Sign in to use this feature.

Years

Between: -

Subjects

remove_circle_outline
remove_circle_outline
remove_circle_outline
remove_circle_outline

Journals

Article Types

Countries / Regions

Search Results (11)

Search Parameters:
Keywords = endocapillary hypercellularity

Order results
Result details
Results per page
Select all
Export citation of selected articles as:
15 pages, 637 KB  
Review
Intraglomerular Inflammation as a Guide for Mycophenolate Mofetil-Based Treatment in IgA Nephropathy
by Christodoulos Keskinis, Panagiotis Pateinakis and Maria Stangou
Diagnostics 2025, 15(16), 2101; https://doi.org/10.3390/diagnostics15162101 - 20 Aug 2025
Viewed by 1039
Abstract
IgA nephropathy (IgAN) is the most prevalent primary glomerulonephritis worldwide, with a heterogeneous clinical course that may progress to end-stage kidney disease (ESKD) in approximately 20% of patients. Despite recent advances, including the U.S. Food and Drug Administration (FDA) approval of three novel [...] Read more.
IgA nephropathy (IgAN) is the most prevalent primary glomerulonephritis worldwide, with a heterogeneous clinical course that may progress to end-stage kidney disease (ESKD) in approximately 20% of patients. Despite recent advances, including the U.S. Food and Drug Administration (FDA) approval of three novel agents, optimal therapeutic strategies remain uncertain, and access to new drugs is often limited. This underscores the need to evaluate established and widely available options such as mycophenolate mofetil (MMF). The aim of this review is to critically assess the role of MMF, either as monotherapy or in combination with systemic corticosteroids, in the treatment of IgAN based on evidence cited in the KDIGO 2024 Draft Guidelines. We analyzed seven major clinical studies—five randomized controlled trials and two long-term observational studies—with particular focus on the influence of histological activity on treatment outcomes. The Oxford classification was applied to explore whether specific histological variables correlate with prognosis and predict treatment response. Trials conducted in Chinese cohorts demonstrated significant benefits of MMF, including proteinuria reduction, delayed progression to ESKD, and improved long-term renal outcomes, particularly in patients with recent disease onset and active proliferative lesions such as endocapillary hypercellularity and crescent formation. In contrast, studies from Western populations generally failed to demonstrate comparable benefit possibly due to differences in disease chronicity, histopathological patterns, and genetic background. Overall, MMF appears most effective when initiated early and in patients with histologic evidence of intraglomerular inflammation. It may represent a viable steroid-sparing option in appropriately selected patients, particularly where access to newly approved agents is restricted. These population- and pathology-based differences highlight the need for individualized treatment decisions and further research to refine the therapeutic role of MMF in IgAN. Full article
(This article belongs to the Special Issue Advances in Nephrology)
Show Figures

