Sign in to use this feature.

Years

Between: -

Subjects

remove_circle_outline
remove_circle_outline
remove_circle_outline
remove_circle_outline
remove_circle_outline
remove_circle_outline
remove_circle_outline
remove_circle_outline
remove_circle_outline

Journals

Article Types

Countries / Regions

Search Results (127)

Search Parameters:
Keywords = atherothrombotic

Order results
Result details
Results per page
Select all
Export citation of selected articles as:
16 pages, 2114 KB  
Article
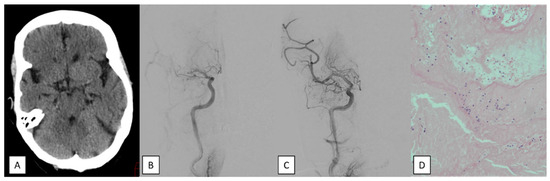
Percutaneous Transluminal Angioplasty and Stenting for Symptomatic Intracranial Stenosis After SAMMPRIS: Patient Selection and Clinical Outcomes
by Leonhard Mann, Patrick Felix Samp, Jan Hendrik Schaefer, Elke Hattingen, Joachim Berkefeld, Dimah Hasan and Fee C. Keil
J. Clin. Med. 2026, 15(2), 633; https://doi.org/10.3390/jcm15020633 - 13 Jan 2026
Viewed by 196
Abstract
Background/Objectives: After the negative results of the SAMMPRIS trial, the indication for endovascular treatment of atherosclerotic intracranial artery stenosis (ICAS) was widely restricted. It was the aim of our study to report whether intracranial arterial percutaneous transluminal angioplasty and stenting (PTAS) as ultima [...] Read more.
Background/Objectives: After the negative results of the SAMMPRIS trial, the indication for endovascular treatment of atherosclerotic intracranial artery stenosis (ICAS) was widely restricted. It was the aim of our study to report whether intracranial arterial percutaneous transluminal angioplasty and stenting (PTAS) as ultima ratio therapy is still effective and safe enough. Methods: Between February 2011 and June 2019, 63 consecutive patients with and without emergent large vessel occlusion (ELVO) who received PTAS for symptomatic ICAS in the anterior or vertebrobasilar circulation were included in our study. Results: A total of 32 patients had ELVO. In the remaining 31 patients, a known ICAS was treated with PTAS either because of recurrent stroke despite aggressive medical therapy with dual antiplatelet inhibition (n = 24) or due to progressive hemodynamic ischemia (n = 7). Stenting was successful in all 63 cases. Successful reperfusion was achieved in 94% of ELVO patients. Complications with new neurologic deficits, including dissection, subarachnoid hemorrhage, intracerebral hemorrhage (PH2), and stent thrombosis, were seen in five ELVO patients (16%). At discharge, neurological status improved in 16 patients (50%) and deteriorated in 7 patients (22%). In-hospital mortality happened in 5 of 32 ELVO cases (16%), and all of them had lesions in the vertebrobasilar circulation. Regarding non-ELVO cases, two patients (6%) developed new neurologic deficits due to perforator strokes. There was no in-hospital mortality in this group. Conclusions: Even in unfavorable situations with acute atherothrombotic occlusions or recurrent strokes under aggressive medical therapy of known ICAS, PTAS remains a treatment option with reasonable effectiveness. This should be balanced against other treatment options, taking into account the complication rate, which is not negligible. Full article
Show Figures

Figure 1

17 pages, 962 KB  
Article
Bicuspid Aortic Valve: Old and Novel Gene Contribution to Disease Onset and Complications
by Elena Sticchi, Rosina De Cario, Samuele Suraci, Ada Kura, Martina Berteotti, Lapo Squillantini, Giulia Barbieri, Rebecca Orsi, Maria Pia Fugazzaro, Stefania Colonna, Francesca Gensini, Erika Fiorentini, Anna Maria Gori, Rossella Marcucci, Guglielmina Pepe, Stefano Nistri and Betti Giusti
Diagnostics 2026, 16(1), 104; https://doi.org/10.3390/diagnostics16010104 - 28 Dec 2025
Viewed by 322
Abstract
Background: Bicuspid aortic valve (BAV) is the most common congenital heart defect, and its complications (namely, dilatation of the thoracic ascending aorta) raise concerns regarding the proper timing of aortic surgery. The study aim is to unravel the genetic basis of BAV and [...] Read more.
Background: Bicuspid aortic valve (BAV) is the most common congenital heart defect, and its complications (namely, dilatation of the thoracic ascending aorta) raise concerns regarding the proper timing of aortic surgery. The study aim is to unravel the genetic basis of BAV and its complications through a high-throughput sequencing (HTS) approach and segregation analysis if family members were available. Methods: Fifty-two Italian BAV patients were analyzed by HTS using the Illumina MiSeq platform. Targeted sequencing of 97 genes known to be or plausibly associated with connective tissue disorders or aorthopathy was performed. Thirty-five first-degree relatives of N = 10 probands underwent mutational screening for variants identified in the index cases. Results: HTS identified 194 rare (MAF < 0.01) variants in 63 genes. Regarding previously reported genes, five NOTCH1 variants in four BAV patients, four FBN1 variants in two patients and one GATA5 variant in one patient were identified. Interestingly, among further loci, the possible contribution of PDIA2, LRP1 and CAPN2 was suggested by (a) the increased prevalence of rare genetic variants, independently from their ACMG classification in the whole BAV cohort, and (b) segregation analyses of variants identified in family members. Moreover, the present data also suggest the possible contribution of rare variants to BAV complications, specifically MYLK in aortic dilatation, CAPN2 in BAV calcification and VHL and AGGF1 in valve stenosis. Conclusions: Our results underline clinical and genetic diagnosis complexity in traits considered monogenic, such as BAV, but characterized by variability in disease phenotypic expression (incomplete penetrance), as well as the contribution of different major and modifier genes to the development of complications. Full article
(This article belongs to the Section Pathology and Molecular Diagnostics)
Show Figures

