Sign in to use this feature.

Years

Between: -

Subjects

remove_circle_outline
remove_circle_outline
remove_circle_outline
remove_circle_outline
remove_circle_outline
remove_circle_outline
remove_circle_outline
remove_circle_outline

Journals

remove_circle_outline
remove_circle_outline
remove_circle_outline
remove_circle_outline
remove_circle_outline
remove_circle_outline

Article Types

Countries / Regions

remove_circle_outline
remove_circle_outline
remove_circle_outline
remove_circle_outline
remove_circle_outline

Search Results (248)

Search Parameters:
Keywords = nasal potential difference

Order results
Result details
Results per page
Select all
Export citation of selected articles as:
25 pages, 6250 KB  
Article
Design and In Vitro Evaluation of Cyclodextrin-Functionalized Albumin Nanoparticles for Intranasal Carbamazepine Brain Delivery
by Hanan Mohammad, Maher Darwish, Mária Budai-Szűcs, Maryana Salamah, Rita Ambrus, György Tibor Balogh, Gábor Katona and Ildikó Csóka
Pharmaceutics 2026, 18(3), 331; https://doi.org/10.3390/pharmaceutics18030331 - 6 Mar 2026
Viewed by 386
Abstract
Background/Objectives: Poor aqueous solubility and limited nasal permeability remain key challenges in the intranasal delivery of carbamazepine. In this study, biocompatible bovine serum albumin nanoparticles functionalized with sulfobutyl-β-cyclodextrin (SβCD-BSA NPs), comprising individually cytocompatible components with confirmed physical interactions), were formulated for intranasal [...] Read more.
Background/Objectives: Poor aqueous solubility and limited nasal permeability remain key challenges in the intranasal delivery of carbamazepine. In this study, biocompatible bovine serum albumin nanoparticles functionalized with sulfobutyl-β-cyclodextrin (SβCD-BSA NPs), comprising individually cytocompatible components with confirmed physical interactions), were formulated for intranasal delivery of carbamazepine (CBZ). Methods: The ethanolic desolvation method was utilised for the preparation of the nanoparticles, with the functional moiety incorporated during nanoparticle preparation. The effects of different molar ratios of SβCD-BSA and different ethanol volume ratios were studied. For crosslinking, 1-ethyl-3-(3-dimethylaminopropyl) carbodiimide hydrochloride (EDC), a non-toxic crosslinker, was utilised. To determine the role of the SβCD, two preparation samples were formulated, with and without SβCD. Results: The formulation without SβCD incorporation had a mean particle size of 125 ± 0.64 nm, polydispersity index (PDI) of 0.34, encapsulation efficiency (EE%) of 61.5 ± 1.40%, and drug-loading ratio (DL%) of 31.9 ± 1.50%. Conversely, the SβCD-functionalized formulation showed a mean particle size of 128 ± 2.12 nm, PDI of 0.21 ± 0.03, EE of 64.6 ± 0.35%, and DL of 34.28 ± 1.60%. Statistical analysis revealed that the incorporation of SβCD resulted in a statistically significant increase in both DL% and EE% (p < 0.05). Conversely, the observed differences in particle size and PDI were not statistically significant (p > 0.05). This addition provides precise context regarding the comparability of the formulations while highlighting SβCD’s functional benefits in solubility and permeation. The interaction between CBZ and SβCD-BSA was confirmed using Fourier-transform infrared spectroscopy. Lastly, the prepared formulations were characterised by their physicochemical attributes and in vitro biopharmaceutical studies. It was discovered that SβCD plays a dual role, enhancing the solubility of CBZ in one scenario while promoting its nasal permeation, suggesting its potential use in epilepsy treatment. Conclusions: These findings highlight the potential of SβCD-BSA NPs as a versatile pharmaceutics platform for the intranasal delivery of poorly soluble CNS drugs. Full article
Show Figures

Graphical abstract

22 pages, 1525 KB  
Review
Intranasal Drug Delivery in Neuropharmacology: Advances in Brain-Targeted Therapies and Bioethical Challenges
by Simona Irina Damian, Sofia Mihaela David, Marcela Nour, Gabriela Liliana Halitchi, Sorina Alexandra Ciurlea, Alina Stefanache, Olga-Odetta Duma, Gabriela Calin and Doina Spaiuc
Biomedicines 2026, 14(3), 571; https://doi.org/10.3390/biomedicines14030571 - 2 Mar 2026
Viewed by 483
Abstract
Intranasal drug delivery represents a transformative “backdoor” to the brain, bypassing the blood–brain barrier (BBB) that bars 98% of small molecules and nearly all large biopharmaceuticals. By harnessing the unique anatomy of the olfactory and trigeminal nerves, therapeutics can travel directly from the [...] Read more.
Intranasal drug delivery represents a transformative “backdoor” to the brain, bypassing the blood–brain barrier (BBB) that bars 98% of small molecules and nearly all large biopharmaceuticals. By harnessing the unique anatomy of the olfactory and trigeminal nerves, therapeutics can travel directly from the nasal cavity to the central nervous system, achieving therapeutic concentrations without the systemic toxicity of traditional routes. Clinical and preclinical evidence highlight the efficacy of intranasal insulin (INI) in treating Alzheimer’s disease (AD) and delirium, with studies showing significant improvements in cognitive scores and reduced hospital stays (7.9 vs. 12.9 days; p = 0.014). Additionally, other peptides can be administered intranasally like oxytocin, neuropeptide Y, and novel metabolic modulators for neuroprotection and affective disorders (AD, autism, Down syndrome). Despite these promises, critical translational gaps remain, including anatomical differences between macrosmatic rodents and microsmatic humans, and significant sex-based dosing dimorphism. The ease of intranasal administration introduces profound bioethical dilemmas regarding neuroenhancement, authenticity, and informed consent in vulnerable populations. The current literature concludes that realizing the full potential of nose-to-brain (N2B) therapy requires a commitment to precision medicine, utilizing specialized delivery devices and objective biomarkers to ensure safe and equitable clinical application. Full article
(This article belongs to the Special Issue Brain Disorders: Bridging Molecular Insights and Innovative Therapies)
Show Figures

