Sign in to use this feature.

Years

Between: -

Subjects

remove_circle_outline
remove_circle_outline
remove_circle_outline
remove_circle_outline
remove_circle_outline
remove_circle_outline

Journals

Article Types

Countries / Regions

Search Results (26)

Search Parameters:
Keywords = anti-GAD antibodies

Order results
Result details
Results per page
Select all
Export citation of selected articles as:
10 pages, 3602 KB  
Case Report
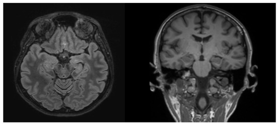
Oculomotor Abnormalities in Anti-Glutamic Acid Decarboxylase-Positive Stiff Person Syndrome
by Pavol Skacik, Jaroslav Petrisin, Kristian Sveda, Monika Turcanova-Koprusakova, Milan Grofik, Stefan Sivak and Egon Kurca
Neurol. Int. 2025, 17(11), 179; https://doi.org/10.3390/neurolint17110179 - 3 Nov 2025
Cited by 1 | Viewed by 547
Abstract
Background: Antibodies to glutamic acid decarboxylase (anti-GAD) can give rise to stiff person syndrome (SPS), an infrequent autoimmune condition of the central nervous system marked by fluctuating muscular rigidity and stimulus-evoked spasms. Disturbances in eye-movement control are rarely identified yet may provide insight [...] Read more.
Background: Antibodies to glutamic acid decarboxylase (anti-GAD) can give rise to stiff person syndrome (SPS), an infrequent autoimmune condition of the central nervous system marked by fluctuating muscular rigidity and stimulus-evoked spasms. Disturbances in eye-movement control are rarely identified yet may provide insight into underlying neural involvement. Methods: Two individuals with anti-GAD-related SPS showing distinctive ocular-motor abnormalities were examined with quantitative videonystagmography, supplemented by representative video documentation. Results: Recordings demonstrated varied patterns of ocular-motor disturbance, including reduced smooth-pursuit accuracy, delayed saccadic initiation, dysmetria, intrusive saccades, and several nystagmus types. Partial improvement occurred after immunomodulatory therapy. Conclusions: These findings extend current understanding of the anti-GAD SPS phenotype and indicate that quantitative analysis of eye movements may offer a sensitive, non-invasive marker of disease activity. Larger, prospective studies are needed to clarify prevalence and responsiveness to treatment. Full article
(This article belongs to the Special Issue Biomarker Research in Neuromuscular Diseases)
Show Figures

Graphical abstract

13 pages, 976 KB  
Article
Pancreatic Ultrasound Features at Diagnosis of Type 1 Diabetes: Age-Related Differences in Children
by Emre Özer, Sefa Tığrak, Ayşe Seçil Ekşioğlu, Pınar Kocaay, Abdurrahman Bitkay, Keziban Toksoy Adıgüzel, Mehmet Boyraz and Fatih Gürbüz
J. Clin. Med. 2025, 14(21), 7490; https://doi.org/10.3390/jcm14217490 - 23 Oct 2025
Viewed by 1018
Abstract
Background/Objectives: To evaluate pancreatic size and echogenicity using ultrasonography in newly diagnosed pediatric Type 1 Diabetes Mellitus patients within five days of diagnosis, and compare early childhood (<7 years) and adolescent (≥13 years) endotypes with clinical and laboratory findings. Methods: This prospective, cross-sectional, [...] Read more.
Background/Objectives: To evaluate pancreatic size and echogenicity using ultrasonography in newly diagnosed pediatric Type 1 Diabetes Mellitus patients within five days of diagnosis, and compare early childhood (<7 years) and adolescent (≥13 years) endotypes with clinical and laboratory findings. Methods: This prospective, cross-sectional, case–control study included 69 pediatric patients with newly diagnosed type 1 diabetes mellitus, aged 1–18 years, and 78 age- and sex-matched healthy controls. Patients with chronic conditions (e.g., pancreatitis or cystic fibrosis), other forms of diabetes, or medications affecting glucose metabolism were excluded. Ultrasonography was performed within five days of diagnosis, after metabolic stabilization, to assess pancreatic dimensions and echogenicity. Laboratory analyses included measurements of C-peptide, HbA1c, and autoantibodies (anti-GAD, islet cell antibody, and insulin antibody). Results: Pancreatic dimensions were significantly smaller in type 1 diabetes mellitus patients (p < 0.001), with greater reductions in adolescents (head: 21%, body: 26.7%) vs. young children (head: 14.4%, body: 15.5%). Isoechoic pancreases were more common in young patients (80% vs. 40.9%; p = 0.033). C-peptide and HgbA1c were higher in adolescents (p < 0.05), with no echogenicity–autoantibody association. Conclusions: This first early-post-diagnosis ultrasonography study reveals age-specific pancreatic atrophy and echogenicity changes in children, more severe in adolescents, reflecting type 1 diabetes mellitus endotypes. Ultrasonography offers a practical noninvasive tool for early detection and endotype stratification, informing personalized diabetes care. Full article
(This article belongs to the Section Clinical Pediatrics)
Show Figures