Graphical abstract

12 pages, 268 KB  
Review
Significance of Whole Blood Viscosity in Acute Ischemic Stroke
by Irena Velcheva, Nadia Antonova and Tsocho Kmetski
Life 2025, 15(12), 1869; https://doi.org/10.3390/life15121869 - 5 Dec 2025
Viewed by 593
Abstract
The paper provides a comprehensive review of the relationship between whole blood viscosity (WBV) and acute ischemic stroke (AIS) concerning AIS risk and type, and its treatment and prognosis. A significant increase in diastolic blood viscosity (DBV) at the onset of AIS was [...] Read more.
The paper provides a comprehensive review of the relationship between whole blood viscosity (WBV) and acute ischemic stroke (AIS) concerning AIS risk and type, and its treatment and prognosis. A significant increase in diastolic blood viscosity (DBV) at the onset of AIS was established in the small-artery occlusion stroke subtype. In patients with atherothrombotic causes of AIS, systolic (SBV) and DBV values were higher than in those with an embolic cause. The higher WBV at low shear rates on hospital admission is associated with an increased risk of early neurological deterioration and disease progression in the patients with AIS. Most studies reveal the association of increased WBV at the stroke onset with poor functional outcome after applying intravenous thrombolysis or endovascular thrombectomy. However, significant reduction in WBV after the combined use of these therapeutic methods in AIS patients was observed. Whole blood viscosity has an obvious effect on the risk of AIS, its clinical severity and outcome. Further research is needed due to the multiple devices and techniques used, like cone–plate viscometers, scanning capillary viscometers, EMS viscometers, parallel-plate rheometers and the different associations of WBV with some of the applied treatment strategies. Full article
(This article belongs to the Special Issue Blood Rheology: Insights & Innovations)
16 pages, 678 KB  
Article
Refractory Thrombectomy: Incidence and Related Factors in a Third-Level Stroke Treatment Center
by Laura Restrepo-Carvajal, Francisco Hernández-Fernández, Angela Fernández-López, Laura Rojas-Bartolomé, Miguel de la Fuente, Cristian Alcahut, Blanca Serrano-Serrano, María Payá, Juan David Molina-Nuevo, Jorge García-García, Oscar Ayo-Martín, Rosa Angélica Barbella-Aponte, Gemma Serrano-Heras and Tomás Segura
J. Clin. Med. 2025, 14(23), 8514; https://doi.org/10.3390/jcm14238514 - 30 Nov 2025
Viewed by 354
Abstract
Background/Objectives: The efficacy of mechanical thrombectomy in large vessel occlusion has been established in multiple clinical trials as the standard of care for acute ischemic stroke. However, the incidence of refractory thrombectomy (RT), as well as related factors, remains unclear. Methods: We [...] Read more.
Background/Objectives: The efficacy of mechanical thrombectomy in large vessel occlusion has been established in multiple clinical trials as the standard of care for acute ischemic stroke. However, the incidence of refractory thrombectomy (RT), as well as related factors, remains unclear. Methods: We designed a retrospective study based on our prospective database from December 2014 to December 2023, collecting together the data on patients with large/medium vessel occlusion and reperfusion technique failure. We analyzed clinical, laboratory, histopathological, and radiological markers, as well as predictive variables of RT, mRS at three months, and symptomatic intracranial hemorrhage (sICH). Results: Among 733 patients, the incidence of refractory thrombectomy was 7.4% (n = 54). The most relevant causes were technical difficulties in passing through the occlusion (33.3%), clot resistance to extraction despite correct device placement (31.5%), and underlying intracranial stenosis (13%). A total of 20 recalcitrant thrombi were analyzed. Both atherotrombotic cause (OR 4.22, CI 95% 1.1–16.25; p = 0.04) and the absence of hyperdense artery sign (HAS) on CT (OR 0.26, 95% CI 0.09–0.79; p = 0.02) were independent predictors of RT outcome. For sICH, independent predictors were NIHSS at admission (OR 1.1; 95% CI 1.02–1.18; p = 0.008), protective effect in M1 occlusions (OR 0.28; 95% CI 0.09–0.88; p = 0.03), and prior IV thrombolysis (OR 0.38; 95% CI 0.16–0.93; p = 0.03). Finally, for favorable clinical outcome (mRS 0-2), a correlation was found with the NIHSS score at admission (OR 1.11; 95% CI 1.08–1.14; p = 0.0001), a history of diabetes (OR 0.53, 95% CI 1.02–1.18; p= 0.004), and RT status (OR 0.06, 95% CI 0.01–0.31; p = 0.001). No direct relationship was found between the clot composition and prognostic variables or first-line recanalization strategy. Conclusions: In our cohort, the incidence of refractory thrombectomies was low and associated with a worse clinical outcome. Absence of the hyperdense artery sign and the atherothrombotic stroke subtype were found to be independent predictors of refractory recanalization. Full article
(This article belongs to the Topic Diagnosis and Management of Acute Ischemic Stroke)
Show Figures