Figure 1

17 pages, 503 KB  
Review
Seizure Clusters: Current Concepts in Definition and Treatment
by Gemma Bassani, Elena Pasini, Barbara Mostacci, Lidia Di Vito, Lorenzo Ferri, Lorenzo Muccioli and Francesca Bisulli
J. Clin. Med. 2026, 15(5), 1847; https://doi.org/10.3390/jcm15051847 - 28 Feb 2026
Viewed by 219
Abstract
Seizure clusters (SCs) are an acute and transient increase in seizure frequency relative to an individual patient’s baseline and are associated with an increased risk of injury, morbidity, and potentially mortality if not promptly and adequately treated. Despite their clinical importance, the management [...] Read more.
Seizure clusters (SCs) are an acute and transient increase in seizure frequency relative to an individual patient’s baseline and are associated with an increased risk of injury, morbidity, and potentially mortality if not promptly and adequately treated. Despite their clinical importance, the management of SCs remains highly heterogeneous, primarily due to the absence of a universally accepted definition, which is determined also by the wide variability in seizure semiology and baseline individual burden;, as well as by differences in care settings. Outpatient treatment relies largely on caregivers’ ability to recognize SCs and administer rescue medication, whereas inpatient management may also involve invasive routes of administration. We conducted a literature review identifying 32 original articles addressing the treatment of SCs. The analysis focused on definitions, efficacy outcomes, and adverse events across three clinical scenarios: outpatient, Emergency Department (EDs) and Epilepsy Monitoring Units. The results show that in the outpatient setting, the available evidence suggests that diazepam nasal spray (DZP-NS), midazolam nasal spray (MDZ-NS), and oral lorazepam (LZP) solution may demonstrate comparable efficacy and safety. However, comparisons are limited by heterogeneity in studies’ designs, patient populations and outcome definitions, as well as by the absence of head-to-head trials. Moreover, geographic differences in drug availability (e.g., USA vs. Europe) limit the development of universally applicable treatment protocols. Consequently, the off-label use of oral benzodiazepines, including clobazam, clonazepam, and lorazepam, remains common when oral therapy is feasible, despite limited evidence. The implementation of a patient-specific Acute Seizure Action Plan (ASAP) incorporating an individualized SC definition is recommended. In contrast, inpatient management shows greater consensus, largely reflecting first-line treatment paradigms for status epilepticus. These include prompt intravenous benzodiazepine administration, followed by the intravenous loading of antiseizure medications such as brivaracetam or lacosamide in cases of seizure recurrence. In ED settings, “empirical” definitions of SCs (i.e., more than three seizures within 24 h) may facilitate timely intervention. Full article
(This article belongs to the Section Clinical Neurology)
Show Figures

Graphical abstract

12 pages, 458 KB  
Article
Trends of T2 and Non-T2 Cytokines During Mepolizumab Treatment in Different Asthma Patient Subgroups
by Marco Zurlo, Francesca Ambrosani, Matteo Maule, Naila Arif Cheema, Francesca Mascia, Antonino Aparo, Giuseppe Argentino, Rachele Vaia, Anna Baiocchi, Gianenrico Senna, Simonetta Friso, Annalisa Castagna and Marco Caminati
Biomedicines 2026, 14(3), 541; https://doi.org/10.3390/biomedicines14030541 - 27 Feb 2026
Viewed by 329
Abstract
Background: The anti-IL-5 monoclonal antibody, mepolizumab, has shown clinical efficacy and safety for the treatment of severe eosinophilic asthma (SEA), chronic rhinosinusitis with nasal polyps (CRwNSP) and eosinophilic granulomatosis with polyangiitis (EGPA)We aimed to investigate the trajectories of the inflammatory cytokines at the [...] Read more.
Background: The anti-IL-5 monoclonal antibody, mepolizumab, has shown clinical efficacy and safety for the treatment of severe eosinophilic asthma (SEA), chronic rhinosinusitis with nasal polyps (CRwNSP) and eosinophilic granulomatosis with polyangiitis (EGPA)We aimed to investigate the trajectories of the inflammatory cytokines at the systemic level during mepolizumab treatment, in SEA, SEA with CRwNP, and EGPA. Material and Methods: Treatment response was explored within a real-life observational prospective study. Clinical, functional and inflammatory outcomes as well as serum T2 (IL-4, IL-5 and IL-13) and non-T2 cytokine trends (including IL-5, IL-6, IL-13, IL-10) were evaluated at baseline and 6–12 months after mepolizumab initiation. Results: Overall, 45 patients were consecutively enrolled (SEA: 18; SEA with CRwNP: 9; EGPA: 18), including 27 females, with an average cohort age 60.65 years. Clinical parameters (FEV1, FeNO, SNOT 22, ACT, blood eosinophil count) improved in the different subgroups regardless of coexisting determinants of potential higher disease burden, including CRSwNP and previous EGPA history. Cytokine analysis revealed heterogeneous profiles at baseline and statistically significant changes in IL-5 and IL-10 concentrations within the same disease subgroup at different time points. Conclusions: Our observations suggest the ability of mepolizumab to modulate both T2 and non-T2 immune pathways and highlight the persistence of slightly different molecular profile in different severe asthma patients depending on concomitant conditions, which is relevant for the long-term follow-up and potential association therapy combining options which address different targets. More research and larger studies are needed. Full article
(This article belongs to the Section Immunology and Immunotherapy)
Show Figures