Figure 1

22 pages, 5732 KB  
Article
Autoantibody Profiling for Accurate Differentiation of Type 1 and Type 2 Diabetes Mellitus in Omani Patients: A Retrospective Study
by Souad Al-Okla, Salima Al Maqbali, Hamdi Al Mutori, Amna Mohammed Al-Hinai, Rayyan Hassan Al Bloushi, Mallak Ahmed Aljabri, Haya Nasser Alsenani and Mohammad Al Shafaee
Diagnostics 2025, 15(18), 2296; https://doi.org/10.3390/diagnostics15182296 - 10 Sep 2025
Cited by 1 | Viewed by 2031
Abstract
Background/Objectives: Differentiating Type 1 from Type 2 diabetes mellitus (T1DM vs. T2DM) remains clinically challenging, especially in early-onset cases with overlapping features. This study assessed the diagnostic utility of diabetes-related autoantibodies in an Omani cohort and evaluated their predictive performance using machine learning. [...] Read more.
Background/Objectives: Differentiating Type 1 from Type 2 diabetes mellitus (T1DM vs. T2DM) remains clinically challenging, especially in early-onset cases with overlapping features. This study assessed the diagnostic utility of diabetes-related autoantibodies in an Omani cohort and evaluated their predictive performance using machine learning. Methods: Clinical and laboratory data from 448 patients (aged ≥ 2 years) in Al Batinah North, Oman, were retrospectively analyzed. We assessed autoantibody positivity (anti-GAD, anti-islet, anti-TPO, anti-tissue), age, sex, and HbA1c. Receiver operating characteristic (ROC) curves and a neural network model were used to evaluate diagnostic accuracy. Results: Anti-GAD and anti-islet antibodies were significantly more prevalent in T1DM (69.0% and 64.1%) than T2DM (7.4% and 3.8%; p < 0.0001). HbA1c was elevated in both subtypes but lacked discriminatory specificity. Nearly half (48.5%) of T1DM patients showed multiple antibody positivity, especially in younger age groups. Anti-TPO and anti-tissue antibodies were more frequently detected in T1DM, suggesting broader autoimmunity. ROC analysis showed strong predictive value for anti-islet (AUC = 0.835) and anti-GAD (AUC = 0.827). Neural network modeling identified anti-GAD, anti-islet, and age as the most informative predictors, achieving over 92% classification accuracy. Importantly, antibody positivity in a subset of insulin-treated T2DM patients suggested potential latent autoimmune diabetes (LADA) misclassification. Conclusions: This is the first study in Oman to combine autoantibody screening with AI-based modeling to refine diabetes classification. Our findings highlight the value of immunological profiling in early diagnosis, uncover possible misclassification, and support AI integration to guide individualized management. Full article
(This article belongs to the Special Issue Advances in Modern Diabetes Diagnosis and Treatment Technology)
Show Figures