Figure 1

13 pages, 644 KB  
Article
Sleep Irregularity and Short Sleep Duration Are Associated with Less Favorable Cardiometabolic Profiles in Healthy Adults: A Cross-Sectional Study
by Sofia Lotti, Antonia Napoletano, Monica Dinu, Elisabetta Picchi, Ugo Faraguna, Ilaria Giangrandi, Francesca Cesari, Rossella Marcucci, Francesco Sofi and Barbara Colombini
Nutrients 2025, 17(23), 3763; https://doi.org/10.3390/nu17233763 - 30 Nov 2025
Viewed by 1585
Abstract
Background/Objectives: The aim of this study is to evaluate the relation between sleep quantity (TST), efficiency (SE) and regularity (SRI) and cardiometabolic parameters and eating habits. Methods: Seventy clinically healthy adults (74% females; mean age 28.3 ± 10.1 years) were recruited [...] Read more.
Background/Objectives: The aim of this study is to evaluate the relation between sleep quantity (TST), efficiency (SE) and regularity (SRI) and cardiometabolic parameters and eating habits. Methods: Seventy clinically healthy adults (74% females; mean age 28.3 ± 10.1 years) were recruited at the Clinical Nutrition Unit of Careggi University Hospital, Florence, between October 2023 and December 2024. Sleep was monitored for 7 days using a Fitbit Alta HR actigraphy. Cardiometabolic health was assessed via bioimpedance and blood samples. Dietary habits were evaluated through 3-day food diaries and the Medi-Lite questionnaire. Results: Participants had an average TST of 7.4 ± 1.1 h, SE of 84.9 ± 6.9%, and SRI of 62.2 ± 19.9. Lower SRI (≤41, 1st quintile) was associated with higher fat mass (19.9 ± 6.7 vs. 15.2 ± 6.6%), higher total cholesterol (183.9 ± 20.9 vs. 155.0 ± 26.8 mg/dL), and lower folate (3.6 ± 1.6 vs. 5.6 ± 2.5 ng/mL) compared to higher SRI (≥80, 5th quintile). Sleeping <7 h/night was linked to higher BMI (22.6 ± 2.1 vs. 21.5 ± 2.0 kg/m2) and homocysteine (11.4 ± 2.3 vs. 10.4 ± 3.3 μmol/L). Weak but significant inverse correlations emerged between TST and BMI (R = −0.26, p = 0.02) and between SRI and cholesterol (R = −0.28, p = 0.01), but these associations disappeared in the multivariable linear regression adjusted model. Conclusions: These findings underscore the role of sleep duration and regularity in shaping body composition and cardiometabolic health, supporting its relevance as a modifiable public health priority. Full article
(This article belongs to the Section Nutrition and Public Health)
Show Figures

