Sign in to use this feature.

Years

Between: -

Subjects

remove_circle_outline
remove_circle_outline
remove_circle_outline
remove_circle_outline
remove_circle_outline

Journals

Article Types

Countries / Regions

Search Results (14)

Search Parameters:
Keywords = NALCN

Order results
Result details
Results per page
Select all
Export citation of selected articles as:
7 pages, 1052 KB  
Brief Report
A New Variant in the NALCN Channel Is Responsible for Cerebellar Ataxia and Cognitive Impairment
by Rute Luísa Cabrita Pinto, Roberto Fancellu, Tiziana Benzi Markushi, Silvia Viaggi, Barbara Testa, Giuseppina Conteduca, Lane Fitzsimmons, Domenico Coviello and Angela Elvira Covone
Genes 2025, 16(10), 1181; https://doi.org/10.3390/genes16101181 - 11 Oct 2025
Viewed by 802
Abstract
Background/Objectives: CLIFAHDD syndrome (OMIM # 616266) is a rare neurodevelopmental disorder caused by mutations in the NALCN gene. It is characterized by hypotonia, developmental delay, and congenital contractures of the limbs and face. We report a 33-year-old Italian woman with a mild form [...] Read more.
Background/Objectives: CLIFAHDD syndrome (OMIM # 616266) is a rare neurodevelopmental disorder caused by mutations in the NALCN gene. It is characterized by hypotonia, developmental delay, and congenital contractures of the limbs and face. We report a 33-year-old Italian woman with a mild form of CLIFAHDD who exhibited early-onset language difficulties and mild intellectual disability and later developed gait and balance impairments in adulthood. Methods and Results: Whole Exome Sequencing (WES) identified a novel missense variant c.1514A>T; p.(Lys505Met) in the NALCN gene. The allele frequency of this variant is not detected (MAF = 0.0), the variant is classified as likely pathogenic according to ACMG criteria, and predicted to be probably damaging by PolyPhen-2. It affects a critical residue within the second pore-forming domain of the NALCN channel, potentially altering lipid interactions and channel regulation. Sanger sequencing and segregation analysis confirmed the variant to be heterozygous and de novo. Conclusions: The patient’s milder symptoms and later onset, compared to severe pediatric cases, suggest that the clinical spectrum of CLIFAHDD syndrome may be broader than previously recognized. These findings underscore the potential influence of mutation location on disease presentation and severity. Full article
(This article belongs to the Section Genetic Diagnosis)
Show Figures

Figure 1

25 pages, 1134 KB  
Article
Genetic Etiology of Developmental and Epileptic Encephalopathy in a Turkish Cohort: A Single-Center Study with Targeted Gene Panel and Whole Exome Sequencing
by Deniz Sunnetci-Akkoyunlu, Bulent Kara, Tolgahan Ozer, Adnan Deniz, Ayfer Sakarya-Gunes, Elif Busra Isik, Buket Dogruoglu, Zeynep Ilkay, Mehtap Yilmaz, Sumeyye Sahin, Seda Eren-Keskin, Naci Cine and Hakan Savli
Genes 2025, 16(10), 1152; https://doi.org/10.3390/genes16101152 - 28 Sep 2025
Viewed by 2093
Abstract
Background: Developmental and Epileptic Encephalopathy (DEE) is a severe and heterogeneous neurological disorder in infancy/early childhood. DEE’s genetic and phenotypic variability complicates diagnosis and treatment. This retrospective study aimed to identify genetic variants and explore genotype–phenotype correlations in children with DEE using a [...] Read more.
Background: Developmental and Epileptic Encephalopathy (DEE) is a severe and heterogeneous neurological disorder in infancy/early childhood. DEE’s genetic and phenotypic variability complicates diagnosis and treatment. This retrospective study aimed to identify genetic variants and explore genotype–phenotype correlations in children with DEE using a targeted epilepsy gene panel (TGP) and Whole Exome Sequencing (WES). Patients and Methods: Medical records of children who underwent custom-designed 55-gene TGP and WES were reviewed. The diagnostic yield of each method was determined based on the detection of pathogenic (P) and likely pathogenic (LP) variants. Results: A total of 129 patients (66 males, 63 females) underwent TGP, which identified P/LP variants in 29 cases (22.48%). Variants were detected in SCN1A, KCNQ2, STXBP1, CDKL5, PCDH19, PLCB1, WWOX, SCN2A, FGF12, HCN1, SCN8A, and SLC35A2. WES further identified several variants in children with West syndrome. A TSC1 variant was detected in a patient without cutaneous stigmata of tuberous sclerosis complex. The NALCN variant in a patient was linked to Infantile Hypotonia with Psychomotor Retardation and Characteristic Facies 1. A CTBP1 variant associated with extremely rare Hypotonia, Ataxia, Developmental Delay, and Tooth Enamel Defect Syndrome was detected in another patient. A PIEZO2 variant—associated with Marden–Walker syndrome—was found in a child with Early Infantile Developmental and Epileptic Encephalopathy. Conclusions: These findings highlight the extensive genetic heterogeneity and phenotypic variability of DEE. WES demonstrates substantial value in identifying novel gene-disease associations and may be considered as a first-tier diagnostic tool in epilepsy and DEE. Full article
(This article belongs to the Section Genetic Diagnosis)
Show Figures

