Sign in to use this feature.

Years

Between: -

Subjects

remove_circle_outline
remove_circle_outline
remove_circle_outline
remove_circle_outline

Journals

Article Types

Countries / Regions

Search Results (8)

Search Parameters:
Keywords = TPAI

Order results
Result details
Results per page
Select all
Export citation of selected articles as:
16 pages, 3015 KB  
Article
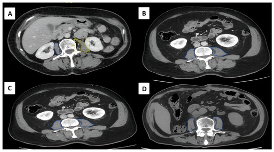
Prognostic Role of the Total Psoas Area Index (TPAI) and Its Association with Survival After Gastric Cancer Surgery
by Manuel José Torres-Jurado, Omar Abdel-Lah-Fernández, María Alejandra Arévalo-González, Laura Vicente-González, Nerea García-González, Francisco José Mena Valle, Juan Manuel Nieto-Arranz, María Lourdes Hernández-Cosido, Felipe Carlos Parreño-Manchado and Francisco Blanco-Antona
Cancers 2026, 18(7), 1135; https://doi.org/10.3390/cancers18071135 - 1 Apr 2026
Viewed by 409
Abstract
Objectives: Gastric cancer is one of the leading causes of cancer-related mortality. Sarcopenia, characterized by reduced skeletal muscle mass, strength, and physical performance, is associated with poorer outcomes in gastrointestinal cancers. This study aimed to evaluate the prevalence of sarcopenia, including the Total [...] Read more.
Objectives: Gastric cancer is one of the leading causes of cancer-related mortality. Sarcopenia, characterized by reduced skeletal muscle mass, strength, and physical performance, is associated with poorer outcomes in gastrointestinal cancers. This study aimed to evaluate the prevalence of sarcopenia, including the Total Psoas Area Index (TPAI), and its association with tumor stage, postoperative complications, and survival in patients with gastric adenocarcinoma. Methods: A retrospective study was conducted, including 79 patients who underwent surgery for gastric adenocarcinoma. Sarcopenia was assessed using a combination of CT-derived muscle mass (TPAI), muscle strength (dynamometry), and functional status (SARC-F). Patients were divided into sarcopenic (SG) and non-sarcopenic (NSG) groups. Clinical and survival data were compared between groups. Results: Sarcopenia was identified in 36.7% of patients. Early-stage disease (I–II) was less frequent in the SG (20.7%) compared to the NSG (44%), whereas stage IV tumors were more common in the SG (20.7% vs. 6%). Sarcopenic patients had a lower body mass index and underwent fewer laparoscopic procedures (44.8% vs. 68%, p = 0.03). Postoperative complications, such as pneumonia and ileus, were more frequent in the SG. Overall survival was significantly lower in the SG (17 vs. 21 months, respectively, p = 0.042), with a reduction in disease-free survival as well. Postoperative TPAI values remained lower in the SG. Conclusions: Sarcopenia, as defined by combined assessment including TPAI, was associated with advanced tumor stage, increased postoperative risk, and reduced survival in patients with gastric cancer. Preoperative assessment of muscle mass may help identify high-risk patients and optimize clinical management. Full article
Show Figures

