Study on the Function of Leptin Nutrient Acquisition and Energy Metabolism of Zebrafish (Danio rerio)
Abstract
1. Introduction
2. Results
2.1. Construction of Leptin Mutant in Zebrafish
2.2. Analysis of Growth Performance of Lepa−/− and Lepb−/− Mutants Under High-Glucose Diet Induction
2.3. Gene Expression Related to Appetite and Food Intake
2.4. Changes of Blood Physiological and Biochemical Related Indicators in Lepa−/− and Lepb−/− Zebrafish
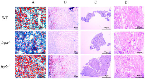
2.5. Lepa−/− and Lepb−/− Zebrafish Liver and Muscle Glycogen and Fat Contents
2.6. Expression Analysis of Genes Related to Glucose and Lipid Metabolism
3. Discussion
4. Materials and Methods
4.1. Acquisition of Mutants
4.2. High-Glucose Diet Feeding
4.3. Analysis of Growth Indices and Body Composition of Zebrafish
4.4. Sample and Biochemical Analyses
4.5. Statistics on Food Intake
4.6. Quantitative Real-Time PCR
4.7. Histological Analysis
4.8. Data Analysis
Supplementary Materials
Author Contributions
Funding
Institutional Review Board Statement
Informed Consent Statement
Data Availability Statement
Conflicts of Interest
References
- Schwingshackl, L.; Hoffmann, G.; Lampousi, A.-M.; Knüppel, S.; Iqbal, K.; Schwedhelm, C.; Bechthold, A.; Schlesinger, S.; Boeing, H. Food Groups and Risk of Type 2 Diabetes Mellitus: A Systematic Review and Meta-Analysis of Prospective Studies. Eur. J. Epidemiol. 2017, 32, 363–375. [Google Scholar] [CrossRef] [PubMed]
- Zhang, Y.; Proenca, R.; Maffei, M.; Barone, M.; Leopold, L.; Friedman, J.M. Positional Cloning of the Mouse Obese Gene and Its Human Homologue. Nature 1994, 372, 425–432. [Google Scholar] [CrossRef] [PubMed]
- Zou, G.; Zhang, Y.; Yu, L. Natural Selection and Adaptive Evolution of Leptin. Chin. Sci. Bull. 2013, 58, 2104–2112. [Google Scholar] [CrossRef]
- Gorissen, M.; Bernier, N.J.; Nabuurs, S.B.; Flik, G.; Huising, M.O. Two Divergent Leptin Paralogues in Zebrafish (Danio rerio) That Originate Early in Teleostean Evolution. J. Endocrinol. 2009, 201, 329–339. [Google Scholar] [CrossRef]
- Kurokawa, T.; Murashita, K. Genomic Characterization of Multiple Leptin Genes and a Leptin Receptor Gene in the Japanese Medaka, Oryzias Latipes. Gen. Comp. Endocrinol. 2009, 161, 229–237. [Google Scholar] [CrossRef] [PubMed]
- Angotzi, A.R.; Stefansson, S.O.; Nilsen, T.O.; Øvrebø, J.I.; Andersson, E.; Taranger, G.L.; Rønnestad, I. Identification of a Novel Leptin Receptor Duplicate in Atlantic Salmon: Expression Analyses in Different Life Stages and in Response to Feeding Status. Gen. Comp. Endocrinol. 2016, 235, 108–119. [Google Scholar] [CrossRef]
- Yuan, X.; Li, A.; Liang, X.-F.; Huang, W.; Song, Y.; He, S.; Cai, W.; Tao, Y. Leptin Expression in Mandarin Fish Siniperca Chuatsi (Basilewsky): Regulation by Postprandial and Short-Term Fasting Treatment. Comp. Biochem. Physiol. A Mol. Integr. Physiol. 2016, 194, 8–18. [Google Scholar] [CrossRef]
- On the Molecular Evolution of Leptin, Leptin Receptor, and Endospanin—PubMed. Available online: https://pubmed.ncbi.nlm.nih.gov/28443063/ (accessed on 21 September 2024).