Graphical abstract

18 pages, 696 KB  
Article
Exome Study of Single Nucleotide Variations in Patients with Syndromic and Non-Syndromic Autism Reveals Potential Candidate Genes for Diagnostics and Novel Single Nucleotide Variants
by Lyudmila Belenska-Todorova, Milen Zamfirov, Tihomir Todorov, Slavena Atemin, Mila Sleptsova, Zornitsa Pavlova, Tanya Kadiyska, Ales Maver, Borut Peterlin and Albena Todorova
Cells 2025, 14(12), 915; https://doi.org/10.3390/cells14120915 - 17 Jun 2025
Viewed by 4333
Abstract
Autism spectrum disorder (ASD) is a neurodevelopmental impairment that occurs due to mutations related to the formation of the nervous system, combined with the impact of various epigenetic and environmental factors. This necessitates the identification of the genetic variations involved in ASD pathogenesis. [...] Read more.
Autism spectrum disorder (ASD) is a neurodevelopmental impairment that occurs due to mutations related to the formation of the nervous system, combined with the impact of various epigenetic and environmental factors. This necessitates the identification of the genetic variations involved in ASD pathogenesis. We performed whole exome sequencing (WES) in a cohort of 22 Bulgarian male and female individuals showing ASD features alongside segregation analyses of their families. A targeted panel of genes was chosen and analyzed for each case, based on a detailed examination of clinical data. Gene analyses revealed that specific variants concern key neurobiological processes involving neuronal architecture, development, and function. These variants occur in a number of genes, including SHANK3, DLG3, NALCN, and PACS2 which are critical for synaptic signaling imbalance, CEP120 and BBS5 for ciliopathies, SPTAN1 for spectrins structure, SPATA5, TRAK1, and VPS13B for neuronal organelles trafficking and integrity, TAF6, SMARCB1, DDX3X, MECP2, and SETD1A for gene expression, CDK13 for cell cycle control, ALDH5A1, DPYD, FH, and PDHX for mitochondrial function, and PQBP1, HUWE1, and WDR45 for neuron homeostasis. Novel single nucleotide variants in the SPATA5, CEP120, BBS5, SETD1A, TRAK1, VPS13B, and DDX3X genes have been identified and proposed for use in ASD diagnostics. Our data contribute to a better understanding of the complex neurobiological features of autism and are applicable in the diagnosis and development of personalized therapeutic approaches. Full article
(This article belongs to the Special Issue Molecular Mechanisms of Autism Spectrum Disorder)
Show Figures

Figure 1

13 pages, 1853 KB  
Article
Genetic Architecture of Hock Joint Bumps in Pigs: Insights from ROH and GWAS Analyses
by Lyubov Getmantseva, Maria Kolosova, Varvara Shevtsova, Anatoly Kolosov, Faridun Bakoev, Elena Romanets, Timofey Romanets and Siroj Bakoev
Animals 2025, 15(8), 1178; https://doi.org/10.3390/ani15081178 - 20 Apr 2025
Viewed by 1059
Abstract
The genetic mechanisms underlying the formation of defects, such as bumps and growths on the hock joints in pigs, remain poorly understood. Therefore, the aim of this study was to investigate the relationship between runs of homozygosity (ROH) and the formation of hock [...] Read more.
The genetic mechanisms underlying the formation of defects, such as bumps and growths on the hock joints in pigs, remain poorly understood. Therefore, the aim of this study was to investigate the relationship between runs of homozygosity (ROH) and the formation of hock joint bumps, with the goal of identifying associated SNPs and candidate genes involved in these defects. The study was conducted on a population of Large White breed pigs (n = 568) using runs of homozygosity (ROH) analysis and genome-wide association studies (GWAS). The results suggested that the predisposition to hock joint bumps in pigs may have arisen due to recent selective breeding pressure. Using GWAS, 27 SNPs were identified at the suggestive significance level, with one SNP (rs325478346) reaching genome-wide significance. These markers are localized in genes associated with various biological processes, including lipid metabolism (VIPR2 and CFTR), inflammatory processes (MTURN and ADCY2), connective tissue structural integrity (COL27A1), muscle regeneration (PAMR1), and ion exchange and cellular homeostasis (KCNIP4 and NALCN), as well as regulation of cell growth, extracellular matrix remodeling, and fibroblast differentiation (CEP120 and SCUBE3). Further research utilizing omics technologies will provide deeper insights into the pathogenesis of hock joint bumps and contribute to the development of strategies for the prevention and potential treatment of this defect. Full article
(This article belongs to the Section Animal Genetics and Genomics)
Show Figures

