Sign in to use this feature.

Years

Between: -

Subjects

remove_circle_outline
remove_circle_outline
remove_circle_outline
remove_circle_outline
remove_circle_outline
remove_circle_outline
remove_circle_outline
remove_circle_outline
remove_circle_outline

Journals

Article Types

Countries / Regions

Search Results (8)

Search Parameters:
Keywords = C-Terminal Binding Protein 1 (CtBP1)

Order results
Result details
Results per page
Select all
Export citation of selected articles as:
13 pages, 2446 KB  
Review
Using the Allen Brain Cell Atlas of the Human Brain to Gain Insights into C-Terminal-Binding Protein 1 (CtBP1)’s Potential Function
by Suhjin Lee and Uthayashanker R. Ezekiel
Biologics 2025, 5(2), 14; https://doi.org/10.3390/biologics5020014 - 5 May 2025
Cited by 1 | Viewed by 2553
Abstract
C-terminal-binding proteins (CtBPs) dimerize and function predominantly as transcriptional corepressors by recruiting various chromatin-modifying factors to promoter-bound repressors. Hypotonia, ataxia, developmental delay, and tooth enamel defects syndrome (HADDTS) is a recently discovered neurodevelopmental disorder resulting from a heterozygous missense mutation in CTBP1. [...] Read more.
C-terminal-binding proteins (CtBPs) dimerize and function predominantly as transcriptional corepressors by recruiting various chromatin-modifying factors to promoter-bound repressors. Hypotonia, ataxia, developmental delay, and tooth enamel defects syndrome (HADDTS) is a recently discovered neurodevelopmental disorder resulting from a heterozygous missense mutation in CTBP1. It is often associated with the early onset of profound cerebellar atrophy in patients. Allen Institute’s Allen Brain Cell (ABC) atlas of human brain data was used to localize CTBP1 expression in the brain to elucidate the etiology of HADDTS. Based on the ABC atlas, CTBP1 is highly expressed in the upper rhombic lip supercluster, which gives rise to cerebellar cells and provides insights into the cerebellar pathophysiology observed in HADDTS patients. Full article
Show Figures

Figure 1

17 pages, 8516 KB  
Article
CRISPR/Cas9-Mediated CtBP1 Gene Editing Enhances Chemosensitivity and Inhibits Metastatic Potential in Esophageal Squamous Cell Carcinoma Cells
by Javed Akhtar, Muhammad Imran and Guanyu Wang
Int. J. Mol. Sci. 2023, 24(18), 14030; https://doi.org/10.3390/ijms241814030 - 13 Sep 2023
Cited by 3 | Viewed by 2599
Abstract
Innovative therapeutic strategies for esophageal squamous cell carcinoma (ESCC) are urgently required due to the limited effectiveness of standard chemotherapies. C-Terminal Binding Protein 1 (CtBP1) has been implicated in various cancers, including ESCC. However, the precise expression patterns and functional roles of CtBP1 [...] Read more.
Innovative therapeutic strategies for esophageal squamous cell carcinoma (ESCC) are urgently required due to the limited effectiveness of standard chemotherapies. C-Terminal Binding Protein 1 (CtBP1) has been implicated in various cancers, including ESCC. However, the precise expression patterns and functional roles of CtBP1 in ESCC remain inadequately characterized. In this study, we aimed to investigate CtBP1 expression and its role in the resistance of ESCC to paclitaxel, an effective chemotherapeutic agent. Western blotting and immunofluorescence were applied to assess CtBP1 expression in the TE-1 and KYSE-50 cell lines. We observed the marked expression of CtBP1, which was associated with enhanced proliferation, invasion, and metastasis in these cell lines. Further, we successfully generated paclitaxel resistant ESCC cell lines and conducted cell viability assays. We employed the CRISPR/Cas9 genome editing system to disable the CtBP1 gene in ESCC cell lines. Through the analysis of the drug dose–response curve, we assessed the sensitivity of these cell lines in different treatment groups. Remarkably, CtBP1-disabled cell lines displayed not only improved sensitivity but also a remarkable inhibition of proliferation, invasion, and metastasis. This demonstrates that CtBP1 may promote ESCC cell malignancy and confer paclitaxel resistance. In summary, our study opens a promising avenue for targeted therapies, revealing the potential of CtBP1 inhibition to enhance the effectiveness of paclitaxel treatment for the personalized management of ESCC. Full article
Show Figures

