Sign in to use this feature.

Years

Between: -

Subjects

remove_circle_outline
remove_circle_outline
remove_circle_outline
remove_circle_outline
remove_circle_outline

Journals

Article Types

Countries / Regions

Search Results (10)

Search Parameters:
Keywords = Tetracapsuloides bryosalmonae

Order results
Result details
Results per page
Select all
Export citation of selected articles as:
38 pages, 10352 KB  
Article
Transcriptomic Analysis of the Rainbow Trout Response to Single and Co-Infections with Myxobolus cerebralis and Tetracapsuloides bryosalmonae at Sites of Parasite Entry
by Naveed Akram, Reinhard Ertl, Reza Ghanei-Motlagh, Christopher J. Secombes, Mansour El-Matbouli, Astrid S. Holzer and Mona Saleh
Int. J. Mol. Sci. 2025, 26(17), 8148; https://doi.org/10.3390/ijms26178148 - 22 Aug 2025
Viewed by 1382
Abstract
Parasitic infections, such as those caused by the myxozoans Myxobolus cerebralis and Tetracapsuloides bryosalmonae, pose major threats to wild and farmed salmonids due to severe tissue damage and impairment of the host immune system. While individual infections have been studied, limited information [...] Read more.
Parasitic infections, such as those caused by the myxozoans Myxobolus cerebralis and Tetracapsuloides bryosalmonae, pose major threats to wild and farmed salmonids due to severe tissue damage and impairment of the host immune system. While individual infections have been studied, limited information is available on the host response during co-infection. This study investigated the transcriptomic immune response of rainbow trout (Oncorhynchus mykiss) during single and sequential co-infections with M. cerebralis and T. bryosalmonae using RNA-seq. Trout were exposed to single infections (Mc or Tb) followed by co-infections (Mc+ or Tb+). Fish were sampled at 31 days post-single infection (1 day post-co-infection). RNA from gill and caudal fin (portal of parasite entry) was sequenced, followed by differentially expressed genes (DEGs) identification and GO and KEGG enrichment. In the caudal fin, Mc+ (1 day after co-infection with T. bryosalomne) fish showed mild immune activation with C4B upregulation, while Tb+ fish exhibited a stronger response involving IFI44, ISG15, RSAD2, and TLR7 signaling. In gills, Mc+ fish showed moderate cytokine-related gene upregulation, while Tb+ (1 day after co-infection with M. cerebralis) fish displayed increased expression of humoral response genes (C3, immunoglobulin pathways) but suppression of genes involved in B cell development. These results indicate that the order of infection shapes the outcome of the host immune response, offering candidate targets at the host–pathogen interface. Full article
(This article belongs to the Section Molecular Biology)
Show Figures

Figure 1

22 pages, 2896 KB  
Article
Investigation of Proliferative Kidney Disease in Brown Trout and Habitat Characteristics Associated with a Swiss Wastewater Treatment Plant
by Helena Saura Martinez, Nicole Egloff and Heike Schmidt-Posthaus
Environments 2023, 10(9), 152; https://doi.org/10.3390/environments10090152 - 1 Sep 2023
Cited by 1 | Viewed by 2724
Abstract
Wastewater treatment plants (WWTP) play a critical role in mitigating adverse environmental impacts of urban and industrial wastewater by removing pollutants and reducing the risk of contamination. Discharges of treated effluents from WWTPs can still have significant effects on freshwater ecosystems, particularly on [...] Read more.
Wastewater treatment plants (WWTP) play a critical role in mitigating adverse environmental impacts of urban and industrial wastewater by removing pollutants and reducing the risk of contamination. Discharges of treated effluents from WWTPs can still have significant effects on freshwater ecosystems, particularly on sensitive species like brown trout. We analyzed the effects of a modern WWTP on a freshwater ecosystem, studying fish biodiversity and biomass, the occurrence of the parasitic disease Proliferative Kidney Disease (PKD) on brown trout, river water temperatures throughout the year and fish habitat and diversity. No major differences between up- and downstream of the WWTP were observed in habitat structure and attractiveness, fish biomass and species diversity, nor in PKD prevalence or intermediate host presence. However, immediately at the WWTP’s effluent and continuing downstream, the water temperature rose by almost 1 °C. While WWTPs are crucial for reducing the environmental impact of urban and industrial wastewater, their effluents can still have important consequences for freshwater ecosystems. Brown trout are particularly susceptible to increases in water temperature, especially regarding PKD severity and consequent mortality. To ensure the long-term health and sustainability of freshwater ecosystems, it is imperative to improve measures to minimize water temperature rises and mitigate downstream cascade effects on sensitive organisms like brown trout. Full article
Show Figures

