Sign in to use this feature.

Years

Between: -

Subjects

remove_circle_outline
remove_circle_outline
remove_circle_outline
remove_circle_outline

Journals

Article Types

Countries / Regions

Search Results (17)

Search Parameters:
Keywords = leptin mutants

Order results
Result details
Results per page
Select all
Export citation of selected articles as:
17 pages, 7280 KB  
Article
A Novel Recombinant Human FGF21 Analog with High Glycosylation Has a Prolonged Half-Life and Affects Glycemic and Body Weight Control
by Pei Du, Ting Wang, Rong Wang, Shang Liu, Hang Wang and Hongping Yin
Int. J. Mol. Sci. 2025, 26(6), 2672; https://doi.org/10.3390/ijms26062672 - 16 Mar 2025
Cited by 1 | Viewed by 2715
Abstract
Fibroblast growth factor 21 (FGF21), a hormone-like protein, plays a crucial role in enhancing glucose and lipid metabolism, offering promising therapeutic avenues for conditions such as nonalcoholic steatohepatitis and severe hypertriglyceridemia. Despite its potential, this protein’s limited stability and brief half-life pose significant [...] Read more.
Fibroblast growth factor 21 (FGF21), a hormone-like protein, plays a crucial role in enhancing glucose and lipid metabolism, offering promising therapeutic avenues for conditions such as nonalcoholic steatohepatitis and severe hypertriglyceridemia. Despite its potential, this protein’s limited stability and brief half-life pose significant challenges for its use in clinical settings. In this study, we created an FGF21 analog (named FGF21-164) that is a mutant of FGF21 and fused it with the tandem repeat sequence of human CD164. FGF21-164, characterized by extensive glycosylation and sialylation, exhibits enhanced pharmacokinetic properties, particularly in terms of its significantly longer half-life compared to its native form. The in vitro efficacy of FGF21-164 was evaluated using 3T3-L1-induced adipocytes. The protein demonstrated a dose-dependent increase in glucose uptake and effectively decreased lipid droplet accumulation surrounding the adipocytes. The in vivo activity of FGF21-164 was evaluated in leptin-deficient (ob/ob) and diet-induced obesity (DIO) mice. A single subcutaneous dose of FGF21-164 led to a rapid decrease in blood glucose levels and sustained normal fasting glucose levels for up to 28 days. Additionally, repeated dosing of FGF21-164 significantly curbed weight gain and reduced hepatic fat accumulation in DIO mice. Full article
(This article belongs to the Section Biochemistry)
Show Figures

Figure 1

13 pages, 3567 KB  
Article
Does Sex Matter in Obesity-Induced Periodontal Inflammation in the SSLepR Mutant Rats?
by Abdulmohsin Alhashim, Kim Capehart, Jocelyn Tang, Karim M. Saad, Rafik Abdelsayed, Marion A. Cooley, Jan M. Williams and Ahmed A. Elmarakby
Dent. J. 2025, 13(1), 14; https://doi.org/10.3390/dj13010014 - 27 Dec 2024
Viewed by 1177
Abstract
Introduction: The incidence of obesity has dramatically increased worldwide. Obesity has been shown to exacerbate the progression of periodontal disease. Studies suggest a sex difference in periodontitis, whereby males are more sensitive to periodontal inflammation compared to females. Aim: In the current study, [...] Read more.
Introduction: The incidence of obesity has dramatically increased worldwide. Obesity has been shown to exacerbate the progression of periodontal disease. Studies suggest a sex difference in periodontitis, whereby males are more sensitive to periodontal inflammation compared to females. Aim: In the current study, it was hypothesized that obesity drives periodontal inflammation and bone loss in both sexes. Methodology: Utilizing leptin receptor mutant (SSLepR mutant) rats as a genetic model of obesity, 11–12-week-old male and female lean Dahl salt-sensitive (SS) rats and obese SSLepR mutant rats were used to investigate sex differences in obesity-induced periodontal inflammation. Results: Body weight, insulin, hemoglobin A1c and cholesterol levels were significantly elevated in the obese SSLepR mutant strain vs. the lean SS strain within the same sex. Sex differences in body weight and plasma hemoglobin A1c were only observed in obese SSLepR mutant rats, with males having significantly greater body weight and hemoglobin A1c vs. females. Plasma thiobarbituric acid reactive substances (TBARs) and monocyte chemoattractant protein-1 (MCP-1), markers of systemic oxidative stress and inflammation, respectively, were significantly elevated in obese SSLepR mutant rats vs. lean SS rats, with no sex differences in these parameters in either rat strains. Although micro-CT analyses of the maxillary first molar alveolar bone from obese SSLepR mutant rats revealed no evidence of bone loss and/or sex differences, immuno-histochemical analysis revealed significant elevations in periodontal IL-6 and decreases in IL-10 in obese SSLepR mutant rats vs. lean SS rats, with no apparent sex differences in these parameters. Conclusions: Obesity increases systemic and periodontal inflammation, without evidence of bone loss or apparent sex differences in SSLepR mutant rats. Full article
Show Figures