Figure 1

21 pages, 5780 KB  
Article
Epigenetic Regulation of MAP3K8 in EBV-Associated Gastric Carcinoma
by Gaurab Roy, Ting Yang, Shangxin Liu, Yi-Ling Luo, Yuantao Liu and Qian Zhong
Int. J. Mol. Sci. 2023, 24(3), 1964; https://doi.org/10.3390/ijms24031964 - 19 Jan 2023
Cited by 8 | Viewed by 3649
Abstract
Super-enhancers (SEs) regulate gene expressions, which are critical for cell type-identity and tumorigenesis. Although genome wide H3K27ac profiling have revealed the presence of SE-associated genes in gastric cancer (GC), their roles remain unclear. In this study, ChIP-seq and HiChIP-seq experiments revealed mitogen-activated protein [...] Read more.
Super-enhancers (SEs) regulate gene expressions, which are critical for cell type-identity and tumorigenesis. Although genome wide H3K27ac profiling have revealed the presence of SE-associated genes in gastric cancer (GC), their roles remain unclear. In this study, ChIP-seq and HiChIP-seq experiments revealed mitogen-activated protein kinase 8 (MAP3K8) to be an SE-associated gene with chromosome interactions in Epstein–Barr virus-associated gastric carcinoma (EBVaGC) cells. CRISPRi mediated repression of the MAP3K8 SEs attenuated MAP3K8 expression and EBVaGC cell proliferation. The results were validated by treating EBVaGC cells with bromodomain and the extra-terminal motif (BET) inhibitor, OTX015. Further, functional analysis of MAP3K8 in EBVaGC revealed that silencing MAP3K8 could inhibit the cell proliferation, colony formation, and migration of EBVaGC cells. RNA-seq and pathway analysis indicated that knocking down MAP3K8 obstructed the notch signaling pathway and epithelial-mesenchymal transition (EMT) in EBVaGC cells. Further, analysis of the cancer genome atlas (TCGA) and GSE51575 databases exhibited augmented MAP3K8 expression in gastric cancer and it was found to be inversely correlated with the disease-free progression of GC. Moreover, Spearman’s correlation revealed that MAP3K8 expression was positively correlated with the expressions of notch pathway and EMT related genes, such as, Notch1, Notch2, C-terminal binding protein 2 (CTBP2), alpha smooth muscle actin isotype 2 (ACTA2), transforming growth factor beta receptor 1 (TGFβR1), and snail family transcriptional repressors 1/2 (SNAI1/SNAI2) in GC. Taken together, we are the first to functionally interrogate the mechanism of SE-mediated regulation of MAP3K8 in EBVaGC cell lines. Full article
(This article belongs to the Section Molecular Oncology)
Show Figures