Graphical abstract

11 pages, 1382 KB  
Article
Reliable Field Assessment of Proliferative Kidney Disease in Wild Brown Trout, Salmo trutta, Populations: When Is the Optimal Sampling Period?
by Aurélie Rubin, Christyn Bailey, Nicole Strepparava, Thomas Wahli, Helmut Segner and Jean-François Rubin
Pathogens 2022, 11(6), 681; https://doi.org/10.3390/pathogens11060681 - 14 Jun 2022
Cited by 5 | Viewed by 2432
Abstract
Proliferative kidney disease (PKD), caused by the myxozoan parasite Tetracapsuloides bryosalmonae, is suspected to contribute to the decline of wild brown trout Salmo trutta populations. Different factors need to be taken into consideration for PKD outbreaks. Among them, water temperature appears as [...] Read more.
Proliferative kidney disease (PKD), caused by the myxozoan parasite Tetracapsuloides bryosalmonae, is suspected to contribute to the decline of wild brown trout Salmo trutta populations. Different factors need to be taken into consideration for PKD outbreaks. Among them, water temperature appears as a main driver of the disease. To understand the epidemiology and impact of the disease on wild fish populations, reliable sampling approaches to detect the presence of T. bryosalmonae-infected fish are needed. This study aimed to characterize the seasonal variation of the prevalence of T. bryosalmonae-infected fish in brown trout populations in two small streams with differing temperature regimes between upstream and downstream sites. As water temperature is known to influence PKD manifestation in brown trout, we hypothesized that the number of T. bryosalmonae-positive fish, as well as their seasonal distribution, will vary between upper and downstream parts of the two streams. Since, in field studies, results can strongly vary across years, we extended the study over a 3-year-period. The number of infected fish and the intensity of infection were assessed by histology. The results confirmed the hypothesis of pronounced temporal- and site-related differences in the percentage of PKD-positive fish and the intensity of the infection. Comparison of water temperatures (total degree days as well as the number of days with a daily mean temperature ≥15 °C) with PKD data indicated that temperature was the driving factor for the temporal development and the intensity of the infection. A mean of 1500 degree days or 30 days with a daily mean temperature ≥15 °C was required before the infection could be detected histologically. From our findings, recommendations are derived for a water temperature-driven sampling strategy campaigns that enables the detection of PKD infection and prevalence in wild brown trout populations. Full article
Show Figures

Figure 1

17 pages, 2487 KB  
Article
Kinetics of Parasite-Specific Antibody and B-Cell-Associated Gene Expression in Brown Trout, Salmo trutta during Proliferative Kidney Disease
by Saloni Shivam, Mansour El-Matbouli and Gokhlesh Kumar
Biology 2021, 10(12), 1244; https://doi.org/10.3390/biology10121244 - 28 Nov 2021
Cited by 3 | Viewed by 5412
Abstract
Tetracapsuloides bryosalmonae, a myxozoan endoparasite often causes chronic infection in brown trout. Antiparasite immunity mediated by antibodies and B cells is known as an important determinant of host survival and parasite proliferation during chronic infections. Accordingly, studying their time course during proliferative [...] Read more.
Tetracapsuloides bryosalmonae, a myxozoan endoparasite often causes chronic infection in brown trout. Antiparasite immunity mediated by antibodies and B cells is known as an important determinant of host survival and parasite proliferation during chronic infections. Accordingly, studying their time course during proliferative kidney disease (PKD) might be helpful in improving our understanding of its chronic nature. Therefore, we conducted this study to examine parasite specific serum antibody and B-cell-mediated response in laboratory-infected brown trout at different time points. Brown trout were exposed to the spores of T. bryosalmonae, derived from infected bryozoans. Samples were collected at different time points and processed for indirect ELISA, histopathology, and qRT-PCR. T. bryosalmonae specific antibody was detected at 4 weeks post exposure (wpe) and it persisted until 17 wpe. Additionally, the expressions of C4A, CD34, CD79A, BLNK, CD74, BCL7, and CD22 were differentially regulated in the important immune organs, kidney and spleen. To our knowledge, this is the first study addressing anti-T. bryosalmonae antibody response in brown trout at different time points. The results from this study provide valuable insights into the processes leading to changes in B cell development, inflammation and antibody production during the course of PKD in brown trout. Full article
(This article belongs to the Section Immunology)
Show Figures

