Kinetics of Parasite-Specific Antibody and B-Cell-Associated Gene Expression in Brown Trout, Salmo trutta during Proliferative Kidney Disease
Abstract
Simple Summary
Abstract
1. Introduction
2. Materials and Methods
2.1. Fish Sampling
2.2. Parasite Detection
2.3. Parasite Antigen Preparation
2.4. Immunoassay
2.5. RNA Extraction
2.6. Primer Designing
2.7. Reverse Transcription-Quantitative Real Time PCR (RT-qPCR) Analysis
3. Results
3.1. Clinical Signs
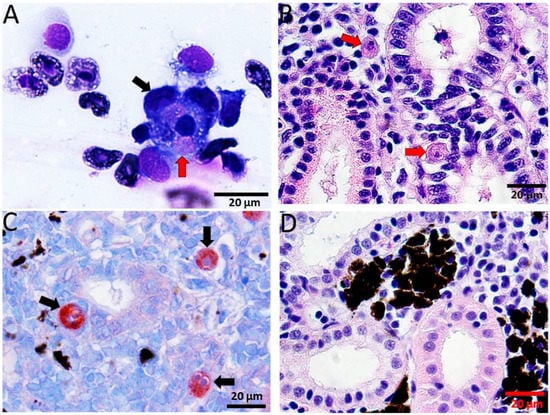
3.2. Parasite Detection
3.3. Anti-T. bryosalmonae Antibody Response
3.4. Gene Expression in Kidney and Spleen
4. Discussion
5. Conclusions
Author Contributions
Funding
Institutional Review Board Statement
Informed Consent Statement
Acknowledgments
Conflicts of Interest
References
- Wahli, T.; Bernet, D.; Steiner, P.A.; Schmidt-Posthaus, H. Geographic distribution of Tetracapsuloides bryosalmonae infected fish in Swiss rivers: An update. Aquat. Sci. 2007, 69, 3–10. [Google Scholar] [CrossRef][Green Version]
- Skovgaard, A.; Buchmann, K. Tetracapsuloides bryosalmonae and PKD in juvenile wild salmonids in Denmark. Dis. Aquat. Org. 2012, 101, 33–42. [Google Scholar] [CrossRef][Green Version]
- Dash, M.; Vasemägi, A. Proliferative kidney disease (PKD) agent Tetracapsuloides bryosalmonae in brown trout populations in Estonia. Dis. Aquat. Org. 2014, 109, 139–148. [Google Scholar] [CrossRef]
- Waldner, K.; Bechter, T.; Auer, S.; Borgwardt, F.; El-Matbouli, M.; Unfer, G. A brown trout (Salmo trutta) population faces devastating consequences due to proliferative kidney disease and temperature increase: A case study from Austria. Ecol. Freshw. Fish 2019, 29, 465–476. [Google Scholar] [CrossRef]
- Sudhagar, A.; Kumar, G.; El-Matbouli, M. The malacosporean myxozoan parasite Tetracapsuloides bryosalmonae: A threat to wild salmonids. Pathogens 2020, 9, 16. [Google Scholar] [CrossRef] [PubMed]
- Kumar, G.; Abd-Elfattah, A.; Saleh, M.; El-Matbouli, M. Fate of Tetracapsuloides bryosalmonae (Myxozoa) after infection of brown trout Salmo trutta and rainbow trout Oncorhynchus mykiss. Dis. Aquat. Org. 2013, 107, 9–18. [Google Scholar] [CrossRef]
- Soliman, H.; Kumar, G.; El-Matbouli, M. Tetracapsuloides bryosalmonae persists in brown trout Salmo trutta for five years post exposure. Dis. Aquat. Org. 2018, 127, 151–156. [Google Scholar] [CrossRef] [PubMed]
- Carraro, L.; Bertuzzo, E.; Mari, L.; Fontes, I.; Hartikainen, H.; Strepparava, N.; Schmidt-Posthaus, H.; Wahli, T.; Jokela, J.; Gatto, M.; et al. Integrated field, laboratory, and theoretical study of PKD spread in a Swiss prealpine river. Proc. Natl. Acad. Sci. USA 2017, 114, 11992–11997. [Google Scholar] [CrossRef] [PubMed]
- Ros, A.; Baer, J.; Basen, T.; Chucholl, C.; Schneider, E.; Teschner, R.; Brinker, A. Current and projected impacts of the parasite Tetracapsuloides bryosalmonae (causative to proliferative kidney disease) on Central European salmonid populations under predicted climate change. Freshw. Biol. 2021, 66, 1182–1199. [Google Scholar] [CrossRef]