Figure 1

13 pages, 3412 KB  
Article
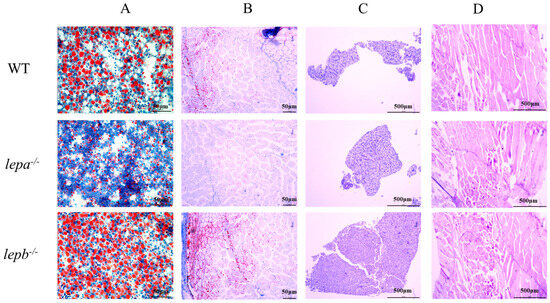
Study on the Function of Leptin Nutrient Acquisition and Energy Metabolism of Zebrafish (Danio rerio)
by Jiaqi Wu, Wuyuan Zhuang, Ke Lu, Lixin Zhang, Yuye Wang, Farui Chai and Xu-Fang Liang
Int. J. Mol. Sci. 2024, 25(21), 11647; https://doi.org/10.3390/ijms252111647 - 30 Oct 2024
Cited by 2 | Viewed by 1506
Abstract
Leptin plays an indispensable role in energy homeostasis, and its involvement in metabolic activities has been extensively explored in fish. We generated mutant lines of leptina (−5 bp) and leptinb (+8 bp) in zebrafish using CRISPR/Cas9 technology to explore the metabolic characteristics of [...] Read more.
Leptin plays an indispensable role in energy homeostasis, and its involvement in metabolic activities has been extensively explored in fish. We generated mutant lines of leptina (−5 bp) and leptinb (+8 bp) in zebrafish using CRISPR/Cas9 technology to explore the metabolic characteristics of lepa and lepb mutant zebrafish in response to high glucose nutritional stress induced by high levels of carbohydrates. The results were as follows: the body weight and food intake of adult zebrafish of the two mutant species were increased; the visceral fat accumulation, whole-body crude lipid, and crude protein contents of lepb−/− were increased; and the visceral fat accumulation and crude lipid in lepa−/− zebrafish were decreased. The blood glucose levels of the two mutant zebrafish were increased, the mRNA expression levels of glycolytic genes pk and gck were decreased in the two mutant zebrafish, and there were differences between lepa−/− and lepb−/− zebrafish. The expressions of glycogen synthesis and decomposition genes were inhibited and promoted, respectively. The expression of adipose synthesis genes in the liver and muscle was stimulated in lepb−/− zebrafish but suppressed in lepa−/− zebrafish. Lipolysis and oxidation genes were also stimulated in lepa−/− zebrafish livers, while the livers of lepb−/− zebrafish were stimulated but muscle was inhibited. In conclusion, the results indicate that lepa plays a major role in glucose metabolism, which is conducive to promoting glucose utilization and lipogenesis, while lepb mainly promotes lipolysis and oxidation, regulates protein generation, and plays a minor role in glucose metabolism. Full article
(This article belongs to the Section Molecular Endocrinology and Metabolism)
Show Figures

