Sign in to use this feature.

Years

Between: -

Subjects

remove_circle_outline
remove_circle_outline
remove_circle_outline

Journals

Article Types

Countries / Regions

Search Results (11)

Search Parameters:
Keywords = pelvic ring instability

Order results
Result details
Results per page
Select all
Export citation of selected articles as:
15 pages, 904 KB  
Article
Treatment Strategies for Isolated LC-1 Pelvic Injuries: A Comparative Cohort Study of Percutaneous Posterior-Only vs. Combined Anterior–Posterior Fixation
by Mohammed Rashed Aly Abdelrahman, Frank Hildebrand, Eftychios Bolierakis, Till Berk and Hatem Alabdulrahman
J. Clin. Med. 2025, 14(21), 7507; https://doi.org/10.3390/jcm14217507 - 23 Oct 2025
Viewed by 1241
Abstract
Background: The management of lateral compression type 1 (LC-1) pelvic fractures remains controversial. Posterior fixation alone has traditionally been practiced without clearly defined indications for supplementary anterior stabilization. Direct comparative evidence between posterior-only and combined anterior–posterior fixation remains scarce. This study evaluated whether [...] Read more.
Background: The management of lateral compression type 1 (LC-1) pelvic fractures remains controversial. Posterior fixation alone has traditionally been practiced without clearly defined indications for supplementary anterior stabilization. Direct comparative evidence between posterior-only and combined anterior–posterior fixation remains scarce. This study evaluated whether institutional criteria reliably identify patients who benefit from additional percutaneous anterior fixation. Methods: A retrospective cohort study was conducted at a level I trauma center and included adults with LC-1 fractures treated exclusively by percutaneous fixation. Combined anterior–posterior fixation was performed when predominant anterior pain and radiographic compromise indicated instability. Primary outcomes were pain trajectory (Numeric Rating Scale), inpatient opioid use, physiotherapy clearance, and ward mobility. Results: Thirty-seven patients were analyzed (combined = 14; posterior-only = 23). Preoperative pain was higher in the combined group (median 7 vs. 6; median difference 1 [95% CI 0 to 2]; p = 0.0036). Postoperatively, pain scores were lower in the combined group at 1–6 weeks (median difference −1 [95% CI −2 to 0]; p < 0.05). Opioid consumption was reduced (193 mg vs. 312 mg; median difference −200 mg [95% CI −280 to −120]; p < 0.001), and physiotherapy clearance occurred earlier (4 vs. 7 days; median difference −3 [95% CI −5 to −1]; p = 0.020). Conclusion: Our current indications to perform combined fixation were associated with favorable early outcomes in pain control and physiotherapy clearance among patients with LC-1 fractures showing anterior compromise. These results support a selective combined approach, though interpretation must remain cautious given the small retrospective cohort. Further prospective studies are warranted to validate these findings and refine patient selection. Full article
(This article belongs to the Special Issue Orthopedic Trauma: Diagnosis, Treatment and Rehabilitation)
Show Figures

Figure 1

11 pages, 2178 KB  
Article
Hemorrhage Versus Thrombosis: A Risk Assessment for Anticoagulation Management in Pelvic Ring and Acetabular Fractures—A Registry-Based Study
by Christof K. Audretsch, Tina Histing, Anna Schiltenwolf, Sonja Seidler, Andreas Höch, Markus A. Küper, Steven C. Herath, Maximilian M. Menger and Working Group on Pelvic Fractures of the German Trauma Society
J. Clin. Med. 2025, 14(10), 3314; https://doi.org/10.3390/jcm14103314 - 9 May 2025
Viewed by 1044
Abstract
Background: The increasing incidence of pelvic ring and acetabular fractures represents a major challenge in the field of trauma surgery. Hemorrhage and thrombosis are among the most severe complications associated with these injuries. The common instability of those fractures, together with an anatomic [...] Read more.
Background: The increasing incidence of pelvic ring and acetabular fractures represents a major challenge in the field of trauma surgery. Hemorrhage and thrombosis are among the most severe complications associated with these injuries. The common instability of those fractures, together with an anatomic proximity to blood vessels, increases the risk of perioperative bleeding. Vascular wall irritation during surgery additionally adds to a substantial risk for thrombotic events. Therefore, evaluating the risk for hemorrhage and thrombosis in pelvic ring and acetabular fractures is vital to identify an adequate anticoagulation management. Methods: The incidence of hemorrhagic and thrombotic events, as well as the association of patient characteristics with the investigated outcomes of 16,359 cases, were analyzed retrospectively using data from the German Pelvic Trauma Registry. Moreover, a risk assessment survey was conducted among traumatologists experienced in pelvic ring and acetabular surgery. The results were compared to those of the registry study. Results: A high rate of thrombotic events was found in the middle-age decade (41–50 years). In patients with an age ≤ 40 and >50 years, hemorrhage complications predominated. The logistic regression identified pelvic ring fractures in geriatric patients, acetabular fractures, and Injury Severity Score (ISS) ≥ 16 to be associated with bleeding complications. Factors associated with thrombosis included pelvic ring fractures in non-geriatric patients, acetabular fractures in geriatric and non-geriatric patients, ISS, and male gender. The survey demonstrated that preoperatively, the risk for hemorrhage was considered more significant. Perioperatively, however, thrombosis was regarded as more important. Conclusions: Separate guidelines for prophylactic anticoagulation in pelvic ring and acetabular fractures that also consider individual patient characteristics, such as age, gender, and ISS, are necessary to improve perioperative management and reduce the morbidity and mortality associated with these injuries. Full article
Show Figures

