Sign in to use this feature.

Years

Between: -

Subjects

remove_circle_outline
remove_circle_outline
remove_circle_outline
remove_circle_outline
remove_circle_outline
remove_circle_outline
remove_circle_outline
remove_circle_outline
remove_circle_outline

Journals

Article Types

Countries / Regions

Search Results (102)

Search Parameters:
Keywords = automatic subject indexing

Order results
Result details
Results per page
Select all
Export citation of selected articles as:
14 pages, 1772 KB  
Article
Exploring the Association Between Heart Rate Variability and Intracranial Atherosclerosis in Middle-Aged or over Community-Dwelling Adults
by Yangyang Cheng, Lihua Lai, Jieqi Luo and Michael Tin Cheung Ying
Diagnostics 2025, 15(21), 2731; https://doi.org/10.3390/diagnostics15212731 - 28 Oct 2025
Viewed by 286
Abstract
Background/Objectives: Heart rate variability (HRV) is associated with the risk of vascular events. However, the predictive value of HRV for the presence of intracranial atherosclerosis (ICAS) is unclear. This study aimed to investigate the relationship between daytime HRV measured by 3 min [...] Read more.
Background/Objectives: Heart rate variability (HRV) is associated with the risk of vascular events. However, the predictive value of HRV for the presence of intracranial atherosclerosis (ICAS) is unclear. This study aimed to investigate the relationship between daytime HRV measured by 3 min ECG monitoring and ICAS identified by high-resolution magnetic resonance imaging (HR-MRI). Methods: A total of 272 adults (mean age, 63.4 ± 6.8; 43% male) were recruited from November 2022 to December 2024. A series of cardiac function parameters is automatically generated through a 3 min analysis by the electrocardiographic dispersion mapping (ECG-DM) software, including heart rate variability and myocardial ischemic metabolic impairment. HRV was assessed as the standard deviation of normal-to-normal intervals (SDNN), which was categorized into tertiles for data analysis. Myocardial micro-alteration index (MMI, %) was used as an indicator of ischemia, reflecting myocardial abnormalities at the metabolic level. Atrial and ventricular myocardial oxygenation deficits were directly visualized in a color-coded scatter plot, with different colors indicating the severity of pathological changes. On HR-MRI intracranial artery wall scanning, the prevalence of ICAS was assessed in middle cerebral arteries (MCAs), vertebral arteries (VAs), and basilar arteries (BAs), and the associated plaque characteristics (eccentricity, thickening patterns, remodeling index, and surface morphology) were evaluated. Results: Among the subjects, 209 arterial lesions caused by ICAS were detected in 152 subjects (56%), including MCAs (105/544), VAs (68/526), and BAs (36/272). Ninety-four subjects (94/272) with significant HRV deviation had ICAS (p = 0.040). Furthermore, subjects with ICAS were more likely to present with atrial hypoxia (p = 0.030) compared to those without ICAS. In multivariate analyses, lower standard deviation of normal-to-normal intervals (SDNN, odds ratio, OR = 1.55, 95% CI 1.10–2.18, p = 0.012) and atrial deviation (OR = 1.85, 95% CI 1.10–3.14, p = 0.022) were independently associated with the presence of ICAS. Conclusions: Among middle-aged or older adults in a local community, our study suggested that lower HRV and significant atrial hypoxia were independently associated with the presence of ICAS. Full article
(This article belongs to the Section Medical Imaging and Theranostics)
Show Figures

