: A retrospective, single-center analysis included TOF patients under one year of age who underwent complete repair between January 2021 and December 2024. Preoperative imaging with TTE, CTA, and CCA was analyzed for parameters including pulmonary artery diameters, Nakata index, McGoon ratio, and Z-scores. Radiation exposure, procedure duration, contrast volume, and complications were documented. Statistical analyses were performed to assess the comparative accuracy and safety of these modalities. Results: All patients underwent TTE (n = 127), while CTA was performed in 86 patients and CCA in 41 patients. Among 127 patients, 62% were male, with a mean age of 5.81 ± 2.15 months. On TTE, CTA and CCA provided statistically similar measurements of the pulmonary annulus, main pulmonary artery, and branch diameters, with no significant differences in the Nakata index and McGoon ratio. CTA had a shorter procedure duration (3.1 ± 0.58 min) and lower radiation dose (1.19 ± 0.22 mSv) compared to CCA (20.73 ± 11.12 min; 5.48 ± 1.62 mSv). CTA successfully identified major aortopulmonary collateral arteries (MAPCAs) in 10% of patients and detected additional pulmonary pathologies, such as subsegmental atelectasis in 12%. Access site complications were observed in 10% of CCA cases but were absent in CTA evaluations. Conclusions: CTA emerges as a highly effective and non-invasive alternative to CCA for preoperative assessment of TOF, offering comparable anatomical accuracy with significantly reduced procedural risks, radiation exposure, and contrast volume. Combining TTE and CTA provides comprehensive diagnostic coverage, minimizing the need for invasive procedures and enhancing surgical planning. These findings underscore the evolving role of CTA in the management of congenital heart disease, contributing to improved patient safety and outcomes. Full article
(This article belongs to the Special Issue Perspectives on Congenital Heart Disease from Children to Adults)
Show Figures

Figure 1

11 pages, 2232 KB  
Article
Abnormal Venous Flow in Pregnant Women with Mild Right Ventricular Dysfunction in Repaired Tetralogy of Fallot: A Clinical Model for Organ Dysfunction in Preeclampsia
by Anne S. Siegmund, Wilfried Gyselaers, Krystina M. Sollie-Szarynska, Tineke P. Willems, Jolien W. Roos-Hesselink, Dirk J. van Veldhuisen and Elke S. Hoendermis
J. Clin. Med. 2025, 14(1), 142; https://doi.org/10.3390/jcm14010142 - 30 Dec 2024
Viewed by 1307
Abstract
Background: Pregnant women with congenital heart disease carry a high risk of complications, especially when cardiac function is suboptimal. Increasing evidence suggests that impaired right ventricular (RV) function has a negative effect on placental function, possibly through venous congestion. We report a case [...] Read more.
Background: Pregnant women with congenital heart disease carry a high risk of complications, especially when cardiac function is suboptimal. Increasing evidence suggests that impaired right ventricular (RV) function has a negative effect on placental function, possibly through venous congestion. We report a case series of hepatic and renal venous flow patterns in pregnant women with right ventricular dysfunction after repaired Tetralogy of Fallot (ToF), relative to those observed in normal pregnancy and preeclampsia. Methods: At 20–24 weeks pregnancy, RV function was measured by echocardiography and by cardiovascular magnetic resonance in women with repaired ToF. Combined Doppler-ECG of the hepatic and renal interlobular veins were performed in three women with asymptomatic right ventricular dysfunction. Venous impedance index and pulse transit time were measured and classified as abnormal at >75th and <25th reference percentile, respectively. Results: All three women showed dilated RV and mildly impaired RV function. Both hepatic and intrarenal Doppler flow waves were abnormal and very much resembled the patterns seen in preeclampsia. One of the three women had complications including ventricular tachycardia, intrauterine growth restriction, antenatal bleeding, emergency cesarean section and acute heart failure 2 days postpartum. Conclusions: Pregnant women with mild right ventricular dysfunction after repaired ToF show abnormal venous Doppler flow waves in the liver and kidneys, similar to those observed in preeclampsia. These findings are in line with reported observations on the association between impaired RV function, abnormal return of venous blood, venous congestion and organ dysfunction. The parallel with venous Doppler flow observations in preeclampsia suggest that the venous compartment might play an important role in the etiology of preeclampsia-induced organ dysfunction. Whether this phenomenon directly affects the uteroplacental circulation is to be assessed in future research. Full article
(This article belongs to the Section Obstetrics & Gynecology)
Show Figures