Figure 1

16 pages, 2296 KB  
Article
Increased Permeability of the Blood–Brain Barrier in a Diabetic Mouse Model (Leprdb/db Mice)
by Musaad A. Alshammari, Abdulaziz O. Alshehri, Faleh Alqahtani, Mohammad R. Khan, Muhammed A. Bakhrebah, Fawaz Alasmari, Tahani K. Alshammari and Shakir D. Alsharari
Int. J. Mol. Sci. 2024, 25(14), 7768; https://doi.org/10.3390/ijms25147768 - 16 Jul 2024
Cited by 4 | Viewed by 3074
Abstract
Type 2 Diabetes Mellitus (T2DM) is linked to multiple complications, including cognitive impairment, and the prevalence of memory-related neurodegenerative diseases is higher in T2DM patients. One possible theory is the alteration of the microvascular and macrovascular environment of the blood–brain barrier (BBB). In [...] Read more.
Type 2 Diabetes Mellitus (T2DM) is linked to multiple complications, including cognitive impairment, and the prevalence of memory-related neurodegenerative diseases is higher in T2DM patients. One possible theory is the alteration of the microvascular and macrovascular environment of the blood–brain barrier (BBB). In this study, we employed different approaches, including RT-PCR, functional pharmacokinetic studies using sodium fluorescein (NaFL), and confocal microscopy, to characterize the functional and molecular integrity of the BBB in a T2DM animal model, leptin receptor-deficient mutant mice (Leprdb/db mice). As a result, VCAM-1, ICAM-1, MMP-9, and S100b (BBB-related markers) dysregulation was observed in the Leprdb/db animal model compared to littermate wild-type mice. The brain concentration of sodium fluorescein (NaFL) increased significantly in Leprdb/db untreated mice compared to insulin-treated mice. Therefore, the permeability of NaFL was higher in Leprdb/db control mice than in all remaining groups. Identifying the factors that increase the BBB in Leprdb/db mice will provide a better understanding of the BBB microvasculature and present previously undescribed findings of T2DM-related brain illnesses, filling knowledge gaps in this emerging field of research. Full article
(This article belongs to the Special Issue Activation of the Blood–Brain Barrier and Neurological Dysfunction)
Show Figures

Figure 1

16 pages, 3822 KB  
Article
Functional Characterization of Novel MC4R Variants Identified in Two Unrelated Patients with Morbid Obesity in Qatar
by Idris Mohammed, Senthil Selvaraj, Wesam S. Ahmed, Tara Al-Barazenji, Ayat S Hammad, Hajar Dauleh, Luis R. Saraiva, Mashael Al-Shafai and Khalid Hussain
Int. J. Mol. Sci. 2023, 24(22), 16361; https://doi.org/10.3390/ijms242216361 - 15 Nov 2023
Cited by 5 | Viewed by 3412
Abstract
The leptin–melanocortin pathway is pivotal in appetite and energy homeostasis. Pathogenic variants in genes involved in this pathway lead to severe early-onset monogenic obesity (MO). The MC4R gene plays a central role in leptin–melanocortin signaling, and heterozygous variants in this gene are the [...] Read more.
The leptin–melanocortin pathway is pivotal in appetite and energy homeostasis. Pathogenic variants in genes involved in this pathway lead to severe early-onset monogenic obesity (MO). The MC4R gene plays a central role in leptin–melanocortin signaling, and heterozygous variants in this gene are the most common cause of MO. A targeted gene panel consisting of 52 obesity-related genes was used to screen for variants associated with obesity. Variants were analyzed and filtered to identify potential disease-causing activity and validated using Sanger sequencing. We identified two novel heterozygous variants, c.253A>G p.Ser85Gly and c.802T>C p.Tyr268His, in the MC4R gene in two unrelated patients with morbid obesity and evaluated the functional impact of these variants. The impact of the variants on the MC4R gene was assessed using in silico prediction tools and molecular dynamics simulation. To further study the pathogenicity of the identified variants, GT1-7 cells were transfected with plasmid DNA encoding either wild-type or mutant MC4R variants. The effects of allelic variations in the MC4R gene on cAMP synthesis, MC4R protein level, and activation of PKA, ERB, and CREB signaling pathways in both stimulated and unstimulated ɑ-MSH paradigms were determined for their functional implications. In silico analysis suggested that the variants destabilized the MC4R structure and affected the overall dynamics of the MC4R protein, possibly leading to intracellular receptor retention. In vitro analysis of the functional impact of these variants showed a significant reduction in cell surface receptor expression and impaired extracellular ligand binding activity, leading to reduced cAMP production. Our analysis shows that the variants do not affect total protein expression; however, they are predicted to affect the post-translational localization of the MC4R protein to the cell surface and impair downstream signaling cascades such as PKA, ERK, and CREB signaling pathways. This finding might help our patients to benefit from the novel therapeutic advances for monogenic forms of obesity. Full article
(This article belongs to the Section Molecular Endocrinology and Metabolism)
Show Figures