Figure 1

21 pages, 6032 KB  
Article
The Biphasic Effect of Lipopolysaccharide on Membrane Potential
by Maria E. Hadjisavva and Robin L. Cooper
Membranes 2025, 15(3), 74; https://doi.org/10.3390/membranes15030074 - 2 Mar 2025
Cited by 1 | Viewed by 1639
Abstract
Lipopolysaccharide (LPS) from certain strains of Gram-negative bacteria can induce a rapid (<1 s) hyperpolarization of membrane potential, followed by a gradual depolarization exceeding the initial resting membrane potential. Through overexpression of a Drosophila ORK1 two-pore-domain K+ channel (K2P) in larval muscles [...] Read more.
Lipopolysaccharide (LPS) from certain strains of Gram-negative bacteria can induce a rapid (<1 s) hyperpolarization of membrane potential, followed by a gradual depolarization exceeding the initial resting membrane potential. Through overexpression of a Drosophila ORK1 two-pore-domain K+ channel (K2P) in larval muscles and altering the external concentrations of K+ and Na+ ions, it is clear that the hyperpolarization is due to activating K2P channels and the depolarization is due to promoting an inward Na+ leak. When the external Na+ concentration is negligible, the LPS-delayed depolarization is dampened. The hyperpolarization induced by LPS can exceed −100 mV when external K+ and Na+ concentrations are lowered. These results indicate direct action by LPS on ion channels independently of immune responses. Such direct actions may need to be considered when developing clinical treatments for certain forms of bacterial septicemia. Full article
(This article belongs to the Section Biological Membranes)
Show Figures

Figure 1

12 pages, 1405 KB  
Article
NALCN Promoter Methylation as a Biomarker for Metastatic Risk in a Cohort of Non-Small Cell Lung Cancer Patients
by Eleni Thanou, Dora Lontra, Ioanna Balgouranidou, Eleni Efthimiadou, Alexandra Delipetrou, Emilia Tsaroucha, Maria Theodosiou, Vassilis Georgoulias, Athanasios Kotsakis, Evi Lianidou and Athina Markou
Biomolecules 2024, 14(12), 1514; https://doi.org/10.3390/biom14121514 - 27 Nov 2024
Cited by 1 | Viewed by 2092
Abstract
Liquid biopsy enables real-time monitoring of tumor development and response to therapy through the analysis of CTCs and ctDNA. NALCN is a sodium leak channel that is frequently involved in tumor evolution and immunity and acts as a tumor suppressor. Deletion of NALCN [...] Read more.
Liquid biopsy enables real-time monitoring of tumor development and response to therapy through the analysis of CTCs and ctDNA. NALCN is a sodium leak channel that is frequently involved in tumor evolution and immunity and acts as a tumor suppressor. Deletion of NALCN has been shown to increase cancer metastasis and the number of CTCs in peripheral blood. In this study, we investigated for the first time NALCN promoter methylation in (a) Aza-treated cell lines (A549, TE671, BT20, and MDA-MB-468), (b) paired NSCLC tissues (n = 22), and (c) plasma cell-free DNA (ctDNA) from patients with NSCLC (early stage n = 39, metastatic n = 39) and DNA from 10 healthy donors (HD) using a newly developed highly specific and sensitive real-time MSP method. Treatment with 5′-aza-dC induced the expression of NALCN only in the A549 cell line, suggesting that DNA methylation regulates its expression in certain cancers. The mRNA expression levels of NALCN were quantified in non-small cell lung cancer (NSCLC) and adjacent non-cancerous tissues, and it was found to be underexpressed in 54.5% of tumor tissues, with significantly higher expression in recurrence-free patients (p = 0.009) than in patients who relapsed. The NALCN methylation level was not statisticallysignificantlycorrelated with the corresponding expression (p = 0.439), while Kaplan–Meier analysis showed an association between NALCN promoter hypermethylation and worse disease-free intervals (DFIs) (p = 0.017). Evaluation of NALCN methylation in ctDNA revealed that it was detected in 5.1% of early and 10.2% of advanced cases. Our results strongly suggest that epigenetic inactivation of NALCN may be a predictor of metastasis in NSCLC. Our results should be validated in further studies based on a larger patient cohort to further investigate whether DNA methylation of the NALCN promoter could serve as a potential prognostic DNA methylation biomarker and predictor of metastasis in NSCLC. Full article
(This article belongs to the Special Issue DNA Methylation in Human Diseases)
Show Figures