- Grabner, D.S.; El-Matbouli, M. Tetracapsuloides bryosalmonae (Myxozoa: Malacosporea) portal of entry into the fish host. Dis. Aquat. Organ. 2010, 90, 197–206. [Google Scholar] [CrossRef] [PubMed]
- Kent, M.L.; Hedrick, R.P. Development of the PKX myxosporean in rainbow trout Salmo gairdneri. Dis. Aquat. Org. 1986, 1, 169–182. [Google Scholar] [CrossRef]
- Abd-Elfattah, A.; Kumar, G.; Soliman, H.; El-Matbouli, M. Persistence of Tetracapsuloides bryosalmonae (Myxozoa) in chronically infected brown trout Salmo trutta. Dis. Aquat. Org. 2014, 111, 41–49. [Google Scholar] [CrossRef]
- Ferguson, H.W.; Ball, H.J. Epidemiological aspects of proliferative kidney disease amongst rainbow trout Salmo gairdneri Richardson in Northern Ireland. J. Fish Dis. 1979, 2, 219–225. [Google Scholar] [CrossRef]
- Lund, F.E. Cytokine-producing B lymphocytes-key regulators of immunity. Curr. Opin. Immunol. 2008, 20, 332–338. [Google Scholar] [CrossRef]
- Myers, C.D. Role of B cell antigen processing and presentation in the humoral immune response. FASEB J. 1991, 5, 2547–2553. [Google Scholar] [CrossRef] [PubMed]
- Lanzavecchia, A. Antigen-specific interaction between T and B cells. Nature 1985, 314, 537–539. [Google Scholar] [CrossRef]
- Healer, J.; Wong, W.; Thompson, J.K.; He, W.; Birkinshaw, R.W.; Miura, K.; Long, C.A.; Soroka, V.; Søgaard, T.M.M.; Jørgensen, T.; et al. Neutralising antibodies block the function of Rh5/Ripr/CyRPA complex during invasion of Plasmodium falciparum into human erythrocytes. Cell Microbiol. 2019, 21, e13030. [Google Scholar] [CrossRef] [PubMed]
- Abrahamsohn, I.A.; Silva, W.D. Antibody dependent cell-mediated cytotoxicity against Trypanosoma cruzi. Parasitology 1977, 75, 317–323. [Google Scholar] [CrossRef] [PubMed]
- Magez, S.; Schwegmann, A.; Atkinson, R.; Claes, F.; Drennan, M.; De Baetselier, P.; Brombacher, F. The role of B-cells and IgM antibodies in parasitemia, anemia, and VSG switching in Trypanosoma brucei-infected mice. Plos Pathog. 2008, 4, e1000122. [Google Scholar] [CrossRef]
- Pritchard, D.I.; Quinnell, R.J.; Walsh, E.A. Immunity in humans to Necator americanus: IgE, parasite weight and fecundity. Parasite Immunol. 1995, 17, 71–75. [Google Scholar] [CrossRef] [PubMed]
- Ronet, C.; Voigt, H.; Himmelrich, H.; Doucey, M.A.; Hauyon-La Torre, Y.; Revaz-Breton, M.; Tacchini-Cottier, F.; Bron, C.; Louis, J.; Launois, P. Leishmania major-specific B cells are necessary for Th2 cell development and susceptibility to L. major LV39 in BALB/c mice. J. Immunol. 2008, 180, 4825–4835. [Google Scholar] [CrossRef] [PubMed]
- Harris, N.; Gause, W.C. To B or not to B: B cells and the Th2-type immune response to helminths. Trends Immunol. 2011, 32, 80–88. [Google Scholar] [CrossRef]
