Sign in to use this feature.

Years

Between: -

Subjects

remove_circle_outline
remove_circle_outline
remove_circle_outline
remove_circle_outline
remove_circle_outline
remove_circle_outline
remove_circle_outline
remove_circle_outline
remove_circle_outline

Journals

remove_circle_outline
remove_circle_outline
remove_circle_outline
remove_circle_outline
remove_circle_outline
remove_circle_outline
remove_circle_outline
remove_circle_outline
remove_circle_outline
remove_circle_outline

Article Types

Countries / Regions

remove_circle_outline
remove_circle_outline
remove_circle_outline
remove_circle_outline
remove_circle_outline
remove_circle_outline
remove_circle_outline

Search Results (2,293)

Search Parameters:
Keywords = Unet model

Order results
Result details
Results per page
Select all
Export citation of selected articles as:
14 pages, 2235 KB  
Article
Crack Segmentation Using U-Net and Transformer Combined Model
by Juhyeon Noh, Junyoung Jang, Jeonghoon Jo and Heedeok Yang
Appl. Sci. 2025, 15(19), 10737; https://doi.org/10.3390/app151910737 - 5 Oct 2025
Abstract
Crack detection and analysis are essential for maintaining the stability and longevity of infrastructure; however, traditional manual inspections or simple image processing techniques are inefficient. To address this, automated crack segmentation using deep learning is being actively researched. This study proposes a hybrid [...] Read more.
Crack detection and analysis are essential for maintaining the stability and longevity of infrastructure; however, traditional manual inspections or simple image processing techniques are inefficient. To address this, automated crack segmentation using deep learning is being actively researched. This study proposes a hybrid model combining U-Net and a Vision Transformer to enhance the accuracy of crack segmentation. The proposed model is based on U-Net’s encoder–decoder architecture and integrates a Convolutional Neural Network (CNN), which is strong in local feature extraction, with a Vision Transformer, which excels at capturing global features and long-range dependencies, to effectively learn complex crack patterns. Experimental results on the CrackSeg9k dataset show that the proposed model achieves a mean Intersection over Union (mIoU) of 0.7184, demonstrating superior segmentation performance compared to other models like the conventional U-Net and Attention U-Net. This indicates that the proposed hybrid approach successfully leverages both local and global features, proving its effectiveness in segmenting complex and irregular crack patterns. Full article
Show Figures

Figure 1

27 pages, 3948 KB  
Article
Fully Automated Segmentation of Cervical Spinal Cord in Sagittal MR Images Using Swin-Unet Architectures
by Rukiye Polattimur, Emre Dandıl, Mehmet Süleyman Yıldırım and Utku Şenol
J. Clin. Med. 2025, 14(19), 6994; https://doi.org/10.3390/jcm14196994 - 2 Oct 2025
Abstract
Background/Objectives: The spinal cord is a critical component of the central nervous system that transmits neural signals between the brain and the body’s peripheral regions through its nerve roots. Despite being partially protected by the vertebral column, the spinal cord remains highly [...] Read more.
Background/Objectives: The spinal cord is a critical component of the central nervous system that transmits neural signals between the brain and the body’s peripheral regions through its nerve roots. Despite being partially protected by the vertebral column, the spinal cord remains highly vulnerable to trauma, tumors, infections, and degenerative or inflammatory disorders. These conditions can disrupt neural conduction, resulting in severe functional impairments, such as paralysis, motor deficits, and sensory loss. Therefore, accurate and comprehensive spinal cord segmentation is essential for characterizing its structural features and evaluating neural integrity. Methods: In this study, we propose a fully automated method for segmentation of the cervical spinal cord in sagittal magnetic resonance (MR) images. This method facilitates rapid clinical evaluation and supports early diagnosis. Our approach uses a Swin-Unet architecture, which integrates vision transformer blocks into the U-Net framework. This enables the model to capture both local anatomical details and global contextual information. This design improves the delineation of the thin, curved, low-contrast cervical cord, resulting in more precise and robust segmentation. Results: In experimental studies, the proposed Swin-Unet model (SWU1), which uses transformer blocks in the encoder layer, achieved Dice Similarity Coefficient (DSC) and Hausdorff Distance 95 (HD95) scores of 0.9526 and 1.0707 mm, respectively, for cervical spinal cord segmentation. These results confirm that the model can consistently deliver precise, pixel-level delineations that are structurally accurate, which supports its reliability for clinical assessment. Conclusions: The attention-enhanced Swin-Unet architecture demonstrated high accuracy in segmenting thin and complex anatomical structures, such as the cervical spinal cord. Its ability to generalize with limited data highlights its potential for integration into clinical workflows to support diagnosis, monitoring, and treatment planning. Full article
(This article belongs to the Special Issue Artificial Intelligence and Deep Learning in Medical Imaging)
Show Figures