Figure 1

18 pages, 5528 KB  
Article
The Effect of Calcium Ions on Resting Membrane Potential
by Elizabeth R. Elliott and Robin L. Cooper
Biology 2024, 13(9), 750; https://doi.org/10.3390/biology13090750 - 23 Sep 2024
Cited by 3 | Viewed by 5768
Abstract
Regulating membrane potential is key to cellular function. For many animal cells, resting membrane potential is predominantly driven by a family of K2P (two-pore domain) potassium channels. These channels are commonly referred to as leak channels, as their presence results in the membrane [...] Read more.
Regulating membrane potential is key to cellular function. For many animal cells, resting membrane potential is predominantly driven by a family of K2P (two-pore domain) potassium channels. These channels are commonly referred to as leak channels, as their presence results in the membrane being permeable to K+ ions. These channels, along with various pumps and exchangers, keep the cell resting membrane potential (Rp) relatively close to potassium’s equilibrium potential (EK); however, in many cells, the resting membrane potential is more depolarized than the EK due to a small Na+ ion leak. Raising [Ca2+]O (extracellular Ca2+ concentration) can result in hyperpolarization of the membrane potential from the resting state. The mechanism for this hyperpolarization likely lies in the blockage of a Na+ leak channel (NALCN) and/or voltage-gated Na+ channels. The effects may also be connected to calcium-activated potassium channels. Using Drosophila melanogaster, we here illustrate that changing [Ca2+]O from 0.5 to 3 mM hyperpolarizes the muscle. Replacing NaCl with LiCl or choline chloride still led to hyperpolarization when increasing [Ca2+]O. Replacing CaCl2 with BaCl2 results in depolarization. K2P channel overexpression in the larval muscle greatly reduces the effects of [Ca2+]O on cell membrane potential, likely because potential is heavily driven by the EK in these muscles. These experiments provide an understanding of the mechanisms behind neuronal hypo-excitability during hypercalcemia, as well as the effects of altered expression of K2P channels on membrane potential. Full article
Show Figures

Figure 1

17 pages, 8110 KB  
Article
Sodium Leak Channel in Glutamatergic Neurons of the Lateral Parabrachial Nucleus Modulates Inflammatory Pain in Mice
by Lin Wu, Yujie Wu, Jin Liu, Jingyao Jiang, Cheng Zhou and Donghang Zhang
Int. J. Mol. Sci. 2023, 24(15), 11907; https://doi.org/10.3390/ijms241511907 - 25 Jul 2023
Cited by 9 | Viewed by 2651
Abstract
Elevated excitability of glutamatergic neurons in the lateral parabrachial nucleus (PBL) is associated with the pathogenesis of inflammatory pain, but the underlying molecular mechanisms are not fully understood. Sodium leak channel (NALCN) is widely expressed in the central nervous system and regulates neuronal [...] Read more.
Elevated excitability of glutamatergic neurons in the lateral parabrachial nucleus (PBL) is associated with the pathogenesis of inflammatory pain, but the underlying molecular mechanisms are not fully understood. Sodium leak channel (NALCN) is widely expressed in the central nervous system and regulates neuronal excitability. In this study, chemogenetic manipulation was used to explore the association between the activity of PBL glutamatergic neurons and pain thresholds. Complete Freund’s adjuvant (CFA) was used to construct an inflammatory pain model in mice. Pain behaviour was tested using von Frey filaments and Hargreaves tests. Local field potential (LFP) was used to record the activity of PBL glutamatergic neurons. Gene knockdown techniques were used to investigate the role of NALCN in inflammatory pain. We further explored the downstream projections of PBL using cis-trans-synaptic tracer virus. The results showed that chemogenetic inhibition of PBL glutamatergic neurons increased pain thresholds in mice, whereas chemogenetic activation produced the opposite results. CFA plantar modelling increased the number of C-Fos protein and NALCN expression in PBL glutamatergic neurons. Knockdown of NALCN in PBL glutamatergic neurons alleviated CFA-induced pain. CFA injection induced C-Fos protein expression in central nucleus amygdala (CeA) neurons, which was suppressed by NALCN knockdown in PBL glutamatergic neurons. Therefore, elevated expression of NALCN in PBL glutamatergic neurons contributes to the development of inflammatory pain via PBL-CeA projections. Full article
(This article belongs to the Special Issue Mechanisms of Neurotoxicity)
Show Figures