Figure 1

30 pages, 2635 KB  
Review
Monocytes/Macrophages and Atherogenesis
by Sergey Kozlov, Tatiana Riazantseva, Ivan Melnikov, Sergey Okhota, Viktoriia Vasenkova, Olga Saburova, Yuliya Avtaeva, Konstantin Guria, Lyudmila Prokofieva and Zufar Gabbasov
Int. J. Mol. Sci. 2025, 26(22), 10962; https://doi.org/10.3390/ijms262210962 - 12 Nov 2025
Viewed by 1136
Abstract
Atherosclerosis is a widespread cardiovascular disease characterized by retention of atherogenic lipoproteins in the arterial wall and the onset of subclinical vascular inflammation; the development of atherosclerotic plaques; eventual narrowing of the arterial lumen and/or plaque disruption; and subsequent manifestation with stable ischemia [...] Read more.
Atherosclerosis is a widespread cardiovascular disease characterized by retention of atherogenic lipoproteins in the arterial wall and the onset of subclinical vascular inflammation; the development of atherosclerotic plaques; eventual narrowing of the arterial lumen and/or plaque disruption; and subsequent manifestation with stable ischemia or acute atherothrombotic events. Numerous cell types are implicated in atherogenesis. Monocytes/macrophages are considered pivotal participants in this complex process. They play a crucial role in the onset and augmentation of inflammation and greatly contribute to atherosclerotic plaque growth and destabilization. However, monocytes/macrophages are also essential for the resolution of inflammation and the stabilization of atherosclerotic lesions. In this regard, studies of the function of monocytes/macrophages in relation to this disease are of considerable interest to researchers, as the results can help to design new drugs aimed at preventing the development of atherosclerosis and its complications. This review presents current data on the classification and functions of monocytes/macrophages; discusses current hypotheses regarding the involvement of monocytes/macrophages in atherogenesis; and highlights existing gaps in evidence. This review is primarily aimed at readers with a background in clinical medicine who are interested in the involvement of monocytes/macrophages in atherogenesis. Full article
(This article belongs to the Special Issue Cellular and Molecular Mechanisms of Cardiovascular Repair)
Show Figures

Figure 1

11 pages, 217 KB  
Article
Postmarketing Surveillance of Thrombectomy Using a Tron FX Stent Retriever for Large and Medium Vessel Occlusion
by Hirotoshi Imamura, Nobuyuki Sakai, Masataka Takeuchi, Tsuyoshi Ohta, Nobuyuki Ohara, Yukako Yazawa, Yoshinori Akiyama, Maki Fukuda, Keisuke Imai, Chiaki Sakai, Yasushi Matsumoto, Yuji Matsumaru, Hiroshi Yamagami, Shinichi Yoshimura, Yasushi Ito, Naoya Kuwayama and Tatsuo Kagimura
J. Clin. Med. 2025, 14(22), 7913; https://doi.org/10.3390/jcm14227913 - 7 Nov 2025
Viewed by 708
Abstract
Background/Objectives: The Tron FX is a stent retriever thrombectomy device that underwent a clinical trial in Japan in 2016. Its key feature is the availability of a 2/15 mm model designed for medium-vessel occlusion (MeVO). This study reports the results of postmarketing [...] Read more.
Background/Objectives: The Tron FX is a stent retriever thrombectomy device that underwent a clinical trial in Japan in 2016. Its key feature is the availability of a 2/15 mm model designed for medium-vessel occlusion (MeVO). This study reports the results of postmarketing surveillance (PMS) conducted from 2019 to 2020. Methods: The PMS included data from 240 patients in whom a Tron FX was used during the first pass at 24 Japanese institutions. Occluded vessels involving the M2 and M3 segments of the middle cerebral artery, anterior cerebral artery, and posterior cerebral artery were classified as MeVO. The recanalization rate, first pass effect (FPE) rate, symptomatic intracranial hemorrhage (sICH) rate, and favorable prognosis rate at 90 days were evaluated. Treatment outcomes were also analyzed for cases in which the device was used after the second pass, excluding those with tandem occlusion, atherothrombotic brain infarction (ATBI), or percutaneous transluminal angioplasty (evaluation-appropriate cases), stratified by MeVO and large vessel occlusion (LVO) and according to Tron FX device size. Results: A total of 244 cases were enrolled, of which 218 were evaluation-appropriate. Across all cases, the recanalization rate (modified Thrombolysis in Cerebral Infarction score ≥ 2b) was 70.9%, the FPE rate was 23.4%, the sICH rate was 3.8%, and the proportion of patients with a good prognosis (modified Rankin Scale score 0–2 at 90 days) was 53.1%. Among evaluation-appropriate cases, excluding those with tandem lesions or ATBI, the corresponding rates were 72.9%, 24.8%, 6.9%, and 45.5%, respectively. When analyzed by occluded vessel type, the rates for MeVO were 71.9%, 23.7%, 6.1%, and 45.7%, respectively, while those for LVO were 74.0%, 26.0%, 7.7%, and 45.1%. According to device size, the outcomes for the 2/15 mm Tron FX were 72.9%, 23.5%, 4.7%, and 50.0%, respectively, and those for the 4/20 mm device were 72.9%, 25.6%, 8.3%, and 42.5%. Conclusions: The PMS results for the Tron FX thrombectomy device were excellent, particularly for MeVO and the 2/15 mm model. These findings suggest that the Tron FX may help improve thrombectomy outcomes in MeVO. Full article
28 pages, 1724 KB  
Systematic Review
Proinflammatory Risk Factors in Patients with Ischemic Stroke: A Systematic Review and Meta-Analysis
by Alexandru Gerdanovics, Ioana Cristina Stănescu, Camelia Manuela Mîrza, Gabriela Bombonica Dogaru, Cristina Ariadna Nicula, Paul-Mihai Boarescu, Cezara-Andreea Gerdanovics and Adriana Elena Bulboacă
Antioxidants 2025, 14(10), 1229; https://doi.org/10.3390/antiox14101229 - 14 Oct 2025
Viewed by 2312
Abstract
Ischemic stroke is a leading cause of disability worldwide, often triggered by atherothrombotic or embolic events. A growing body of evidence highlights the role of neuroinflammation as a central mechanism in post-stroke damage, influenced by modifiable systemic risk factors. Emerging evidence suggests that [...] Read more.
Ischemic stroke is a leading cause of disability worldwide, often triggered by atherothrombotic or embolic events. A growing body of evidence highlights the role of neuroinflammation as a central mechanism in post-stroke damage, influenced by modifiable systemic risk factors. Emerging evidence suggests that oxidative stress mediates the impact of several modifiable risk factors by activating redox-sensitive pathways (such as NF-κB), impairing nitric oxide bioavailability, and promoting matrix metalloproteinase activity that disrupts vascular integrity and contributes to ischemic injury. In this context, our meta-analysis examined major modifiable risk factors for ischemic stroke, with a particular focus on their shared ability to promote oxidative stress and neuroinflammatory cascades. By emphasizing these redox-dependent mechanisms, our work supports the biological plausibility of exploring antioxidant strategies as complementary approaches to mitigate stroke risk. Hypertension, diabetes, dyslipidemia, smoking, atrial fibrillation, and transient ischemic attacks all contribute to oxidative damage through mechanisms such as endothelial dysfunction, vascular inflammation, and excessive free radical exposure. We searched PubMed, PubMed Central, Web of Science, and Scopus for observational studies published within the last five years, identifying 23 studies (691,524 participants) meeting eligibility criteria. Using a random-effects model, we found significant associations between stroke risk and hypertension (OR = 1.58, 95% CI: 1.28–1.94), smoking (OR = 1.61, 95% CI: 1.13–2.28), type 2 diabetes (OR = 1.53, 95% CI: 1.29–1.81), atrial fibrillation (OR = 1.88, 95% CI: 1.28–2.75), and prior transient ischemic attack (OR = 1.62, 95% CI: 1.24–2.11). These risk factors are known to contribute to systemic inflammation, potentially exacerbating neuroinflammatory cascades post-stroke. Despite limitations such as heterogeneity and low certainty of evidence, our findings reinforce the relevance of targeting inflammation-driven risk factors in stroke prevention strategies and future research. Full article
(This article belongs to the Special Issue Oxidative Stress and Inflammation in Neurologic Diseases)
Show Figures

