Sign in to use this feature.

Years

Between: -

Subjects

remove_circle_outline
remove_circle_outline
remove_circle_outline

Journals

Article Types

Countries / Regions

Search Results (9)

Search Parameters:
Keywords = DARPin-LoPE

Order results
Result details
Results per page
Select all
Export citation of selected articles as:
4 pages, 544 KB  
Proceeding Paper
Synergistic Effect of the Combination of the Recombinant Toxin DARPin-LoPE and PDT against HER2-Positive Breast Cancer In Vitro
by Liubov V. Krylova, Maria A. Karpova, Alexey A. Shulga, Elena V. Konovalova, Evgenii L. Guryev, Sergey M. Deyev and Irina V. Balalaeva
Med. Sci. Forum 2023, 20(1), 3; https://doi.org/10.3390/IECC2023-14225 - 16 Mar 2023
Viewed by 1293
Abstract
A promising strategy to enhance the therapeutic effectiveness for the treatment of oncological diseases involves the development of combined therapeutic schemes. In our work, we showed the therapeutic potential of the combined action of the anticancer targeted toxin and PDT against HER2-positive breast [...] Read more.
A promising strategy to enhance the therapeutic effectiveness for the treatment of oncological diseases involves the development of combined therapeutic schemes. In our work, we showed the therapeutic potential of the combined action of the anticancer targeted toxin and PDT against HER2-positive breast cancer in vitro. Photodynamic treatment led to photoinduced cell death with IC50 0.64 µM, and after incubation with the toxin for 48 h, IC50 was 2.8 pM. When using two therapeutic agents at IC50 doses, significant increases in the effectiveness were observed; the viability of the combination-treated cell culture did not exceed 10%. The calculated combination index was 0.07, indicating a significant synergistic effect caused by the agents. Full article
Show Figures

Figure 1

17 pages, 2002 KB  
Article
Feasibility of Co-Targeting HER3 and EpCAM Using Seribantumab and DARPin–Toxin Fusion in a Pancreatic Cancer Xenograft Model
by Tianqi Xu, Alexey Schulga, Elena Konovalova, Sara S. Rinne, Hongchao Zhang, Olga Vorontsova, Anna Orlova, Sergey M. Deyev, Vladimir Tolmachev and Anzhelika Vorobyeva
Int. J. Mol. Sci. 2023, 24(3), 2838; https://doi.org/10.3390/ijms24032838 - 2 Feb 2023
Cited by 7 | Viewed by 3959
Abstract
Pancreatic cancer (PC) is one of the most aggressive malignancies. A combination of targeted therapies could increase the therapeutic efficacy in tumors with heterogeneous target expression. Overexpression of the human epidermal growth factor receptor type 3 (HER3) and the epithelial cell adhesion molecule [...] Read more.
Pancreatic cancer (PC) is one of the most aggressive malignancies. A combination of targeted therapies could increase the therapeutic efficacy in tumors with heterogeneous target expression. Overexpression of the human epidermal growth factor receptor type 3 (HER3) and the epithelial cell adhesion molecule (EpCAM) in up to 40% and 30% of PCs, respectively, is associated with poor prognosis and highlights the relevance of these targets. Designed ankyrin repeat protein (DARPin) Ec1 fused with the low immunogenic bacterial toxin LoPE provides specific and potent cytotoxicity against EpCAM-expressing cancer cells. Here, we investigated whether the co-targeting of HER3 using the monoclonal antibody seribantumab (MM-121) and of EpCAM using Ec1–LoPE would improve the therapeutic efficacy in comparison to the individual agents. Radiolabeled 99mTc(CO)3-Ec1–LoPE showed specific binding with rapid internalization in EpCAM-expressing PC cells. MM-121 did not interfere with the binding of Ec1–LoPE to EpCAM. Evaluation of cytotoxicity indicated synergism between Ec1–LoPE and MM-121 in vitro. An experimental therapy study using Ec1–LoPE and MM-121 in mice bearing EpCAM- and HER3-expressing BxPC3 xenografts demonstrated the feasibility of the therapy. Further development of the co-targeting approach using HER3 and EpCAM could therefore be justified. Full article
(This article belongs to the Special Issue Bacterial Toxins and Cancer)
Show Figures