Figure 1

27 pages, 6007 KB  
Article
Research on Rice Field Identification Methods in Mountainous Regions
by Yuyao Wang, Jiehai Cheng, Zhanliang Yuan and Wenqian Zang
Remote Sens. 2025, 17(19), 3356; https://doi.org/10.3390/rs17193356 - 2 Oct 2025
Abstract
Rice is one of the most important staple crops in China, and the rapid and accurate extraction of rice planting areas plays a crucial role in the agricultural management and food security assessment. However, the existing rice field identification methods faced the significant [...] Read more.
Rice is one of the most important staple crops in China, and the rapid and accurate extraction of rice planting areas plays a crucial role in the agricultural management and food security assessment. However, the existing rice field identification methods faced the significant challenges in mountainous regions due to the severe cloud contamination, insufficient utilization of multi-dimensional features, and limited classification accuracy. This study presented a novel rice field identification method based on the Graph Convolutional Networks (GCN) that effectively integrated multi-source remote sensing data tailored for the complex mountainous terrain. A coarse-to-fine cloud removal strategy was developed by fusing the synthetic aperture radar (SAR) imagery with temporally adjacent optical remote sensing imagery, achieving high cloud removal accuracy, thereby providing reliable and clear optical data for the subsequent rice mapping. A comprehensive multi-feature library comprising spectral, texture, polarization, and terrain attributes was constructed and optimized via a stepwise selection process. Furthermore, the 19 key features were established to enhance the classification performance. The proposed method achieved an overall accuracy of 98.3% for the rice field identification in Huoshan County of the Dabie Mountains, and a 96.8% consistency compared to statistical yearbook data. The ablation experiments demonstrated that incorporating terrain features substantially improved the rice field identification accuracy under the complex topographic conditions. The comparative evaluations against support vector machine (SVM), random forest (RF), and U-Net models confirmed the superiority of the proposed method in terms of accuracy, local performance, terrain adaptability, training sample requirement, and computational cost, and demonstrated its effectiveness and applicability for the high-precision rice field distribution mapping in mountainous environments. Full article
Show Figures

Figure 1

22 pages, 5743 KB  
Article
Lightweight Road Adaptive Path Tracking Based on Soft Actor–Critic RL Method
by Yubo Weng and Jinhong Sun
Sensors 2025, 25(19), 6079; https://doi.org/10.3390/s25196079 - 2 Oct 2025
Abstract
We propose a speed-adaptive robot accurate path-tracking framework based on the soft actor–critic (SAC) and Stanley methods (STANLY_ASAC). First, the Lidar–Inertial Odometry Simultaneous Localization and Mapping (LIO-SLAM) method is used to map the environment and the LIO-localization framework is adopted to achieve real-time [...] Read more.
We propose a speed-adaptive robot accurate path-tracking framework based on the soft actor–critic (SAC) and Stanley methods (STANLY_ASAC). First, the Lidar–Inertial Odometry Simultaneous Localization and Mapping (LIO-SLAM) method is used to map the environment and the LIO-localization framework is adopted to achieve real-time positioning and output the robot pose at 100 Hz. Next, the Rapidly exploring Random Tree (RRT) algorithm is employed for global path planning. On this basis, we integrate an improved A* algorithm for local obstacle avoidance and apply a gradient descent smoothing algorithm to generate a reference path that satisfies the robot’s kinematic constraints. Secondly, a network classification model based on U-Net is used to classify common road surfaces and generate classification results that significantly compensate for tracking accuracy errors caused by incorrect road surface coefficients. Next, we leverage the powerful learning capability of adaptive SAC (ASAC) to adaptively adjust the vehicle’s acceleration and lateral deviation gain according to the road and vehicle states. Vehicle acceleration is used to generate the real-time tracking speed, and the lateral deviation gain is used to calculate the front wheel angle via the Stanley tracking algorithm. Finally, we deploy the algorithm on a mobile robot and test its path-tracking performance in different scenarios. The results show that the proposed path-tracking algorithm can accurately follow the generated path. Full article
(This article belongs to the Section Sensors and Robotics)
Show Figures