Figure 1

17 pages, 1112 KB  
Article
The Effect of Periodontitis Severity on Diabetic Retinopathy: An Optical Coherence Tomography Study
by Hatice Turkogullari, Gozde Nur Aydogan, Nur Yorgancilar, Oguz Kose and Huseyin Findik
Diagnostics 2026, 16(5), 654; https://doi.org/10.3390/diagnostics16050654 - 24 Feb 2026
Viewed by 319
Abstract
Background: The aim of this study was to comprehensively investigate the potential degenerative effects of periodontitis severity on retinal and choroidal structures in patients with different types of diabetic retinopathy (DR). Materials and Methods: The study’s Clinical Trials Registration Number is [...] Read more.
Background: The aim of this study was to comprehensively investigate the potential degenerative effects of periodontitis severity on retinal and choroidal structures in patients with different types of diabetic retinopathy (DR). Materials and Methods: The study’s Clinical Trials Registration Number is NCT07137013. A total of 100 participants (56 females and 44 males), each group consisting of 20 individuals, were allocated into five groups: systemically healthy controls (G1), diabetic patients without DR (G2: DM+ DR−), non-proliferative DR without diabetic macular edema (G3: NPDR DME−), non-proliferative DR with diabetic macular edema (G4: NPDR DME+), and proliferative DR (G5: PDR). Ocular examinations were performed using optical coherence tomography (OCT) and OCT angiography (OCTA). Retinal layer thicknesses, choroid-sclera interface (CSI), ganglion cell layer (GCL), retinal nerve fiber layer (RNFL), and peripapillary CSI were assessed by OCT, whereas superficial and deep retinal vessel densities and the foveal avascular zone (FAZ) were evaluated by OCTA. Clinical periodontal status was assessed using plaque index (PI), gingival index (GI), bleeding on probing (BOP), probing pocket depth (PPD), and clinical attachment loss (CAL). Results: In the G3 and G5 groups, the presence of stage III–IV periodontitis was associated with a marked increase in retinal layer thickness. GCL + Inner Plexiform Layer (GCL+) thickness was significantly reduced in individuals with stage III–IV periodontitis in almost all regions of the G5 group, except for the 3 mm nasal and inferior areas. Peripapillary CSI values showed a significant decrease with increasing periodontitis severity. RNFL thickness was significantly reduced in individuals with stage III–IV periodontitis, particularly in the G5 group. OCTA analyses demonstrated significant reductions in superficial and deep retinal vessel densities in several regions in the presence of stage III–IV periodontitis. Moreover, FAZ areas were significantly enlarged in individuals with stage III–IV periodontitis in the G2 and G5 groups. Conclusions: Periodontal inflammation, particularly in advanced periodontitis (stage III–IV), induces degenerative changes in the retinal microvasculature and neural tissues. Increasing periodontitis severity may represent a potential provoking factor in the pathogenesis of DR. Full article
(This article belongs to the Section Biomedical Optics)
Show Figures