Figure 1

15 pages, 9101 KB  
Article
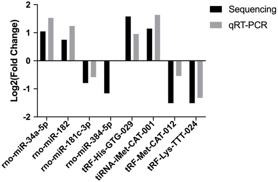
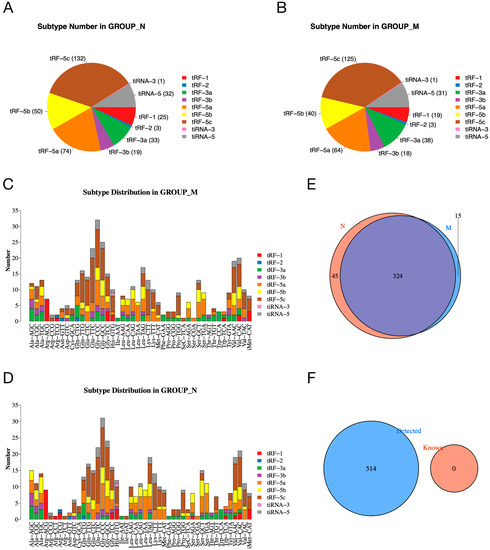
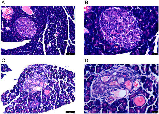
Small RNA Sequencing Analysis of STZ-Injured Pancreas Reveals Novel MicroRNA and Transfer RNA-Derived RNA with Biomarker Potential for Diabetes Mellitus
by Fangfang Mo, Bohan Lv, Dandan Zhao, Ziye Xi, Yining Qian, Dongyu Ge, Nan Yang, Dongwei Zhang, Guangjian Jiang and Sihua Gao
Int. J. Mol. Sci. 2023, 24(12), 10323; https://doi.org/10.3390/ijms241210323 - 19 Jun 2023
Cited by 3 | Viewed by 2374
Abstract
MicroRNAs (miRNAs) and transfer RNA-derived small RNAs (tsRNAs) play critical roles in the regulation of different biological processes, but their underlying mechanisms in diabetes mellitus (DM) are still largely unknown. This study aimed to gain a better understanding of the functions of miRNAs [...] Read more.
MicroRNAs (miRNAs) and transfer RNA-derived small RNAs (tsRNAs) play critical roles in the regulation of different biological processes, but their underlying mechanisms in diabetes mellitus (DM) are still largely unknown. This study aimed to gain a better understanding of the functions of miRNAs and tsRNAs in the pathogenesis of DM. A high-fat diet (HFD) and streptozocin (STZ)-induced DM rat model was established. Pancreatic tissues were obtained for subsequent studies. The miRNA and tsRNA expression profiles in the DM and control groups were obtained by RNA sequencing and validated with quantitative reverse transcription-PCR (qRT-PCR). Subsequently, bioinformatics methods were used to predict target genes and the biological functions of differentially expressed miRNAs and tsRNAs. We identified 17 miRNAs and 28 tsRNAs that were significantly differentiated between the DM and control group. Subsequently, target genes were predicted for these altered miRNAs and tsRNAs, including Nalcn, Lpin2 and E2f3. These target genes were significantly enriched in localization as well as intracellular and protein binding. In addition, the results of KEGG analysis showed that the target genes were significantly enriched in the Wnt signaling pathway, insulin pathway, MAPK signaling pathway and Hippo signaling pathway. This study revealed the expression profiles of miRNAs and tsRNAs in the pancreas of a DM rat model using small RNA-Seq and predicted the target genes and associated pathways using bioinformatics analysis. Our findings provide a novel aspect in understanding the mechanisms of DM and identify potential targets for the diagnosis and treatment of DM. Full article
(This article belongs to the Section Molecular Biology)
Show Figures