Figure 1

16 pages, 2565 KB  
Article
Real-Time Fluorescence Visualization and Quantitation of Cell Growth and Death in Response to Treatment in 3D Collagen-Based Tumor Model
by Ludmila M. Sencha, Olga E. Dobrynina, Anton D. Pospelov, Evgenii L. Guryev, Nina N. Peskova, Anna A. Brilkina, Elena I. Cherkasova and Irina V. Balalaeva
Int. J. Mol. Sci. 2022, 23(16), 8837; https://doi.org/10.3390/ijms23168837 - 9 Aug 2022
Cited by 8 | Viewed by 3240
Abstract
The use of 3D in vitro tumor models has become a common trend in cancer biology studies as well as drug screening and preclinical testing of drug candidates. The transition from 2D to 3D matrix-based cell cultures requires modification of methods for assessing [...] Read more.
The use of 3D in vitro tumor models has become a common trend in cancer biology studies as well as drug screening and preclinical testing of drug candidates. The transition from 2D to 3D matrix-based cell cultures requires modification of methods for assessing tumor growth. We propose the method for assessing the growth of tumor cells in a collagen hydrogel using macro-scale registration and quantification of the gel epi-fluorescence. The technique does not require gel destruction, can be used for real-time observation of fast (in seconds) cellular responses and demonstrates high agreement with cell counting approaches or measuring total DNA content. The potency of the method was proven in experiments aimed at testing cytotoxic activity of chemotherapeutic drug (cisplatin) and recombinant targeted toxin (DARPin-LoPE) against two different tumor cell lines genetically labelled with fluorescent proteins. Moreover, using fluorescent proteins with sensor properties allows registration of dynamic changes in cells’ metabolism, which was shown for the case of sensor of caspase 3 activity. Full article
(This article belongs to the Collection Feature Papers in Molecular Oncology)
Show Figures

Figure 1

22 pages, 37633 KB  
Article
Imaging-Guided Therapy Simultaneously Targeting HER2 and EpCAM with Trastuzumab and EpCAM-Directed Toxin Provides Additive Effect in Ovarian Cancer Model
by Tianqi Xu, Anzhelika Vorobyeva, Alexey Schulga, Elena Konovalova, Olga Vorontsova, Haozhong Ding, Torbjörn Gräslund, Liubov A. Tashireva, Anna Orlova, Vladimir Tolmachev and Sergey M. Deyev
Cancers 2021, 13(16), 3939; https://doi.org/10.3390/cancers13163939 - 4 Aug 2021
Cited by 13 | Viewed by 4879
Abstract
Efficient treatment of disseminated ovarian cancer (OC) is challenging due to its heterogeneity and chemoresistance. Overexpression of human epidermal growth factor receptor 2 (HER2) and epithelial cell adhesion molecule (EpCAM) in approx. 30% and 70% of ovarian cancers, respectively, allows for co-targeted treatment. [...] Read more.
Efficient treatment of disseminated ovarian cancer (OC) is challenging due to its heterogeneity and chemoresistance. Overexpression of human epidermal growth factor receptor 2 (HER2) and epithelial cell adhesion molecule (EpCAM) in approx. 30% and 70% of ovarian cancers, respectively, allows for co-targeted treatment. The clinical efficacy of the monoclonal antibody trastuzumab in patients with HER2-positive breast, gastric and gastroesophageal cancers makes it readily available as the HER2-targeting component. As the EpCAM-targeting component, we investigated the designed ankyrin repeat protein (DARPin) Ec1 fused to a truncated variant of Pseudomonas exotoxin A with reduced immunogenicity and low general toxicity (LoPE). Ec1-LoPE was radiolabeled, evaluated in ovarian cancer cells in vitro and its biodistribution and tumor-targeting properties were studied in vivo. The therapeutic efficacy of Ec1-LoPE alone and in combination with trastuzumab was studied in mice bearing EpCAM- and HER2-expressing SKOV3 xenografts. SPECT/CT imaging enabled visualization of EpCAM and HER2 expression in the tumors. Co-treatment using Ec1-LoPE and trastuzumab was more effective at reducing tumor growth and prolonged the median survival of mice compared with mice in the control and monotherapy groups. Repeated administration of Ec1-LoPE was well tolerated without signs of hepatic or kidney toxicity. Co-treatment with trastuzumab and Ec1-LoPE might be a potential therapeutic strategy for HER2- and EpCAM-positive OC. Full article
Show Figures