Figure 1

32 pages, 9105 KB  
Article
Development of Semi-Automatic Dental Image Segmentation Workflows with Root Canal Recognition for Faster Ground Tooth Acquisition
by Yousef Abo El Ela and Mohamed Badran
J. Imaging 2025, 11(10), 340; https://doi.org/10.3390/jimaging11100340 - 1 Oct 2025
Abstract
This paper investigates the application of image segmentation techniques in endodontics, focusing on improving diagnostic accuracy and achieving faster segmentation by delineating specific dental regions such as teeth and root canals. Deep learning architectures, notably 3D U-Net and GANs, have advanced the image [...] Read more.
This paper investigates the application of image segmentation techniques in endodontics, focusing on improving diagnostic accuracy and achieving faster segmentation by delineating specific dental regions such as teeth and root canals. Deep learning architectures, notably 3D U-Net and GANs, have advanced the image segmentation process for dental structures, supporting more precise dental procedures. However, challenges like the demand for extensive labeled datasets and ensuring model generalizability remain. Two semi-automatic segmentation workflows, Grow From Seeds (GFS) and Watershed (WS), were developed to provide quicker acquisition of ground truth training data for deep learning models using 3D Slicer software version 5.8.1. These workflows were evaluated against a manual segmentation benchmark and a recent dental segmentation automated tool on three separate datasets. The evaluations were performed by the overall shapes of a maxillary central incisor and a maxillary second molar and by the region of the root canal of both teeth. Results from Kruskal–Wallis and Nemenyi tests indicated that the semi-automated workflows, more often than not, were not statistically different from the manual benchmark based on dice coefficient similarity, while the automated method consistently provided significantly different 3D models from their manual counterparts. The study also explores the benefits of labor reduction and time savings achieved by the semi-automated methods. Full article
(This article belongs to the Section Image and Video Processing)
Show Figures

