Sign in to use this feature.

Years

Between: -

Subjects

remove_circle_outline
remove_circle_outline
remove_circle_outline

Journals

Article Types

Countries / Regions

Search Results (7)

Search Parameters:
Keywords = Meloidogyne luci

Order results
Result details
Results per page
Select all
Export citation of selected articles as:
17 pages, 1390 KB  
Article
Occurrence and Distribution of Root-Knot Nematodes Meloidogyne spp. in Serbia
by Jasmina Bačić, Ivana Lalićević, Saša Širca, Melita Theuerschuh, Nik Susič and Barbara Gerič Stare
Agronomy 2025, 15(2), 372; https://doi.org/10.3390/agronomy15020372 - 30 Jan 2025
Cited by 3 | Viewed by 3015
Abstract
This study examines the occurrence and distribution of root-knot nematodes (RKN), Meloidogyne spp., in Serbia through an official survey conducted from 2021 to 2023. A total of 241 plant and soil samples were collected from 25 districts across two regions: Northern Serbia (Vojvodina [...] Read more.
This study examines the occurrence and distribution of root-knot nematodes (RKN), Meloidogyne spp., in Serbia through an official survey conducted from 2021 to 2023. A total of 241 plant and soil samples were collected from 25 districts across two regions: Northern Serbia (Vojvodina Province) and Central Serbia. RKN infestations were detected in 23.7% of the samples. Among the 57 identified populations, 5 Meloidogyne species were recorded: M. incognita, M. hapla, M. luci, M. arenaria and M. javanica. Meloidogyne luci was reported in Serbia for the first time, marking a significant finding for nematology in the region. This study highlights the importance of implementing effective pest management strategies to mitigate the agricultural impact of RKN in Serbia. Full article
(This article belongs to the Section Pest and Disease Management)
Show Figures

Figure 1

16 pages, 1501 KB  
Article
Virulence of Five Root-Knot Nematodes (Meloidogyne spp.) on Nine Industrial Hemp (Cannabis sativa L.) Varieties and Nematicidal Potential of Hemp Seed Extracts Against Meloidogyne javanica
by Dionysios Ntinokas, Ioannis Roussis, Antonios Mavroeidis, Panteleimon Stavropoulos, Antigolena Folina, Ioanna Kakabouki, Emmanuel A. Tzortzakakis, Dimitrios Bilalis and Ioannis O. Giannakou
Plants 2025, 14(2), 227; https://doi.org/10.3390/plants14020227 - 15 Jan 2025
Viewed by 1527
Abstract
The most common and damaging plant parasitic nematodes are root-knot nematodes (RNK). Although hemp has been clearly infected by RNK, little information is available regarding the extent of the damage and losses caused. In addition, no information is available concerning hemp seed extracts’ [...] Read more.
The most common and damaging plant parasitic nematodes are root-knot nematodes (RNK). Although hemp has been clearly infected by RNK, little information is available regarding the extent of the damage and losses caused. In addition, no information is available concerning hemp seed extracts’ activity against RNK. In the current research, a greenhouse experiment was developed to evaluate the infection effect of five RKN species (Meloidogyne javanica, M. incognita, M. arenaria, M. hapla, and M. luci) in nine industrial hemp varieties (Fedora 17, Ferimon 12, Futura 75, Santhica 27, Santhica 70, KC Dora, KC Zuzana, Zenit, and USO 31), as was a laboratory experiment to evaluate the nematicidal activity of aqueous and water extracts of hemp seeds against second-stage juveniles (J2s) of M. javanica. The results revealed that the five evaluated Meloidogyne species were pathogenic to hemp plants. The lowest shoot weights were recorded in plants that were inoculated with M. javanica and M. luci (4.65 and 4.53 g, respectively). As for the root system, the most severe damage of the roots was detected in M. incognita-infected plants, presenting the lowest root weight (1.72 g). Regarding hemp varieties, the most susceptible were USO 31, Fedora 17, Ferimon 12, and Zenit, while Futura 75 hosted the lowest nematode numbers, including the lowest values of females per gram of root (10.66), number of egg masses per gram of root (4.70), and fecundity (33.68 eggs per egg mass). Moreover, this research showed that aqueous and ethanolic hemp seed extracts can control M. javanica. After 24, 48, 72, and 96 h of exposure to high concentrations (250–2000 ppm) of ethanolic and aqueous extracts, the J2s were permanently paralyzed; however, at low concentrations, only the ethanolic extract was effective. The ethanolic extract paralyzed J2s at concentrations higher than 62.5 ppm and reduced the egg hatching by up to 76% compared to the control treatment. In general, the efficacy of the aqueous extract was considerably lower than that of the ethanolic extract. Full article
(This article belongs to the Special Issue Emerging Trends in Alternative and Sustainable Crop Production)
Show Figures