Figure 1

21 pages, 3967 KB  
Article
Comparative Analysis of Cell–Cell Contact Abundance in Ovarian Carcinoma Cells Cultured in Two- and Three-Dimensional In Vitro Models
by Olga M. Kutova, Ludmila M. Sencha, Anton D. Pospelov, Olga E. Dobrynina, Anna A. Brilkina, Elena I. Cherkasova and Irina V. Balalaeva
Biology 2020, 9(12), 446; https://doi.org/10.3390/biology9120446 - 4 Dec 2020
Cited by 14 | Viewed by 4584
Abstract
Tumor resistance to therapy is associated with the 3D organization and peculiarities of the tumor microenvironment, of which intercellular adhesion is a key participant. In this work, the abundance of contact proteins was compared in SKOV-3 and SKOV-3.ip human ovarian adenocarcinoma cell lines, [...] Read more.
Tumor resistance to therapy is associated with the 3D organization and peculiarities of the tumor microenvironment, of which intercellular adhesion is a key participant. In this work, the abundance of contact proteins was compared in SKOV-3 and SKOV-3.ip human ovarian adenocarcinoma cell lines, cultivated in monolayers, tumor spheroids and collagen hydrogels. Three-dimensional models were characterized by extremely low expression of basic molecules of adherens junctions E-cadherin and demonstrated a simultaneous decrease in desmosomal protein desmoglein-2, gap junction protein connexin-43 and tight junction proteins occludin and ZO-1. The reduction in the level of contact proteins was most pronounced in collagen hydrogel, accompanied by significantly increased resistance to treatment with doxorubicin and targeted anticancer toxin DARPin-LoPE. Thus, we suggest that 3D models of ovarian cancer, especially matrix-based models, tend to recapitulate tumor microenvironment and treatment responsiveness to a greater extent than monolayer culture, so they can be used as a highly relevant platform for drug efficiency evaluation. Full article
Show Figures

Figure 1

15 pages, 2349 KB  
Article
Dual Targeting of Cancer Cells with DARPin-Based Toxins for Overcoming Tumor Escape
by Elena Shramova, Galina Proshkina, Victoria Shipunova, Anastasia Ryabova, Roman Kamyshinsky, Andrey Konevega, Aleksey Schulga, Elena Konovalova, Georgij Telegin and Sergey Deyev
Cancers 2020, 12(10), 3014; https://doi.org/10.3390/cancers12103014 - 16 Oct 2020
Cited by 40 | Viewed by 5002
Abstract
We report here a combined anti-cancer therapy directed toward HER2 and EpCAM, common tumor-associated antigens of breast cancer cells. The combined therapeutic effect is achieved owing to two highly toxic proteins—a low immunogenic variant of Pseudomonas aeruginosa exotoxin A and ribonuclease Barnase from [...] Read more.
We report here a combined anti-cancer therapy directed toward HER2 and EpCAM, common tumor-associated antigens of breast cancer cells. The combined therapeutic effect is achieved owing to two highly toxic proteins—a low immunogenic variant of Pseudomonas aeruginosa exotoxin A and ribonuclease Barnase from Bacillus amyloliquefaciens. The delivery of toxins to cancer cells was carried out by targeting designed ankyrin repeat proteins (DARPins). We have shown that both target agents efficiently accumulate in the tumor. Simultaneous treatment of breast carcinoma-bearing mice with anti-EpCAM fusion toxin based on LoPE and HER2-specific liposomes loaded with Barnase leads to concurrent elimination of primary tumor and metastases. Monotherapy with anti-HER2- or anti-EpCAM-toxins did not produce a comparable effect on metastases. The proposed approach can be considered as a promising strategy for significant improvement of cancer therapy. Full article
(This article belongs to the Section Cancer Therapy)
Show Figures

Figure 1

13 pages, 1986 KB  
Article
UCNP-based Photoluminescent Nanomedicines for Targeted Imaging and Theranostics of Cancer
by Evgenii L. Guryev, Anita S. Smyshlyaeva, Natalia Y. Shilyagina, Evgeniya A. Sokolova, Samah Shanwar, Alexey B. Kostyuk, Alexander V. Lyubeshkin, Alexey A. Schulga, Elena V. Konovalova, Quan Lin, Indrajit Roy, Irina V. Balalaeva, Sergey M. Deyev and Andrei V. Zvyagin
Molecules 2020, 25(18), 4302; https://doi.org/10.3390/molecules25184302 - 19 Sep 2020
Cited by 26 | Viewed by 4890
Abstract
Theranostic approach is currently among the fastest growing trends in cancer treatment. It implies the creation of multifunctional agents for simultaneous precise diagnosis and targeted impact on tumor cells. A new type of theranostic complexes was created based on NaYF4: Yb,Tm [...] Read more.
Theranostic approach is currently among the fastest growing trends in cancer treatment. It implies the creation of multifunctional agents for simultaneous precise diagnosis and targeted impact on tumor cells. A new type of theranostic complexes was created based on NaYF4: Yb,Tm upconversion nanoparticles coated with polyethylene glycol and functionalized with the HER2-specific recombinant targeted toxin DARPin-LoPE. The obtained agents bind to HER2-overexpressing human breast adenocarcinoma cells and demonstrate selective cytotoxicity against this type of cancer cells. Using fluorescent human breast adenocarcinoma xenograft models, the possibility of intravital visualization of the UCNP-based complexes biodistribution and accumulation in tumor was demonstrated. Full article
(This article belongs to the Special Issue Immunoconjugates for Cancer Imaging and Therapy)
Show Figures