- Glasauer, S.M.K.; Neuhauss, S.C.F. Whole-Genome Duplication in Teleost Fishes and Its Evolutionary Consequences. Mol. Genet. Genom. 2014, 289, 1045–1060. [Google Scholar] [CrossRef]
- Hotta, K.; Gustafson, T.A.; Ortmeyer, H.K.; Bodkin, N.L.; Nicolson, M.A.; Hansen, B.C. Regulation of Obese (Ob) mRNA and Plasma Leptin Levels in Rhesus Monkeys. Effects of Insulin, Body Weight, and Non-Insulin-Dependent Diabetes Mellitus. J. Biol. Chem. 1996, 271, 25327–25331. [Google Scholar] [CrossRef][Green Version]
- Hope, P.J.; Webb, G.C.; Lok, S.; Hope, R.M.; Turnbull, H.; Jelmberg, A.C.; Wittert, G.A. Cloning of Leptin cDNA and Assignment to the Long Arm of Chromosome 5 in the Marsupial Sminthopsis crassicaudata. Cytogenet. Cell Genet. 2000, 90, 22–29. [Google Scholar] [CrossRef]
- Paolucci, M.; Buono, S.; Sciarrillo, R.; Putti, R. Effects of Leptin Administration on the Endocrine Pancreas and Liver in the Lizard Podarcis Sicula. J. Exp. Zool. A Comp. Exp. Biol. 2006, 305, 383–395. [Google Scholar] [CrossRef] [PubMed]
- Kurokawa, T.; Uji, S.; Suzuki, T. Identification of cDNA Coding for a Homologue to Mammalian Leptin from Pufferfish, Takifugu Rubripes. Peptides 2005, 26, 745–750. [Google Scholar] [CrossRef]
- Murashita, K.; Uji, S.; Yamamoto, T.; Rønnestad, I.; Kurokawa, T. Production of Recombinant Leptin and Its Effects on Food Intake in Rainbow Trout (Oncorhynchus mykiss). Comp. Biochem. Physiol. B Biochem. Mol. Biol. 2008, 150, 377–384. [Google Scholar] [CrossRef]
- Rønnestad, I.; Nilsen, T.O.; Murashita, K.; Angotzi, A.R.; Gamst Moen, A.-G.; Stefansson, S.O.; Kling, P.; Thrandur Björnsson, B.; Kurokawa, T. Leptin and Leptin Receptor Genes in Atlantic Salmon: Cloning, Phylogeny, Tissue Distribution and Expression Correlated to Long-Term Feeding Status. Gen. Comp. Endocrinol. 2010, 168, 55–70. [Google Scholar] [CrossRef]
- Gong, N.; Einarsdottir, I.E.; Johansson, M.; Björnsson, B.T. Alternative Splice Variants of the Rainbow Trout Leptin Receptor Encode Multiple Circulating Leptin-Binding Proteins. Endocrinology 2013, 154, 2331–2340. [Google Scholar] [CrossRef] [PubMed]
- Zhang, H.; Chen, H.; Zhang, Y.; Li, S.; Lu, D.; Zhang, H.; Meng, Z.; Liu, X.; Lin, H. Molecular Cloning, Characterization and Expression Profiles of Multiple Leptin Genes and a Leptin Receptor Gene in Orange-Spotted Grouper (Epinephelus coioides). Gen. Comp. Endocrinol. 2013, 181, 295–305. [Google Scholar] [CrossRef] [PubMed]
- Shpilman, M.; Hollander-Cohen, L.; Ventura, T.; Gertler, A.; Levavi-Sivan, B. Production, Gene Structure and Characterization of Two Orthologs of Leptin and a Leptin Receptor in Tilapia. Gen. Comp. Endocrinol. 2014, 207, 74–85. [Google Scholar] [CrossRef]
- Ohga, H.; Matsumori, K.; Kodama, R.; Kitano, H.; Nagano, N.; Yamaguchi, A.; Matsuyama, M. Two Leptin Genes and a Leptin Receptor Gene of Female Chub Mackerel (Scomber japonicus): Molecular Cloning, Tissue Distribution and Expression in Different Obesity Indices and Pubertal Stages. Gen. Comp. Endocrinol. 2015, 222, 88–98. [Google Scholar] [CrossRef]
- Friedman, J.M. Leptin and the Endocrine Control of Energy Balance. Nat. Metab. 2019, 1, 754–764. [Google Scholar] [CrossRef]
- Schwartz, M.W.; Woods, S.C.; Porte, D.; Seeley, R.J.; Baskin, D.G. Central Nervous System Control of Food Intake. Nature 2000, 404, 661–671. [Google Scholar] [CrossRef]