Figure 1

18 pages, 1496 KB  
Article
Constructing Real-Time Meteorological Forecast Method of Short-Term Cyanobacteria Bloom Area Index Changes in the Lake Taihu
by Jikang Wang, Junying Zhao, Cong Hua and Jianzhong Zhang
Sustainability 2025, 17(18), 8376; https://doi.org/10.3390/su17188376 - 18 Sep 2025
Viewed by 455
Abstract
The dynamics of cyanobacteria bloom in Lake Taihu, China, are subject to rapid fluctuations under the influence of various factors, with meteorological conditions being particularly influential. In this study, monitoring data on the surface area of cyanobacteria bloom in Lake Taihu and observational [...] Read more.
The dynamics of cyanobacteria bloom in Lake Taihu, China, are subject to rapid fluctuations under the influence of various factors, with meteorological conditions being particularly influential. In this study, monitoring data on the surface area of cyanobacteria bloom in Lake Taihu and observational data from automatic meteorological stations around Lake Taihu from 2016 to 2022 were utilized. Meteorological sub-indices were constructed based on the probability density distributions of meteorological factors in different areas of cyanobacterial bloom. A stacked ensemble model utilizing various machine learning algorithms was developed. This model was designed to forecast the cyanobacterial bloom area index in Lake Taihu based on meteorological data. This model has been deployed with real-time gridded forecasts from the China Meteorological Administration (CMA) to predict changes in the cyanobacteria bloom area index in Lake Taihu over the next 7 days. The results demonstrate that utilizing meteorological sub-indices, rather than traditional meteorological elements, provides a more effective reflection of changes in cyanobacteria bloom area. Key meteorological sub-indices were identified through recursive feature elimination, with wind speed variance and wind direction variance highlighted as especially important factors. The real-time forecasting system operated over a 2.5-year period (2023 to July 2025). Results demonstrate that for cyanobacteria bloom areas exceeding 100 km2, the 1-day lead-time forecast hit rate exceeded 72%, and the 3-day forecast hit rate remained above 65%. These findings significantly enhance forecasting capability for cyanobacterial blooms in Lake Taihu, offering critical support for sustainable water management practices in one of China’s most important freshwater systems. Full article
(This article belongs to the Section Sustainable Water Management)
Show Figures

Figure 1

17 pages, 8626 KB  
Article
Deep Learning Spinal Cord Segmentation Based on B0 Reference for Diffusion Tensor Imaging Analysis in Cervical Spondylotic Myelopathy
by Shuoheng Yang, Ningbo Fei, Junpeng Li, Guangsheng Li and Yong Hu
Bioengineering 2025, 12(7), 709; https://doi.org/10.3390/bioengineering12070709 - 28 Jun 2025
Viewed by 854
Abstract
Diffusion Tensor Imaging (DTI) is a crucial imaging technique for accurately assessing pathological changes in Cervical Spondylotic Myelopathy (CSM). However, the segmentation of spinal cord DTI images primarily relies on manual methods, which are labor-intensive and heavily dependent on the subjective experience of [...] Read more.
Diffusion Tensor Imaging (DTI) is a crucial imaging technique for accurately assessing pathological changes in Cervical Spondylotic Myelopathy (CSM). However, the segmentation of spinal cord DTI images primarily relies on manual methods, which are labor-intensive and heavily dependent on the subjective experience of clinicians, and existing research on DTI automatic segmentation cannot fully satisfy clinical requirements. Thus, this poses significant challenges for DTI-assisted diagnostic decision-making. This study aimed to deliver AI-driven segmentation for spinal cord DTI. To achieve this goal, a comparison experiment of candidate input features was conducted, with the preliminary results confirming the effectiveness of applying a diffusion-free image (B0 image) for DTI segmentation. Furthermore, a deep-learning-based model, named SCS-Net (Spinal Cord Segmentation Network), was proposed accordingly. The model applies a classical U-shaped architecture with a lightweight feature extraction module, which can effectively alleviate the training data scarcity problem. The proposed method supports eight-region spinal cord segmentation, i.e., the lateral, dorsal, ventral, and gray matter areas on the left and right sides. To evaluate this method, 89 CSM patients from a single center were collected. The model demonstrated satisfactory accuracy for both general segmentation metrics (precision, recall, and Dice coefficient) and a DTI-specific feature index. In particular, the proposed model’s error rate for the DTI-specific feature index was evaluated as 5.32%, 10.14%, 7.37%, and 5.70% on the left side, and 4.60%, 9.60%, 8.74%, and 6.27% on the right side of the spinal cord, respectively, affirming the model’s consistent performance for radiological rationality. In conclusion, the proposed AI-driven segmentation model significantly reduces the dependence on DTI manual interpretation, providing a feasible solution that can improve potential diagnostic outcomes for patients. Full article
(This article belongs to the Special Issue Machine Learning and Deep Learning Applications in Healthcare)
Show Figures

