Sign in to use this feature.

Years

Between: -

Subjects

remove_circle_outline
remove_circle_outline
remove_circle_outline
remove_circle_outline

Journals

Article Types

Countries / Regions

Search Results (8)

Search Parameters:
Keywords = penile urethral stricture

Order results
Result details
Results per page
Select all
Export citation of selected articles as:
14 pages, 3015 KB  
Article
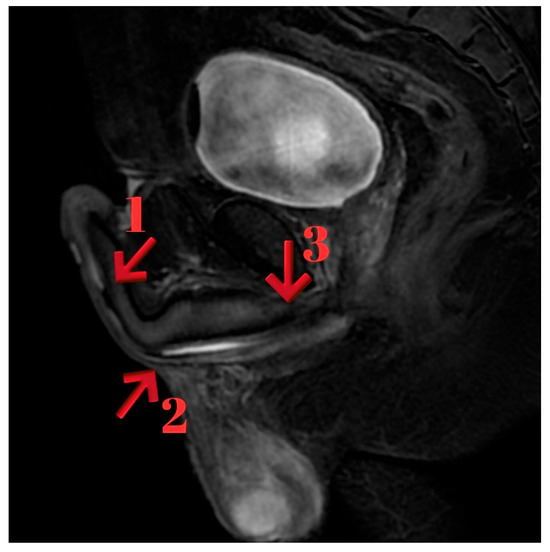
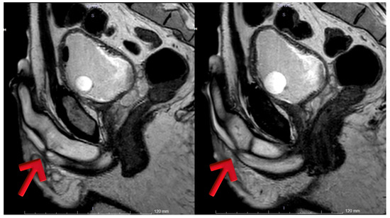
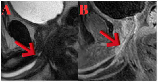
The Role of Magnetic Resonance Imaging in Preoperative Evaluation of Anterior Obliterative Urethral Strictures
by Kursat Kucuker, Duran Duzgun, Burak Saglam, Ilker Gokcedag, Mehmet Kirdar, Yusuf Ozlulerden, Sinan Celen, Mesut Berkan Duran, Ahmet Baki Yagci and Zafer Aybek
Diagnostics 2025, 15(19), 2415; https://doi.org/10.3390/diagnostics15192415 - 23 Sep 2025
Viewed by 587
Abstract
Background/Objectives: Conventional imaging modalities are often inadequate for evaluating the proximal extent of anterior obliterative urethral strictures. Magnetic Resonance Imaging (MRI), with its superior soft tissue resolution, provides detailed anatomical insights and significantly contributes to surgical planning in such cases. Methods: Four male [...] Read more.
Background/Objectives: Conventional imaging modalities are often inadequate for evaluating the proximal extent of anterior obliterative urethral strictures. Magnetic Resonance Imaging (MRI), with its superior soft tissue resolution, provides detailed anatomical insights and significantly contributes to surgical planning in such cases. Methods: Four male patients aged 26–63 years with anterior obliterative urethral strictures were evaluated using MRI in addition to conventional imaging. All MRI scans were performed following a modified Joshi protocol. Clinical data, MRI findings, and surgical outcomes were retrospectively reviewed. Results: MRI successfully delineated stricture length, location, periurethral fibrosis, and proximal urethral status in all cases, correlating well with intraoperative findings. Case 1 showed a 2 cm proximal bulbar obliteration, excised with end-to-end anastomosis. Case 2 had a 2.5 cm distal bulbar stricture, managed similarly. Case 3 revealed multi-segmental strictures, treated with a combination of anastomosis, graft, and Kulkarni urethroplasty. Case 4 demonstrated a rare 9 cm distal penile obliteration with preserved proximal urethra, treated with anastomotic repair. MRI provided critical anatomical detail for surgical decision-making. Conclusions: MRI is a valuable imaging modality for the evaluation of anterior obliterative urethral strictures, particularly when the proximal extent of the stricture cannot be visualized with conventional imaging techniques. In our case series, MRI enabled precise delineation of the stricture length and surrounding anatomical structures, which was critical for selecting the most appropriate surgical approach. Full article
(This article belongs to the Section Medical Imaging and Theranostics)
Show Figures