Figure 1

10 pages, 2900 KB  
Case Report
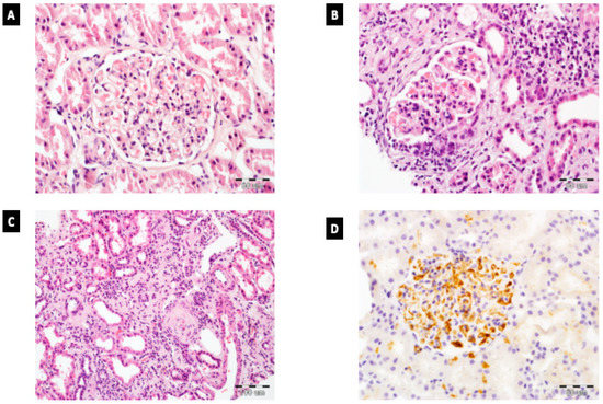
Successful Management of C3 Glomerulopathy Recurrence Post-Kidney Transplantation with Iptacopan: A Case Report
by Dario Troise, Barbara Infante, Silvia Mercuri, Michele Rossini, Loreto Gesualdo and Giovanni Stallone
Int. J. Mol. Sci. 2025, 26(11), 5053; https://doi.org/10.3390/ijms26115053 - 24 May 2025
Cited by 1 | Viewed by 925
Abstract
C3 glomerulopathy (C3G) is the predominant cause of complement-mediated membranoproliferative glomerulonephritis and is considered a rare disorder caused by genetic or acquired dysregulation of the alternative complement pathway. There are no established treatment guidelines for treating kidney-transplanted recipients with C3G recurrence, as they [...] Read more.
C3 glomerulopathy (C3G) is the predominant cause of complement-mediated membranoproliferative glomerulonephritis and is considered a rare disorder caused by genetic or acquired dysregulation of the alternative complement pathway. There are no established treatment guidelines for treating kidney-transplanted recipients with C3G recurrence, as they are already on immunosuppressive protocols. Furthermore, non-complement-specific immunosuppressive drugs appear to offer limited benefits for patients with C3G in native kidneys. Therefore, modulating the complement system appears to be the most effective strategy for this specific patient population. We describe the use of Iptacopan in a 38-year-old kidney-transplanted patient with C3G recurrence. Iptacopan was associated with a significant and striking improvement in the patient’s clinical and laboratories status. A follow-up kidney biopsy performed 5 months after the initiation of Iptacopan revealed a reduction in endocapillary, extracapillary and mesangial hypercellularity, along with a decreased extent of parietal proteinaceous deposits observed on light microscopy. The direct control of the complement dysregulation underlying the pathogenesis of C3G with Iptacopan was accompanied by improvements in clinical, laboratory and histological features, with demonstrated reduced disease activity and slowed disease progression. Therefore, the case report described is intended to shed light on the potential role of new AP complement blockers in the treatment of C3G. Full article
(This article belongs to the Special Issue The Innate Immune System in Renal Diseases)
Show Figures

Figure 1

20 pages, 11346 KB  
Article
Pomegranate Juice Alleviates Preeclampsia Symptoms in an L-NAME-Induced Rat Model: A Dose-Dependent Study
by Sasitorn Kerdsuknirund, Atcharaporn Thaeomor, Pakanit Kupittayanant, Panida Khunkaewla, Suthida Chanlun, Rungrudee Srisawat, Pattama Tongdee, Porntip Nimkuntod and Sajeera Kupittayanant
Nutrients 2025, 17(7), 1143; https://doi.org/10.3390/nu17071143 - 26 Mar 2025
Viewed by 1186
Abstract
Objective: This study aimed to evaluate the dose-dependent therapeutic effects of pomegranate juice on preeclampsia symptoms using an L-NAME-induced rat model. Methods: Pregnant rats (n = 5/group) were assigned to a negative control group or groups receiving L-NAME to induce [...] Read more.
Objective: This study aimed to evaluate the dose-dependent therapeutic effects of pomegranate juice on preeclampsia symptoms using an L-NAME-induced rat model. Methods: Pregnant rats (n = 5/group) were assigned to a negative control group or groups receiving L-NAME to induce preeclampsia, with pomegranate juice administered at low, medium, and high doses from gestation day 7 to 20. Maternal parameters, including body weight, systolic blood pressure, urinary protein, and sFlt-1 levels, were monitored. Kidney and placental histology were assessed on gestation day 20. Results: L-NAME successfully induced preeclampsia symptoms, including significant maternal weight gain, hypertension, proteinuria, and increased sFlt-1 levels. Pomegranate juice administration alleviated these symptoms in a dose-dependent manner. High doses significantly prevented weight gain from gestation day 14, reduced the systolic blood pressure from gestation day 16, and lowered proteinuria and the sFlt-1 levels by gestation day 18, achieving values comparable to those of normal pregnant controls. Medium doses showed a moderate improvement, particularly in later gestational stages, while low doses had minimal effects. Pomegranate juice also enhanced placental health by increasing the labyrinth depth and reducing endocapillary hypercellularity, contributing to higher fetal and placental birth weights. The dose–response analysis indicated that the kidneys exhibited a stronger response to pomegranate juice than the placenta, suggesting different sensitivity thresholds. Conclusions: Pomegranate juice alleviates preeclampsia symptoms in a dose-dependent manner, significantly improving maternal weight regulation, blood pressure, and proteinuria. The therapeutic effects of pomegranate juice are attributed to its high phenolic content, which reduces sFlt-1 and improves placental function. These findings support pomegranate juice as a potential natural intervention for preeclampsia management. Full article
(This article belongs to the Section Nutrition and Metabolism)
Show Figures