Figure 1

35 pages, 4758 KB  
Article
Automated Detection of Beaver-Influenced Floodplain Inundations in Multi-Temporal Aerial Imagery Using Deep Learning Algorithms
by Evan Zocco, Chandi Witharana, Isaac M. Ortega and William Ouimet
ISPRS Int. J. Geo-Inf. 2025, 14(10), 383; https://doi.org/10.3390/ijgi14100383 - 30 Sep 2025
Abstract
Remote sensing provides a viable alternative for understanding landscape modifications attributed to beaver activity. The central objective of this study is to integrate multi-source remote sensing observations in tandem with a deep learning (DL) (convolutional neural net or transformer) model to automatically map [...] Read more.
Remote sensing provides a viable alternative for understanding landscape modifications attributed to beaver activity. The central objective of this study is to integrate multi-source remote sensing observations in tandem with a deep learning (DL) (convolutional neural net or transformer) model to automatically map beaver-influenced floodplain inundations (BIFI) over large geographical extents. We trained, validated, and tested eleven different model configurations in three architectures using five ResNet and five B-Finetuned encoders. The training dataset consisted of >25,000 manually annotated aerial image tiles of BIFIs in Connecticut. The YOLOv8 architecture outperformed competing configurations and achieved an F1 score of 80.59% and pixel-based map accuracy of 98.95%. SegFormer and U-Net++’s highest-performing models had F1 scores of 68.98% and 78.86%, respectively. The YOLOv8l-seg model was deployed at a statewide scale based on 1 m resolution multi-temporal aerial imagery acquired from 1990 to 2019 under leaf-on and leaf-off conditions. Our results suggest a variety of inferences when comparing leaf-on and leaf-off conditions of the same year. The model exhibits limitations in identifying BIFIs in panchromatic imagery in occluded environments. Study findings demonstrate the potential of harnessing historical and modern aerial image datasets with state-of-the-art DL models to increase our understanding of beaver activity across space and time. Full article
16 pages, 2692 KB  
Article
Improved UNet-Based Detection of 3D Cotton Cup Indentations and Analysis of Automatic Cutting Accuracy
by Lin Liu, Xizhao Li, Hongze Lv, Jianhuang Wang, Fucai Lai, Fangwei Zhao and Xibing Li
Processes 2025, 13(10), 3144; https://doi.org/10.3390/pr13103144 - 30 Sep 2025
Abstract
With the advancement of intelligent technology and the rise in labor costs, manual identification and cutting of 3D cotton cup indentations can no longer meet modern demands. The increasing variety and shape of 3D cotton cups due to personalized requirements make the use [...] Read more.
With the advancement of intelligent technology and the rise in labor costs, manual identification and cutting of 3D cotton cup indentations can no longer meet modern demands. The increasing variety and shape of 3D cotton cups due to personalized requirements make the use of fixed molds for cutting inefficient, leading to a large number of molds and high costs. Therefore, this paper proposes a UNet-based indentation segmentation algorithm to automatically extract 3D cotton cup indentation data. By incorporating the VGG16 network and Leaky-ReLU activation function into the UNet model, the method improves the model’s generalization capability, convergence speed, detection speed, and reduces the risk of overfitting. Additionally, attention mechanisms and an Atrous Spatial Pyramid Pooling (ASPP) module are introduced to enhance feature extraction, improving the network’s spatial feature extraction ability. Experiments conducted on a self-made 3D cotton cup dataset demonstrate a precision of 99.53%, a recall of 99.69%, a mIoU of 99.18%, and an mPA of 99.73%, meeting practical application requirements. The extracted 3D cotton cup indentation contour data is automatically input into an intelligent CNC cutting machine to cut 3D cotton cup. The cutting results of 400 data points show an 0.20 mm ± 0.42 mm error, meeting the cutting accuracy requirements for flexible material 3D cotton cups. This study may serve as a reference for machine vision, image segmentation, improvements to deep learning architectures, and automated cutting machinery for flexible materials such as fabrics. Full article
(This article belongs to the Section Automation Control Systems)
Show Figures

Figure 1

17 pages, 5039 KB  
Article
AI-Enhanced Lower Extremity X-Ray Segmentation: A Promising Tool for Sarcopenia Diagnosis
by Hyunwoo Park, Hyeonsu Kim and Junil Yoo
Healthcare 2025, 13(19), 2488; https://doi.org/10.3390/healthcare13192488 - 30 Sep 2025
Abstract
Background/Objectives: Sarcopenia, characterized by progressive loss of skeletal muscle mass and strength, significantly impacts physical function and quality of life in older adults. Traditional measurement methods like Dual-energy X-ray absorptiometry (DEXA) are often inaccessible in primary care. This study aimed to develop [...] Read more.
Background/Objectives: Sarcopenia, characterized by progressive loss of skeletal muscle mass and strength, significantly impacts physical function and quality of life in older adults. Traditional measurement methods like Dual-energy X-ray absorptiometry (DEXA) are often inaccessible in primary care. This study aimed to develop and validate an AI-driven auto-segmentation model for muscle mass assessment using long X-rays as a more accessible alternative to DEXA. Methods: This was a retrospective validation study using data from the Real Hip Cohort at Inha University Hospital in South Korea. 351 lower extremity X-ray images from 157 patients were collected and analyzed. AI-based semantic segmentation models, including U-Net, V-Net, and U-Net++, were trained and validated on this dataset to automatically segment muscle regions. Model performance was assessed using Intersection over Union (IoU) and Dice Similarity Coefficient (DC) metrics. The correlation between AI-derived muscle measurements and the DEXA-derived skeletal muscle index was evaluated using Pearson correlation analysis and Bland–Altman analysis. Results: The study analyzed data from 157 patients (mean age 77.1 years). The U-Net++ architecture achieved the best segmentation performance with an IoU of 0.93 and DC of 0.95. Pearson correlation demonstrated a moderate to strong positive correlation between the AI model’s muscle estimates and DEXA results (r = 0.72, *** p < 0.0001). Regression analysis showed a coefficient of 0.74, indicating good agreement with reference measurements. Conclusions: This study successfully developed and validated an AI-driven auto-segmentation model for estimating muscle mass from long X-rays. The model provides an accessible alternative to DEXA, with potential to improve sarcopenia diagnosis and management in community and primary care settings. Future work will refine the model and explore its application to additional muscle groups. Full article
Show Figures