Figure 1

15 pages, 3446 KB  
Article
Study on Anti-Constipation Effects of Hemerocallis citrina Baroni through a Novel Strategy of Network Pharmacology Screening
by Yuxuan Liang, Xiaoyi Wei, Rui Ren, Xuebin Zhang, Xiyao Tang, Jinglan Yang, Xiaoqun Wei, Riming Huang, Gary Hardiman, Yuanming Sun and Hong Wang
Int. J. Mol. Sci. 2023, 24(5), 4844; https://doi.org/10.3390/ijms24054844 - 2 Mar 2023
Cited by 12 | Viewed by 3621
Abstract
Daylily (Hemerocallis citrina Baroni) is an edible plant widely distributed worldwide, especially in Asia. It has traditionally been considered a potential anti-constipation vegetable. This study aimed to investigate the anti-constipation effects of daylily from the perspective of gastro-intestinal transit, defecation parameters, short-chain [...] Read more.
Daylily (Hemerocallis citrina Baroni) is an edible plant widely distributed worldwide, especially in Asia. It has traditionally been considered a potential anti-constipation vegetable. This study aimed to investigate the anti-constipation effects of daylily from the perspective of gastro-intestinal transit, defecation parameters, short-chain organic acids, gut microbiome, transcriptomes and network pharmacology. The results show that dried daylily (DHC) intake accelerated the defecation frequency of mice, while it did not significantly alter the levels of short-chain organic acids in the cecum. The 16S rRNA sequencing showed that DHC elevated the abundance of Akkermansia, Bifidobacterium and Flavonifractor, while it reduced the level of pathogens (such as Helicobacter and Vibrio). Furthermore, a transcriptomics analysis revealed 736 differentially expressed genes (DEGs) after DHC treatment, which are mainly enriched in the olfactory transduction pathway. The integration of transcriptomes and network pharmacology revealed seven overlapping targets (Alb, Drd2, Igf2, Pon1, Tshr, Mc2r and Nalcn). A qPCR analysis further showed that DHC reduced the expression of Alb, Pon1 and Cnr1 in the colon of constipated mice. Our findings provide a novel insight into the anti-constipation effects of DHC. Full article
(This article belongs to the Special Issue The Microbiota–Gut–Brain Axis in Behaviour and Brain Disorders)
Show Figures

Figure 1

12 pages, 1936 KB  
Article
Investigation of the Genetic Architecture of Pigs Subjected to Breeding Intensification
by Anatoly Kolosov, Lyubov Getmantseva, Maria Kolosova, Timofey Romanets, Nekruz Bakoev, Elena Romanets, Ilona Bakoeva, Olga Kostyunina, Yuri Prytkov, Olga Tretiakova and Siroj Bakoev
Genes 2022, 13(2), 197; https://doi.org/10.3390/genes13020197 - 22 Jan 2022
Cited by 4 | Viewed by 4126
Abstract
Pigs are strategically important animals for the agricultural industry. An assessment of genetic differentiation between pigs, undergone and not undergone to selection intensification, is of particular interest. Our research was conducted on two groups of Large White pigs grown on the same farm [...] Read more.
Pigs are strategically important animals for the agricultural industry. An assessment of genetic differentiation between pigs, undergone and not undergone to selection intensification, is of particular interest. Our research was conducted on two groups of Large White pigs grown on the same farm but in different years. A total of 165 samples were selected with 78 LW_А (n = 78, the Russian selection) and LW_B (n = 87, a commercial livestock). For genotyping, we used GeneSeek® GGP Porcine HD Genomic Profiler v1 (Illumina Inc, San Diego, CA, USA). To define breeding characteristics of selection, we used smoothing FST and segment identification of HBD (Homozygous-by-Descent). The results of smoothing FST showed 20 areas of a genome with strong ejection regions of the genome located on all chromosomes except SSC2, SSC3, and SSC8. The average realized autozygosity in Large White pigs of native selection was in (LW_A)—0.21, in LW_В—0.29. LW_А showed 13,338 HBD segments, 171 per one animal, and LW_B—15,747 HBD segments, 181 per one animal. The ejections found by the smoothing FST method were partially localized in the HBD regions. In these areas, the genes ((NCBP1, PLPPR1, GRIN3A, NBEA, TRPC4, HS6ST3, NALCN, SMG6, TTC3, KCNJ6, IKZF2, OBSL1, CARD10, ETV6, VWF, CCND2, TSPAN9, CDH13, CEP128, SERPINA11, PIK3CG, COG5, BCAP29, SLC26A4) were defined. The revealed genes can be of special interest for further studying their influence on an organism of an animal since they can act as candidate genes for selection-significant traits. Full article
Show Figures