Figure 1

9 pages, 764 KB  
Article
A Comparative Evaluation of the Chemiluminescence Immunoassay and ELISA for the Detection of Islet Autoantibodies in Type 1 Diabetes
by Elisa Danese, Claudia Piona, Mariateresa Rizza, Elena Tiziani, Laura Pighi, Elisa Morotti, Gian Luca Salvagno, Camilla Mattiuzzi, Claudio Maffeis and Giuseppe Lippi
Diagnostics 2025, 15(13), 1695; https://doi.org/10.3390/diagnostics15131695 - 3 Jul 2025
Cited by 2 | Viewed by 3395
Abstract
Background: The early detection of type 1 diabetes (T1D) through screening for major islet autoantibodies is receiving increasing attention as a public health strategy, exemplified by the recent implementation of a pilot pediatric screening program in Italy. The transition from research-based screening to [...] Read more.
Background: The early detection of type 1 diabetes (T1D) through screening for major islet autoantibodies is receiving increasing attention as a public health strategy, exemplified by the recent implementation of a pilot pediatric screening program in Italy. The transition from research-based screening to large-scale population initiatives needs automated and standardized assays that are capable of processing extensive sample volumes. Hence, this study aimed to evaluate the analytical performance and comparability of a fully automated chemiluminescence immunoassay (CLIA) compared to a conventional enzyme-linked immunosorbent assay (ELISA) for the detection of three classes of major islet antibodies—anti-GAD (GADA), anti-IA-2 (IA-2A), and anti-ZnT8 (ZnT8A). Methods: A total of 104 serum specimens were analyzed for each autoantibody using both ELISA (RSR and Medyzim, DYNES, DSX) and CLIA (MAGLUMI 800). Assay precision and linearity were assessed through intra-assay variability studies and dilution protocols. Methods agreement was evaluated with Passing–Bablok regression, Spearman’s correlation, Bland–Altman analysis, and Cohen’s kappa statistics. Results: The CLIA showed good precision and excellent linearity across clinically relevant concentration ranges of all islet antibodies. Correlation coefficients and categorical agreement between CLIA and ELISA were high (r > 0.96 and Cohen’s kappa >0.8 for all), with ZnT8A exhibiting the highest concordance. However, proportional biases were found, as CLIA systematically underestimated GADA and ZnT8A levels, while overestimated IA-2A compared to the ELISA. Conclusions: The CLIA displayed satisfactory precision and agreement with ELISA for GADA, IA-2A, and ZnT8A detection. Our findings support the use of these automated immunoassays in large-scale population initiatives for diagnosing T1D, but we also highlight the need for further efforts to achieve better inter-assay harmonization. Full article
(This article belongs to the Section Clinical Laboratory Medicine)
Show Figures

Figure 1

9 pages, 265 KB  
Opinion
Proposing Bromo-Epi-Androsterone (BEA) for Stiff Person Syndrome (SPS)
by Coad Thomas Dow
Microorganisms 2025, 13(4), 824; https://doi.org/10.3390/microorganisms13040824 - 5 Apr 2025
Cited by 1 | Viewed by 1673
Abstract
SPS is characterized by progressive spasmodic muscular rigidity. SPS is thought to be an autoimmune disease with a prominent feature of antibodies against glutamic acid decarboxylase (GAD). GAD is responsible for the enzymatic conversion of glutamic acid (glutamate) into the inhibitory neurotransmitter gamma-aminobutyric [...] Read more.
SPS is characterized by progressive spasmodic muscular rigidity. SPS is thought to be an autoimmune disease with a prominent feature of antibodies against glutamic acid decarboxylase (GAD). GAD is responsible for the enzymatic conversion of glutamic acid (glutamate) into the inhibitory neurotransmitter gamma-aminobutyric acid (GABA). Reduced GABA activity leads to increased excitability in the central nervous system, resulting in muscle rigidity and spasms characteristic of SPS. While SPS is rare, anti-GAD antibodies seen in SPS are also seen in the much more common autoimmune disease, type 1 diabetes (T1D). There is evolving research showing that the anti-GAD antibodies of T1D are produced in response to the presence of mycobacterial heat shock protein 65 (mHSP65), and the mHSP65 is produced in response to an occult infection by a bacterium, Mycobacterium avium subspecies Paratuberculosis (MAP). Humans are broadly exposed to MAP in food, water, and air. There are linear and conformational similarities between the epitopes of GAD and mHSP65. This article proposes that MAP is also an infectious trigger for SPS. Dehydroepiandrosterone (DHEA) is a principal component of the steroid metabolome; it plateaus in young adults and then steadily declines. Bromo-epi-androsterone (BEA) is a potent synthetic analog of DHEA; unlike DHEA, it is non-androgenic, non-anabolic, and an effective modulator of immune dysregulation. BEA is also an anti-infective agent and has been shown to benefit mycobacterial infections, including tuberculosis and leprosy. With the immune stabilizing capacity of BEA as well as its anti-mycobacterial properties, there is reason to believe that a randomized clinical trial with BEA may be beneficial for SPS. Full article
(This article belongs to the Special Issue Advances in Human Infection)
16 pages, 486 KB  
Article
Burden of Common Mental Disorders in Ulcerative Colitis and Irritable Bowel Syndrome Patients: An Analysis of Risk Factors
by Danusia Onisor, Calin Avram, Florina Ruta, Olga Brusnic, Alina Boeriu, Mircea Stoian, Adrian Boicean and Maria Sasaran
J. Clin. Med. 2025, 14(2), 499; https://doi.org/10.3390/jcm14020499 - 14 Jan 2025
Cited by 1 | Viewed by 2988
Abstract
Background: Common mental disorders are an underdiagnosed comorbidity, which can significantly worsen the prognosis of the main disease and decrease the quality of life. We aimed to investigate the prevalence of depression and anxiety in a cohort of irritable bowel syndrome with [...] Read more.
Background: Common mental disorders are an underdiagnosed comorbidity, which can significantly worsen the prognosis of the main disease and decrease the quality of life. We aimed to investigate the prevalence of depression and anxiety in a cohort of irritable bowel syndrome with diarrhea (IBS-D) and ulcerative colitis (UC) patients and to evaluate the risk factors for their occurrence. Materials and Methods: A total of 112 patients were evaluated. Multivariable analysis was used to determine associations between patient factors and common mental disorders, evaluated with PHQ-9 and GAD-7 questionnaires. Results: We found a significantly higher prevalence of moderate and severe anxiety among patients with IBS-D, when compared with the UC group (p < 0.01). Linear regression analysis revealed an inverse association between anti-TNF-alpha monoclonal antibodies treatment and a higher PHQ-9 score (p = 0.02). Multivariate analysis revealed that, in patients with UC, the presence of children has been associated with a higher GAD-7 score (p = 0.01), both individually and in combination with a higher duration of the disease. (p < 0.01). For IBS-D, a combination of active employment status and religious belief, active employment status and higher educational level, as well as religious belief and the presence of children correlated with higher GAD-7 scores (p = 0.03, p = 0.03 and p = 0.02, respectively). Conclusions: Infliximab used in the treatment for UC improved the parameters of depression. Patients with UC who have university education and a longer duration of the disease are at increased risk of developing depression and anxiety, especially if they have children in care. Regarding IBS-D patients who have an active work status, religious beliefs and caregivers are at increased risk of developing anxiety. Full article
(This article belongs to the Section Gastroenterology & Hepatopancreatobiliary Medicine)
Show Figures