Figure 1

26 pages, 11288 KB  
Article
Genomic Characterization of Pseudomonas syringae pv. syringae Populations Affecting Sweet Cherry Orchards in Chile Reveals Local Adaptation and Virulence Signatures
by Francisco Correa, Paz Millas, Rubén Almada, Franco Figueroa, Juan Pablo Martinez and Boris Sagredo
Plants 2026, 15(4), 552; https://doi.org/10.3390/plants15040552 - 10 Feb 2026
Viewed by 762
Abstract
Pseudomonas syringae pv. syringae (Pss) is an economically significant bacterial pathogen that causes canker in sweet cherry trees. In Chile, sweet cherry (Prunus avium L.) is a key crop whose exponential production growth has increased phytosanitary pressure. However, the genetic [...] Read more.
Pseudomonas syringae pv. syringae (Pss) is an economically significant bacterial pathogen that causes canker in sweet cherry trees. In Chile, sweet cherry (Prunus avium L.) is a key crop whose exponential production growth has increased phytosanitary pressure. However, the genetic diversity and adaptive mechanisms of local Pss populations have remained poorly understood. This study characterized 41 Pss isolates from major Chilean production regions. Their genomes were sequenced and compared with 152 public genomes from the PG2 phylogenetic group. The analysis revealed a predominance of the PG2d subgroup among the Chilean isolates, with a population structure defined by at least 18 genomic clusters, some of which are exclusive to Chile. A characteristic feature of this entire PG2d subgroup is the presence of indole-3-acetic acid (IAA) synthesis genes (iaaM and iaaH). Furthermore, this subgroup displayed a marked increase in ancestral gene gain and loss events, indicating extensive remodeling of the shell genome and supporting a model of lineage-specific adaptive evolution. We also identified lineage-specific orthogroups, structural variants of the T-PAI pathogenicity island, and a differential distribution of Hop-type effector proteins. Furthermore, an extended copper resistance operon (cop and cus systems) was detected in a subset of strains, and a dominant lineage was found to have a dual i1-type of T6SS system. These findings highlight the local diversification of Pss in Chile, likely driven by agro-environmental pressures. This study provides crucial insights into the evolution, adaptation, and pathogenic potential of this important pathogen in a crop of high strategic value. Full article
(This article belongs to the Special Issue Occurrence and Control of Plant Bacterial Diseases)
Show Figures

Figure 1

17 pages, 5200 KB  
Article
Structural, Optical, and Electrical Parameters of Doped PVA/PVP Blend with TPAI or THAI Salt
by A. M. El-Naggar, Shadia Z. Brnawi, A. M. Kamal, A. A. Albassam, Zein K. Heiba and Mohamed Bakr Mohamed
Polymers 2023, 15(12), 2661; https://doi.org/10.3390/polym15122661 - 13 Jun 2023
Cited by 26 | Viewed by 2860
Abstract
The 70% polyvinyl alcohol/30% polyvinyl pyrrolidone (PVA/PVP) polymer blends, with different weight ratios of tetrapropylammonium iodide (TPAI) or tetrahexylammonium iodide (THAI) salt, were prepared using dimethyl sulfoxide (DMSO) as a solvent. The X-ray diffraction technique was used to trace the crystalline nature of [...] Read more.
The 70% polyvinyl alcohol/30% polyvinyl pyrrolidone (PVA/PVP) polymer blends, with different weight ratios of tetrapropylammonium iodide (TPAI) or tetrahexylammonium iodide (THAI) salt, were prepared using dimethyl sulfoxide (DMSO) as a solvent. The X-ray diffraction technique was used to trace the crystalline nature of the formed blends. The SEM and EDS techniques were applied to figure out the morphology of the blends. The variation in the FTIR vibrational bands was used to investigate the chemical composition and the effect of different salt doping on the functional groups of the host blend. The influence of the salt type (TPAI or THAI) and its ratio on the linear and nonlinear optical parameters for the doped blends were investigated in detail. Absorbance and reflectance are highly enhanced in the UV region reaching a maximum for the blend with 24% TPAI or THAI; so, it can be employed as shielding materials for UVA and UVB types. The direct (5.1 eV) and indirect (4.8 eV) optical bandgaps were reduced continuously to (3.52, 3.63 eV) and (3.45, 3.51 eV) while increasing the content of TPAI or THAI, respectively. The blend doped with 24% wt TPAI exhibited the highest refractive index (around 3.5 in 400–800 nm). The DC conductivity is affected by the content and type of salt, its dispersion, and blend-salt interaction. The activation energies of different blends were obtained by applying the Arrhenius formula. Full article
(This article belongs to the Section Smart and Functional Polymers)
Show Figures