Figure 1

11 pages, 2155 KB  
Article
Colocalization of IgG and IgA Heavy Chains with Kappa and Lambda Light Chains in Glomerular Deposits of IgA Nephropathy Patients Using High-Resolution Confocal Microscopy and Correlation with Oxford MEST-C Scores
by Dana V. Rizk, Lea Novak, Stacy D. Hall, Zina Moldoveanu, Bruce A. Julian, Jan Novak and Mark Haas
J. Clin. Med. 2023, 12(23), 7361; https://doi.org/10.3390/jcm12237361 - 28 Nov 2023
Cited by 9 | Viewed by 2157
Abstract
Routine immunofluorescence microscopy of glomerular immunodeposits in IgA nephropathy shows IgA, C3, and lambda light chains, and sometimes IgG, IgM, and kappa light chains. However, a previous study using high-resolution confocal microscopy showed IgG in all IgA nephropathy cases, likely representing autoantibodies specific [...] Read more.
Routine immunofluorescence microscopy of glomerular immunodeposits in IgA nephropathy shows IgA, C3, and lambda light chains, and sometimes IgG, IgM, and kappa light chains. However, a previous study using high-resolution confocal microscopy showed IgG in all IgA nephropathy cases, likely representing autoantibodies specific for galactose-deficient IgA1. Here, we used high-resolution confocal microscopy to examine the composition of glomerular immunodeposits and colocalization of kappa and lambda light chains with IgA or IgG heavy chains in kidney-biopsy samples from twenty patients with IgA nephropathy, seventeen without IgG, and nine with no or trace kappa light chains by routine immunofluorescence microscopy. IgG was detected in all biopsies by high-resolution confocal microscopy. Single-optical-plane images showed similar colocalization of IgG heavy chains with kappa and lambda light chains. Colocalization of IgA heavy chains was greater with lambda light chains than with kappa light chains. Colocalization of IgG heavy chain with kappa light chains was higher than with lambda light chains in biopsies with endocapillary hypercellularity and crescents, i.e., biopsies with active lesions. We confirmed the utility of high-resolution confocal microscopy to detect components of glomerular immunodeposits not apparent on routine immunofluorescence microscopy and for colocalization of different components, potentially clarifying the pathogenesis of IgA nephropathy. Full article
Show Figures

Figure 1

11 pages, 1767 KB  
Article
Associations between Biomarkers of Complement Activation, Galactose-Deficient IgA1 Antibody and the Updated Oxford Pathology Classification of IgA Nephropathy
by Yun-Ting Juan, Wen-Chih Chiang, Wei-Chou Lin, Cheng-Wen Yang, San-Fang Chou, Ruo-Wei Hung and Yen-Ling Chiu
J. Clin. Med. 2022, 11(14), 4231; https://doi.org/10.3390/jcm11144231 - 21 Jul 2022
Cited by 8 | Viewed by 2498
Abstract
Our prior study indicates a close relationship between alternative complement pathway activation, galactose-deficient IgA1 (Gd-IgA1) concentration and clinical severity of IgA nephropathy (IgAN). Nonetheless, the relationship between complement factors and the updated Oxford classification of IgAN remains unclear. This study enrolled eighty-four previously [...] Read more.
Our prior study indicates a close relationship between alternative complement pathway activation, galactose-deficient IgA1 (Gd-IgA1) concentration and clinical severity of IgA nephropathy (IgAN). Nonetheless, the relationship between complement factors and the updated Oxford classification of IgAN remains unclear. This study enrolled eighty-four previously untreated, biopsy-diagnosed IgAN patients. The clinical and laboratory findings were collected at the time of biopsy. Plasma levels of complement factor C5a, factor Ba and Gd-IgA1 were measured and analyzed. It was found that the levels of proteinuria positively correlated with the updated Oxford classification of mesangial hypercellularity (M), endocapillary hypercellularity (E), tubular atrophy/interstitial fibrosis (T) and crescents (C). In addition, plasma Gd-IgA1 titer was significantly elevated in IgAN patients with tubular atrophy/interstitial fibrosis (T). In separate multivariable logistic regression models, both Gd-IgA1 and factor Ba independently predict higher T scores. The results indicate that both the levels of Gd-IgA1 antibody and biomarkers of the alternative complement pathway activation reflect the Oxford classification of IgAN. Whether these biomarkers can be used to guide therapeutic decisions requires further study. Full article
(This article belongs to the Section Nephrology & Urology)
Show Figures