- Cowley, M.A.; Smart, J.L.; Rubinstein, M.; Cerdán, M.G.; Diano, S.; Horvath, T.L.; Cone, R.D.; Low, M.J. Leptin Activates Anorexigenic POMC Neurons through a Neural Network in the Arcuate Nucleus. Nature 2001, 411, 480–484. [Google Scholar] [CrossRef]
- Baver, S.B.; Hope, K.; Guyot, S.; Bjørbaek, C.; Kaczorowski, C.; O’Connell, K.M.S. Leptin Modulates the Intrinsic Excitability of AgRP/NPY Neurons in the Arcuate Nucleus of the Hypothalamus. J. Neurosci. 2014, 34, 5486–5496. [Google Scholar] [CrossRef] [PubMed]
- Blanco, A.M.; Soengas, J.L. Leptin Signalling in Teleost Fish with Emphasis in Food Intake Regulation. Mol. Cell. Endocrinol. 2021, 526, 111209. [Google Scholar] [CrossRef] [PubMed]
- van de Pol, I.; Flik, G.; Gorissen, M. Comparative Physiology of Energy Metabolism: Fishing for Endocrine Signals in the Early Vertebrate Pool. Front. Endocrinol. 2017, 8, 36. [Google Scholar] [CrossRef]
- Morton, G.J.; Cummings, D.E.; Baskin, D.G.; Barsh, G.S.; Schwartz, M.W. Central Nervous System Control of Food Intake and Body Weight. Nature 2006, 443, 289–295. [Google Scholar] [CrossRef]
- Duan, J.; Choi, Y.-H.; Hartzell, D.; Della-Fera, M.A.; Hamrick, M.; Baile, C.A. Effects of Subcutaneous Leptin Injections on Hypothalamic Gene Profiles in Lean and ob/ob Mice. Obesity 2007, 15, 2624–2633. [Google Scholar] [CrossRef] [PubMed]
- Bakshi, A.; Singh, R.; Rai, U. Trajectory of Leptin and Leptin Receptor in Vertebrates: Structure, Function and Their Regulation. Comp. Biochem. Physiol. B Biochem. Mol. Biol. 2022, 257, 110652. [Google Scholar] [CrossRef]
- Minokoshi, Y.; Kim, Y.-B.; Peroni, O.D.; Fryer, L.G.D.; Müller, C.; Carling, D.; Kahn, B.B. Leptin Stimulates Fatty-Acid Oxidation by Activating AMP-Activated Protein Kinase. Nature 2002, 415, 339–343. [Google Scholar] [CrossRef]
- Lee, Y.; Yu, X.; Gonzales, F.; Mangelsdorf, D.J.; Wang, M.-Y.; Richardson, C.; Witters, L.A.; Unger, R.H. PPAR Alpha Is Necessary for the Lipopenic Action of Hyperleptinemia on White Adipose and Liver Tissue. Proc. Natl. Acad. Sci. USA 2002, 99, 11848–11853. [Google Scholar] [CrossRef]
- Gallardo, N.; Bonzón-Kulichenko, E.; Fernández-Agulló, T.; Moltó, E.; Gómez-Alonso, S.; Blanco, P.; Carrascosa, J.M.; Ros, M.; Andrés, A. Tissue-Specific Effects of Central Leptin on the Expression of Genes Involved in Lipid Metabolism in Liver and White Adipose Tissue. Endocrinology 2007, 148, 5604–5610. [Google Scholar] [CrossRef]
- Buettner, C.; Muse, E.D.; Cheng, A.; Chen, L.; Scherer, T.; Pocai, A.; Su, K.; Cheng, B.; Li, X.; Harvey-White, J.; et al. Leptin Controls Adipose Tissue Lipogenesis via Central, STAT3-Independent Mechanisms. Nat. Med. 2008, 14, 667–675. [Google Scholar] [CrossRef] [PubMed]
- Pelleymounter, M.A.; Cullen, M.J.; Baker, M.B.; Hecht, R.; Winters, D.; Boone, T.; Collins, F. Effects of the Obese Gene Product on Body Weight Regulation in Ob/Ob Mice. Science 1995, 269, 540–543. [Google Scholar] [CrossRef] [PubMed]
- Del Vecchio, G.; Murashita, K.; Verri, T.; Gomes, A.S.; Rønnestad, I. Leptin Receptor-Deficient (Knockout) Zebrafish: Effects on Nutrient Acquisition. Gen. Comp. Endocrinol. 2021, 310, 113832. [Google Scholar] [CrossRef] [PubMed]
- de Pedro, N.; Martínez-Alvarez, R.; Delgado, M.J. Acute and Chronic Leptin Reduces Food Intake and Body Weight in Goldfish (Carassius auratus). J. Endocrinol. 2006, 188, 513–520. [Google Scholar] [CrossRef]