Figure 1

25 pages, 3403 KB  
Article
Local Transmissibility-Based Identification of Structural Damage Utilizing Positive Learning Strategies
by Oguz Gunes and Burcu Gunes
Appl. Sci. 2025, 15(12), 6948; https://doi.org/10.3390/app15126948 - 19 Jun 2025
Viewed by 642
Abstract
Recent advances in sensor technology, data acquisition, and signal processing have enabled the development of data-driven structural health monitoring (SHM) strategies, offering a powerful alternative or complement to traditional model-based approaches. These approaches rely on damage-sensitive features (DSFs) extracted from vibration measurements. This [...] Read more.
Recent advances in sensor technology, data acquisition, and signal processing have enabled the development of data-driven structural health monitoring (SHM) strategies, offering a powerful alternative or complement to traditional model-based approaches. These approaches rely on damage-sensitive features (DSFs) extracted from vibration measurements. This study introduces an innovative, unsupervised learning framework leveraging transmissibility functions (TFs) as DSFs due to their local sensitivity to changes in dynamic behavior and their ability to operate without requiring input excitation measurements—an advantage in civil engineering applications where such data are often difficult to obtain. The novelty lies in the use of sequential sensor pairings based on structural connectivity to construct TFs that maximize damage sensitivity, combined with one-class classification algorithms for automatic damage detection and a damage index for spatial localization within sensor resolution. The method is evaluated through numerical simulations with noise-contaminated data and experimental tests on a masonry arch bridge model subjected to progressive damage. The numerical study shows detection accuracy above 90% with one-class support vector machine (OCSVM) and correct localization across all damage scenarios. Experimental findings further confirm the proposed approach’s localization capability, especially as damage severity increases, aligning well with observed damage progression. These results demonstrate the method’s practical potential for real-world SHM applications. Full article
(This article belongs to the Special Issue Advanced Structural Health Monitoring in Civil Engineering)
Show Figures

Figure 1

44 pages, 852 KB  
Article
An Intelligent Risk Assessment Methodology for the Full Lifecycle Security of Data
by Jinhui Liu, Tianyi Han, Jingjing Zhao, Dejun Mu, Huan Liu and Bo Tang
Symmetry 2025, 17(6), 820; https://doi.org/10.3390/sym17060820 - 24 May 2025
Viewed by 1024
Abstract
With the development of Internet of Things and artificial intelligence, large amounts of data exist in our daily life. In view of the limitations in current data security risk assessment research, this paper puts forward an intelligent data security risk assessment method based [...] Read more.
With the development of Internet of Things and artificial intelligence, large amounts of data exist in our daily life. In view of the limitations in current data security risk assessment research, this paper puts forward an intelligent data security risk assessment method based on an attention mechanism that spans the entire data lifecycle. The initial step involves formulating a security-risk evaluation index that spans all phases of the data lifecycle. By constructing a symmetric mapping of subjective and objective weights using the Analytic Hierarchy Process (AHP) and the Entropy Weight Method (EWM), both expert judgment and objective data are comprehensively considered to scientifically determine the weights of various risk indicators, thereby enhancing the rationality and objectivity of the assessment framework. Next, the fuzzy comprehensive evaluation method is used to label the risk level of the data, providing an essential basis for subsequent model training. Finally, leveraging the structurally symmetric attention mechanism, we design and train a neural network model for data security risk assessment, enabling automatic capture of complex features and nonlinear correlations within the data for more precise and accurate risk evaluations. The proposed risk assessment approach embodies symmetry in both the determination of indicator weights and the design of the neural network architecture. Experimental results indicate that our proposed method achieves high assessment accuracy and stability, effectively adapts to data security risk environments, and offers a feasible intelligent decision aid tool for data security management. Full article
Show Figures

