Sign in to use this feature.

Years

Between: -

Subjects

remove_circle_outline
remove_circle_outline
remove_circle_outline

Journals

Article Types

Countries / Regions

Search Results (5)

Search Parameters:
Keywords = multidisciplinary trauma management in pregnancy

Order results
Result details
Results per page
Select all
Export citation of selected articles as:
12 pages, 1397 KB  
Case Report
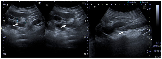
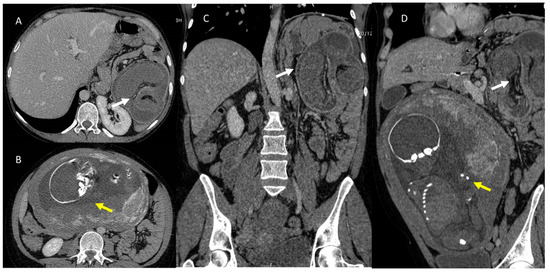
A Rare Case of Severe Pelvic Organ Prolapse with Massive Perineal Hernia in a Nulliparous Woman: A Case Report and Literature Review
by Andrea Rus, Andrei Manea, Andrei Cora, Béla Szabó and Ioana Hălmaciu
Diagnostics 2025, 15(19), 2481; https://doi.org/10.3390/diagnostics15192481 - 28 Sep 2025
Viewed by 1498
Abstract
Background and Clinical Significance: Advanced pelvic organ prolapse (POP) associated with perineal herniation of pelvic and abdominal organs is a sporadic occurrence in gynaecological practice. Generally, POP affects up to 50% of multiparous women at some point during their lives. Advanced forms (grade [...] Read more.
Background and Clinical Significance: Advanced pelvic organ prolapse (POP) associated with perineal herniation of pelvic and abdominal organs is a sporadic occurrence in gynaecological practice. Generally, POP affects up to 50% of multiparous women at some point during their lives. Advanced forms (grade III or IV) represent less than 10% of all cases, with severe grade IV prolapse occurring in fewer than 2% of patients. Case Presentation: We report the case of a 48-year-old nulliparous woman with no prior surgical history and no known medical conditions at presentation. The patient presented with severe grade IV POP (Baden–Walker Classification), characterised by abdominal pain, vaginal bleeding and significant urinary incontinence. A computed tomography scan was performed, revealing an extremely large perineal hernia, containing the uterus, urinary bladder, and small bowel loops—a rare finding with only isolated cases reported in the medical literature. Surgical treatment involved a total intracapsular hysterectomy with right-sided adnexectomy and colpoperineorrhaphy. After the surgery, the overall status of the patient was good. However, less than two months later, she returned, complaining of a recurrence of the initial pathology, and was diagnosed with grade II/III POP recurrence despite having no connective tissue disorders or other classical predisposing factors such as pregnancies, pelvic surgery history or obstetric trauma. The case was further complicated by a femoral neck fracture, stage V chronic kidney disease, COVID-19 pneumonia, and a Clostridium difficile infection. All these complications led to the postponement of the gynaecological reintervention procedure. Conclusions: We emphasise the significant challenges in managing this kind of perineal hernia, under unusual conditions and without common risk factors. A personalised, multidisciplinary approach is required, including careful follow-up to prevent early recurrence. Full article
(This article belongs to the Special Issue Imaging for the Diagnosis of Obstetric and Gynecological Diseases)
Show Figures