Figure 1

20 pages, 7884 KB  
Article
Hippocampal Changes Elicited by Metabolic and Inflammatory Stressors following Prenatal Maternal Infection
by Sandra L. Rodriguez-Zas, Bruce R. Southey, Haley E. Rymut, Laurie A. Rund and Rodney W. Johnson
Genes 2023, 14(1), 77; https://doi.org/10.3390/genes14010077 - 26 Dec 2022
Cited by 9 | Viewed by 3372
Abstract
The hippocampus participates in spatial navigation and behavioral processes, displays molecular plasticity in response to environmental challenges, and can play a role in neuropsychiatric diseases. The combined effects of inflammatory prenatal and postnatal challenges can disrupt the hippocampal gene networks and regulatory mechanisms. [...] Read more.
The hippocampus participates in spatial navigation and behavioral processes, displays molecular plasticity in response to environmental challenges, and can play a role in neuropsychiatric diseases. The combined effects of inflammatory prenatal and postnatal challenges can disrupt the hippocampal gene networks and regulatory mechanisms. Using a proven pig model of viral maternal immune activation (MIA) matched to controls and an RNA-sequencing approach, the hippocampal transcriptome was profiled on two-month-old female and male offspring assigned to fasting, mimetic viral, or saline treatments. More than 2600 genes presented single or combined effects (FDR-adjusted p-value < 0.05) of MIA, postnatal stress, or sex. Biological processes and pathways encompassing messenger cyclic adenosine 3′,5′-monophosphate (cAMP) signaling were enriched with genes including gastric inhibitory polypeptide receptor (GIPR) predominantly over-expressed in the MIA-exposed fasting males relative to groups that differed in sex, prenatal or postnatal challenge. While this pattern was amplified in fasting offspring, the postnatal inflammatory challenge appeared to cancel out the effects of the prenatal challenge. The transcription factors C-terminal binding protein 2 (CTBP2), RE1 silencing transcription factor (REST), signal transducer and activator of transcription 1 (STAT1), and SUZ12 polycomb repressive complex 2 subunit were over-represented among the genes impacted by the prenatal and postnatal factors studied. Our results indicate that one environmental challenge can influence the effect of another challenge on the hippocampal transcriptome. These findings can assist in the identification of molecular targets to ameliorate the effects of pre-and post-natal stressors on hippocampal-associated physiology and behavior. Full article
(This article belongs to the Special Issue Genetic Basis of Stress-Related Neuropsychiatric Disorders)
Show Figures

Figure 1

11 pages, 3698 KB  
Brief Report
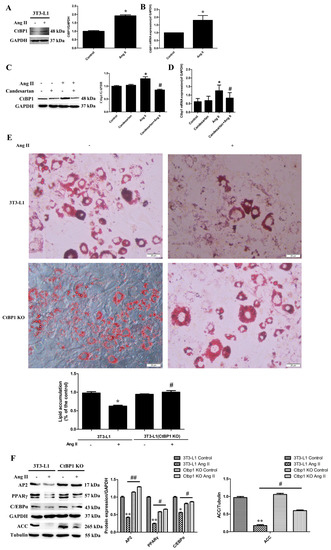
Angiotensin II Inhibits Adipogenic Differentiation and Promotes Mature Adipocyte Browning through the Corepressor CtBP1
by Xiuying Liang, Jingwen Sun, Haijing Guan, Qingyu Zhu and Wenjuan Yao
Biomedicines 2022, 10(12), 3131; https://doi.org/10.3390/biomedicines10123131 - 4 Dec 2022
Cited by 5 | Viewed by 2358
Abstract
The mechanisms of angiotensin II (Ang II) on regulating adipogenic differentiation and function remain unknown. In this study, we focus on revealing the role of C-terminal-binding protein 1 (CtBP1) on Ang II-mediated adipogenic differentiation and mature adipocyte browning. Amounts of 3T3-L1 and CtBP1-KO [...] Read more.
The mechanisms of angiotensin II (Ang II) on regulating adipogenic differentiation and function remain unknown. In this study, we focus on revealing the role of C-terminal-binding protein 1 (CtBP1) on Ang II-mediated adipogenic differentiation and mature adipocyte browning. Amounts of 3T3-L1 and CtBP1-KO 3T3-L1 were treated with Ang II for 24 h and then induced adipogenic differentiation, or cells were first induced differentiation and then treated with Ang II. The expressions of CtBP1 and adipogenic markers were checked by Western blot. Transcription of CtBP1 was assayed by Real-time RT-PCR. Lipid droplet formation and size were detected by Oil Red O. Mitochondrial content and reactive oxygenspecies (ROS) were detected by Mito-tracker and MitoSOX. Mitochondrial respiratory function was detected with the corresponding kits. Mitochondrial membrane potential (MMP) (∆Ψm) was assayed by JC-1. The results show that Ang II promoted CtBP1 transcription and expression via AT1 receptor during 3T3-L1 adipogenic differentiation. Ang II significantly inhibited lipid droplet formation and adipogenic markers expression in 3T3-L1 differentiation, which was blocked by CtBP1 knockout. In mature 3T3-L1, Ang II treatment increased uncoupling protein-1 (UCP-1) expression and the number of lipid droplets, and also reduced lipid droplet size and single cell lipid accumulation, which was reversed by CtBP1 knockout. In addition, Ang II treatment enhanced mitochondrial numbers, ATP production, oxygen consumption rate (OCR) and ROS generation, and reduced MMP (∆Ψm) via CtBP1 in mature 3T3-L1 adipocytes. In conclusion, this study demonstrates that CtBP1 plays a key role in the inhibitory effect of Ang II on adipogenesis. Moreover, Ang II regulates the function of mature adipocyte via CtBP1, including promoting adipocyte browning, mitochondrial respiration and ROS generation. Full article
(This article belongs to the Section Cell Biology and Pathology)
Show Figures