- Aguilar, A.J.; Conde-Sieira, M.; Polakof, S.; Míguez, J.M.; Soengas, J.L. Central Leptin Treatment Modulates Brain Glucosensing Function and Peripheral Energy Metabolism of Rainbow Trout. Peptides 2010, 31, 1044–1054. [Google Scholar] [CrossRef]
- Yuan, X.-C.; Liang, X.-F.; Cai, W.-J.; Li, A.-X.; Huang, D.; He, S. Differential Roles of Two Leptin Gene Paralogues on Food Intake and Hepatic Metabolism Regulation in Mandarin Fish. Front. Endocrinol. 2020, 11, 438. [Google Scholar] [CrossRef] [PubMed]
- Clark, J.T.; Kalra, P.S.; Crowley, W.R.; Kalra, S.P. Neuropeptide Y and Human Pancreatic Polypeptide Stimulate Feeding Behavior in Rats. Endocrinology 1984, 115, 427–429. [Google Scholar] [CrossRef]
- Stanley, B.G.; Leibowitz, S.F. Neuropeptide Y Injected in the Paraventricular Hypothalamus: A Powerful Stimulant of Feeding Behavior. Proc. Natl. Acad. Sci. USA 1985, 82, 3940–3943. [Google Scholar] [CrossRef]
- Shutter, J.R.; Graham, M.; Kinsey, A.C.; Scully, S.; Lüthy, R.; Stark, K.L. Hypothalamic Expression of ART, a Novel Gene Related to Agouti, Is up-Regulated in Obese and Diabetic Mutant Mice. Genes Dev. 1997, 11, 593–602. [Google Scholar] [CrossRef]
- Ahima, R.S.; Flier, J.S. Leptin. Annu. Rev. Physiol. 2000, 62, 413–437. [Google Scholar] [CrossRef]
- Beck, B. Neuropeptide Y in Normal Eating and in Genetic and Dietary-Induced Obesity. Philos. Trans. R. Soc. Lond. B Biol. Sci. 2006, 361, 1159–1185. [Google Scholar] [CrossRef] [PubMed]
- Park, H.-K.; Ahima, R.S. Physiology of Leptin: Energy Homeostasis, Neuroendocrine Function and Metabolism. Metabolism 2015, 64, 24–34. [Google Scholar] [CrossRef] [PubMed]
- Münzberg, H.; Singh, P.; Heymsfield, S.B.; Yu, S.; Morrison, C.D. Recent Advances in Understanding the Role of Leptin in Energy Homeostasis. F1000Research 2020, 9, F1000 Faculty Rev-451. [Google Scholar] [CrossRef]
- Song, Y.; Golling, G.; Thacker, T.L.; Cone, R.D. Agouti-Related Protein (AGRP) Is Conserved and Regulated by Metabolic State in the Zebrafish, Danio rerio. Endocrine 2003, 22, 257–265. [Google Scholar] [CrossRef]
- Yokobori, E.; Azuma, M.; Nishiguchi, R.; Kang, K.S.; Kamijo, M.; Uchiyama, M.; Matsuda, K. Neuropeptide Y Stimulates Food Intake in the Zebrafish, Danio rerio. J. Neuroendocrinol. 2012, 24, 766–773. [Google Scholar] [CrossRef] [PubMed]
- Opazo, R.; Plaza-Parrochia, F.; Cardoso Dos Santos, G.R.; Carneiro, G.R.A.; Sardela, V.F.; Romero, J.; Valladares, L. Fasting Upregulates Npy, Agrp, and Ghsr Without Increasing Ghrelin Levels in Zebrafish (Danio rerio) Larvae. Front. Physiol. 2018, 9, 1901. [Google Scholar] [CrossRef]
- Londraville, R.L.; Duvall, C.S. Murine Leptin Injections Increase Intracellular Fatty Acid-Binding Protein in Green Sunfish (Lepomis cyanellus). Gen. Comp. Endocrinol. 2002, 129, 56–62. [Google Scholar] [CrossRef] [PubMed]
- Douros, J.D.; Baltzegar, D.A.; Reading, B.J.; Seale, A.P.; Lerner, D.T.; Grau, E.G.; Borski, R.J. Leptin Stimulates Cellular Glycolysis Through a STAT3 Dependent Mechanism in Tilapia. Front. Endocrinol. 2018, 9, 465. [Google Scholar] [CrossRef] [PubMed]
- Rui, L. Energy Metabolism in the Liver. Compr. Physiol. 2014, 4, 177–197. [Google Scholar] [CrossRef]
- Lebovics, E.; Rubin, J. Non-Alcoholic Fatty Liver Disease (NAFLD): Why You Should Care, When You Should Worry, What You Should Do. Diabetes Metab. Res. Rev. 2011, 27, 419–424. [Google Scholar] [CrossRef]