Figure 1

13 pages, 2091 KB  
Case Report
Femoral Fracture in Pregnancy: A Case Report and Review of Data from the Literature
by Ștefan-Dragoș Tîrnovanu, Elena Cojocaru, Bogdan Veliceasa, Norin Forna, Adrian-Claudiu Carp, Bogdan Puha, Alexandru Filip, Awad Dmour, Dragoș-Cristian Popescu, Ovidiu Alexa, Sorana-Caterina Anton and Mihaela-Camelia Tîrnovanu
Life 2025, 15(4), 601; https://doi.org/10.3390/life15040601 - 4 Apr 2025
Viewed by 3079
Abstract
Background: Orthopedic trauma during pregnancy is a rare yet complex medical challenge, impacting both maternal and fetal health. Among these, femoral fractures are particularly uncommon but require careful management to minimize maternal and fetal risks. Methods: We report the case of a 28-year-old [...] Read more.
Background: Orthopedic trauma during pregnancy is a rare yet complex medical challenge, impacting both maternal and fetal health. Among these, femoral fractures are particularly uncommon but require careful management to minimize maternal and fetal risks. Methods: We report the case of a 28-year-old woman, gravida 4, para 3, at 40 weeks of gestation, who sustained a left mid-femoral diaphyseal fracture following a low-energy fall. A multidisciplinary team approach, including obstetric, orthopedic, anesthetic, and neonatal specialists, was employed. Preoperative imaging by X-ray was performed under lead-apron protection. The patient underwent an emergency C-section, followed by closed reduction and internal fixation with an intramedullary nail. Results: The surgical intervention was successful, with minimal radiation exposure. Postoperative management included thromboprophylaxis, calcium, vitamin D supplementation, and physiotherapy. The patient recovered well, achieving fracture healing within three months. Postpartum bone density assessment was recommended, suspecting pregnancy- and lactation-associated osteoporosis. Conclusions: Managing femoral fractures during pregnancy necessitates a balance between maternal and fetal well-being. A collaborative, multidisciplinary approach ensures optimal outcomes. Early surgical intervention, proper radiation precautions, and postpartum bone health assessment are crucial in these cases. Further research is needed to understand risk factors and preventive strategies for pregnancy-associated osteoporosis. Full article
(This article belongs to the Special Issue Advanced Strategies in Fracture Treatments)
Show Figures

Figure 1

16 pages, 10619 KB  
Review
Dose Reduction Strategies for Pregnant Women in Emergency Settings
by Carmine Picone, Roberta Fusco, Michele Tonerini, Salvatore Claudio Fanni, Emanuele Neri, Maria Chiara Brunese, Roberta Grassi, Ginevra Danti, Antonella Petrillo, Mariano Scaglione, Nicoletta Gandolfo, Andrea Giovagnoni, Antonio Barile, Vittorio Miele, Claudio Granata and Vincenza Granata
J. Clin. Med. 2023, 12(5), 1847; https://doi.org/10.3390/jcm12051847 - 25 Feb 2023
Cited by 10 | Viewed by 3462
Abstract
In modern clinical practice, there is an increasing dependence on imaging techniques in several settings, and especially during emergencies. Consequently, there has been an increase in the frequency of imaging examinations and thus also an increased risk of radiation exposure. In this context, [...] Read more.
In modern clinical practice, there is an increasing dependence on imaging techniques in several settings, and especially during emergencies. Consequently, there has been an increase in the frequency of imaging examinations and thus also an increased risk of radiation exposure. In this context, a critical phase is a woman’s pregnancy management that requires a proper diagnostic assessment to reduce radiation risk to the fetus and mother. The risk is greatest during the first phases of pregnancy at the time of organogenesis. Therefore, the principles of radiation protection should guide the multidisciplinary team. Although diagnostic tools that do not employ ionizing radiation, such as ultrasound (US) and magnetic resonance imaging (MRI) should be preferred, in several settings as polytrauma, computed tomography (CT) nonetheless remains the examination to perform, beyond the fetus risk. In addition, protocol optimization, using dose-limiting protocols and avoiding multiple acquisitions, is a critical point that makes it possible to reduce risks. The purpose of this review is to provide a critical evaluation of emergency conditions, e.g., abdominal pain and trauma, considering the different diagnostic tools that should be used as study protocols in order to control the dose to the pregnant woman and fetus. Full article
(This article belongs to the Section Nuclear Medicine & Radiology)
Show Figures