- Umekita, L.F.; Takehara, H.A.; Mota, I. Role of the antibody Fc in the immune clearance of Trypanosoma cruzi. Immunol. Lett. 1988, 17, 85–89. [Google Scholar] [CrossRef]
- Bermejo, D.A.; Amezcua Vesely, M.C.; Khan, M.; Acosta Rodríguez, E.V.; Montes, C.L.; Merino, M.C.; Toellner, K.M.; Mohr, E.; Taylor, D.; Cunningham, A.F.; et al. Trypanosoma cruzi infection induces a massive extrafollicular and follicular splenic B-cell response which is a high source of non-parasite-specific antibodies. Immunology 2011, 132, 123–133. [Google Scholar] [CrossRef] [PubMed]
- Bickle, Q.D. Radiation-attenuated schistosome vaccination—A brief historical perspective. Parasitology 2009, 136, 1621–1632. [Google Scholar] [CrossRef] [PubMed]
- Blackwell, N.M.; Else, K.J. B cells and antibodies are required for resistance to the parasitic gastrointestinal nematode Trichuris muris. Infect. Immun. 2001, 69, 3860–3868. [Google Scholar] [CrossRef] [PubMed][Green Version]
- Shivam, S.; El-Matbouli, M.; Kumar, G. Development of Fish Parasite Vaccines in the OMICs Era: Progress and Opportunities. Vaccines 2021, 9, 179. [Google Scholar] [CrossRef]
- Estensoro, I.; Calduch-Giner, J.A.; Kaushik, S.; Perez-Sanchez, J.; Sitjà-Bobadilla, A. Modulation of the IgM gene expression and IgM immunoreactive cell distribution by the nutritional background in gilthead sea bream (Sparus aurata) challenged with Enteromyxum leei (Myxozoa). Fish Shellfish Immunol. 2012, 33, 401–410. [Google Scholar] [CrossRef] [PubMed]
- Bermúdez, R.; Vigliano, F.; Marcaccini, A.; Sitjà-Bobadilla, A.; Quiroga, M.I.; Nieto, J.M. Response of Ig-positive cells to Enteromyxum scophthalmi (Myxozoa) experimental infection in turbot, Scophthalmus maximus (L.): A histopathological and immunohistochemical study. Fish Shellfish Immunol. 2006, 21, 501–512. [Google Scholar] [CrossRef]
- Zhang, Y.A.; Salinas, I.; Li, J.; Parra, D.; Bjork, S.; Xu, Z.; LaPatra, S.E.; Bartholomew, J.; Sunyer, J.O. IgT, a primitive immunoglobulin class specialized in mucosal immunity. Nat. Immunol. 2010, 11, 827–835. [Google Scholar] [CrossRef] [PubMed]
- Chilmonczyk, S.; Monge, D.; De Kinkelin, P. Proliferative kidney disease: Cellular aspects of the rainbow trout, Oncorhynchus mykiss (Walbaum), response to parasitic infection. J. Fish Dis. 2002, 25, 217–226. [Google Scholar] [CrossRef]
- Abos, B.; Estensoro, I.; Perdiguero, P.; Faber, M.; Hu, Y.; Díaz Rosales, P.; Granja, A.G.; Secombes, C.J.; Holland, J.W.; Tafalla, C. Dysregulation of B Cell Activity During Proliferative Kidney Disease in Rainbow Trout. Front. Immunol. 2018, 9, 1203. [Google Scholar] [CrossRef]
- Bailey, C.; Strepparava, N.; Wahli, T.; Segner, H. Exploring the immune response, tolerance and resistance in proliferative kidney disease of salmonids. Dev. Comp. Immunol. 2019, 90, 165–175. [Google Scholar] [CrossRef]