- Chen, G.; Koyama, K.; Yuan, X.; Lee, Y.; Zhou, Y.T.; O’Doherty, R.; Newgard, C.B.; Unger, R.H. Disappearance of Body Fat in Normal Rats Induced by Adenovirus-Mediated Leptin Gene Therapy. Proc. Natl. Acad. Sci. USA 1996, 93, 14795–14799. [Google Scholar] [CrossRef] [PubMed]
- Sarmiento, U.; Benson, B.; Kaufman, S.; Ross, L.; Qi, M.; Scully, S.; DiPalma, C. Morphologic and Molecular Changes Induced by Recombinant Human Leptin in the White and Brown Adipose Tissues of C57BL/6 Mice. Lab. Investig. 1997, 77, 243–256. [Google Scholar] [PubMed]
- Frühbeck, G.; Aguado, M.; Martínez, J.A. In Vitro Lipolytic Effect of Leptin on Mouse Adipocytes: Evidence for a Possible Autocrine/Paracrine Role of Leptin. Biochem. Biophys. Res. Commun. 1997, 240, 590–594. [Google Scholar] [CrossRef]
- Siegrist-Kaiser, C.A.; Pauli, V.; Juge-Aubry, C.E.; Boss, O.; Pernin, A.; Chin, W.W.; Cusin, I.; Rohner-Jeanrenaud, F.; Burger, A.G.; Zapf, J.; et al. Direct Effects of Leptin on Brown and White Adipose Tissue. J. Clin. Investig. 1997, 100, 2858–2864. [Google Scholar] [CrossRef] [PubMed]
- Wu, K.; Tan, X.-Y.; Xu, Y.-H.; Chen, Q.-L.; Pan, Y.-X. JAK and STAT Members of Yellow Catfish Pelteobagrus Fulvidraco and Their Roles in Leptin Affecting Lipid Metabolism. Gen. Comp. Endocrinol. 2016, 226, 14–26. [Google Scholar] [CrossRef]
- Liu, C.-Z.; He, A.-Y.; Ning, L.-J.; Luo, Y.; Li, D.-L.; Zhang, M.-L.; Chen, L.-Q.; Du, Z.-Y. Leptin Selectively Regulates Nutrients Metabolism in Nile Tilapia Fed on High Carbohydrate or High Fat Diet. Front. Endocrinol. 2018, 9, 574. [Google Scholar] [CrossRef]
- Michel, M.; Page-McCaw, P.S.; Chen, W.; Cone, R.D. Leptin Signaling Regulates Glucose Homeostasis, but Not Adipostasis, in the Zebrafish. Proc. Natl. Acad. Sci. USA 2016, 113, 3084–3089. [Google Scholar] [CrossRef]
- Audira, G.; Sarasamma, S.; Chen, J.-R.; Juniardi, S.; Sampurna, B.P.; Liang, S.-T.; Lai, Y.-H.; Lin, G.-M.; Hsieh, M.-C.; Hsiao, C.-D. Zebrafish Mutants Carrying Leptin a (Lepa) Gene Deficiency Display Obesity, Anxiety, Less Aggression and Fear, and Circadian Rhythm and Color Preference Dysregulation. Int. J. Mol. Sci. 2018, 19, 4038. [Google Scholar] [CrossRef]
- Fischer-Posovszky, P.; von Schnurbein, J.; Moepps, B.; Lahr, G.; Strauss, G.; Barth, T.F.; Kassubek, J.; Mühleder, H.; Möller, P.; Debatin, K.-M.; et al. A New Missense Mutation in the Leptin Gene Causes Mild Obesity and Hypogonadism without Affecting T Cell Responsiveness. J. Clin. Endocrinol. Metab. 2010, 95, 2836–2840. [Google Scholar] [CrossRef]
- Ramsay, T.G.; Bush, J.A.; McMurtry, J.P.; Thivierge, M.C.; Davis, T.A. Peripheral Leptin Administration Alters Hormone and Metabolite Levels in the Young Pig. Comp. Biochem. Physiol. A Mol. Integr. Physiol. 2004, 138, 17–25. [Google Scholar] [CrossRef]
- Yang, B.-Y.; Zhai, G.; Gong, Y.-L.; Su, J.-Z.; Peng, X.-Y.; Shang, G.-H.; Han, D.; Jin, J.-Y.; Liu, H.-K.; Du, Z.-Y.; et al. Different Physiological Roles of Insulin Receptors in Mediating Nutrient Metabolism in Zebrafish. Am. J. Physiol. Endocrinol. Metab. 2018, 315, E38–E51. [Google Scholar] [CrossRef] [PubMed]
- GB 5009.3-2016; National Food Safety Standard, Determination of Moisture in Food. National Health Commission of the People’s Republic of China: Beijing, China, 2016.