Figure 1

16 pages, 2531 KB  
Article
Change of Renal Gallium Uptake Correlated with Change of Inflammation Activity in Renal Pathology in Lupus Nephritis Patients
by Tsu-Yi Hsieh, Yi-Ching Lin, Wei-Ting Hung, Yi-Ming Chen, Mei-Chin Wen, Hsin-Hua Chen, Wan-Yu Lin, Chia-Wei Hsieh, Ching-Tsai Lin, Kuo-Lung Lai, Kuo-Tung Tang, Chih-Wei Tseng, Wen-Nan Huang, Yi-Hsing Chen, Shih-Chuan Tsai and Yi-Da Wu
J. Clin. Med. 2021, 10(20), 4654; https://doi.org/10.3390/jcm10204654 - 11 Oct 2021
Cited by 1 | Viewed by 3399
Abstract
Background: Lupus nephritis (LN) often lead to end-stage renal disease in systemic lupus erythematosus patients. This study aimed to investigate the clinical application of renal gallium-67 scans for determining renal histological parameters in LN patients. Methods: Between 2006 and 2018, 237 biopsy-proven and [...] Read more.
Background: Lupus nephritis (LN) often lead to end-stage renal disease in systemic lupus erythematosus patients. This study aimed to investigate the clinical application of renal gallium-67 scans for determining renal histological parameters in LN patients. Methods: Between 2006 and 2018, 237 biopsy-proven and 35 repeat biopsies LN patients who underwent renal gallium scans before or after biopsy were included for analysis. The classification and scoring of LN were assessed according to the International Society of Nephrology/Renal Pathology Society. A delayed 48-h gallium scan was performed and interpreted by semiquantitative methods using left kidney/spine (K/S) ratio. The renal histological results were compared with gallium uptake. Results: Out of 237 participants, 180 (76%) had proliferative LN. Baseline gallium left K/S ratio was significantly higher in class IV LN as compared to class III (median (interquartile range, IQR): 1.16 (1.0–1.3), 0.95 (0.9–1.1), respectively, p < 0.001). Furthermore, changes in gallium uptake between two biopsies were positively correlated with changes activity index (r = 0.357, p = 0.035), endocapillary hypercellularity (r = 0.385, p = 0.032), and neutrophils infiltration (r = 0.390, p = 0.030) in renal pathology. Conclusions: Renal gallium uptake is associated with active inflammation in LN. Changes in renal gallium uptake positively correlated with changes in activity index in renal pathology. Full article
(This article belongs to the Special Issue Systemic Lupus Erythematosus: Pathogenesis, Diagnosis and Treatment)
Show Figures