Figure 1

23 pages, 347 KB  
Article
Comparative Analysis of Foundational, Advanced, and Traditional Deep Learning Models for Hyperpolarized Gas MRI Lung Segmentation: Robust Performance in Data-Constrained Scenarios
by Ramtin Babaeipour, Matthew S. Fox, Grace Parraga and Alexei Ouriadov
Bioengineering 2025, 12(10), 1062; https://doi.org/10.3390/bioengineering12101062 - 30 Sep 2025
Abstract
This study investigates the comparative performance of foundational models, advanced large-kernel architectures, and traditional deep learning approaches for hyperpolarized gas MRI segmentation across progressive data reduction scenarios. Chronic obstructive pulmonary disease (COPD) remains a leading global health concern, and advanced imaging techniques are [...] Read more.
This study investigates the comparative performance of foundational models, advanced large-kernel architectures, and traditional deep learning approaches for hyperpolarized gas MRI segmentation across progressive data reduction scenarios. Chronic obstructive pulmonary disease (COPD) remains a leading global health concern, and advanced imaging techniques are crucial for its diagnosis and management. Hyperpolarized gas MRI, utilizing helium-3 (3He) and xenon-129 (129Xe), offers a non-invasive way to assess lung function. We evaluated foundational models (Segment Anything Model and MedSAM), advanced architectures (UniRepLKNet and TransXNet), and traditional deep learning models (UNet with VGG19 backbone, Feature Pyramid Network with MIT-B5 backbone, and DeepLabV3 with ResNet152 backbone) using four data availability scenarios: 100%, 50%, 25%, and 10% of the full training dataset (1640 2D MRI slices from 205 participants). The results demonstrate that foundational and advanced models achieve statistically equivalent performance across all data scenarios (p > 0.01), while both significantly outperform traditional architectures under data constraints (p < 0.001). Under extreme data scarcity (10% training data), foundational and advanced models maintained DSC values above 0.86, while traditional models experienced catastrophic performance collapse. This work highlights the critical advantage of architectures with large effective receptive fields in medical imaging applications where data collection is challenging, demonstrating their potential to democratize advanced medical imaging analysis in resource-limited settings. Full article
(This article belongs to the Special Issue Artificial Intelligence-Based Medical Imaging Processing)
Show Figures

Figure 1

15 pages, 2713 KB  
Article
Deep Learning-Based Segmentation for Digital Epidermal Microscopic Images: A Comparative Study of Overall Performance
by Yeshun Yue, Qihang He and Yaobin Zou
Electronics 2025, 14(19), 3871; https://doi.org/10.3390/electronics14193871 - 29 Sep 2025
Abstract
Digital epidermal microscopic (DEM) images offer the potential to quantitatively analyze skin aging at the microscopic level. However, stochastic complexity, local highlights, and low contrast in DEM images pose significant challenges to accurate segmentation. This study evaluated eight deep learning models to identify [...] Read more.
Digital epidermal microscopic (DEM) images offer the potential to quantitatively analyze skin aging at the microscopic level. However, stochastic complexity, local highlights, and low contrast in DEM images pose significant challenges to accurate segmentation. This study evaluated eight deep learning models to identify methods capable of accurately segmenting complex DEM images while meeting diverse performance requirements. To this end, this study first constructed a manually labeled DEM image dataset. Then, eight deep learning models (FCN-8s, SegNet, UNet, ResUNet, NestedUNet, DeepLabV3+, TransUNet, and AttentionUNet) were systematically evaluated for their performance in DEM image segmentation. Our experimental findings show that AttentionUNet achieves the highest segmentation accuracy, with a DSC of 0.8696 and an IoU of 0.7703. In contrast, FCN-8s is a better choice for efficient segmentation due to its lower parameter count (18.64 M) and efficient inference speed (GPU time 37.36 ms). FCN-8s and NestedUNet show a better balance between accuracy and efficiency when assessed across metrics like segmentation accuracy, model size, and inference time. Through a systematic comparison of eight deep learning models, this study identifies superior methods for segmenting skin furrows and ridges in DEM images. This work lays the foundation for subsequent applications, such as analyzing skin aging through furrow and ridge features. Full article
(This article belongs to the Special Issue AI-Driven Medical Image/Video Processing)
Show Figures