Figure 1

20 pages, 1819 KB  
Article
Comparison of Selected Dimensionality Reduction Methods for Detection of Root-Knot Nematode Infestations in Potato Tubers Using Hyperspectral Imaging
by Janez Lapajne, Matej Knapič and Uroš Žibrat
Sensors 2022, 22(1), 367; https://doi.org/10.3390/s22010367 - 4 Jan 2022
Cited by 21 | Viewed by 3892
Abstract
Hyperspectral imaging is a popular tool used for non-invasive plant disease detection. Data acquired with it usually consist of many correlated features; hence most of the acquired information is redundant. Dimensionality reduction methods are used to transform the data sets from high-dimensional, to [...] Read more.
Hyperspectral imaging is a popular tool used for non-invasive plant disease detection. Data acquired with it usually consist of many correlated features; hence most of the acquired information is redundant. Dimensionality reduction methods are used to transform the data sets from high-dimensional, to low-dimensional (in this study to one or a few features). We have chosen six dimensionality reduction methods (partial least squares, linear discriminant analysis, principal component analysis, RandomForest, ReliefF, and Extreme gradient boosting) and tested their efficacy on a hyperspectral data set of potato tubers. The extracted or selected features were pipelined to support vector machine classifier and evaluated. Tubers were divided into two groups, healthy and infested with Meloidogyne luci. The results show that all dimensionality reduction methods enabled successful identification of inoculated tubers. The best and most consistent results were obtained using linear discriminant analysis, with 100% accuracy in both potato tuber inside and outside images. Classification success was generally higher in the outside data set, than in the inside. Nevertheless, accuracy was in all cases above 0.6. Full article
Show Figures

Figure 1

10 pages, 3894 KB  
Article
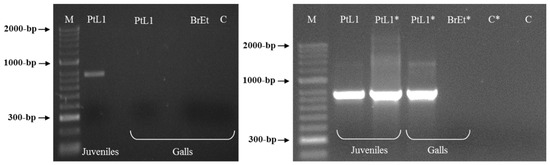
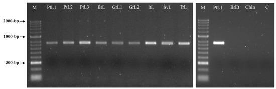
Species-Specific Molecular Detection of the Root Knot Nematode Meloidogyne luci
by Carla Maleita, Joana M. S. Cardoso, Leidy Rusinque, Ivânia Esteves and Isabel Abrantes
Biology 2021, 10(8), 775; https://doi.org/10.3390/biology10080775 - 14 Aug 2021
Cited by 22 | Viewed by 4594
Abstract
Meloidogyne luci has been identified in various countries around the world parasitizing economically important crops and, due to its potential to cause serious damage to agriculture, was included in the European and Mediterranean Plant Protection Organization Alert List in 2017. This species shares [...] Read more.
Meloidogyne luci has been identified in various countries around the world parasitizing economically important crops and, due to its potential to cause serious damage to agriculture, was included in the European and Mediterranean Plant Protection Organization Alert List in 2017. This species shares morphological and molecular similarities with M. ethiopica and M. inornata, and a M. ethiopica group was therefore established. Although specific primers for the DNA amplification of species belonging to the M. ethiopica group have been developed previously, the primers were not species-specific, so molecular markers for the specific detection of M. luci are still needed. The objective of this study was to develop a SCAR marker for the detection of M. luci and the discrimination from other Meloidogyne spp. based on the intraspecific variability found in RAPD markers. RAPD screening of M. luci and M. ethiopica genome was used for the identification of a specific amplification product on M. luci, which was cloned, sequenced and converted into a SCAR marker. The specificity of the designed primers (Mlf/r) was tested and produced a fragment (771 bp) for all nine M. luci isolates with no amplification for the other nine Meloidogyne spp., including M. ethiopica and M. inornata. Additionally, the proper amplification of the M. luci SCAR-marker was also successful with DNA from galls of M. luci infected tomato roots. The results obtained in this study reveal that the specific molecular detection of M. luci was achieved and that the developed methodology can be used for routine diagnosis purposes, which are essential to monitoring the distribution and spread of M. luci in order to implement future effective and integrated nematode pest management programs. Full article
(This article belongs to the Section Plant Science)
Show Figures

Figure 1

21 pages, 4033 KB  
Article
Detection of Root-Knot Nematode Meloidogyne luci Infestation of Potato Tubers Using Hyperspectral Remote Sensing and Real-Time PCR Molecular Methods
by Uroš Žibrat, Barbara Gerič Stare, Matej Knapič, Nik Susič, Janez Lapajne and Saša Širca
Remote Sens. 2021, 13(10), 1996; https://doi.org/10.3390/rs13101996 - 20 May 2021
Cited by 26 | Viewed by 6184
Abstract
Root-knot nematodes (Meloidogyne spp.) are considered the most aggressive, damaging, and economically important group of plant-parasitic nematodes and represent a significant limiting factor for potato (Solanum tuberosum) production and tuber quality. Meloidogyne luci has previously been shown to be a [...] Read more.
Root-knot nematodes (Meloidogyne spp.) are considered the most aggressive, damaging, and economically important group of plant-parasitic nematodes and represent a significant limiting factor for potato (Solanum tuberosum) production and tuber quality. Meloidogyne luci has previously been shown to be a potato pest having significant reproductive potential on the potato. In this study we showed that M. luci may develop a latent infestation without visible symptoms on the tubers. This latent infestation may pose a high risk for uncontrolled spread of the pest, especially via seed potato. We developed efficient detection methods to prevent uncontrolled spread of M. luci via infested potato tubers. Using hyperspectral imaging and a molecular approach to detection of nematode DNA with real-time PCR, it was possible to detect M. luci in both heavily infested potato tubers and tubers without visible symptoms. Detection of infested tubers with hyperspectral imaging achieved a 100% success rate, regardless of tuber preparation. The real-time PCR approach detected M. luci with high sensitivity. Full article
(This article belongs to the Special Issue Plant Phenotyping for Disease Detection)
Show Figures