Figure 1

17 pages, 1862 KB  
Article
Evaluation of Pharmacological Rescue of Melanocortin-4 Receptor Nonsense Mutations by Aminoglycoside
by Friederike Höpfner, Sarah Paisdzior, Nanina Reininghaus, Iqra Sohail, Patrick Scheerer, Paolo Annibale, Heike Biebermann and Peter Kühnen
Life 2022, 12(11), 1793; https://doi.org/10.3390/life12111793 - 5 Nov 2022
Cited by 3 | Viewed by 3176
Abstract
The melanocortin-4 receptor (MC4R) is critical for central satiety regulation, therefore presenting a potent target for pharmacological obesity treatment. Melanocortin-4 receptor mutations prevalently cause monogenetic obesity. A possibility of overcoming stop mutations is aminoglycoside-mediated translational readthrough. Promising results were achieved in [...] Read more.
The melanocortin-4 receptor (MC4R) is critical for central satiety regulation, therefore presenting a potent target for pharmacological obesity treatment. Melanocortin-4 receptor mutations prevalently cause monogenetic obesity. A possibility of overcoming stop mutations is aminoglycoside-mediated translational readthrough. Promising results were achieved in COS-7 cells, but data for human cell systems are still missing, so uncertainty surrounds this potential treatment. In transfected HEK-293 cells, we tested whether translational readthrough by aminoglycoside Geneticin combined with high-affinity ligand setmelanotide, which is effective in proopiomelanocortin or leptin receptor deficiency patients, is a treatment option for affected patients. Five MC4R nonsense mutants (W16X, Y35X_D37V, E61X, W258X, Q307X) were investigated. Confocal microscopy and cell surface expression assays revealed the importance of the mutations’ position within the MC4R. N-terminal mutants were marginally expressed independent of Geneticin treatment, whereas mutants with nonsense mutations in transmembrane helix 6 or helix 8 showed wild-type-like expression. For functional analysis, Gs and Gq/11 signaling were measured. N-terminal mutants (W16X, Y35X_D37V) showed no cAMP formation after challenge with alpha-MSH or setmelanotide, irrespective of Geneticin treatment. Similarly, Gs activation was almost impossible in W258X and Q307X with wild-type-like cell surface expression. Results for Gq/11 signaling were comparable. Based on our data, this approach improbably represents a therapeutic option. Full article
Show Figures

Figure 1

12 pages, 1387 KB  
Article
Investigating the Expression and Function of the Glucose Transporter GLUT6 in Obesity
by Sing-Young Chen, Ellen M. Olzomer, Martina Beretta, James Cantley, Craig S. Nunemaker, Kyle L. Hoehn and Frances L. Byrne
Int. J. Mol. Sci. 2022, 23(17), 9798; https://doi.org/10.3390/ijms23179798 - 29 Aug 2022
Cited by 2 | Viewed by 3242
Abstract
Obesity-related insulin resistance is a highly prevalent and growing health concern, which places stress on the pancreatic islets of Langerhans by increasing insulin secretion to lower blood glucose levels. The glucose transporters GLUT1 and GLUT3 play a key role in glucose-stimulated insulin secretion [...] Read more.
Obesity-related insulin resistance is a highly prevalent and growing health concern, which places stress on the pancreatic islets of Langerhans by increasing insulin secretion to lower blood glucose levels. The glucose transporters GLUT1 and GLUT3 play a key role in glucose-stimulated insulin secretion in human islets, while GLUT2 is the key isoform in rodent islets. However, it is unclear whether other glucose transporters also contribute to insulin secretion by pancreatic islets. Herein, we show that SLC2A6 (GLUT6) is markedly upregulated in pancreatic islets from genetically obese leptin-mutant (ob/ob) and leptin receptor-mutant (db/db) mice, compared to lean controls. Furthermore, we observe that islet SLC2A6 expression positively correlates with body mass index in human patients with type 2 diabetes. To investigate whether GLUT6 plays a functional role in islets, we crossed GLUT6 knockout mice with C57BL/6 ob/ob mice. Pancreatic islets isolated from ob/ob mice lacking GLUT6 secreted more insulin in response to high-dose glucose, compared to ob/ob mice that were wild type for GLUT6. The loss of GLUT6 in ob/ob mice had no adverse impact on body mass, body composition, or glucose tolerance at a whole-body level. This study demonstrates that GLUT6 plays a role in pancreatic islet insulin secretion in vitro but is not a dominant glucose transporter that alters whole-body metabolic physiology in ob/ob mice. Full article
Show Figures