Figure 1

11 pages, 2868 KB  
Article
Peripheral Hypertrophic Subepithelial Corneal Degeneration
by Adam Wylęgała, Claudia Azzaro, Patrycja Potrawa, Gabriella De Salvo, Edward Wylęgała and Anna Roszkowska
J. Clin. Med. 2026, 15(5), 1681; https://doi.org/10.3390/jcm15051681 - 24 Feb 2026
Viewed by 301
Abstract
Objectives: To characterize the clinical features, corneal topography, and imaging findings of peripheral hypertrophic subepithelial corneal degeneration (PHSCD) in a single-center study and to evaluate potential associations with systemic conditions. Methods: All patients underwent comprehensive ophthalmic examination, anterior segment photography, high-resolution [...] Read more.
Objectives: To characterize the clinical features, corneal topography, and imaging findings of peripheral hypertrophic subepithelial corneal degeneration (PHSCD) in a single-center study and to evaluate potential associations with systemic conditions. Methods: All patients underwent comprehensive ophthalmic examination, anterior segment photography, high-resolution spectral-domain optical coherence tomography (OCT), and corneal topography/tomography. Patient demographics, ocular history, systemic conditions, and corneal parameters were analyzed. Results: Fourteen patients were included in the study (11 females and 3 males). The mean age was 52.6 ± 12.4 years, and the mean best-corrected visual acuity was 0.56 ± 0.23. Five females had Hashimoto’s disease and two had hyperthyroidism. The mean central corneal thickness was 549.4 μm (SD = 71.0 μm), with significant sectoral thickness variations, particularly in the superior-nasal quadrants (SN-IT sector mean difference: 56.4 μm). High-resolution OCT revealed sharply demarcated, hyperreflective fibrosis within the anterior stroma, predominantly in the superior-nasal quadrants, causing corneal flattening with compensatory steepening and astigmatism. Three patients underwent in vivo confocal microscopy, which showed fibrotic acellular tissue adjacent to normal corneal epithelium. Conclusions: PHSCD predominantly affects middle-aged females and presents with characteristic peripheral, subepithelial fibrosis, causing significant corneal thickness variations and astigmatism. The observed association with thyroid disorders, particularly Hashimoto’s disease, suggests a potential immunological component in PHSCD pathogenesis that warrants further investigation. Advanced imaging with OCT and confocal microscopy provides valuable diagnostic information to accurately characterize this rare corneal condition. Full article
(This article belongs to the Section Ophthalmology)
Show Figures

Figure 1

16 pages, 2162 KB  
Article
Comparative Evaluation of Mucosal Adjuvants for Intranasal Immunization with a Recombinant RSV Prefusion F Protein
by Hongqiao Hu, Lei Cao, Jie Jiang, Yuqing Shi, Liang Du, Mengxuan Chu, Hai Li and Yan Zhang
Vaccines 2026, 14(2), 186; https://doi.org/10.3390/vaccines14020186 - 16 Feb 2026
Viewed by 457
Abstract
Background: Respiratory syncytial virus (RSV) remains a major etiologic agent of acute lower respiratory tract infection (ALRTI). Currently licensed RSV vaccines are administered by intramuscular injection and induce limited immunity at the respiratory mucosal interface, underscoring the need for effective mucosal vaccination strategies. [...] Read more.
Background: Respiratory syncytial virus (RSV) remains a major etiologic agent of acute lower respiratory tract infection (ALRTI). Currently licensed RSV vaccines are administered by intramuscular injection and induce limited immunity at the respiratory mucosal interface, underscoring the need for effective mucosal vaccination strategies. Methods: To enhance mucosal immune responses, we used prefusion F protein (Pre-F) as the antigen and performed intranasal immunization in BALB/c mice. Four mucosal adjuvants (CpG-ODN, CTA1-DD, IFN-α, and PEI) were systematically compared across different dose levels to evaluate their immunological and protective efficacy. Results: Both adjuvant type and dose helped shape the magnitude and quality of the immune response and the level of protection. CpG-ODN showed a dose-restricted immunopotentiating effect: an intermediate dose (10 µg) significantly increased neutralizing antibody titers and nasal mucosal IgA responses, improved post-challenge body weight recovery, and reduced lung viral load, whereas higher doses provided no additional benefit and were associated with aggravated lung pathology. PEI and IFN-α exhibited dose-dependency within a certain range, but increasing doses did not result in further improvements in immune responses or protection; an intermediate dose (10 µg) was sufficient to elicit robust systemic and mucosal immunity. CTA1-DD improved selected immune parameters at appropriate doses, yet its overall immunopotentiating effects remained modest. Direct comparative analysis using the representative doses selected from the three dose levels for each adjuvant indicated that 10 µg CpG-ODN or PEI provided superior immunogenicity and protection, whereas PEI induced a Th2-biased immune profile at both humoral and cellular levels. Conclusions: These findings highlight that favorable immunogenicity and protection are achieved within defined dose windows rather than at maximal doses. Among the adjuvants studied, low-to-intermediate doses of CpG-ODN, particularly 10 µg, show strong potential for intranasal mucosal immunization with recombinant RSV Pre-F protein. By systematically comparing dose–effect profiles across multiple mucosal adjuvants, this study offers comparative insights into adjuvant selection and dose selection for intranasal RSV vaccine development. Full article
(This article belongs to the Section Vaccines, Clinical Advancement, and Associated Immunology)
Show Figures