Figure 1

21 pages, 5305 KB  
Article
Cranial Mandibular Fibrosis Syndrome in Adult Farmed Rainbow Trout Oncorhynchus mykiss
by Irene Cano, John Worswick, Brian Mulhearn, Matt Green, Stephen W. Feist and Morag Clinton
Pathogens 2021, 10(5), 542; https://doi.org/10.3390/pathogens10050542 - 30 Apr 2021
Cited by 3 | Viewed by 3730
Abstract
An unusual condition affecting market size rainbow trout was investigated. This condition was prevalent for several years at low levels but affected a large proportion of stock during 2018 and 2019. Chronic fibrosis affecting cranial tissues and the jaw was observed in samples [...] Read more.
An unusual condition affecting market size rainbow trout was investigated. This condition was prevalent for several years at low levels but affected a large proportion of stock during 2018 and 2019. Chronic fibrosis affecting cranial tissues and the jaw was observed in samples collected in 2018. A larger sampling was then conducted in 2019 to investigate the presence of an infectious agent(s). An extensive inflammatory response in the mandibular region was the main finding, however infectious agents in the lesions were not identified through classical virology and bacteriology analysis. Tetracapsuloides bryosalmonae infection, calcinosis, and a Gram-positive bacterial infection of a single fish cardiac tissue was observed, however, a correlation of these pathologies and the cranial mandibular fibrosis (CMF) syndrome was not established. The gene expression of a panel of 16 immune-related genes was studied. Among these, tgf-b, sIgM, il11, hspa, and the antimicrobial peptides lys and cath1 were up-regulated in jaw sections of CMF-affected fish, showing a strong positive correlation with the severity of the lesions. Idiopathic chronic fibrosis with the activation of the Tfg-B pathway and local hyper-immunoglobulaemia was therefore diagnosed. Initiating factors and causative agent(s) (biotic or abiotic) of CMF remain, at present, unclear. Full article
Show Figures

Figure 1

16 pages, 6354 KB  
Article
Transcriptome Analysis Elucidates the Key Responses of Bryozoan Fredericella sultana during the Development of Tetracapsuloides bryosalmonae (Myxozoa)
by Gokhlesh Kumar, Reinhard Ertl, Jerri L. Bartholomew and Mansour El-Matbouli
Int. J. Mol. Sci. 2020, 21(16), 5910; https://doi.org/10.3390/ijms21165910 - 17 Aug 2020
Cited by 5 | Viewed by 3469
Abstract
Bryozoans are sessile, filter-feeding, and colony-building invertebrate organisms. Fredericella sultana is a well known primary host of the myxozoan parasite Tetracapsuloides bryosalmonae. There have been no attempts to identify the cellular responses induced in F. sultana during the T. bryosalmonae development. We [...] Read more.
Bryozoans are sessile, filter-feeding, and colony-building invertebrate organisms. Fredericella sultana is a well known primary host of the myxozoan parasite Tetracapsuloides bryosalmonae. There have been no attempts to identify the cellular responses induced in F. sultana during the T. bryosalmonae development. We therefore performed transcriptome analysis with the aim of identifying candidate genes and biological pathways of F. sultana involved in the response to T. bryosalmonae. A total of 1166 differentially up- and downregulated genes were identified in the infected F. sultana. Gene ontology of biological processes of upregulated genes pointed to the involvement of the innate immune response, establishment of protein localization, and ribosome biogenesis, while the downregulated genes were involved in mitotic spindle assembly, viral entry into the host cell, and response to nitric oxide. Eukaryotic Initiation Factor 2 signaling was identified as a top canonical pathway and MYCN as a top upstream regulator in the differentially expressed genes. Our study provides the first transcriptional profiling data on the F. sultana zooid’s response to T. bryosalmonae. Pathways and upstream regulators help us to understand the complex interplay in the infected F. sultana. The results will facilitate the elucidation of innate immune mechanisms of bryozoan and will lay a foundation for further analyses on bryozoan-responsive candidate genes, which will be an important resource for the comparative analysis of gene expression in bryozoans. Full article
(This article belongs to the Section Molecular Biology)
Show Figures

