Sign in to use this feature.

Years

Between: -

Subjects

remove_circle_outline
remove_circle_outline
remove_circle_outline
remove_circle_outline

Journals

Article Types

Countries / Regions

Search Results (10)

Search Parameters:
Keywords = drug targets/oncoprotein and tumor suppressor drug targets

Order results
Result details
Results per page
Select all
Export citation of selected articles as:
22 pages, 1620 KB  
Review
Tumor Suppressor MicroRNAs in Clinical and Preclinical Trials for Neurological Disorders
by Austin Lui, Timothy Do, Omar Alzayat, Nina Yu, Su Phyu, Hillary Joy Santuya, Benjamin Liang, Vidur Kailash, Dewey Liu, Sabra S. Inslicht, Kiarash Shahlaie and DaZhi Liu
Pharmaceuticals 2024, 17(4), 426; https://doi.org/10.3390/ph17040426 - 27 Mar 2024
Cited by 5 | Viewed by 3743
Abstract
Cancers and neurological disorders are two major types of diseases in humans. We developed the concept called the “Aberrant Cell Cycle Disease (ACCD)” due to the accumulating evidence that shows that two different diseases share the common mechanism of aberrant cell cycle re-entry. [...] Read more.
Cancers and neurological disorders are two major types of diseases in humans. We developed the concept called the “Aberrant Cell Cycle Disease (ACCD)” due to the accumulating evidence that shows that two different diseases share the common mechanism of aberrant cell cycle re-entry. The aberrant cell cycle re-entry is manifested as kinase/oncoprotein activation and tumor suppressor (TS) inactivation, which are associated with both tumor growth in cancers and neuronal death in neurological disorders. Therefore, some cancer therapies (e.g., kinase/oncogene inhibition and TS elevation) can be leveraged for neurological treatments. MicroRNA (miR/miRNA) provides a new style of drug-target binding. For example, a single tumor suppressor miRNA (TS-miR/miRNA) can bind to and decrease tens of target kinases/oncogenes, producing much more robust efficacy to block cell cycle re-entry than inhibiting a single kinase/oncogene. In this review, we summarize the miRNAs that are altered in both cancers and neurological disorders, with an emphasis on miRNA drugs that have entered into clinical trials for neurological treatment. Full article
(This article belongs to the Special Issue RNA Biomarkers and Drugs)
Show Figures

Figure 1

15 pages, 5623 KB  
Article
In-Silico Molecular Modeling Studies to Identify Novel Potential Inhibitors of HPV E6 Protein
by Moujane Soumia, Halima Hajji, Mohamed El Mzibri, Filali Zegzouti Younes, Bouachrine Mohammed, Benlyas Mohamed and Moualij Benaissa
Vaccines 2022, 10(9), 1452; https://doi.org/10.3390/vaccines10091452 - 2 Sep 2022
Cited by 21 | Viewed by 4450
Abstract
The etiological agent of some anogenital tract cancers is infection with the high-risk human papillomavirus (HPV). Currently, prophylactic vaccines against HPV have been validated, but the presence of drug treatment directed against the infection and its oncogenic effects remain essential. Among the best [...] Read more.
The etiological agent of some anogenital tract cancers is infection with the high-risk human papillomavirus (HPV). Currently, prophylactic vaccines against HPV have been validated, but the presence of drug treatment directed against the infection and its oncogenic effects remain essential. Among the best drug targets, viral oncoprotein E6 has been identified as a key factor in cell immortalization and tumor progression in HPV-positive cells. E6, through interaction with the cellular ubiquitin ligase E6AP, can promote the degradation of p53, a tumor suppressor protein. Therefore, suppression of the creation of the E6-E6AP complex is one of the essential strategies to inhibit the survival and proliferation of infected cells. In the present study, we proposed an in-silico approach for the discovery of small molecules with inhibitory activity on the E6-E6AP interaction. The first three compounds (F0679-0355, F33774-0275, and F3345-0326) were selected on the basis of virtual screening and prediction of the molecules’ ADMET properties and docking with E6 protein, these molecules were selected for further study by investigating their stability in the E6 complex and their inhibitory effect on the E6-E6AP interaction by molecular dynamics (MD) simulation. The identified molecules thus represent a good starting point for the development of anti-HPV drugs. Full article
(This article belongs to the Special Issue Human Papillomavirus Vaccines)
Show Figures