Figure 1

13 pages, 576 KB  
Article
Electrical Impedance Tomography Monitoring During Extubation in Critically Ill Children
by Waratchaya Kit-Anan, Jarin Vaewpanich and Nattachai Anantasit
Children 2026, 13(2), 190; https://doi.org/10.3390/children13020190 - 29 Jan 2026
Viewed by 274
Abstract
Background: Extubation failure increases morbidity and mortality. Non-invasive ventilation (NIV), including high-flow nasal cannula (HFNC), can reduce reintubation rates. Current practice often involves prophylactic use of NIV post-extubation. Electrical Impedance Tomography (EIT) provides real-time monitoring of pulmonary distribution and ventilation. Recent adult studies [...] Read more.
Background: Extubation failure increases morbidity and mortality. Non-invasive ventilation (NIV), including high-flow nasal cannula (HFNC), can reduce reintubation rates. Current practice often involves prophylactic use of NIV post-extubation. Electrical Impedance Tomography (EIT) provides real-time monitoring of pulmonary distribution and ventilation. Recent adult studies suggest that EIT has potential in extubation failure prediction, but evidence in children is limited. Our objectives were to evaluate peri-extubation regional lung volume/distribution and to explore EIT-derived physiological changes and on post-extubation respiratory support patterns in critically ill children. Methods: A prospective observational study included intubated patients aged 1 month to 18 years in the PICU who were intubated for over 24 h. Vital signs and chest EIT were recorded pre-extubation (H0), immediately post-extubation (H1), at 30 min (H2), and at 4 h (H3). Patients were categorized by chest X-ray findings into abnormal or normal groups. Results: Among 209 ventilated patients, 54 were included. End-expiratory lung impedance (∆EELI), tidal impedance (TID), and the global inhomogeneity index (GI) demonstrated significant changes across predefined peri-extubation time points. Thirty-eight (70.4%) patients received HFNC or NIV immediately after extubation. No extubation failures occurred, precluding evaluation of extubation failure predictors. In the subgroup analyzed based on chest X-ray findings, differences in TID and ODCL were observed between patients with normal and abnormal chest X-rays immediately after extubation. Conclusions: The ∆EELI, TID, and GI demonstrated significant changes across predefined peri-extubation time points. In the absence of extubation failure events, the ability of EIT monitoring to evaluate extubation failure could not be assessed. The frequent use of prophylactic NIV support after extubation may have influenced post-extubation physiology. Full article
Show Figures

Figure 1

7 pages, 578 KB  
Communication
Nasal Staphylococcus aureus in COVID-19 Patients Shows No Enrichment of High-Risk Clones
by Lidia Piechowicz, Agnieszka Necel, Katarzyna Kosznik-Kwaśnicka, Magdalena Pałys, Anna Pałubicka, Jacek Międzobrodzki and Maja Kosecka-Strojek
Int. J. Mol. Sci. 2026, 27(3), 1250; https://doi.org/10.3390/ijms27031250 - 27 Jan 2026
Viewed by 256
Abstract
Staphylococcus aureus nasal carriage is a potential source of secondary infections in COVID-19 patients, yet it remains unclear whether SARS-CoV-2 infection favors colonization by more virulent or resistant strains. We analyzed 31 nasal S. aureus isolates from hospitalized COVID-19 patients to assess antimicrobial [...] Read more.
Staphylococcus aureus nasal carriage is a potential source of secondary infections in COVID-19 patients, yet it remains unclear whether SARS-CoV-2 infection favors colonization by more virulent or resistant strains. We analyzed 31 nasal S. aureus isolates from hospitalized COVID-19 patients to assess antimicrobial resistance, virulence gene content, and genetic diversity. Only two isolates (6.4%) were methicillin resistant, and most strains showed limited resistance beyond the MLSB phenotype. Adhesin genes were highly prevalent, whereas toxin genes were detected in only 16.1% of isolates. Spa typing revealed high genetic diversity with no dominant clone. Overall, S. aureus isolates from COVID-19 patients did not differ substantially from previously described carriage strains, suggesting no selective enrichment of highly virulent or resistant lineages during SARS-CoV-2 infection. Full article
(This article belongs to the Section Molecular Microbiology)
Show Figures

Figure 1

15 pages, 4765 KB  
Article
Retinal Thickness Profiles in Parkinsonian Syndromes: Discerning Parkinson’s Disease, Multiple System Atrophy, and Progressive Supranuclear Palsy via Optical Coherence Tomography
by Marko Svetel, Gorica Marić, Marija Božić, Tatjana Pekmezović, Igor Petrović, Jana Jakšić, Ana Dimitrijević, Una Lazić, Smiljana Kostić, Milica Knežević, Tiana Petrović, Sanja Petrović Pajić, Vesna Šobot, Jelena Vasilijević and Marina Svetel
Biomedicines 2026, 14(1), 249; https://doi.org/10.3390/biomedicines14010249 - 22 Jan 2026
Viewed by 349
Abstract
Background/Objectives: Clinical differentiation between Parkinson’s disease (PD) and atypical parkinsonism (AP) remains complex. Current diagnostic procedures helpful in their distinction lack specificity, making non-invasive tools like optical coherence tomography (OCT) crucial in evaluating possible retinal changes as potential biomarkers. Our study examined [...] Read more.
Background/Objectives: Clinical differentiation between Parkinson’s disease (PD) and atypical parkinsonism (AP) remains complex. Current diagnostic procedures helpful in their distinction lack specificity, making non-invasive tools like optical coherence tomography (OCT) crucial in evaluating possible retinal changes as potential biomarkers. Our study examined the thickness of the ganglion cell inner plexiform layer complex (GCIPL), peripapillary retinal nerve fiber layer (RNFL) and macular segments in individuals with PD, multiple system atrophy (MSA), progressive supranuclear palsy (PSP), and healthy controls (HC). The objective of our study was to determine if OCT analyses can effectively discriminate PD patients from HC and whether retinal thickness can distinguish typical PD patients from those with AP. Methods: Research was an observational, cross-sectional study. Multiple retinal layers measured with OCT of PD and AP patients were compared with age- and sex-matched HC. An intergroup assessment was conducted. Results: Patients with PD and PSP exhibit a thinner GCIPL compared to HC, with no difference observed in the MSA group. GCIPL thickness between investigational groups does not differentiate between PD and AP. The RNFL and central macula thickness were statistically significantly reduced in all patient groups compared to HC. The RNFL was thinner in PSP compared to PD. Nearly all inner and outer macular segments were thinner in the investigational groups compared to HC. The preservation of outer nasal segments distinguished HC from both typical and AP. Patients with PSP and PD differed in the thickness of all macular segments, being thinner in PSP patients. Conclusions: Thickness of multiple retinal layers and macular regions might serve as a distinguishing feature between PD, AP and HC. Full article
Show Figures