Graphical abstract

19 pages, 3056 KB  
Article
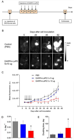
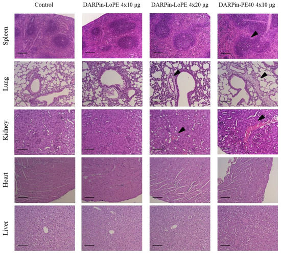
HER2-Specific Targeted Toxin DARPin-LoPE: Immunogenicity and Antitumor Effect on Intraperitoneal Ovarian Cancer Xenograft Model
by Evgeniya A. Sokolova, Olga N. Shilova, Daria V. Kiseleva, Alexey A. Schulga, Irina V. Balalaeva and Sergey M. Deyev
Int. J. Mol. Sci. 2019, 20(10), 2399; https://doi.org/10.3390/ijms20102399 - 15 May 2019
Cited by 33 | Viewed by 4126
Abstract
High immunogenicity and systemic toxicity are the main obstacles limiting the clinical use of the therapeutic agents based on Pseudomonas aeruginosa exotoxin A. In this work, we studied the immunogenicity, general toxicity and antitumor effect of the targeted toxin DARPin-LoPE composed of HER2-specific [...] Read more.
High immunogenicity and systemic toxicity are the main obstacles limiting the clinical use of the therapeutic agents based on Pseudomonas aeruginosa exotoxin A. In this work, we studied the immunogenicity, general toxicity and antitumor effect of the targeted toxin DARPin-LoPE composed of HER2-specific DARPin and a low immunogenic exotoxin A fragment lacking immunodominant human B lymphocyte epitopes. The targeted toxin has been shown to effectively inhibit the growth of HER2-positive human ovarian carcinoma xenografts, while exhibiting low non-specific toxicity and side effects, such as vascular leak syndrome and liver tissue degradation, as well as low immunogenicity, as was shown by specific antibody titer. This represents prospects for its use as an agent for targeted therapy of HER2-positive tumors. Full article
(This article belongs to the Section Biochemistry)
Show Figures

Graphical abstract

16 pages, 4451 KB  
Article
Penetration Efficiency of Antitumor Agents in Ovarian Cancer Spheroids: The Case of Recombinant Targeted Toxin DARPin-LoPE and the Chemotherapy Drug, Doxorubicin
by Evgeniya Sokolova, Olga Kutova, Alena Grishina, Anton Pospelov, Evgeniy Guryev, Alexey Schulga, Sergey Deyev and Irina Balalaeva
Pharmaceutics 2019, 11(5), 219; https://doi.org/10.3390/pharmaceutics11050219 - 7 May 2019
Cited by 24 | Viewed by 4687
Abstract
The efficiency of delivering a therapeutic agent into a tumor is among the crucial factors determining the prospects for its clinical use. This problem is particularly acute in the case of targeted antitumor agents since many of them are high-molecular-weight compounds. In this [...] Read more.
The efficiency of delivering a therapeutic agent into a tumor is among the crucial factors determining the prospects for its clinical use. This problem is particularly acute in the case of targeted antitumor agents since many of them are high-molecular-weight compounds. In this work, the penetration of therapeutic agents of two distinct molecular weights into the spheroids of ovarian adenocarcinoma overexpressing human epidermal growth factor receptor 2 (HER2) was studied. It was shown that the low-molecular-weight chemotherapy drug, doxorubicin (~0.5 kDa), effectively penetrates through almost the entire depth of a 300 to 400 μm spheroid, while the penetration depth of the HER2-specific recombinant targeted toxin, DARPin-LoPE (~42 kDa), is only a few surface layers of cells and does not exceed 70 μm. The low penetration of the targeted toxin into spheroid was shown along with a significant decrease in its efficiency against the three-dimensional tumor spheroid as compared with the two-dimensional monolayer culture. The approaches to increasing the accumulation of agents in the tumor are presented and prospects of their use in order to improve the effectiveness of therapy are discussed. Full article
Show Figures

Graphical abstract

Back to TopTop