Figure 1

14 pages, 753 KB  
Article
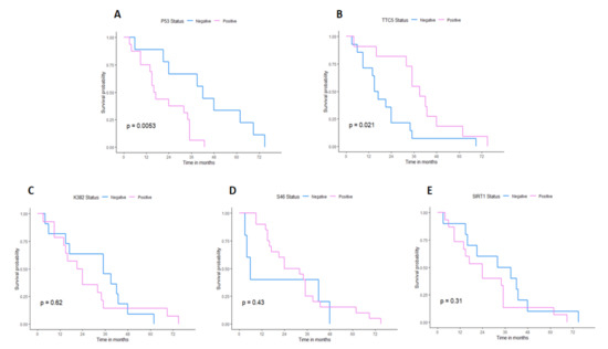
Evaluation of the Role of p53 Tumour Suppressor Posttranslational Modifications and TTC5 Cofactor in Lung Cancer
by Hasen Alhebshi, Kun Tian, Lipsita Patnaik, Rebecca Taylor, Pavel Bezecny, Callum Hall, Patricia Anthonia Johanna Muller, Nazila Safari, Delta Patricia Menendez Creamer, Constantinos Demonacos, Luciano Mutti, Mohamad Nidal Bittar and Marija Krstic-Demonacos
Int. J. Mol. Sci. 2021, 22(24), 13198; https://doi.org/10.3390/ijms222413198 - 7 Dec 2021
Cited by 4 | Viewed by 4189
Abstract
Mutations in the p53 tumor suppressor are found in over 50% of cancers. p53 function is controlled through posttranslational modifications and cofactor interactions. In this study, we investigated the posttranslationally modified p53, including p53 acetylated at lysine 382 (K382), p53 phosphorylated at serine [...] Read more.
Mutations in the p53 tumor suppressor are found in over 50% of cancers. p53 function is controlled through posttranslational modifications and cofactor interactions. In this study, we investigated the posttranslationally modified p53, including p53 acetylated at lysine 382 (K382), p53 phosphorylated at serine 46 (S46), and the p53 cofactor TTC5/STRAP (Tetratricopeptide repeat domain 5/ Stress-responsive activator of p300-TTC5) proteins in lung cancer. Immunohistochemical (IHC) analysis of lung cancer tissues from 250 patients was carried out and the results were correlated with clinicopathological features. Significant associations between total or modified p53 with a higher grade of the tumour and shorter overall survival (OS) probability were detected, suggesting that mutant and/or modified p53 acts as an oncoprotein in these patients. Acetylated at K382 p53 was predominantly nuclear in some samples and cytoplasmic in others. The localization of the K382 acetylated p53 was significantly associated with the gender and grade of the disease. The TTC5 protein levels were significantly associated with the grade, tumor size, and node involvement in a complex manner. SIRT1 expression was evaluated in 50 lung cancer patients and significant positive correlation was found with p53 S46 intensity, whereas negative TTC5 staining was associated with SIRT1 expression. Furthermore, p53 protein levels showed positive association with poor OS, whereas TTC5 protein levels showed positive association with better OS outcome. Overall, our results indicate that an analysis of p53 modified versions together with TTC5 expression, upon testing on a larger sample size of patients, could serve as useful prognostic factors or drug targets for lung cancer treatment. Full article
(This article belongs to the Section Molecular Immunology)
Show Figures