Figure 1

26 pages, 16973 KB  
Article
DNA Barcoding Southwestern Atlantic Skates: A 20-Year Effort in Building a Species Identification Library
by Ezequiel Mabragaña, Valeria Gabbanelli, Florencia Matusevich, Diego Martín Vazquez, Sergio Matías Delpiani, Victoria Malvina Lenain, Juan José Rosso, Mariano González-Castro, Robert Hanner and Juan Martín Díaz de Astarloa
Diversity 2025, 17(5), 311; https://doi.org/10.3390/d17050311 - 25 Apr 2025
Viewed by 2021
Abstract
The skate fauna in the Southwest Atlantic Ocean (SWA; 34–55° S) is represented by ~32 species, many of which share external features that have led to misidentifications and deficient fishery statistics. The use of DNA barcoding to discriminate SWA skate species was explored [...] Read more.
The skate fauna in the Southwest Atlantic Ocean (SWA; 34–55° S) is represented by ~32 species, many of which share external features that have led to misidentifications and deficient fishery statistics. The use of DNA barcoding to discriminate SWA skate species was explored after 20 years of surveys. COI sequences were subjected to distance-based neighbor-joining (NJ), maximum likelihood (ML), barcode index number (BIN), automatic barcode gap discovery (ABGD), and nucleotide diagnostic character (NDC) analyses. For widely distributed species, a haplotype network was built. Overall, 187 specimens and 31 egg cases from 26 skate species were barcoded. NJ and ML analyses showed that nearly all species exhibited unique barcodes or clusters of closely related haplotypes, except for Psammobatis normani/P. rudis and Dipturus trachyderma/D. argentinensis. The first pair was discriminated by NCD. BIN analysis recovered 17 groups, whereas ABGD recovered 23, better reflecting taxonomic diversity. In summary, 24 species were resolved by COI. Phylogeographic signals were observed for Amblyraja doellojuradoi and Zearaja brevicaudata. Compiling our results with data from BOLD, almost all the species occurring in the area possess barcodes, contributing to completing and curating the BOLD reference library, which constitutes an important tool for resolving taxonomic issues, tracing fishery products, and performing eDNA biomonitoring. Full article
(This article belongs to the Special Issue DNA Barcodes for Evolution and Biodiversity—2nd Edition)
Show Figures

Figure 1

15 pages, 3944 KB  
Article
A New Approach to Non-Invasive Microcirculation Monitoring: Quantifying Capillary Refill Time Using Oximetric Pulse Waves
by Yuxiang Xia, Xinrui Wang, Zhe Guo, Xuesong Wang and Zhong Wang
Sensors 2025, 25(2), 330; https://doi.org/10.3390/s25020330 - 8 Jan 2025
Viewed by 2049
Abstract
(1) Background: To develop a novel capillary refill time measurement system and evaluate its reliability and reproducibility. (2) Methods: Firstly, the utilization of electromagnetic pressure technology facilitates the automatic compression and instantaneous release of the finger. Secondly, the employment of pressure sensing technology [...] Read more.
(1) Background: To develop a novel capillary refill time measurement system and evaluate its reliability and reproducibility. (2) Methods: Firstly, the utilization of electromagnetic pressure technology facilitates the automatic compression and instantaneous release of the finger. Secondly, the employment of pressure sensing technology and photoelectric volumetric pulse wave analysis technology enables the dynamic monitoring of blood flow in distal tissues. Thirdly, the subjects were recruited to compare the average measurement time and the number of measurements required for successful measurements. The satisfaction of doctors and patients with the instrument was investigated through the administration of questionnaires. Finally, 71 subjects were recruited and divided into two groups, A and B. Three doctors repeated the measurement of the right index fingers of the subjects. In Group A, the same measuring instrument was used, and the consistency of the measurements was evaluated using the intragroup correlation coefficient. In Group B, one doctor repeated the measurement of each subject three times using the same measuring instrument, and the reproducibility of the CRT was evaluated using the analysis of variance of the repeated measurement data. (3) Results: The development of the capillary refill time meter was successful, with an average measurement time of 18 s and a single measurement. This study found that doctor–patient satisfaction levels were 98.3% and 100%, respectively. The intraclass correlation coefficient was 0.995 in Group A, and the p-value was greater than 0.05 in Group B. (4) Conclusions: The non-invasive monitoring of microcirculation has been rendered both rapid and effective, thus paving the way for the further mechanization and standardization of this process. The CRT, when measured using the capillary refill time meter test machine, demonstrated consistent and reproducible results, both when assessed by different researchers and when evaluated across varying measurement sets. Full article
(This article belongs to the Section Biomedical Sensors)
Show Figures