Figure 1

21 pages, 3401 KB  
Article
Modification of DSSC Based on Polymer Composite Gel Electrolyte with Copper Oxide Nanochain by Shape Effect
by Nur Khuzaimah Farhana, Fatin Saiha Omar, Norshahirah Mohamad Saidi, Goh Zhi Ling, Shahid Bashir, Ramesh Subramaniam, Ramesh Kasi, Javed Iqbal, Swelm Wageh, Hamed Algarni and Abdullah G. Al-Sehemi
Polymers 2022, 14(16), 3426; https://doi.org/10.3390/polym14163426 - 22 Aug 2022
Cited by 12 | Viewed by 4602
Abstract
Solvent evaporation and leakage of liquid electrolytes that restrict the practicality of dye-sensitized solar cells (DSSCs) motivate the quest for the development of stable and ionic conductive electrolyte. Gel polymer electrolyte (GPE) fits the criteria, but it still suffers from low efficiency due [...] Read more.
Solvent evaporation and leakage of liquid electrolytes that restrict the practicality of dye-sensitized solar cells (DSSCs) motivate the quest for the development of stable and ionic conductive electrolyte. Gel polymer electrolyte (GPE) fits the criteria, but it still suffers from low efficiency due to insufficient segmental motion within the electrolytes. Therefore, incorporating metal oxide nanofiller is one of the approaches to enhance the performance of electrolytes due to the presence of cross-linking centers that can be coordinated with the polymer segments. In this research, polymer composite gel electrolytes (PCGEs) employing poly (vinyl butyral-co-vinyl alcohol-co-vinyl acetate) (P(VB-co-VA-co-VAc)) terpolymer as host polymer, tetrapropylammonium iodide (TPAI) as dopant salt, and copper oxide (CuO) nanoparticles as the nanofillers were produced. The CuO nanofillers were synthesized by sonochemical method and subsequently calcined at different temperatures (i.e., 200, 350, and 500 °C), denoted as CuO-200, CuO-350, and CuO-500, respectively. All CuO nanoparticles have different shapes and sizes that are connected in a chain which impact the amorphous phase and the roughness of the surface, proven by the structural and the morphological analyses. It was found that the PCGE consisting of CuO-350 exhibited the highest ionic conductivity of 2.54 mS cm−1 and apparent diffusion coefficient of triiodide of 1.537 × 10−4 cm2 s−1. The enhancement in the electrochemical performance of the PCGEs is correlated with the change in shape (rod to sphere) and size of CuO particles which disrupted the structural order of the polymer chain, facilitating the redox couple transportation. Additionally, a DSSC was fabricated and achieved the highest power conversion efficiency of 7.05% with JSC of 22.1 mA cm−2, VOC of 0.61 V, and FF of 52.4%. Full article
(This article belongs to the Section Polymer Applications)
Show Figures