Figure 1

20 pages, 2717 KB  
Review
Deacetylation of Transcription Factors in Carcinogenesis
by Marta Halasa, Kamila Adamczuk, Grzegorz Adamczuk, Syeda Afshan, Andrzej Stepulak, Marek Cybulski and Anna Wawruszak
Int. J. Mol. Sci. 2021, 22(21), 11810; https://doi.org/10.3390/ijms222111810 - 30 Oct 2021
Cited by 18 | Viewed by 4523
Abstract
Reversible Nε-lysine acetylation/deacetylation is one of the most common post-translational modifications (PTM) of histones and non-histone proteins that is regulated by histone acetyltransferases (HATs) and histone deacetylases (HDACs). This epigenetic process is highly involved in carcinogenesis, affecting histone and non-histone proteins’ properties and [...] Read more.
Reversible Nε-lysine acetylation/deacetylation is one of the most common post-translational modifications (PTM) of histones and non-histone proteins that is regulated by histone acetyltransferases (HATs) and histone deacetylases (HDACs). This epigenetic process is highly involved in carcinogenesis, affecting histone and non-histone proteins’ properties and their biological functions. Some of the transcription factors, including tumor suppressors and oncoproteins, undergo this modification altering different cell signaling pathways. HDACs deacetylate their targets, which leads to either the upregulation or downregulation of proteins involved in the regulation of cell cycle and apoptosis, ultimately influencing tumor growth, invasion, and drug resistance. Therefore, epigenetic modifications are of great clinical importance and may constitute a new therapeutic target in cancer treatment. This review is aimed to present the significance of HDACs in carcinogenesis through their influence on functions of transcription factors, and therefore regulation of different signaling pathways, cancer progression, and metastasis. Full article
(This article belongs to the Special Issue Gene Expression and Chromatin Biology 2.0)
Show Figures

Figure 1

32 pages, 1068 KB  
Review
Therapeutic Potential of Targeting the SUMO Pathway in Cancer
by Antti Kukkula, Veera K. Ojala, Lourdes M. Mendez, Lea Sistonen, Klaus Elenius and Maria Sundvall
Cancers 2021, 13(17), 4402; https://doi.org/10.3390/cancers13174402 - 31 Aug 2021
Cited by 64 | Viewed by 10817
Abstract
SUMOylation is a dynamic and reversible post-translational modification, characterized more than 20 years ago, that regulates protein function at multiple levels. Key oncoproteins and tumor suppressors are SUMO substrates. In addition to alterations in SUMO pathway activity due to conditions typically present in [...] Read more.
SUMOylation is a dynamic and reversible post-translational modification, characterized more than 20 years ago, that regulates protein function at multiple levels. Key oncoproteins and tumor suppressors are SUMO substrates. In addition to alterations in SUMO pathway activity due to conditions typically present in cancer, such as hypoxia, the SUMO machinery components are deregulated at the genomic level in cancer. The delicate balance between SUMOylation and deSUMOylation is regulated by SENP enzymes possessing SUMO-deconjugation activity. Dysregulation of SUMO machinery components can disrupt the balance of SUMOylation, contributing to the tumorigenesis and drug resistance of various cancers in a context-dependent manner. Many molecular mechanisms relevant to the pathogenesis of specific cancers involve SUMO, highlighting the potential relevance of SUMO machinery components as therapeutic targets. Recent advances in the development of inhibitors targeting SUMOylation and deSUMOylation permit evaluation of the therapeutic potential of targeting the SUMO pathway in cancer. Finally, the first drug inhibiting SUMO pathway, TAK-981, is currently also being evaluated in clinical trials in cancer patients. Intriguingly, the inhibition of SUMOylation may also have the potential to activate the anti-tumor immune response. Here, we comprehensively and systematically review the recent developments in understanding the role of SUMOylation in cancer and specifically focus on elaborating the scientific rationale of targeting the SUMO pathway in different cancers. Full article
(This article belongs to the Special Issue The Role of the Ubiquitin-Proteasome-System in Human Cancer)
Show Figures

Figure 1

12 pages, 1023 KB  
Review
Molecular Genetics in Epstein–Barr Virus-Associated Malignancies
by Srikanth Umakanthan and Maryann M Bukelo
Life 2021, 11(7), 593; https://doi.org/10.3390/life11070593 - 22 Jun 2021
Cited by 6 | Viewed by 3462
Abstract
Global genomic studies have detected the role of genomic alterations in the pathogenesis of Epstein–Barr virus (EBV)-associated tumors. EBV oncoproteins cause a vital shift of EBV from an infectious virus to an oncogenic form during the latent and lytic phase within the lymphoid [...] Read more.
Global genomic studies have detected the role of genomic alterations in the pathogenesis of Epstein–Barr virus (EBV)-associated tumors. EBV oncoproteins cause a vital shift of EBV from an infectious virus to an oncogenic form during the latent and lytic phase within the lymphoid B cells and epithelial cells. This epigenetic alteration modulates the virus and host genomes and inactivates and disrupts numerous tumor suppressors and signaling pathways. Genomic profiling has played the main role in identifying EBV cancer pathogenesis and its related targeted therapies. This article reviews the role of genetic changes in EBV-associated lymphomas and carcinomas. This includes the prolific molecular genesis, key diagnostic tools, and target-specific drugs that have been in recent clinical use. Full article
(This article belongs to the Section Microbiology)
Show Figures