Figure 1

13 pages, 1605 KB  
Systematic Review
Hemorrhage in Pelvic Ring Fractures After Low-Energy Trauma: A Systematic Review
by Alina Roßler, Lara Lukhaup, Max Seidelmann, Catharina Gaeth, Sven-Oliver Dietz, Christof Audretsch, Paul Grützner, Joachim Windolf and Anne Neubert
J. Clin. Med. 2024, 13(23), 7223; https://doi.org/10.3390/jcm13237223 - 28 Nov 2024
Cited by 5 | Viewed by 2851
Abstract
Background/Objectives: The aim was to investigate diagnostic, treatment and preventive options to establish an overview of the existing evidence on hemorrhage in pelvic fractures in older adults. Methods: A systematic review was conducted. Due to the rarity of this complication, only [...] Read more.
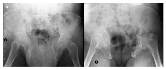
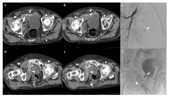
Background/Objectives: The aim was to investigate diagnostic, treatment and preventive options to establish an overview of the existing evidence on hemorrhage in pelvic fractures in older adults. Methods: A systematic review was conducted. Due to the rarity of this complication, only case reports and series with individuals older than 55 years with a pelvic ring fracture that is caused by a low-energy trauma or no apparent trauma, along with hemorrhage, were eligible. A search was performed on four databases. The CARE checklist was used to investigate the reporting integrity of the included studies. Analysis was performed narratively, and this study was registered on the Open Science Framework. Results: 21 patients from 19 studies were included (17 females and 4 males) with an average age of 82.1 years. The 21 patients suffered a total of 29 fractures. Pubic ramus fractures were present in 48.3% of all fractures. In 42.9%, an active hemorrhage was reported. Arterial vessels were injured in direct anatomical relationship to the fracture. Abdominal pain and hemorrhagic instability were the main red flag symptoms reported. Active arterial hemorrhage was diagnosed by CT with angiogram and treated by embolization with or without additional surgery. Conclusions: Clinically relevant hemorrhage in pelvic fractures due to low-energy trauma is rare. However, these fractures, combined with clinically relevant hemorrhage, account for an increased mortality and morbidity in elderly people. This systematic review was able to create a clinical decision tree for hemorrhage in ramus pubic fractures. Full article
Show Figures

Figure 1

8 pages, 832 KB  
Article
Can We Trust Them? FAST and DPA in Assessing Unstable Patients Following Blunt Abdominal Trauma
by Rakesh Quinn, Jeremy Hsu and Tony Pang
Surgeries 2024, 5(3), 674-681; https://doi.org/10.3390/surgeries5030053 - 16 Aug 2024
Viewed by 5808
Abstract
The diagnosis of intra-abdominal exsanguination in hemodynamically unstable blunt trauma patients is almost universally determined by Focused Assessment with Sonography in Trauma (FAST). However, FAST has been reported to have poor sensitivity and is therefore associated with false-negative examinations. Our institutional practice includes [...] Read more.
The diagnosis of intra-abdominal exsanguination in hemodynamically unstable blunt trauma patients is almost universally determined by Focused Assessment with Sonography in Trauma (FAST). However, FAST has been reported to have poor sensitivity and is therefore associated with false-negative examinations. Our institutional practice includes diagnostic peritoneal aspirate (DPA) following two negative FASTs to address the poor sensitivity. We hypothesized that serial FAST alone would be able to exclude clinically significant abdominal bleeding in an unstable blunt trauma patient. A retrospective cohort study was conducted between 2018 and 2020 at a major tertiary trauma referral hospital, including all blunt trauma patients who were hemodynamically unstable. Two groups were analyzed: 1. “FAST+”: those who had a positive FAST scan and proceeded to a trauma laparotomy, and 2. “DPA”: those who had serial negative FAST scans and proceeded to DPA. Of the 12 patients in the FAST+ group, 92% correctly identified the abdomen as the source of instability. Of the seventeen patients in the DPA group, only two (12%) had positive DPA. Both patients underwent laparotomies, but neither identified an abdominal source of hemodynamic instability. The most common cause of hemodynamic instability in the DPA group was pelvic bleeding from major pelvic ring disruption. The sensitivity and specificity of the serial FAST exam for clinically significant abdominal bleeding were 100% and 94%, respectively. These data suggests that two sequential negative FAST scans are adequate for excluding intra-abdominal bleeding as the source of instability, with further investigation with DPA not identifying any clinically significant sources of intra-abdominal bleeding. Full article
Show Figures