Figure 1

19 pages, 1449 KB  
Article
Leptin Receptor Deficiency Results in Hyperphagia and Increased Fatty Acid Mobilization during Fasting in Rainbow Trout (Oncorhynchus mykiss)
by Jamie L. Mankiewicz, Matthew J. Picklo, Joseph Idso and Beth M. Cleveland
Biomolecules 2022, 12(4), 516; https://doi.org/10.3390/biom12040516 - 29 Mar 2022
Cited by 8 | Viewed by 3883
Abstract
Leptin is a pleiotropic hormone known for regulating appetite and metabolism. To characterize the role of leptin signaling in rainbow trout, we used CRISPR/Cas9 genome editing to disrupt the leptin receptor (LepR) genes, lepra1 and lepra2. We compared wildtype (WT) and mutant [...] Read more.
Leptin is a pleiotropic hormone known for regulating appetite and metabolism. To characterize the role of leptin signaling in rainbow trout, we used CRISPR/Cas9 genome editing to disrupt the leptin receptor (LepR) genes, lepra1 and lepra2. We compared wildtype (WT) and mutant fish that were either fed to satiation or feed deprived for six weeks. The LepR mutants exhibited a hyperphagic phenotype, which led to heavier body weight, faster specific growth rate, increased viscero- and hepatosomatic indices, and greater condition factor. Muscle glycogen, plasma leptin, and leptin transcripts (lepa1) were also elevated in fed LepR mutant fish. Expression levels of several hypothalamic genes involved in feed regulation were analyzed (agrp, npy, orexin, cart-1, cart-2, pomc-a1, pomc-b). No differences were detected between fed WT and mutants except for pomc-b (proopiomelanocortin-b), where levels were 7.5-fold higher in LepR fed mutants, suggesting that pomc-b expression is regulated by leptin signaling. Fatty acid (FA) content did not statistically differ in muscle of fed mutant fish compared to WT. However, fasted mutants exhibited significantly lower muscle FA concentrations, suggesting that LepR mutants exhibit increased FA mobilization during fasting. These data demonstrate a key role for leptin signaling in lipid and energy mobilization in a teleost fish. Full article
Show Figures

Figure 1

16 pages, 590 KB  
Review
The Regulatory Role of the Central and Peripheral Serotonin Network on Feeding Signals in Metabolic Diseases
by Katsunori Nonogaki
Int. J. Mol. Sci. 2022, 23(3), 1600; https://doi.org/10.3390/ijms23031600 - 29 Jan 2022
Cited by 30 | Viewed by 6298
Abstract
Central and peripheral serotonin (5-hydroxytryptamine, 5-HT) regulate feeding signals for energy metabolism. Disruption of central 5-HT signaling via 5-HT2C receptors (5-HT2CRs) induces leptin-independent hyperphagia in mice, leading to late-onset obesity, insulin resistance, and impaired glucose tolerance. 5-HT2CR mutant mice are more responsive than [...] Read more.
Central and peripheral serotonin (5-hydroxytryptamine, 5-HT) regulate feeding signals for energy metabolism. Disruption of central 5-HT signaling via 5-HT2C receptors (5-HT2CRs) induces leptin-independent hyperphagia in mice, leading to late-onset obesity, insulin resistance, and impaired glucose tolerance. 5-HT2CR mutant mice are more responsive than wild-type mice to a high-fat diet, exhibiting earlier-onset obesity and type 2 diabetes. High-fat and high-carbohydrate diets increase plasma 5-HT and fibroblast growth factor-21 (FGF21) levels. Plasma 5-HT and FGF21 levels are increased in rodents and humans with obesity, type 2 diabetes, and non-alcohol fatty liver diseases (NAFLD). The increases in plasma FGF21 and hepatic FGF21 expression precede hyperinsulinemia, insulin resistance, hyperglycemia, and weight gain in mice fed a high-fat diet. Nutritional, pharmacologic, or genetic inhibition of peripheral 5-HT synthesis via tryptophan hydroxylase 1 (Tph1) decreases hepatic FGF21 expression and plasma FGF21 levels in mice. Thus, perturbing central 5-HT signaling via 5-HT2CRs alters feeding behavior. Increased energy intake via a high-fat diet and/or high-carbohydrate diet can upregulate gut-derived 5-HT synthesis via Tph1. Peripheral 5-HT upregulates hepatic FGF21 expression and plasma FGF21 levels, leading to metabolic diseases such as obesity, insulin resistance, type 2 diabetes, and NAFLD. The 5-HT network in the brain–gut–liver axis regulates feeding signals and may be involved in the development and/or prevention of metabolic diseases. Full article
(This article belongs to the Special Issue Serotonin Network and Energy Metabolism)
Show Figures