Figure 1

23 pages, 721 KB  
Perspective
Integrating Emotional Stress and Lipid Lowering in Cardiovascular Disease Management: The Future of Precision Cardiovascular Prevention
by Emmanuel Eroume A Egom and Bernadette Sandrine Lema
J. Clin. Med. 2025, 14(20), 7208; https://doi.org/10.3390/jcm14207208 - 13 Oct 2025
Viewed by 2379
Abstract
Residual cardiovascular risk remains substantial despite widespread adoption of intensive lipid-lowering strategies—statins, PCSK9 inhibitors, and RNA-based agents—that achieve very low LDL-C and apoB levels. Over the past three years, converging epidemiologic and mechanistic evidence has highlighted emotional stress—including anger, grief, anxiety, and chronic [...] Read more.
Residual cardiovascular risk remains substantial despite widespread adoption of intensive lipid-lowering strategies—statins, PCSK9 inhibitors, and RNA-based agents—that achieve very low LDL-C and apoB levels. Over the past three years, converging epidemiologic and mechanistic evidence has highlighted emotional stress—including anger, grief, anxiety, and chronic psychosocial strain—as a biologically active determinant of atherosclerotic disease and a frequent trigger of acute events. We propose the Emotion–Lipid Synergy Model, in which lipid burden establishes the atherothrombotic substrate while emotion-driven autonomic and vascular perturbations amplify endothelial dysfunction, microvascular constriction, inflammation, and thrombogenicity—thereby widening the residual-risk gap even when lipid targets are met. From this perspective, prevention should evolve toward precision psychocardiology: systematically screening for distress and stress reactivity; leveraging wearables to detect high-risk emotional states; and delivering timely, scalable, just-in-time behavioral interventions alongside guideline-directed lipid management. Particular attention is warranted for women and patients with angina and no obstructive coronary disease, who appear disproportionately susceptible to mental-stress ischemia. We outline a research agenda—flagship outcomes trials, mechanistic studies, and multimodal phenotyping—and discuss implementation pathways that integrate emotion metrics into cardiac rehabilitation and routine care. Integrating emotion assessment and modulation with lipid control offers a pragmatic route to reduce residual risk and advance equitable, personalized cardiovascular prevention. Full article
(This article belongs to the Section Cardiovascular Medicine)
Show Figures