Figure 1

58 pages, 1476 KB  
Review
Pituitary Apoplexy in Patients with Pituitary Neuroendocrine Tumors (PitNET)
by Ana-Maria Gheorghe, Alexandra Ioana Trandafir, Nina Ionovici, Mara Carsote, Claudiu Nistor, Florina Ligia Popa and Mihaela Stanciu
Biomedicines 2023, 11(3), 680; https://doi.org/10.3390/biomedicines11030680 - 23 Feb 2023
Cited by 8 | Viewed by 5691
Abstract
Various complications of pituitary neuroendocrine tumors (PitNET) are reported, and an intratumor hemorrhage or infarct underlying pituitary apoplexy (PA) represents an uncommon, yet potentially life-threatening, feature, and thus early recognition and prompt intervention are important. Our purpose is to overview PA from clinical [...] Read more.
Various complications of pituitary neuroendocrine tumors (PitNET) are reported, and an intratumor hemorrhage or infarct underlying pituitary apoplexy (PA) represents an uncommon, yet potentially life-threatening, feature, and thus early recognition and prompt intervention are important. Our purpose is to overview PA from clinical presentation to management and outcome. This is a narrative review of the English-language, PubMed-based original articles from 2012 to 2022 concerning PA, with the exception of pregnancy- and COVID-19-associated PA, and non-spontaneous PA (prior specific therapy for PitNET). We identified 194 original papers including 1452 patients with PA (926 males, 525 females, and one transgender male; a male-to-female ratio of 1.76; mean age at PA diagnostic of 50.52 years, the youngest being 9, the oldest being 85). Clinical presentation included severe headache in the majority of cases (but some exceptions are registered, as well); neuro-ophthalmic panel with nausea and vomiting, meningism, and cerebral ischemia; respectively, decreased visual acuity to complete blindness in two cases; visual field defects: hemianopia, cranial nerve palsies manifesting as diplopia in the majority, followed by ptosis and ophthalmoplegia (most frequent cranial nerve affected was the oculomotor nerve, and, rarely, abducens and trochlear); proptosis (N = 2 cases). Risk factors are high blood pressure followed by diabetes mellitus as the main elements. Qualitative analysis also pointed out infections, trauma, hematologic conditions (thrombocytopenia, polycythemia), Takotsubo cardiomyopathy, and T3 thyrotoxicosis. Iatrogenic elements may be classified into three main categories: medication, diagnostic tests and techniques, and surgical procedures. The first group is dominated by anticoagulant and antiplatelet drugs; additionally, at a low level of statistical evidence, we mention androgen deprivation therapy for prostate cancer, chemotherapy, thyroxine therapy, oral contraceptives, and phosphodiesterase 5 inhibitors. The second category includes a dexamethasone suppression test, clomiphene use, combined endocrine stimulation tests, and a regadenoson myocardial perfusion scan. The third category involves major surgery, laparoscopic surgery, coronary artery bypass surgery, mitral valvuloplasty, endonasal surgery, and lumbar fusion surgery in a prone position. PA in PitNETs still represents a challenging condition requiring a multidisciplinary team from first presentation to short- and long-term management. Controversies involve the specific panel of risk factors and adequate protocols with concern to neurosurgical decisions and their timing versus conservative approach. The present decade-based analysis, to our knowledge the largest so far on published cases, confirms a lack of unanimous approach and criteria of intervention, a large panel of circumstantial events, and potential triggers with different levels of statistical significance, in addition to a heterogeneous clinical picture (if any, as seen in subacute PA) and a spectrum of evolution that varies from spontaneous remission and control of PitNET-associated hormonal excess to exitus. Awareness is mandatory. A total of 25 cohorts have been published so far with more than 10 PA cases/studies, whereas the largest cohorts enrolled around 100 patients. Further studies are necessary. Full article
Show Figures

Figure 1

26 pages, 6150 KB  
Review
Pelvic Girdle Pain, Hypermobility Spectrum Disorder and Hypermobility-Type Ehlers-Danlos Syndrome: A Narrative Literature Review
by Ahmed Ali, Paul Andrzejowski, Nikolaos K. Kanakaris and Peter V. Giannoudis
J. Clin. Med. 2020, 9(12), 3992; https://doi.org/10.3390/jcm9123992 - 9 Dec 2020
Cited by 15 | Viewed by 12871
Abstract
Pelvic girdle pain (PGP) refers specifically to musculoskeletal pain localised to the pelvic ring and can be present at its anterior and/or posterior aspects. Causes such as trauma, infection and pregnancy have been well-established, while patients with hypermobile joints are at greater risk [...] Read more.
Pelvic girdle pain (PGP) refers specifically to musculoskeletal pain localised to the pelvic ring and can be present at its anterior and/or posterior aspects. Causes such as trauma, infection and pregnancy have been well-established, while patients with hypermobile joints are at greater risk of developing PGP. Research exploring this association is limited and of varying quality. In the present study we report on the incidence, pathophysiology, diagnostic and treatment modalities for PGP in patients suffering from Hypermobility Spectrum Disorder (HSD) and Hypermobility-Type Ehlers-Danlos Syndrome (hEDS). Recommendations are made for clinical practice by elaborating on screening, diagnosis and management of such patients to provide a holistic approach to their care. It appears that this cohort of patients are at greater risk particularly of mental health issues. Moreover over, they may require a multidisciplinary approach for their management. Ongoing research is still required to expand our understanding of the relationship between PGP, HSD and hEDS by appropriately diagnosing patients using the latest updated terminologies and by conducting randomised control trials to compare outcomes of interventions using standardised patient reported outcome measures. Full article
(This article belongs to the Collection Pelvic Instability: Currents Insights)
Show Figures

Figure 1

Back to TopTop