Figure 1

17 pages, 5937 KB  
Article
Cognitive Performance in Hot-Humid Environments of Non-Air-Conditioned Buildings: A Subjective Evaluation
by Hui Zhu, Yichao Wang, Da Yuan, Kun Gao, Quanna Liao, Masanari Ukai, Fan Zhang and Songtao Hu
Buildings 2025, 15(1), 43; https://doi.org/10.3390/buildings15010043 - 26 Dec 2024
Viewed by 2318
Abstract
Heat waves are deteriorating the indoor thermal environment of non-air-conditioned buildings, bringing more intensive heat-humid exposures, which poses a great threat to human cognitive performance that is closely related to human safety and health. Previous studies mainly focused on the thermos-physiological aspect, trying [...] Read more.
Heat waves are deteriorating the indoor thermal environment of non-air-conditioned buildings, bringing more intensive heat-humid exposures, which poses a great threat to human cognitive performance that is closely related to human safety and health. Previous studies mainly focused on the thermos-physiological aspect, trying to establish predicting models of cognitive performance, but the subjective aspect also needs investigating. In order to explore the relationship between cognitive performance and subjective responses of subjects to hot-humid exposure, a 150-min experiment was conducted in four hot-humid experiments, during which five kinds of cognitive tasks were administered to simulate the sustained mental workload. ‘National Aeronautics and Space Administration-Task Load Index’ (NASA-TLX) and ‘Positive Affect and Negative Affect Schedule scale’ (PANAS) were selected to acquire the perceived mental workload and mood before and after these tasks. Thereafter, changes in the perceived workload and mood with air temperature and exposure time were analyzed. The results of cognitive tasks (response time and accuracy) were recorded online automatically, with which the cognitive performance index (CPI) was calculated. The results showed that five items of NASA-TLX, namely mental demand, physical demand, temporal demand, effort, and frustration, were negatively related to air temperature (p < 0.05), and they were also observed to have quasi-inverted-U relationships with exposure time. Another item, the performance, was found to have a quasi-U relationship with exposure time. Furthermore, a quasi-inverted-U relationship was observed between the positive mood and exposure time, while a quasi-U relationship between the negative mood and exposure time was detected. Finally, a performance-mood relation was established based on the correlation analysis among the CPI, mood, and mental workload, which produced a linear relation with the R2 of 0.71. This study provided references for the self-evaluation of cognitive performances in buildings without air-conditioners, which is important in the circumstance where heat waves appear more. Full article
(This article belongs to the Special Issue Recently Advances in the Thermal Performance of Buildings)
Show Figures

Figure 1

80 pages, 858 KB  
Article
Uniform in Number of Neighbor Consistency and Weak Convergence of k-Nearest Neighbor Single Index Conditional Processes and k-Nearest Neighbor Single Index Conditional U-Processes Involving Functional Mixing Data
by Salim Bouzebda
Symmetry 2024, 16(12), 1576; https://doi.org/10.3390/sym16121576 - 25 Nov 2024
Cited by 6 | Viewed by 1809
Abstract
U-statistics are fundamental in modeling statistical measures that involve responses from multiple subjects. They generalize the concept of the empirical mean of a random variable X to include summations over each m-tuple of distinct observations of X. W. Stute introduced [...] Read more.
U-statistics are fundamental in modeling statistical measures that involve responses from multiple subjects. They generalize the concept of the empirical mean of a random variable X to include summations over each m-tuple of distinct observations of X. W. Stute introduced conditional U-statistics, extending the Nadaraya–Watson estimates for regression functions. Stute demonstrated their strong pointwise consistency with the conditional expectation r(m)(φ,t), defined as E[φ(Y1,,Ym)|(X1,,Xm)=t] for tXm. This paper focuses on estimating functional single index (FSI) conditional U-processes for regular time series data. We propose a novel, automatic, and location-adaptive procedure for estimating these processes based on k-Nearest Neighbor (kNN) principles. Our asymptotic analysis includes data-driven neighbor selection, making the method highly practical. The local nature of the kNN approach improves predictive power compared to traditional kernel estimates. Additionally, we establish new uniform results in bandwidth selection for kernel estimates in FSI conditional U-processes, including almost complete convergence rates and weak convergence under general conditions. These results apply to both bounded and unbounded function classes, satisfying certain moment conditions, and are proven under standard Vapnik–Chervonenkis structural conditions and mild model assumptions. Furthermore, we demonstrate uniform consistency for the nonparametric inverse probability of censoring weighted (I.P.C.W.) estimators of the regression function under random censorship. This result is independently valuable and has potential applications in areas such as set-indexed conditional U-statistics, the Kendall rank correlation coefficient, and discrimination problems. Full article
(This article belongs to the Section Mathematics)
15 pages, 4674 KB  
Article
Research on Automatic Alignment for Corn Harvesting Based on Euclidean Clustering and K-Means Clustering
by Bin Zhang, Hao Xu, Kunpeng Tian, Jicheng Huang, Fanting Kong, Senlin Mu, Teng Wu, Zhongqiu Mu, Xingsong Wang and Deqiang Zhou
Agriculture 2024, 14(11), 2071; https://doi.org/10.3390/agriculture14112071 - 18 Nov 2024
Cited by 3 | Viewed by 1241
Abstract
Aiming to meet the growing need for automated harvesting, an automatic alignment method based on Euclidean clustering and K-means clustering is proposed to address issues of driver fatigue and inaccurate driving in manually operated corn harvesters. Initially, the corn field environment is scanned [...] Read more.
Aiming to meet the growing need for automated harvesting, an automatic alignment method based on Euclidean clustering and K-means clustering is proposed to address issues of driver fatigue and inaccurate driving in manually operated corn harvesters. Initially, the corn field environment is scanned using LiDAR to obtain point cloud data, which are then subjected to pass-through filtering and statistical filtering to remove noise and non-corn contour points. Subsequently, Euclidean clustering and K-means clustering methods are applied to the filtered point cloud data. To validate the impact of Euclidean clustering on subsequent clustering, two separate treatments of the obtained point cloud data were conducted during experimental validation: the first used the K-means clustering algorithm directly, while the second involved performing Euclidean clustering followed by K-means clustering. The results demonstrate that the combined method of Euclidean clustering and K-means clustering achieved a success rate of 81.5%, representing a 26.5% improvement over traditional K-means clustering. Additionally, the Rand index increased by 0.575, while accuracy improved by 57% and recall increased by 61%. Full article
Show Figures