Figure 1

19 pages, 1399 KB  
Review
Myocardical Infarction in Young Adults: Revisiting Risk Factors and Atherothrombotic Pathways
by Petre Alexandru Cojocaru, Maria Loredana Țieranu, Mina Teodora Luminița Piorescu, Ionuț Cezar Buciu, Alexandru Mugurel Belu, Silvana Isabella Cureraru, Eugen Nicolae Țieranu, Gianina Cristiana Moise and Octavian Istratoaie
Medicina 2025, 61(9), 1615; https://doi.org/10.3390/medicina61091615 - 7 Sep 2025
Cited by 1 | Viewed by 2906
Abstract
Background: Myocardial infarction (MI) in young adults, once a rarity, is increasingly recognized as a distinct clinical entity. Unlike traditional MI patients, younger individuals often present without established risk factors or advanced atherosclerosis, prompting a reevaluation of pathophysiologic paradigms and risk assessment [...] Read more.
Background: Myocardial infarction (MI) in young adults, once a rarity, is increasingly recognized as a distinct clinical entity. Unlike traditional MI patients, younger individuals often present without established risk factors or advanced atherosclerosis, prompting a reevaluation of pathophysiologic paradigms and risk assessment strategies. Objective: This review synthesizes current evidence on the epidemiology, pathophysiology, and diagnostic challenges of MI in adults under 55 years, with emphasis on risk factor profiles. We distinguish between traditional cardiovascular risk factors—smoking, dyslipidemia, hypertension, diabetes, obesity, and family history—and emerging contributors, including elevated lipoprotein(a), recreational drug use (cocaine, cannabis, amphetamines), autoimmune and inflammatory conditions, psychosocial stress, sleep disorders, genetic predisposition, and non-atherosclerotic mechanisms such as myocardical infarction with non-obstructive coronary arteries, spontaneous coronary artery dissection, SCAD and Takotsubo syndrome. Methods: A narrative literature review was conducted, focusing on studies from the last five years addressing MI in young adults, including data from large registries, cohort studies, and recent experimental findings. Full article
(This article belongs to the Special Issue Updates on Risk Factors and Prevention of Coronary Artery Disease)
Show Figures

Figure 1

17 pages, 12172 KB  
Article
Identification of Differential Proteins in Thrombi of Cardioembolic and Atherothrombotic Etiology in Patients with Ischemic Stroke
by Lorena Peracho, Emma Martínez-Alonso, Isabel Bermúdez, Antonio Cruz-Culebras, Alicia De Felipe, Eduardo Fandiño, Sebastián García-Madrona, María Consuelo Matute-Lozano, Jose Carlos Méndez-Cendón, Rocío Vera-Lechuga, Jaime Masjuan and Alberto Alcázar
Int. J. Mol. Sci. 2025, 26(17), 8333; https://doi.org/10.3390/ijms26178333 - 28 Aug 2025
Viewed by 979
Abstract
Knowing the precise etiology in ischemic stroke is necessary to ensure accurate diagnosis and decide on appropriate preventive treatments, especially in those of undetermined cause. Analysis of the thrombus protein composition could be useful to identify diagnostic biomarkers to help determine the stroke [...] Read more.
Knowing the precise etiology in ischemic stroke is necessary to ensure accurate diagnosis and decide on appropriate preventive treatments, especially in those of undetermined cause. Analysis of the thrombus protein composition could be useful to identify diagnostic biomarkers to help determine the stroke origin. Thrombi from 54 ischemic stroke patients with large vessel occlusion (LVO), of cardioembolic and atherothrombotic etiology, were analyzed using a proteomics approach. The proteome profile was compared between them to detect differential proteins of each etiology. Peptides of those differential proteins were quantified and related to the neurological function and clinical status of the patients. Of the 516 proteins identified, three showed significant differences between atherothrombotic and cardioembolic thrombi. These were fibronectin (FINC), 2,3-bisphosphoglycerate mutase (PMGE), and tropomyosin-1 (TPM1). Combining these proteins in a biomarker panel provided good sensitivity and high specificity for differentiating cardioembolic and atherothrombotic strokes. In addition, several of the quantified peptide levels correlated with clinical parameters related to stroke severity and prognosis. Three proteins differentially detected in ischemic stroke thrombi could be useful tools for accurately diagnosing ischemic stroke etiology, particularly in cases of undetermined cause. These biomarkers should be further analyzed in prospective multicenter studies to demonstrate their usefulness. Full article
(This article belongs to the Special Issue New Advances in Proteomics in Disease)
Show Figures