Figure 1

35 pages, 17848 KB  
Article
Satellite-Based Multi-Decadal Shoreline Change Detection by Integrating Deep Learning with DSAS: Eastern and Southern Coastal Regions of Peninsular Malaysia
by Saima Khurram, Amin Beiranvand Pour, Milad Bagheri, Effi Helmy Ariffin, Mohd Fadzil Akhir and Saiful Bahri Hamzah
Remote Sens. 2025, 17(19), 3334; https://doi.org/10.3390/rs17193334 - 29 Sep 2025
Abstract
Coasts are critical ecological, economic and social interfaces between terrestrial and marine systems. The current upsurge in the acquisition and availability of remote sensing datasets, such as Landsat remote sensing data series, provides new opportunities for analyzing multi-decadal coastal changes and other components [...] Read more.
Coasts are critical ecological, economic and social interfaces between terrestrial and marine systems. The current upsurge in the acquisition and availability of remote sensing datasets, such as Landsat remote sensing data series, provides new opportunities for analyzing multi-decadal coastal changes and other components of coastal risk. The emergence of machine learning-based techniques represents a new trend that can support large-scale coastal monitoring and modeling using remote sensing big data. This study presents a comprehensive multi-decadal analysis of coastal changes for the period from 1990 to 2024 using Landsat remote sensing data series along the eastern and southern coasts of Peninsular Malaysia. These coastal regions include the states of Kelantan, Terengganu, Pahang, and Johor. An innovative approach combining deep learning-based shoreline extraction with the Digital Shoreline Analysis System (DSAS) was meticulously applied to the Landsat datasets. Two semantic segmentation models, U-Net and DeepLabV3+, were evaluated for automated shoreline delineation from the Landsat imagery, with U-Net demonstrating superior boundary precision and generalizability. The DSAS framework quantified shoreline change metrics—including Net Shoreline Movement (NSM), Shoreline Change Envelope (SCE), and Linear Regression Rate (LRR)—across the states of Kelantan, Terengganu, Pahang, and Johor. The results reveal distinct spatial–temporal patterns: Kelantan exhibited the highest rates of shoreline change with erosion of −64.9 m/year and accretion of up to +47.6 m/year; Terengganu showed a moderated change partly due to recent coastal protection structures; Pahang displayed both significant erosion, particularly south of the Pahang River with rates of over −50 m/year, and accretion near river mouths; Johor’s coastline predominantly exhibited accretion, with NSM values of over +1900 m, linked to extensive land reclamation activities and natural sediment deposition, although local erosion was observed along the west coast. This research highlights emerging erosion hotspots and, in some regions, the impact of engineered coastal interventions, providing critical insights for sustainable coastal zone management in Malaysia’s monsoon-influenced tropical coastal environment. The integrated deep learning and DSAS approach applied to Landsat remote sensing data series provides a scalable and reproducible framework for long-term coastal monitoring and climate adaptation planning around the world. Full article
Show Figures