Graphical abstract

8 pages, 1424 KB  
Article
First Detection of Meloidogyne luci (Nematoda: Meloidogynidae) Parasitizing Potato in the Azores, Portugal
by Leidy Rusinque, Filomena Nóbrega, Laura Cordeiro, Clara Serra and Maria L. Inácio
Plants 2021, 10(1), 99; https://doi.org/10.3390/plants10010099 - 6 Jan 2021
Cited by 15 | Viewed by 4482
Abstract
Potato is the third most important crop in the world after rice and wheat, with a great social and economic importance in Portugal as it is grown throughout the country, including the archipelagos of Madeira and the Azores. The tropical root-knot nematode (RKN) [...] Read more.
Potato is the third most important crop in the world after rice and wheat, with a great social and economic importance in Portugal as it is grown throughout the country, including the archipelagos of Madeira and the Azores. The tropical root-knot nematode (RKN) Meloidogyne luci is a polyphagous species with many of its host plants having economic importance and the ability to survive in temperate regions, which pose a risk to agricultural production. In 2019, M. luci was detected from soil samples collected from the council of Santo António in Pico Island (Azores). Bioassays were carried out to obtain females, egg masses, and second-stage juveniles to characterize this isolate morphologically, biochemically, and molecularly. The observed morphological features and morphometrics showed high similarity and consistency with previous descriptions. Concerning the biochemical characterization, the esterase (EST) phenotype displayed a pattern with three bands similar to the one previously described for M. luci and distinct from M. ethiopica. Regarding the molecular analysis, an 1800 bp region of the mitochondrial DNA between cytochrome oxidase subunit II (COII) and 16S rRNA genes was analyzed and the phylogenetic tree revealed that the isolate grouped with M. luci isolates (99.17%). This is the first report of M. luci parasitizing potato in the Azores islands, contributing additional information on the distribution of this plant-parasitic nematode. Full article
(This article belongs to the Special Issue Plant Parasitic Nematodes)
Show Figures

Figure 1

27 pages, 4915 KB  
Article
From Genome to Field—Observation of the Multimodal Nematicidal and Plant Growth-Promoting Effects of Bacillus firmus I-1582 on Tomatoes Using Hyperspectral Remote Sensing
by Nik Susič, Uroš Žibrat, Lovro Sinkovič, Andrej Vončina, Jaka Razinger, Matej Knapič, Aleš Sedlar, Saša Širca and Barbara Gerič Stare
Plants 2020, 9(5), 592; https://doi.org/10.3390/plants9050592 - 6 May 2020
Cited by 28 | Viewed by 4606
Abstract
Root-knot nematodes are considered the most important group of plant-parasitic nematodes due to their wide range of plant hosts and subsequent role in yield losses in agricultural production systems. Chemical nematicides are the primary control method, but ecotoxicity issues with some compounds has [...] Read more.
Root-knot nematodes are considered the most important group of plant-parasitic nematodes due to their wide range of plant hosts and subsequent role in yield losses in agricultural production systems. Chemical nematicides are the primary control method, but ecotoxicity issues with some compounds has led to their phasing-out and consequential development of new control strategies, including biological control. We evaluated the nematicidal activity of Bacillus firmus I-1582 in pot and microplot experiments against Meloidogyne luci. I-1582 reduced nematode counts by 51% and 53% compared to the untreated control in pot and microplot experiments, respectively. I-1582 presence in the rhizosphere had concurrent nematicidal and plant growth-promoting effects, measured using plant morphology, relative chlorophyll content, elemental composition and hyperspectral imaging. Hyperspectral imaging in the 400–2500 nm spectral range and supervised classification using partial least squares support vector machines successfully differentiated B. firmus-treated and untreated plants, with 97.4% and 96.3% accuracy in pot and microplot experiments, respectively. Visible and shortwave infrared spectral regions associated with chlorophyll, N–H and C–N stretches in proteins were most relevant for treatment discrimination. This study shows the ability of hyperspectral imaging to rapidly assess the success of biological measures for pest control. Full article
Show Figures

Figure 1

Back to TopTop