Sign in to use this feature.

Years

Between: -

Subjects

remove_circle_outline
remove_circle_outline
remove_circle_outline
remove_circle_outline

Journals

Article Types

Countries / Regions

Search Results (9)

Search Parameters:
Keywords = high-grade pancreatic intraepithelial neoplasia

Order results
Result details
Results per page
Select all
Export citation of selected articles as:
9 pages, 1785 KB  
Article
Immunohistochemical Demonstration of Tuft Cells in Human Acinar-to-Ductal Metaplasia and Pancreatic Intraepithelial Neoplasia
by Kensuke Nakanishi, Mitsuaki Ishida, Kohei Taniguchi, Kenta Hosomi, Jun Arima, Atsushi Tomioka, Mitsuhiro Asakuma, Yoshiharu Miyamoto, Ko Fujimori, Yoshinobu Hirose and Sang-Woong Lee
Biomedicines 2025, 13(8), 1944; https://doi.org/10.3390/biomedicines13081944 - 8 Aug 2025
Viewed by 855
Abstract
Background/Objectives: Acinar-to-ductal metaplasia (ADM) refers to the dedifferentiation or transdifferentiation of pancreatic acinar cells. Recently, ADM has received considerable attention as a potential precursor of pancreatic tumours. Previous studies in mouse models identified tuft cells, chemosensory epithelial cells, in ADM and pancreatic [...] Read more.
Background/Objectives: Acinar-to-ductal metaplasia (ADM) refers to the dedifferentiation or transdifferentiation of pancreatic acinar cells. Recently, ADM has received considerable attention as a potential precursor of pancreatic tumours. Previous studies in mouse models identified tuft cells, chemosensory epithelial cells, in ADM and pancreatic intraepithelial neoplasia (PanIN), both considered precursor lesions of pancreatic ductal adenocarcinoma (PDAC), but not in PDAC. We examined the presence of tuft cells in human ADM and PanIN. Methods: We analysed tissue samples from 29 patients (16 women, 13 men; median age 74 years) who underwent surgical resection for pancreatic tumours. Immunohistochemical staining for the tuft cell marker, POU2F3, was used to detect tuft cells in ADM and PanIN lesions. Results: ADM was present in all patients. POU2F3-positive tuft cells were observed in 46.4% of ADM lesions (327/705) but not in normal pancreatic acini. The number of POU2F3-positive tuft cells per PanIN area were significantly higher in low-grade PanIN (median, 2 cells; range, 0–20 positive cells) than in high-grade PanIN (median, 0 cell; range 0–4 positive cells) (p = 0.0050). The percentage of POU2F3-positive tuft cells per total cells in low-grade PanIN lesions (median, 1.1%; range 0–2.5%) was also significantly higher than that in high-grade PanIN lesions (median, 0%; range 0–1.1%) (p = 0.0044). Conclusions: Our results suggest that tuft cells emerge in human pancreatic acini during ADM, possibly as part of tissue repair following injury. Full article
(This article belongs to the Section Cell Biology and Pathology)
Show Figures