- Gorgoglione, B.; Wang, T.; Secombes, C.J. Immune gene expression profiling of Proliferative Kidney Disease in rainbow trout Oncorhynchus mykiss reveals a dominance of anti-inflammatory, antibody and T helper cell-like activities. Vet. Res. 2013, 44, 55. [Google Scholar] [CrossRef] [PubMed]
- Kumar, G.; Abd-Elfattah, A.; El-Matbouli, M. Differential modulation of host genes in the kidney of brown trout Salmo trutta during sporogenesis of Tetracapsuloides bryosalmonae (Myxozoa). Vet. Res. 2014, 45, 101. [Google Scholar] [CrossRef] [PubMed]
- Sudhagar, A.; Ertl, R.; Kumar, G.; El-Matbouli, M. Transcriptome profiling of posterior kidney of brown trout, Salmo trutta, during proliferative kidney disease. Parasit. Vectors 2019, 12, 569. [Google Scholar] [CrossRef] [PubMed]
- Livak, K.J.; Schmittgen, T.D. Analysis of relative gene expression data using real-time quantitative PCR and the 2-ΔΔCT method. Methods 2001, 25, 402–408. [Google Scholar] [CrossRef] [PubMed]
- Holzer, A.; Sommerville, C.; Wootten, R. Molecular studies on the seasonal occurrence and development of five myxozoans in farmed Salmo trutta L. Parasitology 2006, 132, 193–205. [Google Scholar] [CrossRef] [PubMed]
- Henriques, C.; Henriques-Pons, A.; Meuser-Batista, M.; Ribeiro, A.S.; de Souza, W. In vivo imaging of mice infected with bioluminescent Trypanosoma cruzi unveils novel sites of infection. Parasit. Vectors 2014, 7, 89. [Google Scholar] [CrossRef] [PubMed]
- Schmidt-Posthaus, H.; Bettge, K.; Forster, U.; Segner, H.; Wahli, T. Kidney pathology and parasite intensity in rainbow trout Oncorhynchus mykiss surviving proliferative kidney disease: Time course and influence of temperature. Dis. Aquat. Org. 2012, 97, 207–218. [Google Scholar] [CrossRef]
- Ferguson, H.W.; Needham, E.A. Proliferative kidney disease in rainbow trout Salmo gairdneri Richardson. J. Fish Dis. 1978, 1, 91–108. [Google Scholar] [CrossRef]
- Clifton-Hadley, R.S.; Bucke, D.; Richards, R.H. A study of the sequential clinical and pathological changes during proliferative kidney disease in rainbow trout, Salmo gairdneri Richardson. J. Fish Dis. 1987, 10, 335–352. [Google Scholar] [CrossRef]
- Waldner, K.; Borkovec, M.; Borgwardt, F.; Unfer, G.; El-Matbouli, M. Effect of water temperature on the morbidity of Tetracapsuloides bryosalmonae (Myxozoa) to brown trout (Salmo trutta) under laboratory conditions. J. Fish Dis. 2021, 44, 1005–1013. [Google Scholar] [CrossRef]
- Bailey, C.; Segner, H.; Wahli, T.; Tafalla, C. Back From the Brink: Alterations in B and T Cell Responses Modulate Recovery of Rainbow Trout From Chronic Immunopathological Tetracapsuloides bryosalmonae Infection. Front. Immunol. 2020, 11, 1093. [Google Scholar] [CrossRef]
- Alvarez-Pellitero, P. Fish immunity and parasite infections: From innate immunity to immunoprophylactic prospects. Vet. Immunol. Immunopathol. 2008, 126, 171–198. [Google Scholar] [CrossRef] [PubMed]