Figure 1

15 pages, 1989 KB  
Article
18:0 Lyso PC Derived by Bioactivity-Based Molecular Networking from Lentil Mutant Lines and Its Effects on High-Fat Diet-Induced Obese Mice
by Ah-Reum Han, Hae Ran Park, Geum Jin Kim, Bo-Ram Kim, Ye-Ram Kim, Hyeon Hwa Park, Jisu Park, Chang Hyun Jin, Jung Min Kim, Soon-Jae Kwon, Jin-Baek Kim, Shugeng Cao, Joo-Won Nam and Hyukjae Choi
Molecules 2021, 26(24), 7547; https://doi.org/10.3390/molecules26247547 - 13 Dec 2021
Cited by 6 | Viewed by 3442
Abstract
Lentil (Lens culinaris; Fabaceae), one of the major pulse crops in the world, is an important source of proteins, prebiotics, lipids, and essential minerals as well as functional components such as flavonoids, polyphenols, and phenolic acids. To improve crop nutritional and [...] Read more.
Lentil (Lens culinaris; Fabaceae), one of the major pulse crops in the world, is an important source of proteins, prebiotics, lipids, and essential minerals as well as functional components such as flavonoids, polyphenols, and phenolic acids. To improve crop nutritional and medicinal traits, hybridization and mutation are widely used in plant breeding research. In this study, mutant lentil populations were generated by γ-irradiation for the development of new cultivars by inducing genetic diversity. Molecular networking via Global Natural Product Social Molecular Networking web platform and dipeptidyl peptide-IV inhibitor screening assay were utilized as tools for structure-based discovery of active components in active mutant lines selected among the lentil population. The bioactivity-based molecular networking analysis resulted in the annotation of the molecular class of phosphatidylcholine (PC) from the most active mutant line. Among PCs, 1-stearoyl-2-hydroxy-sn-glycero-3-phosphocholine (18:0 Lyso PC) was selected for further in vivo study of anti-obesity effect in a high-fat diet (HFD)-induced obese mouse model. The administration of 18:0 Lyso PC not only prevented body weight gain and decreased relative gonadal adipose tissue weight, but also attenuated the levels of total cholesterol, triglycerides, low-density lipoprotein cholesterol, and leptin in the sera of HFD-induced obese mice. Additionally, 18:0 Lyso PC treatment inhibited the increase of adipocyte area and crown-like structures in adipose tissue. Therefore, these results suggest that 18:0 Lyso PC is a potential compound to have protective effects against obesity, improving obese phenotype induced by HFD. Full article
Show Figures

Figure 1

18 pages, 14341 KB  
Review
Leptin-Activity Modulators and Their Potential Pharmaceutical Applications
by Marianna Greco, Marzia De Santo, Alessandra Comandè, Emilia Lucia Belsito, Sebastiano Andò, Angelo Liguori and Antonella Leggio
Biomolecules 2021, 11(7), 1045; https://doi.org/10.3390/biom11071045 - 16 Jul 2021
Cited by 37 | Viewed by 7464
Abstract
Leptin, a multifunctional hormone primarily, but not exclusively, secreted in adipose tissue, is implicated in a wide range of biological functions that control different processes, such as the regulation of body weight and energy expenditure, reproductive function, immune response, and bone metabolism. In [...] Read more.
Leptin, a multifunctional hormone primarily, but not exclusively, secreted in adipose tissue, is implicated in a wide range of biological functions that control different processes, such as the regulation of body weight and energy expenditure, reproductive function, immune response, and bone metabolism. In addition, leptin can exert angiogenic and mitogenic actions in peripheral organs. Leptin biological activities are greatly related to its interaction with the leptin receptor. Both leptin excess and leptin deficiency, as well as leptin resistance, are correlated with different human pathologies, such as autoimmune diseases and cancers, making leptin and leptin receptor important drug targets. The development of leptin signaling modulators represents a promising strategy for the treatment of cancers and other leptin-related diseases. In the present manuscript, we provide an update review about leptin-activity modulators, comprising leptin mutants, peptide-based leptin modulators, as well as leptin and leptin receptor specific monoclonal antibodies and nanobodies. Full article
(This article belongs to the Special Issue Leptin and Beyond: Actors in Cancer)
Show Figures