Figure 1

8 pages, 1432 KB  
Case Report
Stage II Pancreatic Adenocarcinoma after Endovascular Repair of Abdominal Aortic Aneurysm: A Case Report and Literature Review
by Zihuan Zhang, Duo Li, Tianxiao Wang, Heyuan Niu, Wenquan Niu and Zhiying Yang
J. Clin. Med. 2023, 12(2), 443; https://doi.org/10.3390/jcm12020443 - 5 Jan 2023
Cited by 1 | Viewed by 2300
Abstract
Backgrounds: Concomitant abdominal aortic aneurysms (AAA) and gastrointestinal malignancies are uncommon. Endovascular repair (EVAR) is widely used to treat AAA. However, no consensus exists on the optimal strategy for treating AAA when associated with pancreatic adenocarcinoma. In addition, only few reports of pancreaticoduodenectomy [...] Read more.
Backgrounds: Concomitant abdominal aortic aneurysms (AAA) and gastrointestinal malignancies are uncommon. Endovascular repair (EVAR) is widely used to treat AAA. However, no consensus exists on the optimal strategy for treating AAA when associated with pancreatic adenocarcinoma. In addition, only few reports of pancreaticoduodenectomy (PD) after EVAR exist. Presentation of case: A pancreatic tumor was detected during follow-up after EVAR for AAA in an 83-year-old female patient. The diagnosis was high-grade intraepithelial neoplasia. Modified pylorus-preserving pancreaticoduodenectomy was safely performed. The patient recovered moderately and was discharged two weeks after surgery. The pathological diagnosis was middle-grade pancreatic ductal adenocarcinoma. The patient survived for 24 months with no recurrence or cardiovascular complications. Conclusions: Conducting periodic follow-ups after AAA surgery is helpful for the early discovery of gastrointestinal tumors. EVAR surgery is safe and feasible and thus recommended for AAA patients with pancreatic cancer, although it may increase the risk of cancer. The stage of malignancy and post-EVAR medical history can be valuable in evaluating the benefits of pancreatic surgery for such cases. Full article
(This article belongs to the Special Issue Surgery for Pancreatic Cancer)
Show Figures

Figure 1

11 pages, 421 KB  
Article
Preneoplastic Lesions in Surgical Specimens Do Not Worsen the Prognosis of Patients Who Underwent Surgery for Pancreatic Adenocarcinoma: Post-Hoc Analysis of the PRODIGE 24-CCTG PA 6 Trial
by Théo Legrand, Julia Salleron, Thierry Conroy, Frédéric Marchal, Jacques Thomas, Laure Monard, James Jim Biagi and Aurélien Lambert
Cancers 2022, 14(16), 3945; https://doi.org/10.3390/cancers14163945 - 16 Aug 2022
Cited by 4 | Viewed by 2480
Abstract
Objective: The prognosis of pancreatic cancer after curative surgery is burdened by frequent recurrence. The aim of this study was to evaluate the impact of dysplasia in the surgical specimen on disease-free survival (DFS). Methods: A post-hoc analysis of the phase III PRODIGE [...] Read more.
Objective: The prognosis of pancreatic cancer after curative surgery is burdened by frequent recurrence. The aim of this study was to evaluate the impact of dysplasia in the surgical specimen on disease-free survival (DFS). Methods: A post-hoc analysis of the phase III PRODIGE 24-CCTG PA 6 trial was performed. From April 2012 to October 2016, 493 patients were included in the primary study. Assessment for dysplasia in the surgical specimens was secondarily performed. Dysplasia was defined based on presence and grade of three most common pre-malignant lesions (intraductal papillary mucinous neoplasm (IPMN), mucinous cystic neoplasm (MCN) and pancreatic intraepithelial neoplasia (PanIN). The primary endpoint was DFS validated through multivariate analysis. Results: Two hundred twenty-six patients (45.9%) had a preneoplastic lesion. PanIN lesions were found in 193 patients (39.2%), including 100 high-grade lesions (20.6%); 43 patients had IPMN lesions (8.7%), including high-grade lesions in 32 (6.5%). Three MCN were described (0.6%). In bivariate analysis, the presence of dysplasia was not associated with poorer DFS (HR = 0.82, 95% CI [0.66; 1.03]). In multivariate analysis, risk factors for poorer DFS were poorly differentiated/undifferentiated tumor, N1 status, R1 surgical margins and perineural invasion. Conclusions: The presence of dysplasia in the surgical specimen after pancreatic cancer surgery does not worsen DFS. Full article
Show Figures