Figure 1

7 pages, 1460 KB  
Case Report
Anti-Collapsin Response Mediator Protein 5(CV2/CRMP5) and Anti-Glutamic Acid Decarboxylase (GAD) Antibodies-Mediated Encephalopathy Mimicking Atypical Parkinsonism
by Giuseppe Schirò, Matteo Gastaldi, Salvatore Iacono, Silvia Scaranzin, Valentina Picciolo, Valentina Arnao, Anita Ferrari, Cesare Gagliardo and Marco D’Amelio
Neurol. Int. 2024, 16(6), 1849-1855; https://doi.org/10.3390/neurolint16060132 - 16 Dec 2024
Cited by 2 | Viewed by 1746
Abstract
Background: Paraneoplastic neurological syndromes (PNSs) are rare conditions characterized by immune-mediated pathogenesis, frequently associated with the presence of a neoplasm. Although a single antineuronal antibody mediates a specific syndrome, atypical manifestations mediated by the same antibody have been described. Methods: The [...] Read more.
Background: Paraneoplastic neurological syndromes (PNSs) are rare conditions characterized by immune-mediated pathogenesis, frequently associated with the presence of a neoplasm. Although a single antineuronal antibody mediates a specific syndrome, atypical manifestations mediated by the same antibody have been described. Methods: The aim of this study was to report on an atypical case of PNS with dual positivity for anti-GAD65 and anti-CRMP5/CV2 antibodies, simultaneously characterized by cognitive decline associated with progressive ataxia and parkinsonism. We also reviewed the current literature for published cases of PNSs with parkinsonism associated with anti-GAD65 and anti- CRMP5/CV2 antibodies. Results: A 68-year-old man with an insidious onset of bradykinesia, cognitive decline, and gait instability that began the year before our evaluation had been diagnosed with parkinsonian syndrome. Analysis of the cerebrospinal fluid showed lymphocytic pleocytosis, and a panel for PNS tested positive for anti-GAD65 and anti- CRMP5/CV2 antibodies. After investigation, a microcitoma was found in the lung. Conclusions: In light of our findings, we suggest considering PNS as an alternative diagnosis to parkinsonism-plus syndromes, in particular if bradykinetic syndrome is accompanied by other clinical manifestations including cognitive decline or ataxia in rapidly deteriorating patients. Earlier detection of PNS would lead to timelier identification of any occult tumors, therein promising improvement in the patient’s prognosis. Full article
Show Figures