Figure 1

17 pages, 3814 KB  
Article
A 3D Statistical Shape Model of the Right Ventricular Outflow Tract in Pulmonary Valve Replacement Patients Post-Surgical Repair
by Liam Swanson, Raphaël Sivera, Claudio Capelli, Abdulaziz Alosaimi, Dariusz Mroczek, Christopher Z. Lam, Andrew Cook, Rajiv R. Chaturvedi and Silvia Schievano
J. Cardiovasc. Dev. Dis. 2024, 11(10), 330; https://doi.org/10.3390/jcdd11100330 - 17 Oct 2024
Cited by 3 | Viewed by 1976
Abstract
Assessment of the right ventricular outflow tract and pulmonary arteries (RVOT) for percutaneous pulmonary valve implantation (PPVI) uses discrete measurements (diameters and lengths) from medical images. This multi-centre study identified the 3D RVOT shape features prevalent in patients late after surgical repair of [...] Read more.
Assessment of the right ventricular outflow tract and pulmonary arteries (RVOT) for percutaneous pulmonary valve implantation (PPVI) uses discrete measurements (diameters and lengths) from medical images. This multi-centre study identified the 3D RVOT shape features prevalent in patients late after surgical repair of congenital heart disease (CHD). A 3D RVOT statistical shape model (SSM) was computed from 81 retrospectively selected CHD patients (14.7 ± 6.8 years) who required pulmonary valve replacement late after surgical repair. A principal component analysis identified prevalent shape features (modes) within the population which were compared with standard geometric measurements (diameter, length and surface area) and between sub-groups of diagnosis, RVOT type and dysfunction. Shape mode 1 and 2 represented RVOT size and curvature and tapering and length, respectively. Shape modes 3–5 related to branch pulmonary artery calibre, conical vs. bulbous RVOTs and RVOT curvature, respectively. Tetralogy of Fallot, transannular patch type and regurgitant RVOTs were larger and straighter while conduit and stenotic types were longer and more cylindrical than other subgroups. This SSM analysed the main 3D shape features present in a population of RVOTs, exploiting the wide 3D anatomical information provided by routine imaging. This morphological information may have implications for PPVI patient selection and device design. Full article
(This article belongs to the Section Pediatric Cardiology and Congenital Heart Disease)
Show Figures

Figure 1

11 pages, 1566 KB  
Article
Complex Pulmonary Artery Rehabilitation in Children with Alagille Syndrome: An Early Single-Center Experience of a Successful Collaborative Work
by Farida Karim, Gurumurthy Hiremath, Juan Carlos Samayoa and Sameh M. Said
J. Cardiovasc. Dev. Dis. 2024, 11(8), 232; https://doi.org/10.3390/jcdd11080232 - 25 Jul 2024
Cited by 1 | Viewed by 2385
Abstract
Objective: In this paper, we share our single-center experience of successful multidisciplinary management of patients with Alagille syndrome. In addition, we aim to highlight the need for an Alagille program for effectively managing these patients, in general, and particularly peripheral pulmonary artery stenosis [...] Read more.
Objective: In this paper, we share our single-center experience of successful multidisciplinary management of patients with Alagille syndrome. In addition, we aim to highlight the need for an Alagille program for effectively managing these patients, in general, and particularly peripheral pulmonary artery stenosis associated with this syndrome. Study Design: This is a retrospective review of six children with Alagille syndrome and advanced liver involvement who underwent pulmonary artery reconstruction between 2021 and 2022. Cardiac diagnosis, co-existing liver disease burdens, management approach, and short-term outcomes were analyzed. Results: All the patients underwent one-stage extensive bilateral branch pulmonary rehabilitation. Concomitant procedures included repair of tetralogy of Fallot in one patient and repair of supravalvar pulmonary artery stenosis in two. One patient had balloon pulmonary branch angioplasty before surgery. In all patients, there was a decrease in right ventricular systolic pressure post-operatively. Three patients underwent liver transplantation for pre-existing liver dysfunction. At a median 3-year follow-up, all the patients were alive with their right ventricular systolic pressure less than half of their systemic systolic pressure. One patient underwent balloon angioplasty due to new and recurrent left pulmonary artery stenosis 13 months after surgery. Conclusion: Pulmonary arteries can be successfully rehabilitated surgically in the presence of complex branch disease. Patients with advanced liver disease can undergo successful complex pulmonary artery reconstruction, which can facilitate their future liver transplantation course. A multidisciplinary team approach is a key for successful management of Alagille patients. Full article
(This article belongs to the Section Cardiac Surgery)
Show Figures