Figure 1

27 pages, 3993 KB  
Article
Inflammation and Wasting of Skeletal Muscles in Kras-p53-Mutant Mice with Intraepithelial Neoplasia and Pancreatic Cancer—When Does Cachexia Start?
by Wulf Hildebrandt, Jan Keck, Simon Schmich, Gabriel A. Bonaterra, Beate Wilhelm, Hans Schwarzbach, Anna Eva, Mirjam Bertoune, Emily P. Slater, Volker Fendrich and Ralf Kinscherf
Cells 2022, 11(10), 1607; https://doi.org/10.3390/cells11101607 - 11 May 2022
Cited by 7 | Viewed by 4025
Abstract
Skeletal muscle wasting critically impairs the survival and quality of life in patients with pancreatic ductal adenocarcinoma (PDAC). To identify the local factors initiating muscle wasting, we studied inflammation, fiber cross-sectional area (CSA), composition, amino acid metabolism and capillarization, as well as the [...] Read more.
Skeletal muscle wasting critically impairs the survival and quality of life in patients with pancreatic ductal adenocarcinoma (PDAC). To identify the local factors initiating muscle wasting, we studied inflammation, fiber cross-sectional area (CSA), composition, amino acid metabolism and capillarization, as well as the integrity of neuromuscular junctions (NMJ, pre-/postsynaptic co-staining) and mitochondria (electron microscopy) in the hindlimb muscle of LSL-KrasG12D/+; LSL-TrP53R172H/+; Pdx1-Cre mice with intraepithelial-neoplasia (PanIN) 1-3 and PDAC, compared to wild-type mice (WT). Significant decreases in fiber CSA occurred with PDAC but not with PanIN 1-3, compared to WT: These were found in the gastrocnemius (type 2x: −20.0%) and soleus (type 2a: −21.0%, type 1: −14.2%) muscle with accentuation in the male soleus (type 2a: −24.8%, type 1: −17.4%) and female gastrocnemius muscle (−29.6%). Significantly higher densities of endomysial CD68+ and cyclooxygenase-2+ (COX2+) cells were detected in mice with PDAC, compared to WT mice. Surprisingly, CD68+ and COX2+ cell densities were also higher in mice with PanIN 1-3 in both muscles. Significant positive correlations existed between muscular and hepatic CD68+ or COX2+ cell densities. Moreover, in the gastrocnemius muscle, suppressor-of-cytokine-3 (SOCS3) expressions was upregulated >2.7-fold with PanIN 1A-3 and PDAC. The intracellular pools of proteinogenic amino acids and glutathione significantly increased with PanIN 1A-3 compared to WT. Capillarization, NMJ, and mitochondrial ultrastructure remained unchanged with PanIN or PDAC. In conclusion, the onset of fiber atrophy coincides with the manifestation of PDAC and high-grade local (and hepatic) inflammatory infiltration without compromised microcirculation, innervation or mitochondria. Surprisingly, muscular and hepatic inflammation, SOCS3 upregulation and (proteolytic) increases in free amino acids and glutathione were already detectable in mice with precancerous PanINs. Studies of initial local triggers and defense mechanisms regarding cachexia are warranted for targeted anti-inflammatory prevention. Full article
(This article belongs to the Special Issue Cancer-Induced Cachexia)
Show Figures