Figure 1

12 pages, 1081 KB  
Article
Efficacy and Mid-Term Outcomes of Paclitaxel-Coated Balloon (Optilume®) for Penile Strictures
by Johannes Salem, Juan Jose Menendez-Suarez, Georgi Tosev, Hendrik Borgmann and Timur Kuru
J. Clin. Med. 2025, 14(17), 6022; https://doi.org/10.3390/jcm14176022 - 26 Aug 2025
Viewed by 987
Abstract
Background/Objectives: Penile urethral stricture is a therapeutically challenging condition that significantly impacts quality of life and is often managed initially with urethral dilation or internal urethrotomy. However, both techniques are associated with high recurrence rates, limited long-term efficacy, and potential adverse effects, particularly [...] Read more.
Background/Objectives: Penile urethral stricture is a therapeutically challenging condition that significantly impacts quality of life and is often managed initially with urethral dilation or internal urethrotomy. However, both techniques are associated with high recurrence rates, limited long-term efficacy, and potential adverse effects, particularly in the penile urethra. Urethroplasty remains the gold standard but is invasive and not suitable for all patients. Optilume, a paclitaxel-coated balloon, combines mechanical dilation with localized drug delivery to reduce recurrence rates and the need for re-intervention. This study evaluated its effectiveness in patients with penile urethral strictures. Methods: A retrospective, multicenter study was conducted at two German clinics. Eight male patients (mean age 59) with symptomatic penile urethral strictures underwent Optilume treatment. Symptom severity was assessed using the International Prostate Symptom Score (IPSS) and quality of life (QoL) scores before and after treatment. The primary endpoint was symptom improvement, while the secondary endpoint was the need for reintervention. Patients were followed for a median of 16.5 months. Statistical analyses included Wilcoxon signed-rank and Mann–Whitney U tests. Results: The median IPSS improved from 25.5 to 5.0 and QoL scores from 4.5 to 1.0 after treatment (p < 0.01 for both). No patients required reintervention during follow-up. The subgroup analysis showed slightly better outcomes in patients without prior interventions, although differences were not statistically significant. The stricture length did not correlate with treatment response. Conclusions: Optilume significantly reduces urinary symptoms and improves QoL in penile urethral strictures, and the absence of re-interventions during follow-up underscores its durable mid-term success. It offers a minimally invasive alternative to urethroplasty, particularly for patients seeking symptom relief with a shorter recovery time and no hospital stay or general anesthesia. These preliminary findings suggest that Optilume may be a promising minimally invasive option for selected patients. Larger, controlled studies are warranted to validate these results and refine patient selection criteria. Full article
(This article belongs to the Section Nephrology & Urology)
Show Figures

Figure 1

13 pages, 1239 KB  
Article
Impact of Urethroplasty on Erectile Function: A Multicenter Analysis of the International Index of Erectile Function Score Changes Across Different Etiologies of Urethral Stricture
by Mikołaj Frankiewicz, Łukasz Białek, Marta Rydzińska, Michał Skrzypczyk, Rafał Pęksa, Marcin Folwarski, Adam Kaftan, Jakub Krukowski, Adam Kałużny, Marcin Matuszewski and Trauma and Reconstructive Urology Working Party of the European Association of Urology Young Academic Urologists
J. Clin. Med. 2025, 14(9), 2936; https://doi.org/10.3390/jcm14092936 - 24 Apr 2025
Cited by 2 | Viewed by 1513
Abstract
Background/Objectives: Urethral stricture disease, characterized by narrowing of the urethra due to scar tissue, affects urinary and sexual health. While urethroplasty is the standard treatment, its impact on erectile function is less understood. This study examines changes in International Index of Erectile [...] Read more.
Background/Objectives: Urethral stricture disease, characterized by narrowing of the urethra due to scar tissue, affects urinary and sexual health. While urethroplasty is the standard treatment, its impact on erectile function is less understood. This study examines changes in International Index of Erectile Function (IIEF) scores post-urethroplasty across various stricture etiologies, identifies predictors of erectile function outcomes, and explores recovery trajectories following surgery. Methods: This multicenter retrospective study included 103 patients who underwent urethroplasty between 2017 and 2023. Preoperative and postoperative IIEF scores at 3 and 6 or 12 months were analyzed. Stricture etiologies included pelvic fracture urethral injury, transurethral resection, catheterization, idiopathic, and hypospadias. The Wilcoxon signed-rank test and multivariate regression models were used to assess changes in IIEF scores and identify significant predictors. Results: Preoperative erectile function and patient age were significant predictors of postoperative outcomes. Younger patients and those with higher baseline IIEF scores experienced better erectile function post-surgery. Long-term outcomes (6 to 12 months) were significantly worse for strictures involving both penile and bulbar regions. Multivariate analysis showed higher pre-surgery IIEF scores and younger age were associated with better outcomes both short-term (R2 = 0.562) and long-term (R2 = 0.507). Diabetes was associated with worse erectile function outcomes at 3 months post-surgery. Conclusions: Younger patients and those with higher baseline IIEF scores have better erectile function outcomes following urethroplasty. Complex strictures involving both penile and bulbar regions adversely affect long-term outcomes. Additionally, the presence of diabetes is correlated with diminished erectile function in the short-term postoperative period. Full article
Show Figures