Figure 1

18 pages, 1918 KB  
Article
Acoustic Comfort Prediction: Integrating Sound Event Detection and Noise Levels from a Wireless Acoustic Sensor Network
by Daniel Bonet-Solà, Ester Vidaña-Vila and Rosa Ma Alsina-Pagès
Sensors 2024, 24(13), 4400; https://doi.org/10.3390/s24134400 - 7 Jul 2024
Cited by 2 | Viewed by 2568
Abstract
There is an increasing interest in accurately evaluating urban soundscapes to reflect citizens’ subjective perceptions of acoustic comfort. Various indices have been proposed in the literature to achieve this purpose. However, many of these methods necessitate specialized equipment or extensive data collection. This [...] Read more.
There is an increasing interest in accurately evaluating urban soundscapes to reflect citizens’ subjective perceptions of acoustic comfort. Various indices have been proposed in the literature to achieve this purpose. However, many of these methods necessitate specialized equipment or extensive data collection. This study introduces an enhanced predictor for dwelling acoustic comfort, utilizing cost-effective data consisting of a 30-s audio clip and location information. The proposed predictor incorporates two rating systems: a binary evaluation and an acoustic comfort index called ACI. The training and evaluation data are obtained from the “Sons al Balcó” citizen science project. To characterize the sound events, gammatone cepstral coefficients are used for automatic sound event detection with a convolutional neural network. To enhance the predictor’s performance, this study proposes incorporating objective noise levels from public IoT-based wireless acoustic sensor networks, particularly in densely populated areas like Barcelona. The results indicate that adding noise levels from a public network successfully enhances the accuracy of the acoustic comfort prediction for both rating systems, reaching up to 85% accuracy. Full article
Show Figures