- Nie, P.; Hoole, D. Antibody response of carp, Cyprinus carpio to the cestode, Bothriocephalus acheilognathi. Parasitology 1999, 118, 635–639. [Google Scholar] [CrossRef] [PubMed]
- Overath, P.; Haag, J.; Mameza, M.G.; Lischke, A. Freshwater fish trypanosomes: Definition of two types, host control by antibodies and lack of antigenic variation. Parasitology 1999, 119, 591–601. [Google Scholar] [CrossRef]
- Kishimori, J.M.; Takemura, A.; Leong, J. Neobenedenia melleni-specific antibodies are associated with protection after continuous exposure in Mozambique Tilapia. J. Immunol. Res. 2015, 215, 1–6. [Google Scholar] [CrossRef]
- Hedrick, R.P.; MacConnell, E.; de Kinkelin, P. Proliferative kidney disease of salmonid fish. Annu. Rev. Fish Dis. 1993, 3, 277–290. [Google Scholar] [CrossRef]
- Pettinello, R.; Dooley, H. The immunoglobulins of cold-blooded vertebrates. Biomolecules 2014, 4, 1045–1069. [Google Scholar] [CrossRef]
- Deroost, K.; Pham, T.T.; Opdenakker, G.; Van den Steen, P.E. The immunological balance between host and parasite in malaria. FEMS Microbiol. Rev. 2016, 40, 208–257. [Google Scholar] [CrossRef] [PubMed]
- Leoratti, F.M.; Durlacher, R.R.; Lacerda, M.V.; Alecrim, M.G.; Ferreira, A.W.; Sanchez, M.C.; Moraes, S.L. Pattern of humoral immune response to Plasmodium falciparum blood stages in individuals presenting different clinical expressions of malaria. Malar J. 2008, 7, 186. [Google Scholar] [CrossRef] [PubMed]
- Smith, E.C.; Taylor-Robinson, A.W. Parasite-specific immunoglobulin isotypes during lethal and non-lethal murine malaria infections. Parasitol. Res. 2003, 89, 26–33. [Google Scholar] [CrossRef] [PubMed]
- Mashoof, S.; Criscitiello, M.F. Fish Immunoglobulins. Biology 2016, 5, 45. [Google Scholar] [CrossRef]
- Okamura, B.; Hartikainen, H.; Schmidt-Posthaus, H.; Wahli, T. Life cycle complexity, environmental change and the emerging status of salmonid proliferative kidney disease. Freshwater Biol. 2011, 56, 735–753. [Google Scholar] [CrossRef]
- Saulnier, D.; de Kinkelin, P. Antigenic and biochemical study of PKX, the myxosporean causative agent of proliferative kidney disease of salmonid fish. Dis. Aquat. Organ. 1996, 27, 103–114. [Google Scholar] [CrossRef]
- Dunkelberger, J.R.; Song, W.C. Complement and its role in innate and adaptive immune responses. Cell Res. 2010, 20, 34–50. [Google Scholar] [CrossRef] [PubMed]
- Salati, S.; Zini, R.; Bianchi, E.; Testa, A.; Mavilio, F.; Manfredini, R.; Ferrari, S. Role of CD34 antigen in myeloid differentiation of human hematopoietic progenitor cells. Stem Cells 2008, 26, 950–959. [Google Scholar] [CrossRef] [PubMed][Green Version]
- Peñaranda, M.M.D.; Jensen, I.; Tollersrud, L.G.; Bruun, J.A.; Jørgensen, J.B. Profiling the Atlantic Salmon IgM+ B Cell Surface Proteome: Novel Information on Teleost Fish B Cell Protein Repertoire and Identification of Potential B Cell Markers. Front. Immunol. 2019, 10, 37. [Google Scholar] [CrossRef]