Figure 1

12 pages, 723 KB  
Article
Clinical and Histopathological Factors Influencing IgA Nephropathy Outcome
by Andrzej Konieczny, Piotr Donizy, Tomasz Gołębiowski, Andrzej Tukiendorf, Agnieszka Hałoń, Mariusz Kusztal, Hanna Augustyniak-Bartosik and Magdalena Krajewska
Diagnostics 2021, 11(10), 1764; https://doi.org/10.3390/diagnostics11101764 - 25 Sep 2021
Cited by 11 | Viewed by 3044
Abstract
IgA nephropathy (IgAN) is the most frequent primary glomerulonephritis worldwide. Due to its heterogenicity, there is a need to establish robust biomarkers for IgAN, to support treatment decisions and evaluate the risk of progression to end-stage renal disease. Using both clinical and histopathological [...] Read more.
IgA nephropathy (IgAN) is the most frequent primary glomerulonephritis worldwide. Due to its heterogenicity, there is a need to establish robust biomarkers for IgAN, to support treatment decisions and evaluate the risk of progression to end-stage renal disease. Using both clinical and histopathological data, derived from renal biopsies, we aimed to find predictors of renal function deterioration and proteinuria reduction. Clinical and histopathological data of 80 patients with biopsy proven IgAN were analyzed. In a multivariate logarithmic regression model, the presence of endocapillary hypercellularity (E1) predicted a decline in estimated glomerular filtration rate (eGFR)of at least 50% with an odds ratio (OR) of 15.2, whereas serum albumin concentration had a negative influence on eGFR deterioration (OR 0.2). In the second multivariate model, the extent of interstitial fibrosis predicted the worsening of eGFR by 50% (OR 1.1) and serum albumin concentration had a protective impact (OR 0.1). In the univariate logarithmic regression, both the extent of interstitial fibrosis and the presence of endocapillary hypercellularity negatively correlated with the reduction in proteinuria below 1.0 g/24 h with an OR of 0.2 and 0.9, respectively. In our paper, we confirmed the utility of histopathological variables, especially endocapillary hypercellularity and interstitial fibrosis, and clinical parameters, particularly serum albumin concentration, in the prediction of both a decline in eGFR and a reduction in proteinuria in IgA nephropathy. Full article
(This article belongs to the Section Point-of-Care Diagnostics and Devices)
Show Figures

Figure 1

12 pages, 1693 KB  
Article
Comparative Long-Term Renal Allograft Outcomes of Recurrent Immunoglobulin A with Severe Activity in Kidney Transplant Recipients with and without Rituximab: An Observational Cohort Study
by Wiwat Chancharoenthana, Asada Leelahavanichkul, Wassawon Ariyanon, Somratai Vadcharavivad and Weerapong Phumratanaprapin
J. Clin. Med. 2021, 10(17), 3939; https://doi.org/10.3390/jcm10173939 - 31 Aug 2021
Cited by 9 | Viewed by 2595
Abstract
Recurrent IgA nephropathy (IgAN) remains an important cause of allograft loss in renal transplantation. Due to the limited efficacy of corticosteroid in the treatment of recurrent glomerulonephritis, rituximab was used in kidney transplant (KT) recipients with severe recurrent IgAN. A retrospective cohort study [...] Read more.
Recurrent IgA nephropathy (IgAN) remains an important cause of allograft loss in renal transplantation. Due to the limited efficacy of corticosteroid in the treatment of recurrent glomerulonephritis, rituximab was used in kidney transplant (KT) recipients with severe recurrent IgAN. A retrospective cohort study was conducted between January 2015 and December 2020. Accordingly, there were 64 KT recipients with biopsy-proven recurrent IgAN with similar baseline characteristics that were treated with the conventional standard therapy alone (controls, n = 43) or together with rituximab (cases, n = 21). All of the recipients had glomerular endocapillary hypercellularity and proteinuria (>1 g/d) with creatinine clearance (CrCl) > 30 mL/min/1.73 m2 and well-controlled blood pressure using renin–angiotensin–aldosterone blockers. The treatment outcomes were renal allograft survival rate, proteinuria, and post-treatment allograft pathology. During 3.8 years of follow-up, the rituximab-based regimen rapidly decreased proteinuria within 12 months after rituximab administration and maintained renal allograft function—the primary endpoint—for approximately 3 years. There were eight recipients in the case group (38%), and none in the control group reached a complete remission (proteinuria < 250 mg/d) at 12 months after treatment. Notably, renal allograft histopathology from patients with rituximab-based regimen showed the less severe endocapillary hypercellularity despite the remaining strong IgA deposition. In conclusion, adjunctive treatment with rituximab potentially demonstrated favorable outcomes for treatment of recurrent severe IgAN post-KT as demonstrated by proteinuria reduction and renal allograft function in our cohort. Further in-depth mechanistic studies with the longer follow-up periods are recommended. Full article
(This article belongs to the Special Issue Infections, Complications and Management of Kidney Transplantation)
Show Figures