Figure 1

20 pages, 2545 KB  
Article
LG-UNet Based Segmentation and Survival Prediction of Nasopharyngeal Carcinoma Using Multimodal MRI Imaging
by Yuhao Yang, Junhao Wen, Tianyi Wu, Jinrang Dong, Yunfei Xia and Yu Zhang
Bioengineering 2025, 12(10), 1051; https://doi.org/10.3390/bioengineering12101051 - 29 Sep 2025
Abstract
Image segmentation and survival prediction for nasopharyngeal carcinoma (NPC) are crucial for clinical diagnosis and treatment decisions. This study presents an improved 3D-UNet-based model for NPC GTV segmentation, referred to as LG-UNet. The encoder introduces deep strip convolution and channel attention mechanisms to [...] Read more.
Image segmentation and survival prediction for nasopharyngeal carcinoma (NPC) are crucial for clinical diagnosis and treatment decisions. This study presents an improved 3D-UNet-based model for NPC GTV segmentation, referred to as LG-UNet. The encoder introduces deep strip convolution and channel attention mechanisms to enhance feature extraction while avoiding spatial feature loss and anisotropic constraints. The decoder incorporates Dynamic Large Convolutional Kernel (DLCK) and Global Feature Fusion (GFF) modules to capture multi-scale features and integrate global contextual information, enabling precise segmentation of the tumor GTV in NPC MRI images. Risk prediction is performed on the segmented multi-modal MRI images using the Lung-Net model, with output risk factors combined with clinical data in the Cox model to predict metastatic probabilities for NPC lesions. Experimental results on 442 NPC MRI scans from Sun Yat-sen University Cancer Center showed DSC of 0.8223, accuracy of 0.8235, recall of 0.8297, and HD95 of 1.6807 mm. Compared to the baseline model, the DSC improved by 7.73%, accuracy increased by 4.52%, and recall improved by 3.40%. The combined model’s risk prediction showed C-index values of 0.756, with a 5-year AUC value of 0.789. This model can serve as an auxiliary tool for clinical decision-making in NPC. Full article
(This article belongs to the Section Biosignal Processing)
Show Figures

Figure 1

23 pages, 18084 KB  
Article
WetSegNet: An Edge-Guided Multi-Scale Feature Interaction Network for Wetland Classification
by Li Chen, Shaogang Xia, Xun Liu, Zhan Xie, Haohong Chen, Feiyu Long, Yehong Wu and Meng Zhang
Remote Sens. 2025, 17(19), 3330; https://doi.org/10.3390/rs17193330 - 29 Sep 2025
Abstract
Wetlands play a crucial role in climate regulation, pollutant filtration, and biodiversity conservation. Accurate wetland classification through high-resolution remote sensing imagery is pivotal for the scientific management, ecological monitoring, and sustainable development of these ecosystems. However, the intricate spatial details in such imagery [...] Read more.
Wetlands play a crucial role in climate regulation, pollutant filtration, and biodiversity conservation. Accurate wetland classification through high-resolution remote sensing imagery is pivotal for the scientific management, ecological monitoring, and sustainable development of these ecosystems. However, the intricate spatial details in such imagery pose significant challenges to conventional interpretation techniques, necessitating precise boundary extraction and multi-scale contextual modeling. In this study, we propose WetSegNet, an edge-guided Multi-Scale Feature Interaction network for wetland classification, which integrates a convolutional neural network (CNN) and Swin Transformer within a U-Net architecture to synergize local texture perception and global semantic comprehension. Specifically, the framework incorporates two novel components: (1) a Multi-Scale Feature Interaction (MFI) module employing cross-attention mechanisms to mitigate semantic discrepancies between encoder–decoder features, and (2) a Multi-Feature Fusion (MFF) module that hierarchically enhances boundary delineation through edge-guided spatial attention (EGA). Experimental validation on GF-2 satellite imagery of Dongting Lake wetlands demonstrates that WetSegNet achieves state-of-the-art performance, with an overall accuracy (OA) of 90.81% and a Kappa coefficient of 0.88. Notably, it achieves classification accuracies exceeding 90% for water, sedge, and reed habitats, surpassing the baseline U-Net by 3.3% in overall accuracy and 0.05 in Kappa. The proposed model effectively addresses heterogeneous wetland classification challenges, validating its capability to reconcile local–global feature representation. Full article
Show Figures