Figure 1

24 pages, 3594 KB  
Article
Anti-Glucosylsphingosine Autoimmunity, JAK2V617F-Dependent Interleukin-1β and JAK2V617F-Independent Cytokines in Myeloproliferative Neoplasms
by Sophie Allain-Maillet, Adrien Bosseboeuf, Nicolas Mennesson, Mégane Bostoën, Laura Dufeu, Eun Ho Choi, Cédric Cleyrat, Olivier Mansier, Eric Lippert, Yannick Le Bris, Jean-Marc Gombert, François Girodon, Magali Pettazzoni, Edith Bigot-Corbel and Sylvie Hermouet
Cancers 2020, 12(9), 2446; https://doi.org/10.3390/cancers12092446 - 28 Aug 2020
Cited by 18 | Viewed by 4003
Abstract
Inflammatory cytokines play a major role in myeloproliferative neoplasms (MPNs) as regulators of the MPN clone and as mediators of clinical symptoms and complications. Firstly, we investigated the effect of JAK2V617F on 42 molecules linked to inflammation. For JAK2V617F-mutated patients, the [...] Read more.
Inflammatory cytokines play a major role in myeloproliferative neoplasms (MPNs) as regulators of the MPN clone and as mediators of clinical symptoms and complications. Firstly, we investigated the effect of JAK2V617F on 42 molecules linked to inflammation. For JAK2V617F-mutated patients, the JAK2V617F allele burden (%JAK2V617F) correlated with the levels of IL-1β, IL-1Rα, IP-10 and leptin in polycythemia vera (PV), and with IL-33 in ET; for all other molecules, no correlation was found. Cytokine production was also studied in the human megakaryocytic cell line UT-7. Wild-type UT-7 cells secreted 27/42 cytokines measured. UT-7 clones expressing 50% or 75% JAK2V617F were generated, in which the production of IL-1β, IP-10 and RANTES was increased; other cytokines were not affected. Secondly, we searched for causes of chronic inflammation in MPNs other than driver mutations. Since antigen-driven selection is increasingly implicated in the pathogenesis of blood malignancies, we investigated whether proinflammatory glucosylsphingosine (GlcSph) may play a role in MPNs. We report that 20% (15/75) of MPN patients presented with anti-GlcSph IgGs, distinguished by elevated levels of 11 cytokines. In summary, only IL-1β and IP-10 were linked to JAK2V617F both in patients and in UT-7 cells; other inflammation-linked cytokines in excess in MPNs were not. For subsets of MPN patients, a possible cause of inflammation may be auto-immunity against glucolipids. Full article
(This article belongs to the Special Issue New Insights into Myeloproliferative Neoplasms)
Show Figures

Figure 1

12 pages, 3041 KB  
Article
Development of a Modified Three-Day T-maze Protocol for Evaluating Learning and Memory Capacity of Adult Zebrafish
by Bui Thi Ngoc Hieu, Nguyen Thi Ngoc Anh, Gilbert Audira, Stevhen Juniardi, Rhenz Alfred D. Liman, Oliver B. Villaflores, Yu-Heng Lai, Jung-Ren Chen, Sung-Tzu Liang, Jong-Chin Huang and Chung-Der Hsiao
Int. J. Mol. Sci. 2020, 21(4), 1464; https://doi.org/10.3390/ijms21041464 - 21 Feb 2020
Cited by 47 | Viewed by 9699
Abstract
A T-maze test is an experimental approach that is used in congenital research. However, the food reward-based protocol for the T-maze test in fish has low efficiency and a long training period. The aim of this study is to facilitate the T-maze conditions [...] Read more.
A T-maze test is an experimental approach that is used in congenital research. However, the food reward-based protocol for the T-maze test in fish has low efficiency and a long training period. The aim of this study is to facilitate the T-maze conditions by using a combination of the principles of passive avoidance and a spatial memory test. In our modified T-maze settings, electric shock punishment (1–2 V, 0.3–0.5 mA) is given at the left arm, with a green cue at the right arm. Also, the depth of both arms of the T-maze was increased. The parameters measured in our T-maze design were latency, freezing time, and time spent in different areas of the T-maze. We validated the utility of our modified T-maze protocol by showing the consistent finding of memory impairment in ZnCl2−treated fish, which has been previously detected with the passive avoidance test. In addition, we also tested the spatial memory performance of leptin a (lepa) mutants which displayed an obesity phenotype. The results showed that although the learning and memory performance for lepa KO fish were similar to control fish, they displayed a higher freezing behavior during the training phase. In conclusion, we have established a modified T-maze protocol that can be used to evaluate the anxiety, learning, and memory capacity of adult zebrafish within three days, for the first time. Full article
(This article belongs to the Special Issue Zebrafish Models of Neurological Diseases and Disorders)
Show Figures