Graphical abstract

11 pages, 741 KB  
Article
Biochemical Diversity, Pathogenicity and Phylogenetic Analysis of Pseudomonas viridiflava from Bean and Weeds in Northern Spain
by Ana M. Fernández-Sanz, M. Rosario Rodicio and Ana J. González
Microorganisms 2022, 10(8), 1542; https://doi.org/10.3390/microorganisms10081542 - 29 Jul 2022
Cited by 6 | Viewed by 3343
Abstract
Pseudomonas viridiflava was originally reported as a bean pathogen, and subsequently as a wide-host range pathogen affecting numerous plants species. In addition, several authors have reported the epiphytic presence of this bacterium in “non-host plants”, which may act as reservoir of P. viridiflava [...] Read more.
Pseudomonas viridiflava was originally reported as a bean pathogen, and subsequently as a wide-host range pathogen affecting numerous plants species. In addition, several authors have reported the epiphytic presence of this bacterium in “non-host plants”, which may act as reservoir of P. viridiflava and source of inoculum for crops. A new biotype of this bacterium, showing an atypical LOPAT profile, was found in Asturias, a Northern region of Spain, causing significant damage in beans, kiwifruit, lettuce, and Hebe. In order to investigate the involvement of weeds in bean disease, samples were collected from beans and weeds growing in the same fields. A total of 48 isolates of P. viridiflava were obtained, 39 from weeds and 9 from beans. 48% and 52% of them showed typical (L− O− P+ A− T+) and atypical (L+ O− P v A− T+) LOPAT profiles, and they displayed high biochemical diversity. Regarding virulence factors, the T-PAI and S-PAI pathogenicity islands were found in 29% and 70.8% of the isolates, 81.2% displayed pectinolytic activity on potato slices, and 59% of the weed isolates produced symptoms after inoculation on bean pods. A phylogenetic tree based on concatenated rpoD, gyrB, and gltA sequences separated the strains carrying S-PAI and T-PAI into different clusters, both containing isolates from beans and weeds, and pathogenic as well as non-pathogenic strains. Closely related strains were found in the two hosts, and more than half of the weed isolates proved to be pathogenic in beans. This is consistent with the role of weeds as a reservoir and source of inoculum for bean infection. Detection of P. viridiflava in weeds throughout the year further supports these roles. Full article
(This article belongs to the Special Issue Plant Pathogenic Microorganisms: State-of-the-Art Research in Spain)
Show Figures

Figure 1

15 pages, 1518 KB  
Article
Relationship between IL-8 Circulating Levels and TLR2 Hepatic Expression in Women with Morbid Obesity and Nonalcoholic Steatohepatitis
by Teresa Auguet, Laia Bertran, Jessica Binetti, Carmen Aguilar, Salomé Martínez, Fàtima Sabench, Jesús Miguel Lopez-Dupla, José Antonio Porras, David Riesco, Daniel Del Castillo and Cristóbal Richart
Int. J. Mol. Sci. 2020, 21(11), 4189; https://doi.org/10.3390/ijms21114189 - 11 Jun 2020
Cited by 51 | Viewed by 5262
Abstract
The progression of nonalcoholic fatty liver disease (NAFLD) to nonalcoholic steatohepatitis (NASH) is linked to systemic inflammation. Currently, two of the aspects that need further investigation are diagnosis and treatment of NASH. In this sense, the aim of this study was to assess [...] Read more.
The progression of nonalcoholic fatty liver disease (NAFLD) to nonalcoholic steatohepatitis (NASH) is linked to systemic inflammation. Currently, two of the aspects that need further investigation are diagnosis and treatment of NASH. In this sense, the aim of this study was to assess the relationship between circulating levels of cytokines, hepatic expression of toll-like receptors (TLRs), and degrees of NAFLD, and to investigate whether these levels could serve as noninvasive biomarkers of NASH. The present study assessed plasma levels of cytokines in 29 normal-weight women and 82 women with morbid obesity (MO) (subclassified: normal liver (n = 29), simple steatosis (n = 32), and NASH (n = 21)). We used enzyme-linked immunosorbent assays (ELISAs) to quantify cytokine and TLR4 levels and RTqPCR to assess TLRs hepatic expression. IL-1β, IL-8, IL-10, TNF-α, tPAI-1, and MCP-1 levels were increased, and adiponectin levels were decreased in women with MO. IL-8 was significantly higher in MO with NASH than in NL. To sum up, high levels of IL-8 were associated with the diagnosis of NASH in a cohort of women with morbid obesity. Moreover, a positive correlation between TLR2 hepatic expression and IL-8 circulating levels was found. Full article
(This article belongs to the Special Issue Medicines for the Treatment of Obesity)
Show Figures