- DeFranco, A.L. Structure and function of the B cell antigen receptor. Annu. Rev. Cell Biol. 1993, 9, 377–410. [Google Scholar] [CrossRef]
- Mo, Z.Q.; Yang, M.; Wang, H.Q.; Xu, Y.; Huang, M.Z.; Lao, G.F.; Li, Y.W.; Li, A.X.; Luo, X.C.; Dan, X.M. Grouper (Epinephelus coioides) BCR signaling pathway was involved in response against Cryptocaryon irritans infection. Fish Shellfish Immunol. 2016, 57, 198–205. [Google Scholar] [CrossRef]
- Su, H.; Na, N.; Zhang, X.; Zhao, Y. The biological function and significance of CD74 in immune diseases. Inflamm. Res. 2017, 66, 209–216. [Google Scholar] [CrossRef]
- Yamaguchi, T.; Dijkstra, J.M. Major Histocompatibility Complex (MHC) Genes and Disease Resistance in Fish. Cells 2019, 8, 378. [Google Scholar] [CrossRef] [PubMed]
- Farr, L.; Ghosh, S.; Moonah, S. Role of MIF Cytokine/CD74 Receptor Pathway in Protecting Against Injury and Promoting Repair. Front. Immunol. 2020, 11, 1273. [Google Scholar] [CrossRef]
- Shachar, I. An essential MIF-CD74 signaling axis in kidney tubular regeneration, with prospects for precision medicine and pharmacological augmentation. Am. J. Physiol. Ren. Physiol. 2017, 1, 313, F1084–F1086. [Google Scholar] [CrossRef] [PubMed]
- Bernhagen, J.; Krohn, R.; Lue, H.; Gregory, J.L.; Zernecke, A.; Koenen, R.R.; Dewor, M.; Georgiev, I.; Schober, A.; Leng, L.; et al. MIF is a noncognate ligand of CXC chemokine receptors in inflammatory and atherogenic cell recruitment. Nat. Med. 2007, 13, 587–596. [Google Scholar] [CrossRef] [PubMed]
- Xu, Q.; Li, R.; Monte, M.M.; Jiang, Y.; Nie, P.; Holland, J.W.; Secombes, C.J.; Wang, T. Sequence and expression analysis of rainbow trout CXCR2, CXCR3a and CXCR3b aids interpretation of lineage-specific conversion, loss and expansion of these receptors during vertebrate evolution. Dev. Comp. Immunol. 2014, 45, 201–213. [Google Scholar] [CrossRef] [PubMed]
- Tanese, K.; Hashimoto, Y.; Berkova, Z.; Wang, Y.; Samaniego, F.; Lee, J.E.; Ekmekcioglu, S.; Grimm, E.A. Cell Surface CD74-MIF Interactions Drive Melanoma Survival in Response to Interferon-γ. J. Investig. Dermatol. 2015, 135, 2775–2784. [Google Scholar] [CrossRef] [PubMed]
- Uehara, T.; Kage-Nakadai, E.; Yoshina, S.; Imae, R.; Mitani, S. The Tumor Suppressor BCL7B Functions in the Wnt Signaling Pathway. Plos Genet. 2015, 11, e1004921. [Google Scholar] [CrossRef]
- Jadayel, D.M.; Osborne, L.R.; Coignet, L.J.; Zani, V.J.; Tsui, L.C.; Scherer, S.W.; Dyer, M.J. The BCL7 gene family: Deletion of BCL7B in Williams syndrome. Gene 1998, 224, 35–44. [Google Scholar] [CrossRef]
- Fu, C.; Turck, C.W.; Kurosaki, T.; Chan, A.C. BLNK: A central linker protein in B cell activation. Immunity 1998, 9, 93–103. [Google Scholar] [CrossRef]
- Mo, Z.Q.; Wang, J.L.; Han, R.; Han, Q.; Li, Y.W.; Sun, H.Y.; Luo, X.C.; Dan, X.M. Identification and functional analysis of grouper (Epinephelus coioides) B-cell linker protein BLNK. Fish Shellfish Immunol. 2018, 81, 399–407. [Google Scholar] [CrossRef]