Figure 1

15 pages, 4680 KB  
Article
Hearing Impairment in a Mouse Model of Diabetes Is Associated with Mitochondrial Dysfunction, Synaptopathy, and Activation of the Intrinsic Apoptosis Pathway
by Ah-Ra Lyu, Tae-Hwan Kim, Sun-Ae Shin, Eung-Hyub Kim, Yang Yu, Akanksha Gajbhiye, Hyuk-Chan Kwon, A Reum Je, Yang Hoon Huh, Min Jung Park and Yong-Ho Park
Int. J. Mol. Sci. 2021, 22(16), 8807; https://doi.org/10.3390/ijms22168807 - 16 Aug 2021
Cited by 17 | Viewed by 4120
Abstract
Although previous studies continuously report an increased risk of hearing loss in diabetes patients, the impact of the disease on the inner ear remains unexplored. Herein, we examine the pathophysiology of diabetes-associated hearing impairment and cochlear synaptopathy in a mouse model of diabetes. [...] Read more.
Although previous studies continuously report an increased risk of hearing loss in diabetes patients, the impact of the disease on the inner ear remains unexplored. Herein, we examine the pathophysiology of diabetes-associated hearing impairment and cochlear synaptopathy in a mouse model of diabetes. Male B6.BKS(D)-Leprdb/J (db/db, diabetes) and heterozygote (db/+, control) mice were assigned into each experimental group (control vs. diabetes) based on the genotype and tested for hearing sensitivity every week from 6 weeks of age. Each cochlea was collected for histological and biological assays at 14 weeks of age. The diabetic mice exerted impaired hearing and a reduction in cochlear blood flow and C-terminal-binding protein 2 (CtBP2, a presynaptic ribbon marker) expression. Ultrastructural images revealed severely damaged mitochondria from diabetic cochlea accompanied by a reduction in Cytochrome c oxidase subunit 4 (COX4) and CR6-interacting factor 1 (CRIF1). The diabetic mice presented significantly decreased levels of platelet endothelial cell adhesion molecule (PECAM-1), B-cell lymphoma 2 (BCL-2), and procaspase-9, but not procaspase-8. Importantly, significant changes were not found in necroptotic programmed cell death markers (receptor-interacting serine/threonine-protein kinase 1, RIPK1; RIPK3; and mixed lineage kinase domain-like pseudokinase, MLKL) between the groups. Taken together, diabetic hearing loss is accompanied by synaptopathy, microangiopathy, damage to the mitochondrial structure/function, and activation of the intrinsic apoptosis pathway. Our results imply that mitochondrial dysfunction is deeply involved in diabetic hearing loss, and further suggests the potential benefits of therapeutic strategies targeting mitochondria. Full article
Show Figures