Figure 1

16 pages, 2606 KB  
Article
Organosoluble Starch-Cellulose Binary Polymer Blend as a Quasi-Solid Electrolyte in a Dye-Sensitized Solar Cell
by Vidhya Selvanathan, Rosiyah Yahya, Mohd Hafidz Ruslan, Kamaruzzaman Sopian, Nowshad Amin, Majid Nour, Hatem Sindi, Muhyaddin Rawa and Md. Akhtaruzzaman
Polymers 2020, 12(3), 516; https://doi.org/10.3390/polym12030516 - 27 Feb 2020
Cited by 19 | Viewed by 3949
Abstract
This work is a pioneer attempt to fabricate quasi-solid dye-sensitized solar cell (QSDDSC) based on organosoluble starch derivative. Rheological characterizations of the PhSt-HEC blend based gels exhibited viscoelastic properties favorable for electrolyte fabrication. From amplitude sweep and tack test analyses, it was evident [...] Read more.
This work is a pioneer attempt to fabricate quasi-solid dye-sensitized solar cell (QSDDSC) based on organosoluble starch derivative. Rheological characterizations of the PhSt-HEC blend based gels exhibited viscoelastic properties favorable for electrolyte fabrication. From amplitude sweep and tack test analyses, it was evident that the inclusion of LiI improved the rigidity and tack property of the gels. On the other hand, the opposite was true for TPAI based gels, which resulted in less rigid and tacky electrolytes. The crystallinity of the gels was found to decline with increasing amount of salt in both systems. The highest photoconversion efficiency of 3.94% was recorded upon addition of 12.5 wt % TPAI and this value is one of the highest DSSC performance recorded for starch based electrolytes. From electrochemical impedance spectroscopy (EIS), it is deduced that the steric hindrance imposed by bulky cations aids in hindering recombination between photoanode and electrolyte. Full article
Show Figures

Graphical abstract

14 pages, 553 KB  
Article
The Anticoagulant Effect of PGI2S and tPA in Transgenic Umbilical Vein Endothelial Cells Is Linked to Up-Regulation of PKA and PKC
by Jian-Hua Wang, Lin-Jing Yuan, Zhi-Min Zhong, Zhe-Sheng Wen, Jian-Ming Deng, Rong-Xin Liang and Min Zheng
Int. J. Mol. Sci. 2014, 15(2), 2826-2839; https://doi.org/10.3390/ijms15022826 - 19 Feb 2014
Cited by 1 | Viewed by 7866
Abstract
The selection of vascular grafts for coronary artery bypass surgery is crucial for a positive outcome. This study aimed to establish a novel line of vascular endothelial cells with a potent anticoagulant effect. A lentiviral vector was used to stably transfect human umbilical [...] Read more.
The selection of vascular grafts for coronary artery bypass surgery is crucial for a positive outcome. This study aimed to establish a novel line of vascular endothelial cells with a potent anticoagulant effect. A lentiviral vector was used to stably transfect human umbilical vein endothelial cells (HUVECs) with PGI2S alone (HUVEC-PGI2S) or both PGI2S and tPA (HUVEC-PGI2S-tPA). Both HUVEC-PGI2S and HUVEC-PGI2S-tPA cells over-expressing PGI2S and tPA were compared to mock-transfected cells. The enzyme-linked immuno sorbent assay (ELISAs) demonstrated that the anticoagulation components, ATIII and PLG, were up-regulated and coagulation factor FVIII was down-regulated in both cell lines. QRT-PCR and western blotting demonstrated the vasodilation and platelet disaggregation proteins PKA, PKC, and PTGIR were up-regulated in both cell lines, but MAPK expression was not altered in either cell line. However, cell viability and colony formation assays and cell cycle analysis demonstrated that both cell lines had a lower rate of cell growth and induced G1 phase arrest. HUVEC-PGI2S and HUVEC-PGI2S-tPA cells have a potent anticoagulant effect and their use in vascular heterografts may decrease the risk of thrombosis. Full article
Show Figures

Back to TopTop