Figure 1

14 pages, 1255 KB  
Article
Maximum Glomerular Diameter and Oxford MEST-C Score in IgA Nephropathy: The Significance of Time-Series Changes in Pseudo-R2 Values in Relation to Renal Outcomes
by Hiroshi Kataoka, Takahito Moriyama, Shun Manabe, Keiko Kawachi, Yusuke Ushio, Saki Watanabe, Taro Akihisa, Shiho Makabe, Masayo Sato, Naomi Iwasa, Yukako Sawara, Mamiko Ohara, Sekiko Taneda, Keiko Uchida, Kazuho Honda, Toshio Mochizuki, Ken Tsuchiya and Kosaku Nitta
J. Clin. Med. 2019, 8(12), 2105; https://doi.org/10.3390/jcm8122105 - 2 Dec 2019
Cited by 12 | Viewed by 4965
Abstract
The progression of immunoglobulin A nephropathy (IgAN) is currently assessed using the Oxford MEST-C score, which uses five indicators (mesangial and endocapillary hypercellularity, segmental sclerosis, interstitial fibrosis/tubular atrophy, and the presence of crescents) but has not yet included any risk factors related to [...] Read more.
The progression of immunoglobulin A nephropathy (IgAN) is currently assessed using the Oxford MEST-C score, which uses five indicators (mesangial and endocapillary hypercellularity, segmental sclerosis, interstitial fibrosis/tubular atrophy, and the presence of crescents) but has not yet included any risk factors related to glomerular size. Therefore, we tested whether adding another indicator, maximal glomerular diameter (Max GD), would improve the prognostic ability of this scoring system. The data of 101 adult patients diagnosed with IgAN between March 2002 and September 2004 were reviewed. We used McFadden’s pseudo-R2 and the corrected Akaike information criterion to assess model fit and the concordance (C)-statistic to assess discriminatory ability. A 10 μm increase in Max GD was significantly associated with a composite outcome (≥50% decline in the estimated glomerular filtration rate or end-stage renal disease). The receiver operating characteristic analysis determined the cut-off for high vs. low Max GD at 245.9 μm, and adding high Max GD to the MEST-C score significantly improved the model’s discrimination of renal outcomes at 5 and ≥10 years. Thus, including the Max GD in the Oxford classification of IgAN might increase its robustness and provide a more comprehensive prognostic system for clinical settings. Full article
(This article belongs to the Section Nephrology & Urology)
Show Figures