Figure 1

8 pages, 814 KB  
Case Report
Central Apneas Due to the CLIFAHDD Syndrome Successfully Treated with Pyridostigmine
by Anna Winczewska-Wiktor, Adam Sebastian Hirschfeld, Magdalena Badura-Stronka, Irena Wojsyk-Banaszak, Paulina Sobkowiak, Alicja Bartkowska-Śniatkowska, Valeriia Babak and Barbara Steinborn
Int. J. Environ. Res. Public Health 2022, 19(2), 775; https://doi.org/10.3390/ijerph19020775 - 11 Jan 2022
Cited by 6 | Viewed by 6371
Abstract
NALCN mutations lead to complex neurodevelopmental syndromes, including infantile hypotonia with psychomotor retardation and characteristic facies (IHPRF) and congenital contractures of limbs and face, hypotonia, and developmental delay (CLIFAHDD), which are recessively and dominantly inherited, respectively. We present a patient in whom congenital [...] Read more.
NALCN mutations lead to complex neurodevelopmental syndromes, including infantile hypotonia with psychomotor retardation and characteristic facies (IHPRF) and congenital contractures of limbs and face, hypotonia, and developmental delay (CLIFAHDD), which are recessively and dominantly inherited, respectively. We present a patient in whom congenital myasthenic syndrome (CMS) was suspected due to the occurrence of hypotonia and apnea episodes requiring resuscitation. For this reason, treatment with pyridostigmine was introduced. After starting the treatment, a significant improvement was observed in reducing the apnea episodes and slight psychomotor progress. In the course of further diagnostics, CMS was excluded, and CLIFAHDD syndrome was confirmed. Thus, we try to explain a possible mechanism of clinical improvement after the introduction of treatment with pyridostigmine in a patient with a mutation in the NALCN gene. Full article
(This article belongs to the Special Issue Different Views on a Child's Motor Development and Motor Performance)
Show Figures

Figure 1

18 pages, 2445 KB  
Article
Reduced Graphene Oxides Modulate the Expression of Cell Receptors and Voltage-Dependent Ion Channel Genes of Glioblastoma Multiforme
by Jaroslaw Szczepaniak, Joanna Jagiello, Mateusz Wierzbicki, Dorota Nowak, Anna Sobczyk-Guzenda, Malwina Sosnowska, Slawomir Jaworski, Karolina Daniluk, Maciej Szmidt, Olga Witkowska-Pilaszewicz, Barbara Strojny-Cieslak and Marta Grodzik
Int. J. Mol. Sci. 2021, 22(2), 515; https://doi.org/10.3390/ijms22020515 - 6 Jan 2021
Cited by 15 | Viewed by 4123
Abstract
The development of nanotechnology based on graphene and its derivatives has aroused great scientific interest because of their unusual properties. Graphene (GN) and its derivatives, such as reduced graphene oxide (rGO), exhibit antitumor effects on glioblastoma multiforme (GBM) cells in vitro. The antitumor [...] Read more.
The development of nanotechnology based on graphene and its derivatives has aroused great scientific interest because of their unusual properties. Graphene (GN) and its derivatives, such as reduced graphene oxide (rGO), exhibit antitumor effects on glioblastoma multiforme (GBM) cells in vitro. The antitumor activity of rGO with different contents of oxygen-containing functional groups and GN was compared. Using FTIR (fourier transform infrared) analysis, the content of individual functional groups (GN/exfoliation (ExF), rGO/thermal (Term), rGO/ammonium thiosulphate (ATS), and rGO/ thiourea dioxide (TUD)) was determined. Cell membrane damage, as well as changes in the cell membrane potential, was analyzed. Additionally, the gene expression of voltage-dependent ion channels (clcn3, clcn6, cacna1b, cacna1d, nalcn, kcne4, kcnj10, and kcnb1) and extracellular receptors was determined. A reduction in the potential of the U87 glioma cell membrane was observed after treatment with rGO/ATS and rGO/TUD flakes. Moreover, it was also demonstrated that major changes in the expression of voltage-dependent ion channel genes were observed in clcn3, nalcn, and kcne4 after treatment with rGO/ATS and rGO/TUD flakes. Furthermore, the GN/ExF, rGO/ATS, and rGO/TUD flakes significantly reduced the expression of extracellular receptors (uPar, CD105) in U87 glioblastoma cells. In conclusion, the cytotoxic mechanism of rGO flakes may depend on the presence and types of oxygen-containing functional groups, which are more abundant in rGO compared to GN. Full article
(This article belongs to the Special Issue Carbon-Based Nanomaterials 2.0)
Show Figures