Figure 1

7 pages, 682 KB  
Case Report
The Double-Edged Sword of Immunotherapy—Durvalumab-Induced Polyendocrinopathy—Case Report
by Olga Błażowska, Katarzyna Stróżna, Hanna Dancewicz, Przemysław Zygmunciak, Wojciech Zgliczyński and Beata Mrozikiewicz-Rakowska
J. Clin. Med. 2024, 13(21), 6322; https://doi.org/10.3390/jcm13216322 - 23 Oct 2024
Cited by 2 | Viewed by 2282
Abstract
Introduction: Immunotherapy is one of the greatest advancements in oncological patient care. The broader the treatment application, the more common the adverse events associated with the therapy. Immune checkpoint inhibitors (ICI) are currently used in numerous malignancies. These drugs influence the immune cells’ [...] Read more.
Introduction: Immunotherapy is one of the greatest advancements in oncological patient care. The broader the treatment application, the more common the adverse events associated with the therapy. Immune checkpoint inhibitors (ICI) are currently used in numerous malignancies. These drugs influence the immune cells’ interactions, which translates to interruption of immune evasion and increased anti-tumor activity. However, the disruption of immunological signaling pathways often leads to adverse events, such as endocrinological insufficiencies, among which thyroid is the most common. Moreover, the co-appearance of several insufficiencies has been previously described. Case report: A 73-year-old female treated with durvalumab due to non-small cell lung carcinoma was admitted to the emergency unit due to symptoms of ketoacidosis. She had a history of well-controlled type 2 diabetes mellitus and autoimmune thyroiditis. Laboratory results showed increased anti-GAD antibodies, while the low C-peptide level indicated type 1 diabetes mellitus. Moreover, over the course of longer observation, the patient presented with abrupt aggravation of her autoimmune thyroiditis. Conclusions: The new onset of endocrinological insufficiencies is a rare adverse event of immunotherapy. Clinicians must pay particular attention to any signs indicating these life-threatening conditions. In case of the appearance of any endocrinological adverse event, the close cooperation of oncologists and endocrinologists is required to enhance patients’ quality of life. Full article
(This article belongs to the Section Immunology & Rheumatology)
Show Figures

Figure 1

8 pages, 754 KB  
Communication
Characterization of Anti-GAD65-Associated Neurological Syndromes: Clinical Features and Antibody Titers
by João Moura, Firmina Sambayeta, Ana Paula Sousa, Paula Carneiro, Esmeralda Neves, Raquel Samões, Ana Martins Silva and Ernestina Santos
NeuroSci 2024, 5(2), 201-208; https://doi.org/10.3390/neurosci5020015 - 17 Jun 2024
Cited by 2 | Viewed by 6349
Abstract
Introduction: Anti-GAD65 antibodies are associated with several neurological phenotypes. Antibody titers are increasingly recognized as useful in diagnosis and prognosis. Objective: To describe a Portuguese cohort of patients with anti-GAD65-associated neurological syndromes. Methods: Retrospective analysis of all patients with positive anti-GAD65 antibodies and [...] Read more.
Introduction: Anti-GAD65 antibodies are associated with several neurological phenotypes. Antibody titers are increasingly recognized as useful in diagnosis and prognosis. Objective: To describe a Portuguese cohort of patients with anti-GAD65-associated neurological syndromes. Methods: Retrospective analysis of all patients with positive anti-GAD65 antibodies and associated neurological syndromes followed in a tertiary referral center. Results: Nineteen anti-GAD65 antibody-positive neurological patients were identified, 62.3% female, with a mean age of onset of 56.0 (SD = 13.3) years. Comorbid autoimmune disorders were present in seven patients. Six patients had limbic encephalitis (31.6%), four had epilepsy (21.1%), four had cerebellar ataxia (21.1%), and three had stiff-person syndrome (15.8%). Two patients presented with isolated cognitive dysfunction (executive and mnesic) in the absence of other neurological symptoms. The mean follow-up time was 24.0 (14.0–42.0) months, at the end of which the mean modified Rankin Scale (mRS) value was 2.0 (1.0–4.0). Screening for malignancies was negative in all patients. Serum quantitative analysis was carried out in 18 patients, 10 of whom showed titers above previously defined cut-off points (>10,000 IU/L for ELISA and >20 mmol/L for RIA). Quantitative CSF analysis was performed in nine patients, with four showing above-threshold titers. There was no association between anti-GAD65 levels and clinical phenotype or the final mRS values. High-dose intravenous methylprednisolone and oral prednisolone were the most common acute and chronic treatment regimens, respectively. Conclusion: Anti-GAD65 antibodies are associated with varied neurological syndromes, and antibody titers alone should not be used to exclude a disease. Full article
Show Figures