Figure 1

12 pages, 614 KB  
Article
Diagnostic Strategy of Early Stage Pancreatic Cancer via Clinical Predictor Assessment: Clinical Indicators, Risk Factors and Imaging Findings
by Ryota Sagami, Takao Sato, Kazuhiro Mizukami, Mitsuteru Motomura, Kazuhisa Okamoto, Satoshi Fukuchi, Yuichiro Otsuka, Takashi Abe, Hideki Ono, Kei Mori, Kurato Wada, Tomoyuki Iwaki, Hidefumi Nishikiori, Koichi Honda, Yuji Amano and Kazunari Murakami
Diagnostics 2022, 12(2), 377; https://doi.org/10.3390/diagnostics12020377 - 1 Feb 2022
Cited by 10 | Viewed by 4350
Abstract
Early detection of pancreatic ductal adenocarcinoma (PDAC) in the general population is difficult due to unknown clinical characteristics. This study was conducted to clarify the factors associated with early stage PDAC. Well-known symptoms and factors associated with PDAC were classified into clinical indicators, [...] Read more.
Early detection of pancreatic ductal adenocarcinoma (PDAC) in the general population is difficult due to unknown clinical characteristics. This study was conducted to clarify the factors associated with early stage PDAC. Well-known symptoms and factors associated with PDAC were classified into clinical indicators, risk factors, and imaging findings concomitant with early stage PDAC. To analyze these factors for the detection of patients with early stage PDAC compared to patients without PDAC, we constructed new diagnostic strategies. The factors of 35 patients with early stage PDAC (stage 0 and IA) and 801 patients without PDAC were compared retrospectively. Clinical indicators; presence and number of indicators, elevated pancreatic enzyme level, tumor biomarker level, acute pancreatitis history, risk factors; familial pancreatic cancer, diabetes mellitus, smoking history, imaging findings; presence and number of findings, and main pancreatic duct dilation were significant factors for early stage PDAC detection. A new screening strategy to select patients who should be examined by imaging modalities from evaluating clinical indicators and risk factors and approaching a definitive diagnosis by evaluating imaging findings had a relatively high sensitivity, specificity, and areas under the curve of 80.0%, 80.8%, and 0.80, respectively. Diagnosis based on the new category and strategy may be reasonable for early stage PDAC detection. Full article
(This article belongs to the Special Issue Diagnosis of Pancreatic Cancer)
Show Figures

Figure 1

16 pages, 1437 KB  
Article
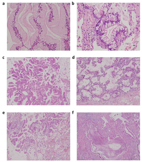
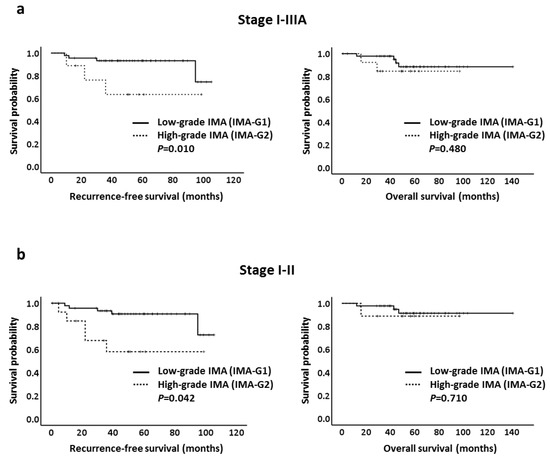
Clinicopathological Features and Survival Outcomes of Primary Pulmonary Invasive Mucinous Adenocarcinoma
by Chien-Hung Gow, Min-Shu Hsieh, Yi-Nan Liu, Yi-Hsuan Lee and Jin-Yuan Shih
Cancers 2021, 13(16), 4103; https://doi.org/10.3390/cancers13164103 - 15 Aug 2021
Cited by 21 | Viewed by 4788
Abstract
Pulmonary invasive mucinous adenocarcinoma (IMA) has unique histological patterns. This study aimed to comprehensively evaluate the clinicopathological features, prognosis, and survival outcomes of IMAs. We retrospectively identified 77 patients with pulmonary IMA and reviewed their clinical and pathological features. Another 520 patients with [...] Read more.
Pulmonary invasive mucinous adenocarcinoma (IMA) has unique histological patterns. This study aimed to comprehensively evaluate the clinicopathological features, prognosis, and survival outcomes of IMAs. We retrospectively identified 77 patients with pulmonary IMA and reviewed their clinical and pathological features. Another 520 patients with non-IMA-type ADC were retrieved for comparison with patients with IMA. A new two-tier grading system (high-grade and low-grade IMAs) modified from the pancreatic intraepithelial neoplasia classification system was used for survival analyses. Compared to patients with non-IMA-type ADC, patients with IMA tended to have never smoked (p = 0.01) and had early-stage IMA at initial diagnosis (p < 0.001). For stage I–II diseases, the five-year overall survival (OS) rates were 76% in IMAs and 50% in non-IMA-type ADCs, and a longer OS was observed in patients with IMA (p = 0.002). KRAS mutations were the most commonly detected driver mutations, which occurred in 12 of the 28 (43%) patients. High-grade IMAs were associated with a shorter recurrence-free survival (RFS) for stage I–IIIA diseases (p = 0.010) than low-grade IMAs but not for OS. In conclusion, patients with stage I and II IMA had better OS than those with non-IMA-type ADC. A new two-tier grading system might be useful for predicting RFS in stage I–IIIA IMAs. Full article
(This article belongs to the Section Cancer Therapy)
Show Figures