Figure 1

16 pages, 4854 KB  
Article
Four and a Half LIM Domains 2 (FHL2) Contribute to the Epithelial Ovarian Cancer Carcinogenesis
by Chen Wang, Xiangmin Lv, Chunbo He, John S. Davis, Cheng Wang and Guohua Hua
Int. J. Mol. Sci. 2020, 21(20), 7751; https://doi.org/10.3390/ijms21207751 - 20 Oct 2020
Cited by 17 | Viewed by 3387
Abstract
Epithelial ovarian cancer (EOC) is one of the most lethal gynecologic malignancies. To date, the etiology of this deadly disease remains elusive. FHL2, a member of the four and a half LIM domain family, has been shown to serve either as an oncoprotein [...] Read more.
Epithelial ovarian cancer (EOC) is one of the most lethal gynecologic malignancies. To date, the etiology of this deadly disease remains elusive. FHL2, a member of the four and a half LIM domain family, has been shown to serve either as an oncoprotein or as a tumor suppressor in various cancers. Our previous study showed that FHL2 plays a critical role in the initiation and progression of ovarian granulosa cell tumor via regulating AKT1 transcription. However, direct and systematic evidence of FHL2 in the initiation and progression of EOC remains unclear. In the present study, immunohistochemical analysis from EOC patient tissues showed that positivity and intensity of FHL2 immunosignal were up-regulated in the EOC tissues compared with normal ovary tissues. Knockdown of FHL2 in SKOV-3 cell line reduced cell growth and cell viability, blocked cell cycle progression, and inhibited cell migration. Ectopic expression of FHL2 in IGROV-1 cells which have low endogenous FHL2, promoted cell growth, improved cell viability and enhanced cell migration. Additionally, knock down of FHL2 in the SKOV-3 cell line significantly inhibited anchorage-independent growth indicated by the soft agar assay. In comparison, overexpression of FHL2 in IGROV-1 cell improved the colonies growth in soft agar. Western blot data showed that knockdown of FHL2 downregulated AKT expression level, and upregulated apoptosis related proteins such as cleaved PARP, and cleaved-lamin A. Finally, by employing stable SKOV-3/FHL2 stable knock down cell line, our data clearly showed that knockdown of FHL2 inhibited EOC xenograft initiation in vivo. Taken together, our results showed that FHL2, via regulating cell proliferation, cell cycle, and adhesion, has a critical role in regulating EOC initiation and progression. These results indicate that FHL2 could be a potential target for the therapeutic drugs against EOC. Full article
(This article belongs to the Special Issue Molecular Research in Medical Genetics)
Show Figures

Figure 1

14 pages, 1049 KB  
Review
Exploiting RAS Nucleotide Cycling as a Strategy for Drugging RAS-Driven Cancers
by Tyler E. Mattox, Xi Chen, Yulia Y. Maxuitenko, Adam B. Keeton and Gary A. Piazza
Int. J. Mol. Sci. 2020, 21(1), 141; https://doi.org/10.3390/ijms21010141 - 24 Dec 2019
Cited by 23 | Viewed by 8474
Abstract
Oncogenic mutations in RAS genes result in the elevation of cellular active RAS protein levels and increased signal propagation through downstream pathways that drive tumor cell proliferation and survival. These gain-of-function mutations drive over 30% of all human cancers, presenting promising therapeutic potential [...] Read more.
Oncogenic mutations in RAS genes result in the elevation of cellular active RAS protein levels and increased signal propagation through downstream pathways that drive tumor cell proliferation and survival. These gain-of-function mutations drive over 30% of all human cancers, presenting promising therapeutic potential for RAS inhibitors. However, many have deemed RAS “undruggable” after nearly 40 years of failed drug discovery campaigns aimed at identifying a RAS inhibitor with clinical activity. Here we review RAS nucleotide cycling and the opportunities that RAS biochemistry presents for developing novel RAS inhibitory compounds. Additionally, compounds that have been identified to inhibit RAS by exploiting various aspects of RAS biology and biochemistry will be covered. Our current understanding of the biochemical properties of RAS, along with reports of direct-binding inhibitors, both provide insight on viable strategies for the discovery of novel clinical candidates with RAS inhibitory activity. Full article
(This article belongs to the Special Issue Progress and Challenges with Inhibition of K-Ras GTPase in Cancer)
Show Figures