Figure 1

9 pages, 221 KB  
Article
Comparison of a Single-Shot Antibiotic Protocol Compared to a Conventional 5-Day Antibiotic Protocol in Equine Diagnostic Laparotomy Regarding Pre- and Postoperative Colonization with Multi-Drug-Resistant Indicator Pathogens
by Sabita Diana Stöckle, Dania Annika Kannapin, Roswitha Merle, Antina Lübke-Becker and Heidrun Gehlen
Antibiotics 2026, 15(1), 106; https://doi.org/10.3390/antibiotics15010106 - 21 Jan 2026
Viewed by 326
Abstract
Objective: The emergence and spread of multi-drug-resistant (MDR) bacteria pose a growing threat in veterinary medicine, particularly in equine hospitals. This study investigated the colonization and infection dynamics of horses undergoing emergency laparotomy with two distinct antibiotic protocols (single-shot versus 5-day protocol) during [...] Read more.
Objective: The emergence and spread of multi-drug-resistant (MDR) bacteria pose a growing threat in veterinary medicine, particularly in equine hospitals. This study investigated the colonization and infection dynamics of horses undergoing emergency laparotomy with two distinct antibiotic protocols (single-shot versus 5-day protocol) during hospitalization. Methods: Nasal swabs and fecal samples were collected from 67 horses undergoing emergency laparotomy at clinic admission as well as on postoperative days 3 and 10. These were screened for multi-drug-resistant indicator pathogens. As multi-drug-resistant indicator pathogens, methicillin-resistant Staphylococcus aureus (MRSA), extended-spectrum β-lactamase (ESBL)-producing Enterobacterales (ESBL-E), and bacteria belonging to the Acinetobacter baumannii complex were defined. Results: Preoperatively, 6.2% of horses tested positive for MRSA and 13% for ESBL-E. An increase in colonization was observed on day 3 postoperatively, with 62.1% of nasal swabs and 86.4% of fecal samples testing positive for MDR organisms. On day 10, 53.4% of nasal swabs and 62.5% of fecal samples tested positive for indicator pathogens. Surgical site infection developed in five horses, two of which tested positive for MRSA in both nasal and wound samples during hospitalization, supporting the potential role of nasal carriage as a source of infection. Furthermore, all horses tested positive for ESBL-E during at least one time-point during hospitalization, and Enterobacterales (MDR in two surgical site infections (SSI)) were involved in all surgical site infections. No significant differences were observed between the two antibiotic treatment groups regarding colonization rates with indicator pathogens during hospitalization. However, the results indicate that hospitalization itself contributes to increased colonization with resistant bacteria. A clear limitation of the study is the restricted number of sampled horses and the lack of environmental contamination data. Non-sampled hospitalized horses with and without antibiotic treatment may have acted as reservoirs for MDR bacteria. Conclusion: The findings emphasize the need for routine environmental monitoring and strict adherence to hygiene protocols in equine clinics to reduce the risk of nosocomial transmission. Ongoing surveillance and infection control strategies are essential to mitigate the spread of MDR pathogens in veterinary settings. Full article
(This article belongs to the Special Issue Antibiotic Resistance in Bacterial Isolates of Animal Origin)
17 pages, 2057 KB  
Article
The Effect of RAMPA Therapy on the Volumetric Evaluation of the Nasal Cavity and Sinus: A Comparative Statistical Analysis in Patients with Clear Versus Opacified Paranasal Sinuses
by Yasushi Mitani, Yuko Okai-Kojima, Mohammad Moshfeghi, Morio Tonogi, Shouhei Ogisawa and Bumkyoo Choi
Oral 2026, 6(1), 8; https://doi.org/10.3390/oral6010008 - 8 Jan 2026
Cited by 1 | Viewed by 560
Abstract
Objectives: This study aimed to comprehensively evaluate and compare the therapeutic effects of Right Angle Maxillary Protraction Appliance (RAMPA) therapy on nasal airway volume in pediatric patients, specifically differentiated by their baseline radiological paranasal sinus status. The objective was to quantify airway volume [...] Read more.
Objectives: This study aimed to comprehensively evaluate and compare the therapeutic effects of Right Angle Maxillary Protraction Appliance (RAMPA) therapy on nasal airway volume in pediatric patients, specifically differentiated by their baseline radiological paranasal sinus status. The objective was to quantify airway volume changes (absolute and percentage) in clear and opacified sinus groups, investigate the influence of age, sex, and treatment duration on these changes, and elucidate potential differences in the underlying mechanisms of airway expansion between groups. Study Design: A retrospective comparative cohort study design was employed. This study includes a “clear sinus group” of 26 patients (mean age: 6.6 years) with radiologically clear sinuses at baseline and an “opacified sinus group” of 20 patients (mean age: 6.8 years) diagnosed with rhinosinusitis and exhibiting significant sinus opacification on baseline CBCT scans. Upper airway volumetric measurements were performed using CBCT scans acquired pre- (T1) and post-treatment (T2), with data analyzed using Invivo 5 software. Results: RAMPA therapy significantly increased upper airway volume in both cohorts. The clear sinus group showed an approximate 18% mean increase (4886.9 mm3 absolute), while the opacified sinus group demonstrated a remarkably greater 61% mean increase (11,192.8 mm3 absolute). This difference was statistically significant. In the clear sinus group, airway volume gain positively correlated with treatment duration (p = 0.0303). Conversely, no significant correlation was found in the opacified sinus group (p = 0.288), suggesting rapid obstruction relief as a dominant mechanism. Sex did not significantly influence outcomes, and age was not a strong independent predictor of volume change magnitude. Conclusions: RAMPA therapy effectively increases upper airway volume in pediatric patients, with a substantially greater effect in those with baseline sinus opacification due to rapid obstruction resolution complementing skeletal changes. The mechanism of action differs by sinus status, with clear sinus patients showing gradual, duration-dependent skeletal adaptation and opacified sinus patients exhibiting immediate, duration-independent gains primarily from sinus clearance. These findings provide crucial insights for tailored clinical decision-making. Full article
Show Figures