Figure 1

19 pages, 1223 KB  
Article
Unsupervised Detection of Surface Defects in Varistors with Reconstructed Normal Distribution Under Mask Constraints
by Shancheng Tang, Xinrui Xu, Heng Li and Tong Zhou
Appl. Sci. 2025, 15(19), 10479; https://doi.org/10.3390/app151910479 - 27 Sep 2025
Abstract
Surface defect detection serves as one of the crucial auxiliary components in the quality control of varistors, and it faces real challenges such as the scarcity of defect samples, high labelling cost, and insufficient a priori knowledge, which makes unsupervised deep learning-based detection [...] Read more.
Surface defect detection serves as one of the crucial auxiliary components in the quality control of varistors, and it faces real challenges such as the scarcity of defect samples, high labelling cost, and insufficient a priori knowledge, which makes unsupervised deep learning-based detection methods attract attention. However, existing unsupervised models have problems such as inaccurate defect localisation and a low recognition rate of subtle defects in the detection results. To solve the above problems, an unsupervised detection method (Var-MNDR) is proposed to reconstruct the normal distribution of surface defects of varistors under mask constraints. Firstly, on the basis of colour space as well as morphology, an image preprocessing method is proposed to extract the main body image of the varistor, and a mask-constrained main body pseudo-anomaly generation strategy is adopted so that the model focuses on the texture distribution of the main body region of the image, reduces the model’s focus on the background region, and improves the defect localisation capability of the model. Secondly, Kolmogorov–Arnold Networks (KANs) are combined with the U-Network (U-Net) to construct a segmentation sub-network, and the Gaussian radial basis function is introduced as the learnable activation function of the KAN to improve the model’s ability to express the image features, so as to realise more accurate defect detection. Finally, by comparing the four unsupervised defect detection methods, the experimental results prove the superiority and generalisation of the proposed method. Full article
Show Figures

Figure 1

23 pages, 5751 KB  
Article
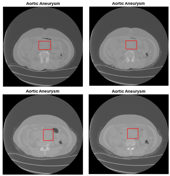
Automatic Diagnosis, Classification, and Segmentation of Abdominal Aortic Aneurysm and Dissection from Computed Tomography Images
by Hakan Baltaci, Sercan Yalcin, Muhammed Yildirim and Harun Bingol
Diagnostics 2025, 15(19), 2476; https://doi.org/10.3390/diagnostics15192476 - 27 Sep 2025
Abstract
Background/Objectives: Diagnosis of abdominal aortic aneurysm and abdominal aortic dissection (AAA and AAD) is of strategic importance as cardiovascular disease has fatal implications worldwide. This study presents a novel deep learning-based approach for the accurate and efficient diagnosis of abdominal aortic aneurysms [...] Read more.
Background/Objectives: Diagnosis of abdominal aortic aneurysm and abdominal aortic dissection (AAA and AAD) is of strategic importance as cardiovascular disease has fatal implications worldwide. This study presents a novel deep learning-based approach for the accurate and efficient diagnosis of abdominal aortic aneurysms (AAAs) and aortic dissections (AADs) from CT images. Methods: Our proposed convolutional neural network (CNN) architecture effectively extracts relevant features from CT scans and classifies regions as normal or diseased. Additionally, the model accurately delineates the boundaries of detected aneurysms and dissections, aiding in clinical decision-making. A pyramid scene parsing network has been built in a hybrid method. The layer block after the classification layer is divided into two groups: whether there is an AAA or AAD region in the abdominal CT image, and determination of the borders of the detected diseased region in the medical image. Results: In this sense, both detection and segmentation are performed in AAA and AAD diseases. Python programming has been used to assess the accuracy and performance results of the proposed strategy. From the results, average accuracy rates of 83.48%, 86.9%, 88.25%, and 89.64% were achieved using ResDenseUNet, INet, C-Net, and the proposed strategy, respectively. Also, intersection over union (IoU) of 79.24%, 81.63%, 82.48%, and 83.76% have been achieved using ResDenseUNet, INet, C-Net, and the proposed method. Conclusions: The proposed strategy is a promising technique for automatically diagnosing AAA and AAD, thereby reducing the workload of cardiovascular surgeons. Full article
(This article belongs to the Special Issue Artificial Intelligence and Computational Methods in Cardiology 2025)
Show Figures

Figure 1

Back to TopTop