Figure 1

22 pages, 12666 KB  
Review
Pre-Operative Imaging and Pathological Diagnosis of Localized High-Grade Pancreatic Intra-Epithelial Neoplasia without Invasive Carcinoma
by Ryota Sagami, Kentaro Yamao, Jun Nakahodo, Ryuki Minami, Masakatsu Tsurusaki, Kazunari Murakami and Yuji Amano
Cancers 2021, 13(5), 945; https://doi.org/10.3390/cancers13050945 - 24 Feb 2021
Cited by 33 | Viewed by 5628
Abstract
Pancreatic ductal adenocarcinoma (PDAC) arises from precursor lesions, such as pancreatic intra-epithelial neoplasia (PanIN) and intraductal papillary mucinous neoplasm (IPMN). The prognosis of high-grade precancerous lesions, including high-grade PanIN and high-grade IPMN, without invasive carcinoma is good, despite the overall poor prognosis of [...] Read more.
Pancreatic ductal adenocarcinoma (PDAC) arises from precursor lesions, such as pancreatic intra-epithelial neoplasia (PanIN) and intraductal papillary mucinous neoplasm (IPMN). The prognosis of high-grade precancerous lesions, including high-grade PanIN and high-grade IPMN, without invasive carcinoma is good, despite the overall poor prognosis of PDAC. High-grade PanIN, as a lesion preceding invasive PDAC, is therefore a primary target for intervention. However, detection of localized high-grade PanIN is difficult when using standard radiological approaches. Therefore, most studies of high-grade PanIN have been conducted using specimens that harbor invasive PDAC. Recently, imaging characteristics of high-grade PanIN have been revealed. Obstruction of the pancreatic duct due to high-grade PanIN may induce a loss of acinar cells replaced by fibrosis and lobular parenchymal atrophy. These changes and additional inflammation around the branch pancreatic ducts (BPDs) result in main pancreatic duct (MPD) stenosis, dilation, retention cysts (BPD dilation), focal pancreatic parenchymal atrophy, and/or hypoechoic changes around the MPD. These indirect imaging findings have become important clues for localized, high-grade PanIN detection. To obtain pre-operative histopathological confirmation of suspected cases, serial pancreatic-juice aspiration cytologic examination is effective. In this review, we outline current knowledge on imaging characteristics of high-grade PanIN. Full article
(This article belongs to the Special Issue Advances in Pancreatic Cancer Imaging)
Show Figures