Figure 1

14 pages, 3357 KB  
Article
Association Among Serum Vitamin D Levels, Visual Field Alterations, and Optical Coherence Tomography Parameters: A Clinical Correlation Study
by Tudor-Corneliu Tarași, Mihaela-Madalina Timofte-Zorila, Filippo Lixi, Mario Troisi, Giuseppe Giannaccare, Luminița Apostu, Ecaterina Anisie, Livio Vitiello and Daniel-Constantin Brănișteanu
Life 2026, 16(1), 85; https://doi.org/10.3390/life16010085 - 6 Jan 2026
Viewed by 578
Abstract
Vitamin D deficiency is increasingly recognized as a systemic factor influencing retinal health through inflammatory, neuroprotective, and vasculotropic pathways. Evidence regarding early retinal alterations in otherwise healthy adults remains limited. This cross-sectional study evaluated 120 eyes from 60 healthy adults stratified by serum [...] Read more.
Vitamin D deficiency is increasingly recognized as a systemic factor influencing retinal health through inflammatory, neuroprotective, and vasculotropic pathways. Evidence regarding early retinal alterations in otherwise healthy adults remains limited. This cross-sectional study evaluated 120 eyes from 60 healthy adults stratified by serum 25(OH)D levels into <30 ng/mL (n = 60) and ≥30 ng/mL (n = 60). All subjects underwent optical coherence tomography (OCT), OCT angiography (OCTA), visual field testing, and contrast sensitivity assessment. Central macular thickness (CMT), ganglion cell complex (GCC) thickness, and perfusion density in the superficial and deep capillary plexuses (SCP, DCP) were compared between groups. Vitamin-D-insufficient eyes showed significantly reduced CMT (267.66 ± 13.31 µm vs. 274.69 ± 14.96 µm; p = 0.035). GCC thinning was significant only in the inner inferior nasal sector (70.7 ± 13.14 µm vs. 76.45 ± 12.12 µm; p = 0.030), whereas other GCC sectors were comparable between groups. Perfusion density was lower in the DCP across whole, inner, and outer regions (all p < 0.001) and in the SCP inner (p = 0.027) and outer (p = 0.009) regions, while whole SCP did not differ (p = 0.065). FAZ area was numerically larger in vitamin-D-insufficient eyes but was not statistically different (p = 0.168). Functionally, retinal sensitivity decline was greater in vitamin-D-insufficient eyes (−2.89 ± 1.29 dB vs. −2.16 ± 1.04 dB; p = 0.003), and mean central sensitivity was lower (p = 0.010), whereas contrast sensitivity did not differ between groups. Serum vitamin D levels < 30 ng/mL are associated with early, subclinical, structural and microvascular retinal alterations in healthy adults, supporting a potential role of hypovitaminosis D as a modifier of retinal integrity. Full article
(This article belongs to the Section Medical Research)
Show Figures