Figure 1

31 pages, 1348 KB  
Review
FBXW7 in Cancer: What Has Been Unraveled Thus Far?
by Bethsebie Lalduhsaki Sailo, Kishore Banik, Sosmitha Girisa, Devivasha Bordoloi, Lu Fan, Clarissa Esmeralda Halim, Hong Wang, Alan Prem Kumar, Dali Zheng, Xinliang Mao, Gautam Sethi and Ajaikumar Bahulayan Kunnumakkara
Cancers 2019, 11(2), 246; https://doi.org/10.3390/cancers11020246 - 19 Feb 2019
Cited by 132 | Viewed by 16592
Abstract
The FBXW7 (F-box with 7 tandem WD40) protein encoded by the gene FBXW7 is one of the crucial components of ubiquitin ligase called Skp1-Cullin1-F-box (SCF) complex that aids in the degradation of many oncoproteins via the ubiquitin-proteasome system (UPS) thus regulating cellular growth. [...] Read more.
The FBXW7 (F-box with 7 tandem WD40) protein encoded by the gene FBXW7 is one of the crucial components of ubiquitin ligase called Skp1-Cullin1-F-box (SCF) complex that aids in the degradation of many oncoproteins via the ubiquitin-proteasome system (UPS) thus regulating cellular growth. FBXW7 is considered as a potent tumor suppressor as most of its target substrates can function as potential growth promoters, including c-Myc, Notch, cyclin E, c-JUN, and KLF5. Its regulators include p53, C/EBP-δ, Numb, microRNAs, Pin 1, Hes-5, BMI1, Ebp2. Mounting evidence has indicated the involvement of aberrant expression of FBXW7 for tumorigenesis. Moreover, numerous studies have also shown its role in cancer cell chemosensitization, thereby demonstrating the importance of FBXW7 in the development of curative cancer therapy. This comprehensive review emphasizes on the targets, functions, regulators and expression of FBXW7 in different cancers and its involvement in sensitizing cancer cells to chemotherapeutic drugs. Full article
Show Figures

Figure 1

31 pages, 3878 KB  
Review
Structural Basis of Targeting the Exportin CRM1 in Cancer
by Achim Dickmanns, Thomas Monecke and Ralf Ficner
Cells 2015, 4(3), 538-568; https://doi.org/10.3390/cells4030538 - 21 Sep 2015
Cited by 54 | Viewed by 13500
Abstract
Recent studies have demonstrated the interference of nucleocytoplasmic trafficking with the establishment and maintenance of various cancers. Nucleocytoplasmic transport is highly regulated and coordinated, involving different nuclear transport factors or receptors, importins and exportins, that mediate cargo transport from the cytoplasm into the [...] Read more.
Recent studies have demonstrated the interference of nucleocytoplasmic trafficking with the establishment and maintenance of various cancers. Nucleocytoplasmic transport is highly regulated and coordinated, involving different nuclear transport factors or receptors, importins and exportins, that mediate cargo transport from the cytoplasm into the nucleus or the other way round, respectively. The exportin CRM1 (Chromosome region maintenance 1) exports a plethora of different protein cargoes and ribonucleoprotein complexes. Structural and biochemical analyses have enabled the deduction of individual steps of the CRM1 transport cycle. In addition, CRM1 turned out to be a valid target for anticancer drugs as it exports numerous proto-oncoproteins and tumor suppressors. Clearly, detailed understanding of the flexibility, regulatory features and cooperative binding properties of CRM1 for Ran and cargo is a prerequisite for the design of highly effective drugs. The first compound found to inhibit CRM1-dependent nuclear export was the natural drug Leptomycin B (LMB), which blocks export by competitively interacting with a highly conserved cleft on CRM1 required for nuclear export signal recognition. Clinical studies revealed serious side effects of LMB, leading to a search for alternative natural and synthetic drugs and hence a multitude of novel therapeutics. The present review examines recent progress in understanding the binding mode of natural and synthetic compounds and their inhibitory effects. Full article
(This article belongs to the Special Issue Nucleocytoplasmic Transport)
Show Figures

Figure 1

Back to TopTop