Figure 1

13 pages, 530 KB  
Article
Utility of Fasting C-Peptide for the Diagnostic Differentiation of Patients with Type 1, Type 2 Diabetes, MODY, and LADA
by Ricardo Alemán-Contreras, Rita A. Gómez-Díaz, Maura E. Noyola-García, Rafael Mondragón-González, Niels Wacher and Aldo Ferreira-Hermosillo
Life 2024, 14(5), 550; https://doi.org/10.3390/life14050550 - 25 Apr 2024
Cited by 5 | Viewed by 11159
Abstract
Background: The prevalence of obesity has increased in patients with type 1 diabetes (T1D) and latent autoimmune diabetes of the adult (LADA), limiting the use of clinical features such as the body mass index for its differentiation with type 2 diabetes (T2D). Additionally, [...] Read more.
Background: The prevalence of obesity has increased in patients with type 1 diabetes (T1D) and latent autoimmune diabetes of the adult (LADA), limiting the use of clinical features such as the body mass index for its differentiation with type 2 diabetes (T2D). Additionally, some patients with maturity-onset diabetes of the young (MODY) or LADA are misdiagnosed as having T2D. The evaluation of autoantibodies and genetic testing are not fully available. We aimed to evaluate the utility of a widely available and less expensive diagnostic tool such as C-peptide to differentiate between T1D, T2D, MODY, and LADA. Methods: Our study included 38 patients with T1D, 49 with T2D, 13 with MODY, and 61 with LADA. We recorded anthropometric measurements, biochemical profiles, and antidiabetic treatment and determined C-peptide, anti-GAD65, and anti-IA2 antibodies. Results: C-peptide concentration differed significantly among populations (T1D: 0.2 ng/mL; T2D: 2.4 ng/mL; MODY: 1.14 ng/mL; LADA: 1.87 ng/mL). Through a ROC curve, we observed that the C-peptide cut-off point of 0.95 ng/mL allows differentiation between T1D and T2D (sensitivity 82%, specificity 77%); 0.82 ng/mL between T1D and LADA (sensitivity 82%, specificity 77%); and 1.65 ng/mL between T2D and MODY (sensitivity 72%, specificity 72%). Conclusions: C-peptide is useful for the diagnostic differentiation of patients with type 1, type 2 diabetes, MODY, and LADA. Full article
Show Figures

Figure 1

13 pages, 443 KB  
Article
Paraneoplastic Neurological Syndromes as Initial Presentation of Tumors: An Eight-Year Single-Center Experience
by Konstantinos Melanis, Maria-Ioanna Stefanou, Dimitrios K. Kitsos, Athanasia Athanasaki, Aikaterini Theodorou, Eleftheria Koropouli, Anna Keramida, Evangelia Makrina Dimitriadou, Dimitrios Tzanetakos, Elizabeth Andreadou, Ioanna Koutroulou, Sotirios Giannopoulos, George P. Paraskevas, Georgios Tsivgoulis and John S. Tzartos
J. Clin. Med. 2024, 13(3), 824; https://doi.org/10.3390/jcm13030824 - 31 Jan 2024
Cited by 5 | Viewed by 5496
Abstract
Background: Paraneoplastic Neurological Syndromes (PNS) comprise a diverse group of disorders propagated by immune-mediated effects of malignant tumors on neural tissue. Methods: A single-center longitudinal study was performed including consecutive adult patients treated at a tertiary academic hospital between 2015 and 2023 and [...] Read more.
Background: Paraneoplastic Neurological Syndromes (PNS) comprise a diverse group of disorders propagated by immune-mediated effects of malignant tumors on neural tissue. Methods: A single-center longitudinal study was performed including consecutive adult patients treated at a tertiary academic hospital between 2015 and 2023 and diagnosed with PNS. PNS were ascertained using the 2004 and the revised 2021 PNS-Care diagnostic criteria. Results: Thirteen patients who fulfilled the 2004 definite PNS criteria were included. PNS comprise diverse neurological syndromes, with neuromuscular junction disorders (54%) and limbic encephalitis (31%) being predominant. PNS-related antibodies were detected in 85% of cases, including anti-AChR (n = 4), anti-P/Q-VGCC (n = 3), anti-Hu (n = 3), anti-Yo (n = 1), anti-Ma (n = 1), anti-titin (n = 1), anti-IgLON5 (n = 1), and anti-GAD65 (n = 1). Thymoma (31%), small-cell lung cancer (23%), and papillary thyroid carcinoma (18%) were the most frequent tumors. Imaging abnormalities were evident in 33% of cases. Early immunotherapy within 4-weeks from symptom onset was associated with favorable outcomes. At a mean follow-up of 2 ± 1 years, two patients with anti-Hu and anti-Yo antibodies died (18%). Four and three patients fulfilled the 2021 PNS-Care diagnostic criteria for definite and probable PNS, respectively. Conclusions: This study highlights the clinical heterogeneity of PNS, emphasizing the need for early suspicion and prompt treatment initiation for optimal outcomes. Full article
(This article belongs to the Section Clinical Neurology)
Show Figures