Figure 1

20 pages, 3338 KB  
Article
Combustion Efficiency of Various Forms of Solid Biofuels in Terms of Changes in the Method of Fuel Feeding into the Combustion Chamber
by Małgorzata Dula, Artur Kraszkiewicz and Stanisław Parafiniuk
Energies 2024, 17(12), 2853; https://doi.org/10.3390/en17122853 - 10 Jun 2024
Cited by 8 | Viewed by 2265
Abstract
This study analyzes the combustion of pellets and briquettes made of plant biomass in low-power heating devices powered periodically with fuel being placed on the grate, as well as after modification using an automatic fuel feeding system in the gutter burner. The use [...] Read more.
This study analyzes the combustion of pellets and briquettes made of plant biomass in low-power heating devices powered periodically with fuel being placed on the grate, as well as after modification using an automatic fuel feeding system in the gutter burner. The use of herbaceous biomass in the form of pellets in low-power heating devices with automatic fuel feeding and combustion in a gutter burner is not widely promoted and popular. Therefore, this study used four types of herbaceous waste biomass (wheat straw, rye straw, oat straw and hay) and one type of woody waste biomass (birch sawdust) for testing. The basic chemical characteristics were determined for the raw materials. After appropriate preparation, the selected starting materials were subjected to briquetting and pelleting processes. Selected physical properties were also determined for the obtained biofuels. Biofuels made from birch sawdust had the lowest heat value (16.34 MJ·kg−1), although biofuels made from wheat, rye and hay straw had a slightly lower calorific value, respectively: 16.29; 16.28 and 16.26 MJ·kg−1. However, the calorific value of oat straw biofuels was only 15.47 MJ kg−1. Moreover, the ash content for herbaceous biomass was 2–4 times higher than for woody biomass. Similar differences between herbaceous and woody biomass were also observed for the nitrogen and sulfur content. To burn the prepared biofuels, a domestic grate-fired biomass boiler was used, periodically fed with portions of fuel in the form of pellets or briquettes (type A tests), which was then modified with a gutter burner enabling the automatic feeding of fuel in the form of pellets (type B tests). During the combustion tests with simultaneous timing, the concentration of CO2, CO, NO and SO2 in the exhaust gases was examined and the temperature of the supplied air and exhaust gases was measured. The stack loss (qA), combustion efficiency index (CEI) and toxicity index (TI) were also calculated. The research shows that the use of automatic fuel feeding stabilizes the combustion process. The combustion process is balanced between herbaceous and woody biomass biofuels. Disparities in CO2, CO and Tgas emissions are decreasing. However, during type B tests, an increase in NO emissions is observed. At the same time, the research conducted indicates that the combustion of herbaceous biomass pellets with their automatic feeding into the combustion chamber is characterized by an increase in combustion efficiency, indicating that when the combustion process is automated, they are a good replacement for wood biofuels—both pellets and briquettes. Full article
(This article belongs to the Section I1: Fuel)
Show Figures

Figure 1

17 pages, 9088 KB  
Article
Objective Evaluation of Motion Cueing Algorithms for Vehicle Driving Simulator Based on Criteria Importance through Intercriteria Correlation (CRITIC) Weight Method Combined with Gray Correlation Analysis
by Xue Jiang, Xiafei Chen, Yiyang Jiao and Lijie Zhang
Machines 2024, 12(5), 344; https://doi.org/10.3390/machines12050344 - 16 May 2024
Cited by 3 | Viewed by 1642
Abstract
Perception-based fidelity evaluation metrics are crucial in driving simulators, as they play a key role in the automatic tuning, assessment, and comparison of motion cueing algorithms. Nevertheless, there is presently no unified and effective evaluation framework for these algorithms. To tackle this challenge, [...] Read more.
Perception-based fidelity evaluation metrics are crucial in driving simulators, as they play a key role in the automatic tuning, assessment, and comparison of motion cueing algorithms. Nevertheless, there is presently no unified and effective evaluation framework for these algorithms. To tackle this challenge, our study initially establishes a model rooted in visual–vestibular interaction and head tilt angle perception systems. We then employ metrics like the Normalized Average Absolute Difference (NAAD), Normalized Pearson Correlation (NPC), and Estimated Delay (ED) to devise an evaluation index system. Furthermore, we use a combined approach incorporating CRITIC and gray relational analysis to ascertain the weights of these indicators. This allows us to consolidate them into a comprehensive evaluation metric that reflects the overall fidelity of motion cueing algorithms. Subjective evaluation experiments validate the reasonableness and efficacy of our proposed Perception Fidelity Evaluation (PFE) method. Full article
(This article belongs to the Section Automation and Control Systems)
Show Figures