Figure 1

14 pages, 3474 KB  
Article
Lumbopelvic Stabilization with Two Methods of Triangular Osteosynthesis: A Biomechanical Study
by Niklas Grüneweller, Julia Leunig, Ivan Zderic, Boyko Gueorguiev, Christian Colcuc, Dirk Wähnert and Thomas Vordemvenne
J. Clin. Med. 2024, 13(16), 4744; https://doi.org/10.3390/jcm13164744 - 13 Aug 2024
Cited by 2 | Viewed by 2694
Abstract
(1) Background: Pelvic fractures, and particularly instabilities of the dorsal pelvic ring, are becoming increasingly prevalent, particularly in orthogeriatric patients. Spino-pelvic triangular osteosynthesis is an effective approach to achieve sufficient stabilization in vertically unstable fractures. This study compares two types of osteosynthesis: [...] Read more.
(1) Background: Pelvic fractures, and particularly instabilities of the dorsal pelvic ring, are becoming increasingly prevalent, particularly in orthogeriatric patients. Spino-pelvic triangular osteosynthesis is an effective approach to achieve sufficient stabilization in vertically unstable fractures. This study compares two types of osteosynthesis: the conventional one and a novel instrumentation where the iliosacral screw is placed through a fenestrated iliac screw. (2) Methods: Sixteen artificial osteoporotic L5+pelvis models with an unstable sacral fracture have been instrumented with either an iliac screw connected with a rod to a L5 pedicle screw and an iliosacral screw (TF) or a fenestrated ilium screw connected with a rod to a L5 pedicle screw and an iliosacral screw passing through the fenestra of the iliac screw (TFS). Biomechanical testing was performed using cyclic loading until failure. (3) Results: Both configurations yielded comparable results with regard to initial stiffness, implant loosening, and cycles to failure. The TFS exhibited markedly higher values for cycles to failure and markedly lower values for loosening. However, due to the characteristics of the artificial bone model, these findings were not significant. (4) Conclusions: The novel triangular fixation systems demonstrated comparable results to the standard triangular osteosynthesis configuration. Full article
Show Figures

Figure 1

12 pages, 9256 KB  
Article
Stabilization of Traumatic Iliosacral Instability Using Innovative Implants: A Biomechanical Comparison
by Niklas Grüneweller, Julia Leunig, Ivan Zderic, Boyko Gueorguiev, Dirk Wähnert and Thomas Vordemvenne
J. Clin. Med. 2024, 13(1), 194; https://doi.org/10.3390/jcm13010194 - 29 Dec 2023
Cited by 3 | Viewed by 1658
Abstract
(1) Background: Demographic changes over the past decade have had a significant impact on pelvic ring fractures. They have increased dramatically in the orthogeriatric population. Surgeons are faced with implant fixation issues in the treatment of these fragility fractures. This study compares two [...] Read more.
(1) Background: Demographic changes over the past decade have had a significant impact on pelvic ring fractures. They have increased dramatically in the orthogeriatric population. Surgeons are faced with implant fixation issues in the treatment of these fragility fractures. This study compares two innovative implants for stabilizing the iliosacral joint in a biomechanical setting. (2) Methods: An iliosacral screw with a preassembled plate allowing the placement of an additional short, angular stable screw in the ilium and a triangular fixation system consisting of a fenestrated ilium screw and an iliosacral screw quasi-statically inserted through the “fenestra” were instrumented in osteoporotic artificial bone models with a simulated Denis zone 1 fracture. Biomechanical testing was performed on a servo-hydraulic testing machine using increasing, synchronous axial and torsional sinusoidal cyclic loading to failure. (3) Results: The SI-Plate and TriFix showed comparable stiffness values. The values for fracture gap angle and screw tip cutout were significantly lower for the TriFix compared to the SI-Plate. In addition, the number of cycles to failure was significantly higher for the TriFix. (4) Conclusions: Implant anchorage and primary stability can be improved in iliosacral instability using the triangular stabilization system. Full article
(This article belongs to the Special Issue Advances in Trauma and Orthopedic Surgery)
Show Figures