Figure 1

20 pages, 3461 KB  
Article
Differential Signaling Profiles of MC4R Mutations with Three Different Ligands
by Sarah Paisdzior, Ioanna Maria Dimitriou, Paul Curtis Schöpe, Paolo Annibale, Patrick Scheerer, Heiko Krude, Martin J. Lohse, Heike Biebermann and Peter Kühnen
Int. J. Mol. Sci. 2020, 21(4), 1224; https://doi.org/10.3390/ijms21041224 - 12 Feb 2020
Cited by 29 | Viewed by 7525
Abstract
The melanocortin 4 receptor (MC4R) is a key player in hypothalamic weight regulation and energy expenditure as part of the leptin–melanocortin pathway. Mutations in this G protein coupled receptor (GPCR) are the most common cause for monogenetic obesity, which appears to be mediated [...] Read more.
The melanocortin 4 receptor (MC4R) is a key player in hypothalamic weight regulation and energy expenditure as part of the leptin–melanocortin pathway. Mutations in this G protein coupled receptor (GPCR) are the most common cause for monogenetic obesity, which appears to be mediated by changes in the anorectic action of MC4R via GS-dependent cyclic adenosine-monophosphate (cAMP) signaling as well as other signaling pathways. To study potential bias in the effects of MC4R mutations between the different signaling pathways, we investigated three major MC4R mutations: a GS loss-of-function (S127L) and a GS gain-of-function mutant (H158R), as well as the most common European single nucleotide polymorphism (V103I). We tested signaling of all four major G protein families plus extracellular regulated kinase (ERK) phosphorylation and β-arrestin2 recruitment, using the two endogenous agonists, α- and β-melanocyte stimulating hormone (MSH), along with a synthetic peptide agonist (NDP-α-MSH). The S127L mutation led to a full loss-of-function in all investigated pathways, whereas V103I and H158R were clearly biased towards the Gq/11 pathway when challenged with the endogenous ligands. These results show that MC4R mutations can cause vastly different changes in the various MC4R signaling pathways and highlight the importance of a comprehensive characterization of receptor mutations. Full article
(This article belongs to the Special Issue Metabolic Reprogramming in Health and Disease)
Show Figures

Figure 1

13 pages, 3516 KB  
Article
Unraveling LMNA Mutations in Metabolic Syndrome: Cellular Phenotype and Clinical Pitfalls
by Camille Desgrouas, Alice-Anaïs Varlet, Anne Dutour, Damien Galant, Françoise Merono, Nathalie Bonello-Palot, Patrice Bourgeois, Adèle Lasbleiz, Cathy Petitjean, Patricia Ancel, Nicolas Levy, Catherine Badens and Bénédicte Gaborit
Cells 2020, 9(2), 310; https://doi.org/10.3390/cells9020310 - 28 Jan 2020
Cited by 16 | Viewed by 4085
Abstract
This study details the clinical and cellular phenotypes associated with two missense heterozygous mutations in LMNA, c.1745G>T p.(Arg582Leu), and c.1892G>A p.(Gly631Asp), in two patients with early onset of diabetes mellitus, hypertriglyceridemia and non-alcoholic fatty liver disease. In these two patients, subcutaneous adipose [...] Read more.
This study details the clinical and cellular phenotypes associated with two missense heterozygous mutations in LMNA, c.1745G>T p.(Arg582Leu), and c.1892G>A p.(Gly631Asp), in two patients with early onset of diabetes mellitus, hypertriglyceridemia and non-alcoholic fatty liver disease. In these two patients, subcutaneous adipose tissue was persistent, at least on the abdomen, and the serum leptin level remained in the normal range. Cellular studies showed elevated nuclear anomalies, an accelerated senescence rate and a decrease of replication capacity in patient cells. In cellular models, the overexpression of mutated prelamin A phenocopied misshapen nuclei, while the partial reduction of lamin A expression in patient cells significantly improved nuclear morphology. Altogether, these results suggest a link between lamin A mutant expression and senescence associated phenotypes. Transcriptome analysis of the whole subcutaneous adipose tissue from the two patients and three controls, paired for age and sex using RNA sequencing, showed the up regulation of genes implicated in immunity and the down regulation of genes involved in development and cell differentiation in patient adipose tissue. Therefore, our results suggest that some mutations in LMNA are associated with severe metabolic phenotypes without subcutaneous lipoatrophy, and are associated with nuclear misshaping. Full article
(This article belongs to the Collection Lamins and Laminopathies)
Show Figures

Figure 1

Back to TopTop