Figure 1

13 pages, 849 KB  
Article
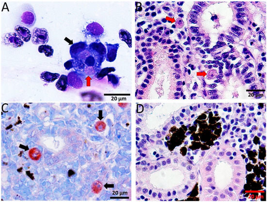
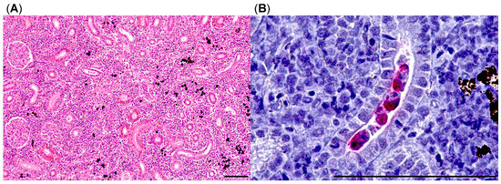
Health Surveillance of Wild Brown Trout (Salmo trutta fario) in the Czech Republic Revealed a Coexistence of Proliferative Kidney Disease and Piscine Orthoreovirus-3 Infection
by Ľubomír Pojezdal, Mikolaj Adamek, Eva Syrová, Dieter Steinhagen, Hana Minářová, Ivana Papežíková, Veronika Seidlová, Stanislava Reschová and Miroslava Palíková
Pathogens 2020, 9(8), 604; https://doi.org/10.3390/pathogens9080604 - 24 Jul 2020
Cited by 10 | Viewed by 3328
Abstract
The population of brown trout (Salmo trutta fario) in continental Europe is on the decline, with infectious diseases confirmed as one of the causative factors. However, no data on the epizootiological situation of wild fish in the Czech Republic are currently [...] Read more.
The population of brown trout (Salmo trutta fario) in continental Europe is on the decline, with infectious diseases confirmed as one of the causative factors. However, no data on the epizootiological situation of wild fish in the Czech Republic are currently available. In this study, brown trout (n = 260) from eight rivers were examined for the presence of viral and parasitical pathogens. Salmonid alphavirus-2, infectious pancreatic necrosis virus, piscine novirhabdovirus (VHSV) and salmonid novirhabdovirus (IHNV) were not detected using PCR. Cell culturing showed no viruses as well, and serological analysis of 110 sera did not detect any specific antibodies against VHSV or IHNV. Fish from two rivers were positive for the presence of piscine orthoreovirus-3 (PRV-3), subtype PRV-3b. However, none of the PRV-3-positive fish showed gross pathologies typically associated with PRV infections. By far the most widespread pathogen was Tetracapsuloides bryosalmonae which was confirmed in each of the examined locations, with a prevalence of up to 65% and 100%, as established by immunohistochemistry and PCR, respectively. Furthermore, up to 43.8% of fish showed signs of proliferative kidney disease caused by T. bryosalmonae, suggesting that this parasite is a main health challenge for brown trout in the Czech Republic. Full article
Show Figures

Figure 1

18 pages, 2745 KB  
Article
Identification and Expression Profiling of Toll-Like Receptors of Brown Trout (Salmo trutta) during Proliferative Kidney Disease
by Arun Sudhagar, Mansour El-Matbouli and Gokhlesh Kumar
Int. J. Mol. Sci. 2020, 21(11), 3755; https://doi.org/10.3390/ijms21113755 - 26 May 2020
Cited by 20 | Viewed by 4360
Abstract
Proliferative kidney disease is an emerging disease among salmonids in Europe and North America caused by the myxozoan parasite Tetracapsuloides bryosalmonae. The decline of endemic brown trout (Salmo trutta) in the Alpine streams of Europe is fostered by T. bryosalmonae infection. [...] Read more.
Proliferative kidney disease is an emerging disease among salmonids in Europe and North America caused by the myxozoan parasite Tetracapsuloides bryosalmonae. The decline of endemic brown trout (Salmo trutta) in the Alpine streams of Europe is fostered by T. bryosalmonae infection. Toll-like receptors (TLRs) are a family of pattern recognition receptors that acts as sentinels of the immune system against the invading pathogens. However, little is known about the TLRs’ response in salmonids against the myxozoan infection. In the present study, we identified and evaluated TLR1, TLR19, and TLR13-like genes of brown trout using data-mining and phylogenetic analysis. The expression pattern of TLRs was examined in the posterior kidney of brown trout infected with T. bryosalmonae at various time points. Typical Toll/interleukin-1 receptor protein domain was found in all tested TLRs. However, TLR13-like chr2 had a short amino acid sequence with no LRR domain. Phylogenetic analysis illustrated that TLR orthologs are conserved across vertebrates. Similarly, a conserved synteny gene block arrangement was observed in the case of TLR1 and TLR19 across fish species. Interestingly, all tested TLRs showed their maximal relative expression from 6 to 10 weeks post-exposure to the parasite. Our results suggest that these TLRs may play an important role in the innate defense mechanism of brown trout against the invading T. bryosalmonae. Full article
(This article belongs to the Section Molecular Biology)
Show Figures