Figure 1

13 pages, 2019 KB  
Article
Effect of C-Clamp Application on Hemodynamic Instability in Polytrauma Victims with Pelvic Fracture
by Jan Gewiess, Markus Martin Luedi, Beat Schnüriger, Theodoros Hercules Tosounidis, Marius Johann Baptist Keel and Johannes Dominik Bastian
Medicina 2022, 58(9), 1291; https://doi.org/10.3390/medicina58091291 - 16 Sep 2022
Cited by 5 | Viewed by 3644
Abstract
Background and Objectives: C-clamp application may reduce mortality in patients with unstable pelvic fractures and hemodynamic instability. Decreasing C-clamp use over the past decades may have resulted from concerns about its effectiveness and safety. The purpose of this study was to document effective [...] Read more.
Background and Objectives: C-clamp application may reduce mortality in patients with unstable pelvic fractures and hemodynamic instability. Decreasing C-clamp use over the past decades may have resulted from concerns about its effectiveness and safety. The purpose of this study was to document effective hemodynamic stabilization after C-clamp application by means of vital parameters (primary outcome parameter), and the subsequent effect on metabolic indices and volume management (secondary outcome parameters). Materials and Methods: C-clamp application was performed between 2014 and 2021 for n = 13 patients (50 ± 18 years) with unstable pelvic fractures and hemodynamic instability. Vital parameters, metabolic indices, volume management, and the correlation of factors and potential changes were analyzed. Results: After C-clamp application, increases were measured in systolic blood pressure (+15 mmHg; p = 0.0284) and mean arterial pressure (+12 mmHg; p = 0.0157), and a reduction of volume requirements (p = 0.0266) and bolus vasoactive medication needs (p = 0.0081) were observed. The earlier C-clamp application was performed, the greater the effect (p < 0.05; r > 0.6). Heart rate, shock index, and end-tidal CO2 were not significantly altered. The extent of base deficit, hemoglobin, and lactate did not correlate with changes in vital parameters. Conclusions: In the majority of hemodynamically unstable trauma patients not responding to initial fluid resuscitation and severe pelvic fracture, early C-clamp application had an additive effect on hemodynamic stabilization and reduction in volume substitution. Based on these findings, there is still a rationale for considering early C-clamp stabilization in this group of severely injured patients. Full article
Show Figures

Figure 1

14 pages, 2217 KB  
Review
Current Concepts in Pediatric Pelvic Ring Fractures: A Narrative Review
by Alessandro Aprato, Carmelo Giudice, Paolo Bedino, Andrea Audisio and Alessandro Massè
Trauma Care 2022, 2(2), 359-372; https://doi.org/10.3390/traumacare2020029 - 6 Jun 2022
Cited by 4 | Viewed by 9812
Abstract
Trauma is still the leading cause of death in children. Post mortem studies have shown a high incidence and a high rate of deaths related to pelvic fractures and associated injuries. The pelvic ring in children has characteristics that differentiate it from the [...] Read more.
Trauma is still the leading cause of death in children. Post mortem studies have shown a high incidence and a high rate of deaths related to pelvic fractures and associated injuries. The pelvic ring in children has characteristics that differentiate it from the adult. The bone tissue is more elastic and is covered with a thick periosteum. Elasticity mainly translates into plastic deformity when it is impacted. Overall, lesions tend to be more stable as the relatively thick periosteum limits bone breakdown. As a result of this elasticity, the intrapelvic organs are more vulnerable and injuries can occur in the absence of fractures. High energy is required to produce a fracture and this energy can be transferred to the pelvic organs. Minimally displaced fractures may be the result of high energy trauma with a significant risk of further intrapelvic and intra-abdominal injury. This leads to a relatively high incidence of pelvic and abdominal organ injuries associated with stable fractures. A complete lesion of the pelvic ring anteriorly or posteriorly or a complex pelvic lesion is a high risk factor for morbidity and mortality. Treatment in the pediatric patient with a pelvic fracture has historically been guided by concepts that have become established in adults. The main parameters in the decision making process are hemodynamic stability and the degree of mechanical instability of the pelvis. The purpose of this review is to report current knowledge on pelvic ring fractures with a particular focus on their management and treatment. Full article
Show Figures