Figure 1

19 pages, 4196 KB  
Article
Identification of Host Cellular Protein Substrates of SARS-COV-2 Main Protease
by Márió Miczi, Mária Golda, Balázs Kunkli, Tibor Nagy, József Tőzsér and János András Mótyán
Int. J. Mol. Sci. 2020, 21(24), 9523; https://doi.org/10.3390/ijms21249523 - 15 Dec 2020
Cited by 29 | Viewed by 6446
Abstract
The novel severe acute respiratory syndrome coronavirus 2 (SARS-CoV-2) is the causative agent of coronavirus disease-19 (COVID-19) being associated with severe pneumonia. Like with other viruses, the interaction of SARS-CoV-2 with host cell proteins is necessary for successful replication, and cleavage of cellular [...] Read more.
The novel severe acute respiratory syndrome coronavirus 2 (SARS-CoV-2) is the causative agent of coronavirus disease-19 (COVID-19) being associated with severe pneumonia. Like with other viruses, the interaction of SARS-CoV-2 with host cell proteins is necessary for successful replication, and cleavage of cellular targets by the viral protease also may contribute to the pathogenesis, but knowledge about the human proteins that are processed by the main protease (3CLpro) of SARS-CoV-2 is still limited. We tested the prediction potentials of two different in silico methods for the identification of SARS-CoV-2 3CLpro cleavage sites in human proteins. Short stretches of homologous host-pathogen protein sequences (SSHHPS) that are present in SARS-CoV-2 polyprotein and human proteins were identified using BLAST analysis, and the NetCorona 1.0 webserver was used to successfully predict cleavage sites, although this method was primarily developed for SARS-CoV. Human C-terminal-binding protein 1 (CTBP1) was found to be cleaved in vitro by SARS-CoV-2 3CLpro, the existence of the cleavage site was proved experimentally by using a His6-MBP-mEYFP recombinant substrate containing the predicted target sequence. Our results highlight both potentials and limitations of the tested algorithms. The identification of candidate host substrates of 3CLpro may help better develop an understanding of the molecular mechanisms behind the replication and pathogenesis of SARS-CoV-2. Full article
Show Figures

Graphical abstract

1 pages, 153 KB  
Abstract
Elucidating the Role of HIV-2 Viral Protein X
by Mohamed Mahdi, Tamás Richárd Linkner, Zsófia Ilona Szojka and József Tőzsér
Proceedings 2020, 50(1), 24; https://doi.org/10.3390/proceedings2020050024 - 9 Jun 2020
Viewed by 1688
Abstract
Human immunodeficiency viruses type 1 and 2 (HIV-1 and HIV-2) are the causative agents of the acquired immunodeficiency syndrome (AIDS). While both viruses share a similar structural and genomic organization, a difference in replication dynamics and the clinical course of infection is evident [...] Read more.
Human immunodeficiency viruses type 1 and 2 (HIV-1 and HIV-2) are the causative agents of the acquired immunodeficiency syndrome (AIDS). While both viruses share a similar structural and genomic organization, a difference in replication dynamics and the clinical course of infection is evident between the two. Patients dually infected were shown to have lower viral loads and generally a slower rate of progression to AIDS than those who are mono-infected. While the roles of the unique accessory proteins have been studied in detail for HIV-1, those of HIV-2, including viral protein X (Vpx), remain largely uncharacterized. In our previous experiments, Vpx of HIV-2 was found to be involved in decreasing the infectivity of HIV-1 in dual infection cell culture assays. We set out to elucidate the function of this accessory protein, identifying protein–protein interactions of HIV-2 Vpx with cellular and possibly HIV-1 proteins in dual infection, using in-vitro proteomics techniques and proximity ligation assays. Results showed that wild-type Vpx interacted with many cellular proteins involved in splicing, packaging of pre-mRNA, nuclear export, and translation. Of particular interest was the interaction between HIV-2 Vpx and the pre-mRNA-splicing factor ATP-dependent RNA helicase DHX15, which is required for HIV-1 viral DNA synthesis, and the eukaryotic translation initiation factor 2 subunit 3 (EIF2S3), involved in the early steps of protein synthesis. Additionally, Vpx was found to interact directly with the cellular transcriptional repressor C-Terminal Binding Protein 2 (CTBP-2). Moreover, Vpx was shown to hinder the function of HIV-1 reverse transcriptase in in-vitro assays. These findings shed light on the functions of this accessory protein and add to our understanding of the replication dynamics of HIV-2 and its role in dual infection. Full article
(This article belongs to the Proceedings of Viruses 2020—Novel Concepts in Virology)
Back to TopTop