- Clark, E.A.; Giltiay, N.V. CD22: A Regulator of Innate and Adaptive B Cell Responses and Autoimmunity. Front. Immunol. 2018, 9, 2235. [Google Scholar] [CrossRef]
- Hu, Y.; Li, A.; Xu, Y.; Jiang, B.; Lu, G.; Luo, X. Transcriptomic variation of locally-infected skin of Epinephelus coioides reveals the mucosal immune mechanism against Cryptocaryon irritans. Fish Shellfish Immunol. 2017, 66, 398–410. [Google Scholar] [CrossRef] [PubMed]






| Code | Sequence | Size (bp) | Annealing (°C) | Primer Efficiency |
|---|---|---|---|---|
| C4A F | CTGCCCACTCTGTGTCCTTA | 161 | 64 | 93.1 |
| C4A R | GGCAACTGAAGGGAAAGACC | |||
| CD34 F | GTGTGTGCGTCAGCTATACA | 195 | 60 | 93.0 |
| CD34 R | GATCTGGGTTCAGCTTGCAG | |||
| CD79A F | GAGTGGACCGGAGAGACAAC | 185 | 66 | 96.0 |
| CD79A R | GTAGACATGCAGGAAGGTGC | |||
| CD74 F | ACGAAAAGACTCCCATGACG | 144 | 60 | 95.0 |
| CD74 R | TCCATCTGTCTCTTCAGGCT | |||
| CD22 F | GTCCAACTCTCCTAACCGCT | 191 | 60 | 90.0 |
| CD22 R | CAGCAGGTAGGGCTCTAGTC | |||
| BCL7 F | GAAGGTCATGGCGGTCATTG | 196 | 60 | 95.0 |
| BCL7 R | GTGTGGGTTTTCTGAGGCTG | |||
| BLNK F | TATCATTGGCACTTTGCCCAG | 188 | 60 | 93.0 |
| BLNK R | GGCTGAACATGCCTTACACC | |||
| RPL7 F | GATTAGGATATCCCCAAGCAACG | 152 | 60 | 92.5 |
| RPL7 R | AGGTATTCCTCATGTACCTCCAA | |||
| EF alpha F | AGACAGCAAAAACGACCCCC | 167 | 60 | 90.3 |
| EF alpha R | AACGACGGTCGATCTTCTCC | |||
| β-actin F | CAGGCATCAGGGAGTGATG | 127 | 60 | 96.5 |
| β-actin R | GTCCCAGTTGGTGACGATG |
Publisher’s Note: MDPI stays neutral with regard to jurisdictional claims in published maps and institutional affiliations. |
© 2021 by the authors. Licensee MDPI, Basel, Switzerland. This article is an open access article distributed under the terms and conditions of the Creative Commons Attribution (CC BY) license (https://creativecommons.org/licenses/by/4.0/).
Share and Cite
Shivam, S.; El-Matbouli, M.; Kumar, G. Kinetics of Parasite-Specific Antibody and B-Cell-Associated Gene Expression in Brown Trout, Salmo trutta during Proliferative Kidney Disease. Biology 2021, 10, 1244. https://doi.org/10.3390/biology10121244
Shivam S, El-Matbouli M, Kumar G. Kinetics of Parasite-Specific Antibody and B-Cell-Associated Gene Expression in Brown Trout, Salmo trutta during Proliferative Kidney Disease. Biology. 2021; 10(12):1244. https://doi.org/10.3390/biology10121244
Chicago/Turabian StyleShivam, Saloni, Mansour El-Matbouli, and Gokhlesh Kumar. 2021. "Kinetics of Parasite-Specific Antibody and B-Cell-Associated Gene Expression in Brown Trout, Salmo trutta during Proliferative Kidney Disease" Biology 10, no. 12: 1244. https://doi.org/10.3390/biology10121244
APA StyleShivam, S., El-Matbouli, M., & Kumar, G. (2021). Kinetics of Parasite-Specific Antibody and B-Cell-Associated Gene Expression in Brown Trout, Salmo trutta during Proliferative Kidney Disease. Biology, 10(12), 1244. https://doi.org/10.3390/biology10121244