Figure 1

17 pages, 55736 KB  
Review
Imaging Review of Pelvic Ring Fractures and Its Complications in High-Energy Trauma
by Edoardo Leone, Andrea Garipoli, Umberto Ripani, Riccardo Maria Lanzetti, Marco Spoliti, Domenico Creta, Carolina Giannace, Antonio Galluzzo, Margherita Trinci and Michele Galluzzo
Diagnostics 2022, 12(2), 384; https://doi.org/10.3390/diagnostics12020384 - 2 Feb 2022
Cited by 13 | Viewed by 13373
Abstract
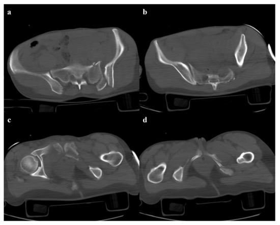
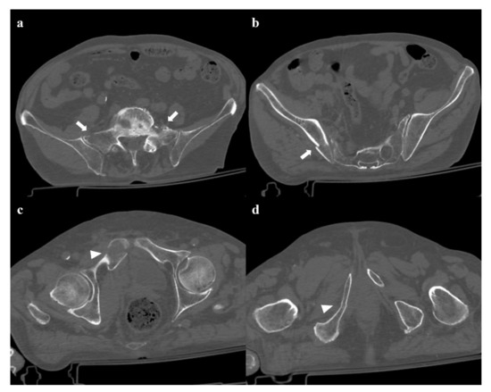
Pelvic ring fractures are common in high-energy blunt trauma, especially in traffic accidents. These types of injuries have a high rate of morbidity and mortality, due to the common instability of the fractures, and the associated intrapelvic vascular and visceral complications. Computed tomography [...] Read more.
Pelvic ring fractures are common in high-energy blunt trauma, especially in traffic accidents. These types of injuries have a high rate of morbidity and mortality, due to the common instability of the fractures, and the associated intrapelvic vascular and visceral complications. Computed tomography (CT) is the gold standard technique in the evaluation of pelvic trauma because it can quickly and accurately identify pelvic ring fractures, intrapelvic active bleeding, and lesions of other body systems. To properly guide the multidisciplinary management of the polytrauma patient, a classification criterion is mandatory. In this review, we decided to focus on the Young and Burgess classification, because it combines the mechanism and the stability of the fractures, helping to accurately identify injuries and related complications. Full article
(This article belongs to the Section Medical Imaging and Theranostics)
Show Figures

Figure 1

8 pages, 9148 KB  
Article
Two-Dimensional Visualization of the Three-Dimensional Planned Sacroiliac Screw Corridor with the Slice Fusion Method
by Maximilian Kerschbaum, Siegmund Lang, Florian Baumann, Volker Alt and Michael Worlicek
J. Clin. Med. 2021, 10(2), 184; https://doi.org/10.3390/jcm10020184 - 6 Jan 2021
Cited by 4 | Viewed by 3114
Abstract
Insertion of sacro-iliac (SI) screws for stabilization of the posterior pelvic ring without intraoperative navigation or three-dimensional imaging can be challenging. The aim of this study was to develop a simple method to visualize the ideal SI screw corridor, on lateral two-dimensional images, [...] Read more.
Insertion of sacro-iliac (SI) screws for stabilization of the posterior pelvic ring without intraoperative navigation or three-dimensional imaging can be challenging. The aim of this study was to develop a simple method to visualize the ideal SI screw corridor, on lateral two-dimensional images, corresponding to the lateral fluoroscopic view, used intraoperatively while screw insertion, to prevent neurovascular injury. We used multiplanar reconstructions of pre- and postoperative computed tomography scans (CT) to determine the position of the SI corridor. Then, we processed the dataset into a lateral two-dimensional slice fusion image (SFI) matching head and tip of the screw. Comparison of the preoperative SFI planning and the screw position in the postoperative SFI showed reproducible results. In conclusion, the slice fusion method is a simple technique for translation of three-dimensional planned SI screw positioning into a two-dimensional strict lateral fluoroscopic-like view. Full article
(This article belongs to the Collection Pelvic Instability: Currents Insights)
Show Figures

Figure 1

2 pages, 162 KB  
Editorial
Instability of the Pelvic Ring: A Special Clinical Entity?
by Peter V Giannoudis
J. Clin. Med. 2020, 9(6), 1985; https://doi.org/10.3390/jcm9061985 - 25 Jun 2020
Cited by 3 | Viewed by 2224
Abstract
The presence of the pathological movement of pubic symphysis under normal activities characterises a syndrome know as anterior pelvic ring instability [...] Full article
(This article belongs to the Collection Pelvic Instability: Currents Insights)
Back to TopTop