Figure 1

19 pages, 9695 KB  
Article
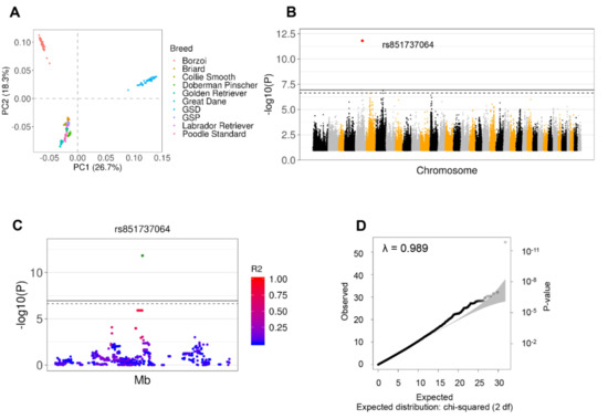
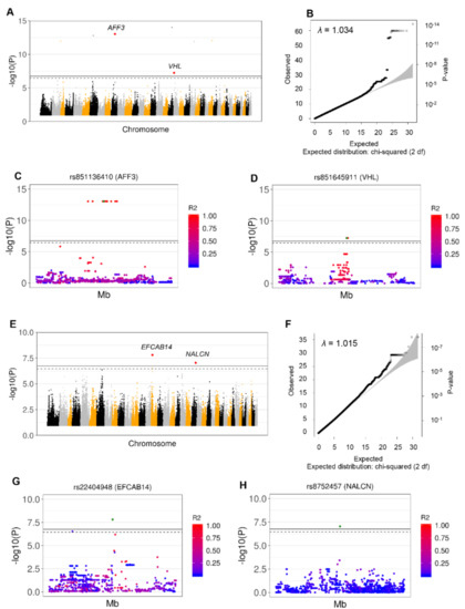
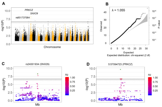
Identification of Genetic Susceptibility Factors Associated with Canine Gastric Dilatation-Volvulus
by Ignazio S. Piras, Nieves Perdigones, Victoria Zismann, Natalia Briones, Salvatore Facista, José Luis Rivera, Elizabeth Rozanski, Cheryl A. London and William P. D. Hendricks
Genes 2020, 11(11), 1313; https://doi.org/10.3390/genes11111313 - 5 Nov 2020
Cited by 9 | Viewed by 6719
Abstract
Canine gastric dilatation-volvulus (GDV) is a common life-threatening condition occurring primarily in large and giant breeds with a 3.9% to 36.7% lifetime risk. The genetic correlates of GDV have not previously been systematically explored. We undertook an inter-breed genome-wide association analysis (GWAS) of [...] Read more.
Canine gastric dilatation-volvulus (GDV) is a common life-threatening condition occurring primarily in large and giant breeds with a 3.9% to 36.7% lifetime risk. The genetic correlates of GDV have not previously been systematically explored. We undertook an inter-breed genome-wide association analysis (GWAS) of 253 dogs from ten breeds including 106 healthy dogs and 147 dogs with at least one GDV episode. SNP array genotyping followed by imputation was conducted on 241 samples to identify GDV-associated single-nucleotide polymorphisms (SNPs) and copy number variations (CNVs). A subset of 33 dogs (15 healthy dogs and 18 GDV patients from the three most represented breeds) was characterized by whole genome sequencing (WGS). After genome-wide Bonferroni correction, we identified a significant putatively protective intergenic SNP (rs851737064) across all breeds. The signal was most significant in Collies, German Shorthaired Pointers, and Great Danes. Subsequent focused analysis across these three breeds identified 12 significant additional putatively protective or deleterious SNPs. Notable significant SNPs included those occurring in genes involved in gastric tone and motility including VHL, NALCN, and PRKCZ. These data provide important new clues to canine GDV risk factors and facilitate generation of hypotheses regarding the genetic and molecular underpinnings this syndrome. Full article
(This article belongs to the Section Animal Genetics and Genomics)
Show Figures

Figure 1

Back to TopTop