Figure 1

17 pages, 21611 KB  
Review
Myocardial, Valvular and Vascular Abnormalities in Repaired Tetralogy of Fallot
by Attila Nemes
Life 2024, 14(7), 843; https://doi.org/10.3390/life14070843 - 3 Jul 2024
Viewed by 1530
Abstract
Tetralogy of Fallot is the most common heart defect associated with cyanosis characterized by the co-occurrence of pulmonary stenosis, right ventricular hypertrophy, and ventricular septal defect with over-riding of the aorta. The present review purposed to summarize myocardial, valvular and vascular abnormalities, which [...] Read more.
Tetralogy of Fallot is the most common heart defect associated with cyanosis characterized by the co-occurrence of pulmonary stenosis, right ventricular hypertrophy, and ventricular septal defect with over-riding of the aorta. The present review purposed to summarize myocardial, valvular and vascular abnormalities, which were described in a series of patients following repair of tetralogy of Fallot. It was also aimed to describe potential differences in these parameter using different surgical strategies. Full article
Show Figures

Figure 1

18 pages, 1814 KB  
Review
Repaired Tetralogy of Fallot: Have We Understood the Right Timing of PVR?
by Benedetta Leonardi, Marco Perrone, Giuseppe Calcaterra, Jolanda Sabatino, Isabella Leo, Martina Aversani, Pier Paolo Bassareo, Alice Pozza, Lilia Oreto, Sara Moscatelli, Nunzia Borrelli, Francesco Bianco and Giovanni Di Salvo
J. Clin. Med. 2024, 13(9), 2682; https://doi.org/10.3390/jcm13092682 - 2 May 2024
Cited by 6 | Viewed by 4003
Abstract
Despite many advances in surgical repair during the past few decades, the majority of tetralogy of Fallot patients continue to experience residual hemodynamic and electrophysiological abnormalities. The actual issue, which has yet to be solved, is understanding how this disease evolves in each [...] Read more.
Despite many advances in surgical repair during the past few decades, the majority of tetralogy of Fallot patients continue to experience residual hemodynamic and electrophysiological abnormalities. The actual issue, which has yet to be solved, is understanding how this disease evolves in each individual patient and, as a result, who is truly at risk of sudden death, as well as the proper timing of pulmonary valve replacement (PVR). Our responsibility should be to select the most appropriate time for each patient, going above and beyond imaging criteria used up to now to make such a clinically crucial decision. Despite several studies on timing, indications, procedures, and outcomes of PVR, there is still much uncertainty about whether PVR reduces arrhythmia burden or improves survival in these patients and how to appropriately manage this population. This review summarizes the most recent research on the evolution of repaired tetralogy of Fallot (from adolescence onwards) and risk factor variables that may favor or delay PVR. Full article
Show Figures

Figure 1

18 pages, 6388 KB  
Article
Computational Analysis of Blood Flow in Healthy Pulmonary Arteries in Comparison to Repaired Tetralogy of Fallot Results: A Small Cohort Study
by Maria Boumpouli, Scott MacDonald Black and Asimina Kazakidi
Fluids 2024, 9(4), 85; https://doi.org/10.3390/fluids9040085 - 1 Apr 2024
Cited by 3 | Viewed by 2447
Abstract
Characterization of the physiological hemodynamic environment in normal pulmonary arteries is a key factor in understanding pathological conditions. This study aimed to analyze the morphology and hemodynamics in the healthy adult pulmonary bifurcation in comparison to age-matched repaired Tetralogy of Fallot (rTOF) geometries. [...] Read more.
Characterization of the physiological hemodynamic environment in normal pulmonary arteries is a key factor in understanding pathological conditions. This study aimed to analyze the morphology and hemodynamics in the healthy adult pulmonary bifurcation in comparison to age-matched repaired Tetralogy of Fallot (rTOF) geometries. The pulmonary trunk of five healthy volunteers was reconstructed from 4D Flow-MRI data and was compared to rTOF results. Subject-specific boundary conditions were assigned in both the inlet and outlets of the models, and flow characteristics were analyzed computationally. The morphological and flow features were consistent among the healthy geometries, highlighting the ability of an averaged geometry derived from this small cohort to capture the main flow characteristics. A slightly higher mean time-averaged wall shear stress (TAWSS) was found in the right pulmonary artery, which was also the branch with a higher mean curvature and local Reynolds number. Compared to rTOF results, the averaged healthy geometry demonstrated more than an 8-fold lower value in TAWSS, with the individual patient-specific healthy volunteers showing further reduced TAWSS than the rTOF patients. These observations could be useful in clinical assessment and decision making based on hemodynamic indices. Full article
(This article belongs to the Special Issue Advances in Hemodynamics and Related Biological Flows)
Show Figures