Figure 1

12 pages, 878 KB  
Article
Ischaemic Stroke in Patients with Known Atrial Fibrillation: A Snapshot from a Large University Hospital Experience
by Giulia Domna Scrima, Cristina Sarti, Giovanni Pracucci, Rita Nistri, Costanza Maria Rapillo, Benedetta Piccardi, Miroslava Stolcova, Francesca Ristalli, Alessio Mattesini, Carlo Nozzoli, Alessandro Morettini, Alberto Moggi Pignone, Patrizia Nencini, Carlo Di Mario, Rossella Marcucci and Francesco Meucci
J. Clin. Med. 2025, 14(17), 6012; https://doi.org/10.3390/jcm14176012 - 25 Aug 2025
Viewed by 710
Abstract
Objectives: Atrial fibrillation (AF) is associated with high risk of ischaemic stroke (IS). Oral anticoagulant therapy (OAT) is the standard of care for stroke prevention, even though its management remains challenging in clinical practice. An emerging problem is embolic events occurring on [...] Read more.
Objectives: Atrial fibrillation (AF) is associated with high risk of ischaemic stroke (IS). Oral anticoagulant therapy (OAT) is the standard of care for stroke prevention, even though its management remains challenging in clinical practice. An emerging problem is embolic events occurring on adequately conducted OAT, the so-called resistant stroke (RS). We aimed to describe pre-stroke prevention therapy, management on hospital discharge, and therapy at follow-up in all patients with AF hospitalized for IS and in the RS subgroup. Methods: We conducted a retrospective monocentric study of patients with known AF hospitalized for an IS. A subgroup with RS was identified. We recorded information on prevention therapy at home, recommended therapy at discharge, and data on outcome and prevention therapy at follow-up. Results: We identified 226 patients, 61% females, median age 84.04 years. Preventive therapy at home was performed in 121 (53.5%) (119 OAT and 2 Left Atrial Appendage Occlusion). At hospital discharge OAT was prescribed to 78.2% of patients. RS was diagnosed in 33 patients whose management at discharge was: same OAT in 12, shift to another Direct Oral Anticoauglant (DOAC) in 5, from DOAC to Vitamin K Antagonist (VKA) and vice versa in 11, non-specified OAT in 4. At final, follow-up of 208 days (range 85–443) 23.3% (34/146) did not assume OAT. OAT was significantly associated with survival probability (p < 0.001). Conclusions: Our findings confirm a scarce adoption of guidelines for AF-related embolic events, even in the absence of absolute contraindication to OAT. RS remains an underexplored clinical entity with empirical management, highlighting the need for targeted research and tailored therapeutic strategies. Full article
(This article belongs to the Special Issue Application of Anticoagulation and Antiplatelet Therapy)
Show Figures