Figure 1

9 pages, 2889 KB  
Article
Optilume Drug-Coated Balloon for Acute Urinary Retention After Failed Treatment for Complex Recurrent Urethral Stricture Disease
by Lukas Andrius Jelisejevas, Peter Rehder, Jannik Wassermann, Patricia Kink and Gennadi Tulchiner
Medicina 2025, 61(4), 700; https://doi.org/10.3390/medicina61040700 - 11 Apr 2025
Cited by 3 | Viewed by 2369
Abstract
Background and Objectives: We aimed to assess the outcomes of upfront Optilume drug-coated balloon (DCB) dilation in patients after failed treatment for complex recurrent urethral stricture disease. All patients presented with acute urinary retention and were treated with DCB dilation regardless of [...] Read more.
Background and Objectives: We aimed to assess the outcomes of upfront Optilume drug-coated balloon (DCB) dilation in patients after failed treatment for complex recurrent urethral stricture disease. All patients presented with acute urinary retention and were treated with DCB dilation regardless of stricture site and length. Materials and Methods: We retrospectively evaluated patients with acute urinary retention and known complex recurrent urethral strictures. Patients presented at the urology emergency room of our tertiary centre with an inability to void or a post-void residual (PVR) volume exceeding 400 mL between August 2021 and February 2024. Urethrography and/or endoscopic imaging confirmed the diagnosis. Patients with urinary tract infection/sepsis and those with neurological disease were excluded. Urethral dilation to 20 Fr was performed, followed by DCB dilation (30 Fr, 10 bar, 10 min). The primary endpoints were anatomical success (≥14 Fr by cystoscopy/calibration) at 12 months and freedom from repeat interventions. Results: Thirty-one consecutive male patients were evaluated, with twenty-six patients followed for ≥12 months (mean age 65 ± 16.8 years). The stricture sites included seven bulbopenile, seven bulbomembranous, seven anastomotic, three bladder neck, one penile, and one panurethral stricture. The median number of prior urethral/surgical interventions was 2 [IQR: 1–3] (range: 1–31). The median stricture length was 3 [IQR: 2–4] cm (range: 1–8). At 12 months, 65.4% (17/26) of subjects voided satisfactorily and were free of recurrence and reoperation. Conclusions: Timely DCB dilation may offer a viable treatment option for patients with complex recurrent urethral strictures and urinary retention, particularly those who are unable or unwilling to undergo surgical reconstruction and prefer to avoid indwelling catheters. Full article
(This article belongs to the Section Urology & Nephrology)
Show Figures