Figure 1

13 pages, 5760 KB  
Article
Pulmonary Artery Dilatation Due to Pressure or Volume Overload in Congenital Heart Disease
by Monika Kaldararova, Katarina Bobocka, Andrea Kantorova, Erika Drangova, Jana Polakova Mistinova, Filip Klauco, Tereza Hlavata, Adriana Reptova, Tatiana Valkovicova and Iveta Simkova
J. Clin. Med. 2024, 13(6), 1567; https://doi.org/10.3390/jcm13061567 - 9 Mar 2024
Cited by 3 | Viewed by 4265
Abstract
Background: Pulmonary artery dilatation is described mostly in association with pulmonary hypertension. Patients/Methods: Study analysis: 60 patients with pulmonary arterial hypertension in congenital heart disease (PAH-CHD); 64 with repaired tetralogy of Fallot/pulmonary regurgitation (rTOF/PR); and 80 healthy (NORMAL). Measured were: main pulmonary artery [...] Read more.
Background: Pulmonary artery dilatation is described mostly in association with pulmonary hypertension. Patients/Methods: Study analysis: 60 patients with pulmonary arterial hypertension in congenital heart disease (PAH-CHD); 64 with repaired tetralogy of Fallot/pulmonary regurgitation (rTOF/PR); and 80 healthy (NORMAL). Measured were: main pulmonary artery (MPA) diameter and MPA/ascending aorta (Ao asc) ratio, by echocardiography (ECHO) and computer tomography or magnetic resonance imaging (CT/MRI). Results: In MPA diameter, significant differences between PAH-CHD, rTOF/PR, and NORMAL were found (median): 37 vs. 27 vs. 21 mm (p < 0.0001). In MPA/Ao asc ratio, there was a difference between PAH-CHD and NORMAL (median): 1.3 vs. 0.8 (p < 0.0001), but not between rTOF/PR and NORMAL: 0.74 vs. 0.8 (p = 0.3). Significant MPA dilatation (>40 mm) was present: in PAH-CHD, 35% (ECHO) and 76.9% (CT/MRI) of patients, while in rTOF/PR, 3.1% (ECHO) and 7.8% (CT/MRI). Severe MPA dilatation (>50 mm) occurred only in PAH-CHD: 16.7% (ECHO) and 31.4% (CT/MRI), while not in rTOF/PR. There was a significant correlation between ECHO and CT/MRI measurements, but ECHO was underestimated in all parameters. Conclusions: MPA dilatation due to pressure overload is more frequent and more severe; volume overload also leads to MPA dilatation but is less severe. The MPA/Ao asc ratio is not reliable for MPA dilatation estimation in rTOF/PR. Full article
Show Figures