Figure 1

6 pages, 236 KB  
Editorial
Recent Advances in Immune-Mediated Cerebellar Ataxias: Pathogenesis, Diagnostic Approaches, Therapies, and Future Challenges—Editorial
by Mario Manto and Hiroshi Mitoma
Brain Sci. 2023, 13(12), 1626; https://doi.org/10.3390/brainsci13121626 - 24 Nov 2023
Cited by 3 | Viewed by 3153
Abstract
The clinical category of immune-mediated cerebellar ataxias (IMCAs) has been established after 3 decades of clinical and experimental research. The cerebellum is particularly enriched in antigens (ion channels and related proteins, synaptic adhesion/organizing proteins, transmitter receptors, glial cells) and is vulnerable to immune [...] Read more.
The clinical category of immune-mediated cerebellar ataxias (IMCAs) has been established after 3 decades of clinical and experimental research. The cerebellum is particularly enriched in antigens (ion channels and related proteins, synaptic adhesion/organizing proteins, transmitter receptors, glial cells) and is vulnerable to immune attacks. IMCAs include various disorders, including gluten ataxia (GA), post-infectious cerebellitis (PIC), Miller Fisher syndrome (MFS), paraneoplastic cerebellar degeneration (PCD), opsoclonus myoclonus syndrome (OMS), and anti-GAD ataxia. Other disorders such as multiple sclerosis (MS), acute disseminated encephalomyelitis (ADEM), Behçet disease, and collagen vascular disorders may also present with cerebellar symptoms when lesions are localized to cerebellar pathways. The triggers of autoimmunity are established in GA (gluten sensitivity), PIC and MFS (infections), PCD (malignancy), and OMS (infections or malignant tumors). Patients whose clinical profiles do not match those of classic types of IMCAs are now included in the spectrum of primary autoimmune cerebellar ataxia (PACA). Recent remarkable progress has clarified various characteristics of these etiologies and therapeutic strategies in terms of immunotherapies. However, it still remains to be elucidated as to how immune tolerance is broken, leading to autoimmune insults of the cerebellum, and the consecutive sequence of events occurring during cerebellar damage caused by antibody- or cell-mediated mechanisms. Antibodies may specifically target the cerebellar circuitry and impair synaptic mechanisms (synaptopathies). The present Special Issue aims to illuminate what is solved and what is unsolved in clinical practice and the pathophysiology of IMCAs. Immune ataxias now represent a genuine category of immune insults to the central nervous system (CNS). Full article
12 pages, 3669 KB  
Case Report
GAD65 Antibody-Associated Epilepsy
by Justina Valinčiūtė, Neringa Jucevičiūtė, Renata Balnytė, Giedrė Jurkevičienė and Giedrė Gelžinienė
Medicina 2023, 59(6), 1135; https://doi.org/10.3390/medicina59061135 - 12 Jun 2023
Cited by 6 | Viewed by 6103
Abstract
Autoimmune processes are an increasingly recognized cause of seizures. Antibodies against neuronal surface antigens are implicated in the development of acute symptomatic seizures secondary to autoimmune encephalitis, whereas antibodies against intracellular antigens (anti-glutamic acid decarboxylase (GAD) and onconeural antibodies) are found in cases [...] Read more.
Autoimmune processes are an increasingly recognized cause of seizures. Antibodies against neuronal surface antigens are implicated in the development of acute symptomatic seizures secondary to autoimmune encephalitis, whereas antibodies against intracellular antigens (anti-glutamic acid decarboxylase (GAD) and onconeural antibodies) are found in cases of autoimmune-associated epilepsy (AAE). AAE is described as isolated drug-resistant epilepsy without any specific magnetic resonance imaging (MRI) or cerebrospinal fluid changes and with a very limited response to immunotherapy. We present a clinical case and a literature review on autoimmune-associated epilepsy to increase awareness of this disease and illustrate its complexity. This is a clinical case of a female with a history of refractory focal epilepsy. The patient had been given several trials of multiple antiepileptic drugs and their combinations without any clear effect. Multiple evaluations including brain MRI, PET, and interictal and ictal electroencephalograms were performed. An APE2 score was calculated with a result of 4 and, in the presence of anti-GAD65 antibodies in the serum, the diagnosis of AAE was confirmed. There was no effect after five sessions of plasma exchange; however, after a course of intravenous immunoglobulin, a positive but temporary clinical effect was noticed: anti-GAD65 levels initially decreased but rebounded to previous levels 6 months later. Full article
(This article belongs to the Section Neurology)
Show Figures