Figure 1

16 pages, 1492 KB  
Review
The Malacosporean Myxozoan Parasite Tetracapsuloides bryosalmonae: A Threat to Wild Salmonids
by Arun Sudhagar, Gokhlesh Kumar and Mansour El-Matbouli
Pathogens 2020, 9(1), 16; https://doi.org/10.3390/pathogens9010016 - 23 Dec 2019
Cited by 32 | Viewed by 8950
Abstract
Tetracapsuloides bryosalmonae is a myxozoan parasite responsible for proliferative kidney disease (PKD) in a wide range of salmonids. PKD, characterized by high mortality and morbidity, is well known for affecting aquaculture operations and wild salmonid populations across Europe and North America. The life [...] Read more.
Tetracapsuloides bryosalmonae is a myxozoan parasite responsible for proliferative kidney disease (PKD) in a wide range of salmonids. PKD, characterized by high mortality and morbidity, is well known for affecting aquaculture operations and wild salmonid populations across Europe and North America. The life cycle of T. bryosalmonae revolves around freshwater bryozoan and salmonid fish hosts. In recent years, T. bryosalmonae has been reported among wild salmonids from the European countries where it has not been reported previously. T. bryosalmonae is believed to be a possible reason for the diminishing wild salmonid populations in the natural water bodies of many European countries. Climate crisis driven rising water temperature can further accelerate the distribution of T. bryosalmonae. Expansion of the geographical distribution of T. bryosalmonae may further advocate the decline of wild salmonid populations, especially brown trout (Salmo trutta) in their habitats. Mathematical models are used to understand the pattern and distribution of T. bryosalmonae among the host in the natural water bodies. The present manuscript not only summarizes the incidences of T. bryosalmonae among the wild salmonid populations, but also discusses the contemporary understanding about the development of T. bryosalmonae in its hosts and the influences of various factors in the spread of the disease in the wild. Full article
(This article belongs to the Section Animal Pathogens)
Show Figures

Figure 1

16 pages, 13852 KB  
Article
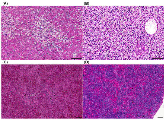
Proliferative Kidney Disease and Proliferative Darkening Syndrome are Linked with Brown Trout (Salmo trutta fario) Mortalities in the Pre-Alpine Isar River
by Daniela Arndt, Robert Fux, Andreas Blutke, Julia Schwaiger, Mansour El-Matbouli, Gerd Sutter and Martin C. Langenmayer
Pathogens 2019, 8(4), 177; https://doi.org/10.3390/pathogens8040177 - 6 Oct 2019
Cited by 15 | Viewed by 4166
Abstract
For many years, brown trout (Salmo trutta fario) mortalities within the pre-alpine Isar River in Germany were reported by the Bavarian Fisheries Association (Landesfischereiverband Bayern e.V.) and local recreational anglers during August and September. Moribund fish seemed to be affected by [...] Read more.
For many years, brown trout (Salmo trutta fario) mortalities within the pre-alpine Isar River in Germany were reported by the Bavarian Fisheries Association (Landesfischereiverband Bayern e.V.) and local recreational anglers during August and September. Moribund fish seemed to be affected by proliferative darkening syndrome (PDS). In addition, proliferative kidney disease (PKD) caused by Tetracapsuloides bryosalmonae was discussed. To investigate this phenomenon, the present field study monitored brown trout mortalities by daily river inspection in 2017 and 2018. Moribund brown trout (n = 31) were collected and examined using histology, immunohistochemistry, qPCR, and quantitative stereology. Our investigations identified 29 (93.5%) brown trout affected by PKD. Four brown trout (12.9%) displayed combined hepatic and splenic lesions fitting the pathology of PDS. The piscine orthoreovirus 3, suspected as causative agent of PDS, was not detectable in any of the samples. Quantitative stereological analysis of the kidneys revealed a significant increase of the renal tissue volumes with interstitial inflammation and hematopoietic hyperplasia in PKD-affected fish as compared to healthy brown trout. The identified T. bryosalmonae strain was classified as part of the North American clade by phylogenetical analysis. This study highlights PKD and PDS as contributing factors to recurrent autumnal brown trout mortalities. Full article
(This article belongs to the Section Animal Pathogens)
Show Figures

Graphical abstract

Back to TopTop