Figure 1

12 pages, 1218 KB  
Article
Use of Validated Questionnaires to Predict Cosmetic Outcomes of Hypospadias Repair
by Amos Neheman, Omri Schwarztuch Gildor, Andrew Shumaker, Ilia Beberashvili, Yuval Bar-Yosef, Shmuel Arnon, Amnon Zisman and Kobi Stav
Children 2024, 11(2), 189; https://doi.org/10.3390/children11020189 - 2 Feb 2024
Cited by 2 | Viewed by 3755
Abstract
Introduction: Hypospadias is a syndrome of penile maldevelopment. The primary goal of hypospadias surgery is to create a penis with normal appearance and function. Historically, the outcome of hypospadias repair has been assessed based on the need for reoperation due to urethroplasty complications [...] Read more.
Introduction: Hypospadias is a syndrome of penile maldevelopment. The primary goal of hypospadias surgery is to create a penis with normal appearance and function. Historically, the outcome of hypospadias repair has been assessed based on the need for reoperation due to urethroplasty complications (UC), including fistula formation, dehiscence, meatal stenosis, or development of a urethral stricture. The Glans–Urethral Meatus–Shaft (GMS) score is a standardized tool to predict UC. Analysis of the cosmetic outcomes of hypospadias repair based on the appearance of the reconstructed penis has been validated, and standardized scores have been published. The Hypospadias Objective Penile Evaluation (HOPE) score is a validated questionnaire used to assess postoperative cosmetic outcomes. Although predictors of surgical outcomes and UC have been well documented, predictors of optimal cosmetic outcomes are lacking in the literature. Furthermore, reoperation due to cosmetic considerations has been poorly reported. Objective: To identify predictors of cosmetic outcomes after hypospadias repair and to assess the reoperation rate according to cosmetic considerations. Materials and Methods: This prospective cohort study included 126 boys who underwent primary hypospadias repair. The severity of hypospadias, degree of penile curvature, glans width, preoperative HOPE, and GMS scores were documented. The standard technique for single-stage repairs, the tubularized incised plate urethroplasty, was performed. The primary endpoint was cosmetic outcomes evaluated by the HOPE score questionnaire six months postoperatively. Optimal cosmetic results were defined by HOPE scores ≥ 57. Results: The study population consisted of the following cases: 87 (69%) subcoronal, 32 (25%) shaft, and 7 (6%) proximal hypospadias. Among the study participants, 102 boys (81%) had optimal cosmetic results (HOPE ≥ 57), and 24 boys (19%) had surgeries with suboptimal cosmetic outcomes (HOPE < 57). Ancillary procedures were performed in 21 boys (16%), of which 14 (11%) were solely for cosmetic considerations, and 7 were secondary to UC. Using the Receiver Operating Characteristic analysis of potential predictors of optimal cosmetic outcomes, the preoperative HOPE score had the highest area under the curve (AUC = 0.79; 95% CI 0.69–0.89, p < 0.001). After multivariable analysis, the degree of penile chordee (p = 0.013), glans width (p = 0.003), GMS score (p = 0.007), and preoperative HOPE score (p = 0.002) were significant predictors of cosmetic outcomes. Although meatal location predicted suboptimal cosmetic results in univariate analysis, it was not a factor in multivariable analysis. Conclusions: Over 80% of boys undergoing hypospadias repair achieved optimal cosmetic outcomes. More than 10% of cases underwent ancillary procedures, secondary solely to cosmetic considerations. Predictors of optimal cosmetic outcomes after hypospadias surgery included degree of chordee, glans width, and preoperative HOPE and GMS scores, which were the best predictors of satisfactory cosmetic results. Although meatal location is the main predictor of UC, it was not a predictor for cosmetic outcomes. Factors affecting cosmetic outcomes should be clearly explained to parents during the preoperative consultation. Full article
(This article belongs to the Special Issue Advances in Pediatric Surgery Volume II)
Show Figures