Figure 1

16 pages, 327 KB  
Review
Intraductal Pancreatic Mucinous Neoplasms: A Tumor-Biology Based Approach for Risk Stratification
by Vincenzo Nasca, Marta Chiaravalli, Geny Piro, Annachiara Esposito, Lisa Salvatore, Giampaolo Tortora, Vincenzo Corbo and Carmine Carbone
Int. J. Mol. Sci. 2020, 21(17), 6386; https://doi.org/10.3390/ijms21176386 - 2 Sep 2020
Cited by 16 | Viewed by 4583
Abstract
Pancreatic ductal adenocarcinoma is one of the most lethal human cancers. Its precursor lesions include pancreatic intra-epithelial neoplasia, mucinous cystic neoplasm, and intraductal papillary mucinous neoplasm (IPMN). IPMNs usually present as an incidental finding at imaging in 2.6% of the population and, according [...] Read more.
Pancreatic ductal adenocarcinoma is one of the most lethal human cancers. Its precursor lesions include pancreatic intra-epithelial neoplasia, mucinous cystic neoplasm, and intraductal papillary mucinous neoplasm (IPMN). IPMNs usually present as an incidental finding at imaging in 2.6% of the population and, according to the degree of dysplasia, they are classified as low- or high-grade lesions. Since the risk of malignant transformation is not accurately predictable, the management of these lesions is based on morphological and clinical parameters, such as presence of mural nodule, main pancreatic duct dilation, presence of symptoms, or high-grade dysplasia. Although the main genetic alterations associated to IPMNs have been elucidated, they are still not helpful for disease risk stratification. The growing body of genomic and epigenomic studies along with the more recent development of organotypic cultures provide the opportunity to improve our understanding of the malignant transformation process, which will likely deliver biomarkers to help discriminate between low- and high-risk lesions. Recent insights on the topic are herein summarized. Full article
(This article belongs to the Special Issue Pancreatic Ductal Adenocarcinoma: Precursors and Variants)
12 pages, 3656 KB  
Article
Early Detection of Pancreatic Intraepithelial Neoplasias (PanINs) in Transgenic Mouse Model by Hyperpolarized 13C Metabolic Magnetic Resonance Spectroscopy
by Prasanta Dutta, Susana Castro Pando, Marilina Mascaro, Erick Riquelme, Michelle Zoltan, Niki M. Zacharias, Seth T. Gammon, David Piwnica-Worms, Mark D. Pagel, Subrata Sen, Anirban Maitra, Shayan Shams, Florencia McAllister and Pratip K. Bhattacharya
Int. J. Mol. Sci. 2020, 21(10), 3722; https://doi.org/10.3390/ijms21103722 - 25 May 2020
Cited by 13 | Viewed by 5105
Abstract
While pancreatic cancer (PC) survival rates have recently shown modest improvement, the disease remains largely incurable. Early detection of pancreatic cancer may result in improved outcomes and therefore, methods for early detection of cancer, even premalignant lesions, may provide more favorable outcomes. Pancreatic [...] Read more.
While pancreatic cancer (PC) survival rates have recently shown modest improvement, the disease remains largely incurable. Early detection of pancreatic cancer may result in improved outcomes and therefore, methods for early detection of cancer, even premalignant lesions, may provide more favorable outcomes. Pancreatic intraepithelial neoplasias (PanINs) have been identified as premalignant precursor lesions to pancreatic cancer. However, conventional imaging methods used for screening high-risk populations do not have the sensitivity to detect PanINs. Here, we have employed hyperpolarized metabolic imaging in vivo and nuclear magnetic resonance (1H-NMR) metabolomics ex vivo to identify and understand metabolic changes, towards enabling detection of early PanINs and progression to advanced PanINs lesions that precede pancreatic cancer formation. Progression of disease from tissue containing predominantly low-grade PanINs to tissue with high-grade PanINs showed a decreasing alanine/lactate ratio from high-resolution NMR metabolomics ex vivo. Hyperpolarized magnetic resonance spectroscopy (HP-MRS) allows over 10,000-fold sensitivity enhancement relative to conventional magnetic resonance. Real-time HP-MRS was employed to measure non-invasively changes of alanine and lactate metabolites with disease progression and in control mice in vivo, following injection of hyperpolarized [1-13C] pyruvate. The alanine-to-lactate signal intensity ratio was found to decrease as the disease progressed from low-grade PanINs to high-grade PanINs. The biochemical changes of alanine transaminase (ALT) and lactate dehydrogenase (LDH) enzyme activity were assessed. These results demonstrate that there are significant alterations of ALT and LDH activities during the transformation from early to advanced PanINs lesions. Furthermore, we demonstrate that real-time conversion kinetic rate constants (kPA and kPL) can be used as metabolic imaging biomarkers of pancreatic premalignant lesions. Findings from this emerging HP-MRS technique can be translated to the clinic for detection of pancreatic premalignant lesion in high-risk populations. Full article
Show Figures

Figure 1

Back to TopTop