Figure 1

8 pages, 966 KB  
Case Report
A Case of Anti-GAD 65 Autoimmune Encephalitis Associated with Focal Segmental Stiff-Person Syndrome
by Chen Zhang, Yuwei Dai, Binhong Han, Jian Peng, Jie Ma, Qi Tang and Li Yang
Brain Sci. 2023, 13(2), 369; https://doi.org/10.3390/brainsci13020369 - 20 Feb 2023
Cited by 6 | Viewed by 6734
Abstract
Glutamic acid decarboxylase (GAD) antibody-related encephalitis is an autoimmune disease associated with intracellular neuronal antigens. We report on a rare case of GAD antibody-associated encephalitis complicated with focal segmental stiffness-person syndrome (SPS) in a middle-aged woman. The disease course lasted for >10 years, [...] Read more.
Glutamic acid decarboxylase (GAD) antibody-related encephalitis is an autoimmune disease associated with intracellular neuronal antigens. We report on a rare case of GAD antibody-associated encephalitis complicated with focal segmental stiffness-person syndrome (SPS) in a middle-aged woman. The disease course lasted for >10 years, initially presenting with drug-resistant epilepsy, followed by stiffness of the right lower limb, and right upper limb involvement. The patient experienced anxiety and depression symptoms due to long-term illness. During hospitalization, serum and cerebrospinal fluid GAD antibodies were positive and no tumor was found. The symptoms were significantly relieved after corticosteroid therapy and intravenous immunoglobulin immunomodulation therapy. To the best of our knowledge, this case is the first to discuss the early recognition and treatment of chronic epilepsy and focal segmental SPS caused by anti-GAD antibody-related encephalitis. Full article
(This article belongs to the Special Issue Immunological Implications in Neuromuscular Disorders)
Show Figures

Figure 1

16 pages, 1089 KB  
Article
Brain Metabolic Alterations in Seropositive Autoimmune Encephalitis: An 18F-FDG PET Study
by Sébastien Bergeret, Cristina Birzu, Pierre Meneret, Alain Giron, Sophie Demeret, Clemence Marois, Louis Cousyn, Laura Rozenblum, Alice Laurenge, Agusti Alentorn, Vincent Navarro, Dimitri Psimaras and Aurélie Kas
Biomedicines 2023, 11(2), 506; https://doi.org/10.3390/biomedicines11020506 - 9 Feb 2023
Cited by 7 | Viewed by 3628
Abstract
Introduction: Autoimmune encephalitis (AE) diagnosis and follow-up remain challenging. Brain 18F-fluoro-deoxy-glucose positron emission tomography (FDG PET) has shown promising results in AE. Our aim was to investigate FDG PET alterations in AE, according to antibody subtype. Methods: We retrospectively included patients with [...] Read more.
Introduction: Autoimmune encephalitis (AE) diagnosis and follow-up remain challenging. Brain 18F-fluoro-deoxy-glucose positron emission tomography (FDG PET) has shown promising results in AE. Our aim was to investigate FDG PET alterations in AE, according to antibody subtype. Methods: We retrospectively included patients with available FDG PET and seropositive AE diagnosed in our center between 2015 and 2020. Brain PET Z-score maps (relative to age matched controls) were analyzed, considering metabolic changes significant if |Z-score| ≥ 2. Results: Forty-six patients were included (49.4 yrs [18; 81]): 13 with GAD autoantibodies, 11 with anti-LGI1, 9 with NMDAR, 5 with CASPR2, and 8 with other antibodies. Brain PET was abnormal in 98% of patients versus 53% for MRI. The most frequent abnormalities were medial temporal lobe (MTL) and/or striatum hypermetabolism (52% and 43% respectively), cortical hypometabolism (78%), and cerebellum abnormalities (70%). LGI1 AE tended to have more frequent MTL hypermetabolism. NMDAR AE was prone to widespread cortical hypometabolism. Fewer abnormalities were observed in GAD AE. Striatum hypermetabolism was more frequent in patients treated for less than 1 month (p = 0.014), suggesting a relation to disease activity. Conclusion: FDG PET could serve as an imaging biomarker for early diagnosis and follow-up in AE. Full article
(This article belongs to the Special Issue Molecular Epidemiology and Pathophysiology of Autoimmune Encephalitis)
Show Figures

Figure 1

Back to TopTop