Figure 1

14 pages, 540 KB  
Review
Podocyte Injury in Lupus Nephritis
by Hamza Sakhi, Anissa Moktefi, Khedidja Bouachi, Vincent Audard, Carole Hénique, Philippe Remy, Mario Ollero and Khalil El Karoui
J. Clin. Med. 2019, 8(9), 1340; https://doi.org/10.3390/jcm8091340 - 29 Aug 2019
Cited by 54 | Viewed by 7646
Abstract
Systemic lupus erythematosus (SLE) is characterized by a broad spectrum of renal lesions. In lupus glomerulonephritis, histological classifications are based on immune-complex (IC) deposits and hypercellularity lesions (mesangial and/or endocapillary) in the glomeruli. However, there is compelling evidence to suggest that glomerular epithelial [...] Read more.
Systemic lupus erythematosus (SLE) is characterized by a broad spectrum of renal lesions. In lupus glomerulonephritis, histological classifications are based on immune-complex (IC) deposits and hypercellularity lesions (mesangial and/or endocapillary) in the glomeruli. However, there is compelling evidence to suggest that glomerular epithelial cells, and podocytes in particular, are also involved in glomerular injury in patients with SLE. Podocytes now appear to be not only subject to collateral damage due to glomerular capillary lesions secondary to IC and inflammatory processes, but they are also a potential direct target in lupus nephritis. Improvements in our understanding of podocyte injury could improve the classification of lupus glomerulonephritis. Indeed, podocyte injury may be prominent in two major presentations: lupus podocytopathy and glomerular crescent formation, in which glomerular parietal epithelial cells play also a key role. We review here the contribution of podocyte impairment to different presentations of lupus nephritis, focusing on the podocyte signaling pathways involved in these lesions. Full article
Show Figures

Figure 1

9 pages, 646 KB  
Article
IgA nephropathy clinicopathologic study following the Oxford classification: Progression peculiarities and gender-related differences
by Živile Riispere, Arvydas Laurinavičius, Anne Kuudeberg, Elviira Seppet, Kristin Sepp, Madis Ilmoja, Merike Luman, Külli Kõlvald, Asta Auerbach and Mai Ots-Rosenberg
Medicina 2016, 52(6), 340-348; https://doi.org/10.1016/j.medici.2016.11.003 - 22 Nov 2016
Cited by 24 | Viewed by 1362
Abstract
Background and aim: Immunoglobulin A nephropathy (IgAN) is the most frequent glomerular disease worldwide and one of the main causes of chronic kidney disease. We aimed to investigate clinicopathological correlations in IgAN patients by gender.
Materials and methods: The study was based on [...] Read more.
Background and aim: Immunoglobulin A nephropathy (IgAN) is the most frequent glomerular disease worldwide and one of the main causes of chronic kidney disease. We aimed to investigate clinicopathological correlations in IgAN patients by gender.
Materials and methods: The study was based on a retrospective analysis of renal biopsy data and clinical manifestations of the disease. Consecutive 73 biopsy-proven IgAN cases of male (62%) and female (38%) patients were investigated. Renal biopsies were reviewed using the new Oxford classification assessing the MEST (mesangial hypercellularity, endocapillary hypercellularity, segmental sclerosis/adhesion, tubular atrophy/interstitial fibrosis) score. The most powerful IgAN prognostic risk factors, morphological (segmental glomerulosclerosis and tubular atrophy/interstitial fibrosis) as well as clinical (proteinuria and hypertension) were taken into account in the correlation analysis. The mean rate of renal function decline was expressed as a slope of eGFR during the follow-up (FU) dividing delta GFR with the FU years.
Results: The mean age of the patients was 33.7 years (range, 16–76). Follow-up data were available for 64 patients with the mean follow-up of 4.1 years. The mean proteinuria at biopsy was 0.79 g/24 h. The mean arterial pressure (MAP) was 94.5 ± 16.7 mmHg and 7% of the patients were hypertensive. The initial mean estimated glomerular filtration rate (eGFR) was 94.9 ± 30.7 mL/min, at the end of the follow-up it was 86.2 ± 27.1 mL/min. The mean rate of renal function decline was −3.4 ± 11.9 mL/min/1.73 m2 per year in males (P < 0.05) and −0.7 ± 5.3 mL/min/1.73 m2 per year in females. The Spearman correlation analysis confirmed a higher MEST score in the whole cohort and in males correlated with disease progression. In patients with proteinuria below 1.0 g/24 h, disease progression was faster in males.
Conclusions: According to the correlation analysis of the main prognostic risk factors, affecting the progression of IgAN, we can conclude that IgA nephropathy in males progresses more rapidly compared to females. Full article
Back to TopTop