Graphical abstract

9 pages, 784 KB  
Article
The Role of Multi-Staged Urethroplasty in Lichen Sclerosus Penile Urethral Strictures
by Enzo Palminteri, Andrea Gobbo, Mirko Preto, Paolo Alessio, Daniele Vitelli, Lorenzo Gatti and Nicolò Maria Buffi
J. Clin. Med. 2022, 11(23), 6961; https://doi.org/10.3390/jcm11236961 - 25 Nov 2022
Cited by 4 | Viewed by 3339
Abstract
Background: One-stage buccal mucosa graft urethroplasty (BMGU) is advised for non-obstructing, simple penile strictures due to lichen sclerosus (LS), while a multistage approach is preferred for most complex cases. Our study aims to evaluate long-term treatment outcomes and patient-reported outcomes (PROs) in patients [...] Read more.
Background: One-stage buccal mucosa graft urethroplasty (BMGU) is advised for non-obstructing, simple penile strictures due to lichen sclerosus (LS), while a multistage approach is preferred for most complex cases. Our study aims to evaluate long-term treatment outcomes and patient-reported outcomes (PROs) in patients undergoing multistage BMGU for LS-associated penile strictures. Methods: This is a retrospective analysis of prospectively collected data on multistage penile BMGU from 2001. All patients underwent a 2-stage (2St) or 3-stage (3St) BMGU with the final closure of the urethral plate. PROs were collected from a pre-defined questionnaire. Results: Twenty patients were successfully treated, while five experienced recurrence. If a first-stage Johanson was only performed, a 3St-BMGU was more likely, and higher treatment success was observed. A time course between the first and last stages shorter than 12 m was an independent predictor of treatment failure. Patients reported high overall satisfaction and urinary flow improvement. Sexual life was not significantly affected, while aesthetic appearance was the most affected dimension. Conclusions: Staged approaches have satisfactory treatment success rates, likely depending on the duration from the first to the last stage. PROs do not differ based on the number of stages performed, and overall satisfaction with the procedure is high. Full article
(This article belongs to the Special Issue State-of-the-Art in Genitourinary Reconstruction)
Show Figures

Figure 1

17 pages, 675 KB  
Review
Sources, Selection, and Microenvironmental Preconditioning of Cells for Urethral Tissue Engineering
by Zongzhe Xuan, Vladimir Zachar and Cristian Pablo Pennisi
Int. J. Mol. Sci. 2022, 23(22), 14074; https://doi.org/10.3390/ijms232214074 - 15 Nov 2022
Cited by 13 | Viewed by 3581
Abstract
Urethral stricture is a common urinary tract disorder in men that can be caused by iatrogenic causes, trauma, inflammation, or infection and often requires reconstructive surgery. The current therapeutic approach for complex urethral strictures usually involves reconstruction with autologous tissue from the oral [...] Read more.
Urethral stricture is a common urinary tract disorder in men that can be caused by iatrogenic causes, trauma, inflammation, or infection and often requires reconstructive surgery. The current therapeutic approach for complex urethral strictures usually involves reconstruction with autologous tissue from the oral mucosa. With the goal of overcoming the lack of sufficient autologous tissue and donor site morbidity, research over the past two decades has focused on cell-based tissue-engineered substitutes. While the main focus has been on autologous cells from the penile tissue, bladder, and oral cavity, stem cells from sources such as adipose tissue and urine are competing candidates for future urethral regeneration due to their ease of collection, high proliferative capacity, maturation potential, and paracrine function. This review addresses the sources, advantages, and limitations of cells for tissue engineering in the urethra and discusses recent approaches to improve cell survival, growth, and differentiation by mimicking the mechanical and biophysical properties of the extracellular environment. Full article
(This article belongs to the Special Issue Tissue Engineering and Cell Therapy)
Show Figures

Graphical abstract

2 pages, 568 KB  
Interesting Images
Down the Not So Straight and Narrow: A Rare Case of Primary Urethral Squamous Cell Carcinomas in a Young Patient
by Kevin Yinkit Zhuo, Aditya Sharma, Chloe Wilcox, Cameron Parkin, Nicola Jeffery and Amanda Chung
Soc. Int. Urol. J. 2022, 3(2), 109-110; https://doi.org/10.48083/BUJM3438 - 7 Mar 2022
Viewed by 404
Abstract
Primary urethral squamous cell carcinomas (SCCs) are rare, with a variable clinical presentation [...]
Full article
Show Figures

Figure 1

Back to TopTop