Figure 1

28 pages, 3441 KB  
Article
Stimulus Complexity Can Enhance Art Appreciation: Phenomenological and Psychophysiological Evidence for the Pleasure-Interest Model of Aesthetic Liking
by Tammy-Ann Husselman, Edson Filho, Luca W. Zugic, Emma Threadgold and Linden J. Ball
J. Intell. 2024, 12(4), 42; https://doi.org/10.3390/jintelligence12040042 - 3 Apr 2024
Cited by 5 | Viewed by 3598
Abstract
We tested predictions deriving from the “Pleasure-Interest Model of Aesthetic Liking” (PIA Model), whereby aesthetic preferences arise from two fluency-based processes: an initial automatic, percept-driven default process and a subsequent perceiver-driven reflective process. One key trigger for reflective processing is stimulus complexity. Moreover, [...] Read more.
We tested predictions deriving from the “Pleasure-Interest Model of Aesthetic Liking” (PIA Model), whereby aesthetic preferences arise from two fluency-based processes: an initial automatic, percept-driven default process and a subsequent perceiver-driven reflective process. One key trigger for reflective processing is stimulus complexity. Moreover, if meaning can be derived from such complexity, then this can engender increased interest and elevated liking. Experiment 1 involved graffiti street-art images, pre-normed to elicit low, moderate and high levels of interest. Subjective reports indicated a predicted enhancement in liking across increasing interest levels. Electroencephalography (EEG) recordings during image viewing revealed different patterns of alpha power in temporal brain regions across interest levels. Experiment 2 enforced a brief initial image-viewing stage and a subsequent reflective image-viewing stage. Differences in alpha power arose in most EEG channels between the initial and deliberative viewing stages. A linear increase in aesthetic liking was again seen across interest levels, with different patterns of alpha activity in temporal and occipital regions across these levels. Overall, the phenomenological data support the PIA Model, while the physiological data suggest that enhanced aesthetic liking might be associated with “flow-feelings” indexed by alpha activity in brain regions linked to visual attention and reducing distraction. Full article
(This article belongs to the Special Issue Grounding Cognition in Perceptual Experience)
Show Figures

Figure 1

15 pages, 4211 KB  
Article
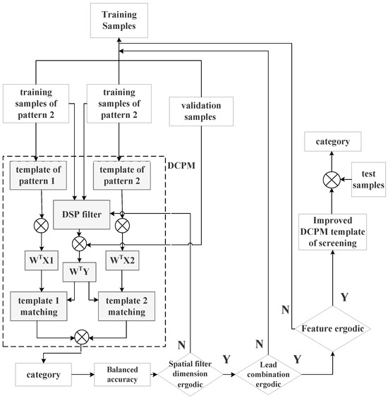
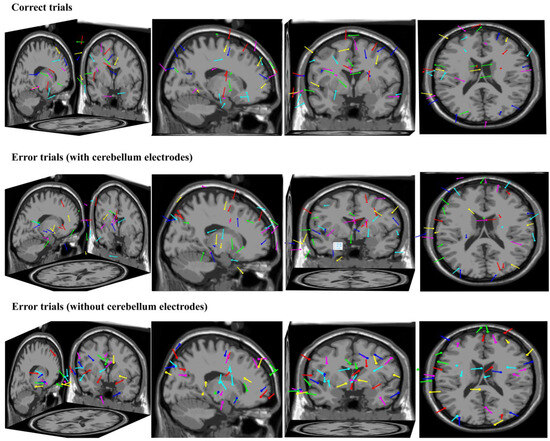
Identification and Verification of Error-Related Potentials Based on Cerebellar Targets
by Chang Niu, Zhuang Yan, Kuiying Yin and Shenghua Zhou
Brain Sci. 2024, 14(3), 214; https://doi.org/10.3390/brainsci14030214 - 26 Feb 2024
Cited by 1 | Viewed by 2368
Abstract
The error-related potential (ErrP) is a weak explicit representation of the human brain for individual wrong behaviors. Previously, ErrP-related research usually focused on the design of automatic correction and the error correction mechanisms of high-risk pipeline-type judgment systems. Mounting evidence suggests that the [...] Read more.
The error-related potential (ErrP) is a weak explicit representation of the human brain for individual wrong behaviors. Previously, ErrP-related research usually focused on the design of automatic correction and the error correction mechanisms of high-risk pipeline-type judgment systems. Mounting evidence suggests that the cerebellum plays an important role in various cognitive processes. Thus, this study introduced cerebellar information to enhance the online classification effect of error-related potentials. We introduced cerebellar regional characteristics and improved discriminative canonical pattern matching (DCPM) in terms of data training and model building. In addition, this study focused on the application value and significance of cerebellar error-related potential characterization in the selection of excellent ErrP-BCI subjects (brain–computer interface). Here, we studied a specific ErrP, the so-called feedback ErrP. Thirty participants participated in this study. The comparative experiments showed that the improved DCPM classification algorithm proposed in this paper improved the balance accuracy by approximately 5–10% compared with the original algorithm. In addition, a correlation analysis was conducted between the error-related potential indicators of each brain region and the classification effect of feedback ErrP-BCI data, and the Fisher coefficient of the cerebellar region was determined as the quantitative screening index of the subjects. The screened subjects were superior to other subjects in the performance of the classification algorithm, and the performance of the classification algorithm was improved by up to 10%. Full article
Show Figures

Figure 1

Back to TopTop