Figure 1

13 pages, 272 KB  
Article
Pleiotropic Effects of Oral Anticoagulant Therapy: Is There a Difference Between VKAs and DOACs?
by Francesco Alfano, Anna Maria Gori, Martina Berteotti, Angela Rogolino, Francesca Cesari, Emilia Salvadori, Benedetta Formelli, Francesca Pescini, Carmen Barbato, Betti Giusti, Anna Poggesi and Rossella Marcucci
Biomedicines 2025, 13(8), 1850; https://doi.org/10.3390/biomedicines13081850 - 30 Jul 2025
Cited by 1 | Viewed by 764
Abstract
Background: Atrial fibrillation (AF) is one of the most common heart rhythm disorders encountered in clinical practice. Emerging evidence suggests a significant role of inflammation in the pathogenesis of AF, but certain questions still remain unanswered, in particular whether AF-related inflammation is [...] Read more.
Background: Atrial fibrillation (AF) is one of the most common heart rhythm disorders encountered in clinical practice. Emerging evidence suggests a significant role of inflammation in the pathogenesis of AF, but certain questions still remain unanswered, in particular whether AF-related inflammation is a cause or a consequence of the arrhythmia, and whether inflammation reflects underlying disease or AF itself. At the current state of the art, scientific evidence on the role of oral anticoagulants (OAC) in modulating pro-inflammatory cytokines implicated in the pathogenesis of AF remains scarce. The aim of our study was to evaluate, in a population of AF patients undergoing OAC, the different roles of anticoagulant therapy [Vitamin K antagonists (VKAs) and direct oral anti-coagulants (DOACs)] in modulating the levels of inflammatory biomarkers in AF. Methods: The Strat-AF study is an observational, prospective, single center, hospital-based study enrolling elderly patients with AF. Results refer to 170 subjects with complete clinical and biohumoral assessment. Results: At multivariate logistic regression analysis, adjusted for several covariates, VKA treatment was an independent protective predictor for having a high grade of inflammation not balanced by anti-inflammatory cytokine levels [OR = 0.26 (0.10–0.69), p = 0.007]. Conclusions: These results from the Strat-AF study are “generators of hypotheses” and provide preliminary evidence for the differential effects of VKAs and DOACs on inflammatory biomarkers (e.g., IL-6, TNF-α) in AF patients. These findings suggest that inflammatory biomarkers could enhance stroke risk prediction models, potentially improving a tailored AF management. Full article
(This article belongs to the Special Issue Advanced Research in Atrial Fibrillation)
15 pages, 1233 KB  
Article
Predicting Stroke Etiology with Radiomics: A Retrospective Study
by Jacobo Porto-Álvarez, Antonio Jesús Mosqueira Martínez, Javier Martínez Fernández, José L. Taboada Arcos, Miguel Blanco Ulla, José M. Pumar, María Santamaría, Emilio Rodríguez Castro, Ramón Iglesias Rey, Pablo Hervella, Pedro Vieites Pérez, Manuel Taboada Muñiz, Roberto García-Figueiras and Miguel Souto Bayarri
Med. Sci. 2025, 13(3), 98; https://doi.org/10.3390/medsci13030098 - 26 Jul 2025
Viewed by 1086
Abstract
Background/Objectives: The composition of the thrombus is not taken into account in the etiology determination of patients with acute ischemic stroke (AIS); however, it varies depending on the origin of the thrombus, as atherothrombotic thrombi contain more red blood cells and cardioembolic [...] Read more.
Background/Objectives: The composition of the thrombus is not taken into account in the etiology determination of patients with acute ischemic stroke (AIS); however, it varies depending on the origin of the thrombus, as atherothrombotic thrombi contain more red blood cells and cardioembolic thrombi contain more fibrin and platelets. Radiomics has the potential to provide quantitative imaging data that may vary depending on the composition of thrombi. The aim of this study is to predict cardioembolic and atherothrombotic thrombi using radiomic features (RFs) from non-contrast computed tomography (NCCT) brain scans. Methods: A total of 845 RFs were extracted from each of the 41 patients included in the study. A predictive model was used to classify patients as either cardioembolic or atherothrombotic, and the results were compared with the TOAST criteria-based classification. Results: Ten RFs (one shape feature and nine texture features) were found to demonstrate a statistically significant correlation with cardioembolic or atherothrombotic origins. The predictive radiomics model achieved an area under the curve (AUC) of 0.842 and an accuracy of 0.902 (p < 0.001) in classifying stroke etiology. Conclusions: Radiomics based on NCCT can help to determine the etiology of AIS. Full article
Show Figures

Figure 1

25 pages, 1860 KB  
Review
Advances in Pathophysiology and Novel Therapeutic Strategies for Coronary No-Reflow Phenomenon
by Hubert Borzuta, Wiktor Kociemba, Oliwia Bochenek, Monika Jarowicz and Agnieszka Wsół
Biomedicines 2025, 13(7), 1716; https://doi.org/10.3390/biomedicines13071716 - 14 Jul 2025
Cited by 2 | Viewed by 3280
Abstract
Coronary no-reflow (CNR) is the failure of blood to reperfuse ischemic myocardial tissue after restoration of the vasculature. CNR poses a significant clinical challenge in the treatment of patients with ST-segment elevation myocardial infarction (STEMI), as it increases mortality and the risk of [...] Read more.
Coronary no-reflow (CNR) is the failure of blood to reperfuse ischemic myocardial tissue after restoration of the vasculature. CNR poses a significant clinical challenge in the treatment of patients with ST-segment elevation myocardial infarction (STEMI), as it increases mortality and the risk of major adverse cardiac events (MACEs). Myocardial ischemia with subsequent reperfusion results in severe damage to the cardiac microcirculation. The pathophysiological causes of CNR include cardiomyocyte vulnerability, capillary and endothelial damage, leukocyte activation, reactive oxygen species (ROS) production, and changes in microRNA profiles and related gene expression. The impact of percutaneous coronary intervention (PCI) on the occurrence of CNR cannot be overlooked, as it can provoke distal atherothrombotic embolization. Current standards of pharmacological therapy for CNR are confined to intracoronary vasodilators and antiplatelet agents. As our understanding of the pathogenesis of the CNR phenomenon improves, opportunities emerge for developing novel therapeutic strategies. The following literature review provides an overview of the pathophysiology of the no-reflow phenomenon (based on animal and preclinical studies), contemporary treatment trends, and current therapeutic approaches. Full article
(This article belongs to the Section Molecular and Translational Medicine)
Show Figures

Figure 1

Back to TopTop