- GB 5009.4-2016; National Food Safety Standard, Determination of Ash Content in Food. National Health Commission of the People’s Republic of China: Beijing, China, 2016.
- GB 5009.5-2016; National Food Safety Standard, Determination of Protein in Food. National Health Commission of the People’s Republic of China: Beijing, China, 2016.
- GB 5009.6-2016; National Food Safety Standard, Determination of Fat in Food. National Health Commission of the People’s Republic of China: Beijing, China, 2016.







| Variable | Genotype | ||
|---|---|---|---|
| wt | Lepa−/− | Lepb−/− | |
| Initial weight (IW), g | 0.2136 ± 0.0023 | 0.2118 ± 0.0031 | 0.2111 ± 0.0035 |
| Final weight (FW), g | 0.4588 ± 0.0028 a | 0.5020 ± 0.0022 b | 0.4969 ± 0.0013 b |
| Weight-gain rate (WGR) % | 1.2613 ± 1.408 a | 1.3718 ±3.406 b | 1.3551 ±4.015 b |
| Viscera-somatic index (VSI), % | 8.44± 0.167 | 7.97± 0.129 | 8.73± 0.120 |
| Hepato-somatic index (HSI), % | 2.30 ± 0.0017 | 2.07± 0.0012 | 2.42± 0.0012 |
| Mesenteric fat index (MFI), % | 0.84 ± 0.013 b | 0.72 ± 0.014 a | 1.26 ± 0.018 c |
| Moisture, % | 68.53 ± 0.496 | 68.87 ± 0.392 | 69.52 ± 0.386 |
| Crude protein, %DM | 46.91± 0.750 a | 49.18± 0.521 a | 50.74± 0.180 b |
| Crude fat, %DM | 28.73 ± 0.692 b | 25.75 ± 0.649 a | 36.29 ± 0.401 c |
| Ash, %DM | 10.00 | 9.90 | 10.24 |
Disclaimer/Publisher’s Note: The statements, opinions and data contained in all publications are solely those of the individual author(s) and contributor(s) and not of MDPI and/or the editor(s). MDPI and/or the editor(s) disclaim responsibility for any injury to people or property resulting from any ideas, methods, instructions or products referred to in the content. |
© 2024 by the authors. Licensee MDPI, Basel, Switzerland. This article is an open access article distributed under the terms and conditions of the Creative Commons Attribution (CC BY) license (https://creativecommons.org/licenses/by/4.0/).
Share and Cite
Wu, J.; Zhuang, W.; Lu, K.; Zhang, L.; Wang, Y.; Chai, F.; Liang, X.-F. Study on the Function of Leptin Nutrient Acquisition and Energy Metabolism of Zebrafish (Danio rerio). Int. J. Mol. Sci. 2024, 25, 11647. https://doi.org/10.3390/ijms252111647
Wu J, Zhuang W, Lu K, Zhang L, Wang Y, Chai F, Liang X-F. Study on the Function of Leptin Nutrient Acquisition and Energy Metabolism of Zebrafish (Danio rerio). International Journal of Molecular Sciences. 2024; 25(21):11647. https://doi.org/10.3390/ijms252111647
Chicago/Turabian StyleWu, Jiaqi, Wuyuan Zhuang, Ke Lu, Lixin Zhang, Yuye Wang, Farui Chai, and Xu-Fang Liang. 2024. "Study on the Function of Leptin Nutrient Acquisition and Energy Metabolism of Zebrafish (Danio rerio)" International Journal of Molecular Sciences 25, no. 21: 11647. https://doi.org/10.3390/ijms252111647
APA StyleWu, J., Zhuang, W., Lu, K., Zhang, L., Wang, Y., Chai, F., & Liang, X.-F. (2024). Study on the Function of Leptin Nutrient Acquisition and Energy Metabolism of Zebrafish (Danio rerio). International Journal of Molecular Sciences, 25(21), 11647. https://doi.org/10.3390/ijms252111647