Figure 1

11 pages, 875 KB  
Article
Cardiopulmonary Exercise Testing after Surgical Repair of Tetralogy of Fallot—Does Modality Matter?
by Benedetta Leonardi, Fabrizio Sollazzo, Federica Gentili, Massimiliano Bianco, Elettra Pomiato, Stefani Silva Kikina, Rachel Maya Wald, Vincenzo Palmieri, Aurelio Secinaro, Giulio Calcagni, Gianfranco Butera, Ugo Giordano, Giulia Cafiero and Fabrizio Drago
J. Clin. Med. 2024, 13(5), 1192; https://doi.org/10.3390/jcm13051192 - 20 Feb 2024
Cited by 3 | Viewed by 2654
Abstract
Background: Despite a successful repair of tetralogy of Fallot (rToF) in childhood, residual lesions are common and can contribute to impaired exercise capacity. Although both cycle ergometer and treadmill protocols are often used interchangeably these approaches have not been directly compared. In this [...] Read more.
Background: Despite a successful repair of tetralogy of Fallot (rToF) in childhood, residual lesions are common and can contribute to impaired exercise capacity. Although both cycle ergometer and treadmill protocols are often used interchangeably these approaches have not been directly compared. In this study we examined cardiopulmonary exercise test (CPET) measurements in rToF. Methods: Inclusion criteria were clinically stable rToF patients able to perform a cardiac magnetic resonance imaging (CMR) and two CPET studies, one on the treadmill (incremental Bruce protocol) and one on the cycle ergometer (ramped protocol), within 12 months. Demographic, surgical and clinical data; functional class; QRS duration; CMR measures; CPET data and international physical activity questionnaire (IPAQ) scores of patients were collected. Results: Fifty-seven patients were enrolled (53% male, 20.5 ± 7.8 years at CPET). CMR measurements included a right ventricle (RV) end-diastolic volume index of 119 ± 22 mL/m2, a RV ejection fraction (EF) of 55 ± 6% and a left ventricular (LV) EF of 56 ± 5%. Peak oxygen consumption (VO2)/Kg (25.5 ± 5.5 vs. 31.7 ± 6.9; p < 0.0001), VO2 at anaerobic threshold (AT) (15.3 ± 3.9 vs. 22.0 ± 4.5; p < 0.0001), peak O2 pulse (10.6 ± 3.0 vs. 12.1± 3.4; p = 0.0061) and oxygen uptake efficiency slope (OUES) (1932.2 ± 623.6 vs. 2292.0 ± 639.4; p < 0.001) were significantly lower on the cycle ergometer compared with the treadmill, differently from ventilatory efficiency (VE/VCO2) max which was significantly higher on the cycle ergometer (32.2 ± 4.5 vs. 30.4 ± 5.4; p < 0.001). Only the VE/VCO2 slope at the respiratory compensation point (RCP) was similar between the two methodologies (p = 0.150). Conclusions: The majority of CPET measurements differed according to the modality of testing, with the exception being the VE/VCO2 slope at RCP. Our data suggest that CPET parameters should be interpreted according to test type; however, these findings should be validated in larger populations and in a variety of institutions. Full article
(This article belongs to the Section Cardiology)
Show Figures

Figure 1

8 pages, 1791 KB  
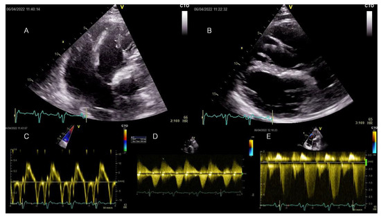
Interesting Images
Complex Substrate Leading to PVC-Mediated Systolic Dysfunction in addition to Sustained Monomorphic VT in Repaired Tetralogy of Fallot
by Cosmin Cojocaru, Silvia Deaconu, Viviana Gondos, Sebastian Onciul, Ioana Petre, Oana Gheorghe-Fronea and Radu Vătășescu
Diagnostics 2024, 14(2), 158; https://doi.org/10.3390/diagnostics14020158 - 10 Jan 2024
Viewed by 1520
Abstract
Frequent premature ventricular complexes (PVCs) are associated with deleterious effects on left ventricular (LV) function in various clinical scenarios. Repaired tetralogy of Fallot (rTOF) is frequently affected by sustained ventricular arrhythmias dependent on complex post-surgical substrates. However, there is limited data regarding the [...] Read more.
Frequent premature ventricular complexes (PVCs) are associated with deleterious effects on left ventricular (LV) function in various clinical scenarios. Repaired tetralogy of Fallot (rTOF) is frequently affected by sustained ventricular arrhythmias dependent on complex post-surgical substrates. However, there is limited data regarding the potential of arrhythmogenic isthmuses to generate frequent PVCs and PVC-mediated LV systolic dysfunction development in rTOF. We present a case of rTOF experiencing relatively infrequent episodes of internal shocks for episodes of sustained monomorphic ventricular tachycardia and a high burden of PVCs associated with left ventricular systolic function deterioration, in which the successful substrate ablation of the anatomical VT isthmuses also led to PVC abolition and consequently to LV systolic function normalization. In such cases, understanding the pathogenic mechanisms that lead to LV dysfunction is only possible by rigorous clinical reasoning, which leads to a tailored specific treatment. Full article
(This article belongs to the Section Medical Imaging and Theranostics)
Show Figures

Figure 1

Back to TopTop