Figure 1

21 pages, 2571 KB  
Article
Propranolol Reduces Epistaxis in Hereditary Hemorrhagic Telangiectasia: A Large Retrospective Study
by Marcelo Martín Serra, Vanina Pagotto, Luisa Maria Botella and Carmelo Bernabeu
J. Clin. Med. 2026, 15(1), 372; https://doi.org/10.3390/jcm15010372 - 4 Jan 2026
Viewed by 577
Abstract
Background/Objectives: Hereditary Hemorrhagic Telangiectasia (HHT) is an autosomal dominant vascular dysplasia characterized by recurrent epistaxis, anemia, and visceral arteriovenous malformations. Epistaxis is the most frequent and disabling manifestation, with limited effective pharmacological options. Propranolol, a non-selective beta-blocker with vasoconstrictive and antiangiogenic properties, has [...] Read more.
Background/Objectives: Hereditary Hemorrhagic Telangiectasia (HHT) is an autosomal dominant vascular dysplasia characterized by recurrent epistaxis, anemia, and visceral arteriovenous malformations. Epistaxis is the most frequent and disabling manifestation, with limited effective pharmacological options. Propranolol, a non-selective beta-blocker with vasoconstrictive and antiangiogenic properties, has shown benefit in other vascular anomalies but remains scarcely studied in HHT. This study aimed to evaluate the effect of oral propranolol on nasal bleeding in patients with HHT. Methods: A retrospective observational study including 151 adults with HHT (44 treated with propranolol, 107 untreated) was conducted using data from an Institutional HHT Registry from a referral center. Baseline demographic and clinical variables were recorded. Outcomes at 6 months included changes in hemoglobin, adherence to nasal hygiene, use of bleeding-related therapies, and improvement in epistaxis frequency and intensity according to the Sadick–Bergler scale. Logistic regression models were adjusted for confounders and indication bias using inverse probability of treatment weighting (IPTW). Results: After IPTW adjustment, propranolol was significantly associated with reduced frequency of epistaxis (adjusted OR: 3.8; 95% CI: 1.3–11.2; p = 0.016), while no effect was observed on intensity. Hemoglobin levels increased modestly in both groups without a significant difference. Patients without propranolol showed greater antifibrinolytic use, whereas adherence to nasal care remained stable among treated patients. Conclusions: Oral propranolol reduced nasal bleeding frequency in HHT, even among patients with greater baseline severity. Given its accessibility, safety, and potential to lessen treatment burden, it may represent a valuable adjunct therapy. This study represents the largest cohort of HHT patients treated with propranolol reported to date. Randomized trials including standardized bleeding scores and patient-reported outcomes are warranted to confirm clinical and quality-of-life benefits. Full article
Show Figures

Figure 1

12 pages, 2039 KB  
Article
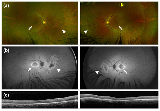
Nasal Retinal Degeneration Is a Feature of a Subset of CRX-Associated Retinopathies
by Michael T. Massengill, Tamara Juvier Riesgo, Janet L. Davis, Carlos E. Mendoza-Santiesteban, Brian E. Goldhagen, Byron L. Lam and Ninel Z. Gregori
Genes 2026, 17(1), 50; https://doi.org/10.3390/genes17010050 - 1 Jan 2026
Viewed by 517
Abstract
Background/Objectives: Genetic variants in the cone–rod homeobox (CRX) gene, a transcription factor critical for the differentiation, function, and survival of photoreceptors, are a rare cause of inherited retinal diseases (IRDs). CRX-associated retinopathies can produce variable phenotypes, including Leber congenital [...] Read more.
Background/Objectives: Genetic variants in the cone–rod homeobox (CRX) gene, a transcription factor critical for the differentiation, function, and survival of photoreceptors, are a rare cause of inherited retinal diseases (IRDs). CRX-associated retinopathies can produce variable phenotypes, including Leber congenital amaurosis (LCA), maculopathy (M), cone-rod dystrophy (CRD), and rod-cone dystrophy (RCD), such as retinitis pigmentosa (RP). Based on clinical observations at our eye institute, we hypothesized that nasal retinal degeneration is a feature of CRX-associated maculopathy and M/CRD. Methods: We performed an IRB-approved, retrospective review of patients at our eye institute with CRX-associated retinopathy to assess the frequency of nasal degeneration and potential genotype–phenotype correlations. Results: A total of 15 patients with a CRX-associated retinopathy and meeting the inclusion criteria were identified (LCA 3, RCD/RP 2, M/CRD 10). Overall, nasal degeneration occurred in 8 of 15 patients (53.3%) in the cohort. Nasal retinal degeneration was seen in the M/CRD (6 of 10; 60.0%) as well as LCA groups (2 of 3; 66.6%). No significant differences in age, gender, or presenting visual acuity were observed between patients with and without nasal degeneration. Genetic variants associated with nasal degeneration are localized to both the homeobox motif and activation domain. Intronic variants were relatively more common in patients with nasal degeneration, while missense variants predominated in those without, although these differences were not statistically significant. Conclusions: We conclude that nasal degeneration is a feature of a subset of CRX-associated phenotypes, affects both genders, and can be caused by genetic variants in multiple locations and of various subtypes. Full article
Show Figures

Figure 1

Back to TopTop